內分泌外科1 / 69
【111-2 醫學(五) 第19題】有關乳癌切除後的乳房重建(breast reconstruction),下列敘述何者錯誤?
詳解
破題關鍵
乳房重建的延遲重建並沒有硬性規定要等多久,主要看患者的治療狀況和個人意願。
選項拆解
-A:正確。乳房重建是乳癌治療的一部分,醫師有義務告知患者所有可行的重建選項,讓患者有權利選擇最適合自己的方式。
內分泌外科2 / 69
【111-2 醫學(五) 第39題】一位 55 歲女性罹患高血壓多年,經 saline loading test 確診為原發性多醛酮症(primary hyperaldosteronism),為了排除是 bilateral adrenal hyperplasia,下列定位檢查何者較不適當?
詳解
破題關鍵
診斷原發性醛固酮增多症後,定位檢查的目的是區分單側腺瘤或雙側增生,MIBG scan 是用來找嗜鉻細胞瘤的。
選項拆解
內分泌外科3 / 69
【111-2 醫學(五) 第40題】一位 60 歲男性有腎結石病史,近日因聲音沙啞就醫,理學檢查發現頸部有一腫塊,抽血發現血鈣高達 14.5 mg/dL 及 parathyroid hormone (PTH)525 pg/mL,最有可能的診斷為?
詳解
破題關鍵
高血鈣、高 PTH 且 PTH 數值異常高,加上頸部腫塊和聲音沙啞,要高度懷疑副甲狀腺癌。
選項拆解
-A:錯在 [sarcoidosis] 引起的高血鈣通常伴隨低或正常 PTH,與題目中極高的 PTH 不符。
內分泌外科4 / 69
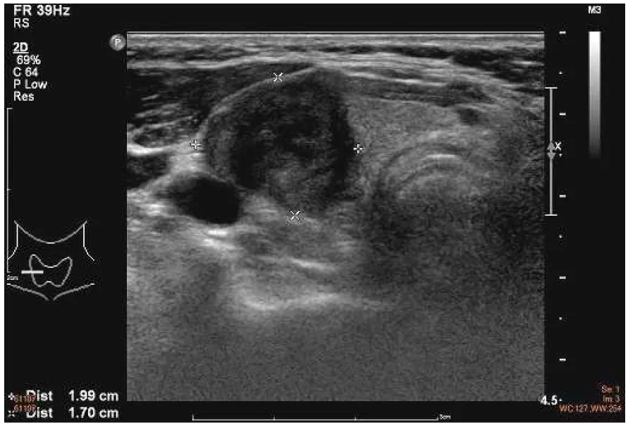
【111-2 醫學(五) 第41題】一位 65 歲男性發現右頸部有一硬塊,頸部超音波檢查如附圖,細針穿刺細胞學檢查顯示為甲狀腺乳突癌 (papillary thyroid cancer),根據超音波圖像,此甲狀腺癌可能合併下列何者特性?

詳解
破題關鍵
這題的解題核心在於辨識甲狀腺結節的邊緣是否清晰完整,圖片中甲狀腺結節的邊緣模糊且不規則,顯示腫瘤已經突破甲狀腺包膜,侵犯到周圍組織。
選項拆解
內分泌外科5 / 69
【111-2 醫學(五) 第42題】下列有關乳房病變之敘述,何者錯誤?
詳解
破題關鍵
橘子皮變化是淋巴水腫,與皮膚淋巴管阻塞有關,不是 Cooper's ligament 侵犯。
選項拆解
內分泌外科6 / 69
【111-2 醫學(五) 第43題】關於乳癌之術後放射線治療,下列敘述何者最不適當?
詳解
破題關鍵
放射線治療和化學治療在乳癌治療中扮演不同角色,不能互相取代。
選項拆解
-A:錯在 [乳管原位癌 (DCIS) 之病患行乳房保留手術後,建議接受全乳放射線治療,可減少 50%的癌症復發率]。這是正確的敘述。DCIS 術後放療能顯著降低局部復發率。
內分泌外科7 / 69
【111-2 醫學(五) 第44題】有關乳癌的荷爾蒙治療,下列敘述何者最不適當?
詳解
破題關鍵
泰莫西芬 (tamoxifen) 對停經前和停經後婦女都有效,且是停經後婦女荷爾蒙治療的重要選項。
選項拆解
外科通論與急重症8 / 69
【111-2 醫學(五) 第3題】有關新興癌症分子生物標靶治療(target therapy)的原理,下列敘述何者錯誤?
詳解
破題關鍵
Bcr-Abl 基因是慢性骨髓性白血病 (CML) 的特徵,而非多發性骨髓瘤 (myeloma)。
選項拆解
-A:正確。Bcr-Abl 基因是慢性骨髓性白血病 (CML) 的標靶,而不是多發性骨髓瘤 (myeloma)。因此,這個敘述是錯誤的。
外科通論與急重症9 / 69
【111-2 醫學(五) 第5題】高壓氧(hyperbaric oxygen therapy)為一有效改善組織缺氧之療法,應用於傷口組織缺氧治療最主要之先決條件為何?
詳解
破題關鍵
高壓氧要能發揮作用,前提是氧氣能透過血液被運送到目標組織。
選項拆解
-A:錯在「最主要」的先決條件不是這個。病人多重合併症的控制雖然重要,但不是高壓氧能作用的直接前提。
-B:正確。高壓氧是透過血液運送氧氣,如果目標組織的血液循環不暢通,氧氣就無法有效到達,治療效果會大打折扣。
外科通論與急重症10 / 69
【111-2 醫學(五) 第22題】有關深層靜脈栓塞(deep vein thrombosis),下列敘述何者錯誤?
詳解
破題關鍵
May-Thurner syndrome 是造成靜脈血栓的原因,而不是結果。
選項拆解
-A:正確。年齡增長、惡性腫瘤、先前手術 (特別是骨科或腹部手術) 和有靜脈栓塞病史,都是深層靜脈栓塞的常見危險因子。
外科通論與急重症11 / 69
【111-2 醫學(五) 第29題】關於頸部及胸部外傷,下列敘述何者正確?
詳解
破題關鍵
皮下氣腫和縱隔腔氣腫是氣體從呼吸道或消化道洩漏的徵象,提示氣管或食道可能受損。
選項拆解
外科通論與急重症12 / 69
【111-2 醫學(五) 第55題】下列有關單一切口腹腔鏡手術(single-incision laparoscopic surgery)效益之敘述,下列何者錯誤?
詳解
破題關鍵
在男性創傷患者中,若尿道口有血跡,應高度懷疑尿道損傷,此時立即放置導尿管是禁忌。
選項拆解
-A:正確。確保呼吸道通暢(airway)、建立大管徑靜脈導管(circulation)並給予大量靜脈輸液及輸血治療,是處理休克創傷患者的標準急救措施。
外科通論與急重症13 / 69
【111-2 醫學(五) 第57題】25 歲男性騎車被卡車輾壓受傷,在急診室血壓 90/50 mmHg,脈搏 110 次/分,呼吸急促,腹部鼓脹,生殖器尿道口有血跡,雙側下肢不等長,下列敘述與處置何者最不適當?
詳解
破題關鍵
在創傷病人,尤其是骨盆創傷或尿道口有血跡時,放置導尿管前必須先排除尿道損傷。
選項拆解
-A:正確。確保呼吸道通暢是急救首要任務。低血壓和脈搏快提示休克,應儘速建立大管徑靜脈導管,給予大量靜脈輸液及輸血治療以穩定循環。
外科通論與急重症14 / 69
【111-2 醫學(五) 第72題】
35 歲男性病人,主訴持續一星期的單側下肢腫脹,但無發燒症狀。雙側下肢靜脈注射顯影劑電腦斷層影像如圖所示,下列關於病況的敘述何者最恰當?

詳解
破題關鍵
這題的解題核心在於從電腦斷層影像中辨識出深層靜脈栓塞(DVT),並理解其最嚴重的併發症。圖片中的靜脈相顯示左側股靜脈有顯影劑填充缺損,代表有血栓形成。
選項拆解
外科通論與急重症15 / 69
【111-2 醫學(五) 第75題】有關腹腔鏡(laparoscopy)手術的併發症中,下列何者最不適當?
詳解
破題關鍵
腹腔鏡手術雖然傷口小,但仍有形成疝氣的風險。
選項拆解
-A:正確。腹腔鏡手術時灌入二氧化碳造成氣腹 (pneumoperitoneum),會增加腹內壓力,影響心臟回流,可能導致心律不整。
外科通論與急重症16 / 69
【111-2 醫學(五) 第76題】一位 51 歲病人,接受右肝切除手術後的壓力反應(stress response),包括代謝率改變、發炎介質產生及內分泌變化等等,下列敘述何者錯誤?
詳解
破題關鍵
術後壓力反應下,身體會優先分解肌肉蛋白質來提供能量,而非將alanine作為腸道和免疫系統的主要能量來源。
選項拆解
-A:錯在「低 20%」。術後病人的能量消耗通常會增加,而不是降低,因為身體需要額外能量來應對發炎、組織修復和維持體溫。
外科通論與急重症17 / 69
【111-2 醫學(五) 第77題】24 歲男性,腹痛三天後才就醫,醫師發現他右下腹痛得最厲害,診斷為闌尾炎,須接受手術,這位病人手術後最常發生的併發症為下列何者?
詳解
破題關鍵
闌尾炎手術後,最常見的併發症就是傷口或腹腔內的感染。
選項拆解
-A:錯在「最常發生」。肺炎 (pneumonia) 雖然是術後可能發生的併發症,尤其是在老年人或有呼吸道疾病的病人,但對於闌尾炎手術而言,其發生率通常低於手術部位感染。
外科通論與急重症18 / 69
【111-2 醫學(五) 第78題】26 歲男性病人,發生嚴重車禍,導致病人頭部創傷重度昏迷,病人腦部電腦斷層結果顯示右側顱內有大量硬腦膜下出血,導致嚴重腦幹壓迫有急迫生命危險,要儘快幫病人做緊急開顱減壓手術,病人才有比較好的存活機率,不過開刀病人也可能會死,但卻沒有找到病人家屬,以告知手術治療的必要性與高度不確定的手術結果。醫師是否應該為其進行手術?
詳解
破題關鍵
在緊急且危及生命的狀況下,即使無法取得家屬同意,醫師仍應以病人的生命為優先,進行必要的手術。
選項拆解
-A:錯在「不應該」。雖然同意書是重要的法律文件,但在緊急且危及生命的情況下,同意書並非手術的絕對前提。
外科通論與急重症19 / 69
【111-2 醫學(五) 第79題】李先生因為車禍,肝臟脾臟嚴重破裂大量出血,送到急診時已呈休克,意識昏迷,必須立即接受剖腹探查止血,但 119 人員發現他的口袋裡有一張紙條寫著因為是耶和華見證會會員,他本人任何狀況下都拒絕輸血,並附有簽名。但是跟在李先生旁邊的太太卻哀求著:「醫師,請你盡一切力量救他,請為他開刀,一切後果由我負責。」醫師知道如果開刀,因為紓解腹壓,一定會大量出血,不輸血一定會死亡,下列何種處理方式較恰當?
詳解
破題關鍵
在病人清醒時已明確拒絕輸血,且有書面證明的情況下,即使家屬同意,醫師仍應尊重病人的自主意願。
選項拆解
-A:錯在「替李先生輸血開刀」。李先生已明確表達拒絕輸血的意願,即使太太同意,醫師也應尊重病人的自主權。
外科通論與急重症20 / 69
【111-2 醫學(五) 第80題】A 醫師是一位熱心教學的乳房外科醫師,為指導住院醫師正確之身體檢查技巧,A 醫師利用病患在麻醉後失去意識時,進行理學檢查之臨床教學。下列何者正確?
詳解
破題關鍵
任何醫療行為,包括教學目的的身體檢查,都必須在病人知情同意的前提下進行。
選項拆解
-A:正確。無論是治療還是教學,任何對病人身體的接觸和檢查都必須事先取得病人的知情同意。在病人麻醉失去意識時進行教學檢查,是嚴重違反倫理的行為。
小兒外科21 / 69
【111-2 醫學(五) 第1題】有關行走中跌倒後的病人,若腦部電腦斷層檢查發現顱內出血,下列敘述何者正確?
詳解
破題關鍵
高血壓性腦出血有其典型好發部位,與外傷性出血不同。
選項拆解
-A:錯在右側頭部著地造成的顱內出血,除了直接撞擊點的損傷,還可能因為腦部在顱腔內晃動,造成對衝性損傷 (contrecoup injury) 或其他部位的損傷。
小兒外科22 / 69
【111-2 醫學(五) 第9題】有關兒童腦幹膠質瘤(pediatric pediatric brainstem glioma)之敘述,下列何者錯誤? glioma
詳解
破題關鍵
橋腦膠質瘤 (pontine glioma) 通常是瀰漫性浸潤性腫瘤,預後極差,存活率遠不如中腦膠質瘤 (midbrain glioma)。
選項拆解
-A:正確。兒童腦幹膠質瘤約占兒童腦瘤的 10-20%。
小兒外科23 / 69
【111-2 醫學(五) 第16題】有關唇顎裂修復手術之時間表,下列何者錯誤?
詳解
破題關鍵
唇顎裂修復手術有其黃金時程,太早或太晚都不好,特別是鼻部修正通常會等到臉部發育成熟。
選項拆解
-A:正確。唇黏合術 (lip adhesion) 是一種初步的唇部修復,通常在出生後 1-2 個月進行,有助於縮小裂隙,為後續的唇修復做準備。
小兒外科24 / 69
【111-2 醫學(五) 第17題】20 歲女性,右側臉頰患有先天性微血管畸形(capillary malformation),俗稱葡萄酒色斑(port wine stain),治療上選擇下列何種雷射最為適合?
詳解
破題關鍵
葡萄酒色斑是微血管畸形,治療的雷射要能精準鎖定血管中的血紅素。
選項拆解
-A:銣雅鉻雷射 (Nd:YAG laser) 波長較長 (1064 nm),穿透較深,主要用於治療深層血管病變或除毛,對表淺的葡萄酒色斑效果不如脈衝式染料雷射。
小兒外科25 / 69
【111-2 醫學(五) 第30題】下列有關 primary mediastinal cyst,何者錯誤?
詳解
破題關鍵
縱隔腔囊腫多數無症狀,支氣管源性囊腫最常見,但通常不與支氣管連通。
選項拆解
-A:正確。大多數原發性縱隔腔囊腫在發現時沒有症狀,常是偶然在影像學檢查中發現。
小兒外科26 / 69
【111-2 醫學(五) 第31題】脾臟(spleen)可視為人類最大的淋巴器官,具有調節免疫系統的功能,下列對於脾臟切除(splenectomy)的敘述何者錯誤?
詳解
破題關鍵
脾臟切除能治療脾功能亢進引起的血小板低下,但對於嚴重肝硬化造成的血小板低下,切脾並非改善預後的主要手段。
選項拆解
小兒外科27 / 69
【111-2 醫學(五) 第45題】
一男嬰出生後發現為無肛症(anorectal malformation),旋即被送至加護病房,兒童外科醫師立即被照會至現場診視,所見會陰部如圖所示,下列敘述何者正確? 1)本病患為高位無肛症,可能合併泌尿生殖道異常 2)若腹脹或嘔吐應置放胃管 3)應檢查脊柱是否異常 4)應立即安排手術做腸造口

小兒外科28 / 69
【111-2 醫學(五) 第46題】有關先天性橫膈膜疝氣(congenital diaphragmatic hernia),下列敘述何者正確?
詳解
破題關鍵
先天性橫膈膜疝氣最致命的併發症是肺部發育不良導致的呼吸衰竭和肺動脈高壓。
選項拆解
小兒外科29 / 69
【111-2 醫學(五) 第47題】有關隱睪症之敘述,下列何者錯誤?
詳解
破題關鍵
隱睪症的睪丸越晚固定,對精子生成和未來生育能力的影響越大,因此手術時機越早越好。
選項拆解
-A:正確。未下降的睪丸在出生後 6 個月大時,就可能因為環境溫度較高而開始產生組織和型態上的變化,影響其功能。
小兒外科30 / 69
【111-2 醫學(五) 第48題】幼兒及兒童最常見之顱外實質腫瘤為下列何者?
詳解
破題關鍵
記住兒童最常見的顱外實質腫瘤是神經母細胞瘤。
選項拆解
-A:正確。神經母細胞瘤是幼兒及兒童最常見的顱外實質腫瘤,約佔所有兒童癌症的 6-10%。
-B:錯在「腎母細胞瘤」。腎母細胞瘤是兒童最常見的腎臟腫瘤,但並非最常見的顱外實質腫瘤總體。
小兒外科31 / 69
【111-2 醫學(五) 第49題】先天性橫膈疝氣(congenital diaphragmatic hernia)當需要使用葉克膜體外維生系統(ECMO)時,下列何種情況使用 ECMO 治療最可能預後不佳?
詳解
破題關鍵
先天性橫膈疝氣(CDH)需要葉克膜(ECMO)治療的嬰兒,體重過輕通常代表預後不佳。
選項拆解
-A:錯在「心臟超音波正常」。心臟超音波正常表示沒有嚴重心臟畸形或嚴重的肺高壓導致的心臟功能受損,這是一個較好的預後指標,而非預後不佳的因素。
小兒外科32 / 69
【111-2 醫學(五) 第60題】在新生兒大腿內側發現不對稱的皮膚皺褶在新生兒大腿內側發現不對稱的皮膚皺褶(asymmetric skin fold)時,下列何種檢查或徵象最不相關下列何種檢查或徵象最不相關?
詳解
破題關鍵
新生兒髖關節發育不良的檢查,主要看的是髖關節的穩定度和活動度,而不是成人關節炎的測試。
選項拆解
-A:Galeazzi 氏徵象(Galeazzi sign)是評估兩側膝蓋高度是否不對稱,通常在單側髖關節脫位時會出現,與新生兒髖關節發育不良相關。
小兒外科33 / 69
【111-2 醫學(五) 第67題】下列有關威爾姆氏腫瘤(Wilms tumor)之敘述,何者錯誤?
詳解
破題關鍵
威爾姆氏腫瘤 (Wilms tumor) 雖然是兒童最常見的腎臟惡性腫瘤,但它在所有兒童腫瘤中的佔比通常更高。
選項拆解
-A:此敘述錯誤。威爾姆氏腫瘤約占所有兒童腫瘤的 6-7% 左右,而非 5%。雖然數字接近,但在國考中,這類精確的比例差異常是考點。
小兒外科34 / 69
【111-2 醫學(五) 第70題】下列何者先天性泌尿道異常,最不會引起腎積水(hydronephrosis)?
詳解
破題關鍵
腎積水 (hydronephrosis) 通常是由於尿路阻塞或尿液逆流所引起,而尿道下裂本身不屬於阻塞性病變。
選項拆解
小兒外科35 / 69
【111-2 醫學(五) 第71題】一位 5 歲的男孩出生時即有脊髓膜膨出症(meningomyelocele)、尿失禁及排尿困難,兩側腎臟輕度積水,膀胱尿道排尿攝影發現右側有第一度膀胱輸尿管尿液逆流,下列何種處置不適合?
詳解
破題關鍵
對於脊髓膜膨出症 (meningomyelocele) 引起的膀胱功能障礙,首要目標是保護腎臟功能,主要透過管理膀胱壓力,而非針對輕度逆流進行早期手術。
選項拆解
心臟胸腔外科36 / 69
【111-2 醫學(五) 第2題】張力性氣胸(tension pneumothorax)與心包膜積血都可能合併頸靜脈鼓脹,下列何者最能幫助鑑別診斷?
詳解
破題關鍵
張力性氣胸會導致患側呼吸音消失,而心包膜積血則不會直接影響呼吸音。
選項拆解
-A:正確。張力性氣胸會導致患側肺部塌陷,呼吸音消失或明顯減弱。心包膜積血則不會直接影響呼吸音。這是鑑別兩者的關鍵。
心臟胸腔外科37 / 69
【111-2 醫學(五) 第20題】有關主動脈瓣置換手術的適應症,下列何者最不適當?
詳解
破題關鍵
無症狀的嚴重主動脈瓣狹窄,除非有其他高風險因子,否則不建議只為了預防猝死而開刀。
選項拆解
心臟胸腔外科38 / 69
【111-2 醫學(五) 第21題】關於主動脈瘤(aortic aneurysm),下列敘述何者正確?
詳解
破題關鍵
胸腹主動脈瘤手術,無論是傳統開刀或血管內修復,脊髓缺血都是大問題,引流腦脊髓液是重要的保護措施。
選項拆解
心臟胸腔外科39 / 69
【111-2 醫學(五) 第23題】有關主動脈瓣或二尖瓣狹窄之敘述,下列何者錯誤? 2
詳解
破題關鍵
經導管瓣膜置換術在主動脈瓣狹窄已經很成熟,但二尖瓣狹窄的經導管置換術還在發展中,並非「成熟且經核准」。
選項拆解
-A:正確。主動脈瓣開口面積小於 1 cm² 屬於嚴重主動脈瓣狹窄 (severe AS)。如果患者出現症狀,如走路會喘 (呼吸困難),則符合手術置換瓣膜的適應症。
心臟胸腔外科40 / 69
【111-2 醫學(五) 第24題】50 歲男性,因喘及腳腫兩個月入院,心臟超音波檢查有左心房右心房擴大,左心功能55%,中心靜脈壓為 22 mmHg,肺壓為 40/20 mmHg,導管壓力曲線有“square-root sign”,且電腦斷層顯示其心包膜厚度有 5 mm,下列何者為最可能之診斷?
詳解
破題關鍵
心包膜增厚、中心靜脈壓高、肺壓高、心房擴大,加上「square-root sign」和心包膜厚度增加,這些都是縮窄性心包膜炎的典型表現。
選項拆解
心臟胸腔外科41 / 69
【111-2 醫學(五) 第27題】肺腺癌原位癌(adenocarcinoma in situ)之病理診斷為下列何種型態?
詳解
破題關鍵
肺腺癌原位癌的特色是癌細胞沿著肺泡壁生長,但不侵犯基底膜。
選項拆解
-A:錯在「腺泡型 (acinar)」。腺泡型是侵犯性腺癌的一種常見型態,有間質侵犯。
-B:正確。肺腺癌原位癌的病理診斷特徵就是癌細胞沿著肺泡壁生長,稱為伏壁型 (lepidic pattern)。
心臟胸腔外科42 / 69
【111-2 醫學(五) 第28題】有關腺樣囊狀癌(adenoid cystic carcinoma)之敘述,下列何者正確?
詳解
破題關鍵
腺樣囊狀癌雖然生長緩慢,但它有沿神經擴散的特性,且容易局部復發和晚期轉移。
選項拆解
-A:正確。腺樣囊狀癌的特點之一就是生長緩慢,病程可能很長。
-B:錯在「大部分不會影響氣管」。腺樣囊狀癌是氣管最常見的原發性惡性腫瘤之一,常會侵犯氣管壁,導致氣道狹窄。
泌尿外科43 / 69
【111-2 醫學(五) 第68題】支配尿道外括約肌(external urethral sphincter)的神經是:
詳解
破題關鍵
尿道外括約肌是受意識控制的骨骼肌,由體神經支配。
選項拆解
-A:骨盆神經(pelvic nerve)是副交感神經,主要支配膀胱逼尿肌 (detrusor muscle) 收縮,促進排尿,並使內括約肌放鬆。
泌尿外科44 / 69
【111-2 醫學(五) 第69題】下列有關精索靜脈曲張之敘述何者錯誤?
詳解
破題關鍵
精索靜脈曲張的治療方式多樣,沒有單一方法能宣稱「最高」的成功率,且栓塞術並非總是優於手術。
選項拆解
-A:精索靜脈曲張為最常見可手術矯正之男性不孕症病因。此敘述正確。
消化系外科45 / 69
【111-2 醫學(五) 第4題】下列何者不是胰臟癌的危險因子?
詳解
破題關鍵
胰臟癌的危險因子多與慢性發炎、遺傳或長期刺激有關,縮胃手術通常不會直接影響胰臟。
選項拆解
-A:錯在敘述不完整。抽菸是胰臟癌的重要危險因子。
-B:錯在敘述不完整。Peutz-Jeghers syndrome 是一種會增加胰臟癌風險的遺傳性疾病。
消化系外科46 / 69
【111-2 醫學(五) 第7題】下列何者是發生胃癌的高風險因素?
詳解
破題關鍵
胃癌的風險因素與生活習慣、飲食、感染和社經地位有密切關係。
選項拆解
-A:錯在飲食類型。高脂高蛋白飲食與胃癌的直接關聯性不強,反而是高鹽、醃漬、燻製食物是胃癌的危險因子。
-B:錯在飲用水成分。目前沒有明確證據顯示含氯的飲用水是胃癌的高風險因素。
消化系外科47 / 69
【111-2 醫學(五) 第25題】當診斷出食道破裂,下列處理原則何者最不適當?
詳解
破題關鍵
延遲發現的食道破裂,感染已經擴散,此時控制感染和引流比直接修補更重要。
選項拆解
-A:正確。清除致污物 (contamination),例如食物殘渣、胃酸等,是控制感染源的第一步,非常重要。
消化系外科48 / 69
【111-2 醫學(五) 第26題】關於巴瑞特氏食道炎(Barrett esophagus),下列敘述何者正確?
詳解
破題關鍵
巴瑞特氏食道炎是食道細胞變性,長期逆流會增加癌變風險,治療目標是控制逆流和監測癌前病變。
選項拆解
-A:錯在「鱗狀上皮細胞往胃內生長產生之病變」。巴瑞特氏食道炎是食道下段的鱗狀上皮被「柱狀上皮」取代,是為了適應胃酸刺激,而不是往胃內生長。
消化系外科49 / 69
【111-2 醫學(五) 第32題】短腸症(short bowel syndrome)為大量切除小腸之後的長期併發症。下列何者不是短腸症發生的危險因子(risk factors)?
詳解
破題關鍵
短腸症的危險因子與小腸切除的長度、部位以及迴盲瓣的保留與否密切相關,空腸切除200公分通常不足以引起短腸症。
選項拆解
消化系外科50 / 69
【111-2 醫學(五) 第33題】關於肝臟小葉(lobule)的敘述,下列何者正確?
詳解
破題關鍵
肝臟星狀細胞 (Ito cells) 位於Disse氏腔,主要功能是儲存維生素A。
選項拆解