妊娠併發症1 / 33
【113-2 醫學(六) 第28題】35歲女性第一次懷孕即在早期發生流產,下列何者是與第一孕期流產最相關的母體因素及胎兒染色體異常?
詳解
破題關鍵
早期流產最常見的原因是胎兒染色體異常,而母親年齡是染色體異常的重要危險因子。
選項拆解
-A:子宮頸閉鎖不全通常導致第二孕期流產,而非第一孕期。單染色體症X (monosomy X, Turner syndrome) 雖然是染色體異常,但三染色體症更為常見。
妊娠併發症2 / 33
【113-2 醫學(六) 第29題】28歲女性到門診作孕前諮商,她於一年前第一次懷孕,卻在妊娠18週時出現子宮頸閉鎖不全進而發生流產, 她想瞭解預防性子宮頸環紮術,下列何者為這位女性接受預防性子宮頸環紮術的理想時間點以及施行預防性子宮頸環紮術的禁忌症?
詳解
破題關鍵
預防性子宮頸環紮術有其理想的施行時間點和明確的禁忌症。
選項拆解
-A:子宮頸一開始無痛性擴張時,通常已是治療性環紮術 (therapeutic cerclage) 的時機,而非預防性。之前接受過子宮頸圓錐狀切除手術本身不是禁忌症,反而可能增加子宮頸閉鎖不全的風險,使其更需要環紮。
妊娠併發症3 / 33
【113-2 醫學(六) 第33題】不正常產程(abnormal labor patterns)中的產程拖延(protraction disorders)是指下列何者?
詳解
破題關鍵
產程拖延指的是子宮頸擴張或胎頭下降的速度太慢。
選項拆解
-A:活動期延長 (prolonged active phase) 是一個比較廣泛的說法,但「活動期擴張拖延」更精確地描述了拖延的具體表現。
妊娠併發症4 / 33
【113-2 醫學(六) 第37題】有關患有妊娠糖尿病孕婦的產後追蹤,下列敘述何者最適宜?
詳解
破題關鍵
妊娠糖尿病的產婦,產後仍有較高風險發展成第二型糖尿病,因此需要定期追蹤。
選項拆解
-A:正確。這是目前國際上主流醫學會 (如ACOG, ADA) 對於妊娠糖尿病產後追蹤的建議,目的是評估產婦是否已轉變為糖尿病或糖尿病前期。
妊娠併發症5 / 33
【113-2 醫學(六) 第38題】導致產科敗血症(sepsis syndrome in obstetrics)的病原菌(pathogens)中,最罕見的為:
詳解
破題關鍵
產科敗血症最常見的病原菌是革蘭氏陰性菌和革蘭氏陽性菌,而李斯特菌雖然會引起感染,但在產科敗血症中相對罕見。
選項拆解
-A:大腸桿菌是泌尿道感染和產科感染的常見病原菌,因此是產科敗血症的常見原因。
-B:糞腸球菌是革蘭氏陽性菌,也是泌尿道和產科感染的常見病原菌之一。
妊娠併發症6 / 33
【113-2 醫學(六) 第75題】25歲女性無過去病史,懷孕28週因下肢疼痛至急診求診,經檢查後發現是下肢靜脈栓塞。針對此病人的治療,下列何者最不適合?
詳解
破題關鍵
懷孕期間的抗凝血劑選擇,安全性是首要考量。
選項拆解
-A:錯在 warfarin。Warfarin會穿過胎盤,對胎兒有致畸胎性和出血風險,因此在懷孕期間是禁忌使用的,是最不適合的選項。
婦科泌尿與生殖道異常7 / 33
【113-2 醫學(六) 第57題】關於尿失禁(urinary incontinence)的敘述,下列何者最不適當?
詳解
破題關鍵
尿失禁的診斷工具中,尿路動力學檢查是複雜且侵入性的,不能稱為「簡單」。
選項拆解
-A:正確。年紀、肥胖、慢性咳嗽、曾骨盆腔手術都是尿失禁的常見危險因子,尤其與應力性尿失禁相關。
-B:正確。病史詢問、理學檢查、咳嗽測試及解尿後餘尿量測試都是尿失禁初步診斷的標準步驟。
婦科腫瘤8 / 33
【113-2 醫學(六) 第46題】下列何種卵巢腫瘤會造成體內雄性激素上升,而產生男性化症狀?
詳解
破題關鍵
卵巢腫瘤中,能分泌雄性激素並導致男性化症狀的,通常是性索間質腫瘤。
選項拆解
-A:serous cystadenoma (漿液性囊腺瘤) 是一種常見的上皮性卵巢腫瘤,通常是良性的,不具有內分泌功能,不會分泌雄性激素。
婦科腫瘤9 / 33
【113-2 醫學(六) 第49題】有關卵巢內胚層竇瘤(endodermal sinus tumors)的敘述,下列何者正確?
詳解
破題關鍵
卵巢內胚層竇瘤是惡性生殖細胞瘤,其特性與上皮性卵巢癌不同,尤其在單側性與化療敏感性上。
選項拆解
-A:錯在「大多數患者屬尚未有初經的兒童」。內胚層竇瘤雖然是兒童最常見的惡性卵巢生殖細胞瘤,但也常發生在青少年和年輕女性。因此,「大多數」患者僅限於尚未有初經的兒童並不完全準確。
婦科腫瘤10 / 33
【113-2 醫學(六) 第50題】46歲陳小姐,G3P2SA1,過去曾接受卵巢巧克力囊腫切除手術,因下腹疼痛到婦科門診就診,超音波發現15 公分骨盆腔複雜性腫瘤,手術中病理冷凍切片證實為亮細胞卵巢癌(clear cell carcinoma),並發現腫瘤與一段小腸沾黏並有大腸侵犯,肝臟表面及橫膈膜下並沒有腫瘤轉移,有關患者的治療,下列何者正確?
詳解
破題關鍵
卵巢癌的治療核心是盡可能切除所有可見腫瘤(減積手術),再輔以化學治療。
選項拆解
婦科腫瘤11 / 33
【113-2 醫學(六) 第51題】子宮內膜癌依照組織學型態可以區分為Type I及Type II,下列敘述何者正確?
詳解
破題關鍵
子宮內膜癌分為兩種主要類型,它們的病因、病理特徵和預後都不同。
選項拆解
-A:錯在「多囊性卵巢囊腫疾病無關」。Type I 子宮內膜癌與長期無排卵導致的雌激素過度刺激密切相關,而多囊性卵巢症候群 (PCOS) 正是導致慢性無排卵和雌激素過多的常見原因,因此兩者高度相關。
婦科腫瘤12 / 33
【113-2 醫學(六) 第52題】關於partial hydatidiform mole的敘述,下列何者錯誤?
詳解
破題關鍵
部分性葡萄胎和完全性葡萄胎在染色體、病理特徵和惡性潛力上都有明顯差異。
選項拆解
-A:正確。部分性葡萄胎的染色體通常是三倍體 (triploid),由一個正常卵子與兩個精子受精形成,因此多出的一套染色體來自父親。
婦科腫瘤13 / 33
【113-2 醫學(六) 第53題】關於IA2–IIA的早期子宮頸癌接受子宮根除手術後,下列何者不是復發的風險因子?
詳解
破題關鍵
子宮頸癌術後復發的風險因子主要集中在腫瘤的侵犯範圍和淋巴結狀態。
選項拆解
-A:子宮旁組織 (parametrial) 的顯微侵犯 (microinvasion) 是高風險因子。子宮旁組織是子宮頸周圍的結締組織,一旦有癌細胞侵犯,表示腫瘤已超出子宮頸,復發風險高。
婦科良性疾病與感染14 / 33
【113-2 醫學(六) 第40題】關於腹腔鏡手術所使用的導氣針(insufflation needle),下列敘述何者最不適當?
詳解
破題關鍵
導氣針插入角度的原則是,瘦的病人角度較大,胖的病人角度較小,以避免損傷深層器官。
選項拆解
-A:正確。導氣針穿過腹壁各層時,術者會感受到阻力變化和聽到「啵」的聲音,這是判斷針尖位置的重要依據。
婦科良性疾病與感染15 / 33
【113-2 醫學(六) 第41題】子宮鏡手術時,如果以生理食鹽水作為介質,其壓力最好不可高於患者的:
詳解
破題關鍵
子宮鏡手術中使用灌流介質的壓力,必須低於患者的平均動脈壓,以避免液體過度吸收造成併發症。
選項拆解
-A:正確。子宮鏡手術時,灌流介質的壓力應保持在患者的平均動脈壓 (MAP) 以下。這樣可以減少液體被血管系統過度吸收的風險,降低體液過量和相關併發症的發生率。
婦科良性疾病與感染16 / 33
【113-2 醫學(六) 第43題】有關骨盆腔發炎(pelvic inflammatory disease)門診病人的治療,下列何者為較不適宜的治療選項?
詳解
破題關鍵
骨盆腔發炎是細菌感染,需要使用廣效抗生素治療,而非抗黴菌藥物。
選項拆解
-A:doxycycline 是一種廣效抗生素,對衣原體 (Chlamydia) 和其他非典型病原體有效,是PID治療的常用藥物之一。
婦科良性疾病與感染17 / 33
【113-2 醫學(六) 第44題】下列有關子宮平滑肌瘤(uterine leiomyoma)的敘述,何者錯誤?
詳解
破題關鍵
子宮肌瘤對生育的影響,主要取決於其位置是否干擾子宮腔或輸卵管。
選項拆解
婦科良性疾病與感染18 / 33
【113-2 醫學(六) 第45題】下列有關子宮內膜異位症藥物治療的敘述,何者錯誤?
詳解
破題關鍵
口服避孕藥在婦科疾病中的應用廣泛,其對癌症風險的影響是重要的考點。
選項拆解
-A:正確。Progestins類藥物 (黃體素) 的常見副作用包括體重增加、水腫、情緒波動和不規則陰道出血 (spotting)。
婦科良性疾病與感染19 / 33
【113-2 醫學(六) 第47題】細菌性陰道炎(bacterial vaginosis)的臨床診斷標準(Amsel Diagnostic Criteria),下列何者最不適當?
詳解
破題關鍵
細菌性陰道炎的診斷主要依賴臨床特徵和顯微鏡檢查,而非細菌培養。
選項拆解
婦科良性疾病與感染20 / 33
【113-2 醫學(六) 第48題】關於子宮肌瘤的敘述,下列何者最正確?
詳解
破題關鍵
子宮肌瘤對生育的影響,取決於它長在哪裡,以及手術本身可能帶來的風險。
選項拆解
-A:錯在「發生率越高」。服用口服避孕藥通常被認為對子宮肌瘤的發生率沒有顯著影響,甚至有研究指出可能降低風險,而不是提高。
婦科良性疾病與感染21 / 33
【113-2 醫學(六) 第73題】45歲女性病人到醫院做健康檢查,腹部X光片顯示骨盆腔病變如圖示;進一步進行經陰道超音波檢查,結果發現異常如圖示。最可能的診斷為何?

生殖內分泌與不孕22 / 33
【113-2 醫學(六) 第42題】有關先天性雄性素不敏感症(congenital androgen insensitivity)診斷,下列敘述何者最不適當?
詳解
破題關鍵
先天性雄性素不敏感症的患者,雖然染色體是XY,但因為雄性素受體功能異常,導致身體對雄性素無反應,所以不會發育出陰莖,而是女性外生殖器。
選項拆解
-A:正確。CAIS 患者的性別染色體核型為 XY,基因型是男性。
生殖內分泌與不孕23 / 33
【113-2 醫學(六) 第54題】關於人工生殖技術的敘述,下列何者錯誤?
詳解
破題關鍵
著床前基因診斷 (PGD) 和著床前基因篩檢 (PGS/PGT-A) 的應用範圍不同,PGD針對已知特定基因疾病。
選項拆解
-A:正確。刺激排卵療程中的長療程使用GnRH agonist,可以有效抑制垂體功能,預防早發性LH surge,確保卵泡在受控下成熟。
生殖內分泌與不孕24 / 33
【113-2 醫學(六) 第55題】關於使用藥物治療罹患多囊性卵巢婦女的描述,下列何者錯誤?
詳解
破題關鍵
多囊性卵巢症候群 (PCOS) 的多毛症治療,口服避孕藥是基礎,但單獨使用且達到高成功率的說法過於樂觀。
選項拆解
生殖內分泌與不孕25 / 33
【113-2 醫學(六) 第56題】18歲門診患者在青春期一直沒有月經來潮,懷孕試驗為陰性,身體檢查發現有乳房發育,但是沒有腋毛或恥毛生成時,推測可能是下列何種診斷?
詳解
破題關鍵
有乳房發育(有雌激素作用)但無腋毛恥毛(無雄性素作用)是雄性素不敏感症候群的典型表現。
選項拆解
產前照護與分娩26 / 33
【113-2 醫學(六) 第31題】有關整體分娩(parturition)和產程(clinical stages of labor)的敘述,下列何者錯誤?
詳解
破題關鍵
分娩是一個連續的生理過程,包含靜止期、活動期、刺激期和恢復期。產程是活動期的一部分,但活動期不等於產程。
選項拆解
-A:正確。第一產程指的是從規律子宮收縮開始,子宮頸逐漸擴張,直到子宮頸開全(通常是10公分)。
-B:正確。第二產程指的是從子宮頸開全到胎兒完全娩出。
產前照護與分娩27 / 33
【113-2 醫學(六) 第32題】一位35歲懷孕39週G2P1的經產婦,產檢時超音波檢查預估胎兒體重約4,050公克,下列敘述何者正確?
詳解
破題關鍵
巨嬰是肩難產最主要的危險因子,但超音波預估體重有其限制,且不建議常規催生或剖腹產。
選項拆解
-A:正確。巨嬰 (fetal macrosomia) 是導致肩難產 (shoulder dystocia) 最重要的風險因子之一。
胎兒醫學與監測28 / 33
【113-2 醫學(六) 第30題】下列何種情形不會造成懷孕時母親雌激素(estrogen)濃度降低?
詳解
破題關鍵
雌激素在懷孕期間主要由胎盤和胎兒腎上腺皮質協同作用產生,任何影響此路徑的因素都會降低雌激素。
選項拆解
-A:胎兒死亡 (fetal demise)。正確。胎兒死亡意味著胎兒的腎上腺和肝臟功能喪失,無法提供雌激素合成所需的前驅物,因此雌激素濃度會顯著降低。
胎兒醫學與監測29 / 33
【113-2 醫學(六) 第35題】許多可能造成胎兒心搏過速(tachycardia)的原因中,最常見的為下列何者?
詳解
破題關鍵
胎兒心搏過速最常見的原因是母親發燒,因為體溫升高會直接影響胎兒心率。
選項拆解
-A:藥物造成是可能原因之一,但不是最常見的。
-B:甲狀腺風暴是母親甲狀腺功能亢進的嚴重表現,可能導致胎兒心搏過速,但其發生率遠低於母親發燒。
胎兒醫學與監測30 / 33
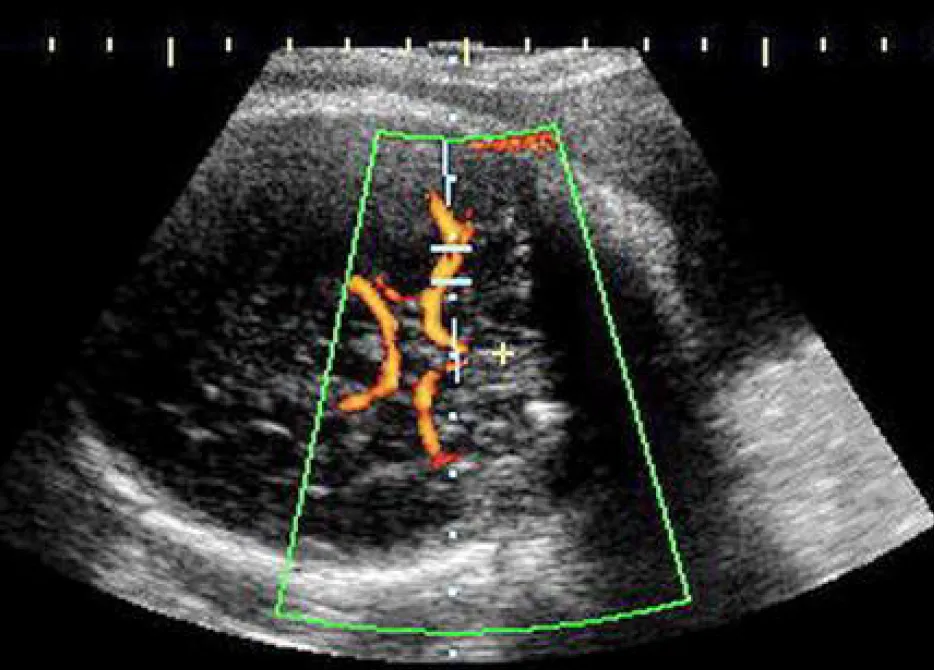
【113-2 醫學(六) 第36題】22歲孕婦,G4P1SA2,妊娠32週,接受杜卜勒(Doppler)超音波檢查,結果如圖所示,檢查名稱為何?

詳解
破題關鍵
這張超音波影像的關鍵在於辨識出胎兒頭部內的血管結構,並結合杜卜勒(Doppler)測量,指向胎兒腦部的動脈血流評估。
選項拆解
-A:錯在臍動脈位於臍帶中,影像中並未顯示臍帶的典型結構,而是胎兒頭部內的血管。
胎兒醫學與監測31 / 33
【113-2 醫學(六) 第39題】30歲懷孕16週婦女,接受唐氏症母血篩檢,檢測結果唐氏症預估機率為1:820,母血α-胎兒蛋白(AFP)值為中位值(multiples of median, MoM)之3.8倍,下一步最合理的做法是:
詳解
破題關鍵
母血AFP值異常升高,除了唐氏症風險外,更要考慮其他胎兒結構異常的可能性。
選項拆解
-A:接受羊膜穿刺檢驗胎兒染色體。唐氏症風險1:820屬於低風險,通常不建議直接進行侵入性檢查。雖然羊穿可以排除染色體異常,但AFP升高更直接指向結構異常,而非單純染色體問題。
胎兒醫學與監測32 / 33
【113-2 醫學(六) 第67題】下列關於嬰兒型脊髓性肌肉萎縮症(infantile spinal muscular atrophy)的敘述,何者最為適當?
詳解
破題關鍵
嬰兒型脊髓性肌肉萎縮症是一種嚴重的遺傳疾病,早期診斷對家庭規劃很重要。
選項拆解
-A:錯在屬於體染色體顯性遺傳。嬰兒型脊髓性肌肉萎縮症是體染色體隱性遺傳(autosomal recessive inheritance)。
胎兒醫學與監測33 / 33
【113-2 醫學(六) 第79題】由於父母信仰的關係,一位出生後才被診斷出染色體異常(trisomy 18)的新生兒,在出生後完全無法自己呼吸,目前裝著呼吸器,新生兒同時也被發現包含有心臟與食道氣管瘻管等多項先天性異常,即使開刀預後也很差,經過商量,嬰兒父母希望醫師不再積極治療。下列處置何者最適當?
詳解
破題關鍵
在末期病患的醫療決策中,尊重病患或其代理人的意願,並提供緩和醫療是符合倫理的。
選項拆解
-A:錯在「立即為其手術」。雖然醫師的職責是救治生命,但在預後極差且父母已表明不積極治療意願的情況下,強行手術可能不符合病患的最大利益,且違反尊重自主原則。