內分泌外科1 / 70
【115-1 醫學(五) 第12題】病人在接受甲狀腺手術後,平時講話尚可並無聲帶麻痺現象,但唱歌時無法發出高音,最可能的原因為下列何者?
內分泌外科2 / 70
【115-1 醫學(五) 第13題】關於甲狀腺癌的腫瘤生成與致癌機轉,下列敘述何者最不適當?
內分泌外科3 / 70
【115-1 醫學(五) 第14題】40 歲女性,家裡有乳癌病史,自己也有 BRCA1 mutation。兩週前自己感覺到左乳房有硬塊。到門診做進一步檢查,懷疑有惡性可能。該患者從來沒有接受過任何乳房檢查。接下來將安排之檢查,下列何者最不適合?
內分泌外科4 / 70
【115-1 醫學(五) 第47題】單側乳頭出現分泌物最常見病因為何?
內分泌外科5 / 70
【115-1 醫學(五) 第48題】65 歲停經女性,接受全乳切除手術(mastectomy),病理報告為 8 cm 之乳管原位癌(ductal carcinoma in situ, DCIS),前哨淋巴結取 4 顆均無轉移,影像並無懷疑之遠端轉移病灶,腫瘤之免疫染色顯示為:雌激素受體陽性(estrogen receptor, ER:95%)、黃體素受體陽性(progesterone receptor, PR:90%)、 HER2/neu:0、Ki-67(MIB-1):9%、grade 2,下列治療何者最適當?
內分泌外科6 / 70
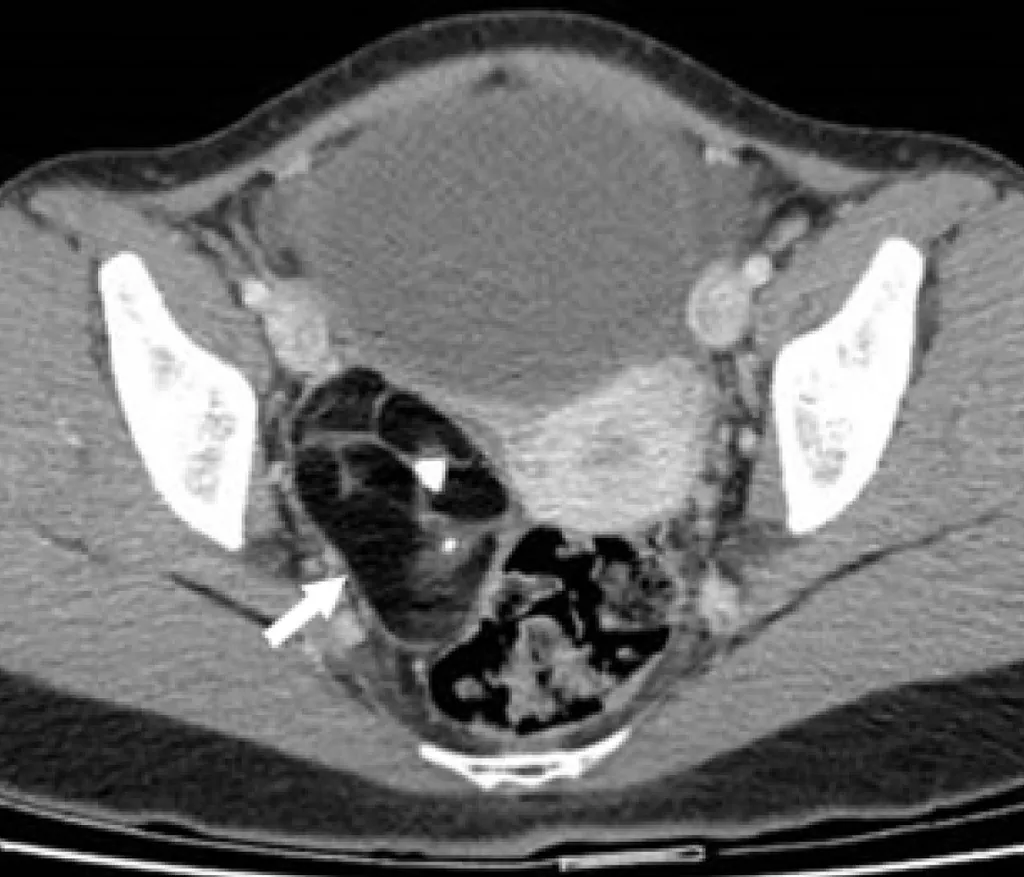
【115-1 醫學(五) 第73題】
35 歲女性病人主訴下腹疼痛,超音波檢查發現疑似右側卵巢腫塊,電腦斷層檢查呈現如圖,箭號所示最有可能的診斷為何?

外科通論與急重症7 / 70
【115-1 醫學(五) 第6題】下列何者不是食道穿孔治療的重要原則?
外科通論與急重症8 / 70
【115-1 醫學(五) 第10題】腹股溝深環(deep inguinal ring)位於下列何結構?
外科通論與急重症9 / 70
【115-1 醫學(五) 第20題】關於人體水分組成的敘述,下列何者錯誤?
外科通論與急重症10 / 70
【115-1 醫學(五) 第21題】陳先生,身高 175 公分、體重 70 公斤,預計入院接受腹腔鏡膽囊切除手術,術前檢驗數據:Hb:14.8 g/dL, Hct:45%,WBC:8,600/μL,platelet: 246,000/μL,BUN:16 mg/dL,creatinine:0.9 mg/dL,glucose:95 mg/dL,Na:142 mmol/L,K:4.1 mmol/L。下列敘述何者錯誤?
外科通論與急重症11 / 70
【115-1 醫學(五) 第22題】關於高血鉀症(hyperkalemia)常見的原因,下列何種情況較不會出現?
外科通論與急重症12 / 70
【115-1 醫學(五) 第24題】傷口癒合期間,不同細胞會分別出現於傷口。下列敘述何者正確?
外科通論與急重症13 / 70
【115-1 醫學(五) 第25題】關於有效減少手術部位感染(surgical site infection)之方式,下列何者最不適當?
外科通論與急重症14 / 70
【115-1 醫學(五) 第38題】關於深層靜脈栓塞(deep venous thrombosis, DVT),下列敘述何者錯誤?
外科通論與急重症15 / 70
【115-1 醫學(五) 第42題】關於腹股溝疝氣手術後復發之描述,何者最不適當?
外科通論與急重症16 / 70
【115-1 醫學(五) 第46題】86 歲男性病患因意識不清被送往急診室,到院呈重度昏迷,理學檢查血壓 120/78 mmHg,心跳每分鐘 82 次, 呼吸每分鐘 12 次,體溫 36.5℃,兩眼瞳孔等距 0.4 公分,Glasgow coma scale:E1M1V1,血清生化檢查: + - + glucose 92 mg/dL,ethanol<10 mg/dL,Na 136 mEq/L,Cl 102 mEq/L,K 3.9 mEq/L,Ca 14.6 mg/dL, BUN 38 mg/dL,creatinine 1.4 mg/dL,SGOT 32 μIU/L,SGPT 24 μIU/L,下列何項處置最不適當?
外科通論與急重症17 / 70
【115-1 醫學(五) 第77題】關於哺乳動物咬傷的傷口,下列何者最不適當?
外科通論與急重症18 / 70
【115-1 醫學(五) 第80題】曹女士 90 歲患肺癌末期,有多處轉移合併肺功能衰竭,主治王醫師將進行家庭會議。下列敘述何者最不適當?
小兒外科19 / 70
【115-1 醫學(五) 第1題】有關小孩外傷的敘述,下列何者最適當?
小兒外科20 / 70
【115-1 醫學(五) 第27題】關於兒童腦幹膠質瘤(pediatric brainstem glioma),下列何者錯誤?
小兒外科21 / 70
【115-1 醫學(五) 第29題】新生兒及嬰兒水腦症的原因有 congenital or acquired etiology,下列敘述何者最不適當?
小兒外科22 / 70
【115-1 醫學(五) 第35題】體重小於 20 公斤(或小於兩歲)之嚴重燒燙傷孩童,24 小時之輸液復甦(resuscitation),除乳酸林格氏液(Lactated Ringer's solution)外,建議添加下列何者最適當?
小兒外科23 / 70
【115-1 醫學(五) 第49題】2 歲男童因反覆無痛性大量暗紅色便(melena)至急診就醫。理學檢查穩定,腹部軟,無壓痛。實驗室顯示輕度貧血。懷疑 Meckel diverticulum。下列那一項初步處置或診斷方式最適當?
小兒外科24 / 70
【115-1 醫學(五) 第50題】關於兒童腹股溝疝氣之敘述,下列何者最適當?
小兒外科25 / 70
【115-1 醫學(五) 第51題】關於威爾姆氏腫瘤(Wilms tumor)的敘述,下列何者錯誤?
小兒外科26 / 70
【115-1 醫學(五) 第52題】附圖為兒童左頸部瘻管之顯影劑攝影(如圖一)和手術切口實際圖示(如圖二、圖三)。下方傷口為瘻管開口所在位置(如圖中①),上方傷口(如圖中②)靠近下頷(mandible)(如圖中③)。瘻管由下方傷口分離後(如圖二),移轉至上方傷口繼續向上分離後再進行結紮(如圖三)。下列何者最符合本病患之疾病?

小兒外科27 / 70
【115-1 醫學(五) 第53題】關於兒童誤食或誤吸入異物的相關敘述,下列何者最不恰當?
小兒外科28 / 70
【115-1 醫學(五) 第62題】有關先天性併指症(syndactyly)的敘述 ,下列何者最不適當?
心臟胸腔外科29 / 70
【115-1 醫學(五) 第3題】支配心臟血液循環的主要冠狀動脈(coronary arteries),下列何者錯誤?
心臟胸腔外科30 / 70
【115-1 醫學(五) 第4題】30 歲女性,因急性心衰竭以及肺水腫至急診就診,心臟超音波檢查發現僧帽瓣前葉腱索斷裂(rupture of chordae)並且有嚴重僧帽瓣逆流。此僧帽瓣逆流在 Carpentier 分類(Carpentier classification)中屬於何種 dysfunction?
心臟胸腔外科31 / 70
【115-1 醫學(五) 第7題】68 歲男性罹患肺炎,合併出現發燒和胸膜性胸痛。經抗生素治療後,胸部 X 光檢查顯示有胸腔積水。經胸腔穿刺術檢查,胸腔積水的 pH 值為 7.1,葡萄糖濃度為 30 mg/dL,積液呈化膿樣。根據這些發現,下列何者是最適當的下一步處置方式?
心臟胸腔外科32 / 70
【115-1 醫學(五) 第36題】所謂急性主動脈綜合症(acute aortic syndrome)不包含下列何者?
心臟胸腔外科33 / 70
【115-1 醫學(五) 第37題】關於主動脈剝離(aortic dissection, AD)、主動脈壁內血腫(intramural hematoma, IMH)及穿透性主動脈潰瘍(penetrating aortic ulcer, PAU)的敘述,下列何者最不適當?
心臟胸腔外科34 / 70
【115-1 醫學(五) 第39題】關於惡性肋膜間質細胞瘤(mesothelioma)之描述,下列何者最不適當?
心臟胸腔外科35 / 70
【115-1 醫學(五) 第41題】關於 Ivor Lewis 式食道切除術的描述,下列何者正確?
泌尿外科36 / 70
【115-1 醫學(五) 第40題】關於惡性生殖細胞瘤(malignant germ cell tumor)之敘述,下列何者最不適當?
泌尿外科37 / 70
【115-1 醫學(五) 第60題】35 歲男性因車禍導致骨盆骨折,血壓穩定,但身體診察發現有血液從陰莖的尿道口流出。應最優先考慮下列何者?
泌尿外科38 / 70
【115-1 醫學(五) 第64題】感染性結石最常見相關的細菌是:
泌尿外科39 / 70
【115-1 醫學(五) 第65題】依據 Bosniak classification 的分類,下列有關腎臟囊泡(renal cysts)的敘述,何者錯誤?
泌尿外科40 / 70
【115-1 醫學(五) 第66題】臨床上使用 RENAL scoring 系統來評估腎臟手術的複雜性,下列何者不是 RENAL score 的評估項目?
泌尿外科41 / 70
【115-1 醫學(五) 第67題】下列有關攝護腺癌之敘述,何者錯誤?
泌尿外科42 / 70
【115-1 醫學(五) 第68題】下列有關良性前列腺增生(benign prostatic hyperplasia)病理學的敘述,何者最不恰當?
泌尿外科43 / 70
【115-1 醫學(五) 第70題】有關福尼爾壞疽(Fournier gangrene),下列敘述何者最不正確?
泌尿外科44 / 70
【115-1 醫學(五) 第71題】陰莖勃起充血時,可以分成 0~7 個 phases( flaccid;latent;tumescence;full erection;rigid erection;initial detumescence;slow detumescence;fast detumescence),其中血流量在那一個 phase 最少?
泌尿外科45 / 70
【115-1 醫學(五) 第75題】有關泌尿系統急症,下列敘述何者最不適當?
消化系外科46 / 70
【115-1 醫學(五) 第8題】關於膽結石合併急性膽囊炎(acute calculous cholecystitis)的敘述,何者最不適當?
消化系外科47 / 70
【115-1 醫學(五) 第9題】胰腺癌(pancreatic adenocarcinomas)預後相當不好,又俗稱癌王,下列關於此類腫瘤的敘述,何者最不恰當?
消化系外科48 / 70
【115-1 醫學(五) 第11題】下列何者屬於 presinusoidal portal hypertension 的原因?
消化系外科49 / 70
【115-1 醫學(五) 第15題】51 歲女性患者,每月仍有固定月經週期,近一年來體重緩慢下降且偶爾有飽餐後腹漲不適的感覺,但因腹部不適持續的時間不長,也就不以為意。在接受成人健康檢查時,發現血色素低到 7.0 g/dL,且糞便潛血呈現陽性反應。在接受大腸鏡鏡檢時,意外發現升結腸有快要堵住腸腔的腫瘤,腸鏡也因腸道狹窄無法穿過腫瘤到達 cecum。腸鏡切片結果為 adenocarcinoma, microsatellite stable(MSS)。在電腦斷層檢查後,發現腫瘤疑似有侵犯臟層腹膜(visceral peritoneum),腫瘤附近可見 6 顆直徑大於 1 公分腫大的淋巴結,其他器官則沒有明顯轉移跡象。根據檢查結果,下列敘述何者錯誤?
消化系外科50 / 70
【115-1 醫學(五) 第16題】關於大腸憩室炎之敘述,下列何者正確?