妊娠併發症1 / 30
【111-1 醫學(六) 第28題】25歲女性,G1P0,已12週無月經來潮卻於今日出現陰道大量出血而來急診就醫,尿液檢查發現懷孕試驗呈陽性,抽血檢驗發現血清β-人類絨毛膜刺激激素(β-subunit human chorionic gonadotropin, β-hCG)值為14,500 mIU/mL,內診及超音波發現已擴張的子宮頸口上可看到少數妊娠組織、大部分妊娠組織還留在子宮內,下列何種診斷及處理方式最為適當?
詳解
破題關鍵
陰道大量出血,子宮頸口已擴張,且大部分妊娠組織仍留在子宮內,代表流產正在進行但尚未完全排出。
選項拆解
-A:錯在「完全性流產」。此案例仍有大部分妊娠組織留在子宮內,不符合完全性流產的定義。
妊娠併發症2 / 30
【111-1 醫學(六) 第29題】下列何者不是子宮外孕使用methotrexate治療的禁忌症(contraindications)?
詳解
破題關鍵
Methotrexate是一種化療藥物,主要影響快速分裂的細胞,因此其禁忌症多與藥物毒性或代謝相關,而糖尿病通常不是直接禁忌。
選項拆解
-A:糖尿病。這不是methotrexate治療子宮外孕的禁忌症。
妊娠併發症3 / 30
【111-1 醫學(六) 第30題】32歲女性,G4P0,因少量陰道出血、左下腹微痛、自行驗孕呈陽性反應而來門診就醫,最後一次月經開始日為5週前,這位女性在本次懷孕之前已有兩次早期懷孕合併流產病史、最近的一次懷孕為子宮外孕並接受藥物 methotrexate注射治療,她從去年即開始準備懷孕且對這次的懷孕相當重視,非常擔心又會重複子宮外孕;在門診時,其血壓為120/82 mmHg、心跳每分鐘85下,腹部理學檢查正常、無異常疼痛,骨盆腔內診檢查亦無疼痛或腫塊發現,陰道超音波檢查結果:子宮腔內很乾淨、無妊娠囊、子宮內膜厚度2公分、雙側卵巢正常、 亦無子宮附屬器腫瘤或積液發現,第一次抽血檢驗結果:血清β-人類絨毛膜刺激激素(β-subunit human chorionic gonadotropin, β-hCG)值為 647 mIU/mL、血型Rh陽性,48小時後重複抽血檢驗結果:β-hCG值為873 mIU/mL。綜合這位女性病患的狀況,最適合她的下一步處置應為下列何者?
詳解
破題關鍵
在早期懷孕且子宮腔內未見妊娠囊,同時β-hCG值上升幅度不明顯時,最重要的是持續追蹤β-hCG的變化趨勢來判斷懷孕的進展。
選項拆解
-A:正確。在β-hCG值上升幅度不足但尚未達到超音波可見妊娠囊的閾值時,繼續追蹤β-hCG值是判斷懷孕進展最重要且最保守的下一步。
妊娠併發症4 / 30
【111-1 醫學(六) 第33題】根據2017年American College of Obstetricians and Gynecologists(ACOG),產後大出血的定義為:
詳解
破題關鍵
2017年ACOG對產後大出血的定義已更新,將出血量閾值提高。
選項拆解
-A:產後出血超過500 mL。這是舊的陰道生產後PPH定義,但2017年ACOG已更新為1000 mL。
-B:正確。根據2017年ACOG指南,產後大出血的定義是產後出血超過1000 mL。
妊娠併發症5 / 30
【111-1 醫學(六) 第34題】有關誘發產後大出血的子宮相關因素(uterine factor),下列敘述何者錯誤?
詳解
破題關鍵
誘發產後大出血的子宮相關因素主要是導致子宮收縮不良或胎盤附著異常的情況。雙角子宮本身通常不直接導致產後大出血,但可能與胎位不正或早產有關。
選項拆解
妊娠併發症6 / 30
【111-1 醫學(六) 第37題】依據The Hyperglycemia and Adverse Pregnancy Outcome Study(HAPO study),母體血糖值越高,與母體及新生兒的預後不佳有關,依上述研究下列何敘述錯誤?
詳解
破題關鍵
母體血糖高會讓胎兒胰島素分泌過多,出生後反而容易低血糖。
選項拆解
-A:錯在出生體重超過90個百分位。這是母體高血糖導致胎兒過度生長(fetal macrosomia)的常見表現,與預後不佳有關,所以敘述正確。
妊娠併發症7 / 30
【111-1 醫學(六) 第38題】一位診斷為嚴重型子癇前症的孕婦採用硫酸鎂(magnesium sulfate)溶液預防痙攣,其肝功能異常(較正常值上升3倍),腎功能正常且尿量每小時多達50毫升,下列處置何者最適當?
詳解
破題關鍵
硫酸鎂主要靠腎臟排出,肝功能異常不影響其劑量,重點是預防產後痙攣。
選項拆解
-A:錯在初始劑量(loading dose)4 克應減半。初始劑量通常是固定的,除非有嚴重的腎功能不全或鎂中毒跡象。此孕婦腎功能正常,肝功能異常不影響初始劑量。
妊娠併發症8 / 30
【111-1 醫學(六) 第77題】一位34歲女性,在生產結束後18小時開始大量出血,迅速被轉送至附近的醫學中心緊急處置。關於產後出血,下列何者最正確?
詳解
破題關鍵
產後大出血最常見的原因是子宮收縮不良,而催產素 (oxytocin) 是刺激子宮收縮的首選藥物。
選項拆解
婦科泌尿與生殖道異常9 / 30
【111-1 醫學(六) 第44題】有關女性生殖道器官先天性異常(Müllerian anomalies),下列敘述何者最不適當?
詳解
破題關鍵
苗勒氏管異常影響生殖道結構,但通常不影響卵巢功能和第二性徵發育。
選項拆解
-A:錯在約占原發性閉經(primary amenorrhea)20%的病例。這是正確的敘述。苗勒氏管異常是導致原發性閉經的常見原因之一。
婦科泌尿與生殖道異常10 / 30
【111-1 醫學(六) 第57題】目前臨床上應力性尿失禁的無張力吊帶手術,如:經閉孔吊帶手術(transobturator tape, TOT)或無張力陰道吊帶手術(tension-free vaginal tape, TVT)等,是將吊帶(polypropylene tape)置放在尿道下方何位置?
詳解
破題關鍵
無張力吊帶手術是為了支撐尿道中段,以改善應力性尿失禁。
選項拆解
-A:錯在位置。吊帶通常不放置在尿道膀胱頸處,因為那裡是膀胱和尿道的交界,過度支撐可能影響排尿功能。
-B:錯在位置。尿道近端(靠近膀胱頸)也不是主要放置位置。
婦科腫瘤11 / 30
【111-1 醫學(六) 第42題】有關兒童和青少女出現的卵巢腫瘤,下列敘述何者最不適當?
詳解
破題關鍵
兒童和青少女的卵巢腫瘤,惡性比例比成人高,不能輕忽。
選項拆解
-A:正確。兒童和青少女的卵巢腫瘤,其惡性的可能性相對較高,不能說「很低」。約有10-30%的兒童和青少女卵巢腫瘤是惡性的,這個比例比成年女性的卵巢腫瘤惡性率高。
婦科腫瘤12 / 30
【111-1 醫學(六) 第43題】根據FIGO子宮肌瘤分類系統,何種類型最適合用子宮鏡切除?
詳解
破題關鍵
子宮鏡切除最適合那些完全長在子宮腔內的肌瘤。
選項拆解
-A:正確。Type 0 肌瘤是完全位於子宮腔內且有蒂的黏膜下肌瘤(pedunculated intracavitary fibroid)。這種肌瘤最適合用子宮鏡切除,因為它完全暴露在子宮腔內,容易操作且風險最低。
婦科腫瘤13 / 30
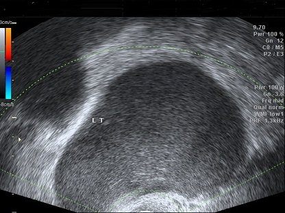
【111-1 醫學(六) 第45題】

一個30歲無性經驗女性來到門診,她主訴經痛已持續5年,長期使用止痛藥緩解症狀,此外她並無經血過多或頻尿之現象。她的經期剛結束,經安排婦科超音波檢查發現左側卵巢有一直徑約8x7公分的卵巢囊腫(如圖),下列何者為最可能的診斷?
婦科腫瘤14 / 30
【111-1 醫學(六) 第49題】30歲婦女,已結婚但未生小孩,抹片異常,內診僅發現子宮頸1 cm腫瘤,切片檢查結果為侵襲性鱗狀細胞癌 (invasive squamous cell carcinoma),基質侵襲深度為5 mm,骨盆腔電腦斷層及膀胱鏡檢查正常。依照FIGO staging(2018)該病人的子宮頸癌分期為:
詳解
破題關鍵
子宮頸癌分期最重要的是看腫瘤大小、侵犯深度,以及有沒有擴散到子宮以外。
選項拆解
-A:正確。腫瘤1公分,侵襲深度5毫米,符合FIGO 2018年版子宮頸癌分期IB1的定義。
婦科腫瘤15 / 30
【111-1 醫學(六) 第50題】關於卵巢癌治療,何時會使用neoadjuvant化學治療?
詳解
破題關鍵
Neoadjuvant化學治療的目的是「先縮小腫瘤」,讓後續手術更容易、更安全。
選項拆解
-A:正確。Neoadjuvant化療的關鍵目的就是為了讓原本難以切除的腫瘤變得可切除,或降低手術風險。
婦科腫瘤16 / 30
【111-1 醫學(六) 第51題】關於懷孕期間罹患子宮頸癌之敘述,下列何者正確?
詳解
破題關鍵
不論有沒有懷孕,癌症的「分期」永遠是判斷預後和決定治療最重要的因素。
選項拆解
-A:錯在發生率。懷孕時併有侵襲性子宮頸癌的發生率約為10萬分之1,而非5。
婦科腫瘤17 / 30
【111-1 醫學(六) 第52題】有關type I及type II之子宮內膜癌,下列敘述何者錯誤?
詳解
破題關鍵
Type I和Type II子宮內膜癌是兩種截然不同的類型,Type I通常預後較好,Type II預後較差。
選項拆解
婦科腫瘤18 / 30
【111-1 醫學(六) 第53題】Choriocarcinoma轉移部位最常見在何處?
詳解
破題關鍵
絨毛膜癌 (Choriocarcinoma) 是一種惡性度很高的滋養層細胞腫瘤,它最喜歡透過血液跑到肺部。
選項拆解
-A:正確。肺部是絨毛膜癌最常見的轉移部位,約有80%的病例會轉移到肺。
-B:錯在常見程度。陰道也是常見的轉移部位,但不如肺部普遍。
婦科良性疾病與感染19 / 30
【111-1 醫學(六) 第41題】40歲女性,月經經血量多導致貧血,經檢查發現患有子宮肌瘤,關於此病患的藥物治療選擇,下列何種藥物使用,比較不符合常規的治療?
詳解
破題關鍵
治療子宮肌瘤的藥物選擇,要考慮其效果、副作用和常規使用情況。
選項拆解
-A:錯在 Gonadotropin-Releasing Hormone Agonist。這類藥物可以有效縮小子宮肌瘤並減少經血量,是治療子宮肌瘤的常用藥物,但長期使用有骨質流失等副作用。
婦科良性疾病與感染20 / 30
【111-1 醫學(六) 第47題】關於細菌性陰道炎(bacterial vaginosis)的敘述,下列何者最適當?
詳解
破題關鍵
細菌性陰道炎是女性最常遇到的陰道感染問題。
選項拆解
-A:錯在需氧菌(aerobes)過度增生的結果。細菌性陰道炎是厭氧菌(anaerobes)過度增生的結果,而非需氧菌。
婦科良性疾病與感染21 / 30
【111-1 醫學(六) 第48題】對於沒有服用荷爾蒙的停經後婦女,下列何者為子宮異常出血最常見的原因?
詳解
破題關鍵
停經後沒有荷爾蒙補充的異常出血,最常見的原因是缺乏雌激素導致組織萎縮。
選項拆解
-A:錯在子宮內膜癌。子宮內膜癌是停經後出血最嚴重的診斷,必須排除,但它不是最常見的原因。
生殖內分泌與不孕22 / 30
【111-1 醫學(六) 第54題】有關卵巢功能(ovarian reserve)的敘述,下列何者錯誤?
詳解
破題關鍵
AMH數值越高越好,2 ng/mL通常被認為是正常的卵巢功能,甚至偏好。
選項拆解
-A:正確。AMH的濃度在月經週期中波動不大,因此可以在月經任何一天抽血檢驗,方便評估卵巢功能。
生殖內分泌與不孕23 / 30
【111-1 醫學(六) 第55題】雄性素(androgen)及雌激素(estrogen)是影響生育功能的重要激素,下列關於性激素的敘述何者錯誤?
詳解
破題關鍵
停經後,卵巢功能大幅下降,雌激素和雄性素的分泌都會減少。
選項拆解
-A:正確。雄性素(如androstenedione和testosterone)是雌激素(如estrone和estradiol)的前驅物,在芳香酶 (aromatase) 的作用下可以轉化為雌激素。
生殖內分泌與不孕24 / 30
【111-1 醫學(六) 第56題】下列何種方式,不適合用來判斷病患是否有排卵?
詳解
破題關鍵
判斷排卵的關鍵是看「排卵前」或「排卵後」的變化,月經第五天太早了。
選項拆解
-A:正確。基礎體溫升高是排卵後黃體素分泌的間接證據,可以判斷是否有排卵。
產前照護與分娩25 / 30
【111-1 醫學(六) 第31題】一位38歲孕婦妊娠35週產檢時發現有妊娠高血壓,做胎兒生理評估(fetal biophysical profile)檢查為10分, 臨床上應如何處置?
詳解
破題關鍵
妊娠高血壓在35週時,若胎兒生理評估 (BPP) 滿分 (10分),表示胎兒目前狀況良好,不需立即引產或剖腹。
選項拆解
-A:正確。胎兒生理評估10分代表胎兒狀況良好,35週仍屬早產,應繼續觀察並定期追蹤胎兒狀況,避免不必要的提早分娩。每週一次BPP是合理的追蹤頻率。
產前照護與分娩26 / 30
【111-1 醫學(六) 第32題】下列何者不是剖腹產的適應症?
詳解
破題關鍵
陰道乙型鏈球菌陽性是需要預防性抗生素治療的適應症,而不是剖腹產的適應症。
選項拆解
-A:胎兒窘迫。正確。胎兒窘迫是剖腹產的常見適應症,因為需要快速分娩以挽救胎兒。
-B:產程遲滯。正確。產程遲滯表示陰道生產無法順利進行,可能需要剖腹產。
產前照護與分娩27 / 30
【111-1 醫學(六) 第36題】有關單胞胎臀位陰道產之敘述,下列何者錯誤?
詳解
破題關鍵
前胎剖腹產並非臀位陰道產的絕對禁忌症,而是相對禁忌症,需要綜合評估。
選項拆解
-A:足月時,臀位之機率為3~4%。正確。這是臀位在足月時的發生率。
產前照護與分娩28 / 30
【111-1 醫學(六) 第78題】李小姐是某大學的大一學生,聖誕節過後發現自己不小心懷孕了,到醫院希望醫師幫她進行人工流產。因為李小姐未滿20歲,醫師希望她能夠取得爸媽的同意書後才為她進行人工流產。李小姐偽造爸媽簽名的同意書給醫師,醫師發現李小姐有些緊張,詢問此爸媽的同意書是誰簽的,李小姐很誠實的告訴醫師同意書是她自己簽的。如果你是她的醫師,如何處理最適當?
詳解
破題關鍵
未成年人進行人工流產,法律規定需要法定代理人同意,偽造簽名是違法的行為。
選項拆解
-A:錯在「已經具有相當的理解及判斷能力」不能取代法律規定的法定代理人同意。法律對未成年人有明確規範。
胎兒醫學與監測29 / 30
【111-1 醫學(六) 第35題】關於絨毛膜取樣,下列敘述何者錯誤?
詳解
破題關鍵
絨毛膜取樣 (CVS) 的最佳時機通常在懷孕10-14週,過早進行會增加肢體發育異常的風險。
選項拆解
-A:夫妻如有家族遺傳性疾病者,選擇絨毛膜取樣,可較早得到診斷。正確。這是CVS的主要優點之一,能讓高風險家庭提早獲得診斷。
胎兒醫學與監測30 / 30
【111-1 醫學(六) 第39題】導致雙胞胎輸血症(Twin-Twin Transfusion Syndrome, TTTS)的最主要胎盤血管異常為:
詳解
破題關鍵
雙胞胎輸血症的關鍵是胎盤血管「單向」吻合,導致血液不平衡。
選項拆解