周邊與顱神經疾病1 / 13
【108-2 醫學(四) 第54題】下列關於顱神經病變之敘述,何者錯誤?
詳解
本題考核重點為相關概念的臨床應用,需理解基本原理並結合題目情境進行推導分析...
神經感染與發炎2 / 13
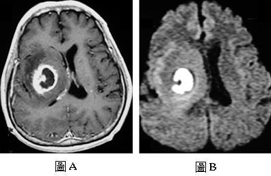
【108-2 醫學(四) 第75題】

50歲男性患者,主訴左側肢體無力已經二個星期,接受磁振造影檢查,圖A是注射顯影劑後的T1加權影像,圖B是擴散加權影像(diffusion-weighted image),下列何者是最可能的診斷?
詳解
本題考核重點為相關概念的臨床應用,需理解基本原理並結合題目情境進行推導分析...
神經肌肉與運動神經元疾病3 / 13
【108-2 醫學(四) 第56題】52歲男性主訴雙手漸進性肌肉萎縮及無力,之後伴隨言語及吞嚥困難,神經學檢查發現舌頭及手腳肌肉萎縮、肌束震顫(fasciculation)和深部肌腱反射增強,但感覺系統並無異常。下列何者為最可能之診斷?
詳解
本題考核重點為相關概念的臨床應用,需理解基本原理並結合題目情境進行推導分析...
腦血管疾病4 / 13
【108-2 醫學(四) 第27題】凝血酶原時間(Prothrombin time, PT)延長,但活化部分凝血活酶時間(activated partial thromboplastin time, aPTT)正常,最常是因為下列那一因子缺乏所造成?
詳解
本題考核重點為相關概念的臨床應用,需理解基本原理並結合題目情境進行推導分析...
腦血管疾病5 / 13
【108-2 醫學(四) 第44題】40歲男性,自2個月前開始有漸進性的右側耳鳴,此耳鳴與脈搏頻率相近,夜間會較大聲且影響其睡眠,並有右側耳後枕部頭痛。最可能的診斷為何?
詳解
本題考核重點為相關概念的臨床應用,需理解基本原理並結合題目情境進行推導分析...
腦血管疾病6 / 13
【108-2 醫學(四) 第45題】75歲男性,有高血壓及心房顫動多年,突發右側肢體偏癱與意識混沌而送至急診。至急診的時間為症狀發生後1小時,初步的腦部CT未顯示腦出血,下列何種狀況不適合使用靜脈血栓溶解藥物(tissue plasminogen activator, tPA)治療?
詳解
本題考核重點為相關概念的臨床應用,需理解基本原理並結合題目情境進行推導分析...
腦血管疾病7 / 13
【108-2 醫學(四) 第46題】李小姐,55歲,因突發性頭痛及癲癇發作、意識障礙被同事送到急診室,其電腦斷層攝影檢查(CT)如下圖。下列敘述何者錯誤?

詳解
本題考核重點為相關概念的臨床應用,需理解基本原理並結合題目情境進行推導分析...
腦血管疾病8 / 13
【108-2 醫學(四) 第47題】李先生,45歲,患有偏頭痛(migraine),無高血壓、糖尿病病史,因腦梗塞住院。他的父親及弟弟也有腦梗塞病史,弟弟除腦梗塞外,也有失智症(dementia)。下列敘述何者最正確?
詳解
本題考核重點為相關概念的臨床應用,需理解基本原理並結合題目情境進行推導分析...
腦血管疾病9 / 13
【108-2 醫學(四) 第77題】33歲健康女性,突發劇烈頭痛及暈厥(syncope),病人清醒後有頭痛、嘔吐及頸部酸痛現象,此時最優先的檢查為何?
詳解
本題考核重點為相關概念的臨床應用,需理解基本原理並結合題目情境進行推導分析...
認知與失智症10 / 13
【108-2 醫學(四) 第51題】85歲老太太身體一向硬朗,行動自如,女兒從美國回來,與老太太共眠。半夜,老太太醒來,問床邊人:妳是誰?同住家人表示,這幾個月來,老太太常常找不到物品放在何處。到菜市場買菜,常常買回來冰箱已堆滿的相同食材。這位老太太最可能得了何種病?
詳解
本題考核重點為相關概念的臨床應用,需理解基本原理並結合題目情境進行推導分析...
認知與失智症11 / 13
【108-2 醫學(四) 第53題】62歲的老師上課中突然變得怪異,重複問同樣的問題。他的意識清楚、手腳靈活,最近沒有頭部外傷。被送到鄰近醫院檢查,6小時後,逐漸恢復正常,但是對過去幾個小時完全沒有記憶。他最有可能的情況為:
詳解
本題考核重點為相關概念的臨床應用,需理解基本原理並結合題目情境進行推導分析...
頭痛與癲癇12 / 13
【108-2 醫學(四) 第17題】罹患頭痛的小孩,出現以下何種情形時,最需要做神經影像檢查?
詳解
本題考核重點為相關概念的臨床應用,需理解基本原理並結合題目情境進行推導分析...
頭痛與癲癇13 / 13
【108-2 醫學(四) 第48題】關於癲癇手術(epilepsy surgery)的敘述,下列何者錯誤?
詳解
本題考核重點為相關概念的臨床應用,需理解基本原理並結合題目情境進行推導分析...