【106-1 醫學(五) 第42題】54歲男性因嚴重高血壓合併低血鉀症多次來急診室處理,初步診斷疑有hyperaldosteronism,手術前的病灶定位以何者之敏感 性(sensitivity)最高?
詳解
破題關鍵
要找出原發性醛固酮增多症的病灶,電腦斷層掃描是目前最敏感且常用的影像檢查。
選項拆解
登入查看完整詳解與互動作答
共 56 題(登入後可互動作答與查看詳解)
【106-1 醫學(五) 第42題】54歲男性因嚴重高血壓合併低血鉀症多次來急診室處理,初步診斷疑有hyperaldosteronism,手術前的病灶定位以何者之敏感 性(sensitivity)最高?
詳解
破題關鍵
要找出原發性醛固酮增多症的病灶,電腦斷層掃描是目前最敏感且常用的影像檢查。
選項拆解
登入查看完整詳解與互動作答
【106-1 醫學(五) 第43題】根據美國國家衛生院的研究,胰島素瘤(insulinoma)的手術前定位以下列何者最為精確?
詳解
破題關鍵
胰島素瘤通常很小,傳統影像檢查常常找不到,所以要靠功能性檢查來精準定位。
選項拆解
登入查看完整詳解與互動作答
【106-1 醫學(五) 第44題】關於甲狀腺濾泡癌(follicular carcinoma),何者錯誤?
詳解
破題關鍵
甲狀腺濾泡癌通常是單一病灶,診斷重點在於是否有侵犯到被膜或血管。
選項拆解
登入查看完整詳解與互動作答
【106-1 醫學(五) 第45題】35歲未哺乳的女性病人,最近發現左側乳頭有血樣分泌物(bloody discharge),觸診發現乳暈下兩點鐘方向有硬塊,下列敘 述何者錯誤?
詳解
破題關鍵
年輕女性乳房檢查,超音波是首選,乳房攝影通常不是第一線工具。
選項拆解
登入查看完整詳解與互動作答
【106-1 醫學(五) 第46題】三發性副甲狀腺機能亢進(tertiary hyperparathyroidism),何者正確?
詳解
破題關鍵
三發性副甲狀腺機能亢進的治療,關鍵在於判斷何時需要手術,特別是腎臟病患或腎移植後的狀況。
選項拆解
登入查看完整詳解與互動作答
【106-1 醫學(五) 第47題】下列有關乳房腫瘤細針穿刺(fine needle aspiration)檢查之敘述,何者錯誤?
詳解
破題關鍵
細針穿刺(FNA)的重點就在於「細針」,所以針頭不能太粗。
選項拆解
登入查看完整詳解與互動作答
對於無法手術的轉移性胰臟內分泌瘤病患,可使用的治療中,何者正確?
詳解
破題關鍵
這題考你對不同類型胰臟內分泌瘤(PNET)的治療方式,以及對題幹「無法手術」這個前提的理解。
選項拆解
登入查看完整詳解與互動作答
【106-1 醫學(五) 第2題】腹部鈍傷時採用診斷性腹膜沖洗(diagnostic peritoneal lavage)的適應症,下列何者錯誤?
詳解
破題關鍵
診斷性腹膜沖洗(DPL)是用來「找出」腹部有沒有內傷的方法,如果你已經確定要開刀了,就不需要再做這個檢查。
選項拆解
登入查看完整詳解與互動作答
【106-1 醫學(五) 第3題】關於老年人接受主要手術(major surgery)時,下列敘述何者錯誤?
詳解
破題關鍵
老年人手術前的高血糖,會增加手術的併發症和死亡風險。
選項拆解
登入查看完整詳解與互動作答
【106-1 醫學(五) 第4題】嚴重外傷病患呈現腹內大量出血及休克時,有時必須採用傷害控制手術(damage control surgery)於短時間內來控制出血及其 他搶救步驟,以挽救生命。否則會出現致死三元素(lethal triad)。下列何者不屬於lethal triad?
詳解
破題關鍵
這題在考你嚴重外傷病人「致死三元素」的內容,只要知道是哪三個,就能選出不屬於其中的選項。
選項拆解
登入查看完整詳解與互動作答
【106-1 醫學(五) 第5題】血壓是判定傷病患是否呈現休克的重要指標,當災難事故發生時,若現場並無血壓量測工具時,可藉由橈動脈脈搏(radial pulse)、股動脈脈搏(femoral pulse)及頸動脈脈搏(carotid pulse)之檢測,來估計傷病患之血壓高低。下列為當血壓低於 90 mmHg時,三種脈搏消失之先後次序,何者正確?
詳解
破題關鍵
血壓越低,離心臟越遠的脈搏會越早摸不到。
選項拆解
登入查看完整詳解與互動作答
【106-1 醫學(五) 第7題】與腹腔內感染(intra-abdominal infections)相關的敘述,下列何者錯誤?
詳解
破題關鍵
並非所有腹腔內感染都需要手術,有些可以用抗生素或引流處理。
選項拆解
登入查看完整詳解與互動作答
【106-1 醫學(五) 第8題】進行全靜脈營養(total parenteral nutrition,TPN)時,下列與中央靜脈導管相關之併發症的敘述,何者錯誤?
詳解
破題關鍵
這題要你找出哪一個不是中央靜脈導管可能引起的併發症。
選項拆解
登入查看完整詳解與互動作答
【106-1 醫學(五) 第19題】下列何者是造成傷口攣縮(wound contracture)的主要細胞?
詳解
破題關鍵
傷口會縮小,主要是靠一種能收縮、把傷口邊緣拉近的細胞在作用。
選項拆解
登入查看完整詳解與互動作答
【106-1 醫學(五) 第20題】根據American Burn Association所訂,須到灼傷中心住院的情況,下列敘述何者錯誤?
詳解
破題關鍵
這題考你美國燒傷協會(ABA)訂定的燒傷中心收治標準,要找出哪個敘述「不符合」這些標準。
選項拆解
登入查看完整詳解與互動作答
【106-1 醫學(五) 第34題】下列關於疝氣之敘述,何者錯誤?
詳解
破題關鍵
切口疝氣洞口太大時,直接縫合容易復發,通常需要人工網膜加強。
選項拆解
登入查看完整詳解與互動作答
【106-1 醫學(五) 第48題】25歲女性,左乳外上側,離乳暈3公分,約 1公分×1公分腫瘤,經粗針切片是浸潤性管道癌(infiltrating ductal carcinoma), 女性荷爾蒙接受器(estrogen receptor)陽性,黃體素荷爾蒙接受器(progesterone receptor)陽性,HER-2/neu 陽性,下列 何者是最適合的建議?
詳解
破題關鍵
對於早期、侵犯性的乳癌,標準治療是切除腫瘤並評估淋巴結狀況。
選項拆解
登入查看完整詳解與互動作答
【106-1 醫學(五) 第78題】罹患糖尿病10餘年的林老太太最近不小心腳部受了傷,傷口一直沒有癒合,在診所換藥1個多星期傷口仍然沒有起色,因此診 所醫師建議林老太太到醫院住院治療。住院後被診斷為蜂窩性組織炎,經過抗生素以及傷口換藥治療,傷口並沒有進步,反而 有擴大的趨勢,醫師建議林老太太應該要進行清創治療,但林老太太聽到要開刀就有點害怕,拒絕了清創治療的建議。又經過 1個多星期,連小腿都出現嚴重紅腫的狀況,醫師建議林老太太需要進行截肢手術,否則傷口繼續擴大,恐怕有生命危險。林 老太太考慮了很久,只答應願意接受清創手術,但不想接受截肢手術。手術中,醫師為了傷口將來的癒合,幫林老太太進行了 截肢手術。依照現行法規,你認為醫師的做法是否正確?
詳解
破題關鍵
病人有權利拒絕非緊急的醫療處置,即使醫師認為該處置對病人最好。
選項拆解
登入查看完整詳解與互動作答
【106-1 醫學(五) 第80題】45歲膽囊炎切除後的男性病人,回到病房後,主治醫師發現術後追蹤的腹部X光片,有紗布殘留。下列敘述何者錯誤?
詳解
破題關鍵
為了減少醫療錯誤,我們需要的是鼓勵大家說出來、一起學習的制度,而不是懲罰性的制度。
選項拆解
登入查看完整詳解與互動作答
【106-1 醫學(五) 第1題】有關新生兒薦尾部畸胎瘤(neonatal sacrococcygeal teratoma)的敍述,下列何者錯誤?
詳解
破題關鍵
新生兒薦尾部畸胎瘤手術,為了避免復發,尾骨通常需要一併切除,而不是保留。
選項拆解
登入查看完整詳解與互動作答
【106-1 醫學(五) 第50題】一個月大的男嬰餵奶後出現有噴射性的嘔吐現象,其吐出物中不含膽汁。理學檢查在上腹部可摸到一類似橄欖狀的腫塊(olive mass),最可能的診斷為:
詳解
破題關鍵
看到一個月大嬰兒出現噴射性、不含膽汁的嘔吐,加上腹部摸到橄欖狀腫塊,這是嬰兒型幽門肥厚狹窄的經典表現。
選項拆解
登入查看完整詳解與互動作答
【106-1 醫學(五) 第51題】梅克耳憩室(Meckel's diverticulum)所造成的下消化道出血,可利用下列何者做診斷?①99mTc-pertechnetate放射線同位素 檢查 ②腹部超音波檢查 ③腹腔鏡探查 ④下消化道鋇劑攝影 ⑤大腸鏡檢查
詳解
破題關鍵
梅克爾憩室出血的診斷,主要靠偵測異位胃黏膜或直接手術探查。
選項拆解
登入查看完整詳解與互動作答
【106-1 醫學(五) 第53題】下列有關Meckel’s diverticulum之敘述,何者錯誤?
詳解
破題關鍵
Meckel's diverticulum的典型位置是在小腸的「對側」,也就是遠離腸繫膜的那一邊。
選項拆解
登入查看完整詳解與互動作答
【106-1 醫學(五) 第6題】當小客車司機因追撞大貨車,於急救時出現大量血氣胸,必須緊急給予胸管引流治療。有關胸管置放之位置,下列敘述何者正 確?
詳解
破題關鍵
胸管引流最常見且安全的置放位置,通常在腋中線附近,避免傷及重要器官。
選項拆解
登入查看完整詳解與互動作答
【106-1 醫學(五) 第22題】病人於接受心臟手術後,轉入加護病房觀察。此時他的血壓由術後的140/80 mmHg 下降至80/60 mmHg,肺動脈壓由 30/18 mmHg上升至56/30 mmHg,肺楔壓為20 mmHg,中心靜脈壓為15 mmHg,心跳為130/min。下列立即處置何者適當?①給予 血管放鬆劑, 低後負荷 ②給予抗心律不整藥,改善心跳過速 ③給予裝置葉克膜 (ECMO) ④給予強心劑,增強心肌收縮 力
詳解
破題關鍵
病人術後血壓低、心臟壓力高,顯示心臟收縮力不足導致休克,當務之急是增強心臟功能。
選項拆解
登入查看完整詳解與互動作答
【106-1 醫學(五) 第24題】下列關於急性主動脈剝離症的敘述,何者正確?①主動脈剝離的範圍若僅包含胸部降主動脈,則大多需手術 ②主動脈剝離的 範圍若包含胸部升主動脈,則大多需緊急手術 ③主動脈剝離的範圍若僅包含胸部降主動脈,大多不可用主動脈內徑血管支架 (endovascular stent grafts)治療 ④主動脈剝離的範圍若包含胸部升主動脈,大多不可用主動脈內徑血管支架 (endovascular stent grafts)治療
詳解
破題關鍵
主動脈剝離的治療策略,主要看剝離範圍有沒有包含「升主動脈」,以及有沒有併發症。
選項拆解
核心知識
登入查看完整詳解與互動作答
【106-1 醫學(五) 第25題】一位 69歲男性病人因急性心肌梗塞住院。五天後,病人呼吸較喘,身體檢查顯示有新的心尖部心縮期雜音、血壓80/50 mmHg、中心靜脈壓 30 mmHg、胸部 X 光顯示肺水腫現象。下列敘述何者錯誤?①診斷為心室中隔破裂 ②須裝置主動脈內 氣球幫浦 ③不須緊急手術 ④手術死亡率約10%至20%
詳解
破題關鍵
病人急性心肌梗塞後出現心臟衰竭、休克及新的心尖部心縮期雜音,高度懷疑急性二尖瓣閉鎖不全或心室中隔破裂,需緊急處理。
選項拆解
登入查看完整詳解與互動作答
【106-1 醫學(五) 第26題】有關主動脈瓣膜置換的手術適應症,下列何者錯誤?
詳解
破題關鍵
無症狀的主動脈瓣膜逆流,如果心臟功能和大小都還在可接受範圍內,通常不需要立即手術。
選項拆解
登入查看完整詳解與互動作答
【106-1 醫學(五) 第27題】肺癌手術後,死亡原因最常見的是:
詳解
破題關鍵
肺部手術後,最直接且最常見的併發症就是呼吸道感染,進而導致敗血症。
選項拆解
登入查看完整詳解與互動作答
【106-1 醫學(五) 第28題】下列何者不是支氣管擴張症做單純肺葉切除手術適應症?
詳解
破題關鍵
支氣管擴張症做肺葉切除手術,通常是針對「局部」且「嚴重影響生活」的病灶,如果病灶是「廣泛雙側」的,單純切除一個肺葉幫助不大。
選項拆解
登入查看完整詳解與互動作答
【106-1 醫學(五) 第29題】下列有關咳血之敘述,何者正確?
詳解
破題關鍵
在處理大量咳血時,硬式支氣管鏡在診斷和治療上,比軟式支氣管鏡有更多優勢。
選項拆解
登入查看完整詳解與互動作答
【106-1 醫學(五) 第30題】關於原發性氣胸(primary pneumothorax)的敘述,何者錯誤?
詳解
破題關鍵
不是所有氣胸都一定要插胸管,小氣胸可以觀察。
選項拆解
登入查看完整詳解與互動作答
【106-1 醫學(五) 第49題】乳房改良性根除性切除術中,需避免傷害下列那些神經?①胸背神經(thoracodorsal nerve) ②長胸神經(long thoracic nerve) ③內乳神經(internal mammary nerve) ④膈神經(phrenic nerve)
詳解
破題關鍵
改良性根除性乳房切除術中,主要需保護腋窩和胸壁上的重要神經,以維持手臂功能並減少術後不適。
選項拆解
登入查看完整詳解與互動作答
【106-1 醫學(五) 第31題】下列那一種肝臟良性腫瘤,有較高之惡性轉變的可能性,建議手術切除?
詳解
破題關鍵
這題在考你哪種良性肝腫瘤最有可能變成惡性,所以需要考慮手術切除。
選項拆解
登入查看完整詳解與互動作答
【106-1 醫學(五) 第32題】王先生因為腹膜炎接受手術,術中發現空腸、迴腸及右側結腸呈現缺血壞死現象,下列何者是最可能的診斷?
詳解
破題關鍵
看到空腸、迴腸和右側結腸大範圍缺血壞死,就要聯想到供應這些區域的主要動脈。
選項拆解
登入查看完整詳解與互動作答
【106-1 醫學(五) 第33題】下列有關肝膿瘍之敘述,何者正確?
詳解
破題關鍵
了解肝膿瘍的常見特性,尤其是好發位置、致病菌種類和診斷方式。
選項拆解
登入查看完整詳解與互動作答
【106-1 醫學(五) 第36題】進行期胃癌之肉眼觀察形態有四種。下列敘述何者錯誤?
詳解
破題關鍵
這題在考你對進行期胃癌Borrmann分類的認識,以及各類型在臨床上的相對盛行率。
選項拆解
登入查看完整詳解與互動作答
【106-1 醫學(五) 第37題】李先生因為解黑便三天,且清晨開始有吐血的情形而被送至急診處。需要及早照會外科手術治療的適應症,下列何者錯誤?
詳解
破題關鍵
改良強生分類是描述胃潰瘍的「類型」,而不是判斷是否需要緊急手術的「出血嚴重度」指標。
選項拆解
登入查看完整詳解與互動作答
【106-1 醫學(五) 第39題】26歲男性因體重120公斤至減重中心求診,他身高172公分,下列關於減重手術的說明何者錯誤?
詳解
破題關鍵
減重手術的BMI適應症門檻是針對所有術式共同設定的,不因術式類型而有高低之分。
選項拆解
登入查看完整詳解與互動作答
【106-1 醫學(五) 第40題】下列有關膽管癌之敘述,何者錯誤?
詳解
破題關鍵
膽管癌依照位置分類,但最常見的類型並不是肝內膽管癌。
選項拆解
登入查看完整詳解與互動作答
【106-1 醫學(五) 第41題】一位53歲男性,以往健康良好,最近逐漸出現黃疸症狀,糞便呈淺色,尿液茶褐色。病患以往沒有膽道結石病史。理學檢查顯 示患者腹部無痛覺,沒有硬塊,膽囊亦觸摸不到。實驗室血液數據顯示總膽管色素:9.8 mg/dL,直接膽紅素:7.6 mg/dL, prothrombin time INR:1.79,ALT:141 U/L,AST:147 U/L,澱粉酶:130 U/L,脂肪酶:86 U/L,alkaline-P:469 U/L。 腹部超音波顯示肝內肝管擴大,膽囊正常。則下列何者與病患最可能的疾病診斷不符?
詳解
破題關鍵
這題的關鍵是根據病患的症狀、實驗室數據和超音波結果,判斷最可能的診斷是肝門部膽管癌(Klatskin tumor),然後找出與這個診斷不符的敘述。
選項拆解
登入查看完整詳解與互動作答
【106-1 醫學(五) 第54題】一位35歲男性患者因持續右側腹痛就醫,經下消化道攝影發現升結腸有一蘋果核(apple core)般的病灶,下列何者是不需要 的檢查?
詳解
破題關鍵
看到「apple core」病灶就要想到大腸癌,然後判斷哪個檢查跟大腸癌最沒關係。
選項拆解
登入查看完整詳解與互動作答
【106-1 醫學(五) 第55題】下列有關結腸扭結(colonic volvulus)的敘述,何者錯誤?
詳解
破題關鍵
盲腸扭結通常不建議先用大腸鏡復位,因為成功率低且風險高,手術是主要治療方式。
選項拆解
登入查看完整詳解與互動作答

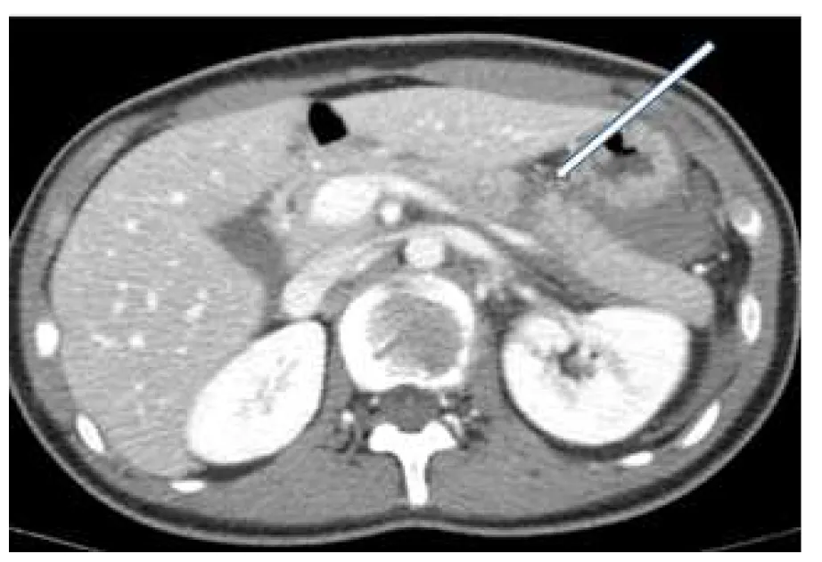
詳解
破題關鍵
這道題的解題核心在於辨識腹部電腦斷層影像中,箭頭所指的胰臟實質斷裂與周圍液體堆積,這是典型的胰臟撕裂傷表現。
選項拆解
登入查看完整詳解與互動作答
根據first-order kinetics,喝完200毫升開水多久後,胃裡一半的水會排空至十二指腸?
詳解
破題關鍵
胃排空水份通常遵循一級動力學,所以排空一半的時間就是它的半衰期,這個時間是固定的。
選項拆解
登入查看完整詳解與互動作答
【106-1 醫學(五) 第9題】最常見轉移性腦瘤之原發處,依發生比例由多到少之排序為何?
詳解
破題關鍵
腦部轉移瘤最常見的來源,肺癌絕對是第一名,記住這個就能排除很多選項。
選項拆解
登入查看完整詳解與互動作答

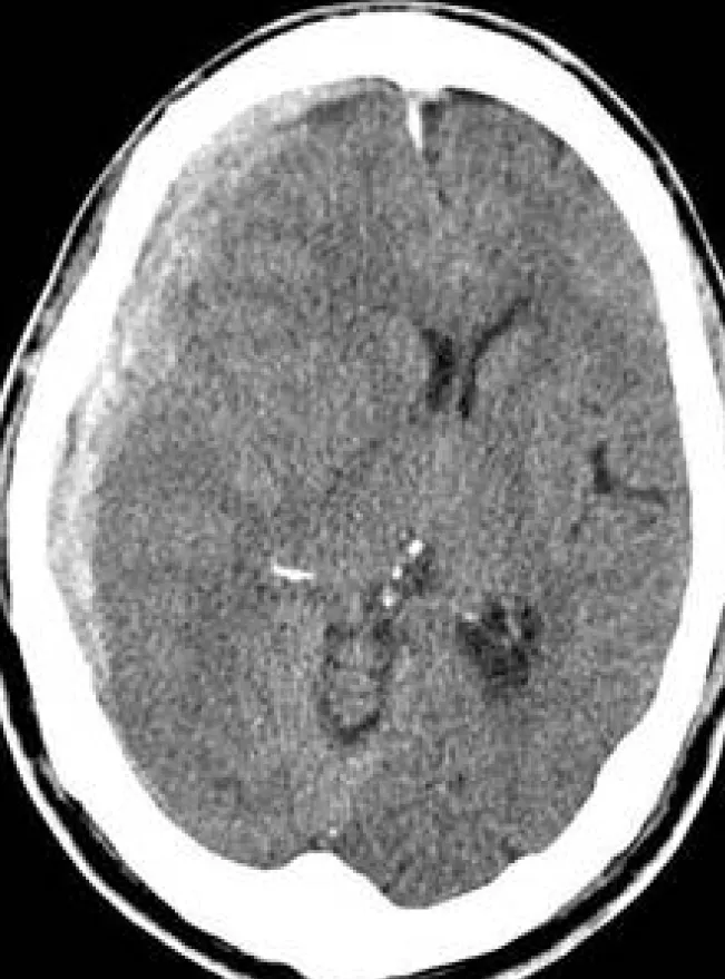
詳解
破題關鍵
這題的解題核心是判讀腦部電腦斷層影像,辨識出硬腦膜下出血的典型影像特徵。圖片中大範圍、呈半月形(crescent shape)的高密度病灶,緊貼顱骨內緣,是診斷硬腦膜下出血最關鍵的視覺線索。
選項拆解
登入查看完整詳解與互動作答
【106-1 醫學(五) 第13題】下列何者最不適合做腰椎穿刺(lumbar puncture)?
詳解
破題關鍵
腰椎穿刺最大的風險就是腦壓不平衡導致腦組織往下擠壓,所以有佔位性病變(例如腫瘤)時最危險。
選項拆解
登入查看完整詳解與互動作答
【106-1 醫學(五) 第14題】腦膜瘤(meningioma)三個最好發之位置為何?
詳解
破題關鍵
這題考你腦膜瘤最愛長在哪裡,直接背起來最常見的三個位置就對了。
選項拆解
登入查看完整詳解與互動作答
【106-1 醫學(五) 第15題】頭部外傷造成的diffuse axonal injury(DAI),下列敘述何者錯誤?
詳解
破題關鍵
DAI 的特色是腦部受損嚴重但肉眼不一定看得出來,所以解剖時外觀可能正常。
選項拆解
登入查看完整詳解與互動作答