【114-2 醫學(四) 第51題】53 歲男性至神經科門診就診,主訴近一年來動作遲緩、僵硬,頭部總是向後仰,眼睛轉動緩慢,無法自主性往下看,且家人觀察到他最近時常往後跌倒。依此描述,下列何種診斷最為可能?
詳解
破題關鍵
巴金森氏症候群伴隨明顯的垂直性眼球運動障礙(尤其向下看困難)、頭部後仰和早期頻繁向後跌倒,是進行性上眼神經核麻痺症的典型特徵。
選項拆解
登入查看完整詳解與互動作答
共 13 題(登入後可互動作答與查看詳解)
【114-2 醫學(四) 第51題】53 歲男性至神經科門診就診,主訴近一年來動作遲緩、僵硬,頭部總是向後仰,眼睛轉動緩慢,無法自主性往下看,且家人觀察到他最近時常往後跌倒。依此描述,下列何種診斷最為可能?
詳解
破題關鍵
巴金森氏症候群伴隨明顯的垂直性眼球運動障礙(尤其向下看困難)、頭部後仰和早期頻繁向後跌倒,是進行性上眼神經核麻痺症的典型特徵。
選項拆解
登入查看完整詳解與互動作答
【114-2 醫學(四) 第54題】68 歲男性,上週出現發燒腹瀉,這幾天突然出現排尿困難及全身無力送來急診。神經學檢查顯示意識正常, 雙頰作臉部表情困難,四肢力氣差(肌力 3 分),四肢末端有輕微麻木感及振動感覺下降,肌腱反射消失。 下列敘述何者正確?
詳解
破題關鍵
格林–巴利症候群 (Guillain-Barré syndrome, GBS) 是一種急性周邊神經發炎,會導致快速進展的肌肉無力,治療重點在於免疫調節而非抑制。
選項拆解
登入查看完整詳解與互動作答
【114-2 醫學(四) 第31題】第一次發作之多發性硬化症(multiple sclerosis, MS)與急性瀰漫性腦脊髓炎(acute disseminated encephalomyelitis, ADEM)之鑑別診斷,下列何者最不適當?
詳解
破題關鍵
多發性硬化症 (MS) 和急性瀰漫性腦脊髓炎 (ADEM) 在病灶位置上有所區別,ADEM 更常影響深部灰質,而 MS 則有其經典的病灶分佈。
選項拆解
登入查看完整詳解與互動作答
【114-2 醫學(四) 第56題】關於腦膿瘍(brain abscess)的敘述,下列何者錯誤?
詳解
破題關鍵
腦膿瘍 (brain abscess) 的診斷主要靠影像學,腦脊髓液檢查對於腦膿瘍的病原菌診斷幫助有限,且有風險。
選項拆解
登入查看完整詳解與互動作答
【114-2 醫學(四) 第58題】下列何者不是視神經脊髓炎(neuromyelitis optica spectrum disorder)的核心臨床病症(core clinical characteristics)?
詳解
破題關鍵
視神經脊髓炎 (NMOSD) 的核心臨床病症主要影響視神經、脊髓和腦幹特定區域,失語症不是其典型表現。
選項拆解
登入查看完整詳解與互動作答
【114-2 醫學(四) 第53題】下列會引起肌肉萎縮的疾病中,那一個會同時有肌腱反射上升的現象?
詳解
破題關鍵
同時出現肌肉萎縮(下運動神經元病變)和肌腱反射上升(上運動神經元病變),是肌萎縮性側索硬化症的標誌性特徵。
選項拆解
登入查看完整詳解與互動作答
【114-2 醫學(四) 第55題】60 歲女性車禍後出現頸部疼痛,雙側上肢肌肉力量 3 分,雙側下肢肌肉力量 4 分,雙上肢及上身溫痛覺消失,關節體位感覺(joint position)仍存在,其最可能診斷為何?
詳解
破題關鍵
中央脊髓症候群 (Central Cord Syndrome) 的典型表現是上肢無力比下肢嚴重,且溫痛覺受損,但本體感覺保留。
選項拆解
登入查看完整詳解與互動作答
【114-2 醫學(四) 第44題】前脈絡叢動脈(anterior choroidal artery)阻塞造成的缺血性腦中風,下列何者是最不常見的臨床症狀?
詳解
破題關鍵
前脈絡叢動脈阻塞會影響內囊後肢和視徑,導致對側肢體運動、感覺和視野缺損,但通常不會引起半邊忽略。
選項拆解
登入查看完整詳解與互動作答

詳解
破題關鍵
這題的解題核心在於辨識腦部電腦斷層影像顯示的是急性腦出血,並了解不同降腦壓治療方式的適用時機,特別是類固醇在急性腦出血中的角色。圖片中右側大片亮白色區域就是急性出血。
選項拆解
登入查看完整詳解與互動作答

詳解
破題關鍵
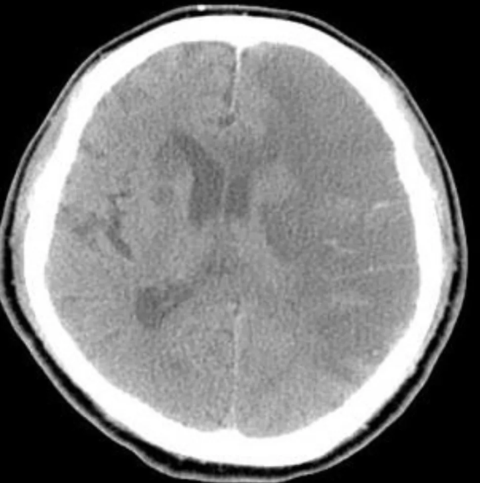
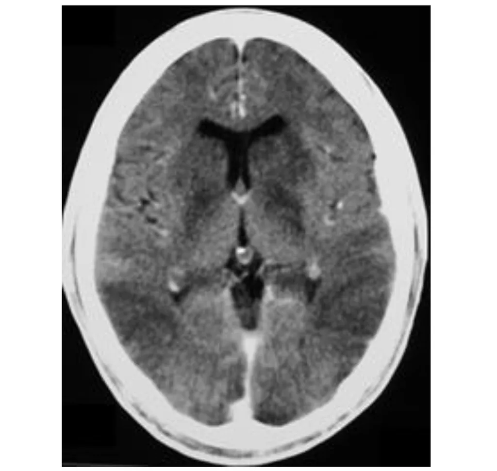
這道題的解題核心在於將臨床病史(急性心臟衰竭導致昏迷)與電腦斷層影像上呈現的瀰漫性腦水腫及灰白質分化不清的特徵結合起來。圖片中大腦整體密度降低,腦溝變淺,腦室受壓,這些都是缺氧缺血性腦病變的典型表現。
選項拆解
登入查看完整詳解與互動作答
【114-2 醫學(四) 第67題】有關阿茲海默症(Alzheimer's disease)之敘述,下列何者錯誤?
詳解
破題關鍵
阿茲海默症 (Alzheimer's disease) 大多數是散發性 (sporadic) 的,只有少數是家族遺傳性 (familial) 的。
選項拆解
登入查看完整詳解與互動作答
【114-2 醫學(四) 第76題】75 歲男性有失智症(dementia)及高血壓病史,因為晚上不睡覺,白天容易情緒躁動,由照顧他的外傭送到急診,下列敘述何者最不適當?
詳解
破題關鍵
對失智症病人進行約束和放置導尿管應極為謹慎,這可能加劇躁動、增加感染風險,且違反病人自主權。
選項拆解
登入查看完整詳解與互動作答
【114-2 醫學(四) 第47題】34 歲女性,左側眼窩內頭痛,有時會延伸到左側額顳區,每次發作約 2~45 分鐘,一天發作至少 5 次以上, 發作時伴隨左側流眼淚和流鼻水並會干擾她的日常生活。頭痛 3 天內會自動緩解,神經影像學檢查正常。下列何種藥物對她特別有療效?
詳解
破題關鍵
單側、短暫、高頻率的眼眶周圍頭痛,伴隨同側自主神經症狀,且對吲哚美辛 (indomethacin) 有特效,是陣發性偏側頭痛 (Paroxysmal Hemicrania) 的典型特徵。
選項拆解
登入查看完整詳解與互動作答