妊娠併發症1 / 32
【108-2 醫學(六) 第77題】一位35歲懷孕28週婦女,因血壓過高至急診就診,經評估後懷疑是子癲前症(pre-eclampsia)。下列何者不是此病之臨床表現?
詳解
破題關鍵
子癲前症的診斷標準是高血壓和蛋白尿,而癲癇是子癲症的表現,不是子癲前症。
選項拆解
-A:高血壓是子癲前症的診斷標準之一。
-B:蛋白尿是子癲前症的診斷標準之一。
-C:寡尿是嚴重子癲前症可能導致的腎功能不全表現。
婦科泌尿與生殖道異常2 / 32
【108-2 醫學(六) 第45題】臨床上測量有無尿道過度移動(urethral hypermobility),常會作cotton swab test 並使用測角器(goniometer) 來測量尿道靜止及移動角度變化,下列何者為診斷尿道過度移動的準則(criteria)?
詳解
破題關鍵
尿道過度移動的診斷標準,是看靜止或用力時的角度變化是否超過30度。
選項拆解
-A:正確。診斷尿道過度移動的標準是靜止或最大用力時的尿道角度大於30度。
-B:錯在「and」。若為「and」,則表示兩個角度都必須大於30度才算,這會導致診斷標準過於嚴苛。
婦科泌尿與生殖道異常3 / 32
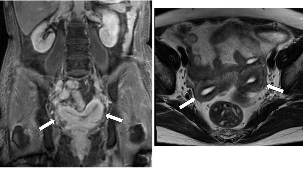
【108-2 醫學(六) 第74題】

一位年輕女性磁振造影檢查呈現如圖,箭號所指之敘述何者最正確?
婦科腫瘤4 / 32
【108-2 醫學(六) 第34題】21歲女性因為左下腹痛求診,內診發現左側卵巢腫大,超音波檢查顯示左側卵巢實質腫瘤,而內含物似乎是骨頭及牙齒。這類腫瘤約有多少百分比是雙側性?
詳解
破題關鍵
卵巢畸胎瘤(皮樣囊腫)是一種常見的卵巢腫瘤,了解其雙側發生率有助於臨床評估。
選項拆解
-A:小於1% 的雙側發生率過低,不符合卵巢畸胎瘤的實際情況。
-B:2%~3% 的雙側發生率偏低。
婦科腫瘤5 / 32
【108-2 醫學(六) 第36題】目前治療晚期(advanced)上皮性卵巢癌化學療法的第一線藥物為何?
詳解
破題關鍵
晚期上皮性卵巢癌的第一線化療,就是鉑金類藥物配上紫杉醇。
選項拆解
-A:cisplatin+5FU (fluorouracil) 這個組合常用於消化道癌症,不是卵巢癌的第一線。
婦科腫瘤6 / 32
【108-2 醫學(六) 第37題】20歲懷孕38週婦女,G1P0,因胎位不正接受剖腹產手術,手術中意外發現左側有一約10公分左右的卵巢腫瘤,右側卵巢外觀正常,術中無腹水,於是行剖腹產後接著行卵巢囊腫摘除術(ovarian cystectomy),術中不慎發生囊腫破裂。術中冰凍切片病理報告為yolk sac tumor。接下來處置以何者為佳?
詳解
破題關鍵
年輕女性的生殖細胞癌,在考慮保留生育能力的前提下,通常會選擇保守性手術加上術後化療。
選項拆解
-A:作完月子後再視當時情況而定。卵黃囊瘤惡性度高,不應延誤治療,必須及早處理。
婦科腫瘤7 / 32
【108-2 醫學(六) 第38題】醫師值班接到一緊急轉診的病患:一位60歲婦女,因卵巢水瘤於診所接受手術,術中發現為一高度懷疑之右側卵巢惡性腫瘤,並已擴散至腹腔中,形成網膜硬塊(omentum cake),但是並無橫膈下或肝臟轉移。該診所未做任何切除手術,將傷口簡單關閉而立刻轉送本院。送至本院時,神智清醒,感覺傷口疼痛,生命徵象穩定,血壓138/86 mmHg,心搏86 bpm,傷口只有五針縫合,微滲血。接下來的處置,何者最適當?
詳解
破題關鍵
晚期卵巢癌的首要治療目標是盡可能地切除腫瘤,稱為減積手術,而且越早做越好。
選項拆解
-A:正確。卵巢癌的治療黃金準則是盡早進行減積手術,以最大程度地切除腫瘤,改善預後。患者生命徵象穩定,應立即安排手術。
婦科腫瘤8 / 32
【108-2 醫學(六) 第39題】下列何者不是邊緣惡性卵巢腫瘤(borderline tumors)的診斷條件(criteria)?
詳解
破題關鍵
邊緣性卵巢腫瘤的定義就是「沒有基質侵犯」,一旦有侵犯,就變成惡性腫瘤了。
選項拆解
-A:上皮細胞呈現乳突狀構造(papillary formation)及偽多層(pseudostratification)。這是邊緣性腫瘤的典型特徵之一,表示細胞增生。
婦科腫瘤9 / 32
【108-2 醫學(六) 第46題】有關人類乳突病毒(HPV)的敘述,下列何者錯誤?
詳解
破題關鍵
HPV第6型和第11型是低危險型,主要引起菜花,不是高危險型。
選項拆解
-A:病理切片上,koilocytosis是HPV感染的特徵。正確。Koilocytosis (凹空細胞) 是HPV感染的典型細胞學表現。
婦科腫瘤10 / 32
【108-2 醫學(六) 第47題】有關處置外陰癌(vulvar cancer),最近的處置原則,不包括下列何者?
詳解
破題關鍵
外陰癌的淋巴廓清手術,現在已經不是一律雙側常規執行,而是會根據腫瘤狀況來決定。
選項拆解
-A:正確。現在的治療趨勢就是根據病患的腫瘤大小、位置、淋巴結狀況等,量身打造最適合的治療方案。
-B:正確。這符合個人化治療的原則,不再是所有病患都必須做常規的骨盆腔淋巴結廓清。
婦科腫瘤11 / 32
【108-2 醫學(六) 第48題】下列那一種妊娠滋養細胞腫瘤(gestational trophoblastic neoplasia, GTN),對化療的反應最差?
詳解
破題關鍵
胎盤處滋養細胞腫瘤 (PSTT) 因為細胞特性,對化療的反應通常比其他滋養細胞腫瘤差。
選項拆解
-A:絨毛腺癌 (choriocarcinoma) 對化療反應非常好,是GTN中對化療最敏感的類型。
婦科腫瘤12 / 32
【108-2 醫學(六) 第49題】因為卵巢生殖細胞瘤(germ cell tumors of the ovary)大多都是單側生長,下列那一種最可能會同時發現兩側都有腫瘤?
詳解
破題關鍵
在卵巢生殖細胞瘤中,無性胚胎瘤是唯一一種有較高比例會雙側發生的。
選項拆解
-A:正確。無性胚胎瘤 (dysgerminoma) 是卵巢生殖細胞瘤中,唯一一種有較高比例(約10-15%)會同時或異時發生雙側腫瘤的類型。
婦科良性疾病與感染13 / 32
【108-2 醫學(六) 第33題】
23歲女性於近兩個月常感覺右下腹疼痛,此疼痛有時改變姿勢可改善症狀,今日則因疼痛加劇且合併有噁心嘔吐之情形就醫。理學檢查發現右下腹有壓痛及反彈痛之情形,經陰道指診發現子宮大小正常,但有觸壓疼痛的情形,同時子宮右邊有腫塊如鵝蛋大小,亦有觸壓疼痛的情形。超音波掃描發現右邊子宮附屬物有腫塊,大小約7×8公分。由於右下腹痛加劇,因此接受腹腔鏡檢查,腹腔鏡檢查發現有下圖之情形,依據圖示此患者最適合之診斷為:

詳解
破題關鍵
這題的解題核心在於將臨床症狀、理學檢查、超音波發現與腹腔鏡影像結合判讀,圖片中卵巢呈現的暗紅色、腫脹、鬱血外觀,是卵巢扭轉導致缺血的典型表現。
選項拆解
婦科良性疾病與感染14 / 32
【108-2 醫學(六) 第67題】關於肌力訓練的描述,下列何者錯誤?
詳解
破題關鍵
等張性運動和等角速度運動是兩種不同的肌肉收縮形式,不能混為一談。
選項拆解
生殖內分泌與不孕15 / 32
【108-2 醫學(六) 第35題】30歲女性,已有連續4次懷孕都在第一孕期就自然流產,醫師建議做夫妻的染色體檢查,結果夫妻中一方有異常,最有可能的異常是:
詳解
破題關鍵
反覆流產,尤其是在第一孕期,最常見的原因是胚胎染色體異常,而夫妻一方有平衡性轉位是導致這種情況的重要遺傳因素。
選項拆解
-A:trisomy 18 (愛德華氏症) 是一種胚胎染色體異常,會導致流產或嚴重的先天缺陷,但通常是隨機發生,較少是父母帶原導致反覆流產。
生殖內分泌與不孕16 / 32
【108-2 醫學(六) 第50題】關於多毛症(hirsutism)治療之敘述,下列何者錯誤?
詳解
破題關鍵
多毛症的治療主要針對雄性激素,medroxyprogesterone acetate不是直接的抗雄性激素藥物。
選項拆解
-A:錯在medroxyprogesterone acetate。它是一種黃體素,不直接用於治療多毛症。
生殖內分泌與不孕17 / 32
【108-2 醫學(六) 第51題】關於高泌乳激素血症(hyperprolactinemia)與泌乳激素腺瘤(prolactin adenoma)之敘述,下列何者錯誤?
詳解
破題關鍵
多巴胺促效劑是治療泌乳激素腺瘤的首選,它們不僅能降泌乳激素,還能有效縮小腫瘤。
選項拆解
-A:Bromocriptine 是短效的多巴胺促效劑,通常需要每日服用,此敘述正確。
-B:Cabergoline 是長效的多巴胺促效劑,通常每週服用1-2次,此敘述正確。
生殖內分泌與不孕18 / 32
【108-2 醫學(六) 第52題】25歲何小姐到院初診,身高156 cm、體重75 Kg、BMI=30.8,臉上有許多青春痘,以前曾經發生過2次長期而量多的出血,上一次月經是3個月前,這3個月,都在每月的15日前後,有1天的微量出血,下列何者為非必要之檢查?
詳解
破題關鍵
這位小姐的症狀高度懷疑是多囊性卵巢症候群 (PCOS),染色體檢查通常不是診斷PCOS的常規必要項目。
選項拆解
生殖內分泌與不孕19 / 32
【108-2 醫學(六) 第53題】試管嬰兒療程中以controlled ovarian stimulation得以同時使多顆濾泡成熟至排卵前的階段,最主要是因為額外給予下列那一種荷爾蒙?
詳解
破題關鍵
試管嬰兒療程中,要讓多顆濾泡同時長大,最關鍵的就是給予額外的高劑量 FSH。
選項拆解
-A:Estradiol (雌性素) 是濾泡生長後分泌的產物,而非直接刺激濾泡生長的主要荷爾蒙。高雌性素環境會對下視丘和腦下垂體產生負回饋,抑制 FSH 和 LH 的分泌,不利於多顆濾泡生長。
生殖內分泌與不孕20 / 32
【108-2 醫學(六) 第54題】有關胚胎植入前基因診斷(preimplantation genetic diagnosis)技術的敘述,下列何者錯誤?
詳解
破題關鍵
胚胎植入前基因診斷 (PGD) 的結果如果是正常女性 (46, XX),最常見的污染來源是母體細胞,因為卵子本身就是母體細胞。
選項拆解
-A:正確。PGD 技術需要在體外受精和胚胎培養的基礎上進行,因此必須配合試管嬰兒療程。
生殖內分泌與不孕21 / 32
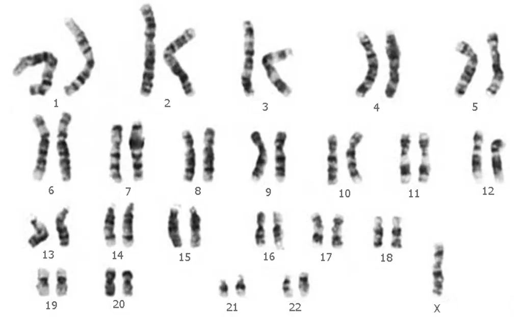
【108-2 醫學(六) 第55題】15歲就讀國三的女生因為至今仍無初經,由媽媽陪同前來看診。她身高140公分,體重35公斤。理學檢查發現無第二性徵,有明顯的蹼狀頸(webbed neck)。媽媽回憶女兒小時候因為先天性心臟病有接受過手術,也帶來過去做的染色體檢查報告,如圖所示。關於這名患者的狀況,下列敘述何者正確?
生殖內分泌與不孕22 / 32
【108-2 醫學(六) 第56題】30歲已婚女性,因為男性因素不孕症的原因,接受試管嬰兒療程(in vitro fertilization)。接受超音波導引取卵手術的隔天,因為噁心、腹漲、呼吸喘等不適回到醫院,診斷是卵巢過度刺激症候群(ovarian hyperstimulation syndrome)。下列何項作法可以降低這項疾病的發生機會?
詳解
破題關鍵
卵巢過度刺激症候群 (OHSS) 的發生與 hCG 刺激有關,因此避免使用 hCG 作為排卵針,並延後胚胎植入是預防 OHSS 的關鍵策略。
選項拆解
-A:增加療程中 gonadotropin 的劑量會增加卵巢過度刺激的風險,與降低 OHSS 發生機會的目標相反。
生殖內分泌與不孕23 / 32
【108-2 醫學(六) 第57題】卵細胞何時完成第一次減數分裂(meiosis I)?
詳解
破題關鍵
卵子完成第一次減數分裂的關鍵信號,是排卵前體內的黃體化激素高峰。
選項拆解
-A:性成熟時 (puberty) 是指卵子開始週期性發育的時期,但完成第一次減數分裂的具體時間點是LH surge。
產前照護與分娩24 / 32
【108-2 醫學(六) 第28題】與一般均衡飲食的孕婦相較,全素(strict vegetarians)的妊娠婦女,最可能缺乏下列何種維生素?
詳解
破題關鍵
全素飲食者因不攝取動物性食品,容易缺乏僅存在於動物性來源的特定營養素。
選項拆解
-A:維生素A (Vitamin A) 存在於動物肝臟、蛋黃等,但其前驅物β-胡蘿蔔素 (beta-carotene) 廣泛存在於深綠色和橘黃色蔬菜水果中,全素者通常可從植物來源攝取足夠。
產前照護與分娩25 / 32
【108-2 醫學(六) 第29題】以真空吸引娩出胎兒,較適合的壓力大約是多少kg/cm2?
詳解
破題關鍵
真空吸引的壓力設定需在有效協助分娩與避免胎兒頭皮損傷之間取得平衡。
選項拆解
-A:0.2 kg/cm2 壓力太低,通常不足以產生足夠的牽引力來協助分娩。
-B:正確。0.6 kg/cm2 是一個常用且安全的真空吸引壓力,能提供足夠的牽引力,同時將胎兒頭皮損傷的風險降至最低。
產前照護與分娩26 / 32
【108-2 醫學(六) 第41題】
如圖所示之生產方式,為何種肩難產輔助方法?
產前照護與分娩27 / 32
【108-2 醫學(六) 第42題】產婦生產會陰部裂傷(perineal laceration)共分四度,第四度裂傷最為嚴重。第四度裂傷代表深度到達下列何種解剖位置?
詳解
破題關鍵
會陰裂傷分四度,第四度就是裂到直腸裡面去了。
選項拆解
-A:陰道黏膜層(vaginal mucosa)。這是第一度裂傷的範圍。
-B:外層肛門括約肌(external anal sphincter)。這是第三度裂傷的範圍。
產前照護與分娩28 / 32
【108-2 醫學(六) 第43題】36歲G2P1孕婦,接受規律產前檢查,並無妊娠相關合併症,主訴已超過預產期2天,自覺胎動頻次稍為減少至門診求診。安排胎心搏監測呈現良好反應(reactive),無規律性子宮收縮;超音波檢查最大羊水池垂直深度(maximum vertical pocket depth) 3.6 cm,預估胎兒體重3,600公克,陰道內診子宮頸未開,破水測試呈現陰性反應。此時的最適當處置為:
詳解
破題關鍵
雖然過期妊娠,但胎兒狀況良好、羊水正常、子宮頸未開,可以繼續觀察。
選項拆解
-A:正確。胎兒監測良好 (reactive NST),羊水正常,沒有其他緊急狀況,可以繼續門診追蹤觀察,不需立即介入。
產前照護與分娩29 / 32
【108-2 醫學(六) 第44題】不建議孕婦於懷孕期間,接受下列那一項預防性疫苗接種?
詳解
破題關鍵
活性減毒疫苗,例如水痘疫苗,在懷孕期間是禁忌,因為可能對胎兒造成風險。
選項拆解
-A:流行性感冒(influenza)。流感疫苗是滅活疫苗 (inactivated vaccine),孕婦可以安全接種,且強烈建議接種以保護母嬰。
胎兒醫學與監測30 / 32
【108-2 醫學(六) 第31題】母乳缺乏下列何種維他命?
詳解
破題關鍵
母乳雖然好,但維他命K的含量不足,新生兒需要額外補充。
選項拆解
-A:Vit.A 含量在母乳中足夠,尤其初乳含量更高。
-B:Vit.D 含量在母乳中相對較低,因此建議母乳哺育的嬰兒補充維他命D,但維他命K的缺乏更為關鍵且需要常規預防性補充。
胎兒醫學與監測31 / 32
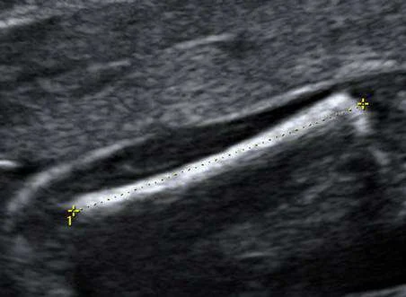
【108-2 醫學(六) 第32題】45歲孕婦,G5P4,妊娠週數不明,接受產科超音波檢查,正在測量標的的名稱(雙十字之間)為何?

詳解
破題關鍵
這張超音波影像顯示的是胎兒的一根長骨,測量標記(雙十字)精準地量測了這根骨頭的長度,這是典型的股骨長度(FL)測量。
選項拆解
-A:錯在 BPD(biparietal diameter)是測量胎兒頭部的雙頂徑,影像中並非胎兒頭部。
胎兒醫學與監測32 / 32
【108-2 醫學(六) 第40題】30歲女性,月經周期規則,根據她最後一次月經來計算,目前懷孕10週,關於胎兒生長發育的敘述,下列何者最不符合?
詳解
破題關鍵
懷孕10週的胎兒,頭臀徑大約只有3公分左右,7公分太大了。
選項拆解
-A:手肘可彎曲。懷孕10週時,胎兒的四肢已經發育,手肘和膝蓋等關節已能彎曲。
-B:錯誤。懷孕10週時,胎兒的頭臀徑約為3公分左右。7公分明顯過大,不符合10週的發育狀況。