動作障礙1 / 13
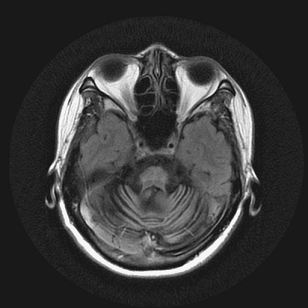
【112-1 醫學(四) 第51題】59歲男性因為姿勢性低血壓暈倒多次,他同時還有動作遲緩、步態不穩及性功能障礙問題,他的腦部磁振造影掃描結果如下圖,下列何者為最可能的診斷?

周邊與顱神經疾病2 / 13
【112-1 醫學(四) 第54題】關於脊髓空洞症(syringomyelia)的敘述,下列何者最不恰當?
詳解
破題關鍵
脊髓空洞症的典型表現是「分離性感覺喪失」,且疼痛和溫度感覺是雙側受損。
選項拆解
-A:多發生在20~49歲的男性:這是脊髓空洞症的常見發病年齡和性別分佈,敘述正確。
神經感染與發炎3 / 13
【112-1 醫學(四) 第56題】當病人疑似罹患急性細菌性腦膜炎時,下列給與抗生素治療的時機,何者最不合適?
詳解
破題關鍵
急性細菌性腦膜炎是急症,應在採樣後立即給予經驗性抗生素,不應等待任何檢驗結果。
選項拆解
-A:血液細菌培養採樣後:這是正確的時機。在給予抗生素前,應先採集血液樣本進行培養。
神經感染與發炎4 / 13
【112-1 醫學(四) 第57題】下列何者不是視神經脊髓炎(neuromyelitis optica spectrum disorder, NMOSD)病人常見的共病症 (comorbidity)之一?
詳解
破題關鍵
視神經脊髓炎是一種自身免疫性疾病,常與其他自身免疫性疾病共病,但胸腺瘤本身不是。
選項拆解
-A:重症肌無力 (myasthenia gravis):是NMOSD的常見共病症之一,兩者都是自身免疫性疾病,有時會同時發生。
神經肌肉與運動神經元疾病5 / 13
【112-1 醫學(四) 第53題】格林–巴利症候群(Guillain-Barré syndrome)不同於重症肌無力(myasthenia gravis)的主要區別為何?
詳解
破題關鍵
格林–巴利症候群會影響自主神經,而重症肌無力通常不會。
選項拆解
-A:正確。自主神經功能異常是GBS的常見特徵,如心律不整、血壓波動、尿瀦留等。重症肌無力主要影響骨骼肌,通常不會有自主神經功能異常。這是兩者最主要的區別之一。
神經肌肉與運動神經元疾病6 / 13
【112-1 醫學(四) 第55題】55歲男性,主訴漸進性全身無力兩年,神經學檢查發現舌頭顫動(tongue fasciculation)、口齒不清、吞嚥困難、四肢肌肉萎縮,無感覺異常,四肢深部肌腱反射增強,最可能罹患何種疾病?
詳解
破題關鍵
同時有上運動神經元和下運動神經元受損的症狀,且沒有感覺異常,是肌萎縮性側索硬化最典型的表現。
選項拆解
-A:錯在多次腦中風 (multi-infarction) 通常會導致突發性或階梯式的神經功能缺損,且通常會伴隨感覺異常,不會同時出現UMN和LMN的廣泛性漸進式病變。
腦血管疾病7 / 13
【112-1 醫學(四) 第44題】50歲男性病人突然發生右側肢體無力,無顯影劑之腦部電腦斷層(non-contrast CT)檢查結果如下圖①,經顯影劑造影之腦部電腦斷層如下圖②。於圖②中箭頭所指的小白點,其名稱及意義為何?

詳解
破題關鍵
這題的關鍵在於辨識腦出血病人做完顯影劑電腦斷層(Contrast CT)後,出血點內出現的小白點。這個小白點代表的是「spot sign」,是活動性出血的徵象,預示著血腫可能會擴大,預後較差。
選項拆解
腦血管疾病8 / 13
【112-1 醫學(四) 第45題】針對可逆性後腦病變症候群(posterior reversible encephalopathy syndrome, PRES),下列敘述何者最不恰當?
詳解
破題關鍵
可逆性後腦病變症候群的「可逆性」是關鍵,代表症狀和影像異常都能改善。
選項拆解
腦血管疾病9 / 13
【112-1 醫學(四) 第46題】關於急性缺血性腦中風病人使用靜脈血栓溶解劑,組織胞漿素原活化劑(tissue plasminogen activator, tPA)治療的敘述,下列何者錯誤?
詳解
破題關鍵
非維他命K口服抗凝血劑 (NOACs) 的藥效快速且難以監測,使用 tPA 前需特別謹慎。
選項拆解
-A:正確。tPA 在發病後 4.5 小時內使用,能顯著增加功能回復的比率,是目前公認的治療黃金時間窗。
腦血管疾病10 / 13
【112-1 醫學(四) 第75題】60歲女性因頭痛到急診就醫,根據所附頭部電腦斷層(CT)與電腦斷層血管造影(CTA)影像判斷,下列敘述何者正確?

腦血管疾病11 / 13
【112-1 醫學(四) 第77題】有關腦部出血相關疾病,下列敘述何者正確?
詳解
破題關鍵
Hunt and Hess Scale第一級的蜘蛛膜下腔出血症狀輕微,容易被誤診。
選項拆解
頭痛與癲癇12 / 13
【112-1 醫學(四) 第48題】58歲男性,常被妻子抱怨幾乎每晚睡覺時鼾聲大作,而且鼾聲消失十幾秒後,突然又大聲喘息。他自覺不管睡多久,早晨醒來都沒有睡飽,且經常頭痛,白天工作時也常打瞌睡。下列何者與他的臨床診斷最沒有關係?
詳解
破題關鍵
睡眠呼吸中止症的風險因子通常與上呼吸道阻塞有關,下顎前突反而可能改善呼吸道空間。
選項拆解
-A:肥胖是阻塞型睡眠呼吸中止症最主要的風險因子之一,因為頸部脂肪堆積會壓迫上呼吸道。
-B:高血壓是阻塞型睡眠呼吸中止症的常見共病症,且OSA會增加高血壓的風險,兩者密切相關。
頭痛與癲癇13 / 13
【112-1 醫學(四) 第49題】45歲女性,自15歲左右就偶爾頭痛。發作時常從下午持續到睡覺。發作位置在雙側,劇痛,常合併噁心想吐,畏光怕吵,需要躺下休息,身體活動會加劇頭痛。近十年來頭痛皆以止痛糖漿自行治療。近二年來頭痛越來越頻繁,幾乎兩、三天就得喝半瓶止痛糖漿。因近三個月來幾乎天天頭痛而來就診。下列敘述何者最適當?
詳解
破題關鍵
病人頭痛症狀符合偏頭痛特徵,且長期頻繁使用止痛藥,導致頭痛頻率增加。
選項拆解