動作障礙1 / 15
【111-1 醫學(四) 第50題】因為一氧化碳中毒造成的巴金森症候群(parkinsonism),病灶位置常發生在:
詳解
破題關鍵
一氧化碳中毒對腦部的傷害有其特定好發區域。
選項拆解
-A:錯在尾核 (caudate)。尾核也是基底核的一部分,但相較於蒼白球,一氧化碳中毒對它的影響較不顯著或非主要病灶。
動作障礙2 / 15
【111-1 醫學(四) 第51題】典型的原發性巴金森氏病(idiopathic Parkinson disease)在發病兩年內最不會出現下列那一個症狀?
詳解
破題關鍵
原發性巴金森氏病的某些症狀通常在疾病晚期才會出現。
選項拆解
-A:正確。兩側不對稱的顫抖是原發性巴金森氏病最典型的早期症狀之一,通常從單側肢體開始。
-B:錯在凍僵步態。凍僵步態是巴金森氏病晚期才會出現的症狀,在發病兩年內幾乎不會出現。
周邊與顱神經疾病3 / 15
【111-1 醫學(四) 第44題】65歲婦女,因突發複視(diplopia)來求診。神經學檢查顯示:當患者看向左邊,右眼無法內收 (adduction),而左眼可以完全外展(abduction)且合併眼球震顫(nystagmus)。當眼睛往右邊或上面或下面看時,兩眼的轉動均正常。最可能的病灶位置在:
詳解
破題關鍵
複視、一眼無法內收、另一眼外展眼震,這是眼肌麻痺的典型表現,要聯想到內側縱向束 (MLF) 病變。
選項拆解
-A:錯在左邊內側縱向束 (left medial longitudinal fasciculus) 受損會導致左眼無法內收,而右眼外展時出現眼球震顫,與題意不符。
周邊與顱神經疾病4 / 15
【111-1 醫學(四) 第54題】30歲女性騎馬墜落後送往急診室,神經學檢查發現右下肢無力,左側肚臍以下痛覺和溫覺喪失,其最可能診斷為何?
詳解
破題關鍵
單側脊髓損傷會導致身體兩側感覺和運動功能出現交叉性喪失。
選項拆解
-A:錯在前脊髓損傷。前脊髓損傷 (anterior cord syndrome) 主要影響運動功能和痛溫覺,但通常是雙側受損,且本體感覺保留。與題目描述的單側運動和對側痛溫覺喪失不符。
周邊與顱神經疾病5 / 15
【111-1 醫學(四) 第55題】下列何種疾病主要且首先影響到運動神經軸突,造成軸突性神經病變(axonal neuropathy)?
詳解
破題關鍵
某些毒素會選擇性地攻擊神經元的不同部位。
選項拆解
-A:正確。鉛中毒主要影響運動神經的軸突,導致軸突性神經病變。
神經感染與發炎6 / 15
【111-1 醫學(四) 第5題】下列何者是2歲兒童罹患感冒(Common cold)後最常見的併發症?
詳解
破題關鍵
感冒後最常見的兒童併發症,要考慮呼吸道感染的蔓延。
選項拆解
-A:正確。急性中耳炎 (acute otitis media) 是兒童感冒後最常見的併發症,因為兒童的耳咽管結構特點使其更容易受到感染影響。
神經感染與發炎7 / 15
【111-1 醫學(四) 第9題】對於葡萄糖-六-磷酸鹽脫氫酵素缺乏症(G-6-PD缺乏症,俗稱蠶豆症)患者,下列何者可正常使用,不需特別避免?
詳解
破題關鍵
蠶豆症患者應避免的藥物清單。
選項拆解
-A:正確。乙醯胺酚 (Acetaminophen) 在正常劑量下,通常被認為是 G-6-PD 缺乏症患者可以安全使用的藥物,不會引起溶血。
神經感染與發炎8 / 15
【111-1 醫學(四) 第58題】下列何者與視神經脊髓炎(neuromyelitis optica spectrum disorder, NMOSD)的相關性最為密切?
詳解
破題關鍵
視神經脊髓炎的診斷有其特異性生物標記。
選項拆解
-A:正確。anti-aquaporin (AQP4) antibody 是視神經脊髓炎 (NMOSD) 最具特異性的診斷標記,其陽性結果對於診斷NMOSD至關重要。
神經肌肉與運動神經元疾病9 / 15
【111-1 醫學(四) 第56題】下列何者不是下運動神經元病灶表徵(lower motor neuron signs)?
詳解
破題關鍵
上運動神經元和下運動神經元病灶的臨床表徵有明顯區別。
選項拆解
-A:正確。肌肉纖維顫動 (fibrillation) 是單一肌肉纖維自發性收縮,肉眼不可見,但在肌電圖 (EMG) 上是下運動神經元病灶的典型表現。
腦血管疾病10 / 15
【111-1 醫學(四) 第22題】下列何者在嬰兒受虐性腦傷中最不常見?
詳解
破題關鍵
嬰兒受虐性腦傷 (abusive head trauma, AHT) 的典型傷害模式。
選項拆解
-A:錯在硬腦膜下出血 (Subdural hemorrhage) 是嬰兒受虐性腦傷中最常見且最具特徵性的表現之一。
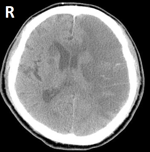
腦血管疾病11 / 15
【111-1 醫學(四) 第46題】一位66歲女性病人,有高血壓及心律不整病史多年,被家人發現突然無法言語及右側肢體無力,之後意識逐漸昏迷,其腦部電腦斷層掃描如下,最有可能發生問題的血管為何?

詳解
破題關鍵
這是一位有高血壓和心律不整病史的病人,突然出現失語症和右側肢體無力,這是典型的急性腦中風表現。影像上,腦部電腦斷層掃描顯示左側大腦半球有大範圍的低密度病灶,這代表缺血性腦梗塞。結合臨床症狀和影像位置,指向左側中大腦動脈的灌流區域。
選項拆解
腦血管疾病12 / 15
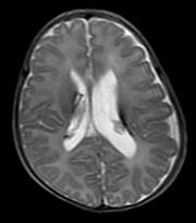
【111-1 醫學(四) 第74題】懷孕週數20週出生的早產兒,出生後2個月出現腦室擴大,其T2加重磁振造影像可見腦室壁上的低訊號病灶如圖,最可能原因為何?

詳解
破題關鍵
本題的關鍵在於「20週早產兒」、「出生後2個月腦室擴大」以及T2加重磁振造影上「腦室壁上的低訊號病灶」。這些線索強烈指向早產兒常見的腦部出血及其後遺症。
選項拆解
認知與失智症13 / 15
【111-1 醫學(四) 第52題】60歲男性病患被診斷為失智症,下列那一項檢查結果最不像是阿茲海默症(Alzheimer disease)?
詳解
破題關鍵
阿茲海默症的腦脊髓液生物標記有其特定變化模式。
選項拆解
-A:錯在增加。阿茲海默症患者的腦脊髓液中,類澱粉蛋白β-42 (amyloid β-42) 的濃度是「降低」的,因為它被堆積在腦部形成斑塊。
頭痛與癲癇14 / 15
【111-1 醫學(四) 第48題】關於偏頭痛的藥物治療,下列何者最不恰當?
詳解
破題關鍵
偏頭痛的預防性藥物選擇有特定考量,並非所有抗癲癇藥都適用。
選項拆解
-A:正確。Triptan類藥物是急性偏頭痛的有效治療,但會引起血管收縮,因此有心血管疾病(如冠狀動脈疾病、中風史)的患者禁用。
頭痛與癲癇15 / 15
【111-1 醫學(四) 第65題】有關轉化症的臨床表徵,下列敘述何者正確?
詳解
破題關鍵
轉化症的症狀多樣,但運動功能障礙是常見表現。
選項拆解
-A:錯在幾乎不會和seizure共病。非癲癇性發作 (pseudoseizure) 和真正的癲癇 (seizure) 可以共病,且在臨床上鑑別診斷困難,需要仔細評估。