內分泌外科1 / 67
【113-1 醫學(五) 第34題】下列有關胃神經內分泌腫瘤(neuroendocrine tumor)的敘述,何者錯誤?
詳解
破題關鍵
搞清楚不同胃腸道腫瘤的細胞來源,特別是神經內分泌腫瘤和基質瘤的區別。
選項拆解
-A:錯在 [細胞來源]。胃神經內分泌腫瘤源自神經內分泌細胞,而不是腸道間質細胞 (interstitial cell of Cajal)。腸道間質細胞增生形成的是胃腸道基質瘤 (GIST)。
內分泌外科2 / 67
【113-1 醫學(五) 第38題】一位 60 歲女性因意識改變、噁心嘔吐被送至急診,抽血發現血鈣高達 15.5 mg/dL 及 parathyroid hormone (PTH)475 pg/mL,一開始處置下列何者最為適當?
詳解
破題關鍵
急性嚴重高血鈣合併症狀的患者,最優先的處置是快速補液。
選項拆解
內分泌外科3 / 67
【113-1 醫學(五) 第39題】一位 30 歲女性有 Hashimoto's thyroiditis,因 follicular adenoma 接受甲狀腺左葉全切除手術,術後一個月抽血發現 TSH 6.0 mIU/L,較正常值略為升高,free T4 仍在正常範圍,儘管並無臨床症狀,某些情況下仍建議她服用甲狀腺素補充,但下列何者除外?
詳解
破題關鍵
判斷亞臨床甲狀腺功能低下 (subclinical hypothyroidism) 在哪些情況下需要治療。
選項拆解
-A:懷孕 (pregnancy) 是亞臨床甲狀腺功能低下需要治療的明確指徵,因為甲狀腺功能對胎兒發育至關重要。
內分泌外科4 / 67
【113-1 醫學(五) 第41題】下列那一乳癌病人,最不適合保留乳房?
詳解
破題關鍵
乳房保留手術的禁忌症主要與腫瘤的廣泛性、多發性以及能否達到安全切緣有關。
選項拆解
-A:病人乳房為 E 罩杯,乳房腫瘤約 2 公分。乳房體積大,2 公分的腫瘤相對較小,通常可以進行乳房保留手術並達到良好的美容效果和足夠的切緣。因此,適合保留乳房。
內分泌外科5 / 67
【113-1 醫學(五) 第42題】有關乳癌篩檢敘述,下列何者錯誤?
詳解
破題關鍵
乳房攝影 (mammography) 的篩檢效果與乳房密度 (breast density) 之間的關係。
選項拆解
-A:正確。乳房攝影 (mammography) 是歐美許多國家推行大規模乳癌篩檢最常用的工具,其有效性已被證實。
內分泌外科6 / 67
【113-1 醫學(五) 第43題】21 歲女性因右乳疼痛接受乳房超音波檢查,發現右乳有一 2.3 公分低回音病灶疑似纖維腺瘤 (fibroadenoma),BI-RADS category 2,則下列處置何者較不考慮?
詳解
破題關鍵
根據患者年齡、超音波結果 (BI-RADS category 2) 和疑似診斷 (纖維腺瘤),選擇最不適合的進一步檢查。
選項拆解
外科通論與急重症7 / 67
【113-1 醫學(五) 第1題】一位嚴重頭部外傷病人(GCS=7 分),在第一時間的處置,下列何者最不適當?
詳解
破題關鍵
嚴重頭部外傷的急性期,類固醇並不能有效減少腦水腫或腦壓,反而可能有害。
選項拆解
-A:正確。GCS=7分表示病人意識不清,呼吸道保護能力差,有吸入性肺炎的風險,應放置氣管內管以保護呼吸道和維持適當的通氣。
外科通論與急重症8 / 67
【113-1 醫學(五) 第2題】在急診室針對鈍挫傷(blunt trauma)病人的評估,下列何種處置或檢查對確定診斷最無幫助?
詳解
破題關鍵
鈍挫傷急診評估,重點在快速找出危及生命的傷害,腹部X光對於內臟實質器官或血管的傷害診斷幫助有限。
選項拆解
-A:胸部的 X 光檢查(chest X ray)對於評估氣胸、血胸、肺挫傷等胸腔傷害非常重要,是鈍挫傷急診評估的標準檢查之一。
外科通論與急重症9 / 67
【113-1 醫學(五) 第3題】有關腹部腔室症候群(abdominal compartment syndrome),下列敘述何者錯誤?
詳解
破題關鍵
腹部壓力升高會壓迫橫膈膜,導致呼吸困難,進而影響呼吸器的使用。
選項拆解
-A:正確。腹部手術後若腹部壓力增加,會壓迫腹內器官的血管,導致灌流不足,進而造成器官功能障礙。
外科通論與急重症10 / 67
【113-1 醫學(五) 第4題】有關手術後肺坍塌(atelectasis)的敘述,下列何者錯誤?
詳解
破題關鍵
氣管內插管本身就是造成肺坍塌的風險因子之一。
選項拆解
-A:正確。麻醉藥的使用會抑制中樞神經系統,降低咳嗽反射,使呼吸道分泌物不易排出,增加肺坍塌的風險。
-B:正確。術後麻醉和手術壓力可能影響肺部表面張力素的分泌和功能,導致肺泡穩定性下降,容易塌陷。
外科通論與急重症11 / 67
【113-1 醫學(五) 第14題】肌肉皮瓣(muscle flap)依照血管供應肌肉的方式可分成五種類型,闊背肌肉皮瓣(latissimus dorsi muscle flap)屬於那一類型?
詳解
破題關鍵
闊背肌皮瓣的血管供應是靠一條主要血管和多條次要血管。
選項拆解
-A:錯在類型。Type II 是一條主要血管和多條次要血管,例如股二頭肌。
-B:錯在類型。Type III 是兩條主要血管,例如臀大肌。
-C:錯在類型。Type IV 是多條節段性血管,例如脛前肌。
外科通論與急重症12 / 67
【113-1 醫學(五) 第18題】關於乳癌切除後的乳房重建(breast reconstruction),下列何者正確?
詳解
破題關鍵
乳房重建有兩種主要方式:義乳或自體組織,各有優缺點和併發症。
選項拆解
-A:錯在「目前最常使用」。DIEP flap 雖然能得到最自然與最佳觸感,但因手術複雜度高,並非目前最常使用的乳房重建方法。義乳重建因其相對簡單,仍是常見的選擇。
外科通論與急重症13 / 67
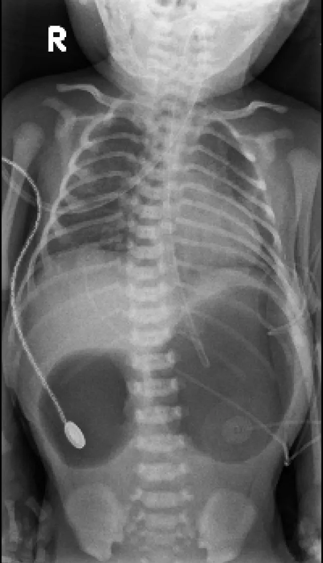
【113-1 醫學(五) 第48題】承上題,檢查全身無明顯出血及外傷,頭部電腦斷層無頭骨骨折及顱內出血,但仍意識不清,胸腹部X 光如圖所示,輸注packed RBC 100 mL 後量測生命徵象,血壓114/53 mmHg,心跳163/min,呼吸28/min,體溫 36.7℃,脈搏血氧飽和度90%,下列敘述何者錯誤?

詳解
破題關鍵
這張胸腹部X光片顯示右側胸腔有明顯的積液,在創傷病患合併休克的臨床情境下,高度懷疑是血胸。因此,選項C中「右側可能血胸」的說法,因為其確定性不足,反而成為錯誤的敘述。
選項拆解
外科通論與急重症14 / 67
【113-1 醫學(五) 第55題】關於單一切口腹腔鏡手術(single-incision laparoscopic surgery)建議的設備及對外科醫師的益處之敘述,何者錯誤?
詳解
破題關鍵
單一切口手術的挑戰在於器械互相干擾,所以設計器械時要想辦法減少碰撞。
選項拆解
-A:正確。較長的器械可以提供更大的操作半徑,更容易到達手術區域的深處,減少器械在切口處的碰撞。
外科通論與急重症15 / 67
【113-1 醫學(五) 第72題】肝臟鈍性創傷(blunt trauma)可能造成的傷害,下列何者最少見?
詳解
破題關鍵
鈍性肝臟創傷最常見的是肝臟實質的撕裂傷和出血,血管栓塞相對少見。
選項拆解
-A:正確。肝臟撕裂傷是鈍性肝臟創傷中最常見的損傷類型之一,從輕微的裂傷到嚴重的肝臟破裂都有可能。
-B:正確。肝臟被膜下血腫也是鈍性肝臟創傷的常見表現,血液積聚在肝臟被膜下方。
外科通論與急重症16 / 67
【113-1 醫學(五) 第75題】有關接受手術後,易造成急性尿滯留(retention)的因素,下列何者最不適當?
詳解
破題關鍵
急性尿滯留的風險因素很多,但性別差異並非男性更容易發生。
選項拆解
外科通論與急重症17 / 67
【113-1 醫學(五) 第76題】38 歲女性自 6 米高處墜樓後送至醫學中心急診,檢傷時意識清楚,血壓 87/48 mmHg,心跳 142/min,經初步處置後發現骨盆骨折,超音波並未發現腹腔積液,下一步處置何者最適合?
詳解
破題關鍵
骨盆骨折合併休克,但腹腔超音波陰性,要優先考慮骨盆腔內部的出血,尤其是動脈出血。
選項拆解
-A:正確。骨盆骨折合併休克,且腹腔超音波陰性,表示腹腔內出血導致休克的可能性較低。此時最優先考慮骨盆腔本身的大量出血,特別是動脈出血。血管攝影可以診斷並栓塞止血,是此情況下最適合的處置。
外科通論與急重症18 / 67
【113-1 醫學(五) 第77題】有關穿刺性肢體受傷的敘述,下列何者最正確?
詳解
破題關鍵
穿刺傷後,聽到雜音是血管損傷的直接證據,需要立即處理。
選項拆解
-A:錯在比較。下肢通常比上肢更容易發生血管受傷,因為下肢血管較長且暴露面積較大,且承受更多外力。
外科通論與急重症19 / 67
【113-1 醫學(五) 第78題】82 歲獨居男性,被里長發現仰躺在自家一樓的樓梯下,失去意識。救護車緊急將病人送至醫學中心的急診室。病人昏迷指數(Glasgow Coma Scale, GCS)E1M1V1,兩側瞳孔放大無光反射,脈搏 62 次/分,血壓 172/106 毫米汞柱,呼吸速率 22 次/分,血氧濃度 88%。病人 IC 卡上註記 DNR(do not resuscitate)。下列敘述何者最為合適?

詳解
破題關鍵
病人意識不清(GCS E1M1V1)且嚴重低血氧(SpO₂ 88%),有立即生命危險,需緊急建立呼吸道。雖然有DNR註記,但DNR通常指拒絕心肺復甦術(CPR),不一定涵蓋在心跳停止前為維持生命而進行的氣管內管插管。
選項拆解
外科通論與急重症20 / 67
【113-1 醫學(五) 第79題】醫師有義務為病人守密,下列敘述何者最不恰當?
詳解
破題關鍵
醫師保密義務的例外原則,特別是「塔拉索夫原則 (Tarasoff duty)」,其揭露範圍應限於最小且必要。
選項拆解
-A:正確。這是醫師保密義務的基本原則。
-B:正確。這是塔拉索夫原則的體現,當保密會導致他人嚴重傷害時,醫師有權利甚至義務打破保密。
外科通論與急重症21 / 67
【113-1 醫學(五) 第80題】15 歲男孩因排尿疼痛前來看診,醫師診察發現其尿道口有膿樣分泌物。經細菌抹片鑑定,診斷為淋球菌尿道炎。男孩承認曾有不安全性行為。由於是須通報之法定傳染病,建議進行 HIV 檢驗。男孩請求不要告知其家長。此時,下列何種處置最為恰當?
詳解
破題關鍵
未成年人敏感健康議題的處理,需平衡其隱私權、法定傳染病通報義務與確保治療。
選項拆解
-A:錯在違法。淋球菌尿道炎是法定傳染病,醫師有通報義務,不能不通報。
小兒外科22 / 67
【113-1 醫學(五) 第13題】下列有關腦膨出(encephalocele)的敘述,何者錯誤?
詳解
破題關鍵
腦膨出雖然是腦組織跑出來,但通常不能直接塞回去,因為可能伴隨其他問題。
選項拆解
-A:正確。大部分腦膨出發生在頭顱中線,特別是枕部或額部。
-B:正確。顱底膨出較少見,但因位置深,手術風險高。
小兒外科23 / 67
【113-1 醫學(五) 第24題】1 天大之新生兒單純大動脈轉位(simple transposition of great arteries without ventricular defect),發紺,血氧約 60%,下列處置何者最不合醫療常規?
詳解
破題關鍵
單純大動脈轉位的新生兒,需要靠動脈導管維持血液混合,所以必須保持動脈導管暢通。
選項拆解
-A:立即插管,給輸液。正確。這是對嚴重紫紺新生兒的標準支持性治療,確保呼吸道暢通和循環穩定。
小兒外科24 / 67
【113-1 醫學(五) 第30題】下列何者為臨床上小腸腸道出血(small bowel bleeding)較為常見的原因?
詳解
破題關鍵
在臨床上,小腸出血最常見的原因之一是血管發育不良 (angiodysplasias),尤其是在老年人。
選項拆解
-A:small bowel tumors。小腸腫瘤會導致出血,但其發生率低於血管發育不良。
小兒外科25 / 67
【113-1 醫學(五) 第40題】一位 12 歲男童因意外發現高血壓 192/110 mmHg 來小兒科門診,無甲狀腺癌及嗜鉻細胞瘤家族史。經檢查結果:24 小時尿 VMA 24.2 mg,腹部超音波及電腦斷層掃描發現右腎上腺有一 5×4×3 cm3 腫塊合併中央區壞死。下列處置何者最不適當?
詳解
破題關鍵
根據高血壓、高 VMA 和腎上腺腫塊的組合,判斷是嗜鉻細胞瘤,並選擇正確的術前藥物準備。
選項拆解
小兒外科26 / 67
【113-1 醫學(五) 第44題】
一幼兒因嘔吐求診,腹部X光如圖所示,下列何者為最不可能之鑑別診斷?

詳解
破題關鍵
這張腹部X光片最明顯的特徵是「雙氣泡徵」(double bubble sign),這表示消化道阻塞發生在十二指腸或其近端,因此要找出最不可能造成這種阻塞的病因。
選項拆解
小兒外科27 / 67
【113-1 醫學(五) 第45題】鼠蹊部疝氣(inguinal hernia)為兒童常見的外科疾病,了解疝氣腹壁解剖學相關知識對於手術執行極為重要。下列有關鼠蹊部疝氣解剖學,何者敘述正確?
詳解
破題關鍵
鼠蹊部疝氣的解剖學重點在於了解腹壁各層結構與精索的關係。
選項拆解
-A:錯在間接型鼠蹊疝氣是經由腹壁下動脈外側突出,而不是內側。
-B:錯在髂腹下神經不會與精索一齊穿出外鼠蹊環,且其主要負責腹壁皮膚感覺,而非大腿內側上方。
-C:正確。提睪肌確實是腹內斜肌的延伸。
小兒外科28 / 67
【113-1 醫學(五) 第46題】
一位 6 個月大的幼兒過去無任何病史,因頸部胸鎖乳突肌前緣皮膚有一小開口且有分泌物(如圖所示)接受手術,最可能的診斷為何?

詳解
破題關鍵
這道題目的解題核心在於辨識頸部病灶的「位置」與「型態」。圖片中顯示在幼兒頸部外側、胸鎖乳突肌前緣有一個小開口並有分泌物,這正是第二對鰓裂遺跡瘻管的典型表現。
選項拆解
小兒外科29 / 67
【113-1 醫學(五) 第47題】媽媽抱著 1 歲半女童坐副駕駛座,爸爸因疲勞駕車自撞橋墩而被送至醫院急診,發現女童意識昏迷,對疼痛刺激稍微會縮手,血壓 65/23 mmHg,心跳 153/min,呼吸 24/min,體溫 36.3℃,脈搏血氧飽和度 90%,目測體重約 10 公斤,下列敘述何者錯誤?
詳解
破題關鍵
兒童創傷評估中,昏迷指數低於8通常需要考慮插管以保護呼吸道,且兒童的生命徵象判讀與成人不同。
選項拆解
-A:錯在GCS 6分是嚴重意識障礙,即使有自發性呼吸,也應考慮插管以保護呼吸道,避免吸入性肺炎或呼吸道阻塞。
小兒外科30 / 67
【113-1 醫學(五) 第49題】有關腸套疊(intussusception)的敘述,下列何者最適當?
詳解
破題關鍵
腸套疊的診斷和治療方式,特別是復位術的適用時機。
選項拆解
-A:錯在2的法則與梅克爾憩室有關,而非腸套疊。
-B:錯在99mTc-pertechnetate 核醫學檢查是用來診斷梅克爾憩室,腸套疊的診斷主要靠超音波。
-C:錯在腸套疊雖然常見,但並非最常見的先天性胃腸道畸形。
小兒外科31 / 67
【113-1 醫學(五) 第61題】下列手部斷指再接(replantation)的適應症,何者最不適當?
詳解
破題關鍵
斷指再接手術的目的是恢復功能,所以要優先考慮對功能影響大、預後較好的情況。
選項拆解
-A:正確。拇指是手部功能最重要的手指,其截肢是斷指再接的絕對適應症。
-B:正確。多指截肢會嚴重影響手部功能,因此通常建議進行再接手術。
小兒外科32 / 67
【113-1 醫學(五) 第71題】對於有排尿障礙合併膀胱輸尿管尿液逆流的孩童,首先要做的是何種治療?
詳解
破題關鍵
對於有排尿障礙合併膀胱輸尿管尿液逆流的孩童,首要任務是確保膀胱能有效排空,減少膀胱壓力,保護腎臟。
選項拆解
-A:錯在「直接進行」。輸尿管重建手術是侵入性治療,通常在改善膀胱功能後,或對於嚴重 VUR 且保守治療無效的病患才考慮。直接手術可能無法解決根本的排尿障礙問題。
心臟胸腔外科33 / 67
【113-1 醫學(五) 第19題】關於冠狀動脈阻塞疾病,下列敘述何者錯誤?
詳解
破題關鍵
治療冠狀動脈疾病,有些藥物能改善症狀,但不是所有藥物都能降低死亡率。
選項拆解
-A:正確。戒菸是預防冠狀動脈阻塞疾病的 Class I recommendation,非常重要。
心臟胸腔外科34 / 67
【113-1 醫學(五) 第20題】關於心臟腫瘤,下列敘述何者最適當?
詳解
破題關鍵
心臟腫瘤雖然罕見,但原發性腫瘤多為良性,其中黏液瘤最常見,且有特定好發位置。
選項拆解
-A:錯在「惡性多於良性」。原發性心臟腫瘤中,良性腫瘤 (如黏液瘤) 遠多於惡性腫瘤 (如肉瘤)。
心臟胸腔外科35 / 67
【113-1 醫學(五) 第21題】根據 Crawford 的胸腹主動脈瘤修復(thoracoabdominal aortic aneurysm repair)分類,從左鎖骨下動脈起至腎動脈以下之腹主動脈是屬於第幾型?
詳解
破題關鍵
Crawford 分類是根據胸腹主動脈瘤的範圍來定義,要記住每個類型的起點和終點。
選項拆解
-A:錯在類型。Type I 是從左鎖骨下動脈起,延伸至腎動脈上方。
-B:正確。Type II 的範圍是從左鎖骨下動脈起,延伸至腎動脈以下之腹主動脈,是範圍最廣的類型。
心臟胸腔外科36 / 67
【113-1 醫學(五) 第22題】下列何者為目前診斷深層靜脈栓塞(deep vein thrombosis)最常使用之工具?
詳解
破題關鍵
診斷深層靜脈栓塞,最常用且方便的工具是超音波。
選項拆解
-A:正確。杜卜勒超音波 (duplex ultrasound) 因其非侵入性、高準確性、方便和成本效益,是目前診斷深層靜脈栓塞最常使用的工具。
心臟胸腔外科37 / 67
【113-1 醫學(五) 第23題】對於心臟瓣膜之選擇與敘述,下列何者錯誤?
詳解
破題關鍵
選擇心臟瓣膜時,要考慮病人的年齡、生活方式和對抗凝血劑的耐受性。
選項拆解
-A:正確。年長病人 (主動脈瓣大於 65 歲或二尖瓣大於 70 歲) 傾向選擇生物性瓣膜,以避免長期抗凝血劑的風險。
心臟胸腔外科38 / 67
【113-1 醫學(五) 第27題】關於小細胞肺癌(small cell lung cancer)之敘述,下列何者錯誤?
詳解
破題關鍵
小細胞肺癌 (SCLC) 是一種惡性度極高的肺癌,發現時通常已經廣泛轉移,不適合手術切除。
選項拆解
-A:大多是位在中央(central located)。正確。SCLC 傾向於在肺部中央區域發生。
心臟胸腔外科39 / 67
【113-1 醫學(五) 第28題】有關肺部過誤瘤(hamartoma)之敘述,下列何者錯誤?
詳解
破題關鍵
肺部過誤瘤 (hamartoma) 是最常見的良性肺部腫瘤,通常發生在較年長的男性,而非年輕女性。
選項拆解
-A:是肺部最常見的良性腫瘤。正確。
-B:特徵為軟骨(cartilage)過度生長。正確。軟骨是肺部過誤瘤的典型成分。
心臟胸腔外科40 / 67
【113-1 醫學(五) 第29題】有關乳糜胸(chylothorax)的敘述,下列何者錯誤?
詳解
破題關鍵
乳糜胸 (chylothorax) 的胸水富含三酸甘油脂和乳糜微粒,但細胞成分主要是淋巴球 (lymphocytes),而非嗜酸性球 (eosinophils)。
選項拆解
-A:通常是乳白或澄清的外觀。正確。乳糜液因脂肪含量高而呈乳白色,但若禁食則可能呈澄清狀。
泌尿外科41 / 67
【113-1 醫學(五) 第65題】一位 50 歲男性主訴最近一個月在包皮發現一個 0.5 公分的病灶,經切片證實為 Ta 期低惡性度鱗狀上皮細胞癌(grade 1, squamous cell carcinoma),下列何種治療最不建議?
詳解
破題關鍵
對於早期、低惡性度的陰莖癌,治療應盡量保留器官功能,避免過度侵入性手術。
選項拆解
-A:正確。雷射燒除治療對於表淺、低惡性度的陰莖癌是有效的治療方式,可以精準移除病灶,同時保留周圍正常組織。
泌尿外科42 / 67
【113-1 醫學(五) 第67題】下列有關攝護腺癌之敘述,何者錯誤?
詳解
破題關鍵
早期攝護腺癌的治療選擇很多,賀爾蒙治療通常用於晚期或無法手術的病患,或作為輔助治療。
選項拆解
-A:正確。睪丸切除術和 LHRH agonist 都是雄性素剝奪治療的方式,兩者在治療轉移性攝護腺癌的效果上是相當的,都能有效降低血中睪固酮水平。
泌尿外科43 / 67
【113-1 醫學(五) 第69題】下列有關 Peyronie's disease 的敘述,何者錯誤?
詳解
破題關鍵
Peyronie's disease 的主要病因是陰莖白膜的纖維化斑塊,但其確切成因仍不完全清楚,創傷是其中一個可能的誘發因素,但並非唯一或最確切的解釋。
選項拆解
消化系外科44 / 67
【113-1 醫學(五) 第7題】接受 Billroth II 手術的病人,常需要補充下列何種電解質?
詳解
破題關鍵
Billroth II 手術後,食物繞過十二指腸,影響鈣質吸收。
選項拆解
-A:鉀(K)的吸收主要在小腸,Billroth II 手術對鉀吸收的影響相對較小,不是最常需要補充的電解質。
消化系外科45 / 67
【113-1 醫學(五) 第25題】關於食道淋巴分布之敘述,下列何者錯誤?
詳解
破題關鍵
食道的淋巴引流主要是「縱向」擴散,這也是食道癌容易廣泛轉移的原因。
選項拆解
-A:錯在橫向引流比縱向引流多 6 倍。實際情況是食道淋巴引流以縱向為主,橫向引流相對較少。這使得食道癌容易發生遠處淋巴結轉移,而非僅限於局部。
消化系外科46 / 67
【113-1 醫學(五) 第26題】關於食道弛緩症(achalasia),下列敘述何者錯誤?
詳解
破題關鍵
食道弛緩症 (achalasia) 雖然會增加食道癌風險,但主要是鱗狀細胞癌 (squamous cell carcinoma),而不是腺癌 (adenocarcinoma)。
選項拆解
消化系外科47 / 67
【113-1 醫學(五) 第31題】下列何項腹腔鏡減重手術是結合侷限和吸收不良減重手術(a combination of restriction and malabsorption surgery)?
詳解
破題關鍵
Roux-en-Y 胃腸繞道手術 (RYGB) 結合了限制食物攝取量和減少營養吸收兩種減重機制。
選項拆解
-A:腹腔鏡調節式胃束帶手術(laparoscopic AGB)。這是純粹的限制型手術,透過束帶限制胃的入口大小。
消化系外科48 / 67
【113-1 醫學(五) 第32題】有關肝硬化臨床表徵的敘述,下列何者錯誤?
詳解
破題關鍵
肝硬化引起的肌肉痙攣通常與電解質不平衡(如低鈉、低鉀、低鎂)有關,而非高平均動脈壓或高血漿腎素活性。
選項拆解
-A:蜘蛛狀血管瘤(spider angioma)與手掌紅斑(palmar erythema)與性荷爾蒙的代謝有關。正確。這是肝臟雌激素代謝異常的表現。
消化系外科49 / 67
【113-1 醫學(五) 第33題】有關克隆氏症(Crohn's disease),下列敘述何者最恰當?
詳解
破題關鍵
克隆氏症 (Crohn's disease) 是一種慢性發炎性腸道疾病,無法治癒,可侵犯消化道任何部位,且與抽菸和某些社會經濟因素有關。
選項拆解
-A:是可藉由手術治癒的疾病。錯在「治癒」。克隆氏症是一種慢性疾病,手術只能治療併發症,無法根治。
消化系外科50 / 67
【113-1 醫學(五) 第35題】張小姐 35 歲,因上腹痛至急診室就醫,身體診察腹部柔軟但有明顯壓痛,腹部電腦斷層發現肝臟有一顆 6 公分腫瘤,此腫瘤呈現 peripheral enhancement with centripetal progression,另外腹腔內有少量液體。 詢問病史發現病人沒有 B 型、C 型肝炎的病史,但長期服用避孕藥,下列何者為最可能的診斷?
詳解
破題關鍵
年輕女性、長期服用避孕藥、肝臟腫瘤且有腹痛及腹腔積液,這些線索指向腫瘤破裂出血的可能。
選項拆解
-A:正確。35歲女性、長期服用避孕藥、6公分肝腫瘤、上腹痛及腹腔內少量液體,這些都高度提示肝細胞腺瘤破裂出血的可能性。