妊娠併發症1 / 36
【114-2 醫學(六) 第30題】急診送來一名下腹痛合併陰道出血的 36 歲女性,G2P1,上一胎是在三年前懷孕 38 週經陰道自然生產,目前這一次懷孕的週數依最後一次月經開始日計算約為懷孕 8 週。病患到急診時臉色蒼白、不論站或坐均感到頭昏眼花,體溫 37°C、脈搏每分鐘 110 下、呼吸每分鐘 18 次、血壓 86/50 mmHg,腹部理學檢查發現:腹部明顯壓痛合併反彈痛,骨盆腔理學檢查發現:少量陰道出血、右側子宮附屬器明顯脹痛,尿液懷孕測試呈陽性反應,骨盆腔超音波檢查發現:右側子宮附屬器子宮外孕、且骨盆腔中已有大量積液,抽血發現血比容 (hematocrit)27%,依此病患的狀況,下列何者為在急診最適當的下一步處置?
詳解
破題關鍵
病患出現休克症狀 (血壓低、心跳快、頭暈、臉色蒼白) 且超音波顯示子宮外孕合併大量腹腔積液,這表示有內出血,必須緊急手術。
選項拆解
妊娠併發症2 / 36
【114-2 醫學(六) 第37題】妊娠糖尿病常合併羊水過多(hydramnios),下列何者為較有可能之原因?
詳解
破題關鍵
妊娠糖尿病導致羊水過多的核心機轉是胎兒高血糖引起的滲透壓效應。
選項拆解
-A:因母體高血糖致內皮細胞滲漏並非導致羊水過多的主要原因。羊水過多主要與胎兒的尿液產生和羊水成分的滲透壓有關。
妊娠併發症3 / 36
【114-2 醫學(六) 第38題】對妊娠糖尿病孕婦的飲食建議,下列敘述何者錯誤?
詳解
破題關鍵
飲食控制的目標是「平衡」和「適量」,而不是「越低越好」。
選項拆解
-A:平均每天卡路里應攝取 30~35 kcal/公斤是妊娠糖尿病孕婦的飲食建議之一,這是一個合理的能量攝取範圍,但具體數值需根據孕婦的體重、活動量和孕期階段進行個體化調整。
妊娠併發症4 / 36
【114-2 醫學(六) 第39題】過期妊娠(postterm pregnancy)導致不良妊娠結局(adverse pregnant outcome)不包括下列那一情況?
詳解
破題關鍵
過期妊娠的胎盤功能會下降,導致羊水減少,而非增加。
選項拆解
-A:錯在過期妊娠通常會導致羊水過少(oligohydramnios),而非羊水過多(polyhydramnios)。胎盤功能下降會減少羊水的產生。
妊娠併發症5 / 36
【114-2 醫學(六) 第76題】關於流產的敘述,下列何者最適當?
詳解
破題關鍵
流產的分類重點在於子宮頸是否擴張、組織是否排出以及是否還有殘留物。
選項拆解
婦科泌尿與生殖道異常6 / 36
【114-2 醫學(六) 第28題】子宮由多條韌帶(ligaments)連接,下列何者除外?
詳解
破題關鍵
子宮的韌帶主要負責固定子宮在骨盆腔內,而 Cooper's ligament 則是乳房的懸韌帶。
選項拆解
-A:錯在「Cooper's ligament」。Cooper's ligament 是乳房的懸韌帶,負責支持乳房組織,與子宮的連接無關。
婦科泌尿與生殖道異常7 / 36
【114-2 醫學(六) 第44題】下列關於女性生殖道異常的敘述,何者錯誤?
詳解
破題關鍵
雙側腎發育不全的胎兒通常無法存活至成年。
選項拆解
-A:正確。生殖道與泌尿系統在胚胎發育上密切相關,因此常合併異常。
-B:正確。馬蹄腎的發生率約為 1/400 到 1/600,選項中的 1/600 是合理的範圍。
婦科泌尿與生殖道異常8 / 36
【114-2 醫學(六) 第57題】陰道生產容易造成骨盆底鬆弛,導致女性生殖道脫垂與應力性尿失禁的發生率比男性高。下列敘述何者正確?
詳解
破題關鍵
陰道生產對骨盆底的傷害是累積性的,次數越多,風險越高。
選項拆解
-A:正確。每次陰道生產都會對骨盆底造成程度不一的損傷,產次越多,累積的傷害越大,導致骨盆底結構鬆弛,脫垂的風險自然增加。
婦科泌尿與生殖道異常9 / 36
【114-2 醫學(六) 第59題】有關脊髓損傷病人之慢性神經性疼痛(neuropathic pain),下列敘述何者最不適當?
詳解
破題關鍵
脊髓損傷後的疼痛類型很多,幻肢痛通常指截肢後感覺到失去肢體的疼痛。
選項拆解
-A:正確。異態痛感 (allodynia) 是神經性疼痛的典型表現之一,指對正常情況下不會引起疼痛的刺激(如輕觸)產生疼痛感。
婦科腫瘤10 / 36
【114-2 醫學(六) 第40題】下列何者不是婦產科腹腔鏡手術常見的併發症?
詳解
破題關鍵
婦產科腹腔鏡手術的常見併發症,通常與骨盆腔器官或穿刺路徑有關。
選項拆解
-A:錯在「liver injury」。肝臟損傷在婦產科腹腔鏡手術中不屬於常見併發症,因為手術主要集中在骨盆腔。
婦科腫瘤11 / 36
【114-2 醫學(六) 第41題】對於機器人手術(robotic surgery)的手術適應症,下列敘述何者最不適當?
詳解
破題關鍵
機器人手術在婦科癌症的應用主要集中在早期癌症,對於局部晚期癌症的治療選擇需更謹慎。
選項拆解
-A:子宮肌瘤手術(myomectomy)是機器人手術的常見適應症之一,尤其對於多發性或較大的肌瘤,機器人手術能提供精確的剝離和縫合。
婦科腫瘤12 / 36
【114-2 醫學(六) 第47題】一位 13 歲女生因腹脹就醫,超音波檢查發現骨盆腔有一個 12 公分複雜性腫瘤;血液檢驗 AFP 586 ng/mL, 最可能的診斷是:
詳解
破題關鍵
年輕女性骨盆腔腫瘤合併 AFP 大幅升高,最要考慮的是卵巢內胚竇瘤。
選項拆解
-A:錯在腫瘤標記。無性細胞瘤 (Dysgerminoma) 主要的腫瘤標記是 LDH,而非 AFP。
婦科腫瘤13 / 36
【114-2 醫學(六) 第49題】下列有關卵巢未成熟畸胎瘤(immature teratoma)的處置,何者不適當?
詳解
破題關鍵
現代醫學對於卵巢生殖細胞瘤,若腫瘤標記正常且影像學無異常,通常不需常規進行二次剖腹探查。
選項拆解
-A:正確。對於停經前的患者,若為早期未成熟畸胎瘤,通常會進行單側卵巢切除術和保留生育能力的分期手術,以維持生育功能。
婦科腫瘤14 / 36
【114-2 醫學(六) 第50題】一位 52 歲女性因停經後出血發現子宮內膜癌,回顧其家族史發現有乳癌及大腸癌病史,因此考慮進行遺傳諮詢。此家族最有可能有下列那種遺傳性疾病?
詳解
破題關鍵
家族史中同時有子宮內膜癌、乳癌和大腸癌,最符合林奇症候群的特徵。
選項拆解
-A:錯在癌症類型。BRCA2 基因突變主要與乳癌和卵巢癌的風險增加有關,較少與子宮內膜癌和大腸癌直接相關。
婦科腫瘤15 / 36
【114-2 醫學(六) 第51題】對於子宮頸癌手術後骨盆淋巴結陽性者(positive pelvic lymph nodes),下列有關輔助性放射治療 (adjuvant radiation)之敘述何者正確?
詳解
破題關鍵
子宮頸癌術後輔助性放射治療主要目的是控制局部病灶,減少骨盆腔復發。
選項拆解
婦科腫瘤16 / 36
【114-2 醫學(六) 第52題】關於子宮內膜癌的不良預後因子,下列敘述何者錯誤?
詳解
破題關鍵
肥胖是子宮內膜癌的「危險因子」,但不是診斷後影響「預後」的因子。
選項拆解
-A:正確。年紀大 (>60 歲) 的患者通常預後較差,可能與腫瘤生物學行為更具侵襲性或合併其他疾病有關。
婦科腫瘤17 / 36
【114-2 醫學(六) 第53題】關於子宮頸腺癌(adenocarcinoma)的敘述,下列何者正確?
詳解
破題關鍵
子宮頸腺癌和鱗狀上皮細胞癌在治療上,尤其在早期,有許多相似之處。
選項拆解
-A:正確。子宮頸腺癌和鱗狀上皮細胞癌在治療原則上,尤其在早期,都以手術切除或放射治療為主,處理方式大致相似。
婦科良性疾病與感染18 / 36
【114-2 醫學(六) 第42題】子宮鏡可提供治療性的手術選擇(operative hysteroscopy)。下列何者較少考慮使用子宮鏡來治療?
詳解
破題關鍵
子宮鏡手術主要針對「突入子宮腔」的肌瘤。
選項拆解
-A:FIGO 子宮肌瘤分期 Type 0,指肌瘤完全位於子宮腔內,是子宮鏡手術最理想的適應症。
-B:FIGO 子宮肌瘤分期 Type 1,指肌瘤大部分位於子宮腔內,也是子宮鏡手術的良好適應症。
婦科良性疾病與感染19 / 36
【114-2 醫學(六) 第45題】濕檢視(wet mount smear)最無法辨認下列何者?
詳解
破題關鍵
濕檢視主要看的是細胞和黴菌,細菌則是要看有沒有特別的形態或數量變化。
選項拆解
-A:錯在正常陰道表面上皮細胞。濕檢視可以清楚看到陰道上皮細胞,這是判斷陰道環境的重要依據。
婦科良性疾病與感染20 / 36
【114-2 醫學(六) 第46題】下列那兩種型別的人類乳突瘤病毒(human papillomavirus),是造成外陰部生殖疣(genital warts)最常見的原因?
詳解
破題關鍵
記住兩種最常見的 HPV 型別,一種引起菜花,一種引起癌症。
選項拆解
-A:正確。HPV 6 和 HPV 11 是最常見的低風險型 HPV,它們導致了約 90% 的外陰部生殖疣(genital warts),俗稱「菜花」。
婦科良性疾病與感染21 / 36
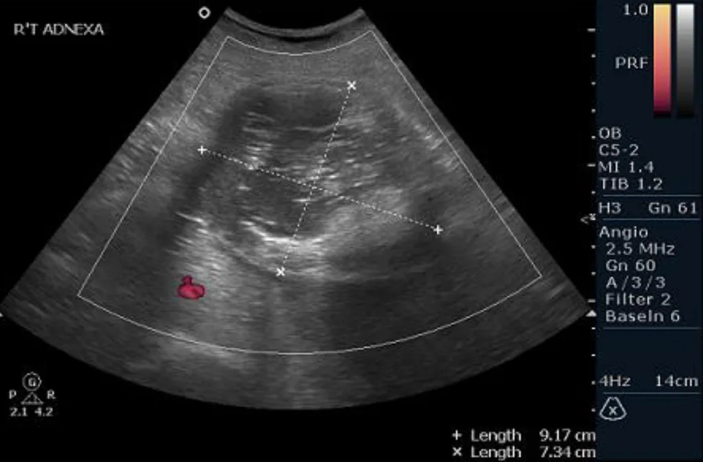
【114-2 醫學(六) 第48題】30 歲女性,在健康檢查時,意外在骨盆超音波下,發現如圖所示之腫塊,最有可能的診斷為何?

詳解
破題關鍵
這張骨盆超音波影像顯示一個右側卵巢的複雜性囊腫,其內部有明顯的混合回音,包含高回音的實質成分伴隨後方聲影,這是畸胎瘤(dermoid cyst)的典型特徵,常被稱為「冰山一角」(tip of the iceberg)或「皮樣栓」(dermoid plug)徵象。
選項拆解
婦科良性疾病與感染22 / 36
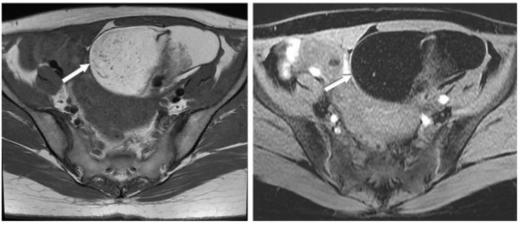
【114-2 醫學(六) 第74題】一位年輕女性接受磁振造影檢查發現卵巢腫瘤如圖,箭號所指之病灶,下列何者為最恰當之診斷?

詳解
破題關鍵
這道題的解題核心在於辨識磁振造影(MRI)影像中卵巢腫瘤特有的「脂肪訊號」,這是畸胎瘤最典型的影像學特徵。圖片中左側影像顯示病灶內部有高訊號(亮白色)區域,而右側影像在脂肪抑制序列下,這些區域訊號變暗,明確指出病灶含有脂肪成分。
選項拆解
生殖內分泌與不孕23 / 36
【114-2 醫學(六) 第43題】有關 Kallmann 氏症候群(Kallmann syndrome),下列敘述何者最不適當?
詳解
破題關鍵
Kallmann syndrome 是「性腺功能低下症」,其根本問題在於腦部下視丘無法分泌 GnRH,導致下游的 FSH 和 LH 也會低。
選項拆解
生殖內分泌與不孕24 / 36
【114-2 醫學(六) 第54題】試管嬰兒療程中,下列何者不是造成卵巢過度刺激症候群(ovarian hyperstimulation syndrome, OHSS)的危險因子?
詳解
破題關鍵
卵巢過度刺激症候群 (OHSS) 的危險因子是卵巢反應過度,AMH 2 ng/mL 代表卵巢功能正常,不是過度。
選項拆解
-A:正確。多囊性卵巢症候群 (PCOS) 患者因卵巢內有大量小濾泡,對促排卵藥物反應敏感,是 OHSS 的高危險因子。
生殖內分泌與不孕25 / 36
【114-2 醫學(六) 第55題】關於罹患更年期症候群之停經婦女,為避免荷爾蒙所造成的風險,建議荷爾蒙補充的敘述何者正確?
詳解
破題關鍵
荷爾蒙補充療法 (HRT) 有一個「治療黃金期」,在這個時間點開始治療,效益最大且風險最低。
選項拆解
-A:錯在年齡和停經時間。60 歲以上或停經時間滿 10 年以上,通常不建議開始荷爾蒙補充療法,因為此時風險可能大於益處。
生殖內分泌與不孕26 / 36
【114-2 醫學(六) 第56題】51 歲 G3P3 的女性,因為月經半年沒來而求診,身體熱潮的情形嚴重,影響睡眠品質,且已經造成日間工作的困擾。又沒有慢性疾病,目前也沒有服用藥物,但有考慮開始接受荷爾蒙療法(hormone therapy)。在分析治療的好處和風險時,應該告知荷爾蒙療法會增加何項疾病的風險?
詳解
破題關鍵
荷爾蒙補充療法 (HRT) 最主要的風險之一是增加血栓形成的機會。
選項拆解
-A:錯在影響。荷爾蒙療法,特別是雌激素合併黃體素療法,通常被認為會「降低」大腸癌的風險,而非增加。
生殖內分泌與不孕27 / 36
【114-2 醫學(六) 第73題】34 歲女性子宮輸卵管攝影檢查呈現如圖,箭號所指之病灶,下列何者為最恰當之診斷?

詳解
破題關鍵
這張子宮輸卵管攝影(HSG)顯示左側輸卵管末端呈現明顯的囊狀擴張,且顯影劑無法溢流到腹腔,這是典型的輸卵管積水影像。
選項拆解
產前照護與分娩28 / 36
【114-2 醫學(六) 第7題】正常懷孕婦女在足月時期產生的生理變化與未懷孕時期相比,下列敘述何者最不適當?
詳解
破題關鍵
懷孕時,母體為了讓氧氣更容易給胎兒,血氧飽和曲線會右移,讓氧氣更容易從母體血紅素上脫離。
選項拆解
產前照護與分娩29 / 36
【114-2 醫學(六) 第29題】關於懷孕期間胃腸系統的變化,下列敘述何者正確?
詳解
破題關鍵
懷孕期間,黃體素會讓平滑肌放鬆,導致胃腸蠕動變慢,胃排空時間會延長。
選項拆解
-A:錯在「闌尾(appendix)因子宮的壓迫位置會下移至比正常解剖位置低」。事實上,隨著子宮增大,闌尾會被推擠「向上和向外側」移位,這會改變闌尾炎的疼痛位置。
產前照護與分娩30 / 36
【114-2 醫學(六) 第35題】一位 34 歲第二胎產婦到院產房胎心音宮縮監測器顯示不規則陣痛,骨盆腔內診後發現,子宮頸質地柔軟子宮頸開口 1~2 公分並開口朝前,子宮頸變薄 50%,station -2,此時 Bishop score 為何?
詳解
破題關鍵
Bishop score 是評估子宮頸成熟度,預測催生成功率的工具,每個項目都有對應的分數。
選項拆解
產前照護與分娩31 / 36
【114-2 醫學(六) 第36題】關於催生(induction and augmentation of labor)的注意事項,下列敘述何者最不適當?
詳解
破題關鍵
有效的子宮收縮強度有明確的數值標準,150 MVU 通常還不夠。
選項拆解
-A:人工破水(amniotomy)確實可以加速產程,通常能縮短約 1~1.5 小時,因為破水後會釋放前列腺素,並使胎頭直接壓迫子宮頸,刺激子宮收縮。
胎兒醫學與監測32 / 36
【114-2 醫學(六) 第24題】有關先天性的氣管食道瘻管(tracheoesophageal fistula),下列敘述何者正確?
詳解
破題關鍵
先天性氣管食道瘻管最常見的類型是食道上段閉鎖,下段與氣管相通,且內視鏡手術在處理復發瘻管時有其角色。
選項拆解
-A:錯在「最常見的解剖類型是 H-型的氣管食道瘻管」。最常見的類型是食道上段閉鎖,下段食道與氣管相通 (Type C),H-型瘻管 (Type E) 佔比很低。
胎兒醫學與監測33 / 36
【114-2 醫學(六) 第31題】懷孕時胎兒腎上腺製造很多類固醇(steroid)以供母體荷爾蒙產生,這些類固醇(steroid)主要之前驅物 (precursor)為何?
詳解
破題關鍵
胎兒腎上腺製造類固醇的前驅物是膽固醇,而膽固醇主要由低密度脂蛋白 (LDL) 攜帶。
選項拆解
-A:正確。胎兒腎上腺製造類固醇所需的主要前驅物是膽固醇,而這些膽固醇主要來自母體的低密度脂蛋白膽固醇 (LDL-C)。胎兒腎上腺會攝取 LDL-C 並將其轉化為類固醇。
胎兒醫學與監測34 / 36
【114-2 醫學(六) 第32題】造成孕婦母血中α-胎兒蛋白(AFP)上升的原因,下列敘述何者錯誤?
詳解
破題關鍵
母血中 α-胎兒蛋白 (AFP) 上升通常與胎兒開放性缺陷或胎盤功能異常有關,而唐氏症 (Down syndrome) 則通常會導致 AFP 下降。
選項拆解
胎兒醫學與監測35 / 36
【114-2 醫學(六) 第33題】有關胎兒無壓力測試(nonstress test)的敘述,下列何者正確?
詳解
破題關鍵
無壓力測試 (NST) 的目的是觀察胎兒心跳對胎動的反應,如果 20 分鐘內沒有達到標準,可以延長觀察時間,因為胎兒可能有睡眠週期。
選項拆解
胎兒醫學與監測36 / 36
【114-2 醫學(六) 第34題】與唐氏症相關之第二孕期胎兒超音波軟指標(soft signs)不包含下列何者?
詳解
破題關鍵
唐氏症的軟指標是「輕微異常」,不是「主要結構缺陷」。
選項拆解
-A:小腸回音增加(echogenic bowel)是唐氏症的軟指標之一。這是因為胎兒小腸對超音波的反射比肝臟更亮,可能與吞嚥羊水中的血、囊性纖維化、感染或染色體異常有關。