內分泌外科1 / 68
【112-2 醫學(五) 第18題】關於男性女乳症(gynecomastia),下列敘述何者錯誤?
詳解
破題關鍵
克林費爾特氏症候群患者確實有男性女乳症,但他們罹患男性乳癌的風險是顯著增加的。
選項拆解
-A:正確。螺內酯 (spironolactone) 是一種常見會引起男性女乳症的藥物,因其具有抗雄激素作用。
-B:正確。大多數男性女乳症是良性的,且與乳癌風險無關。
內分泌外科2 / 68
【112-2 醫學(五) 第30題】有關Zollinger-Ellison syndrome的敘述,下列何者錯誤?
詳解
破題關鍵
Zollinger-Ellison syndrome (ZES) 相關的內分泌綜合症是MEN I,且手術治癒率不高。
選項拆解
-A:正確。ZES是由神經內分泌瘤胃泌素瘤異常分泌胃泌素所造成。
內分泌外科3 / 68
【112-2 醫學(五) 第34題】有關胰臟胰島素瘤(insulinoma)的敘述,下列何者正確?
詳解
破題關鍵
胰島素瘤的診斷重點在於區分是身體自己分泌過多胰島素,還是外來的藥物造成低血糖。
選項拆解
內分泌外科4 / 68
【112-2 醫學(五) 第38題】一位45歲女性發現左頸部有一腫塊,頸部超音波顯示有一2公分實心(solid)甲狀腺結節,細針穿刺細胞學檢查依Bethesda criteria分類,診斷為nondiagnostic,下列何項進一步處置最為適當?
詳解
破題關鍵
當細針穿刺細胞學檢查 (FNAC) 結果為「無法診斷 (nondiagnostic)」時,最直接且合理的下一步是重複檢查以獲取足夠的診斷資訊。
選項拆解
內分泌外科5 / 68
【112-2 醫學(五) 第39題】一位62歲女性病患曾因右側腎上腺嗜鉻細胞瘤(pheochromocytoma)接受右側腎上腺切除手術,術後因左側甲狀腺髓質癌(medullary thyroid carcinoma)接受全甲狀腺切除。下列何者不是適當的追蹤檢查及處置?
詳解
破題關鍵
甲狀腺髓質癌 (medullary thyroid carcinoma, MTC) 是一種 C 細胞癌,不會攝取放射性碘,因此放射碘檢查對其復發定位無效。
選項拆解
-A:正確。MEN 2 病患有原發性副甲狀腺亢進的風險,因此定期檢驗血中鈣、磷、副甲狀腺素是必要的追蹤項目。
內分泌外科6 / 68
【112-2 醫學(五) 第41題】有關乳房腫瘤切片方式,下列何者最不恰當?
詳解
破題關鍵
細針穿刺細胞學檢查 (FNAC) 雖然能判斷惡性,但其診斷的精確度不足以直接決定全乳房切除,通常需要更具組織學診斷價值的粗針切片 (core needle biopsy) 來確認浸潤性癌 (invasive cancer) 的類型和分級,以指導手術範圍。
選項拆解
內分泌外科7 / 68
【112-2 醫學(五) 第42題】有關乳房腫瘤在乳房超音波(ultrasound)的惡性特徵,何者最不常見?
詳解
破題關鍵
乳房超音波中的「病灶後回音加強 (posterior enhancement)」通常是良性病灶的特徵,惡性病灶則常伴隨「病灶後回音衰減 (posterior shadowing)」。
選項拆解
內分泌外科8 / 68
【112-2 醫學(五) 第43題】下列何種化療藥物最不常使用於乳癌病患?
詳解
破題關鍵
Etoposide 是一種常用於肺癌、淋巴瘤和睪丸癌等惡性腫瘤的化療藥物,但它並非乳癌治療的常規或主要用藥。
選項拆解
-A:doxorubicin (adriamycin) 是小紅莓類化療藥物,廣泛用於乳癌治療,是乳癌化療方案中的基石藥物之一。
內分泌外科9 / 68
【112-2 醫學(五) 第66題】下列有關成人嗜鉻細胞瘤(pheochromocytoma)之敘述,何者錯誤?
詳解
破題關鍵
嗜鉻細胞瘤的「10%法則」是關於其發生位置、惡性度、雙側性等特徵,但絕大多數是發生在腎上腺。
選項拆解
-A:正確。約 10% 的嗜鉻細胞瘤與多發性內分泌腫瘤症候群第二型 (MEN type II) 有關,這是其家族性特徵之一。
外科通論與急重症10 / 68
【112-2 醫學(五) 第1題】一位生命跡象不穩定的出血外傷病人到達急診室時,若決定啟動大量輸血的流程(massive transfusion protocol),有關各種血品的使用單位比例以下列何者有最好的臨床結果?
詳解
破題關鍵
大量輸血的目標是模擬全血,同時補充凝血因子、血小板和攜氧能力,以糾正創傷性凝血病變。
選項拆解
-A:血漿和血小板比例過低,不利於凝血功能恢復,可能加重凝血病變。
-B:血漿和血小板比例相對較低,可能不足以有效糾正凝血功能障礙。
外科通論與急重症11 / 68
【112-2 醫學(五) 第2題】肺水腫為手術後的肺部併發症之一,下列何種狀況較不容易造成肺水腫?
詳解
破題關鍵
肺水腫是肺部血管內液體滲漏,通常與液體負荷過重、微血管通透性增加或心臟泵血功能不良有關。
選項拆解
-A:胰臟炎會引起全身性發炎反應,可能導致急性呼吸窘迫症候群(ARDS),進而造成非心因性肺水腫。
-B:體液容積過量會增加肺部靜水壓,導致液體滲漏到肺間質,造成肺水腫。
外科通論與急重症12 / 68
【112-2 醫學(五) 第3題】困難梭狀芽孢桿菌感染症(Clostridioides difficile infection)是抗生素相關性腹瀉常見的原因,與腹部手術後之恢復過程息息相關,下列敘述何者錯誤?
詳解
破題關鍵
困難梭狀芽孢桿菌感染症(CDI)的治療原則是停用致病抗生素,並使用針對該菌的特定抗生素,而非廣效性抗革蘭氏陰性菌抗生素。
選項拆解
-A:正確。CDI的症狀包括水瀉、腹痛、發燒,嚴重時可能出現血便。
外科通論與急重症13 / 68
【112-2 醫學(五) 第4題】造成傷口癒合延遲的最常見原因為:
詳解
破題關鍵
傷口感染會直接破壞癒合過程中的細胞和組織,是延遲癒合最常見且直接的原因。
選項拆解
-A:正確。傷口感染會引起持續性發炎反應,破壞新生組織,消耗氧氣和營養,是導致傷口癒合延遲最常見且最直接的原因。
-B:縫合技巧不佳可能影響癒合,但通常不如感染普遍且嚴重。
外科通論與急重症14 / 68
【112-2 醫學(五) 第5題】下列何種狀況,不符合「手術部位感染(surgical site infection)」之定義?
詳解
破題關鍵
手術部位感染(SSI)是指發生在手術切口或手術操作部位的感染,且發生時間通常在術後30天內(若有植入物則可延長至1年內)。
選項拆解
外科通論與急重症15 / 68
【112-2 醫學(五) 第7題】對於燒傷病人的淨體重損失(loss of lean body mass)相關合併症的發生,下列敘述何者最恰當?
詳解
破題關鍵
燒傷病人因高代謝狀態導致嚴重的淨體重(瘦體重,主要指肌肉)損失,不同程度的損失會導致不同的嚴重併發症。
選項拆解
-A:淨體重損失10%時,確實會增加延緩傷口癒合的機率,但這通常是較輕微的影響。選項C描述的30%損失與肺炎及壓瘡的關聯性更為嚴重且典型。
外科通論與急重症16 / 68
【112-2 醫學(五) 第16題】根據Mathes-Nahai classification,下列各種肌肉皮瓣及其所屬類型配對,何者錯誤?
詳解
破題關鍵
Mathes-Nahai classification 是根據肌肉的血管供應模式來分類的,需要記住常見肌肉的分類。
選項拆解
外科通論與急重症17 / 68
【112-2 醫學(五) 第17題】拉皮手術後合併使用輔助性去除臉上細紋最適合用下列何種消融式雷射(ablative laser)?
詳解
破題關鍵
去除細紋需要能刺激膠原蛋白新生並汽化表皮的雷射,同時要考慮恢復期,分段式雷射是最佳選擇。
選項拆解
-A:銣雅鉻雷射 (Nd:YAG laser) 主要用於色素斑、血管病變或除毛,不是去除細紋的首選消融式雷射。
外科通論與急重症18 / 68
【112-2 醫學(五) 第19題】王同學和同學在KTV歡唱,突然電線走火引起火災。包廂內沙發地毯燃燒,煙霧瀰漫。王同學逃出現場後被送往醫院,發現面部燻黑,有水泡,雙上肢及下肢燒傷。此時如果你是值班外科醫師處理王同學,下列何項錯誤?
詳解
破題關鍵
吸入性灼傷的早期診斷黃金標準是支氣管鏡,胸部X光在早期通常是正常的,無法作為主要診斷工具。
選項拆解
外科通論與急重症19 / 68
【112-2 醫學(五) 第22題】65歲男子,以血管重建術治療急性下肢缺血2小時後,下肢發生劇烈疼痛。檢查發現小腿肌肉緊繃,且被動彎曲時產生劇烈疼痛;足部無脈搏,但有杜卜勒訊號(positive ultrasound signal)。關於此病人,下列何種情形最不可能發生?
詳解
破題關鍵
急性下肢缺血再灌流後,可能導致腔室症候群和橫紋肌溶解症,其電解質異常通常是高血鉀和低血鈣。
選項拆解
-A:高血鉀。正確。肌肉細胞壞死會釋放大量鉀離子,導致高血鉀。
外科通論與急重症20 / 68
【112-2 醫學(五) 第54題】關於微創手術的模擬訓練(simulation training),下列敘述何者錯誤?
詳解
破題關鍵
微創手術模擬訓練的重點就是讓學習者在安全環境下,練習並提升手術所需的各項技能。
選項拆解
-A:正確。微創手術的模擬訓練確實包含箱式訓練器 (box trainer) 和虛擬實境系統 (VR system),讓學習者能在安全的環境中,以自我為中心的方式練習並獲得技能。
外科通論與急重症21 / 68
【112-2 醫學(五) 第55題】下列何者不是基本的腹腔鏡手術術式(basic laparoscopic surgical procedures)?
詳解
破題關鍵
腹腔鏡手術也有難易之分,有些手術因為技術門檻較高,不被歸類為「基本」術式。
選項拆解
-A:腹腔鏡膽囊切除手術 (Laparoscopic cholecystectomy) 是最常見且最基本的腹腔鏡手術之一,通常是外科醫師學習腹腔鏡技術的第一個手術。
外科通論與急重症22 / 68
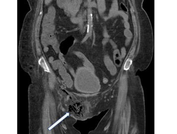
【112-2 醫學(五) 第73題】糖尿病病患主訴會陰部紅腫脹痛,血液中白血球數目增加,電腦斷層檢查呈現如圖。箭號所指之異常最可能之初診斷為下列何者?

詳解
破題關鍵
糖尿病患者出現會陰部紅腫脹痛、白血球升高,加上電腦斷層(CT)影像顯示會陰部軟組織內有大量氣體(箭號所指的黑色不規則區域),這些都是壞死性筋膜炎,特別是佛尼爾氏壞疽(Fournier's gangrene)的典型表現。
選項拆解
外科通論與急重症23 / 68
【112-2 醫學(五) 第76題】關於65歲以上老人外傷的敘述,下列何者最不適當?
詳解
破題關鍵
老年人腦部萎縮,導致腦膜血管更容易受損,但受損的血管類型與年輕人不同。
選項拆解
-A:正確。跌倒是65歲以上老人最常見的外傷原因。
-B:正確。老年人因生理儲備功能下降,在出血時可能不會立即出現明顯的生命徵象變化,例如心跳過速或低血壓,這使得早期診斷和治療更具挑戰性。
外科通論與急重症24 / 68
【112-2 醫學(五) 第78題】張先生是一位85歲男性,平時需照顧家中患有重度阿茲海默症的妻子。3個月前被診斷腹部有8.5公分之主動脈瘤,外科醫師建議手術,但風險性極高。張先生不希望因手術而中斷對妻子的照顧,決定暫不手術,等以後再和醫師作討論。然而,在來不及進一步討論前,張先生即因腹痛休克被送至急診室,其收縮壓為50毫米汞柱,意識不清,無法表達意願。醫師診斷為腹主動脈破裂,若不安排緊急手術,張先生會有生命危險,然而目前無法聯繫上任何家屬,無法簽署手術同意書。依照上述情境,下列敘述何者最為適當?
詳解
破題關鍵
活體器官捐贈的配偶關係,在緊急情況下有特殊豁免條款。
選項拆解
-A:錯在「無血緣關係,故無資格捐贈」。配偶關係是活體器官捐贈的合法關係之一,不限於血緣關係。
小兒外科25 / 68
【112-2 醫學(五) 第14題】有關血管腫瘤和血管畸形,下列何者錯誤?①有一半比例的血管瘤(hemangioma)在一歲前會完全消失 ② 硬化劑注射(sclerotherapy)是治療動靜脈畸形(arteriovenous malformation)的最好方法 ③血管腫瘤 (vascular tumors)是因為內皮細胞異常增生,血管畸形(vascular malformations)是動靜脈或淋巴系統異常發展 ④微血管畸形與動靜脈畸形不同,會隨著年紀增長而萎縮變小,甚至消失
詳解
破題關鍵
血管腫瘤是細胞增生,會自然消退;血管畸形是結構異常,不會自然消退,且治療方式因類型而異。
選項拆解
-①:錯在「一半比例的血管瘤在一歲前會完全消失」。嬰兒血管瘤通常在5-7歲前才會自然消退,很少在一歲前就完全消失。
小兒外科26 / 68
【112-2 醫學(五) 第24題】一個8個月大的男嬰,因主動脈瓣狹窄(aortic stenosis)診斷入院,因呼吸喘而插管,左心室到主動脈壓力差為60 mmHg,下列建議之治療方式何者最不適合?
詳解
破題關鍵
嬰兒心臟手術的選擇,必須考量瓣膜是否能隨身體成長,以及是否需要終身抗凝血劑。
選項拆解
-A:氣球擴張術是常見的姑息性治療方式,可以有效降低左心室到主動脈的壓力差,適合嬰兒。
-B:直視下主動脈瓣膜切開術也是一種姑息性治療,能改善瓣膜狹窄,適合嬰兒。
小兒外科27 / 68
【112-2 醫學(五) 第40題】承上題,因上述這位病患確診為第二型多發性內分泌瘤(MEN 2),她的家人檢查結果:妹妹亦罹患甲狀腺髓質癌,女兒罹患腎上腺嗜鉻細胞瘤。她女兒有個2歲的兒子。下列有關追查這位男童是否亦可能罹患甲狀腺髓質癌,何者最適宜?
詳解
破題關鍵
MEN 2 是一種遺傳性疾病,由 RET 原癌基因突變引起,因此對高風險家族成員進行基因檢測是早期診斷和預防的黃金標準。
選項拆解
小兒外科28 / 68
【112-2 醫學(五) 第44題】小兒外科特有的先天性疾病,其外科治療術式常會依首創者姓名而命名,下列組合何者錯誤?
詳解
破題關鍵
Sistrunk operation 是用來處理甲狀舌骨囊腫 (thyroglossal duct cyst),不是鰓裂遺跡。
選項拆解
-A:正確。Ladd procedure 是治療腸道旋轉不良的標準術式。
小兒外科29 / 68
【112-2 醫學(五) 第45題】關於新生兒食道閉鎖併氣管食道瘻管,有多種評估系統可以預測其預後,下列何項臨床因子與其預後較無相關?
詳解
破題關鍵
新生兒食道閉鎖的預後主要看嬰兒本身的條件,而不是手術時間。
選項拆解
-A:正確。出生體重是重要的預後因子,特別是低體重嬰兒預後較差。
-B:正確。有無其他重大先天異常,尤其是心臟問題,是影響預後的主要因素。
小兒外科30 / 68
【112-2 醫學(五) 第46題】2個月大男嬰因發高燒入院治療,檢查發現泌尿道感染合併菌血症及腦膜炎,經抗生素治療3天後發燒逐漸緩解,腎臟超音波發現兩側水腎,遂安排voiding cystourethrogram,檢查結果如圖所示,應診斷為:

詳解
破題關鍵
這題的關鍵是判讀膀胱輸尿管逆流(Vesicoureteral Reflux, VUR)的影像分級。圖片顯示顯影劑從膀胱嚴重逆流至雙側輸尿管及腎盂腎盞,且有明顯的輸尿管擴張、扭曲及腎盞變鈍(clubbing)。
選項拆解
小兒外科31 / 68
【112-2 醫學(五) 第47題】下列有關腹裂畸形(gastroschisis)與臍膨出(omphalocele)的比較,何者最不適當?
詳解
破題關鍵
腹裂畸形因為腸道直接暴露在外面,水分和熱量流失更嚴重,所以靜脈輸液需求量更大。
選項拆解
-A:正確。臍膨出較易合併染色體異常,例如 Trisomy 13, 18, 21。
-B:正確。臍膨出的腹壁缺口通常比腹裂畸形大,因為臍膨出是臍帶根部的發育缺陷。
小兒外科32 / 68
【112-2 醫學(五) 第48題】先天性巨腸症(Hirschsprung's disease)的診斷是靠直腸切片檢查(rectal biopsy),下列何者病理染色最不適用?
詳解
破題關鍵
診斷巨腸症的關鍵是看神經節細胞和神經纖維,PAS染色主要看醣類,不適用。
選項拆解
-A:錯在 PAS 染色法主要用於顯示醣類,如黏液、肝醣等,與巨腸症診斷所需的觀察神經節細胞和神經纖維無直接關聯,因此不適用。
小兒外科33 / 68
【112-2 醫學(五) 第49題】承上題,診斷確定後,即將無神經節的腸段切除,再將有神經節的腸段拉下(如圖),與遠端肛門口做端對端接合,是下列何種術式?

詳解
破題關鍵
這題的關鍵在於辨識 Hirschsprung's disease (先天性巨結腸症) 的經典術式描述:「切除無神經節腸段,將有神經節腸段拉下,與肛門口端對端接合」。圖片顯示的是手術中將腸道拉出肛門口的畫面,符合此類手術。
選項拆解
小兒外科34 / 68
【112-2 醫學(五) 第52題】病人的大腸鏡檢查發現有hamartomatous polyps,同時又有嘴唇、口腔黏膜、手指末端的黑色素沈澱 (hyperpigmentation),最可能罹患何種疾病?
詳解
破題關鍵
哈馬瘤性息肉 (hamartomatous polyps) 加上嘴唇、口腔黏膜和手指末端的黑色素沉澱,是 Peutz-Jeghers 症候群的經典組合。
選項拆解
小兒外科35 / 68
【112-2 醫學(五) 第69題】下列何者最不是引起尿路感染的危險因子?
詳解
破題關鍵
尿路感染的危險因子通常與尿液滯留、異物或解剖構造異常導致的細菌逆行有關。
選項拆解
-A:尿路導管 (urinary catheter) 是引起尿路感染最常見的危險因子之一,因為它提供了細菌進入尿道的途徑,並破壞了尿道的自然防禦機制。
心臟胸腔外科36 / 68
【112-2 醫學(五) 第20題】主動脈剝離是一項廣為人知的急症,關於其敘述下列何者錯誤?
詳解
破題關鍵
Stanford分類是根據剝離是否影響升主動脈來區分,而不是撕裂口的位置。
選項拆解
-A:正確。當剝離範圍延伸到主動脈根部時,可能會影響主動脈瓣的結構和功能,導致急性主動脈瓣閉鎖不全 (aortic regurgitation)。
心臟胸腔外科37 / 68
【112-2 醫學(五) 第21題】有關血管腔内治療腹主動脈瘤(endovascular treatment of abdominal aortic aneurysm)發生滲漏(endoleak)的敘述,下列何者錯誤?
詳解
破題關鍵
滲漏 (endoleak) 的分類是根據血液流入動脈瘤囊腔的來源和機制來區分的。
選項拆解
-A:正確。第一型滲漏 (Type I endoleak) 發生在支架血管近端 (Ia) 或遠端 (Ib) 的錨定區,因為密封不完全。
心臟胸腔外科38 / 68
【112-2 醫學(五) 第26題】關於肺鱗狀上皮細胞癌(squamous cell carcinoma)之敘述,下列何者正確?
詳解
破題關鍵
肺鱗狀上皮細胞癌的生長特性使其容易形成空洞。
選項拆解
-A:錯在「大多與抽菸無關」。肺鱗狀上皮細胞癌與抽菸有高度關聯。
-B:錯在「大多位在周邊」。肺鱗狀上皮細胞癌大多位在中央(靠近支氣管),肺腺癌才大多位在周邊。
心臟胸腔外科39 / 68
【112-2 醫學(五) 第27題】有關肺膿瘍(lung abcess)之敘述,下列何者為錯誤?
詳解
破題關鍵
肺膿瘍的病因多樣,菌血症是其中之一。
選項拆解
-A:正確。肺膿瘍破裂可能導致膿液流入肋膜腔,造成膿胸,或形成支氣管肋膜瘻管,進而引起氣胸。
-B:錯在「與葡萄球菌菌血症無關」。葡萄球菌菌血症(特別是金黃色葡萄球菌)引起的敗血性栓塞是肺膿瘍的一個重要病因,尤其常見於靜脈藥癮者。
心臟胸腔外科40 / 68
【112-2 醫學(五) 第28題】下列何者不是惡性肋膜積液(malignant pleural effusion)常見的成因?
詳解
破題關鍵
惡性肋膜積液最常見的成因是肺癌、乳癌和淋巴瘤。
選項拆解
-A:肺腺癌是引起惡性肋膜積液最常見的原發癌之一。
-B:淋巴瘤是引起惡性肋膜積液的常見原因之一。
-C:間皮瘤是一種原發於肋膜的惡性腫瘤,幾乎都會引起惡性肋膜積液。
心臟胸腔外科41 / 68
【112-2 醫學(五) 第29題】有關胸腔穿刺傷之外科適應症,下列何者較不適當?
詳解
破題關鍵
胸腔創傷後是否需要緊急手術,主要看出血量、出血速度和生命跡象的穩定性。
選項拆解
-A:心包膜填塞是危及生命的狀況,心臟被積血壓迫,必須緊急手術(心包膜開窗術或心包膜切開術)減壓。
-B:食道破裂會導致縱膈腔嚴重感染和壞死,必須緊急手術修補,否則死亡率極高。
泌尿外科42 / 68
【112-2 醫學(五) 第67題】下列何者不是良性前列腺增生(benign prostatic hyperplasia)的手術絕對適應症?
詳解
破題關鍵
良性前列腺增生手術的絕對適應症通常是出現了嚴重的併發症,而不是單純的症狀或體積。
選項拆解
-A:正確。因良性前列腺增生導致反覆性肉眼可見血尿,是手術的絕對適應症之一。
泌尿外科43 / 68
【112-2 醫學(五) 第70題】男性性功能涵蓋勃起及射精,過程包括膀胱頸收縮、儲精囊收縮、輸精管蠕動、球海綿體肌 (bulbocavernosus)收縮等,都需要完整的神經調控。下列各動作的傳導神經及其歸屬之神經屬性都正確的是:
詳解
破題關鍵
男性性功能涉及複雜的神經調控,勃起主要靠副交感,射精的排放階段靠體神經,而射精的準備階段(精液輸送)靠交感。
選項拆解
消化系外科44 / 68
【112-2 醫學(五) 第25題】關於食道憩室(diverticula)之敘述,下列何者錯誤?
詳解
破題關鍵
咽食道憩室是假憩室,其壁層不包含完整的肌肉層。
選項拆解
消化系外科45 / 68
【112-2 醫學(五) 第31題】關於膽囊癌(gallbladder cancer),下列敘述何者正確?
詳解
破題關鍵
膽囊癌的預後差,且膽結石是其最主要的危險因子。
選項拆解
-A:錯在「大部分」。大部分膽囊癌在診斷時已是晚期,並非都是經由腹腔鏡膽囊切除偶然發現。偶然發現的通常是早期膽囊癌。
-B:錯在「預後相當好,5年存活率可高達80%」。膽囊癌的預後極差,5年存活率通常只有5-15%。
消化系外科46 / 68
【112-2 醫學(五) 第32題】關於腸皮瘻管(enterocutaneous fistula),下列敘述何者正確?
詳解
破題關鍵
腸皮瘻管的首選治療是保守治療,且有相當高的自行關閉率。
選項拆解
-A:錯在「多肇因於惡性腫瘤的侵犯」。腸皮瘻管最常見的原因是手術併發症。
消化系外科47 / 68
【112-2 醫學(五) 第33題】關於胰臟癌(pancreatic ductal adenocarcinoma)的敘述,下列何者錯誤?
詳解
破題關鍵
常規術前膽道減壓對胰臟癌患者的益處存在爭議,甚至可能增加風險。
選項拆解
-A:正確。遺傳性胰臟癌與PRSS1、STK11、CDKN2A及BRCA2等基因突變有關。
-B:正確。腫瘤發生於胰臟頭部,表現症狀最多的是黃疸;若發生於胰臟體部和尾部,則以疼痛和體重減輕居多。
消化系外科48 / 68
【112-2 醫學(五) 第35題】有關肝臟的腺瘤(adenoma)和局部的小節增生(focal nodular hyperplasia, FNH),下列敘述何者最恰當?
詳解
破題關鍵
肝臟腺瘤 (adenoma) 和局部結節增生 (FNH) 雖然都是良性病灶,但腺瘤有較高的風險會出血和惡變。
選項拆解
-A:錯在 FNH。肝臟腺瘤 (adenoma) 與口服避孕藥的關聯性較強,FNH 則較弱。
消化系外科49 / 68
【112-2 醫學(五) 第36題】有關肝臟手術時常用的Pringle maneuver,下列敘述何者最恰當?
詳解
破題關鍵
Pringle maneuver 是肝臟手術中控制出血的重要技巧,但必須注意夾閉時間以避免肝臟缺血再灌注損傷。
選項拆解
-A:錯在肝靜脈。Pringle maneuver 夾閉的是肝十二指腸韌帶,包含肝動脈和門靜脈,但不包含肝靜脈。
消化系外科50 / 68
【112-2 醫學(五) 第37題】肥胖是文明病,影響人們的身體健康及生活品質,下列關於肥胖手術之敘述何者最恰當?
詳解
破題關鍵
袖狀胃切除手術 (sleeve gastrectomy) 因其相對簡單、效果良好且併發症較少,已成為目前最常見的減重手術方式。
選項拆解