妊娠併發症1 / 34
【112-2 醫學(六) 第6題】懷孕25週婦女因闌尾炎須進行腹腔鏡手術,下列有關手術與全身麻醉處置之敘述,何者錯誤?
詳解
破題關鍵
懷孕期間手術和麻醉,首要考量是母體和胎兒的安全,避免任何可能對胎兒造成不良影響的生理變化。
選項拆解
妊娠併發症2 / 34
【112-2 醫學(六) 第29題】對於生命徵象穩定、尚無異常陰道出血或下腹痛的子宮頸懷孕(cervical pregnancy)病患,在臨床上多數會建議及優先採用下列何種處理方式?
詳解
破題關鍵
對於生命徵象穩定且無出血的子宮頸懷孕,藥物治療是首選。
選項拆解
-A:正確。對於生命徵象穩定、無異常陰道出血或下腹痛的子宮頸懷孕,藥物methotrexate注射是優先且有效的治療方式,能避免手術風險並保留子宮。
妊娠併發症3 / 34
【112-2 醫學(六) 第33題】有關產褥熱(puerperal fever)的敘述,下列何者錯誤?
詳解
破題關鍵
產褥熱的定義和常見原因,特別是產後不同時間點的發燒原因。
選項拆解
-A:正確。產褥熱的定義是產後24小時至產後10天內,口溫或耳溫兩次測量超過攝氏38度,且兩次測量間隔至少6小時。
妊娠併發症4 / 34
【112-2 醫學(六) 第37題】一位無過去病史,在懷孕時才初次被診斷妊娠糖尿病之孕婦,目前為飲食控制,其空腹血糖值為95 mg/dL, 飯後2小時之血糖值為115 mg/dL,該孕婦屬於White classification的那一分類?
詳解
破題關鍵
White classification是根據妊娠糖尿病的發病時間、血糖控制方式和有無血管病變來分類。
選項拆解
妊娠併發症5 / 34
【112-2 醫學(六) 第39題】32歲月經28天週期規則的單胞胎初孕婦,於妊娠32週5日因早產性羊膜早破(preterm premature rupture of membranes),未出現羊膜腔內感染(intra-amniotic infection)住院,最不建議下列那一種治療?
詳解
破題關鍵
羊膜早破但沒有感染,要考慮的是安胎和預防感染,而不是強力抑制宮縮。
選項拆解
-A:乙型鏈球菌預防性治療:正確。PPROM患者,若GBS狀態不明或陽性,應給予預防性抗生素。
婦科泌尿與生殖道異常6 / 34
【112-2 醫學(六) 第43題】Mayer-Rokitansky-Küster-Hauser syndrome會有陰道子宮發育不全,有些患者還可能伴隨著下列何種器官系統的異常?
詳解
破題關鍵
MRKH症候群除了生殖系統異常,最常合併的先天性異常是泌尿系統、骨骼系統和聽覺系統。
選項拆解
-A:視覺:錯在視覺。MRKH症候群不常合併視覺異常。
-B:味覺:錯在味覺。MRKH症候群不常合併味覺異常。
-C:嗅覺:錯在嗅覺。MRKH症候群不常合併嗅覺異常。
婦科泌尿與生殖道異常7 / 34
【112-2 醫學(六) 第44題】有關腹腔鏡子宮切除手術時,下列何者不是輸尿管容易受傷的位置?
詳解
破題關鍵
輸尿管在骨盆腔內與子宮相關的解剖路徑,有幾個特別容易受傷的點。
選項拆解
-A:跨過骨盆上緣的位置:正確。這是輸尿管在骨盆腔入口處的危險點之一。
-B:穿過子宮動脈下緣的位置:正確。這是輸尿管在子宮切除術中最常受傷的位置,因為它與子宮動脈交會。
婦科泌尿與生殖道異常8 / 34
【112-2 醫學(六) 第57題】下列有關Pelvic Organ Prolapse Quantification(POP-Q)的敘述何者正確?
詳解
破題關鍵
POP-Q 系統是一種標準化的骨盆器官脫垂評估工具,它詳細定義了多個解剖點和測量值。
選項拆解
婦科腫瘤9 / 34
【112-2 醫學(六) 第42題】有關子宮肌瘤,下列敘述何者最不適當?
詳解
破題關鍵
子宮肌瘤是良性腫瘤,癌變的機率極低,且平滑肌肉癌通常是原發性的。
選項拆解
-A:子宮肌瘤會癌化成平滑肌肉癌:錯誤。子宮肌瘤癌變為平滑肌肉癌的機率極低,且目前主流觀點認為平滑肌肉癌多數是從一開始就是惡性的,而非良性肌瘤轉變而來。
婦科腫瘤10 / 34
【112-2 醫學(六) 第49題】子宮內膜癌(endometrial cancer)大致分成type I和type II,下列有關兩者的描述何者錯誤?
詳解
破題關鍵
子宮內膜癌的兩種主要類型,Type I 和 Type II,在病因、組織學、預後和前驅病變上都有明顯差異。
選項拆解
-A:正確。Type I 子宮內膜癌最常見的組織學類型就是子宮內膜樣癌 (endometrioid type)。
婦科腫瘤11 / 34
【112-2 醫學(六) 第50題】下列何者腫瘤與其特定的腫瘤標記(tumor marker)之配對正確?
詳解
破題關鍵
了解不同婦科腫瘤的特異性腫瘤標記,是診斷和追蹤的關鍵。
選項拆解
-A:錯在 LDH。絨毛膜癌 (choriocarcinoma) 的主要腫瘤標記是 β-hCG,LDH 雖然可能升高,但不是特異性標記。
婦科腫瘤12 / 34
【112-2 醫學(六) 第51題】依據2008 International Federation of Gynecology and Obstetrics(FIGO)手術分期方式,下列何項不會影響子宮內膜癌手術後之期別?
詳解
破題關鍵
子宮內膜癌的 FIGO 分期主要依據腫瘤侵犯的深度、範圍以及淋巴結或遠端轉移,腹腔沖洗液細胞學檢查結果已不影響期別。
選項拆解
婦科腫瘤13 / 34
【112-2 醫學(六) 第52題】有關子宮頸癌的分期,下列敘述何者錯誤?
詳解
破題關鍵
子宮頸癌的 FIGO 分期是臨床分期,主要依據臨床檢查結果,而非手術發現。
選項拆解
-A:正確。2018年 FIGO 子宮頸癌新分期確實納入了影像學檢查 (如 MRI、CT、PET) 的結果,這是一個重要的改變。
婦科腫瘤14 / 34
【112-2 醫學(六) 第53題】關於子宮頸小細胞癌(small cell carcinoma)之敘述,下列何者正確?
詳解
破題關鍵
子宮頸小細胞癌是一種罕見且高度惡性的神經內分泌腫瘤,其生物學行為與常見的鱗狀上皮癌有顯著差異。
選項拆解
-A:錯在 60% 是轉移。子宮頸小細胞癌大多是原發性的,而非由肺部小細胞癌轉移過來。
婦科良性疾病與感染15 / 34
【112-2 醫學(六) 第40題】關於腹腔鏡在卵巢子宮內膜異位(endometriosis)的手術,下列敘述何者最不適當?
詳解
破題關鍵
完整切除病灶的手術,目的是降低復發率,而不是增加。
選項拆解
-A:子宮內膜異位瘤常沾黏至骨盆側壁:正確。嚴重的子宮內膜異位症常伴隨骨盆腔內廣泛的沾黏,包括卵巢與骨盆側壁的沾黏。
婦科良性疾病與感染16 / 34
【112-2 醫學(六) 第45題】下列何者不是骨盆腔發炎(pelvic inflammatory disease)常見的症狀?
詳解
破題關鍵
骨盆腔發炎 (PID) 是生殖道感染,其症狀與泌尿道感染不同。
選項拆解
-A:骨盆腔疼痛:正確。這是PID最常見的症狀之一。
-B:發燒:正確。感染發炎常伴隨發燒。
-C:子宮頸位移痛:正確。這是PID在婦科檢查中的一個重要診斷指標。
婦科良性疾病與感染17 / 34
【112-2 醫學(六) 第48題】外陰部反覆發作的多處疼痛性潰瘍,最可能的診斷是下列何者?
詳解
破題關鍵
外陰部「反覆發作」的「多處疼痛性潰瘍」是單純性疱疹的典型特徵。
選項拆解
-A:梅毒:錯在疼痛性。梅毒初期潰瘍 (chancre) 通常是無痛的。
-B:單純性疱疹:正確。單純性疱疹的典型特徵就是外陰部多處、疼痛性潰瘍,且具有反覆發作的傾向。
婦科良性疾病與感染18 / 34
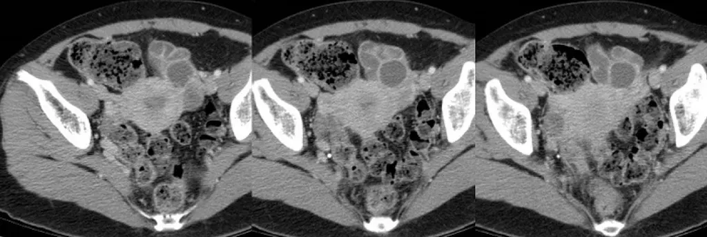
【112-2 醫學(六) 第72題】26歲女性病人,因下腹痛及發燒接受電腦斷層檢查(如附圖)。最可能之診斷為何?

詳解
破題關鍵
這張電腦斷層影像顯示骨盆腔內有一個複雜、多房性且周圍發炎明顯的病灶,結合病人有下腹痛和發燒的症狀,最符合感染性膿瘍的表現。
選項拆解
生殖內分泌與不孕19 / 34
【112-2 醫學(六) 第30題】早期懷孕之蛻膜(decidua)組織中何種免疫細胞最多,以調控胎盤滋養細胞(cytotrophoblast)之侵襲 (invasion)和螺旋動脈重塑(spiral artery remodeling)?
詳解
破題關鍵
早期懷孕蛻膜中,數量最多且對胎盤發育至關重要的免疫細胞是自然殺手細胞。
選項拆解
-A:巨噬細胞 (macrophage)。蛻膜中也有巨噬細胞,但數量不如uNK cell多,主要參與免疫調節和組織重塑。
生殖內分泌與不孕20 / 34
【112-2 醫學(六) 第46題】於早期懷孕發生流產的孕婦,約有多少比率會有先天性子宮異常?
詳解
破題關鍵
先天性子宮異常在一般人群和反覆流產人群中的盛行率不同。
選項拆解
-A:1~5%:錯在比率過低。這是接近一般人群的盛行率,而非早期流產孕婦的盛行率。
-B:5~10%:正確。在早期懷孕發生流產的孕婦中,先天性子宮異常的發生率約為5-10%。
生殖內分泌與不孕21 / 34
【112-2 醫學(六) 第47題】關於假性陰陽人(pseudohermaphroditism),下列何者錯誤?
詳解
破題關鍵
假性陰陽人的定義是染色體性別與外生殖器不符,但性腺與染色體性別一致,且性腺通常不會異常增大。
選項拆解
-A:其外生殖器的樣子,與其染色體性別不同:正確。這是假性陰陽人的定義。
生殖內分泌與不孕22 / 34
【112-2 醫學(六) 第54題】試管嬰兒療程中,下列何者不是預防卵巢過度刺激症候群(ovarian hyperstimulation syndrome, OHSS)的方法?
詳解
破題關鍵
卵巢過度刺激症候群 (OHSS) 的預防策略主要圍繞著減少卵巢反應、避免或替代 hCG 破卵,以及減少懷孕機會或多胎妊娠。
選項拆解
-A:正確。減少促性腺激素 (gonadotropin) 注射劑量可以降低卵巢的反應,從而減少 OHSS 的風險。
生殖內分泌與不孕23 / 34
【112-2 醫學(六) 第55題】下列關於人類卵細胞的敘述,何者正確?
詳解
破題關鍵
女性生殖細胞的發育過程在出生前就已完成大部分,並在不同階段停滯。
選項拆解
-A:正確。女嬰出生前,卵巢內的卵原細胞 (oogonium) 就已經全部發育為初級卵母細胞 (primary oocyte),並停滯在減數分裂I的前期。
生殖內分泌與不孕24 / 34
【112-2 醫學(六) 第56題】多囊性卵巢症候群(polycystic ovary syndrome, PCOS)是造成排卵功能異常的常見內分泌疾病,根據2003年的鹿特丹共識會議,下列何者不是多囊性卵巢症候群的診斷條件?
詳解
破題關鍵
鹿特丹共識會議 (Rotterdam criteria) 明確定義了多囊性卵巢症候群 (PCOS) 的診斷標準,必須符合三項中的兩項。
選項拆解
產前照護與分娩25 / 34
【112-2 醫學(六) 第7題】有關產婦硬脊膜外止痛(labor epidural analgesia),下列敘述何者錯誤?
詳解
破題關鍵
硬脊膜外止痛的施打時機,重點在於「需要時」就可以打,而不是等到子宮頸開到特定程度。
選項拆解
-A:正確。第一產程的疼痛主要來自子宮收縮,傳導路徑是T10-L1神經節段。
產前照護與分娩26 / 34
【112-2 醫學(六) 第28題】28歲女性,G3P2,目前子宮腔內懷孕7週,來到門診作藥物終止懷孕的諮詢。關於第一孕期終止妊娠的藥物使用,下列何種藥物組合在實務上不會建議病患使用?
詳解
破題關鍵
藥物終止懷孕的組合,通常會選擇效果較好且副作用較低的藥物。
選項拆解
-A:misoprostol alone。雖然單獨使用misoprostol效果較差,但仍是一種可能的藥物終止懷孕方式,尤其在mifepristone不可得時。
產前照護與分娩27 / 34
【112-2 醫學(六) 第31題】有關會陰裂傷分級,下列敘述何者錯誤?
詳解
破題關鍵
會陰裂傷分級的關鍵在於肛門括約肌受損的程度。
選項拆解
-A:正確。第1度裂傷僅傷及陰道上皮 (vaginal epithelium) 或會陰皮膚 (perineal skin),不涉及肌肉。
產前照護與分娩28 / 34
【112-2 醫學(六) 第32題】有關剖腹生產的潛在合併症,下列敘述何者錯誤?
詳解
破題關鍵
剖腹產與自然產的合併症差異,重點在於生產方式對身體不同部位的影響。
選項拆解
-A:正確。剖腹產是手術,通常出血量會比自然生產多。
-B:正確。手術會增加靜脈血栓栓塞 (venous thromboembolism, VTE) 的風險,因此剖腹產產婦發生靜脈血栓的機率較高。
產前照護與分娩29 / 34
【112-2 醫學(六) 第35題】關於剖腹產時的傷口預防感染,若前胎剖腹的產婦身高161公分,孕前體重60公斤,產前體重70公斤,無內外科合併症且表皮清潔乾淨,產婦對盤尼西林過敏,則下列處置何者最適當?
詳解
破題關鍵
剖腹產預防感染的抗生素選擇,需考慮過敏史和體重。
選項拆解
-A:1.5 mg cefazolin每8小時給與注射。Cefazolin是首選,但產婦對盤尼西林過敏,因此不適用。且預防性抗生素通常單次給予或術後短時間內給予,而非每8小時注射。
產前照護與分娩30 / 34
【112-2 醫學(六) 第36題】下列何者並非產後哺乳之禁忌症?
詳解
破題關鍵
哺乳禁忌症主要考量病毒是否會透過母乳傳染給嬰兒,或藥物是否會影響嬰兒。
選項拆解
-A:錯在敘述。化學治療藥物會透過母乳進入嬰兒體內,對嬰兒造成潛在危害,因此是哺乳的禁忌症。
-B:正確。C型肝炎病毒透過母乳傳染的風險極低,因此不是哺乳的禁忌症。
胎兒醫學與監測31 / 34
【112-2 醫學(六) 第34題】有關脊髓性肌肉萎縮症(spinal muscular atrophy, SMA)的敘述,下列何者正確?
詳解
破題關鍵
脊髓性肌肉萎縮症 (SMA) 的主要致病基因和遺傳模式。
選項拆解
-A:正確。大多數SMA患者是由染色體5q13.2上的SMN1基因突變或缺失所造成。
胎兒醫學與監測32 / 34
【112-2 醫學(六) 第38題】孕婦感染茲卡病毒(Zika virus)垂直傳播(vertical transmission)給胎兒後導致的先天性茲卡症(congenital Zika syndrome),最嚴重的胎兒異常在下列那個器官系統?
詳解
破題關鍵
茲卡病毒對胎兒的影響,最可怕的就是腦部發育。
選項拆解
-A:正確。茲卡病毒對胎兒腦部的影響最嚴重,導致小頭症及其他神經發育異常。
-B:錯在肺臟。茲卡病毒主要攻擊神經系統,對肺臟的直接嚴重影響較不常見。
-C:錯在心臟。茲卡病毒對心臟的直接嚴重影響較不常見,主要目標是腦部。
胎兒醫學與監測33 / 34
【112-2 醫學(六) 第66題】懷孕婦女的飲食中加入葉酸(folic acid),已有研究證實有助於降低胎兒罹患下列何種疾病的發生機率?
詳解
破題關鍵
葉酸在胎兒發育早期扮演關鍵角色,特別是神經系統的形成。
選項拆解
-A:錯在腦性麻痺。腦性麻痺 (cerebral palsy) 是一種影響運動和姿勢的永久性非進行性疾病,通常與出生前後的腦損傷有關,與葉酸補充無直接關聯。
胎兒醫學與監測34 / 34
【112-2 醫學(六) 第80題】28歲女性懷孕18週,接受第二孕期母血唐氏症篩檢,結果顯示胎兒得唐氏症的機率是1/30,孕婦要求進行人工流產,下列處置何者最適宜?
詳解
破題關鍵
母血篩檢只是風險評估,不能直接診斷,需要確診才能做進一步決定。
選項拆解
-A:錯在母血篩檢結果高風險不等於確診,不能直接以此為依據進行人工流產。
-B:正確。母血篩檢只是風險評估,不能直接診斷。在決定人工流產前,必須透過羊膜穿刺等診斷性檢查來確認胎兒是否真的罹患唐氏症。