妊娠併發症1 / 32
【114-1 醫學(六) 第28題】25 歲女性,因月經延遲,自行驗孕發現尿液懷孕試驗呈陽性,在第一孕期抽血檢驗發現血清黃體素值 (serum progesterone level)低於 5 ng/mL,下列何種狀況與前述發現最為相關?
詳解
破題關鍵
懷孕初期血清黃體素值過低,代表懷孕狀況不佳。
選項拆解
妊娠併發症2 / 32
【114-1 醫學(六) 第32題】有關 Couvelaire uterus 的敘述,下列何者錯誤?
詳解
破題關鍵
Couvelaire uterus 雖然看起來嚴重,但通常不需切除子宮。
選項拆解
-A:正確。Couvelaire uterus 是嚴重胎盤早期剝離(placental abruption)的典型子宮特徵。
妊娠併發症3 / 32
【114-1 醫學(六) 第37題】30 歲的盧小姐第一次懷孕,在懷孕過程中被診斷為妊娠糖尿並且接受相關治療;她剛剛經自然產生下了一位 4,800 公克的足月新生兒,下列有關盧小姐與其新生兒的敘述何者最適宜?
詳解
破題關鍵
妊娠糖尿病的媽媽生出巨嬰,最常見的併發症就是肩難產。
選項拆解
-A:錯在一定控制得非常良好。盧小姐生下 4,800 公克的巨嬰,這通常表示妊娠糖尿病的血糖控制並不好,導致胎兒過度生長。
妊娠併發症4 / 32
【114-1 醫學(六) 第38題】嚴重的子癇前症合併症不包含下列何者?
詳解
破題關鍵
嚴重的子癇前症主要影響肝、腎、腦、血液系統,胰臟功能異常不是其典型併發症。
選項拆解
-A:正確。上腹痛 (epigastric pain) 是嚴重的子癇前症合併肝臟受損的常見症狀,可能預示肝臟包膜下血腫或破裂。
妊娠併發症5 / 32
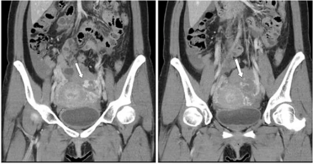
【114-1 醫學(六) 第73題】28 歲女性主訴腹部突然劇痛,注射顯影劑後電腦斷層檢查呈現如圖,箭號所指之病灶,下列何項診斷最不可能?

詳解
破題關鍵
這張電腦斷層影像顯示骨盆腔內有大量高密度液體(血液)和一個不規則的病灶,這代表病人正經歷急性且嚴重的腹腔內出血,因此要找出最不可能導致這種「急性大出血」的診斷。
選項拆解
妊娠併發症6 / 32
【114-1 醫學(六) 第76題】25 歲女性至急診求診,主訴今日下腹疼痛且陰道有些許出血,平常月經規則,上次月經是 7 週前,urine β -hCG:(+),陰道超音波在 uterus 和 adnexa 都看不到胚囊(gestational sac),血液β-hCG:1300 mIU/mL,病人生命徵象穩定,下列處置何者最適當?
詳解
破題關鍵
子宮內外都看不到胚囊,但懷孕指數卻夠高,這時候要高度懷疑子宮外孕。
選項拆解
-A:錯在「正常懷孕」。雖然 β-hCG 陽性,但超音波看不到胚囊,且有腹痛和出血,這些都是異常懷孕的警訊,不能直接判斷為正常懷孕。
婦科泌尿與生殖道異常7 / 32
【114-1 醫學(六) 第42題】大約多少比例的嬰兒出生時患有生殖泌尿系統異常?
詳解
破題關鍵
先天性生殖泌尿系統異常是常見的出生缺陷之一,其發生率相對較高。
選項拆解
-A:5%。這個比例對於所有生殖泌尿系統異常來說可能偏低,尤其若包含較輕微的異常。
-B:正確。大約 10% 的嬰兒出生時患有某種形式的生殖泌尿系統異常,這是一個相對常見的先天性缺陷。
婦科泌尿與生殖道異常8 / 32
【114-1 醫學(六) 第44題】有關診斷式子宮鏡檢查的敘述,下列何者最不適當?
詳解
破題關鍵
這題考的是診斷式子宮鏡檢查(diagnostic hysteroscopy)的適應症和執行方式。解題核心在於辨別哪一個敘述與臨床實務不符。診斷式子宮鏡通常不需要全身麻醉,可以在門診進行,這是最關鍵的錯誤選項。
選項拆解
婦科泌尿與生殖道異常9 / 32
【114-1 醫學(六) 第57題】應力性尿失禁(stress urinary incontinence)的病生理學,下列敘述何者錯誤?
詳解
破題關鍵
應力性尿失禁的關鍵在於骨盆底支持結構的缺陷。
選項拆解
-A:正確。尿道主要支持系統確實是膀胱頸及尿道近端,這些結構的完整性對於維持尿道閉合壓力至關重要。
婦科腫瘤10 / 32
【114-1 醫學(六) 第29題】22 歲女性,G1P0,被診斷為早期懷孕合併葡萄胎(molar pregnancy),下列何種處置最適合用於懷孕週數 8 ~9 週的 molar pregnancy?
詳解
破題關鍵
早期葡萄胎最安全有效的處理方式是清除子宮內容物。
選項拆解
-A:錯在觀察(observation)。葡萄胎有惡性變化的風險,不能僅僅觀察,需要積極處理。
-B:正確。對於早期(8-9週)的葡萄胎,抽吸式子宮腔搔刮手術是最安全、最有效且最常用的治療方法。
婦科腫瘤11 / 32
【114-1 醫學(六) 第41題】有關子宮肌瘤,下列敘述何者最不適當?
詳解
破題關鍵
子宮內膜消融是針對子宮內膜出血,而不是針對子宮肌瘤本身。
選項拆解
-A:錯在子宮內膜消融 (endometrial ablation) 是針對子宮內膜出血的治療,並不能移除或治療子宮肌瘤本身。因此,它不是子宮肌瘤的手術治療選擇。
婦科腫瘤12 / 32
【114-1 醫學(六) 第43題】下列對於腹腔鏡應用於婦科疾病手術的敘述,何者最不適當?
詳解
破題關鍵
腹腔鏡治療子宮內膜異位症,除了電燒,更重要的是切除病灶以減少復發。
選項拆解
-A:正確。子宮肌瘤切除術 (myomectomy) 需要精細的縫合技巧來修補子宮壁,以減少出血和未來子宮破裂的風險,相較於子宮切除術 (hysterectomy) 僅需切除子宮,縫合技巧要求更高。
婦科腫瘤13 / 32
【114-1 醫學(六) 第49題】58 歲王太太,因為停經後陰道出血來婦科門診檢查,超音波發現子宮內膜厚度 15mm,子宮內膜切片發現 endometrioid carcinoma,因此接受婦癌分期手術,術中及病理結果發現子宮內膜癌向下侵犯到子宮頸和部分陰道,骨盆腔淋巴結和其他器官皆沒有轉移,根據 FIGO staging,病人屬於第幾期?
詳解
破題關鍵
子宮內膜癌的分期重點在於癌細胞侵犯的深度和範圍。
選項拆解
-A:錯在 Stage IB 是指癌細胞侵犯子宮肌層深度超過一半,但仍侷限在子宮體內。題目描述已侵犯到子宮頸和部分陰道。
-B:錯在 Stage II 是指癌細胞侵犯到子宮頸基質,但未侵犯到陰道。題目描述已侵犯到陰道。
婦科腫瘤14 / 32
【114-1 醫學(六) 第50題】下列何者不是常見的上皮性卵巢癌?
詳解
破題關鍵
卵巢癌有不同的組織來源,上皮性卵巢癌是最常見的類型。
選項拆解
-A:漿液性卵巢癌(serous)是上皮性卵巢癌最常見的類型。
-B:黏液性卵巢癌(mucinous)是常見的上皮性卵巢癌之一。
婦科腫瘤15 / 32
【114-1 醫學(六) 第51題】有關子宮頸癌的敘述,下列何者正確?
詳解
破題關鍵
子宮頸癌的發生與人類乳突病毒感染及宿主免疫力息息相關。
選項拆解
-A:錯在子宮頸癌是可以預防的,透過 HPV 疫苗和定期抹片檢查。
婦科腫瘤16 / 32
【114-1 醫學(六) 第52題】經過治療後,子宮頸癌局部復發的處理,下列敘述何者正確?
詳解
破題關鍵
子宮頸癌復發的處理方式,會根據初次治療方式和復發部位來決定。
選項拆解
-A:錯在腫瘤減積手術 (Debulking surgery) 通常用於卵巢癌,目的是盡可能切除腫瘤以提高後續化療效果。子宮頸癌局部復發時,若能完整切除,則為治癒性手術,若無法完整切除,減積手術效果有限。
婦科腫瘤17 / 32
【114-1 醫學(六) 第53題】停經後子宮出血最常見的原因為:
詳解
破題關鍵
停經後出血的原因很多,但最常見的是良性病變。
選項拆解
-A:子宮內膜息肉是停經後出血的常見原因之一,但不是最常見的。
-B:正確。子宮內膜萎縮是停經後出血最常見的原因,因為雌激素缺乏導致子宮內膜變薄、脆弱。
婦科良性疾病與感染18 / 32
【114-1 醫學(六) 第39題】24 歲初胎孕婦,於懷孕 12 週接受尿液砂眼披衣菌(Chlamydia trachomatis)核酸 NAAT 篩檢診斷為砂眼披衣菌感染,首選治療為:
詳解
破題關鍵
懷孕期間砂眼披衣菌感染的首選治療是 Azithromycin 單劑量。
選項拆解
-A:錯在雖然 Amoxicillin 是懷孕期間治療砂眼披衣菌的替代選擇,但通常需要較長的療程 (7天),且不是首選的單劑量治療。
婦科良性疾病與感染19 / 32
【114-1 醫學(六) 第40題】27 歲女性,G1P0A1,昨日開始劇烈右下腹痛,合併些微噁心嘔吐症狀,無陰道出血、發燒、腹瀉症狀,驗孕結果為陰性,腹腔鏡手術發現如下圖,下列何者為最可能診斷?
詳解
破題關鍵
這題的解題核心在於辨識腹腔鏡下卵巢扭轉的典型影像特徵,也就是一個腫脹、顏色發黑、充血的卵巢或輸卵管。
選項拆解
-A:錯在子宮肌瘤通常是子宮本身的病變,且其外觀與圖片中嚴重充血、發黑的卵巢扭轉不同。肌瘤多為實心、顏色較淡的腫塊。
婦科良性疾病與感染20 / 32
【114-1 醫學(六) 第45題】45 歲婦女,因子宮肌瘤接受腹腔鏡輔助子宮切除手術,術後恢復良好,並於術後三日出院。術後二週,因左側腰痛,合併發燒,至急診就診,超音波顯示左側腎臟水腫,最有可能的診斷為何?
詳解
破題關鍵
婦科骨盆腔手術後出現單側腰痛、發燒和腎水腫,最常見的原因是輸尿管損傷。
選項拆解
婦科良性疾病與感染21 / 32
【114-1 醫學(六) 第46題】梅毒(syphilis)有效的治療,其 VDRL 血清檢測(1:32)在 12~24 個月間,其濃度至少應下降達下列何種程度?
詳解
破題關鍵
梅毒治療成功後,VDRL的滴度必須顯著下降,代表感染受到控制。
選項拆解
-A:錯在下降1倍不夠。下降1倍(例如1:32降到1:16)在統計學上可能只是實驗誤差,不足以判斷治療有效。
-B:錯在下降2倍不夠。下降2倍(例如1:32降到1:16)仍不足以判斷治療有效。
婦科良性疾病與感染22 / 32
【114-1 醫學(六) 第47題】一位 28 歲女性來到急診,她主訴為性行為後腹痛,但並無發燒或陰道出血。她的最後一次月經是 25 天前, 骨盆觸診下腹部有反彈痛(rebound pain),檢查發現血壓 90/60 mmHg,Hb 9.5 g/dL,WBC 8,800/mm3,CRP 0.45 mg/dL,尿液妊娠試驗為陰性,超音波發現骨盆腔內有積水。下列何者是最有可能的診斷?
詳解
破題關鍵
育齡女性性行為後急性腹痛、血壓低、貧血、腹腔積水,驗孕陰性,最可能是黃體破裂出血。
選項拆解
婦科良性疾病與感染23 / 32
【114-1 醫學(六) 第48題】下列關於單純性疱疹(herpes simplex)的治療,那一個觀念最正確?
詳解
破題關鍵
抗病毒藥物可以減輕單純性疱疹的症狀,但無法根除病毒。
選項拆解
-A:錯在單純性疱疹病毒無法被根除。病毒會潛伏在神經節中,等待免疫力下降時再次活化。
-B:錯在抗病毒藥物主要作用於病毒複製活躍期,在潛伏期使用效果不佳,因為此時病毒不活躍。
生殖內分泌與不孕24 / 32
【114-1 醫學(六) 第54題】有關人工授精(Intrauterine insemination, IUI),下列敘述何者錯誤?
詳解
破題關鍵
人工授精的成功率受到多種因素影響,包括精蟲品質和排卵時間。
選項拆解
-A:正確。若具有活動力的總精蟲數(total motile sperm count)不到 1,000 萬,IUI 成功機率確實不高,通常建議至少 500 萬以上。
生殖內分泌與不孕25 / 32
【114-1 醫學(六) 第55題】下列何者可抑制泌乳素(prolactin)分泌?
詳解
破題關鍵
泌乳素的分泌主要受到下視丘的抑制性調控。
選項拆解
-A:雌激素(estrogen)在懷孕期間會刺激泌乳素細胞增生,並增加泌乳素的分泌,但它不是主要的抑制因子。
-B:正確。多巴胺(dopamine)是下視丘分泌的泌乳素抑制因子,能有效抑制泌乳素的分泌。
生殖內分泌與不孕26 / 32
【114-1 醫學(六) 第56題】關於 anti-Müllerian hormone(AMH),下列敘述何者正確?
詳解
破題關鍵
抗穆勒氏管荷爾蒙 (AMH) 在性別分化中扮演關鍵角色,特別是在男性生殖系統的發育。
選項拆解
產前照護與分娩27 / 32
【114-1 醫學(六) 第30題】有關 abnormal labor 的敘述,下列何者錯誤?
詳解
破題關鍵
初產婦和經產婦的產程時間定義不同,特別是潛伏期。
選項拆解
-A:錯在 prolonged latent phase 係指初產婦子宮頸未開大於 14 小時。初產婦的潛伏期延長定義為大於20小時,而非14小時。14小時是經產婦的定義。
產前照護與分娩28 / 32
【114-1 醫學(六) 第31題】活動產程(active phase)指子宮頸擴張到幾公分以上的產程?
詳解
破題關鍵
活動產程的起始點,依據最新醫學共識已調整。
選項拆解
-A:錯在 2 公分。2公分仍屬於潛伏期。
-B:錯在 4 公分。4公分是舊的定義,目前已修正。
-C:正確。活動產程(active phase)指子宮頸擴張到6公分以上的產程,這是目前醫學界普遍採用的新定義。
產前照護與分娩29 / 32
【114-1 醫學(六) 第34題】關於生產機轉,羊膜分泌激素刺激子宮肌肉層收縮,圖中★為何種激素?
詳解
破題關鍵
這題的解題核心是了解分娩時,羊膜(amnion)會分泌哪種激素來刺激子宮肌肉層收縮。圖片中,星號(★)明確標示在羊膜層內,並有一條箭頭指向子宮肌肉層(Myometrium),暗示了羊膜分泌的物質作用於子宮。
選項拆解
產前照護與分娩30 / 32
【114-1 醫學(六) 第35題】關於剖腹生產的適應症,下列何者錯誤?
詳解
破題關鍵
剖腹產的適應症通常是為了母體或胎兒的生命安全,或是自然產有明確的困難或風險。
選項拆解
-A:正確。待產時急性胎兒窘迫 (acute fetal distress) 表示胎兒在子宮內有缺氧的危險,需要緊急剖腹產以挽救胎兒生命。
產前照護與分娩31 / 32
【114-1 醫學(六) 第80題】有關易受傷害族群研究的倫理議題,下列敘述何者錯誤?
詳解
破題關鍵
在研究倫理中,只要是無法自主決定或容易被剝削的對象,都屬於易受傷害族群。
選項拆解
-A:錯在「胚胎還不是人,因此不算是易受傷害族群」。即使胚胎的「人」的定義有爭議,但在研究倫理中,胚胎因其無法自主決定且脆弱的特性,被明確列為易受傷害族群,需要特別保護。
胎兒醫學與監測32 / 32
【114-1 醫學(六) 第33題】關於羊膜穿刺,下列敘述何者錯誤?
詳解
破題關鍵
羊膜分泌的激素中,最直接刺激子宮收縮的是前列腺素。
選項拆解