【114-1 醫學(四) 第50題】30 歲女性持柺杖至神經科門診就診,主訴近一年來走路不穩的情況愈來愈明顯,說話也變得口齒不清。身體診察發現眼動緩慢且有眼震,肢體測距不準,肌腱反射異常增強,她的父親及祖母也有類似症狀。據上描述,下列何種診斷最為可能?
詳解
破題關鍵
年輕發病、進行性共濟失調 (ataxia) 症狀,且有家族史,強烈提示遺傳性脊髓小腦共濟失調。
選項拆解
登入查看完整詳解與互動作答
共 16 題(登入後可互動作答與查看詳解)
【114-1 醫學(四) 第50題】30 歲女性持柺杖至神經科門診就診,主訴近一年來走路不穩的情況愈來愈明顯,說話也變得口齒不清。身體診察發現眼動緩慢且有眼震,肢體測距不準,肌腱反射異常增強,她的父親及祖母也有類似症狀。據上描述,下列何種診斷最為可能?
詳解
破題關鍵
年輕發病、進行性共濟失調 (ataxia) 症狀,且有家族史,強烈提示遺傳性脊髓小腦共濟失調。
選項拆解
登入查看完整詳解與互動作答
【114-1 醫學(四) 第57題】45 歲女性,六年前開始情緒不穩,常易怒煩躁;一年後,動作變得笨拙且容易跌倒。再過兩年,雙腿出現一些不自主、小幅度、無規律性扭動,之後持續惡化並延伸至上肢、軀幹及頭頸部。目前已無法行走,同時也出現記憶衰退。病人父親於 40 歲時有類似症狀,此病人最可能罹患下列何種疾病?
詳解
破題關鍵
中年發病、情緒行為改變、不自主舞蹈症狀、失智,加上家族史,是亨丁頓氏病的典型表現。
選項拆解
登入查看完整詳解與互動作答
【114-1 醫學(四) 第55題】60 歲男性主訴漸進性步態不穩 6 個月,合併尿失禁,神經學檢查發現膝反射和踝反射消失,感覺性共濟失調 (sensory ataxia),下肢振動覺和關節本體感覺受損,瞳孔光反射異常,聚焦反射(accommodation reflex)正常,最可能的診斷為:
詳解
破題關鍵
感覺性共濟失調 (sensory ataxia)、後索 (posterior column) 受損、反射消失、瞳孔光反射異常但聚焦反射正常 (Argyll Robertson pupil) 的組合,是神經性梅毒的典型表現。
選項拆解
登入查看完整詳解與互動作答
【114-1 醫學(四) 第56題】關於腦炎的敘述,下列何者錯誤?
詳解
破題關鍵
腦炎 (encephalitis) 的診斷通常依賴臨床表現、影像學和腦脊髓液 (CSF) 檢查,但 CSF 白血球增加並非絕對的「必要條件」。
選項拆解
登入查看完整詳解與互動作答
【114-1 醫學(四) 第53題】有關肌萎縮性側索硬化(amyotrophic lateral sclerosis)的敘述,下列何者正確?
詳解
破題關鍵
肌萎縮性側索硬化 (ALS) 是一種選擇性侵犯運動神經元的疾病,通常不影響感覺、自律神經、括約肌或眼外肌。
選項拆解
登入查看完整詳解與互動作答
【114-1 醫學(四) 第54題】下列有關「吞嚥困難」的特徵,何者較少發生在中風病人,而是重症肌無力病人特有的表現?
詳解
破題關鍵
重症肌無力 (Myasthenia Gravis, MG) 的核心特徵是肌肉「疲勞性無力 (fatigable weakness)」,症狀會隨活動加重,休息後改善。
選項拆解
登入查看完整詳解與互動作答
【114-1 醫學(四) 第44題】脊髓梗塞(spinal cord infarction)的臨床表現,下列敘述何者最不恰當?
詳解
破題關鍵
脊髓前動脈症候群 (anterior cord syndrome) 影響的是運動功能、痛覺和溫度覺,但本體感覺通常不受影響。
選項拆解
登入查看完整詳解與互動作答
【114-1 醫學(四) 第45題】血栓移除術(endovascular thrombectomy)為缺血性腦中風之重要急性治療方法,下列敘述何者錯誤?
詳解
破題關鍵
血栓移除術 (endovascular thrombectomy) 和血栓溶解治療 (thrombolytic therapy) 通常是「擇一」或「先後」進行,而非「術後再給予全身性血栓溶解」。
選項拆解
登入查看完整詳解與互動作答
【114-1 醫學(四) 第46題】56 歲男性,因為腦內出血(intracerebral hemorrhage)合併右側偏癱(hemiparesis)。他罹患高血壓多年,但卻從未接受治療。根據病史,最可能的病灶位置在:
詳解
破題關鍵
高血壓性腦出血最常發生在基底核,尤其是殼核,且常伴隨對側偏癱。
選項拆解
登入查看完整詳解與互動作答
【114-1 醫學(四) 第32題】關於兒科病童在急診就診的初步評估,下列何者最為適當?
詳解
破題關鍵
這題考的是兒科急診評估的具體數值和流程,特別是血壓的最低標準。
選項拆解
登入查看完整詳解與互動作答
【114-1 醫學(四) 第51題】60 歲女性在唱卡拉 OK 後,突然開始不停的重複提問同一個問題,如「現在幾點鐘?」、「這裡是那裡?」 等等。當獲得回答以後,又會馬上忘記。她可以自己走路、吃東西和洗澡,但是行為表現和平時很不一樣。 10 小時後,她恢復正常,但是她對於這 10 小時內的事情完全沒有記憶。有關此疾病,下列敘述何者最恰當?
詳解
破題關鍵
突發性、暫時性、順行性失憶 (anterograde amnesia),且無其他神經學症狀,通常由壓力或情緒事件誘發,這是暫時性全面失憶症 (Transient Global Amnesia, TGA) 的典型表現。
選項拆解
登入查看完整詳解與互動作答
【114-1 醫學(四) 第67題】有關血管性失智症(vascular dementia)之敘述,下列何者錯誤?
詳解
破題關鍵
血管性失智症的風險因子與心血管疾病高度相關,因此在性別分布上與心血管疾病的流行病學趨勢一致。
選項拆解
登入查看完整詳解與互動作答
【114-1 醫學(四) 第70題】某 48 歲工人,過去工作狀況尚可,但長期每天持續有喝烈酒習慣,某日因胰臟炎住院因此停止喝酒,3 天後個案逐漸出現入睡困難、焦躁不安,甚至定向感喪失,連家人也不認識。此狀態最可能之診斷為何?
詳解
破題關鍵
長期飲酒者在突然停止飲酒後,數天內出現嚴重的精神錯亂、定向感喪失和焦躁不安,這是酒精戒斷譫妄的典型表現。
選項拆解
登入查看完整詳解與互動作答
【114-1 醫學(四) 第30題】關於兒童頭痛,下列那一項病史最不需要考慮進行神經影像學檢查?
詳解
破題關鍵
家族史是偏頭痛的風險因子,但本身並不是需要緊急影像檢查的「危險訊號」。
選項拆解
登入查看完整詳解與互動作答
【114-1 醫學(四) 第47題】下列何者不是預防偏頭痛發作的藥物?
詳解
破題關鍵
熟悉偏頭痛預防性藥物的種類,carbamazepine 主要用於癲癇和三叉神經痛。
選項拆解
登入查看完整詳解與互動作答

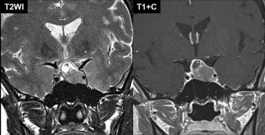
詳解
破題關鍵
這題的解題核心在於辨識影像中腫瘤的「位置」與「顯影特性」,圖片顯示一個位於腦下垂體區域、顯影均勻的腫塊,這是腦下垂體腺瘤的典型表現。
選項拆解
登入查看完整詳解與互動作答