妊娠併發症1 / 33
【108-1 醫學(六) 第27題】孕婦在妊娠第⼀期腹痛⾄⾨診,經檢查後發現⼦宮頸已經開了3公分,此時最可能的診斷是:
詳解
破題關鍵
懷孕初期腹痛,子宮頸已經打開,表示流產過程已經啟動,且無法逆轉。
選項拆解
-A:錯在不完全流產 (incomplete abortion) 是指部分妊娠組織已排出,但仍有殘留。雖然子宮頸可能開著,但「子宮頸已經開了3公分」這個描述更直接指向流產過程的不可逆性。
妊娠併發症2 / 33
【108-1 醫學(六) 第36題】⼦宮外孕病患選擇內科單⼀化學藥物methotrexate(葉酸拮抗劑)治療後,第4天⾄第7天抽⾎檢驗⾎清⼈類絨⽑膜性腺激素值(human chorionic gonadotropin),根據美國⽣殖醫學會2013年建議,若下降幅度沒有達到多少百分比,可以考慮接受追加第⼆劑methotrexate治療?
詳解
破題關鍵
Methotrexate治療子宮外孕,追蹤HCG下降幅度,第4天到第7天至少要下降15%才算有效。
選項拆解
-A:錯在 45% 的下降幅度是相當大的進步,通常表示治療非常成功,但並非判斷是否需要追加劑量的最低標準。
妊娠併發症3 / 33
【108-1 醫學(六) 第37題】有關孕婦併有主動脈狹窄(aortic stenosis)的敘述,下列何者錯誤?
詳解
破題關鍵
主動脈狹窄的孕婦,治療上會盡量保守,避免侵入性處置。
選項拆解
妊娠併發症4 / 33
【108-1 醫學(六) 第39題】29歲孕婦,妊娠11週,B型肝炎帶原者篩檢結果為HBsAg(+),HBeAg(+);妊娠24週B型肝炎病毒 (HBV)DNA檢驗結果為108 copies/mL。孕婦於妊娠28週開始⼝服抗HBV藥物Tenofovir治療⾄妊娠38週, 經陰道⾃然分娩出3,480公克女嬰。為預防嬰兒感染B型肝炎的最適當處置為:
詳解
破題關鍵
B肝帶原高傳染性媽媽生下的寶寶,一定要「免疫球蛋白」和「疫苗」雙重保護,而且越快越好。
選項拆解
妊娠併發症5 / 33
【108-1 醫學(六) 第40題】下列那⼀種狀況發⽣胎盤早期剝離(plancental abruption )的風險最⾼?
詳解
破題關鍵
任何疾病,如果「前一胎」發生過,通常就是這一胎「最高」的風險因子。
選項拆解
-A:正確。前一胎發生胎盤早期剝離是導致本胎胎盤早期剝離風險最高的因子,復發率顯著高於一般孕婦。
妊娠併發症6 / 33
【108-1 醫學(六) 第75題】關於顱外頸動脈剝離(carotid dissection),下列何者錯誤?
詳解
破題關鍵
頸動脈剝離的治療方式,與動脈粥狀硬化造成的狹窄不同。
選項拆解
-A:正確。顱外內頸動脈的頸部 (cervical part) 較長且活動度大,容易受到外力影響而發生剝離,相較於頸動脈分岔處 (carotid bifurcation) 更為常見。
婦科泌尿與生殖道異常7 / 33
【108-1 醫學(六) 第29題】
32歲未婚年輕女性,因⼀年多來頻尿、夜尿、尿急及漲尿後下腹痛所困擾⽽就醫。理學檢查並無⼦宮、膀胱脫垂之現象,尿液分析無菌尿或尿路感染之情形。解尿⽇記發現⽩天解尿次數超過⼗次以上,晚上夜尿 (nocturia)情形超過3⾄5次以上。膀胱尿動⼒學檢查無逼尿肌不穩定(detrusor overactivity)之情形,但是初次解尿感覺(first desire to void)容積為86 c.c.、膀胱最⼤容積(maximum bladder capacity)為180 c.c.。於靜脈注射⿇醉下接受膀胱鏡檢查,膀胱在灌注400 c.c.食鹽⽔5 分鐘後,開始引流膀胱內食鹽⽔,膀胱鏡下呈現下圖之變化(其變化順序依次為a→b→c→d),此患者最適合之診斷為:
婦科泌尿與生殖道異常8 / 33
【108-1 醫學(六) 第30題】若將骨盆底部的levator ani muscle比喻為吊床(hammock),下列何種解剖構造所扮演的功能類似吊床兩端的橫⽊(吊床兩端主要的附著構造)?
詳解
破題關鍵
骨盆底肌肉群 (levator ani muscle) 就像吊床,其兩端的附著點是支撐整個結構的關鍵。
選項拆解
婦科泌尿與生殖道異常9 / 33
【108-1 醫學(六) 第41題】棉墊試驗(pad test)常被廣泛應⽤於以病患主導的研究,來了解尿失禁治療成效,在24⼩時的棉墊試驗 (24-hour pad test)棉墊重量增加⼤於多少公克以上才算是異常?
詳解
破題關鍵
記住棉墊試驗判斷尿失禁異常的標準數值。
選項拆解
-A:錯在數值。0公克表示沒有尿失禁,不是異常的判斷標準。
-B:錯在數值。1公克太低,通常不被視為臨床上的異常尿失禁。
-C:錯在數值。2公克也太低,不足以判斷為異常。
婦科泌尿與生殖道異常10 / 33
【108-1 醫學(六) 第42題】為了解患者主觀敘述之頻尿是否為真實,須採⽤下列何種測試或⼯具來作為評估,是否有頻尿的證據?
詳解
破題關鍵
要客觀評估頻尿的真實性,最直接且有效的方法是記錄實際的排尿情況。
選項拆解
婦科泌尿與生殖道異常11 / 33
【108-1 醫學(六) 第43題】對於正常女性尿動⼒學檢查數值,下列何者錯誤?
詳解
破題關鍵
正常女性的膀胱容量和尿意感覺有其標準範圍,強烈尿意通常不會在膀胱容量很小的時候就發生。
選項拆解
-A:正確。正常女性的殘餘尿量 (residual urine) 通常小於50 mL,這是判斷排尿是否完全的指標。
婦科腫瘤12 / 33
【108-1 醫學(六) 第33題】35歲女性,下列何種情況比較有可能得⼦宮內膜癌?
詳解
破題關鍵
子宮內膜癌最主要的危險因子是長期「沒有黃體素對抗」的雌激素刺激。
選項拆解
-A:錯在使用口服避孕藥 (oral contraceptives) 反而會降低子宮內膜癌的風險,因為口服避孕藥中的黃體素成分可以對抗雌激素對子宮內膜的刺激。
婦科腫瘤13 / 33
【108-1 醫學(六) 第34題】下列何者為雙側發⽣機率最⾼的卵巢⽣殖細胞腫瘤?
詳解
破題關鍵
卵巢生殖細胞瘤中,只有無性細胞瘤 (Dysgerminoma) 比較常兩邊都長。
選項拆解
-A:正確。無性細胞瘤 (Dysgerminoma) 是卵巢生殖細胞瘤中,雙側發生機率最高的,約有 10-20% 的病例會雙側發生。
婦科腫瘤14 / 33
【108-1 醫學(六) 第45題】51 歲婦女,因為偶發性右腰痛(colic pain),到泌尿科⾨診接受腎盂輸尿管的檢查,發現在輸尿管中段有 ⼀顯影劑缺損(filling defect),造成右邊輸尿管⽔腫以及輕微腎⽔腫。此時醫院廣播,⿎勵四癌篩檢的衛教,所以這位婦女也接受⼦宮頸抹片的檢查。但是⼀週後,抹片報告為鱗狀上⽪癌(squamous cell carcinoma)。這位婦女接下來的,應優先考慮下列何步驟?
詳解
破題關鍵
子宮頸抹片異常,特別是癌細胞,下一步必須進行確診。
選項拆解
-A:錯在處理方式。抹片報告為鱗狀上皮癌是嚴重警訊,不能輕易認為是偽陽性而延遲處理,必須立即進行確診程序。
-B:錯在時機。全子宮根除性手術是子宮頸癌的治療方式,但在未確診癌症分期前,不應直接考慮手術。
婦科腫瘤15 / 33
【108-1 醫學(六) 第46題】有關混合性卵巢惡性⽣殖細胞瘤(mixed germ cell malignancies of the ovary),是兩種或多種⽣殖細胞瘤 (germ cell tumor)的混合,最常⾒那兩種型態的組合?
詳解
破題關鍵
記住卵巢混合性生殖細胞瘤中最常見的兩種惡性成分。
選項拆解
-A:正確。無性胚胎瘤 (dysgerminoma) 和卵巢內胚層竇瘤 (endodermal sinus tumor) 是卵巢混合性惡性生殖細胞瘤中最常見的兩種組合。
婦科腫瘤16 / 33
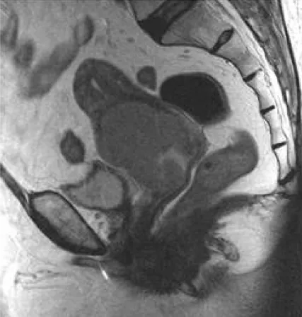
【108-1 醫學(六) 第73題】68歲女性病患,已停經,主訴不正常陰道出⾎,磁振造影檢查如下圖。其最可能的診斷為何?

詳解
破題關鍵
這張磁振造影(MRI)影像清楚顯示在子宮頸區域有一個巨大的、不規則的腫塊,並向下延伸侵犯到陰道,這在一位停經後有不正常陰道出血的68歲女性身上,最符合子宮頸癌的表現。
選項拆解
婦科良性疾病與感染17 / 33
【108-1 醫學(六) 第28題】在腹腔鏡⼿術置入側邊套管(trocar)時,常因為套管位置太接近⾝體中線⽽傷到⾎管,⽽造成腹壁出⾎和 ⾎腫,則最有可能傷到的⾎管是:
詳解
破題關鍵
腹腔鏡套管在腹壁上,最怕傷到腹壁內側的大血管。
選項拆解
-A:錯在表淺迴旋動脈 (superficial circumflex artery) 位於腹股溝韌帶下方,位置較淺且偏外側,通常不會因腹腔鏡側邊套管置入而受傷。
婦科良性疾病與感染18 / 33
【108-1 醫學(六) 第44題】有關⼦宮內膜異位症的敘述,下列何者錯誤?
詳解
破題關鍵
了解子宮內膜異位症的分期是依據病灶範圍,而非疼痛程度。
選項拆解
-A:正確。子宮內膜異位症確實可能引起慢性骨盆疼痛、嚴重經痛或導致不孕。
-B:正確。診斷子宮內膜異位症主要依賴組織切片確認,但由於病灶可能很小或位置隱蔽,即使切片未發現子宮內膜異位組織,也不能完全排除此疾病。
生殖內分泌與不孕19 / 33
【108-1 醫學(六) 第31題】20歲女性,第⼆性徵發育正常,有性經驗,來⾨診求診,主訴⽉經週期不規則,上次⽉經是兩個⽉前,最先安排什麼檢驗或檢查,可以得到最關鍵的訊息?
詳解
破題關鍵
只要是育齡女性有性經驗且月經不規則或遲來,第一步永遠是排除懷孕。
選項拆解
-A:正確。對於有性經驗的育齡女性,月經不規則或停經的首要考量就是懷孕,尿液懷孕試驗是最快速且關鍵的初步檢查。
生殖內分泌與不孕20 / 33
【108-1 醫學(六) 第47題】關於導致⼦宮內膜過度增⽣之敘述,下列何者最不可能?
詳解
破題關鍵
子宮內膜增生主要與雌激素過度刺激有關,黃體素是保護因子。
選項拆解
-A:錯在判斷。長期無排卵 (chronic anovulation) 會導致卵巢持續分泌雌激素而缺乏黃體素的週期性保護,因此是子宮內膜增生的常見原因。
生殖內分泌與不孕21 / 33
【108-1 醫學(六) 第48題】關於性類固醇激素對⼦宮內膜作⽤之敘述,下列何者錯誤?
詳解
破題關鍵
雌激素主要促進子宮內膜增生,而黃體素則使其分化成熟,為受精卵著床做準備。
選項拆解
-A:正確。雌激素會刺激子宮內膜基質細胞 (stroma cells) 的增生,使其數量增加。
生殖內分泌與不孕22 / 33
【108-1 醫學(六) 第49題】關於多囊性卵巢症候群(polycystic ovary syndrome, PCOS)的治療敘述,下列何者錯誤?
詳解
破題關鍵
了解多囊性卵巢症候群 (PCOS) 治療中,Metformin 的主要作用是改善胰島素阻抗,而非單獨作為排卵藥。
選項拆解
-A:正確。抗雄性激素藥物 (anti-androgen drugs) 可以有效治療PCOS引起的痤瘡 (acne) 和多毛症。
生殖內分泌與不孕23 / 33
【108-1 醫學(六) 第50題】有關抗穆勒⽒賀爾蒙(antimüllerian hormone, AMH)敘述,下列何者錯誤?
詳解
破題關鍵
AMH是評估卵巢庫存量和預測卵巢反應的重要指標。
選項拆解
-A:正確。AMH是評估婦女卵子庫存量和卵巢刺激反應的重要檢測工具之一。
生殖內分泌與不孕24 / 33
【108-1 醫學(六) 第51題】有關評估卵⼦庫存量(ovarian reserve)下降的結果,下列何者正確?
詳解
破題關鍵
了解評估卵子庫存量下降的關鍵指標。
選項拆解
-A:錯在方向。卵子庫存量下降時,濾泡刺激素 (FSH) 的基礎值會「上升」,而不是下降,因為腦下垂體需要分泌更多FSH來刺激功能下降的卵巢。
生殖內分泌與不孕25 / 33
【108-1 醫學(六) 第52題】施⾏⼈⼯輔助⽣殖技術(ART)使⽤促性腺激素藥物刺激後,如何避免卵巢過度刺激症候群(OHSS)的發 ⽣,下列何者正確?
詳解
破題關鍵
了解卵巢過度刺激症候群 (OHSS) 的預防策略,特別是藥物介入。
選項拆解
生殖內分泌與不孕26 / 33
【108-1 醫學(六) 第79題】⼀位13歲女學⽣前來婦產科看診,要求醫師開給她避孕藥,這位女學⽣表⽰已經有性⾏為,且是出於⾃願, 並要求醫師絕對不能告訴其家⼈或學校,醫師應該如何處理?
詳解
破題關鍵
未成年人(尤其13歲)的性行為,醫師有保護未成年人的責任,隱私權在此情況下可能被超越。
選項拆解
-A:給予性衛教與輔導是必要的,但對於13歲未成年人的性行為,僅有衛教輔導可能不足以確保其安全,無法取代通報義務。
產前照護與分娩27 / 33
【108-1 醫學(六) 第35題】關於懷孕時期的敘述,下列何者正確?
詳解
破題關鍵
懷孕時身體為了適應胎兒需求,血量會大幅增加,但血漿增加得比紅血球多。
選項拆解
-A:錯在懷孕時血色素 (hemoglobin) 通常會下降,因為血漿增加的比例比紅血球多,造成生理性貧血。
產前照護與分娩28 / 33
【108-1 醫學(六) 第53題】曉晴23歲,從⼩體⼒就比較差,爬樓梯很容易喘,也比較容易⽣病感冒,不過不影響⽇常⽣活。1個⽉前⾃ ⼰驗出有懷孕,最近1個⽉,常感到頭暈、噁⼼、嘔吐,有時還會感到胸悶及⼼悸,所以⾄婦產科產檢。曉晴⾝⾼158公分,體重42公⽄,⾎壓112/76 mmHg,⼼跳速率每分鐘92下,超⾳波檢查看到⼦宮內有⼀個正常胚囊,可看到⼀個胚胎頭臀⻑(CRL)為2.1公分。關於曉晴的情況,下列何者錯誤?
詳解
破題關鍵
正確判斷胚胎頭臀長 (CRL) 對應的懷孕週數,並了解懷孕期間心血管系統的生理變化。
選項拆解
-A:錯在週數判斷。根據胚胎頭臀長 (CRL) 2.1公分 (21mm) 的標準對照表,懷孕週數大約是8週又5天左右,而不是9週。因此,此選項的判斷是錯誤的。
產前照護與分娩29 / 33
【108-1 醫學(六) 第78題】有關假產痛(false labor pain)和真產痛(true labor pain)的敘述,下列何者為錯誤?
詳解
破題關鍵
區分真假產痛的關鍵在於疼痛的規律性、強度變化及是否伴隨子宮頸變化。
選項拆解
-A:錯在「假產痛通常先由上腹開始疼痛再逐漸痛到下腹」。假產痛通常是局限在下腹部或鼠蹊部的不規則疼痛,不會有從上腹部開始並逐漸擴散的典型模式。真產痛則常從背部或下腹部開始,並向腹部前方或大腿內側輻射。
胎兒醫學與監測30 / 33
【108-1 醫學(六) 第25題】下列那個妊娠週數,最易觀察到胎兒有濃稠胎糞(meconium)排出的情況?
詳解
破題關鍵
胎兒在子宮內通常不會排出胎糞,除非是胎兒窘迫或過期妊娠,腸道蠕動增加或括約肌鬆弛。過期妊娠是胎糞排出最常見的風險因子。
選項拆解
-A:錯在小於24週的胎兒腸道尚未完全成熟,很少會排出胎糞。
胎兒醫學與監測31 / 33
【108-1 醫學(六) 第26題】
26歲孕婦,G5P3A1,妊娠32週,接受超⾳波檢查,結果如圖所⽰,下列何者為最可能的診斷?
詳解
破題關鍵
這題的解題核心在於仔細觀察胎兒的臉部超音波影像,圖片中胎兒的上唇有明顯的裂開缺損,這是典型的唇裂(cleft lip)表現。
選項拆解
胎兒醫學與監測32 / 33
【108-1 醫學(六) 第38題】第⼀孕期唐⽒症及其他非整倍體(aneuploidy)染⾊體異常,最常⽤的篩檢策略為超⾳波檢查及⺟⾎⾎清分析,下列檢查何者不屬之?
詳解
破題關鍵
第一孕期唐氏症篩檢,看的是頸部透明帶、HCG和PAPP-A,不是AFP。
選項拆解
-A:錯在頸部透明帶厚度 (nuchal translucency, NT) 檢測是第一孕期唐氏症篩檢中非常重要的超音波指標。
胎兒醫學與監測33 / 33
【108-1 醫學(六) 第68題】下列何者最不會造成腦性⿇痺?
詳解
破題關鍵
腦性麻痺的發生,通常與胎兒腦部發育異常或受損有直接關聯。
選項拆解
-A:錯在「最不會」。胎兒心跳過快是胎兒窘迫的徵兆,若未及時處理可能導致缺氧,進而造成腦損傷。然而,相較於其他選項,它本身並非直接的腦損傷原因,而是間接的警訊。