內分泌外科1 / 64
【110-2 醫學(五) 第36題】下列何者不是供應甲狀腺血液之動脈?
詳解
破題關鍵
甲狀腺的血液供應主要來自上、下甲狀腺動脈,以及少數人有的最下甲狀腺動脈。
選項拆解
-A:上甲狀腺動脈 (superior thyroid artery) 是甲狀腺主要的血液供應之一。
內分泌外科2 / 64
【110-2 醫學(五) 第37題】一位35歲女性被診斷出患有原發性副甲狀腺功能亢進(primary hyperparathyroidism),24小時尿液的鈣排出量為450 mg/day,頸部超音波發現甲狀腺有一2公分大結節,血液中抑鈣素(calcitonin)明顯升高,臨床上應懷疑為下列何項遺傳性疾病?
詳解
破題關鍵
原發性副甲狀腺功能亢進合併甲狀腺結節且抑鈣素升高,要想到多發性內分泌腫瘤症候群。
選項拆解
-A:multiple endocrine neoplasia type 1 (MEN1) 的特徵是副甲狀腺、垂體、胰臟腫瘤,不包含髓質甲狀腺癌。
外科通論與急重症3 / 64
【110-2 醫學(五) 第2題】針對外傷病患的初始評估(initial assessment),首先會進行primary survey;下列對於primary survey的敘述, 何者錯誤?
詳解
破題關鍵
創傷初級評估 (primary survey) 的順序與緊急處置原則,特別是危及生命的狀況需立即處理。
選項拆解
-A:正確。呼吸道暢通是初級評估的第一步驟,操作時必須同時注意保護頸椎 (cervical spine protection)。
外科通論與急重症4 / 64
【110-2 醫學(五) 第3題】54歲男性,體重65公斤,因直腸癌接受根治性直腸全切除併大腸肛門吻合術及迴腸造瘻術,術後恢復良好,於術後第三天開始由口進食。但術後第八天主訴全身倦怠無力,理學檢查發現血壓90/40 mmHg,心跳100次/分, 呼吸16次/分,體溫36.5oC,每日尿量為800毫升,每日迴腸造口排出量約3,000毫升。生化檢查發現血中鈉離子125 mEq/L、鉀離子2.5 mEq/L,全血血球計數為白血球15,000 /μL、血紅素8.0 g/dL、血小板150,000/μL。此時造成病人倦怠感最有可能的原因為何?
詳解
破題關鍵
術後迴腸造口 (ileostomy) 的高流量是造成體液與電解質流失的常見原因。
選項拆解
-A:錯在主要原因。雖然電解質不平衡可能與腎上腺功能有關,但此案例有明確的大量迴腸造口排出液,這是更直接且明顯的原因。
外科通論與急重症5 / 64
【110-2 醫學(五) 第5題】傷口癒合過程中,下列細胞出現於傷口的先後順序(time course)何者正確?
詳解
破題關鍵
了解傷口癒合過程中,不同細胞的出現順序。
選項拆解
外科通論與急重症6 / 64
【110-2 醫學(五) 第7題】根據美國創傷外科學會分級(American Association for the Surgery of Trauma grading scales),下列對於肝臟創傷的分級何者錯誤?
詳解
破題關鍵
仔細辨別美國創傷外科學會 (AAST) 肝臟創傷分級的數值界限,特別是「小於」與「小於等於」的差異。
選項拆解
外科通論與急重症7 / 64
【110-2 醫學(五) 第12題】關於燒傷病人焦痂切開術(escharotomy)之敘述,何者錯誤?
詳解
破題關鍵
焦痂切開術 (escharotomy) 的深度與適應症。
選項拆解
-A:正確。肢體的整圈全層燒燙傷,若造成血循障礙,是焦痂切開術的適應症。
-B:正確。胸廓的全層燒燙傷,若造成呼吸困難,是是焦痂切開術的適應症。
外科通論與急重症8 / 64
【110-2 醫學(五) 第15題】下半身麻痺的病人坐在輪椅上,常有機會發生坐骨部壓瘡,在坐姿時坐骨隆凸部位受到多少壓力及最少持續多久壓力時間較容易開始發生壓瘡?
詳解
破題關鍵
壓瘡的發生,關鍵在於「壓力大小」和「持續時間」,高壓短時間或低壓長時間都可能造成組織損傷。
選項拆解
-A:60 mmHg,0.5小時以上。錯誤。60 mmHg 的壓力確實很高,但 0.5 小時可能還不足以造成嚴重的壓瘡,雖然風險已存在。
外科通論與急重症9 / 64
【110-2 醫學(五) 第16題】22歲的王同學是八仙塵爆的燒傷患者,這次來門診求助主要是因為手腕背側的帶狀疤痕攣縮影響彎曲活動,醫師建議施予simple Z-plasty 疤痕鬆懈手術(如附圖),如果術後預計比原先增加75%的延展長度,應設計多少角度的simple Z-plasty?

詳解
破題關鍵
這題的解題核心是記憶不同角度的Z字整形術(Z-plasty)所能提供的疤痕延長百分比,圖片則清楚呈現了Z字整形術的基本切口形狀。
選項拆解
-A:錯在30° Z字整形術通常能提供約25%的長度增加,不符合題目要求的75%。
外科通論與急重症10 / 64
【110-2 醫學(五) 第30題】病人接受幽門保留式胰十二指腸切除手術,術中失血量為1000 ml,術後當天在恢復室內記錄該病人的引流管流出鮮紅色的液體,流量為200 mL/小時,持續4小時,血紅素從13 mg/dL降至8 mg/dL。同時病人的血壓從 130/80 mmHg降至90/60 mmHg。下一步應如何處置?
詳解
破題關鍵
判斷術後出血的嚴重性與緊急處置。
選項拆解
-A:正確。病人術後引流管持續大量鮮紅色液體流出,血紅素顯著下降,且血壓降低,顯示有活動性、大量出血,並已造成血行動力學不穩定。此時最緊急且有效的處置是立即剖腹探查止血。
外科通論與急重症11 / 64
【110-2 醫學(五) 第31題】一位82歲男性病人,過去病史包括有高血壓、糖尿病、鬱血性心衰竭、心律不整(atrial fibrillation)、升結腸癌手術後;因為心肌梗塞(myocardial infarction)作過心導管並放了2根支架。在心臟內科住院時,發現病人腹部手術的傷口有一可回復性之腹壁疝氣(reducible ventral hernia),下列處置何者正確?
詳解
破題關鍵
評估高風險心臟病患接受非心臟手術的時機與術前準備。
選項拆解
-A:錯在「可以不用請麻醉科醫師評估」。這位病人有多重共病症和複雜心臟病史,麻醉風險極高,必須由麻醉科醫師詳細評估。
外科通論與急重症12 / 64
【110-2 醫學(五) 第38題】有關乳房超音波(ultrasonography)與乳房X光攝影(mammography)的比較,下列敘述何者錯誤?
詳解
破題關鍵
乳房X光攝影是偵測微鈣化的黃金標準。
選項拆解
-A:乳房超音波較mammography易偵測到microcalcifications。這是錯誤的,乳房X光攝影才是偵測微鈣化的主要工具,超音波對微鈣化的偵測能力較差。
外科通論與急重症13 / 64
【110-2 醫學(五) 第39題】無症狀婦女乳房X光攝影(mammography)篩檢看到不確定性質叢聚顯微鈣化(clustered microcalcifications),影像醫師判斷惡性可能性至少超過2%,為BI-RADS category 4,超音波檢查正常,為 BI-RADS category 1,下列相關敘述何者正確?
詳解
破題關鍵
BI-RADS category 4 的微鈣化,即使超音波正常,也需要切片確認。
選項拆解
-A:應建議病人切片。這是正確的,BI-RADS 4的病灶,尤其是微鈣化,需要進行切片以排除惡性。
外科通論與急重症14 / 64
【110-2 醫學(五) 第40題】有關乳癌手術及輔助治療,下列敘述何者錯誤?
詳解
破題關鍵
乳房保留手術與乳房切除術的存活率是「相當」的,而非「增加」。
選項拆解
外科通論與急重症15 / 64
【110-2 醫學(五) 第41題】有關乳房重建方式的敘述,下列何者錯誤?
詳解
破題關鍵
闊背肌皮瓣的組織量相對有限,不適合重建大體積乳房。
選項拆解
-A:義乳植入是雙側乳房重建手術的適應症之一。這是正確的,義乳植入是常見的乳房重建方式,可用於單側或雙側重建。
外科通論與急重症16 / 64
【110-2 醫學(五) 第51題】下列有關腹腔鏡手術的敘述何者錯誤?
詳解
破題關鍵
非充氣式腹腔鏡手術在視野和操作空間上通常不如傳統充氣式腹腔鏡手術。
選項拆解
-A:正確。氣體栓塞 (air emboli) 在腹腔鏡手術中雖然是嚴重的併發症,但其發生率相對較低,並不常見。
外科通論與急重症17 / 64
【110-2 醫學(五) 第52題】關於多孔腹腔鏡手術(multi-port laparoscopic surgery)其port擺位,下列何者錯誤?
詳解
破題關鍵
理想的腹腔鏡手術port擺位應避免手術器械交叉,以提供順暢的操作。
選項拆解
-A:正確。手術醫師雙手的trocar至少相隔10公分是為了提供足夠的操作空間,避免器械互相碰撞或干擾。
外科通論與急重症18 / 64
【110-2 醫學(五) 第76題】關於動物咬傷的緊急處置,下列敘述何者最不適當?
詳解
破題關鍵
動物咬傷的傷口感染風險高,需要密切追蹤,3天後才複查可能太晚。
選項拆解
-A:正確。立即縫合動物咬傷的傷口,特別是高感染風險的傷口,會將細菌封閉在組織內,增加感染的機率。通常會延遲縫合或不縫合,讓傷口自然癒合。
外科通論與急重症19 / 64
【110-2 醫學(五) 第78題】78歲乳癌併肺臟、肝臟、骨轉移的女性病人,先生過世,有1子3女,由長子負擔所有的生活費。某日病人昏迷路倒被送至急診室,經醫師插管急救後轉送病房,4位子女來到病房後,長子要求拔管,其餘3個女兒表示反對。下列處理方式,何者最適當?
詳解
破題關鍵
當病患無法自主決定且無預立醫囑時,順位相同的家屬意見不一致,醫療團隊應協助溝通達成共識。
選項拆解
-A:正確。成年子女在醫療決策的順位上是相同的,當意見分歧時,醫師有責任促進溝通,協助家屬達成共識,這符合醫學倫理與法律精神。
外科通論與急重症20 / 64
【110-2 醫學(五) 第79題】一名路倒的老人,在昏迷中由路人送到醫院急診,身上並無任何相關的身分證明文件,也無法得知確切的受傷時間。當時病患雖已失去意識,但仍有心跳及血壓,不過昏迷指數只有3分,插管後安排電腦斷層掃描,結果發現瀰漫性的顱內出血,與神經外科醫師討論後認為預後極差,暫無手術必要,因此轉入外科加護病房治療。到加護病房後,病人情況突然惡化,血壓及心跳下降,隨即心跳停止,因無法確認身分所以無從聯絡家屬。此時應如何處理最適當?
詳解
破題關鍵
對於無身分、預後極差的病患,急救應有合理的時間限制,不應無限延長。
選項拆解
-A:錯在「急救至家屬出現」。在預後極差且無法聯絡家屬的情況下,無限期急救是不恰當的,會造成醫療資源浪費,且可能不符合病患的最佳利益。
外科通論與急重症21 / 64
【110-2 醫學(五) 第80題】依據醫療法中手術前說明的相關規定,下列敘述何者錯誤?
詳解
破題關鍵
《醫療法》規定的是「醫療機構」應說明,而非「醫師」本人。
選項拆解
-A:錯在「說明需由具醫師身分者為之」。《醫療法》規定的是「醫療機構」應說明,並未明文限定必須由「具醫師身分者」為之。雖然主刀醫師是主要負責人,但法律上並非絕對限制。
小兒外科22 / 64
【110-2 醫學(五) 第10題】脈絡叢乳頭狀瘤(choroid plexus papillomas)造成腦室擴大(ventricular enlargement)的原因,不包括下列何者?
詳解
破題關鍵
脈絡叢乳頭狀瘤 (choroid plexus papillomas) 造成腦室擴大 (水腦症) 的主要機轉。
選項拆解
-A:腫瘤長大 (tumor growth)。正確。腫瘤體積增大會造成CSF流動阻塞,導致腦室擴大。
小兒外科23 / 64
【110-2 醫學(五) 第13題】關於手部先天性併指症(syndactyly)的敘述,何者錯誤?
詳解
破題關鍵
併指症 (syndactyly) 最常發生在哪個指間。
選項拆解
-A:正確。併指症可單獨發生,也可合併其他症候群,如波蘭氏症候群 (Poland syndrome)。
-B:錯在最常受影響的指間。最常受影響的手指是中指與無名指之間的併指,而非拇指與食指。
小兒外科24 / 64
【110-2 醫學(五) 第14題】下列何種情況最不適合斷指重接(replantation)手術?
詳解
破題關鍵
斷指重接手術要考慮的是「功能恢復」和「手術成功率」,多段截斷會讓手術變得很複雜,成功率和功能恢復都會大打折扣。
選項拆解
-A:拇指 (thumb) 截斷。正確。拇指是手部功能最重要的部分,即使其他條件不佳,也常會優先考慮重接,因為其功能性無可取代。
小兒外科25 / 64
【110-2 醫學(五) 第20題】有關單一心室先天性心臟病之敘述,下列何者錯誤?
詳解
破題關鍵
單一心室的階段性手術,目標是逐步將體循環和肺循環分開,避免心臟過度負荷,同時維持足夠的血氧。
選項拆解
小兒外科26 / 64
【110-2 醫學(五) 第21題】下列先天性心臟病,何者不是發紺性(cyanotic heart disease)心臟病?
詳解
破題關鍵
發紺性心臟病 (cyanotic heart disease) 的核心特徵是「缺氧血和氧合血混合」或「肺血流嚴重不足」,導致身體缺氧。
選項拆解
小兒外科27 / 64
【110-2 醫學(五) 第23題】關於先天性肺部疾病,下列敘述何者錯誤?
詳解
破題關鍵
先天性肺部疾病的處理原則,要考慮「症狀」、「併發症風險」和「惡性潛力」。
選項拆解
-A:支氣管囊腫 (bronchogenic cyst) 無症狀不需要手術切除。錯誤。即使無症狀的支氣管囊腫,也建議手術切除,因為有感染、壓迫周圍器官或極低惡性變化的潛在風險。
小兒外科28 / 64
【110-2 醫學(五) 第42題】一名2歲大的小朋友因為腹痛來到急診室,生化檢查發現他有升高的澱粉酶(amylase),腹部超音波檢查發現他的肝內膽管與總膽管擴大。診斷可能是膽道囊腫(choledochal cyst)。下列相關敘述何者正確?①type IV的膽道囊腫 ②type V的膽道囊腫 ③應該待胰臟炎緩解後即安排手術切除囊腫 ④應該等到6歲再做手術切除囊腫 ⑤囊腫發生的假說是因為胰液反流導致膽管發炎擴大
詳解
破題關鍵
膽道囊腫的診斷、分類和治療原則。
選項拆解
-① type IV的膽道囊腫。患者有肝內膽管與總膽管擴大,符合Type IV膽道囊腫的描述 (肝內外膽管皆擴張)。此敘述正確。
小兒外科29 / 64
【110-2 醫學(五) 第43題】一位5歲男孩因為發燒來到急診,理學檢查並無上呼吸道感染,但有左後背敲痛感,尿液檢查發現有白血球增高現象,腎臟超音波發現有嚴重水腎現象伴隨腎臟皮質變薄的現象,輸尿管無脹大,後續的尿液逆流攝影 (VCUG)發現他沒有膀胱輸尿管逆流。下列敘述何者正確?①可能是腎盂輸尿管狹窄併發腎盂腎炎 ②可能是輸尿管膀胱狹窄併發腎盂腎炎 ③可以再加做腎臟核醫掃描(DTPA with Lasix)的檢查協助判斷 ④手術方式有兩種,一種是從膀胱外重新植入輸尿管,一種是從膀胱內重新植入輸尿管(reimplantation) ⑤先用抗生素治療就好,除非反覆性感染才需要手術
詳解
破題關鍵
水腎、腎皮質變薄、無輸尿管擴大且無膀胱輸尿管逆流,指向腎盂輸尿管狹窄。
選項拆解
-① 可能是腎盂輸尿管狹窄併發腎盂腎炎。患者有嚴重水腎、腎皮質變薄、無輸尿管脹大、無VUR,且有發燒、背痛、白血球增高,非常符合UPJO合併腎盂腎炎的表現。此敘述正確。
小兒外科30 / 64
【110-2 醫學(五) 第44題】一名13.5公斤的幼兒,在接受腸胃道手術後暫時禁食。試問他每日的輸液量至少要達到多少mL?
詳解
破題關鍵
計算幼兒每日輸液量,要用「4-2-1法則」來估算。
選項拆解
-A:錯在計算錯誤。900 mL是將體重13.5公斤直接乘以60-70 mL/kg/day的粗略估計,不符合4-2-1法則的精確計算。
小兒外科31 / 64
【110-2 醫學(五) 第45題】一個懷孕28 周的準媽媽,在接受例行的產前超音波檢查,由婦產科醫師檢查出:在胎兒的右肺出現了泡泡狀的病灶。而在此之前,準媽媽與寶寶的檢查,都未出現特別的異狀。婦產科醫師再安排了更詳盡的胎兒檢查,推斷此胎兒患有「先天性肺呼吸道畸形(CPAMs, congenital pulmonary airway malformations)」。於是, 婦產科醫師將準媽媽轉介到小兒外科醫師的門診,希望小兒外科醫師跟準媽媽解釋,寶寶在出生之後,寶寶可能需要接受的治療。下列是小兒外科醫師跟著急的準媽媽的病解,何者最不適當?
詳解
破題關鍵
先天性肺呼吸道畸形 (CPAMs) 雖然是良性病灶,但仍有極低的惡性轉變風險。
選項拆解
-A:正確。CPAMs的確是一種在正常肺部組織中生長出的多囊結構腫塊,通常侷限在某一側的肺部或是某一塊肺葉。
小兒外科32 / 64
【110-2 醫學(五) 第46題】腸道旋轉不良(intestinal malrotation)可能造成腸道扭轉(intestinal volvulus),下列那一個敘述對手術所需的步驟最正確?
詳解
破題關鍵
腸道旋轉不良的手術目標是解除扭轉、固定腸道位置並預防再次扭轉,同時處理闌尾。
選項拆解
-A:錯在少了「增寬小腸腸繫膜根部」。這是Ladd's procedure中預防再次扭轉的關鍵步驟。
小兒外科33 / 64
【110-2 醫學(五) 第70題】下列有關兒童尿路感染的敘述何者正確?
詳解
破題關鍵
兒童尿路感染最常見的原因是腸道細菌從肛門跑到尿道口,再逆行往上感染。
選項拆解
-A:錯誤。一歲以內的男嬰發生尿路感染的機會通常較女孩為高,尤其是在未割包皮的男嬰中。一歲以後,女孩的機率才顯著高於男孩。
心臟胸腔外科34 / 64
【110-2 醫學(五) 第17題】下列那一條血管不適合做為冠狀動脈繞道手術(coronary artery bypass grafting)之繞道管道(conduit)?
詳解
破題關鍵
冠狀動脈繞道手術的血管,必須是「健康、管徑適中、容易取得」且「血流供應穩定」的血管。
選項拆解
-A:股動脈 (femoral artery)。錯誤。股動脈是下肢主要的大動脈,管徑過大,且其功能對下肢血流供應至關重要,不能隨意取用作為繞道管道。
心臟胸腔外科35 / 64
【110-2 醫學(五) 第18題】下列何者不是嚴重主動脈瓣閉鎖不全(severe aortic insufficiency)之手術適應症?
詳解
破題關鍵
主動脈瓣閉鎖不全的手術時機,主要看「症狀」和「心臟功能受損程度」。
選項拆解
-A:急性嚴重主動脈瓣閉鎖不全 (acute severe aortic insufficiency) 併有休克之病患。正確。急性嚴重 AI 且併發休克是緊急手術的絕對適應症,因為心臟功能會迅速惡化。
心臟胸腔外科36 / 64
【110-2 醫學(五) 第19題】78歲男性抽菸且合併高血壓,糖尿病病史,接受都卜勒分段血壓(Doppler segmental pressure)檢查之結果如附圖。則下列敘述何者錯誤?

詳解
破題關鍵
這題的解題核心是判讀都卜勒分段血壓(Doppler segmental pressure)的結果,特別是踝臂指數(ABI)和各分段的壓力變化,來評估周邊動脈疾病(PAD)的嚴重程度與位置,並結合周邊動脈疾病的治療原則。
選項拆解
心臟胸腔外科37 / 64
【110-2 醫學(五) 第22題】關於惡性肋膜積液(pleural effusion)的敘述,何者正確?
詳解
破題關鍵
惡性肋膜積液的診斷和治療,重點在於「找出原發癌」和「控制症狀」。
選項拆解
-A:在女性中,最常因為乳癌產生惡性肋膜積液。正確。乳癌是女性最常見的癌症之一,也是引起惡性肋膜積液的常見原因。
心臟胸腔外科38 / 64
【110-2 醫學(五) 第24題】關於肺癌檢查的敘述,下列何者正確?
詳解
破題關鍵
了解不同肺癌細胞型態的生長位置與診斷方式差異。
選項拆解
-A:錯在「均應例行性」。腦部MRI檢查並非所有肺癌患者都需例行性做,通常是針對小細胞肺癌或有腦轉移症狀的非小細胞肺癌患者。
-B:正確。鱗狀細胞癌常發生在中央大氣道,細胞容易脫落,因此痰液細胞學檢查的診斷率相對較高。
心臟胸腔外科39 / 64
【110-2 醫學(五) 第27題】下列縱膈腔腫瘤相關症狀,何者錯誤?
詳解
破題關鍵
了解常見縱膈腔腫瘤的相關症候群或合併症。
選項拆解
-A:正確。神經纖維瘤 (neurofibroma) 常見於後縱膈腔,且與第一型神經纖維瘤病 (von Recklinghausen's disease) 有關。
心臟胸腔外科40 / 64
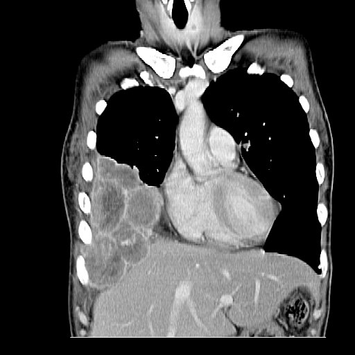
【110-2 醫學(五) 第73題】有關下圖的敘述,下列何者錯誤?

詳解
破題關鍵
這張圖是胸腹部的電腦斷層掃描冠狀切面,解題核心在於判斷圖中是否有明確呈現下行主動脈。仔細觀察可以發現,雖然有顯影劑,但這個切面主要顯示心臟和肝臟,下行主動脈並不明顯。
選項拆解
泌尿外科41 / 64
【110-2 醫學(五) 第66題】一位60歲女性主訴無痛血尿, 經輸尿管鏡切片發現左腎盂有高惡性度尿路上皮癌(high grade urothelial carcinoma),沒有轉移,兩側腎臟功能正常,下列何者是最適當的治療?
詳解
破題關鍵
高惡性度的上泌尿道尿路上皮癌,標準治療是根除性切除,包括腎臟、輸尿管和膀胱袖口。
選項拆解
-A:軟式輸尿管鏡及雷射腫瘤切除手術。此方法通常適用於低惡性度、非侵襲性、較小的UTUC,且患者腎功能不佳或只有單側腎臟時。對於高惡性度腫瘤,復發和殘餘病灶的風險太高,不建議作為主要治療。
泌尿外科42 / 64
【110-2 醫學(五) 第67題】下列有關良性前列腺增生(benign prostatic hyperplasia)的藥物治療,何者最不恰當?
詳解
破題關鍵
選擇性α1-腎上腺素受體阻斷劑主要作用在α1A受體,而非α1D受體。
選項拆解
-A:正確。對於IPSS評分輕微(0-7分)的BPH患者,通常建議「觀察等待 (watchful waiting)」,不需立即給藥。
泌尿外科43 / 64
【110-2 醫學(五) 第69題】尿路感染完成第一次抗生素治療後,仍持續存在菌尿症稱為Unresolved bacteriuria,下列那一個原因最常見?
詳解
破題關鍵
抗生素治療後菌尿症仍持續存在,最常見的原因就是細菌對使用的抗生素有抗藥性。
選項拆解
-A:正確。細菌對治療之抗生素有抗藥性是導致尿路感染治療失敗,菌尿症持續存在的最常見原因。
消化系外科44 / 64
【110-2 醫學(五) 第25題】有關食道疾病的敘述,下列何者正確?
詳解
破題關鍵
了解不同食道憩室的類型、位置、成因與診斷方式,以及胃食道逆流手術和食道腐蝕性傷害的處理原則。
選項拆解
-A:錯在「主要以測壓機診斷」。Zenker憩室主要診斷工具是吞嚥攝影 (barium swallow),測壓機 (manometry) 可評估環咽肌功能,但不是主要診斷工具。
消化系外科45 / 64
【110-2 醫學(五) 第26題】下列關於食道穿孔之敘述,何者不適當?
詳解
破題關鍵
了解食道穿孔的診斷流程與緊急處理原則。
選項拆解
-A:錯在「先以食道鏡檢查作為優先診斷工具」。食道鏡檢查可能擴大穿孔或將空氣打入縱膈腔,通常不建議作為食道穿孔的優先診斷工具。吞嚥攝影或電腦斷層是更安全的初步診斷方式。
消化系外科46 / 64
【110-2 醫學(五) 第28題】下列何者不是常見化膿性肝膿瘍之致病原因?
詳解
破題關鍵
了解肝膿瘍的常見感染途徑。
選項拆解
-A:正確。膽道疾病(如膽管炎、膽道阻塞)是化膿性肝膿瘍最常見的原因。
-B:正確。腹腔內感染(如闌尾炎)的細菌可經由肝門靜脈血流進入肝臟,造成肝膿瘍。
-C:正確。全身性菌血症或敗血症時,細菌可經由肝動脈感染肝臟。
消化系外科47 / 64
【110-2 醫學(五) 第29題】肝切除術後,下列何者不是病患術後照料應該注意的事項?
詳解
破題關鍵
了解肝切除術後常見的生理變化與照護重點。
選項拆解
-A:錯誤。術後若腹水流失嚴重,表示體液從血管內流失到腹腔,此時若不限制水分及鹽分的輸入,可能導致體液過度負荷,加重腹水,甚至引起電解質不平衡。應根據體液狀況和電解質平衡來調整輸液,而非不宜限制。
消化系外科48 / 64
【110-2 醫學(五) 第32題】下列有關小腸的敘述,何者錯誤?
詳解
破題關鍵
了解小腸的生理功能、腸阻塞的常見原因,以及腸胃道基質瘤 (GIST) 的特性。
選項拆解
-A:正確。小腸具有消化、吸收、內分泌(分泌腸道激素)的功能,且其黏膜下的派亞氏斑 (Peyer's patches) 等淋巴組織是重要的免疫器官。
消化系外科49 / 64
【110-2 醫學(五) 第33題】膽結石是膽囊及膽道最常見的問題,下列有關膽結石的敘述何者正確?
詳解
破題關鍵
了解膽結石的自然病程、急性膽囊炎的病理生理學與診斷,以及膽結石手術的適應症與併發症。
選項拆解
-A:錯誤。大部分膽結石是無症狀的,對於無症狀膽結石,通常不建議預防性手術,除非有特定高風險因素。過度手術會增加不必要的風險。
消化系外科50 / 64
【110-2 醫學(五) 第34題】下列何項荷爾蒙不是由胃的細胞(gastric cell)分泌?
詳解
破題關鍵
胃細胞會分泌哪些荷爾蒙,而脂肪細胞又分泌哪些?
選項拆解
-A:somatostatin (生長抑素) 由胃的D細胞分泌,抑制胃酸分泌。
-B:gastrin-releasing peptide (GRP) 是一種神經胜肽,由胃腸道的神經元釋放,刺激胃泌素分泌,間接影響胃功能。