動作障礙1 / 16
【113-1 醫學(四) 第58題】下列何種遺傳疾病的致病突變不是三核苷酸重複序列擴增(trinucleotide repeat expansion)?
詳解
破題關鍵
辨識常見神經退化性疾病的遺傳學基礎,特別是三核苷酸重複序列擴增(trinucleotide repeat expansion)。
選項拆解
-A:亨丁頓氏病(Huntington disease)是由CAG三核苷酸重複序列擴增引起。
周邊與顱神經疾病2 / 16
【113-1 醫學(四) 第54題】下列有關三叉神經痛的敘述,何者錯誤?
詳解
破題關鍵
記憶三叉神經痛最常見的血管壓迫來源。
選項拆解
-A:正確。三叉神經痛的疼痛通常侷限於三叉神經的一條或多條分支範圍內,表現為陣發性的劇烈疼痛。
-B:正確。三叉神經痛好發於中老年人,通常在50-60歲達到高峰。
周邊與顱神經疾病3 / 16
【113-1 醫學(四) 第57題】關於腦下垂體腫瘤,下列敘述何者最不恰當?
詳解
破題關鍵
了解腦下垂體腫瘤對周圍結構的壓迫效應及對荷爾蒙分泌的影響。
選項拆解
-A:正確。腫瘤向上生長壓迫視交叉(optic chiasm),會導致典型的雙顳側偏盲。
-B:正確。視力喪失是腦下垂體腫瘤壓迫視交叉或視神經的常見併發症。
神經感染與發炎4 / 16
【113-1 醫學(四) 第56題】關於多發性硬化症(multiple sclerosis, MS)及視神經脊髓炎(neuromyelitis optica spectrum disorder, NMOSD)之比較,下列何者錯誤?
詳解
破題關鍵
比較多發性硬化症(MS)和視神經脊髓炎(NMOSD)的流行病學、臨床特徵和診斷標記。
選項拆解
-A:錯在 NMOSD病人男比女多。實際上,NMOSD的女性比例比MS更高,約為9:1,是女性遠多於男性。MS的女性比例也高於男性,約2-3:1。
神經肌肉與運動神經元疾病5 / 16
【113-1 醫學(四) 第52題】關於肌萎縮性側索硬化(amyotrophic lateral sclerosis, ALS),下列敘述何者錯誤?
詳解
破題關鍵
了解ALS的基因學,特別是常見的致病基因。
選項拆解
-A:正確。ALS是最常見的運動神經元疾病,影響上下運動神經元,多為散發性 (sporadic),少數為家族遺傳性 (familial),且臨床表現上兩者難以區分。
神經肌肉與運動神經元疾病6 / 16
【113-1 醫學(四) 第53題】下列關於肌無力症候群(myasthenic syndrome or Lambert-Eaton syndrome)的敘述,何者錯誤?
詳解
破題關鍵
記憶Lambert-Eaton症候群的病理機轉是攻擊哪種離子通道。
選項拆解
-A:錯在「鉀離子通道」。LEMS的抗體攻擊的是突觸前神經終端的「電壓門控鈣離子通道」,而非鉀離子通道。
-B:正確。LEMS通常在成年人發病,尤其好發於中老年人。
神經肌肉與運動神經元疾病7 / 16
【113-1 醫學(四) 第55題】格林–巴利症候群(Guillain-Barré syndrome)合併呼吸肌無力時,首選治療為何?
詳解
破題關鍵
記憶GBS合併呼吸肌無力時的緊急治療方式。
選項拆解
-A:類固醇 (corticosteroid) 脈衝療法對GBS無效,甚至可能延緩恢復,因此不建議使用。
-B:cyclophosphamide靜脈輸注是一種強效免疫抑制劑,但它不是GBS的首選治療。
腦血管疾病8 / 16
【113-1 醫學(四) 第44題】下列何者最不會是造成大腦靜脈竇栓塞(cerebral venous sinus thrombosis)的原因?
詳解
破題關鍵
這個疾病是血栓形成,所以要找出哪個選項不是造成血栓的危險因子。
選項拆解
-A:使用避孕藥會增加體內凝血功能,提高血栓形成的風險。
-B:抗磷脂質症候群是一種自體免疫疾病,會導致身體處於高凝血狀態,容易形成血栓。
腦血管疾病9 / 16
【113-1 醫學(四) 第45題】使用第十因子抑制劑(factor Xa inhibitor)的病人若發生腦出血,下列何種藥物或治療對此病人最恰當?
詳解
破題關鍵
找出能快速反轉Factor Xa抑制劑藥效的解毒劑。
選項拆解
-A:新鮮冷凍血漿 (FFP) 含有所有凝血因子,但對於新型口服抗凝血劑 (DOACs) 的反轉效果不如PCC或專一性反轉劑,且需要較大劑量。
腦血管疾病10 / 16
【113-1 醫學(四) 第46題】於急性缺血性腦中風,神經細胞在缺氧及缺少葡萄糖(glucose)時會產生一連串反應導致腦細胞死亡,下列何者最不可能會發生?
詳解
破題關鍵
缺血缺氧時,細胞的能量泵浦會失效,導致離子平衡失調。
選項拆解
-A:缺氧缺糖會導致粒線體無法進行正常的氧化磷酸化,因此難以合成三磷酸腺苷 (ATP),這是正確的。
腦血管疾病11 / 16
【113-1 醫學(四) 第74題】84歲女性,有高血壓病史,突然頭痛噁心而至急診求診。頭部電腦斷層檢查發現有廣泛蜘蛛網膜下腔出血(subarachnoid hemorrhage, SAH)併腦室內出血;進一步做頭部血管攝影檢查,影像如附圖(右側及左側頸動脈造影),造成她SAH的原因最可能為下列何者?

詳解
破題關鍵
這題的關鍵在於從腦血管攝影(angiography)影像中,精準找出造成蜘蛛網膜下腔出血(SAH)的腦動脈瘤位置。仔細觀察右側頸動脈造影,可以清楚看到一個囊狀突起。
選項拆解
腦血管疾病12 / 16
【113-1 醫學(四) 第75題】關於腦梗塞(cerebral infarction)的影像,下列敘述何者錯誤?
詳解
破題關鍵
了解不同影像學檢查(CT, MRI)在腦梗塞不同階段的表現及敏感度。
選項拆解
-A:正確。在腦梗塞發生的最初幾小時,頭部電腦斷層(CT)可能看不到明顯的缺血性變化,這稱為「正常CT」。
腦血管疾病13 / 16
【113-1 醫學(四) 第76題】關於受虐性腦傷(abusive head trauma, AHT)的敘述,下列何者錯誤?
詳解
破題關鍵
了解受虐性腦傷(AHT)的真正成因與常見表現,區分正常互動與虐待行為。
選項拆解
-A:正確。受虐性腦傷(AHT)是嬰兒搖晃症候群的現代術語,屬於兒童虐待的範疇。
認知與失智症14 / 16
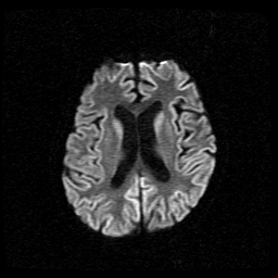
【113-1 醫學(四) 第50題】66歲女性最近一個多月來出現記憶力減退、視幻覺、走路不穩,突然聽見鞭炮聲會身體顫抖。她的腦部磁振造影擴散加權成像(diffusion-weighted imaging)結果如下圖。她最可能的診斷是:

詳解
破題關鍵
本題的解題核心在於結合病患的臨床症狀(快速進展的失智、視幻覺、肌躍症)與腦部磁振造影擴散加權成像(DWI)的典型影像表現。圖片中大腦皮質呈現明顯的亮訊號(hyperintensity),這種「皮質緞帶徵」(cortical ribboning)是診斷庫賈氏症的關鍵視覺線索。
認知與失智症15 / 16
【113-1 醫學(四) 第51題】用來治療阿茲海默氏病(Alzheimer disease)的藥物memantine,它最主要的機轉是:
詳解
破題關鍵
記憶Memantine的藥理作用,它屬於NMDA受體拮抗劑。
選項拆解
-A:乙醯膽鹼酯酶 (cholinesterase) 抑制劑是另一類治療阿茲海默氏病的藥物,例如Donepezil、Rivastigmine等,它們的作用是增加腦中乙醯膽鹼的濃度。
頭痛與癲癇16 / 16
【113-1 醫學(四) 第49題】下列有關癲癇(epilepsy)及癲癇發作(seizure)之敘述,何者正確?
詳解
破題關鍵
了解癲癇的流行病學、病因和治療預後。
選項拆解
-A:90%的腦傷病人在一年內會發生創傷後癲癇是錯誤的。實際發生率遠低於此,即使是嚴重腦傷也僅約5-20%。
-B:在所有年齡層,頭部外傷都不是最常見的癲癇病因。例如,老年人最常見的是腦血管病變。