【107-2 醫學(六) 第40題】造成產後出血的原因,下列何者最常見?
詳解
破題關鍵
產後出血最常見的原因就是子宮沒力氣收縮。
選項拆解
登入查看完整詳解與互動作答
共 35 題(登入後可互動作答與查看詳解)
【107-2 醫學(六) 第40題】造成產後出血的原因,下列何者最常見?
詳解
破題關鍵
產後出血最常見的原因就是子宮沒力氣收縮。
選項拆解
登入查看完整詳解與互動作答
【107-2 醫學(六) 第42題】34歲G2P1孕婦,妊娠25週被診斷為子癇前症(preeclampsia),現妊娠31週主訴近3天來常感呼吸急促 (shortness of breath),且無法平躺,經基層診所轉診至醫院急診。理學檢查血壓 158/96 mmHg,體重較 2週前增加4 kg,尿蛋白4+。此時的最優先處置為:
詳解
破題關鍵
子癇前症合併呼吸急促,要先排除肺水腫這個危險狀況。
選項拆解
登入查看完整詳解與互動作答
【107-2 醫學(六) 第43題】有關流產敘述,下列何者錯誤?
詳解
破題關鍵
先兆性流產的重點是「有機會保住」,不是一定會流產。
選項拆解
登入查看完整詳解與互動作答
【107-2 醫學(六) 第77題】一位25歲女性,今早開始下腹疼痛逐漸加劇,並有陰道出血的情形,來急診就診時,生命徵象如下:血壓 80/40 mmHg,脈搏130次/分鐘,呼吸22次/分鐘,體溫36.5℃。過去並無特殊病史,最後一次正常月經約7 週以前,下列處置何者較不適當?
詳解
破題關鍵
年輕女性、停經、下腹痛、陰道出血,加上休克生命徵象,首先要想到子宮外孕破裂。處理低血容性休克要先穩定生命徵象,電擊是針對心律不整導致血流動力學不穩定,不是針對低血容性休克引起的竇性頻脈。
選項拆解
登入查看完整詳解與互動作答
【107-2 醫學(六) 第78題】一位25歲懷孕22週婦女,被家人發現意識改變,送至急診時,已無呼吸、無脈搏,下列敘述及處置,何者錯誤?
詳解
破題關鍵
懷孕婦女CPR時,為了避免子宮壓迫下腔靜脈,要讓子宮偏離中線,但不是完全側躺,而是稍微左傾或將右臀部墊高,以維持壓胸效果。
選項拆解
登入查看完整詳解與互動作答

詳解
破題關鍵
這題的關鍵在於病患的症狀:陰道排出「黃色屎狀分泌物」和「氣體」,加上過去有「會陰四度撕裂傷」及「傷口感染」的病史。圖片中可見陰道後壁有不正常的開口,這些都指向直腸陰道瘻管。
選項拆解
登入查看完整詳解與互動作答
【107-2 醫學(六) 第55題】關於下尿路的神經支配,下列敘述何者最為正確?
詳解
破題關鍵
下尿路的神經支配分為交感、副交感和體神經,各自負責不同的功能和路徑。
選項拆解
登入查看完整詳解與互動作答
【107-2 醫學(六) 第33題】下列何者不是上皮性卵巢癌?
詳解
破題關鍵
卵巢腫瘤主要分為上皮性、生殖細胞性、性索間質性三大類。
選項拆解
登入查看完整詳解與互動作答
【107-2 醫學(六) 第34題】對於第二型子宮內膜癌(type II endometrial cancer)的特徵之敘述,下列何者較適當?①常與雌激素過度刺激無關 ②多為low grade endometrioid type 的病理形態 ③多為停經以後的年長女性 ④預後通常比第一型子宮內膜癌差 ⑤常與子宮內膜增生有關(endometrial hyperplasia)
詳解
破題關鍵
區分 Type I 和 Type II 子宮內膜癌的特徵,主要看是否與雌激素相關、病理類型和預後。
選項拆解
登入查看完整詳解與互動作答
【107-2 醫學(六) 第35題】朱女士60歲,食慾不振有1個月之久,曾到腸胃科求治,因超音波檢查發現大量腹水,血中CA-125 高達 1020 U/mL,於是轉至婦科。陰道超音波檢查發現除腹水外,子宮及卵巢屬正常範圍,經一系列檢查,初步診斷為腹膜癌(peritoneal serous papillary carcinoma)。下列敘述何者錯誤?
詳解
破題關鍵
腹膜癌 (Peritoneal serous papillary carcinoma) 的診斷標準是卵巢正常或僅輕微侵犯,且組織學與卵巢漿液性癌相似。
選項拆解
登入查看完整詳解與互動作答
【107-2 醫學(六) 第36題】Bowen's disease是那一個部位的疾病?
詳解
破題關鍵
Bowen's disease 在女性生殖道中,最常指的是外陰部的鱗狀細胞原位癌。
選項拆解
登入查看完整詳解與互動作答
【107-2 醫學(六) 第44題】骨盆腔或後腹腔(pelvic or retroperitoneal space)的淋巴結廓清術或取樣(lymph node dissection or sampling),在婦女生殖道癌症的手術,通常都要常規(routine)執行。下列何種腫瘤在初期時,例如 FIGO stage I and II,一般可省略淋巴結廓清術或取樣?
詳解
破題關鍵
子宮平滑肌肉瘤的擴散方式主要是血行或直接侵犯,淋巴轉移不常見。
選項拆解
登入查看完整詳解與互動作答
【107-2 醫學(六) 第45題】妊娠滋養細胞疾病(gestational trophoblastic disease)轉移到腦的治療,在沒有出血及壓迫性症狀的狀況下,下列何者是NETDC (New England Trophoblastic Disease Center [Dana-Farber Cancer Institute])所建議的優先治療方法?
詳解
破題關鍵
妊娠滋養細胞疾病轉移到腦部,通常需要多模式治療,化療和放療並用效果最好。
選項拆解
登入查看完整詳解與互動作答

詳解
破題關鍵
這題的解題核心在於辨識影像中「脂肪」和「鈣化」的特徵,這兩者是卵巢畸胎瘤最典型的影像學表現。
選項拆解
登入查看完整詳解與互動作答
【107-2 醫學(六) 第27題】20歲苗勒氏管不發育(müllerian agenesis)的女性患者接受腹腔鏡闌尾切除時,外科醫師在骨盆腔發現疑似子宮內膜異位症的病灶,下列何項敘述能合理解釋此情況?
詳解
破題關鍵
苗勒氏管不發育 (Müllerian agenesis) 患者沒有子宮,因此經血逆流和經血排出受阻的理論不適用,需考慮其他子宮內膜異位症的成因。
選項拆解
登入查看完整詳解與互動作答

詳解
破題關鍵
這位32歲女性的症狀(經痛、性交疼痛、非經期腹痛)高度懷疑是子宮內膜異位症,超音波影像顯示卵巢有囊腫,很可能是子宮內膜異位瘤(巧克力囊腫)。要確診子宮內膜異位症,最可靠的方法是直接看到病灶並取樣化驗,這就需要腹腔鏡檢查。
選項拆解
登入查看完整詳解與互動作答
【107-2 醫學(六) 第56題】下列何者是老年人造成頸部脊髓病變(cervical myelopathy)最常見的原因?
詳解
破題關鍵
老年人身體很多地方都會退化,脊椎也不例外,退化性病變是造成脊髓壓迫最常見的原因。
選項拆解
登入查看完整詳解與互動作答

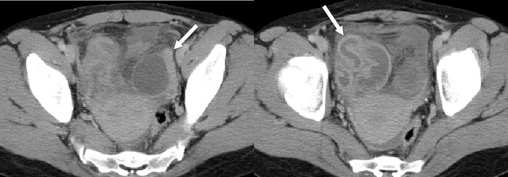
詳解
破題關鍵
這題的解題核心在於辨識電腦斷層影像中,箭頭所指的骨盆腔複雜性病灶,結合病人發燒和下腹痛的臨床症狀,判斷最可能的診斷。圖片中可見一個邊緣厚實、明顯強化的囊性病灶,內部有不均勻的液體或膿液,這是輸卵管卵巢膿瘍的典型影像特徵。
選項拆解
登入查看完整詳解與互動作答
【107-2 醫學(六) 第29題】子宮內膜會受荷爾蒙之影響而於超音波掃描下有所變化,下圖中那個超音波圖形,其內膜之變化顯示患者目前之生理情況,最接近於排卵日?
詳解
破題關鍵
這題的解題核心在於辨識子宮內膜在排卵期特有的「三線徵」(triple-line sign),圖片 C 清楚呈現了這個特徵。
選項拆解
登入查看完整詳解與互動作答
【107-2 醫學(六) 第30題】一對不孕的夫婦,在初診時,第一步該做的是:
詳解
破題關鍵
不孕症初診,最重要的就是「問診」,全面了解夫妻雙方的背景資訊。
選項拆解
登入查看完整詳解與互動作答
【107-2 醫學(六) 第32題】25歲女大學生,主訴半年無月經,病患主訴課業壓力大,外觀體毛細,皮膚偏黃,身高162公分,體重35公斤,關於此病患,下列敘述何者錯誤?
詳解
破題關鍵
嚴重體重過輕導致的閉經,問題出在下視丘,所以誘導排卵藥物效果不佳,根本治療是增重。
選項拆解
登入查看完整詳解與互動作答
【107-2 醫學(六) 第46題】關於排卵前LH surge的生理效應之敘述,下列何者錯誤?
詳解
破題關鍵
LH surge是排卵的關鍵信號,它會促進卵子成熟和濾泡破裂,並改變顆粒細胞的功能。
選項拆解
登入查看完整詳解與互動作答
【107-2 醫學(六) 第47題】關於胎兒性器官的分化之敘述,下列何者錯誤?
詳解
破題關鍵
AMH抑制的是Müllerian管,不是Wolffian管。
選項拆解
登入查看完整詳解與互動作答
【107-2 醫學(六) 第48題】高泌乳激素血症(hyperprolactinemia)出現的症狀,下列何者相關性最小?
詳解
破題關鍵
高泌乳激素血症的症狀主要與生殖和內分泌有關,噁心嘔吐不是典型症狀。
選項拆解
登入查看完整詳解與互動作答
【107-2 醫學(六) 第49題】有關試管嬰兒療程中,胚胎培養與植入的敘述,下列何者錯誤?
詳解
破題關鍵
胚胎後期培養基需要的是「必需胺基酸」,不是非必需胺基酸。
選項拆解
登入查看完整詳解與互動作答
【107-2 醫學(六) 第50題】依順序排列出精子成熟至受精的過程: ①頂體反應(acrosomal reaction) ②皮層反應(cortical reaction) ③獲能(capacitation) ④射精(ejaculation)
詳解
破題關鍵
精子要先離開身體,再獲得受精能力,然後才能進行受精過程。
選項拆解
登入查看完整詳解與互動作答
【107-2 醫學(六) 第51題】clomiphene通常對下列那一種排卵異常的不孕症患者,誘發排卵的效果較差?
詳解
破題關鍵
Clomiphene主要作用於下視丘,對於下視丘功能嚴重異常的患者效果不佳。
選項拆解
登入查看完整詳解與互動作答
【107-2 醫學(六) 第52題】卵子生成過程中,胚泡崩解(germinal vesicle breakdown, GVBD)現象出現,代表減數分裂的那一個階段?
詳解
破題關鍵
胚泡崩解是卵子從靜止狀態重新啟動減數分裂的標誌。
選項拆解
登入查看完整詳解與互動作答
【107-2 醫學(六) 第26題】如果子宮頸位置向前(anterior),其硬度中等(medium),薄度(effacement)40~50%,開口3~4公分,胎頭位於-1,其Bishop score是多少?
詳解
破題關鍵
準確計算Bishop score需要記住每個評分項目的標準。
選項拆解
- 子宮頸位置 (position) 向前 (anterior) → 2分
- 硬度 (consistency) 中等 (medium) → 1分
登入查看完整詳解與互動作答

詳解
破題關鍵
這題的解題核心在於辨識胎兒超音波影像中,小腦(cerebellum)的特殊形狀,它看起來扁平且向後彎曲,就像一根香蕉。
選項拆解
登入查看完整詳解與互動作答
【107-2 醫學(六) 第38題】40歲孕婦,G5P2AA2,再婚後意外懷孕。本次懷孕尚未接受過任何產檢,無家族病史,過去兩胎皆正常。 目前妊娠22週,至門診接受超音波檢查,由於該孕婦此胎並未接受羊膜穿刺及頸部透明帶母血唐氏症篩檢, 對於生出唐氏症寶寶相當焦慮。下列何者不是唐氏症產前超音波之特色指標(sonographic markers)?
詳解
破題關鍵
唐氏症 (Trisomy 21) 的產前超音波軟性指標。
選項拆解
登入查看完整詳解與互動作答
【107-2 醫學(六) 第39題】根據2013年美國婦產科醫學會(ACOG)的建議,將胎心音監測準則依嚴重程度分為三級,下列何者不是第三級胎心音(category III)異常?
詳解
破題關鍵
ACOG 胎心音監測三級分類的定義,特別是第三級的危險信號。
選項拆解
登入查看完整詳解與互動作答
【107-2 醫學(六) 第41題】胎心無壓力試驗(non-stress test)20分鐘檢查結果,有二次胎心加速大於基線胎心搏(baseline)15 bpm (beat per minute)以上,且持續15秒以上,可以判讀為:
詳解
破題關鍵
胎心無壓力試驗 (NST) 的「正常反應」就是胎兒心跳有兩次明顯加速。
選項拆解
登入查看完整詳解與互動作答
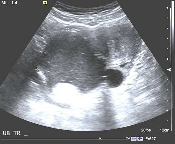
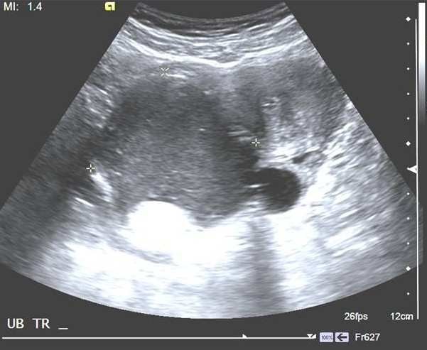
37歲孕婦,G1P0,妊娠36週,血壓180/110 mmHg,接受下列超音波檢查,如圖所示。則該檢查是:
詳解
登入後即可查看逐題解析與答題
【107-2 醫學(六) 第54題】承上題,正確的判讀為下列何者?
詳解
破題關鍵
媽媽血壓這麼高,胎盤功能通常會受影響,如果臍動脈血流波形異常,就代表胎兒可能缺氧,處於窘迫狀態。
選項拆解
登入查看完整詳解與互動作答