【107-1 醫學(六) 第27題】關於產後發燒的敘述,下列何者錯誤?
詳解
破題關鍵
產褥期乳腺炎通常是單側感染,且與哺乳相關。
選項拆解
登入查看完整詳解與互動作答
共 35 題(登入後可互動作答與查看詳解)
【107-1 醫學(六) 第27題】關於產後發燒的敘述,下列何者錯誤?
詳解
破題關鍵
產褥期乳腺炎通常是單側感染,且與哺乳相關。
選項拆解
登入查看完整詳解與互動作答
【107-1 醫學(六) 第34題】關於妊娠糖尿病(gestational diabetes)的敘述,下列何者錯誤?
詳解
破題關鍵
妊娠糖尿病導致胎兒出生後,因母體高血糖源中斷,胎兒胰臟仍持續分泌胰島素,反而會造成新生兒低血糖。
選項拆解
登入查看完整詳解與互動作答
【107-1 醫學(六) 第36題】28歲G3P1孕婦,第一胎曾經被診斷為妊娠糖尿病(gestational diabetes mellitus, GDM),胎兒出生體重為 4,280公克;求診時為妊娠12週,體重50 kg,身高163 cm。此次懷孕對於妊娠血糖評估的最適當處置為:
詳解
破題關鍵
有前胎妊娠糖尿病史且胎兒巨嬰的孕婦,屬於妊娠糖尿病高危險群,應在妊娠早期提早進行篩檢。
選項拆解
登入查看完整詳解與互動作答
【107-1 醫學(六) 第37題】妊娠期肝內膽汁淤積症(intrahepatic cholestasis of pregnancy, ICP)導致胎兒不良結局,最主要因素為:
詳解
破題關鍵
妊娠期肝內膽汁淤積症 (ICP) 對胎兒的危害程度與母體血清膽酸濃度直接相關。
選項拆解
登入查看完整詳解與互動作答
【107-1 醫學(六) 第74題】有關治療產後大量出血之血管內栓塞術的敘述,下列何者最正確?
詳解
破題關鍵
血管內栓塞術 (UAE) 在產後出血中的主要目的是止血同時保留生育功能。
選項拆解
登入查看完整詳解與互動作答
【107-1 醫學(六) 第77題】一位30歲女性,懷孕32週,心跳停止(cardiac arrest)接受急救,依據最新美國心臟醫學會(American Heart Association)急救指引,下列敘述何者錯誤?
詳解
破題關鍵
孕婦心跳停止的急救原則是「救母優先」,且不應因懷孕而降低急救措施的強度。
選項拆解
登入查看完整詳解與互動作答
【107-1 醫學(六) 第78題】承上題,若急救無效,最好能於心跳停止後多久內實施剖腹產?
詳解
破題關鍵
孕婦心跳停止後,緊急剖腹產的黃金時間是5分鐘內。
選項拆解
登入查看完整詳解與互動作答
【107-1 醫學(六) 第29題】凱格爾運動(Kegel exercises)最主要的目的是:
詳解
破題關鍵
凱格爾運動就是練骨盆底肌,骨盆底肌主要功能是控制排尿和排便。
選項拆解
登入查看完整詳解與互動作答
【107-1 醫學(六) 第38題】對於夜尿量(nocturnal urinary volume)及夜間多尿症(nocturnal polyuria)的定義,下列何者正確? ① 計算夜尿量應該包含睡前最後一次排尿量(the last void before going to bed) ②計算夜尿量應該包含早上起床第一次排尿量(the first void after rising in the morning) ③在65歲以上之婦女如果夜尿量大於24小時尿量的33%,則可定義為夜間多尿症 ④在65歲以上之婦女如果夜尿量大於24小時尿量的22%,則可定義為夜間多尿症
詳解
破題關鍵
夜尿量要算早上第一泡尿,夜間多尿症的定義是夜尿量佔總尿量超過三分之一。
選項拆解
核心知識
登入查看完整詳解與互動作答
【107-1 醫學(六) 第39題】下列那項因子目前不被認為是壓力性尿失禁(stress urinary incontinence)的女性患者,在接受恥骨後尿道固定術(retropubic urethropexy)會是手術失敗的危險因子?
詳解
破題關鍵
恥骨後尿道固定術 (retropubic urethropexy) 的目的就是固定過度移動的尿道,所以尿道過度移動反而是手術的適應症,而不是失敗的危險因子。
選項拆解
登入查看完整詳解與互動作答
【107-1 醫學(六) 第55題】下列那一種疾病的症狀,最不適合用功能性電刺激治療?
詳解
破題關鍵
功能性電刺激 (FES) 對於肌肉本身有結構性缺陷的疾病效果不佳。
選項拆解
登入查看完整詳解與互動作答
【107-1 醫學(六) 第31題】下列何者為最常見的子宮頸癌的人類乳突病毒型?
詳解
破題關鍵
記住最常見的高風險人類乳突病毒型別。
選項拆解
登入查看完整詳解與互動作答
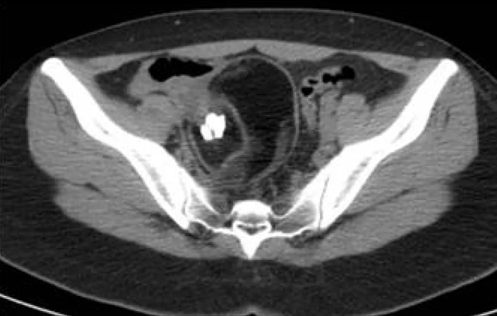
【107-1 醫學(六) 第32題】16歲年輕女性,因下腹疼痛及腹圍增加至門診求診,月經週期約28天,最近兩個月有異常出血,超音波顯示左側卵巢複雜性腫瘤,抽血檢查發現beta-hCG,CA-125及LDH都在正常值,但AFP值為1,236 ng/mL。下列敘述何者正確?
詳解
破題關鍵
年輕女性、卵巢複雜性腫瘤、AFP值顯著升高,要聯想到卵巢內胚層竇瘤。
選項拆解
登入查看完整詳解與互動作答
【107-1 醫學(六) 第33題】下列何者不屬於卵巢癌的危險因子?
詳解
破題關鍵
卵巢癌的危險因子通常與排卵次數多寡、荷爾蒙暴露時間長短有關。
選項拆解
登入查看完整詳解與互動作答
【107-1 醫學(六) 第42題】38歲婦女,經診斷為子宮頸鱗狀上皮癌,接受根除性子宮切除術及骨盆腔淋巴結廓清術(radical hysterectomy and bilateral pelvic lymph node dissection),根據Berek & Novak's Gynecology 15版2012年出版教科書的危險因子說明,下列何者非屬復發有關的高風險的因子?
詳解
破題關鍵
子宮頸癌術後復發的高風險因子主要與腫瘤侵犯深度、淋巴結轉移、切緣狀況和子宮旁組織侵犯有關,腫瘤大小本身通常被歸類為中度風險因子,而非高風險。
選項拆解
登入查看完整詳解與互動作答
【107-1 醫學(六) 第43題】有關卵巢生殖細胞索或間質細胞瘤(ovarian sex cord-stromal tumors) 的病理或臨床特徵,下列何者錯誤?
詳解
破題關鍵
Call-Exner bodies是卵巢顆粒細胞瘤 (granulosa cell tumor) 的典型病理特徵,而非支持間質細胞瘤 (Sertoli-Leydig cell tumor)。
選項拆解
登入查看完整詳解與互動作答

詳解
破題關鍵
圖片中下腹部病灶內有明顯的脂肪密度(較暗區塊)和高密度鈣化(非常亮白,形狀不規則,像骨頭或牙齒),這是畸胎瘤的典型影像特徵。
選項拆解
登入查看完整詳解與互動作答
【107-1 醫學(六) 第30題】20歲女性,在月經來前一個禮拜,因於性行為中突然發生劇烈下腹痛,至急診室求診。懷孕測試為陰性,觸診下腹有廣泛性壓痛點,陰道超音波發現右側卵巢有一6公分回音不均勻腫塊且有腹腔積液約180 mL,血壓脈搏穩定,實驗室檢查血紅素為10.5 g/dL,CA-125為38 U/mL;下列診斷何者較為適當?
詳解
破題關鍵
年輕女性、性行為後突發下腹痛、懷孕陰性、卵巢囊腫合併腹腔積液、血紅素下降,要聯想到黃體囊腫破裂出血。
選項拆解
登入查看完整詳解與互動作答
【107-1 醫學(六) 第40題】子宮鏡手術可能產生的併發症的敘述,下列何者錯誤?
詳解
破題關鍵
子宮鏡手術中灌流液的吸收是主要併發症之一,即使吸收量未達2公升,若有症狀或吸收量接近危險閾值,仍需考慮處理。
選項拆解
登入查看完整詳解與互動作答
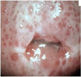
40歲女性,主訴陰道有量多惡臭的膿狀分泌物,檢查時發現陰道充血,子宮頸呈現如圖所示,下列敘述何者錯誤?
詳解
登入後即可查看逐題解析與答題
【107-1 醫學(六) 第44題】關於子宮腺肌症(adenomyosis)之敘述,下列何者錯誤?
詳解
破題關鍵
子宮腺肌症是子宮內膜組織長到子宮肌肉層,它的生長受雌激素影響。
選項拆解
登入查看完整詳解與互動作答
【107-1 醫學(六) 第28題】下列何者為最常見造成異卵雙胞(dizygotic twins)的原因?
詳解
破題關鍵
異卵雙胞胎就是兩個獨立的受精卵,人工生殖技術最容易增加這種情況。
選項拆解
登入查看完整詳解與互動作答
【107-1 醫學(六) 第45題】關於骨質密度之敘述,下列何者錯誤?
詳解
破題關鍵
骨質密度在年輕時達到高峰,之後會自然流失,女性在停經後流失速度會加快。
選項拆解
登入查看完整詳解與互動作答
【107-1 醫學(六) 第46題】關於泌乳激素(prolactin)血中濃度與臨床症狀關係之敘述,下列何者錯誤?
詳解
破題關鍵
泌乳激素的濃度變化有其規律,且高濃度會影響排卵功能。
選項拆解
登入查看完整詳解與互動作答
【107-1 醫學(六) 第47題】施行人工輔助生殖技術(ART)時,發生黃體功能不足(Luteal phase defect)的原因不包含:
詳解
破題關鍵
黃體功能不足的原因多與卵巢刺激或取卵過程有關,而黃體素補充方式本身不是原因。
選項拆解
登入查看完整詳解與互動作答
28歲G3P0的女性,因長期為經痛、經血過多(heavy menstrual bleeding)和性交疼痛所困擾,自述前三次懷孕都在12週內就自然流產,子宮輸卵管攝影(hysterosalpingography)影像如圖所示。建議接受子宮鏡 (hysteroscope)中膈切除手術,下列何者是手術後最可能改善的情況?
詳解
登入後即可查看逐題解析與答題
【107-1 醫學(六) 第49題】30歲G0P0的女性,因為結婚三年皆沒有避孕,和丈夫想進行不孕症諮詢。自從11歲初經之後,月經皆規則 28天一次,每次經期持續5天且沒有經痛。抽血檢查及輸卵管攝影(hysterosalpingography)結果皆正常, 量測的antral follicle count為10。丈夫的精液分析(semen analysis)結果為:semen volume 3 ml,sperm concentration 11,000,000/ml,total motility 38%,normal forms 6%。建議他們優先接受那一種醫療輔助生殖(assisted reproductive technologies)最為合理?
詳解
破題關鍵
根據精液分析結果,精蟲數量和活動力雖然偏低但仍有機會,且女方檢查正常,人工授精是合理的初步選擇。
選項拆解
登入查看完整詳解與互動作答
【107-1 醫學(六) 第50題】30歲G3P0A3的女性,因為三次小於10週的習慣性流產,和丈夫一同前來求診。她之前做過唯一一次的檢查是自體抗體:lupus anticoagulant陰性,anti-β2-glycoprotein 1 Ab陰性,anticaridiolipin IgG high positive。 這對夫妻想知道習慣性流產的原因。下列何項建議最不適合?
詳解
破題關鍵
診斷抗磷脂質症候群需要重複檢測確認,且治療需在醫師評估後進行。
選項拆解
登入查看完整詳解與互動作答
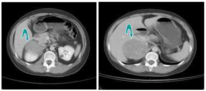
【107-1 醫學(六) 第53題】王小姐,30歲,最近發現聲音變粗,陰蒂變大,且愈來愈嚴重。下列疾病何者最不可能?
詳解
破題關鍵
聲音變粗和陰蒂變大是男性素過多的表現,多囊性卵巢囊腫通常不會導致如此嚴重的男性化症狀。
選項拆解
登入查看完整詳解與互動作答

詳解
破題關鍵
這題的解題核心在於結合影像學檢查(電腦斷層)和內分泌檢驗結果(睪固酮、DHEAS)來定位病灶並判斷其性質。圖片中右側腎上腺區塊的巨大腫瘤,加上血中DHEAS濃度異常升高,是診斷的關鍵線索。
選項拆解
登入查看完整詳解與互動作答
【107-1 醫學(六) 第25題】下列何者不是Bishop score的評分項目之一?
詳解
破題關鍵
Bishop score是用來評估子宮頸成熟度,預測引產成功率的指標,與生產次數無關。
選項拆解
登入查看完整詳解與互動作答
【107-1 醫學(六) 第35題】有關剖腹產孕婦之預防性抗生素之給予,若孕婦對penicillin或cephalosporin嚴重過敏,下列何者為最適合之預防性抗生素?
詳解
破題關鍵
剖腹產預防性抗生素需要廣效覆蓋革蘭氏陽性菌和陰性菌,若對beta-lactam類藥物過敏,需選擇能提供類似廣效覆蓋的替代方案。
選項拆解
登入查看完整詳解與互動作答
28歲孕婦,G2P1,妊娠16週,接受超音波檢查如圖所示,下列何者為最可能的診斷?
詳解
登入後即可查看逐題解析與答題

詳解
破題關鍵
這張圖的解題核心在於判斷胎兒心跳減速(deceleration)與子宮收縮(contraction)之間的「時間關係」。仔細觀察胎兒心跳下降的最低點(nadir)是否發生在子宮收縮高峰之後,這是判斷晚期減速的關鍵視覺線索。
選項拆解
登入查看完整詳解與互動作答
【107-1 醫學(六) 第52題】承上題,下列四者中最可能的臨床意義為何?
詳解
破題關鍵
晚期減速是胎兒缺氧的警訊,通常與胎盤功能不佳有關。
選項拆解
登入查看完整詳解與互動作答