【109-1 醫學(六) 第30題】下列那一種方式不是處理肩難產的方法?
詳解
破題關鍵
肩難產時,對子宮底施壓 (fundal pressure) 會使胎兒肩膀更卡住,是禁忌。
選項拆解
登入查看完整詳解與互動作答
共 36 題(登入後可互動作答與查看詳解)
【109-1 醫學(六) 第30題】下列那一種方式不是處理肩難產的方法?
詳解
破題關鍵
肩難產時,對子宮底施壓 (fundal pressure) 會使胎兒肩膀更卡住,是禁忌。
選項拆解
登入查看完整詳解與互動作答
【109-1 醫學(六) 第35題】婦科手術後,若有敗血症(septicemia)引起alveolar-capillary membrane的微血管側受損,使肺部微血管通透性增加,而造成肺部的併發症,稱為:
詳解
破題關鍵
敗血症導致肺部微血管通透性增加,造成肺部嚴重發炎和水腫,就是急性呼吸窘迫症候群的典型表現。
選項拆解
登入查看完整詳解與互動作答
【109-1 醫學(六) 第41題】妊娠28週的雙胞胎,常規超音波檢查發現,雙胞胎A預估體重1,200公克,雙胞胎B預估體重750公克;雙胞胎 A為羊水過多(polyhydramnios),雙胞胎B則為羊水稀少(oligohydramnios)。關於此一雙胞胎妊娠的超音波影像敘述,下列何者正確?
詳解
破題關鍵
題目描述的是雙胞胎輸血症候群 (Twin-to-twin transfusion syndrome, TTTS) 的典型表現。理解捐贈者 (donor) 和受贈者 (recipient) 的生理特徵。
選項拆解
登入查看完整詳解與互動作答
【109-1 醫學(六) 第42題】32歲G1P0孕婦,妊娠29週被診斷為子癇前症(preeclampsia),現妊娠35週主訴近3天來常感頭暈前來求診。 理學檢查,血壓 172/116 mmHg,體重較兩週前增加3 kg,尿蛋白3+;超音波檢查預估胎兒體重1,900公克, 有不規則子宮收縮。此時的最佳處置為:
詳解
破題關鍵
判斷子癇前症的嚴重程度,以及在妊娠 35 週時,嚴重子癇前症的處理原則。
選項拆解
登入查看完整詳解與互動作答
【109-1 醫學(六) 第44題】有關早期懷孕的敘述,下列何者錯誤?
詳解
破題關鍵
比較子宮外孕兩種治療方式 (MTX vs. Salpingostomy) 對未來再次外孕風險的影響。
選項拆解
登入查看完整詳解與互動作答
【109-1 醫學(六) 第77題】下列何者非子癲前症(pre-eclampsia)典型的臨床徵候?
詳解
破題關鍵
子癲前症的診斷重點在於血壓高、尿蛋白,跟血糖沒有直接關係。
選項拆解
登入查看完整詳解與互動作答
【109-1 醫學(六) 第34題】下列那一種urinary incontinence於女性最常見?
詳解
破題關鍵
女性因為懷孕、生產和更年期等因素,骨盆底肌肉容易鬆弛,導致腹壓增加時漏尿。
選項拆解
登入查看完整詳解與互動作答

詳解
破題關鍵
這題考的是腹腔鏡 Burch colposuspension 手術中,辨識 Cooper's ligament 的位置。圖片中,Cooper's ligament 是用來固定縫線以懸吊陰道旁筋膜的堅韌結構。
選項拆解
登入查看完整詳解與互動作答
【109-1 醫學(六) 第39題】王女士,48歲,過去除自然生產兩次外無特殊疾病史,因陰道大量出血至急診求診,經內診發現子宮頸有一7 公分腫瘤,切片證實為子宮頸鱗狀上皮癌,腫瘤範圍至下1/3陰道後壁,子宮旁組織柔軟無侵犯跡象,胸部X 光正常,腎盂攝影並無顯示腎盂或輸尿管水腫,電腦斷層未見淋巴結腫大,依據目前國際婦產科聯盟 (International Federation of Gynecology and Obstetrics, FIGO)分期,王女士子宮頸癌臨床期別為何?
詳解
破題關鍵
根據 FIGO 子宮頸癌分期標準,腫瘤侵犯到陰道下 1/3 是哪個期別的特徵?
選項拆解
登入查看完整詳解與互動作答
【109-1 醫學(六) 第46題】關於卵巢上皮癌(epithelial ovarian cancer)的敘述,下列何者最不適當?
詳解
破題關鍵
了解不同類型卵巢上皮癌的病理特徵、相關疾病和預後。特別是沙狀瘤體 (psammoma body) 的意義。
選項拆解
登入查看完整詳解與互動作答
【109-1 醫學(六) 第47題】有關非上皮性卵巢癌的病理敘述如下:The large round, ovoid, or polygonal cell have abundant, clear, vary-palestaining cytoplasm, large and irregular nuclei, and prominent nucleoli,為那種腫瘤的診斷?
詳解
破題關鍵
這種「大而圓、卵圓形或多邊形細胞,胞漿豐富清澈,細胞核大而不規則,核仁明顯」的病理描述,是無性胚胎瘤的經典特徵。
選項拆解
登入查看完整詳解與互動作答
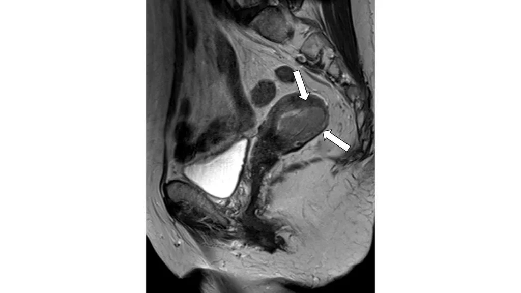
80歲女性,下腹部磁振造影檢查(T2WI)呈現如圖,箭號所指之敘述何者最正確?
詳解
登入後即可查看逐題解析與答題
【109-1 醫學(六) 第9題】外科加護病房的術後病人,第二天早上嘗試脫離呼吸機(weaning),下列指標數值,何者最不適合考慮拔管?
詳解
破題關鍵
脫離呼吸器需要病人有足夠的呼吸肌力、肺功能和氧合能力,淺快呼吸指標 (RSBI) 越高代表呼吸越費力,越不適合拔管。
選項拆解
登入查看完整詳解與互動作答
【109-1 醫學(六) 第45題】31歲女性,長期為經痛所苦,疑似子宮內膜異位症(endometriosis),下列何者為確定診斷的方式?
詳解
破題關鍵
確定診斷子宮內膜異位症的「金標準」是什麼?
選項拆解
登入查看完整詳解與互動作答
【109-1 醫學(六) 第36題】無精蟲症是男性不孕症原因之一,如精液檢驗發現無精蟲症時,下列何者為最佳做法?
詳解
破題關鍵
任何異常的精液檢查結果,都必須至少重複檢查一次才能確診,並排除暫時性因素。
選項拆解
登入查看完整詳解與互動作答
【109-1 醫學(六) 第37題】有關無月經(amenorrhea)的敘述,下列何者錯誤?
詳解
破題關鍵
無月經的定義有明確的週期長度標準,不是簡單的兩個月。
選項拆解
登入查看完整詳解與互動作答
【109-1 醫學(六) 第38題】口服排卵藥clomiphene citrate,對下列何者一定無效?
詳解
破題關鍵
Clomiphene citrate (CC) 的作用機轉是什麼?它需要下視丘-腦下垂體-卵巢軸的哪個部分是正常的?
選項拆解
登入查看完整詳解與互動作答
【109-1 醫學(六) 第48題】關於卵巢週期與子宮內膜週期之敘述,下列何者錯誤?
詳解
破題關鍵
了解卵巢週期 (濾泡期、排卵、黃體期) 和子宮內膜週期 (月經期、增生期、分泌期) 之間的對應關係,以及各階段主要激素的作用。
選項拆解
登入查看完整詳解與互動作答
【109-1 醫學(六) 第49題】關於性激素(sex hormones)的類固醇合成(steroidogenesis)之敘述,下列何者錯誤?
詳解
破題關鍵
性激素合成的關鍵在於不同細胞受不同激素刺激,產生不同產物,且有先後順序。
選項拆解
登入查看完整詳解與互動作答
【109-1 醫學(六) 第50題】激素(hormones)的激發生理功能,必須先作用於受體(receptor)上,關於激素與受體之敘述,下列何者錯誤?
詳解
破題關鍵
判斷激素受體位置的關鍵在於激素的化學性質:蛋白質類激素作用於細胞膜,類固醇和甲狀腺激素作用於細胞內。
選項拆解
登入查看完整詳解與互動作答
【109-1 醫學(六) 第51題】關於GnRH(gonadotropin releasing hormone)之敘述,下列何者錯誤?
詳解
破題關鍵
GnRH是啟動生殖軸的總開關,它能同時影響FSH和LH的分泌。
選項拆解
登入查看完整詳解與互動作答
【109-1 醫學(六) 第52題】造成不孕症的原因,下列何者相對上發生不孕症狀的比率較少?
詳解
破題關鍵
不孕症的常見原因主要與排卵、輸卵管、精蟲和子宮內膜有關,子宮肌瘤影響程度相對較小。
選項拆解
登入查看完整詳解與互動作答
【109-1 醫學(六) 第53題】22歲尚未有性經驗的女生,因為近一年內體重不斷增加而求診。身高150公分,目前體重80公斤,過去的一年月經都延遲相當久才來,最長的一次達3個月。經腹部超音波量測竇室濾泡數(antral follicle count)為20,子宮內膜厚度為15 mm,目前沒有交往對象也尚無生育考量。下列建議何者最不合適?
詳解
破題關鍵
這位年輕女性的症狀高度懷疑是多囊性卵巢症候群(PCOS),治療應從生活習慣調整和改善代謝問題著手,而非直接給排卵藥。
選項拆解
登入查看完整詳解與互動作答
【109-1 醫學(六) 第54題】當女性處於月經週期的濾泡期(follicular phase),hormone X的增加會負回饋抑制FSH的分泌;持續高濃度的 hormone Y可誘發LH surge;hormone Z促使primary oocyte轉變成secondary oocyte。下列敘述何者正確?
詳解
破題關鍵
月經週期中,雌激素在不同濃度下扮演的角色不同:低濃度時負回饋抑制FSH,高濃度時正回饋誘發LH surge。
選項拆解
登入查看完整詳解與互動作答
【109-1 醫學(六) 第55題】下列何者為不需取卵的人工輔助生殖技術?
詳解
破題關鍵
人工輔助生殖技術中,是否需要「取卵」是區分技術類型的關鍵。
選項拆解
登入查看完整詳解與互動作答
【109-1 醫學(六) 第60題】男性之反射性勃起(reflexogenic erection),是指男性外陰部受外感性刺激所引起,其由何者控制?
詳解
破題關鍵
反射性勃起主要由副交感神經系統控制,其神經來源是脊髓的薦椎段。
選項拆解
登入查看完整詳解與互動作答
【109-1 醫學(六) 第28題】經由病史詢問得知某女性患者曾懷孕過兩次,但這兩次懷孕都因為自然流產而終止妊娠。下列何者最適合用於描繪她的情況?
詳解
破題關鍵
判斷「產次 (para)」的關鍵是看懷孕週數是否超過20週或胎兒體重是否超過500克,流產不計入產次。
選項拆解
登入查看完整詳解與互動作答
【109-1 醫學(六) 第29題】羊水的酸鹼值(pH)最常介於那個酸鹼值(pH)區段?
詳解
破題關鍵
羊水是胎兒的體液環境,其pH值與血液接近,呈中性偏鹼。
選項拆解
登入查看完整詳解與互動作答
【109-1 醫學(六) 第31題】產後噴乳反射(milk ejection)是因何者引起?
詳解
破題關鍵
噴乳反射是靠一種「擠壓」乳腺的荷爾蒙。
選項拆解
登入查看完整詳解與互動作答
【109-1 醫學(六) 第67題】婦女懷孕時補充攝取以下那一種維生素,已被証實可有效降低生下的小孩罹患神經管缺損(neural tube defects)之機率?
詳解
破題關鍵
懷孕期間補充葉酸是預防神經管缺損的黃金準則。
選項拆解
登入查看完整詳解與互動作答
【109-1 醫學(六) 第78題】醫學研究中對於以兒童、孕婦、囚犯、精神病患為受試者的研究皆有比較嚴格的規範,主要是基於何種考量?
詳解
破題關鍵
這些族群因為特殊狀況,可能無法完全自主做決定,所以需要特別保護。
選項拆解
登入查看完整詳解與互動作答
35歲孕婦,G2P1,妊娠42週,催生前接受NST檢查(nonstress test),結果如圖所示: 其判讀為何?(提示:FM為胎動)
詳解
登入後即可查看逐題解析與答題
【109-1 醫學(六) 第33題】30歲女性,G1P0,妊娠36週,胎兒呼吸次數於30分鐘超音波監視下有五次,每次持續30秒以上,依胎兒生物生理計分法(biophysical profile),於胎兒呼吸分項下得分為何?
詳解
破題關鍵
胎兒生物物理計分法 (BPP) 中,胎兒呼吸的滿分標準是至少一次持續30秒以上的呼吸動作。
選項拆解
登入查看完整詳解與互動作答
【109-1 醫學(六) 第40題】28歲孕婦,G1P0,無家族病史,目前懷孕12週,經與婦產科醫師諮詢後,決定接受第一孕期母血唐氏症篩檢 (first-trimester maternal serum Down screen),因而接受抽血檢驗及超音波檢查。下列何者不是第一孕期母血唐氏症篩檢所包含之項目?
詳解
破題關鍵
區分第一孕期和第二孕期唐氏症篩檢的組成項目。
選項拆解
登入查看完整詳解與互動作答
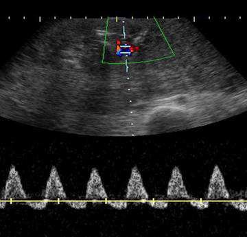
24歲孕婦,G3P0,妊娠38週,接受胎兒杜卜勒超音波檢查,結果如圖所示,檢查名稱為何?
詳解
登入後即可查看逐題解析與答題
【109-1 醫學(六) 第57題】承上題,最可能的檢查結果為下列何者?
詳解
破題關鍵
在胎兒臍動脈血流檢查中,舒張末期血流逆轉 (reversed end-diastolic velocity) 是胎盤功能嚴重不足,胎兒處於極度危險的徵象。
選項拆解
登入查看完整詳解與互動作答