【111-2 醫學(四) 第52題】60 歲男性,一年前右手姆指以及食指出現顫抖現象;寫字不如以前靈活、字越寫越小,走路時右手不太擺動,但是仍然可以用鋤頭整地種菜,感覺功能正常。最近半年右腳比較僵硬、臉部表情較少。下列臨床診斷何者最有可能?
詳解
破題關鍵
登入查看完整詳解與互動作答
共 15 題(登入後可互動作答與查看詳解)
【111-2 醫學(四) 第52題】60 歲男性,一年前右手姆指以及食指出現顫抖現象;寫字不如以前靈活、字越寫越小,走路時右手不太擺動,但是仍然可以用鋤頭整地種菜,感覺功能正常。最近半年右腳比較僵硬、臉部表情較少。下列臨床診斷何者最有可能?
詳解
破題關鍵
登入查看完整詳解與互動作答
【111-2 醫學(四) 第17題】13 歲男孩,自述 4 週前有輕微腹瀉,最近 2 週內有進行性的四肢無力和感覺異常,神經學診查發現四肢深部肌腱反射(Deep tendon reflexes)減弱,腦部和脊椎磁振造影掃描無特殊異常,腦脊髓液檢查報告如下: WBC:0 cell/mm3,RBC:0 cell/mm3,glucose:80 mg/dL,protein:105 mg/dL。此病人最可能的診斷為何?
詳解
破題關鍵
病人有前驅感染史,接著出現進行性四肢無力、感覺異常和深部肌腱反射減弱,且腦脊髓液檢查呈現「蛋白細胞分離」現象,這些都是格林-巴利症候群的典型特徵。
選項拆解
登入查看完整詳解與互動作答
【111-2 醫學(四) 第1題】8 歲女孩,因突發高燒、頭痛、嘔吐及腹瀉而至急診求治,在急診因血壓下降而被轉到加護病房。其腦脊髓液檢查正常,血液 WBC 21,000/mm3(band: 3%, segment: 70%),CRP 12.7 mg/dL。身體診察發現左手臂有一大塊紅腫的區域,位於先前被蚊子叮咬而抓破皮的周圍,胸部、腹部有會癢的紅疹。 此時最適當給與的抗生素為下列何者?
詳解
破題關鍵
病人有嚴重感染合併休克、皮膚感染和全身性紅疹,要考慮毒素介導的疾病,並給予能抑制毒素的抗生素。
選項拆解
登入查看完整詳解與互動作答
【111-2 醫學(四) 第58題】關於多發性硬化症(multiple sclerosis)急性發作時腦脊髓液檢查的敘述,下列何者錯誤?
詳解
破題關鍵
多發性硬化症的腦脊髓液檢查,蛋白通常只有輕微升高,不會高到100 mg/dL。
選項拆解
登入查看完整詳解與互動作答
【111-2 醫學(四) 第16題】5 歲男童早上醒來後,發覺他兩腳無法走路,急診檢查時發現體溫為 38.5℃且血清中 Creatine kinase(CK)比正常值高 20 倍,下列何種疾病為最有可能之診斷?
詳解
破題關鍵
病人急性發作的雙腳無力合併高燒,且血清肌酸激酶 (CK) 顯著升高,直接指向肌肉本身的損傷。
選項拆解
登入查看完整詳解與互動作答
【111-2 醫學(四) 第53題】肉毒桿菌中毒(botulism)與重症肌無力(myasthenia gravis)之比較,下列何者錯誤?
詳解
破題關鍵
肉毒桿菌毒素會阻斷神經肌肉接合處的乙醯膽鹼釋放,導致全身肌肉麻痺,包括呼吸肌。
選項拆解
登入查看完整詳解與互動作答
【111-2 醫學(四) 第55題】63 歲長年茹素女性出現漸進性步態不穩,檢查發現痙攣步態(spastic gait),合併振動感覺(vibration sense) 及關節位置感覺(joint position sense)喪失,但痛覺及溫覺正常。兩側膝蓋的深層肌腱反射(deep tendon reflex, DTR)較上肢增強,但兩腳踝的 DTR 卻是減弱。其最可能的診斷為何?
詳解
破題關鍵
病人是長期茹素者,出現痙攣步態、振動覺和關節位置覺喪失,但痛溫覺正常,且深層肌腱反射有混合性表現,這些都高度提示維生素 B12 缺乏引起的脊髓病變。
選項拆解
登入查看完整詳解與互動作答
【111-2 醫學(四) 第44題】下列何者的表現最有可能是小血管中風(small-vessel stroke)?
詳解
破題關鍵
小血管中風 (腔隙性中風) 的特點是只影響深部腦結構,不會出現皮質功能障礙的症狀。
選項拆解
登入查看完整詳解與互動作答
【111-2 醫學(四) 第46題】下列造成心因性缺血性腦中風的原因,何者最不建議使用抗凝血劑預防中風?
詳解
破題關鍵
感染性心內膜炎的栓塞是帶菌的贅生物脫落,使用抗凝血劑不僅無效,反而會增加出血風險。
選項拆解
登入查看完整詳解與互動作答

詳解
破題關鍵
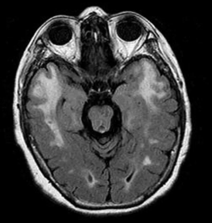
這題的解題核心在於將病患的臨床表現(年輕型中風、失智、家族史)與腦部磁振造影的典型影像特徵結合起來。圖片中腦部磁振造影(MRI)顯示的雙側顳葉極(temporal poles)和外囊(external capsules)的廣泛白質病變,是診斷 CADASIL 最關鍵的視覺線索。
登入查看完整詳解與互動作答
【111-2 醫學(四) 第60題】關於失智症藥物的敘述,下列何者正確?
詳解
破題關鍵
失智症藥物的作用機轉和副作用是常考重點,要記住不同藥物的特性。
選項拆解
登入查看完整詳解與互動作答
【111-2 醫學(四) 第67題】有關海洛因之中毒和戒斷,下列敘述何者正確? ①Opioid、catecholamine、γ-aminobutyric acid system 是形成藥物濫用和成癮最主要的神經傳導物質 ②急性中毒的症狀包括過度興奮、多話、記憶過度活躍、瞳孔擴大,如果用量過大而缺氧時會瞳孔縮小至針尖狀 ③戒斷症狀在停藥 6 至 8 小時後就可能出現,一般在 7 至 10 天內改善 ④戒斷症狀和 locus ceruleus of pons 有關,在停用海洛因時這區域的 noradrenergic neurons 會降低活性
詳解
破題關鍵
海洛因是鴉片類藥物,其急性中毒會抑制中樞神經,瞳孔縮小;戒斷症狀則與中樞神經過度興奮有關。
選項拆解
登入查看完整詳解與互動作答

詳解
破題關鍵
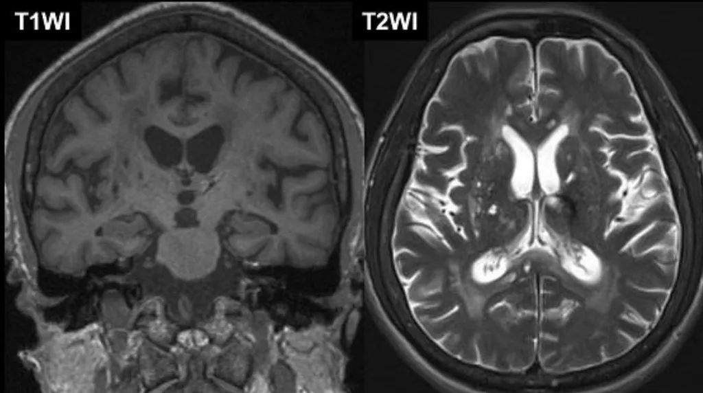
這張頭部磁振造影(MRI)的T2加權影像顯示大範圍的白質高訊號病灶,這些是血管性失智症的典型影像學特徵。
選項拆解
登入查看完整詳解與互動作答
【111-2 醫學(四) 第49題】下列何種治療證實對於慢性緊縮性頭痛(chronic tension-type headache)具有療效?
詳解
破題關鍵
慢性緊縮性頭痛的預防性治療,首選藥物是三環抗憂鬱劑。
選項拆解
登入查看完整詳解與互動作答
【111-2 醫學(四) 第57題】高惡性度神經膠質瘤(high-grade glioma)與低惡性度神經膠質瘤(low-grade glioma)的臨床病症相比較,下列何者錯誤?
詳解
破題關鍵
惡性度高的腦瘤通常生長快速、破壞性強,但癲癇發作反而與生長較慢的腦瘤有關。
選項拆解
登入查看完整詳解與互動作答