妊娠併發症1 / 32
【115-1 醫學(六) 第35題】33 歲女性,到院做 35 週產檢,如圖主訴下肢痛,理學檢查有 Homans sign positive,下列敘述何者錯誤?

妊娠併發症2 / 32
【115-1 醫學(六) 第37題】小玲懷孕 16 週,第一次量到血壓 150/95 mmHg、休息半小時後再量是 148/95 mmHg,開始固定服用降血壓藥物,但在 28 週時血壓突然升高,量到 180/110 mmHg 並出現蛋白尿 4 價、血小板低下、肝功能異常,下列最適合的診斷為何?
妊娠併發症3 / 32
【115-1 醫學(六) 第39題】周產期心肌病變(peripartum cardiomyopathy)的診斷準則,不包括下列何者?
婦科泌尿與生殖道異常4 / 32
【115-1 醫學(六) 第28題】內髂動脈(internal iliac artery)分枝,下列何者除外?
婦科泌尿與生殖道異常5 / 32
【115-1 醫學(六) 第29題】在正常解剖位置中,子宮動脈(uterine artery)與輸尿管(ureter)最常在何處交會?
婦科泌尿與生殖道異常6 / 32
【115-1 醫學(六) 第49題】下列何者是子宮根除術(radical hysterectomy)最常見的慢性併發症?
婦科泌尿與生殖道異常7 / 32
【115-1 醫學(六) 第57題】有關骨盆底部的支持結構,下列敘述何者正確?
婦科腫瘤8 / 32
【115-1 醫學(六) 第30題】37 歲女性,因診所懷疑絨毛膜癌(choriocarcinoma)而轉至醫學中心就醫,下列關於絨毛膜癌之敘述何者正確?
婦科腫瘤9 / 32
【115-1 醫學(六) 第43題】子宮內膜異位症會增加那些組織學類型的卵巢癌風險?①子宮內膜樣(endometrioid) ②亮細胞(clear cell) ③漿液性(serous) ④黏液性(mucinous)
婦科腫瘤10 / 32
【115-1 醫學(六) 第50題】子宮內膜癌大約占停經後出血多少百分比?
婦科腫瘤11 / 32
【115-1 醫學(六) 第51題】子宮頸抹片檢查顯示重度子宮頸上皮贅瘤(HSIL),下一步處置何者最不適當?
婦科腫瘤12 / 32
【115-1 醫學(六) 第52題】關於子宮內膜增生(endometrial hyperplasia)的敘述,下列何者錯誤?
婦科腫瘤13 / 32
【115-1 醫學(六) 第53題】55 歲女性,因為卵巢腫瘤而接受手術,摘除腫瘤檢視時發現腫瘤內有毛髮、脂肪、皮脂腺等組織。最後病理報告敘述有惡性細胞,最常見下列那一種惡性病變?
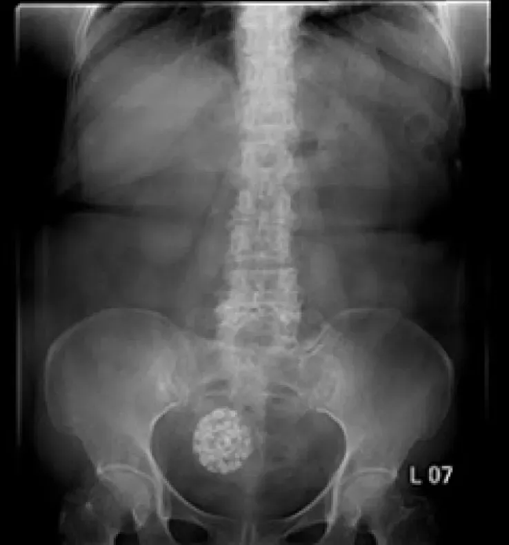
婦科腫瘤14 / 32
【115-1 醫學(六) 第74題】65 歲女性病人因腹痛接受腹部X光檢查如附圖。最可能之診斷為何?

婦科良性疾病與感染15 / 32
【115-1 醫學(六) 第40題】關於手術性子宮鏡(operative hysteroscopy)之敘述,下列何者最不適當?
婦科良性疾病與感染16 / 32
【115-1 醫學(六) 第42題】子宮肌瘤病人希望將來能生育,若希望接受治療,下列何種治療最適當?
婦科良性疾病與感染17 / 32
【115-1 醫學(六) 第45題】有關功能性卵巢囊腫,下列敘述何者最不適當?
婦科良性疾病與感染18 / 32
【115-1 醫學(六) 第46題】下列何種藥物對於治療生殖器疱疹(genital herpes)較不適當?
婦科良性疾病與感染19 / 32
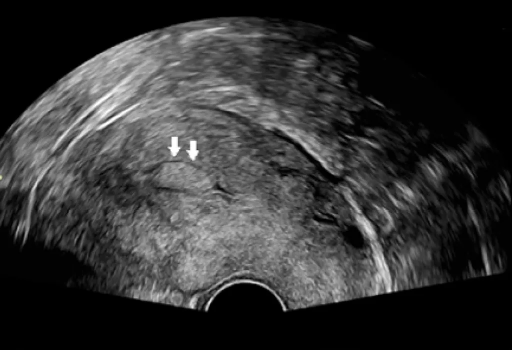
【115-1 醫學(六) 第47題】一個 33 歲女性來到門診,她主訴為長期有經期時間過長及間斷性子宮出血之症狀,此外她並無經血量過多或頻尿之現象,3 個月前子宮抹片檢查為正常。她的經期剛結束,經婦科超音波檢查發現如圖,下列何者是最有可能的診斷?
婦科良性疾病與感染20 / 32
【115-1 醫學(六) 第48題】下列何者對正常陰道菌叢(vaginal bacterial flora)的影響最小?
生殖內分泌與不孕21 / 32
【115-1 醫學(六) 第44題】關於 Swyer syndrome,下列敘述何者最不適當?
生殖內分泌與不孕22 / 32
【115-1 醫學(六) 第54題】有關原發性卵巢功能不足(或稱早發性卵巢衰竭),下列敘述何者錯誤?
生殖內分泌與不孕23 / 32
【115-1 醫學(六) 第55題】32 歲女性,G0P0,繼發性無月經,抽血報告顯示泌乳激素偏高,下列那項診斷是最不可能的原因?
生殖內分泌與不孕24 / 32
【115-1 醫學(六) 第56題】一對夫妻的頭兩次懷孕,都因為胎兒為甲型地中海貧血重症(alpha thalassemia major)於 4 個多月時終止妊娠,後續檢查確定夫妻兩人皆為甲型地中海貧血帶因者。他們表示這段期間身心備受煎熬,想了解還有沒有機會正常生育。下列何項建議最能避免因相同原因需要再次終止妊娠的可能性?
生殖內分泌與不孕25 / 32
【115-1 醫學(六) 第73題】35 歲女性病人主訴不孕,子宮輸卵管攝影檢查發現如附圖。最可能之診斷為何?

產前照護與分娩26 / 32
【115-1 醫學(六) 第6題】作為產房值班的第一線醫師,以下有幾床病人表示希望施打減痛分娩。下列四位孕婦中,那一位最適合施打減痛分娩的硬脊膜外導管(epidural catheter)? 6
產前照護與分娩27 / 32
【115-1 醫學(六) 第31題】剖腹產時,下列何者不列為優先考慮做縱向子宮切開(classical incision)的情況?
產前照護與分娩28 / 32
【115-1 醫學(六) 第32題】依照圖中胎兒的方向,當肩難產發生時,小明是接生醫師,下列敘述何者最不適當?

產前照護與分娩29 / 32
【115-1 醫學(六) 第36題】關於生產中 operative vaginal delivery,vacuum 使用時機及注意事項,下列敘述何者錯誤?
產前照護與分娩30 / 32
【115-1 醫學(六) 第38題】衛生福利部國民健康署建議孕婦於第 35 至 37 週懷孕期間接受生殖道乙型鏈球菌(group B Streptococcus, GBS)菌落篩檢,針對下列何種情況最不建議進行臨產期抗生素預防性投藥?
產前照護與分娩31 / 32
【115-1 醫學(六) 第79題】孕婦於初次產檢時,告知醫師其過去曾經懷孕生產過一子,但先生不知情,請求醫師隱匿相關病情,下列做法何者最適當?
胎兒醫學與監測32 / 32
【115-1 醫學(六) 第33題】有關胎兒的敘述,下列何者正確?