【109-2 醫學(四) 第50題】59歲女性,出現漸進性行動遲緩(slow motion),左側肢體動作笨拙。如果這個病人是罹患巴金森氏病 (Parkinson disease),最不可能出現下列何種症狀?
醫學(四)
109-2 神經科
共 9 題(登入後可互動作答與查看詳解)
動作障礙1 / 9
動作障礙2 / 9
【109-2 醫學(四) 第52題】服用下列那一種藥物之後,可能會出現兩手的顫抖,必須與本態性顫抖(essential tremor)做鑑別診斷?
神經感染與發炎3 / 9
【109-2 醫學(四) 第48題】65歲女性,因左側頭痛合併全身虛弱疼痛,下列敘述何者不是顳動脈炎(temporal arteritis)之特性?
神經感染與發炎4 / 9
【109-2 醫學(四) 第57題】關於神經系統感染,下列敘述何者正確?
腦血管疾病5 / 9
【109-2 醫學(四) 第17題】4個月大的嬰兒,發現神智不清,送至急診,電腦斷層發現少量蜘蛛膜下腔出血(Subarachnoid hemorrhage) 與嚴重腦水腫(Brain edema),眼底檢查發現視網膜出血(Retinal hemorrhage),身體診察無外傷之表現, 下列何者是最可能的診斷?
腦血管疾病6 / 9
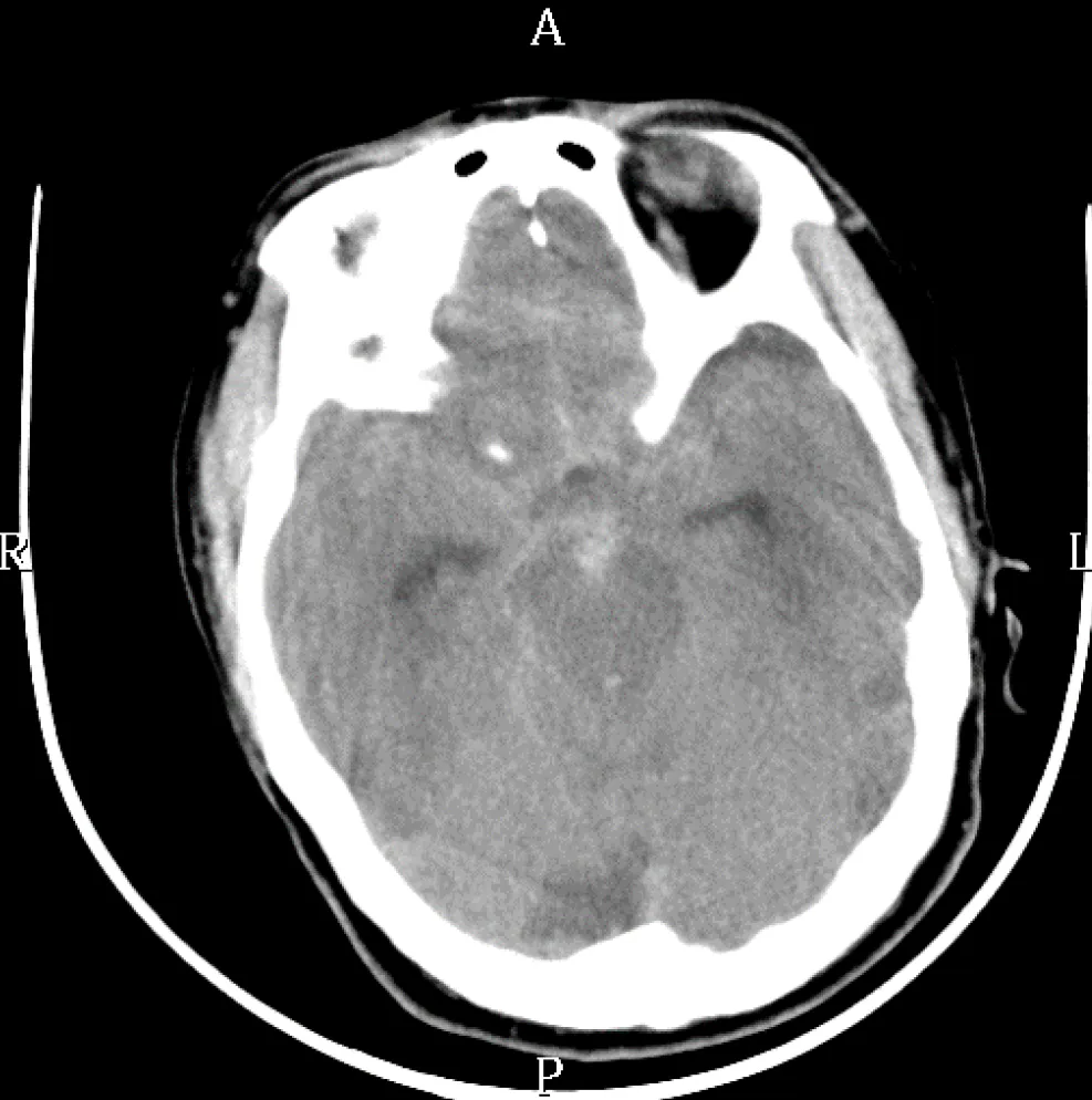
【109-2 醫學(四) 第46題】一位70歲男性病人,有多年高血壓病史,沒有常規藥物控制。早上做晨間運動時,突然失去意識倒地不起,經119轉送急診,腦部電腦斷層掃瞄如下圖,最有可能的診斷為:


腦血管疾病7 / 9
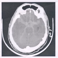
【109-2 醫學(四) 第75題】72歲男性,突然昏倒,送急診室,未注射對比劑之腦部電腦斷層(CT)檢查如圖,診斷是:


認知與失智症8 / 9
【109-2 醫學(四) 第51題】一位60歲男性因為記憶減退,時常遺失東西,被女兒懷疑有失智症(dementia)帶來門診。下列何種功能異常最能鑑別診斷出輕度認知障礙(mild cognitive impairment)和失智症?
頭痛與癲癇9 / 9
【109-2 醫學(四) 第68題】下列有關amphetamine/methamphetamine濫用的敘述,何者錯誤?
