內分泌外科1 / 67
【110-1 醫學(五) 第35題】在乳癌診治中,腋下淋巴腺分為三區(level),其中第二區(level II)位於:
詳解
破題關鍵
腋下淋巴結分區是依據小胸肌 (pectoralis minor) 的相對位置來定義的。
選項拆解
-A:錯在位置。胸背動脈 (thoracic dorsi artery) 雖然是腋下重要血管,但淋巴結分區主要依據小胸肌。
-B:錯在位置。理由同A。
內分泌外科2 / 67
【110-1 醫學(五) 第36題】乳癌治療進行乳房保留手術的適應症,下列何者錯誤?
詳解
破題關鍵
前哨淋巴結轉移本身不是乳房保留手術的絕對禁忌症,而是決定是否需要進一步腋下淋巴結廓清的依據。
選項拆解
-A:正確。乳房保留手術後通常需要接受放射線治療以降低局部復發率。如果病人因肺部疾病等原因無法接受放療,則不建議選擇乳房保留手術。
內分泌外科3 / 67
【110-1 醫學(五) 第37題】對於以義乳方式進行乳房重建(implant based breast reconstruction)的敘述,下列何者錯誤?
詳解
破題關鍵
義乳重建雖然方便,但長期仍有其限制,外觀和滿意度會隨時間變化。
選項拆解
-A:正確。義乳重建在雙側乳房重建時,由於可以選擇相同大小和形狀的義乳,因此在對稱性方面通常比自體皮瓣重建更容易達到良好效果。
內分泌外科4 / 67
【110-1 醫學(五) 第53題】一位60歲女性到門診就醫,主訴頸部摸到腫塊,理學檢查發現左側甲狀腺有一2公分大小結節。請依前述情形回答以下3題。 有些合併症狀會使臨床醫師較易懷疑此甲狀腺腫瘤為惡性,但下列何者除外?
詳解
破題關鍵
惡性甲狀腺腫瘤的症狀通常與局部壓迫或侵犯有關,心悸則多與甲狀腺功能亢進有關。
選項拆解
-A:聲音沙啞表示喉返神經可能受侵犯,高度懷疑惡性。
-B:正確。心悸是甲狀腺功能亢進的症狀,與惡性腫瘤的直接關聯性低。
-C:吞嚥困難表示腫瘤壓迫食道,增加惡性懷疑。
內分泌外科5 / 67
【110-1 醫學(五) 第54題】頸部超音波證實左側甲狀腺有一實心腫瘤,甲狀腺細針穿刺細胞學檢查顯示為濾泡型腫瘤(follicular neoplasm)。根據2009年版Bethesda甲狀腺細胞學診斷系統,該腫瘤為惡性的機率大約多少?
詳解
破題關鍵
濾泡型腫瘤在Bethesda系統中屬於第四類,其惡性機率介於良性與惡性之間,需要進一步評估。
選項拆解
-A:5-15% 接近意義未明的異型細胞 (AUS/FLUS) 的風險。
-B:正確。濾泡型腫瘤或疑似濾泡型腫瘤 (Bethesda IV) 的惡性機率約為15-30%。
內分泌外科6 / 67
【110-1 醫學(五) 第55題】經與外科醫師討論後,患者接受左側甲狀腺切除手術,病理檢查證實為濾泡變異型乳突癌(follicular variant of papillary thyroid cancer)。下列何者不會影響患者的病理分期(TNM stage)?
詳解
破題關鍵
甲狀腺癌的TNM分期主要考量腫瘤本身的特徵、淋巴結轉移和遠端轉移,以及患者年齡,性別通常不直接影響分期。
選項拆解
-A:年齡是分化型甲狀腺癌TNM分期的一個重要因素,會影響預後和分期。
-B:正確。性別不直接影響甲狀腺癌的TNM分期。
內分泌外科7 / 67
【110-1 醫學(五) 第56題】有關腎衰竭病患會造成腎性骨發育不全(renal osteodystrophy)之敘述,下列何者最不適當?
詳解
破題關鍵
腎絲球功能不良會導致磷排泄減少,進而造成高血磷,而非低血磷。
選項拆解
-A:錯在「過低」。腎絲球功能不良會導致磷排泄減少,使血磷值「過高」,而非過低。
-B:正確。腎臟是活性維生素D (1,25-dihydroxyvitamin D) 製造的關鍵器官,腎衰竭會使其製造減少。
內分泌外科8 / 67
【110-1 醫學(五) 第65題】下列有關腎上腺瘤(adrenal tumor)之敘述,何者錯誤?
詳解
破題關鍵
雙側腎上腺切除術會完全移除腎上腺皮質,導致皮質醇分泌完全停止,因此術後必須終身補充皮質醇。
選項拆解
外科通論與急重症9 / 67
【110-1 醫學(五) 第1題】目前對於重大外傷病患的處理,大都依據Damage Control Principles;針對這種處理策略的敘述,下列何者錯誤?
詳解
破題關鍵
「致命三合一」是外傷重症的經典考點,要記清楚是哪三個。
選項拆解
-A:錯在 lethal triad 的組成。正確的致命三合一是低體溫、酸中毒和凝血功能障礙,而非低血壓。
外科通論與急重症10 / 67
【110-1 醫學(五) 第2題】39歲男性,有本態性高血壓、高脂血症、糖尿病及肝功能異常等病史並接受藥物控制,因病態性肥胖接受腹腔鏡袖狀胃切除手術(sleeve gastrectomy)。術前病人體重130公斤,身體質量指數(body mass index)為42 .4kg/m2,血壓146/70 mmHg,心跳72次/分,呼吸16次/分。術後4小時病人主訴呼吸困難,意識呈焦慮狀態,當時血壓120/95 mmHg、心跳117次/分、呼吸26次/分,給與氧氣3公升/分,使用後,動脈血氧飽和度可達100%。 此時病人最有可能的診斷為何?
詳解
破題關鍵
術後早期出現心跳加快、呼吸急促、血壓變化(尤其是舒張壓上升或脈壓差變小)合併焦慮,要高度懷疑出血。
選項拆解
外科通論與急重症11 / 67
【110-1 醫學(五) 第4題】有關人類惡性腫瘤之描述,下列何者錯誤?
詳解
破題關鍵
Bence Jones protein是多發性骨髓瘤的特徵,而非淋巴癌。
選項拆解
-A:正確。肺臟及肋膜是許多惡性腫瘤(如乳癌、大腸癌、腎細胞癌等)常見的轉移部位。
外科通論與急重症12 / 67
【110-1 醫學(五) 第5題】術後48至72小時內發燒較常見的原因是:
詳解
破題關鍵
術後早期發燒最常見的原因是肺部問題,尤其是肺泡塌陷。
選項拆解
-A:傷口發炎 (wound infection)。通常發生在術後 5-7 天或更晚。
-B:腹內膿瘍 (intra-abdominal abscess)。屬於較晚期的感染併發症,通常在術後 5-7 天或更晚才出現。
外科通論與急重症13 / 67
【110-1 醫學(五) 第6題】營養支持對於外科重症的病人極為重要,下列何者最接近正常體重病人一天的基礎能量消耗(basal energy expenditure)?
詳解
破題關鍵
正常體重病人一天的基礎能量消耗(BEE)或維持性熱量需求,大約在 20-30 Kcal/kg/day 之間。
選項拆解
-A:10~15 Kcal x BW(Kg)。這個範圍太低,通常只在極度限制熱量或特殊情況下考慮。
外科通論與急重症14 / 67
【110-1 醫學(五) 第12題】在大面積燒燙傷治療中,充分的體液復甦(fluid resuscitation)是避免休克的重要治療。對於30歲、70公斤的男性燒燙傷病人,二度及三度傷口共占體表面積(TBSA)40%,下列處置何者最不適當?
詳解
破題關鍵
燒燙傷初期體液復甦主要使用晶體溶液,白蛋白通常在燒傷後24小時才考慮使用,且有其特定的適應症和劑量。
選項拆解
-A:正確。建立靜脈管線並插尿管監測尿量是燒燙傷體液復甦的標準處置。
外科通論與急重症15 / 67
【110-1 醫學(五) 第13題】請選擇出急性傷口癒合過程(wound healing)正確的順序:①重塑期(remodeling) ②增生期 (proliferation) ③成熟期(maturation) ④發炎期(inflammation) ⑤凝血(coagulation)
詳解
破題關鍵
傷口癒合是一個有固定順序的生理過程,從止血開始,接著是發炎、增生,最後是成熟和重塑。
選項拆解
-A:錯在順序完全錯誤。
-B:錯在順序完全錯誤。
-C:錯在順序完全錯誤。
外科通論與急重症16 / 67
【110-1 醫學(五) 第14題】傷口癒合的機轉中, 下列何者最先出現並扮演啟動癒合的角色?
詳解
破題關鍵
傷口癒合的起點是止血,而血小板是止血和啟動後續癒合反應的關鍵細胞。
選項拆解
-A:正確。血小板是傷口癒合過程中最早出現並扮演啟動角色的細胞,它參與止血並釋放多種生長因子,啟動後續的發炎和增生反應。
外科通論與急重症17 / 67
【110-1 醫學(五) 第15題】有關皮膚惡性腫瘤的敘述,下列何者正確?
詳解
破題關鍵
皮纖維肉瘤是低度惡性腫瘤,局部復發率高但很少轉移到淋巴結,因此廣泛切除是主要治療,通常不需要淋巴結廓清。
選項拆解
外科通論與急重症18 / 67
【110-1 醫學(五) 第48題】全腹膜外疝氣修補手術(total extraperitoneal approach)的手術過程不需要執行下列何項?
詳解
破題關鍵
全腹膜外疝氣修補手術 (TEP) 的目標是修補疝氣,並避免損傷重要神經,股皮神經 (lateral femoral cutaneous nerve) 通常需要被保護,而非結紮。
選項拆解
外科通論與急重症19 / 67
【110-1 醫學(五) 第49題】在急診室,一位30歲70公斤男性,主訴約60分鐘前左上腹部被刀刺傷,傷口疼痛,生命徵候:心跳105/分、 血壓110/95 mmHg、呼吸22/分,病人略顯焦慮,身體檢查發現左上腹部2公分傷口,四肢濕冷。預估該病人體內出血量最可能為下列何者?
詳解
破題關鍵
根據生命徵象判斷出血量,心跳105/分、血壓110/95 mmHg、呼吸22/分,四肢濕冷,病人焦慮,這些是第二級出血的典型表現。
選項拆解
-A:錯在「500 c.c.」。500 c.c.屬於第一級出血,生命徵象通常正常,與病人焦慮、心跳略快、四肢濕冷不符。
外科通論與急重症20 / 67
【110-1 醫學(五) 第75題】45歲男性因機車車禍被送至急診,病人主訴後頸、腹部及右下肢疼痛。身體檢查發現雙手感覺麻木、上腹部大片瘀青、右大腿5公分撕裂傷滲血、右小腿外觀變形,應優先執行下列何種處置?
詳解
破題關鍵
機車車禍合併後頸痛,最優先處理的是保護脊椎,避免二次傷害。
選項拆解
-A:正確。機車車禍合併後頸痛及神經學症狀,應立即懷疑頸椎損傷,優先給予頸圈固定,以保護脊髓,避免進一步傷害。
外科通論與急重症21 / 67
【110-1 醫學(五) 第78題】近年來,家庭暴力頻傳,外科醫師常常會遇到疑似的病例,根據家庭暴力防治法之規定,下列何者錯誤?
詳解
破題關鍵
醫事人員是家庭暴力防治法規定的「責任通報人」,有義務通報疑似家暴事件。
選項拆解
-A:正確。醫事人員是責任通報人,應立即通報疑似家暴情事,至遲不得逾24小時。
外科通論與急重症22 / 67
【110-1 醫學(五) 第79題】歐陽先生是一位70歲男性,膝下無子女,平時在家中照顧患有重度失智症的妻子,最近因為嚴重頭痛來院檢查,發現自己有一中腦動脈之動脈瘤。你是一位神經外科醫師,你建議他開刀夾除動脈瘤,但也告訴他手術有死亡的風險。歐陽先生決定先不手術,回去想一想再說。沒想到就在一週後,他因為動脈瘤出血昏迷被送到急診室,若不緊急手術歐陽先生必會死亡,但是卻無法聯絡到任何家屬以諮詢意見,如何處理最適當?
詳解
破題關鍵
病人先前拒絕的是「預防性」手術,而非「緊急救命」手術,且目前已無行為能力,應以病人最佳利益為考量。
選項拆解
-A:錯誤。歐陽先生先前拒絕的是「非緊急」的預防性手術,不能直接推論他拒絕「緊急救命」手術。情況已發生根本性改變。
外科通論與急重症23 / 67
【110-1 醫學(五) 第80題】某成年男患者急性右側胸痛被送到急診室,症狀及檢查結果均明確顯示是小範圍自發性氣胸。患者意識清醒,生命徵兆穩定,但拒絕插胸管減壓引流或住院觀察,堅持要回家。此時醫生應該:
詳解
破題關鍵
病人有自主權拒絕治療,但醫師仍有告知義務和勸導責任,並需確保病人知情後簽署相關文件。
選項拆解
-A:錯誤。「強行把患者留院觀察」違反病人自主權,可能構成非法拘禁,是絕對不允許的行為。
小兒外科24 / 67
【110-1 醫學(五) 第16題】下列那些先天性心臟病若不及時手術,可能會發生所謂的Eisenmenger syndrome,最後需要心肺移植?①肺動脈瓣狹窄 ②心室中隔缺損 ③動脈幹症(truncus arteriosus) ④開放性動脈導管
詳解
破題關鍵
Eisenmenger syndrome 是由於長期左向右分流導致肺動脈高壓,最終引起分流逆轉的結果。因此,任何造成長期左向右分流的先天性心臟病都有可能導致此症候群。
選項拆解
-A:錯在肺動脈瓣狹窄不會導致 Eisenmenger syndrome。
小兒外科25 / 67
【110-1 醫學(五) 第23題】有關於縱膈腔疾病的敘述,下列何者錯誤?
詳解
破題關鍵
縱膈腔腫瘤的種類、好發年齡、腫瘤標記和治療敏感性是鑑別診斷的關鍵。
選項拆解
小兒外科26 / 67
【110-1 醫學(五) 第38題】一名6個月的小女嬰,肛門周圍七點鐘方向紅腫,被診斷為肛門周圍膿瘍,治療後有改善;但此情形反反覆覆直到1歲,媽媽發現小女嬰的肛門雖然不腫了,但七點鐘方向離肛門口1公分處有一個小洞,每次擠壓會流出一些分泌物。下列敘述何者最正確?
詳解
破題關鍵
反覆發作的肛門周圍膿瘍,治療後仍有小洞流分泌物,就是肛門瘻管的典型表現。
選項拆解
-A:錯在診斷和治療。反覆發作的膿瘍和分泌物是肛門瘻管的典型表現,而非肛裂。肛裂抹藥可能改善,但瘻管需要手術。
小兒外科27 / 67
【110-1 醫學(五) 第39題】一名12歲大30公斤重的女童因為右上腹痛來到門診,她過去無特殊病史,理學檢查發現她的右上腹有壓痛, 超音波檢查發現膽囊有結石,下列敘述何者錯誤?
詳解
破題關鍵
兒童膽結石的成因與成人不同,溶血性疾病是重要原因。
選項拆解
-A:錯在大部分是膽固醇結石。對孩童而言,膽結石的成因與成人不同,色素結石 (pigment stone) 的比例較高,尤其與溶血性疾病相關。膽固醇結石雖然也存在,但並非大部分。
小兒外科28 / 67
【110-1 醫學(五) 第40題】下列何者非幼兒常見的頸部腫瘤?
詳解
破題關鍵
幼兒頸部腫瘤的考題,通常會考「先天性」或「發育異常」造成的囊腫,畸胎瘤雖然可能發生在頸部,但它在幼兒頸部並非「常見」的腫瘤類型。
選項拆解
-A:錯在「非幼兒常見」。畸胎瘤雖然可能發生在頸部,但相較於其他選項,它在幼兒頸部並非最常見的腫瘤類型。
小兒外科29 / 67
【110-1 醫學(五) 第41題】一個剛滿月的男嬰,在新生兒健檢的時候,小兒科醫師發現他的右側陰囊內摸不到睪丸,故將他轉診到小兒外科醫師門診。小兒外科醫師為男嬰做身體檢查,發現在external ring的位置可以觸診到尚未降下的睪丸,且此睪丸無法下拉至陰囊。於是,男嬰的媽媽提出了許多問題,下列那一個回答不適合?
詳解
破題關鍵
隱睪症的診斷主要靠身體檢查,影像學檢查通常不是第一線或必要的。
選項拆解
-A:正確。睪丸在出生後6個月內仍有機會自行下降,但超過1歲後機會就非常小。
-B:正確。若睪丸在6個月至1歲後仍未下降,建議手術將其固定在陰囊內。
小兒外科30 / 67
【110-1 醫學(五) 第42題】一名12歲45公斤重的男童,因為急性闌尾炎接受腹腔鏡闌尾切除手術,下列何者是比較適當的點滴輸液?
詳解
破題關鍵
小兒術後點滴輸液的原則是維持性輸液,要考慮水分、電解質和葡萄糖的需求,並避免低血鈉。
選項拆解
小兒外科31 / 67
【110-1 醫學(五) 第50題】承上題,病人經過20分鐘的初步處理突然意識不清,生命徵象:心跳145/分、血壓60/45 mmHg、呼吸32/分, 下列何項處置不適當?
詳解
破題關鍵
嚴重出血性休克時,輸液目標是維持器官灌流的「允許性低血壓」,而非追求正常血壓,且升壓劑在初期不是首選。
選項拆解
-A:正確。病人意識不清且呼吸急促,插上氣管內管以維持呼吸道暢通是必要的處置。
-B:正確。生命徵象不穩(心跳快、血壓低)提示有嚴重出血,緊急手術以控制出血是關鍵。
心臟胸腔外科32 / 67
【110-1 醫學(五) 第17題】在急性主動脈剝離(aortic dissection)的治療上,下列敘述何者錯誤?
詳解
破題關鍵
急性主動脈剝離合併器官供血不足 (malperfusion) 是非常嚴重的併發症,會顯著增加死亡率,因此預後會比沒有合併症的病人差很多。
選項拆解
-A:正確。在高度懷疑主動脈剝離的情況下,應立即開始降低心跳和控制血壓的藥物治療,以穩定病情並爭取診斷和治療時間。
心臟胸腔外科33 / 67
【110-1 醫學(五) 第18題】有關心臟手術時使用人工心肺機之敘述,下列何者錯誤?
詳解
破題關鍵
人工心肺機 (cardiopulmonary bypass, CPB) 的使用會導致血液與非生理性表面接觸,並引起全身性的發炎反應。
選項拆解
-A:正確。人工心肺機配備熱交換器,可以精確地升降病患的體溫。
心臟胸腔外科34 / 67
【110-1 醫學(五) 第19題】68歲農婦因右手輕微無力伴隨下肢輕微水腫來診,經診斷為二尖瓣狹窄(mitral stenosis),超音波顯示為心房顫動(atrial fibrillation)且瓣膜開口為1.35 cm2,過去有右側膿胸且經開胸治療之病史,下列敘述或處置何者正確?①中風之故,不應給與抗凝血劑,如warfarin ②應建議進行心導管檢查 ③進行瓣膜手術,且可同時進行迷宮手術(Cox-Maze procedure) ④可選擇胸腔鏡或小傷口內視鏡進行手術
詳解
破題關鍵
二尖瓣狹窄合併心房顫動有高中風風險,需要抗凝血劑。瓣膜開口小於1.5 cm2通常需要介入治療,且有膿胸病史不適合經皮瓣膜擴張術。
選項拆解
-A:錯在 ①錯誤,④不一定正確。
-B:錯在 ④不一定正確。
-C:錯在 ①錯誤。
-D:正確。
心臟胸腔外科35 / 67
【110-1 醫學(五) 第20題】下列對冠狀動脈繞道術(coronary artery bypass grafting, CABG)之描述何者錯誤?
詳解
破題關鍵
不停跳冠狀動脈繞道術 (OPCAB) 和傳統停跳術 (On-pump CABG) 的長期效果比較,並非所有指標都優於傳統術式。
選項拆解
心臟胸腔外科36 / 67
【110-1 醫學(五) 第21題】關於胸腺瘤之敘述,何者正確?
詳解
破題關鍵
胸腺瘤的治療以手術切除為主,即使腫瘤侵犯周圍組織,積極手術仍能改善預後。
選項拆解
-A:正確。手術是胸腺瘤最主要的治療方式,即使腫瘤侵犯到上腔靜脈,積極切除並重建也能改善預後。
心臟胸腔外科37 / 67
【110-1 醫學(五) 第22題】病人需要進行肺葉切除手術,下列關於肺功能的檢測敘述何者正確?
詳解
破題關鍵
肺葉切除術前,除了FEV1,擴散能力 (DLCO) 和運動心肺功能 (CPET) 也是評估手術風險的重要指標。
選項拆解
心臟胸腔外科38 / 67
【110-1 醫學(五) 第26題】下列有關乳糜胸(chylothorax)的敘述,何者錯誤?
詳解
破題關鍵
乳糜胸的成因、診斷、保守治療和手術治療原則,特別是手術入路。
選項拆解
-A:正確。左頸部/鎖骨上淋巴結廓清手術可能損傷胸管或其分支,導致乳糜胸。
心臟胸腔外科39 / 67
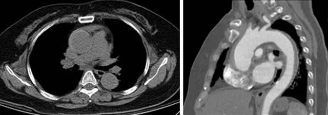
【110-1 醫學(五) 第73題】50歲男性至急診就醫,主訴突發性胸痛持續逾半小時,胸部電腦斷層影像如附圖,正確診斷為:

詳解
破題關鍵
這張胸部電腦斷層影像顯示主動脈壁增厚,且在升主動脈處有明顯的壁內血腫,這是判斷為Stanford A型主動脈內皮血腫的關鍵視覺線索。
選項拆解
泌尿外科40 / 67
【110-1 醫學(五) 第64題】一位懷孕十週的30歲女士因為急性腹痛就診,尿液檢查呈現顯微性血尿以及尿路感染,超音波檢查發現左腎中度積水,疑似左輸尿管結石造成阻塞以及感染,則下列何種治療最不適宜?
詳解
破題關鍵
懷孕期間,特別是早期,應盡量避免不必要的放射線暴露和侵入性手術,尤其是體外震波碎石術對胎兒有潛在風險。
選項拆解
-A:經皮腎臟造瘻是有效的腎臟減壓引流方式,在懷孕合併阻塞性感染時是適當的治療選項。
-B:雙J導管放置是懷孕期間處理輸尿管阻塞的常用且相對安全的選項。
泌尿外科41 / 67
【110-1 醫學(五) 第66題】有關晚期腎細胞癌新發展之生物醫療製劑,下列敘述何者錯誤?
詳解
破題關鍵
VEGF抑制劑最主要的副作用通常是高血壓、疲勞、手足症候群等,甲狀腺功能低下雖然可能發生,但不是「最主要」的副作用。
選項拆解
-A:正確。Tyrosine kinase活性與VHL基因突變有關,VHL基因失活導致HIF穩定,進而上調VEGF等,這些都與酪胺酸激酶通路有關。
泌尿外科42 / 67
【110-1 醫學(五) 第67題】李先生65歲,最近健康檢查發現前列腺特定抗原(prostate-specific antigen)值為10.5 ng/mL,游離型PSA比值為15%,肛門指檢並沒有摸到任何前列腺硬結節,經直腸超音波檢查發現前列腺有一低回音病灶(hypoechoic lesion),下列建議何者最適當?
詳解
破題關鍵
PSA升高、游離型PSA比值偏低,且超音波發現可疑病灶,即使肛門指檢正常,也高度懷疑前列腺癌,應進行切片確診。
選項拆解
-A:錯誤。PSA高達10.5 ng/mL且游離型PSA比值低,加上超音波有可疑病灶,不適合單純觀察,應積極診斷。
泌尿外科43 / 67
【110-1 醫學(五) 第68題】分布在人類膀胱逼尿肌(detrusor muscle)的蕈毒素受體亞型(muscarinic receptor subtype)主要是:
詳解
破題關鍵
膀胱逼尿肌收縮的主要推手是M3受體,M2受體則像個幫手,調節M3的活性。
選項拆解
-A:錯在 M1。M1受體主要分布在神經節和中樞神經系統,在逼尿肌中的作用不顯著。
-B:正確。M2和M3受體共同作用於逼尿肌,其中M3是主要收縮受體,M2則扮演調節角色。
泌尿外科44 / 67
【110-1 醫學(五) 第70題】一位45歲男性因左側腰痛,發燒到39度,至急診求診。電腦斷層掃描發現左側上1/3輸尿管有一1cm結石,合併腎積水,右腎正常。病人尿量減少,血壓偏低(95/65 mmHg),血液白血球19,500/cumm,CRP值16 mg/dL。急診醫師立即抽血及收集尿液做細菌培養,給與靜脈輸液及抗生素治療。下列後續處置何者較適當?
詳解
破題關鍵
發燒、腰痛、腎積水合併血壓低和白血球高,代表有阻塞性化膿性腎盂腎炎,必須緊急引流減壓。
選項拆解
-A:錯在立即進行左側輸尿管鏡碎石手術。在急性感染和敗血症的情況下,立即進行碎石手術可能會加重感染,甚至導致敗血症惡化。應先引流控制感染,待病人狀況穩定後再考慮處理結石。
泌尿外科45 / 67
【110-1 醫學(五) 第76題】有關血尿的敘述,下列何者最正確?
詳解
破題關鍵
兒童血尿的鑑別診斷中,腎絲球腎炎是重要且常見的原因。
選項拆解
-A:正確。兒童血尿的鑑別診斷中,腎絲球腎炎是相當常見且重要的原因。
消化系外科46 / 67
【110-1 醫學(五) 第24題】下列關於Barrett esophagus之敘述,何者錯誤?
詳解
破題關鍵
Barrett食道是食道腺癌的前兆,而非鱗狀細胞癌,且其惡變機率並非固定的40倍。
選項拆解
-A:正確。Barrett食道最主要的特徵就是食道下段上皮發生腸化生 (intestinal metaplasia)。
消化系外科47 / 67
【110-1 醫學(五) 第25題】有關胃食道逆流之治療,下列何者較不適當?
詳解
破題關鍵
胃食道逆流的治療階梯和手術方式的分類。
選項拆解
-A:正確。生活型態調整和PPI是胃食道逆流的第一線標準治療。
-B:正確。當內科治療無效或有嚴重併發症時,外科手術是合理的選擇。
消化系外科48 / 67
【110-1 醫學(五) 第27題】一位48歲男性,最近兩個月吞嚥困難、食慾減低、體重減輕5公斤,同時有聲音沙啞現象至門診求診,下列那一項檢查最不恰當?
詳解
破題關鍵
病人症狀指向食道或上消化道惡性腫瘤,應選擇針對這些部位的檢查。
選項拆解
-A:內視鏡超音波 (endoscopic ultrasound):恰當。對於評估食道腫瘤的侵犯深度和局部淋巴結轉移非常有用。
消化系外科49 / 67
【110-1 醫學(五) 第28題】下列有關膽管細胞癌(cholangiocarcinoma)的敘述,何者錯誤?
詳解
破題關鍵
膽管細胞癌的治療原則以手術切除為主,對化學治療和放射治療的反應通常不佳。
選項拆解
-A:正確。膽管細胞癌可發生在膽道系統的任何位置,從十二指腸壺腹處 (Ampulla of Vater) 到肝內膽管。Klatskin tumor (肝門部膽管癌) 確實是最常見的肝外膽管癌。
消化系外科50 / 67
【110-1 醫學(五) 第29題】下列有關急性胰臟炎的敘述,何者錯誤?
詳解
破題關鍵
急性胰臟炎的併發症處理,特別是壞死性胰臟炎是否需要預防性抗生素。
選項拆解
-A:正確。膽結石、酒精、藥物、自體免疫及經內視鏡逆行性膽道胰臟攝影(ERCP)都是造成急性胰臟炎的常見危險因子。