妊娠併發症1 / 34
【113-1 醫學(六) 第33題】有關胎盤早期剝離的臨床診斷,下列敘述何者錯誤?
詳解
破題關鍵
胎盤早期剝離的出血通常伴隨劇烈腹痛,與前置胎盤的無痛性出血不同。
選項拆解
-A:錯在胎盤早期剝離的典型症狀是「有痛性」的陰道出血,伴隨劇烈腹痛和子宮觸痛。無痛性陰道出血是前置胎盤 (placenta previa) 的典型表現。
妊娠併發症2 / 34
【113-1 醫學(六) 第34題】一位 36 歲 G3P2 之經產婦,懷孕 38 週住院待產, 自訴一小時前開始規則宮縮,住院時子宮頸擴張約 7 公分,一小時後產下一名女嬰,下列何者是這位產婦最可能發生之風險?
詳解
破題關鍵
經產婦、產程進展極快 (一小時內從 7 公分到生產),提示子宮過度疲勞或收縮過快,增加產後出血風險。
選項拆解
-A:錯在神經受傷 (nerve injury) 雖然可能發生,但急產本身並非導致神經受傷的主要風險,通常與胎頭壓迫或產鉗使用有關。
妊娠併發症3 / 34
【113-1 醫學(六) 第35題】一位 31 歲懷孕 22 週 G2P1 的孕婦,來產檢時超音波檢查發現如附圖。她前一胎於懷孕 33 週時自發性早產 (spontaneous preterm),依她目前的狀況,下列何者是最適合的處置?
詳解
破題關鍵
這位孕婦有早產病史,且超音波顯示子宮頸明顯縮短並有漏斗狀變化,這代表子宮頸閉鎖不全,最適合的處置是子宮頸環紮術。
選項拆解
妊娠併發症4 / 34
【113-1 醫學(六) 第37題】孕婦患有妊娠糖尿病且需要使用胰島素治療的相關敘述孕婦患有妊娠糖尿病且需要使用胰島素治療的相關敘述,下列何者最不適宜?
詳解
破題關鍵
妊娠糖尿病的胰島素治療需要模擬生理胰島素分泌模式,通常會結合基礎胰島素和餐前速效胰島素,而非單純使用長效劑型。
選項拆解
-A:正確。胰島素的起始劑量通常根據孕婦體重和懷孕週數來估算,0.7-1.0單位/公斤/天是一個常見的參考範圍,但需根據血糖反應調整。
妊娠併發症5 / 34
【113-1 醫學(六) 第38題】懷孕期間的高血壓用藥最不建議使用下列何者懷孕期間的高血壓用藥最不建議使用下列何者?
詳解
破題關鍵
血管張力素轉化酶抑制劑 (ACEI) 和血管張力素受體阻斷劑 (ARB) 在懷孕期間有明確的胎兒毒性,是禁忌藥物。
選項拆解
妊娠併發症6 / 34
【113-1 醫學(六) 第39題】關於妊娠肝內膽汁淤積症(intrahepatic cholestasis of pregnancy, ICP),最直接導致胎兒不良預後的孕婦血清異常為:
詳解
破題關鍵
妊娠肝內膽汁淤積症 (ICP) 的核心病理生理學是膽汁酸代謝異常,高濃度的膽汁酸直接穿過胎盤對胎兒造成毒性,導致不良預後。
選項拆解
婦科泌尿與生殖道異常7 / 34
【113-1 醫學(六) 第55題】有關青春期之前的陰道出血,下列敘述何者錯誤?
詳解
破題關鍵
青春期前陰道出血的鑑別診斷廣泛,不能僅憑有無第二性徵發育就完全排除性早熟。
選項拆解
-A:正確。幼兒的生殖道、泌尿道和腸胃道開口接近,出血可能來自任何一個系統,因此在診斷時必須同時考慮這三者的病因。
婦科泌尿與生殖道異常8 / 34
【113-1 醫學(六) 第57題】關於婦女尿失禁之敘述,下列何者錯誤?
詳解
破題關鍵
應力性尿失禁的盛行率在不同年齡層有其高峰,並非單純隨年齡一直上升。
選項拆解
-A:正確。白種女性相較於其他種族,確實有較高的應力性尿失禁盛行率,這可能與骨盆結構或結締組織特性有關。
婦科泌尿與生殖道異常9 / 34
【113-1 醫學(六) 第61題】下列何者不是「前大腦動脈中風」常見之臨床症狀?
詳解
破題關鍵
前大腦動脈中風的症狀主要影響下肢、對側肢體無力、行為和尿失禁。
選項拆解
-A:正確。伸展性僵硬 (paratonic rigidity) 是一種額葉損傷的表現,患者在被動活動肢體時會出現不自主的阻力,是ACA中風的常見症狀。
婦科腫瘤10 / 34
【113-1 醫學(六) 第29題】25 歲女性因最近一天內出現大量陰道出血而來到急診就診,這位女性自述:最近一週出現嚴重噁心感、最後一次月經開始日為 6 週前、自行驗孕尿液懷孕試驗呈陽性反應,到急診時,其血壓為 140/90 mmHg、心跳每分鐘 120 下,身體理學檢查發現其子宮大小約為懷孕 12 週、子宮頸長度正常且子宮頸口關閉未開,抽血檢驗發現血清β-人類絨毛膜刺激激素(β-subunit human chorionic gonadotropin, β-hCG)值為 400,000 mIU/mL,骨盆腔超音波檢查發現如圖所示:在子宮腔內充滿雜回音性的(mixed echogenic)組織且伴隨很多的低回音性的囊狀間隙(anechoic cystic spaces)、似暴風雪狀(snowstorm appearance)、看不到羊膜囊或胎兒發育。下列何者為最正確的診斷?
詳解
破題關鍵
這題的解題核心在於辨識超音波影像中「暴風雪狀」的特徵,並結合臨床上異常高的β-hCG值和子宮大小與預期不符的線索。圖片中子宮腔內充滿了不均勻的雜回音性組織,其中散佈著許多小小的低回音性囊狀間隙,這正是妊娠滋養層細胞疾病(特別是葡萄胎)的典型超音波表現。
選項拆解
婦科腫瘤11 / 34
【113-1 醫學(六) 第40題】下列選項何者較不適用於腹腔鏡微創手術?
詳解
破題關鍵
腹腔鏡微創手術雖然應用廣泛,但對於較晚期的惡性腫瘤(如第二期子宮頸癌),由於需要進行廣泛性手術和淋巴結廓清,通常會優先考慮傳統開腹手術或放射線治療。
選項拆解
婦科腫瘤12 / 34
【113-1 醫學(六) 第45題】自成熟的卵巢畸胎瘤(mature ovarian teratoma)中長出的惡性腫瘤,其中最常見的是:
詳解
破題關鍵
畸胎瘤中含有多種組織,其中最常惡變的是鱗狀上皮細胞。
選項拆解
-A:錯在 serous cystadenocarcinoma (漿液性囊腺癌) 是最常見的上皮性卵巢癌,但不是成熟畸胎瘤惡變中最常見的類型。
婦科腫瘤13 / 34
【113-1 醫學(六) 第48題】關於子宮頸內皮贅瘤(cervical intraepithelial neoplasia, CIN)及人類乳突病毒(HPV)的敘述,下列何者錯誤?
詳解
破題關鍵
CIN 1 的自然消退率其實很高,遠超過 30%。
選項拆解
-A:錯在 CIN 1 在 2 年內消退為正常的機率約為 60-70%,甚至更高,30% 是明顯偏低的數據。
婦科腫瘤14 / 34
【113-1 醫學(六) 第49題】有關卵巢生殖細胞腫瘤及其分泌的標記物質,下列何者錯誤?
詳解
破題關鍵
記住不同生殖細胞腫瘤的「特色」標記物,尤其是 AFP 和 hCG。
選項拆解
-A:正確。Dysgerminoma 通常不分泌 AFP 和 hCG。
婦科腫瘤15 / 34
【113-1 醫學(六) 第50題】30 歲婦女,已結婚但未生小孩,抹片異常,內診發現子宮頸 1 cm 腫瘤,切片檢查結果為侵襲性鱗狀細胞癌 (invasive squamous cell carcinoma),基質侵襲深度為 5 mm,骨盆腔電腦斷層及膀胱鏡檢查正常。病人詢問可否保留生育能力,你的回答是:
詳解
破題關鍵
早期子宮頸癌且有生育需求的患者,在符合條件下可考慮子宮頸部根除術。
選項拆解
-A:錯在對於符合條件的早期子宮頸癌患者,並非一律需要子宮根除術,尤其在有生育需求時。
-B:錯在放射線治療會導致不孕,因此不適用於有生育需求的患者。
婦科腫瘤16 / 34
【113-1 醫學(六) 第51題】下列何者不是子宮內膜癌(endometrial carcinoma)的危險因子?
詳解
破題關鍵
子宮內膜癌主要與雌激素過度刺激有關,而經產婦因懷孕期間黃體素保護,反而降低風險。
選項拆解
-A:錯在肥胖是子宮內膜癌的危險因子。脂肪組織會將雄性素轉化為雌激素,增加體內雌激素水平。
婦科腫瘤17 / 34
【113-1 醫學(六) 第52題】感染人類乳突病毒(HPV)會導致子宮頸癌,機轉是因為 HPV 的病毒蛋白會經由和腫瘤抑制基因之相互作用而影響了細胞的生長和分化,下列何者是引發此致癌機轉的 HPV 病毒蛋白?
詳解
破題關鍵
HPV的E6和E7蛋白是致癌的關鍵,它們分別作用於p53和Rb腫瘤抑制蛋白。
選項拆解
-A:錯在 E1 和 E2 蛋白主要參與 HPV 病毒的複製和基因表達調控,不是主要的致癌蛋白。
婦科腫瘤18 / 34
【113-1 醫學(六) 第53題】關於上皮性卵巢癌的敘述,下列何者正確?
詳解
破題關鍵
漿液性腺癌是上皮性卵巢癌中最常見的類型。
選項拆解
-A:正確。漿液性腺癌 (serous adenocarcinoma) 是上皮性卵巢癌中最常見的細胞型態,尤其以高惡性度漿液性癌 (high-grade serous ovarian cancer) 為主。
婦科腫瘤19 / 34
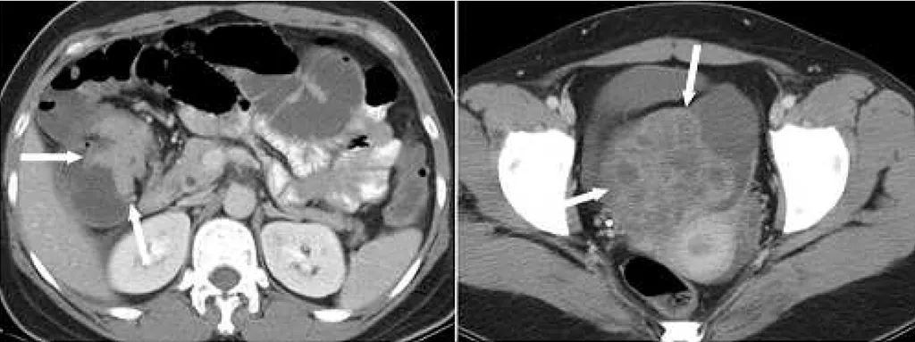
【113-1 醫學(六) 第74題】37 歲女性病人經電腦斷層檢查,發現影像中箭號所指處有結腸肝彎處腫瘤阻塞,合併右側卵巢多囊性腫瘤,下列有關卵巢的診斷何者最恰當?

詳解
破題關鍵
這題的解題核心在於「結腸肝彎處腫瘤阻塞」合併「右側卵巢多囊性腫瘤」,當消化道原發腫瘤與卵巢腫瘤同時出現時,要高度懷疑卵巢腫瘤是轉移性的,尤其是Krukenberg tumor。圖片中左右兩張CT影像分別清楚顯示了腸道腫瘤和卵巢腫瘤。
選項拆解
婦科腫瘤20 / 34
【113-1 醫學(六) 第78題】33 歲已婚女性未育有兒女,因異常抹片進一步檢查後,診斷為子宮頸鱗狀上皮細胞癌 IA1 期,病人仍有生育考量,惟考慮影響後續治療,下列臨床建議何者最適當?
詳解
破題關鍵
IA1期子宮頸癌是早期癌症,若病人有生育考量,可選擇保留子宮的治療方式。
選項拆解
-A:錯在「立即懷孕,生產時同時進行子宮切除」。癌症治療不應延誤,且生產時同時切除子宮並非標準做法,會增加手術風險。
婦科良性疾病與感染21 / 34
【113-1 醫學(六) 第8題】下列何項藥物是治療典型三叉神經痛(Trigeminal Neuralgia)的首選藥物?
詳解
破題關鍵
典型三叉神經痛的治療,首選是特定的抗癲癇藥物。
選項拆解
-A:錯在 pregabalin 雖然用於治療神經病變性疼痛,但通常是三叉神經痛的二線或輔助用藥,而非首選。
婦科良性疾病與感染22 / 34
【113-1 醫學(六) 第41題】43 歲女性,G2P2,主訴平時月經來有經痛情形、經血量正常,近日未有不正常分泌物,CA125 為 67 U/mL, 超音波檢查發現右側卵巢一均質低迴音之 5 公分囊腫;下列何者為最可能之診斷?
詳解
破題關鍵
經痛、CA125輕度升高、以及超音波下卵巢均質低迴音囊腫(巧克力囊腫的典型表現),這些線索高度指向子宮內膜異位症。
選項拆解
-A:錯在臨床表現不符。輸卵管卵巢膿瘍通常伴有急性感染症狀,如發燒、劇烈腹痛,且超音波影像通常更複雜,與題目描述的「無不正常分泌物」和「均質低迴音」不符。
婦科良性疾病與感染23 / 34
【113-1 醫學(六) 第43題】外陰生殖器尖形濕疣(genital warts),最常導因於下列何種病毒的感染?
詳解
破題關鍵
尖形濕疣 (genital warts) 主要由低風險型人類乳突病毒 (HPV) 引起,其中 HPV 6 和 11 是最常見的兩種亞型。
選項拆解
-A:錯在主要引起癌症。HPV 16 和 18 是高風險型 HPV,主要與子宮頸癌及其他生殖器癌症相關,而非尖形濕疣。
婦科良性疾病與感染24 / 34
【113-1 醫學(六) 第44題】對於細菌性陰道炎(bacterial vaginosis),下列何種治療較為有效?
詳解
破題關鍵
細菌性陰道炎 (BV) 的治療主要針對厭氧菌,metronidazole 和 clindamycin 是最有效的廣譜抗厭氧菌藥物。
選項拆解
婦科良性疾病與感染25 / 34
【113-1 醫學(六) 第46題】下列何者是盛行率(prevalence rate)最高的婦女生殖道傳染病?
詳解
破題關鍵
HPV感染在性活躍族群中非常普遍,是生殖道傳染病中盛行率最高的。
選項拆解
-A:正確。HPV 感染的盛行率遠高於其他選項,許多人可能在不知情的情況下感染並清除病毒。
-B:錯在單純性疱疹病毒 (HSV) 感染的盛行率雖然也高,但通常低於 HPV 感染。
婦科良性疾病與感染26 / 34
【113-1 醫學(六) 第47題】關於子宮內膜異位瘤(endometrioma)術後復發的敘述,下列何者錯誤?
詳解
破題關鍵
子宮內膜異位瘤術後復發率高,但與病灶的左右側位置無關。
選項拆解
-A:正確。子宮內膜異位瘤術後 2 年的復發率確實約在 4~25% 之間,顯示其復發風險不低。
-B:正確。術後使用口服避孕藥可以抑制卵巢功能,減少子宮內膜異位組織的活性,有效降低復發率。
生殖內分泌與不孕27 / 34
【113-1 醫學(六) 第30題】妊娠 8 週以後,母親血液中之黃體素(progesterone)主要來自下列何種組織分泌?
詳解
破題關鍵
懷孕初期黃體素由黃體分泌,但進入中期後,胎盤接手成為主要來源。
選項拆解
-A:錯在母親卵巢黃體 (corpus luteum of maternal ovary) 在懷孕早期是黃體素的主要來源,但約在 8-10 週後其功能會逐漸退化,由胎盤接替。
生殖內分泌與不孕28 / 34
【113-1 醫學(六) 第42題】子宮鏡可以用來診斷子宮腔內病灶,下列何者較少考慮使用子宮鏡來診斷?
詳解
破題關鍵
子宮鏡 (hysteroscopy) 是一種直接觀察子宮腔內部病灶的工具,對於子宮腔外的病變(如輸卵管問題)則無法直接診斷。
選項拆解
生殖內分泌與不孕29 / 34
【113-1 醫學(六) 第54題】下列何者不屬於輔助生殖科技(assisted reproductive technology, ART)?
詳解
破題關鍵
輔助生殖科技 (ART) 指的是在體外操作配子或胚胎的技術。
選項拆解
-A:正確。體外受精 (in vitro fertilization, IVF) 是將卵子和精子在體外結合受精,然後將胚胎植入子宮,是典型的 ART。
產前照護與分娩30 / 34
【113-1 醫學(六) 第31題】關於使用產鉗生產的先決條件,下列敘述何者最不適當?
詳解
破題關鍵
產鉗使用有嚴格的條件,其中胎頭位置和子宮頸擴張是核心。
選項拆解
-A:破水後方能使用。這是正確的先決條件,因為胎膜破裂才能確保產鉗能正確夾住胎頭。
產前照護與分娩31 / 34
【113-1 醫學(六) 第32題】異常產程(產程遲滯)的處置,下列何者錯誤?
詳解
破題關鍵
潛伏期延長通常不需要積極催生,而是休息和觀察。
選項拆解
-A:當初胎的 latent phase 超過 20 小時,定義為 prolonged latent phase。這是正確的定義。
產前照護與分娩32 / 34
【113-1 醫學(六) 第36題】有一位 35 歲懷孕 38 週 G2P1 的孕婦 ,三年前因胎位不正接受剖腹生產,此胎她想要嘗試剖腹產後陰道分娩此胎她想要嘗試剖腹產後陰道分娩 (trial trial of labor after cesarean delivery, TOLAC)。若與選擇性重複剖腹生產 TOLAC 若與選擇性重複剖腹生產(elective repeat cesarean delivery)比較,下列何者於下列何者於 TOLAC 時對母體之風險(maternal maternal complication)較不會增加? complication
詳解
破題關鍵
TOLAC雖然會增加子宮裂開的風險,但整體而言,子宮切除的總體風險與重複剖腹產相比,並沒有顯著增加。
選項拆解
-A:錯在會增加。TOLAC,特別是如果發生子宮裂開,會導致大量出血,顯著增加輸血的風險。
產前照護與分娩33 / 34
【113-1 醫學(六) 第79題】一般醫學研究中所指的易受傷害族群,下列何者最不符合?
詳解
破題關鍵
易受傷害族群是指在研究中可能因其特定狀況而更容易受到傷害或剝削的群體。
選項拆解
-A:兒童。正確。兒童因其心智發展尚未成熟,無法完全理解研究內容並給予知情同意,因此被視為易受傷害族群。
-B:孕婦。正確。孕婦和胎兒因其生理特殊性,在研究中需特別保護,避免對胎兒造成潛在風險。
胎兒醫學與監測34 / 34
【113-1 醫學(六) 第28題】一位 30 歲孕婦妊娠 12 週,產檢時超音波發現胎兒頸部透明帶厚度 3.3 mm,下列敘述何者正確?
詳解
破題關鍵
頸部透明帶增厚是染色體異常和結構異常的篩檢指標,需要進一步確診。
選項拆解
-A:錯在頸部透明帶增厚只是風險增加,並非確診,不能立即建議終止妊娠。
-B:正確。頸部透明帶增厚是胎兒染色體異常 (特別是唐氏症) 的重要篩檢指標。3.3 mm 屬於明顯增厚,提示風險高。