【106-2 醫學(五) 第30題】52歲女性病人診斷有甲狀腺乳突癌(papillary carcinoma),術前臨床分期為T3N1aMx,下列何種術式為最 佳選擇?
詳解
破題關鍵
題目中的N1a表示甲狀腺旁邊的中央區淋巴結已經有癌細胞,所以手術除了切除甲狀腺,還要清掉這些受影響的淋巴結。
選項拆解
登入查看完整詳解與互動作答
共 63 題(登入後可互動作答與查看詳解)
【106-2 醫學(五) 第30題】52歲女性病人診斷有甲狀腺乳突癌(papillary carcinoma),術前臨床分期為T3N1aMx,下列何種術式為最 佳選擇?
詳解
破題關鍵
題目中的N1a表示甲狀腺旁邊的中央區淋巴結已經有癌細胞,所以手術除了切除甲狀腺,還要清掉這些受影響的淋巴結。
選項拆解
登入查看完整詳解與互動作答
【106-2 醫學(五) 第31題】下列何者不是因胚胎發育異常造成的甲狀腺組織位置變異?
詳解
破題關鍵
這題的重點是找出哪個選項「不是」因為胚胎發育時甲狀腺跑錯位置造成的。
選項拆解
登入查看完整詳解與互動作答
【106-2 醫學(五) 第32題】下列有關甲狀腺舌管囊腫(thyroglossal duct cyst)之敘述,何者錯誤?
詳解
破題關鍵
這題主要在考你對甲狀腺舌管囊腫的常見特徵、併發症以及手術原則的理解,特別是它有沒有惡性變化的可能。
選項拆解
登入查看完整詳解與互動作答
【106-2 醫學(五) 第33題】下列有關乳房 MRI 檢查之敘述,何者錯誤?
詳解
破題關鍵
這題在考你乳房MRI的優缺點和適用時機,特別是它的診斷效能(敏感度和特異性)。
選項拆解
登入查看完整詳解與互動作答
【106-2 醫學(五) 第35題】乳房X光攝影之篩檢報告為breast imaging reporting and data system(BI-RADS)category 0,下列的處置何 者最適當?
詳解
破題關鍵
BI-RADS 0 代表影像資訊不足,需要更多檢查來釐清狀況。
選項拆解
登入查看完整詳解與互動作答
【106-2 醫學(五) 第3題】下列與大量輸血相關的敘述,何者錯誤?
詳解
破題關鍵
大量輸血時,病人通常會面臨酸中毒的問題,而不是鹼中毒。給予碳酸氫鹽是為了矯正酸中毒,而非預防鹼中毒。
選項拆解
登入查看完整詳解與互動作答
【106-2 醫學(五) 第11題】軸式皮瓣(axial pattern flap)的血液循環來自:
詳解
破題關鍵
軸式皮瓣的特色就是它有一條明確的、有名字的皮膚血管直接供應血液。
選項拆解
登入查看完整詳解與互動作答
【106-2 醫學(五) 第12題】關於臉部縫合技巧與如何減少疤痕增生之敘述,下列何者錯誤?
詳解
破題關鍵
臉部縫合要減少疤痕,最重要的是讓切口順著皮膚的自然紋路走,而不是逆著。
選項拆解
登入查看完整詳解與互動作答
【106-2 醫學(五) 第24題】下列有關疝氣(hernia)的敘述,何者錯誤?
詳解
破題關鍵
這題要你找出關於疝氣發生率的錯誤敘述,特別是不同類型疝氣在男女間的發生率差異。
選項拆解
登入查看完整詳解與互動作答
【106-2 醫學(五) 第25題】下列有關急性腹症(acute abdomen)之敘述,何者錯誤?
詳解
破題關鍵
這題考你急性腹症常見的身體徵象名稱和疼痛轉移位置,其中一個徵象的名稱被搞混了。
選項拆解
登入查看完整詳解與互動作答
【106-2 醫學(五) 第34題】乳癌病患接受改良式根治性乳房切除術(modified radical mastectomy)後,發生肩胛畸形(winged scapula deformity),表示下列何神經受損?
詳解
破題關鍵
肩胛骨飛起來(winged scapula)通常是前鋸肌麻痺,而前鋸肌是由長胸神經支配。
選項拆解
登入查看完整詳解與互動作答
【106-2 醫學(五) 第36題】有關乳癌危險因子之敘述,下列何者錯誤?
詳解
破題關鍵
乳癌的危險因子主要跟荷爾蒙暴露時間長短和特定基因變異有關,子宮頸癌的成因則大不相同。
選項拆解
登入查看完整詳解與互動作答
【106-2 醫學(五) 第45題】病患經過處理之後狀況逐漸改善,不幸的是,在術後五天之後又再度高燒不退,下列處置何者錯誤?
詳解
破題關鍵
病患在術後狀況改善後又再度高燒不退,這表示可能出現新的感染源、治療失敗或深層感染。此時的處置應更具針對性,而非僅限於一般性的篩檢。
選項拆解
登入查看完整詳解與互動作答

詳解
破題關鍵
這題的解題核心在於判斷燒燙傷的深度、面積以及緊急處理原則。圖片中大面積的皮膚呈現蒼白、蠟狀,邊緣泛紅,這提示了深二度到三度燙傷的特徵,且受傷範圍至少涵蓋了整個前軀幹,即18%體表面積。
選項拆解
登入查看完整詳解與互動作答
【106-2 醫學(五) 第50題】承上題,依Parkland formula,下列敘述何者正確?
詳解
破題關鍵
Parkland公式計算24小時總輸液量,其中一半要在燒傷後的前8小時內給完。
選項拆解
登入查看完整詳解與互動作答
【106-2 醫學(五) 第51題】承上題,若依Curreri formula,則病人一天所需的能量為多少Kcal?
詳解
破題關鍵
Curreri formula 用來計算燒傷病患的能量需求,公式是:25 kcal/kg/天 加上 40 kcal/%TBSA燒傷/天。
選項拆解
登入查看完整詳解與互動作答
【106-2 醫學(五) 第63題】有關各種抗生素作用機轉的敘述,下列何者正確?
詳解
破題關鍵
這題主要在考你各種抗生素的作用機轉,要選出正確的配對。
選項拆解
登入查看完整詳解與互動作答
【106-2 醫學(五) 第75題】一位70歲老先生沒繫妥安全帶,開小轎車撞上電線桿,顏面直接撞擊前面擋風玻璃,到達急診時顏面嚴重腫 脹,口腔內有血絲,主訴頭部疼痛,下列敘述何者錯誤?
詳解
破題關鍵
這題在考你對老年外傷病患的特殊性有沒有概念,特別是他們身體的「備用油箱」和「舊病」對預後的影響。
選項拆解
登入查看完整詳解與互動作答
【106-2 醫學(五) 第76題】當你接收到一位嚴重創傷已插有氣管內管插管(endotracheal tube)的轉診病人時,於下列所有情況都需懷 疑有氣管插管誤入食道(esophageal intubation),那項除外?
詳解
破題關鍵
看到氣管內管有霧氣進出,表示管子在氣管裡,不是在食道。
選項拆解
登入查看完整詳解與互動作答
【106-2 醫學(五) 第78題】小玉是17歲女學生,與已離婚的媽媽同住,親子關係良好。不幸地家裡發生火災,小玉因為逃生不及,被消 防員救出時,全身皮膚有90%的燒燙傷,她媽媽傷心欲絕,在燒傷加護病房外等候,經歷3次清創,看到女兒 全身包裹紗布處在鎮靜止痛的無意識狀態,主治醫師向她說明這麼大面積燒傷的感染與敗血症機會及死亡率 很高。第4次要再進手術房清創時,媽媽拒絕進一步手術治療,因為她說女兒最愛漂亮,如果看到自己現在的 樣子,一定寧可死了算了,於是簽署DNR(不予急救)。下列處置何者不恰當?
詳解
破題關鍵
雖然媽媽是未成年人的法定代理人,但DNR是極為重大的醫療決定,尤其當決策理由是基於對孩子未來心理狀態的揣測時,不能直接認定媽媽的決定就代表孩子的最佳醫療利益。
選項拆解
登入查看完整詳解與互動作答
【106-2 醫學(五) 第79題】下列何者不是構成知情同意(informed consent)的要素?
詳解
破題關鍵
知情同意主要看病人有沒有被告知、有沒有能力理解、以及是不是自願做決定。
選項拆解
登入查看完整詳解與互動作答

詳解
破題關鍵
這題的關鍵在於辨識出圖片中的嬰兒患有嚴重的雙側唇顎裂,並評估各敘述是否符合唇顎裂患者的流行病學、共病、治療原則及時機。圖片中嬰兒明顯的雙側唇裂及突出的前頷骨段是診斷的視覺線索。
選項拆解
登入查看完整詳解與互動作答
【106-2 醫學(五) 第37題】有關食道閉鎖(esophageal atresia)常合併的畸型,下列何者錯誤?
詳解
破題關鍵
食道閉鎖常合併VACTERL症候群,記住VACTERL的內容就能選出不相關的選項。
選項拆解
登入查看完整詳解與互動作答
【106-2 醫學(五) 第38題】一個三週大的男嬰,因嘔吐而做了一些檢查;下列檢查結果,何者會發生在嬰兒型幽門肥厚狹窄(infantile hypertrophic pyloric stenosis)①腹部X光影像顯示有“double-bubble sign” ②腹部超音波發現胃幽門肌肉 的厚度超過 0.4公分 ③上消化道攝影(upper GI series)有string sign ④上腹部摸到一個像橄欖的腫塊 (olive mass)
詳解
破題關鍵
這題在考你嬰兒幽門肥厚狹窄的診斷特徵,要能區分哪些是它的表現,哪些是其他疾病的。
選項拆解
登入查看完整詳解與互動作答

詳解
破題關鍵
這題的解題核心在於辨識下消化道鋇劑攝影中,腸道明顯的「移行區」(transition zone),這是巨結腸症的典型影像特徵,加上新生兒腹脹和胎便延遲排出,診斷就呼之欲出了。
選項拆解
登入查看完整詳解與互動作答
【106-2 醫學(五) 第55題】承上題,上述疾病的手術治療方法,下列何者錯誤?
詳解
破題關鍵
這題要你找出哪個手術不是用來治療先天性巨結腸症的。
選項拆解
登入查看完整詳解與互動作答
【106-2 醫學(五) 第77題】一位4歲女童被時速60公里機車撞擊,摔離5公尺之遠,送到急診時主訴腹痛,血壓68/40 mmHg,心跳每分鐘 200下,女童體重20公斤,何種輸液最恰當?
詳解
破題關鍵
兒童嚴重創傷性休克,要先給足夠的生理食鹽水,如果血壓還是拉不起來,就要趕快輸血。
選項拆解
登入查看完整詳解與互動作答
【106-2 醫學(五) 第13題】下列有關靜脈竇型(sinus venosus)心房中隔缺損(atrial septal defect,ASD)之敍述,何者錯誤?
詳解
破題關鍵
靜脈竇型心房中隔缺損因為位置特殊且常合併肺靜脈回流異常,通常不適合導管治療。
選項拆解
登入查看完整詳解與互動作答
【106-2 醫學(五) 第14題】下列關於心臟瓣膜置換手術中,置換瓣膜(prosthetic valve)的選擇,何者正確?①計畫生育之年輕女性患者 可選擇機械型瓣膜(mechanical prosthesis) ②年齡大於70歲患者可選擇生物組織型瓣膜(bioprosthesis) ③血友病患者可選擇機械型瓣膜 ④尿毒症患者且須長期血液透析,可選擇組織型瓣膜
詳解
破題關鍵
心臟瓣膜的選擇主要考量瓣膜壽命、病人年齡、以及是否能承受長期抗凝血劑的風險。
選項拆解
登入查看完整詳解與互動作答
【106-2 醫學(五) 第15題】肺動脈瓣閉鎖合併心室中隔缺損(pulmonary atresia with ventricular septal defect)的病人,在接受初步手術 時,所謂的單一化(unifocalization)是要將下列那些血管聚集在一起以準備第二階段手術之用? ①自體的 肺動脈(native pulmonary artery) ②主要的主動脈至肺動脈側枝循環(major aortopulmonary collateral arteries) ③自體的肺靜脈(native pulmonary vein) ④左冠狀動脈主支(left main coronary artery)
詳解
破題關鍵
單一化手術的目的是要把供應肺部的血流來源(包括自體肺動脈和側枝循環)集中起來,為之後的肺循環重建做準備。
選項拆解
登入查看完整詳解與互動作答
【106-2 醫學(五) 第16題】下列有關冠狀動脈疾病病人之處置,何者錯誤?
詳解
破題關鍵
這題要找出關於冠狀動脈疾病治療的「錯誤」敘述,重點在比較冠狀動脈繞道手術(CABG)和經皮冠狀動脈處置(PCI)在不同病人族群的長期預後。
選項拆解
登入查看完整詳解與互動作答
【106-2 醫學(五) 第17題】下列有關胸腺瘤(thymoma)之Masaoka staging之敘述,何者錯誤?
詳解
破題關鍵
Masaoka分期中,胸腔內擴散和胸腔外轉移的定義是解題核心。
選項拆解
登入查看完整詳解與互動作答
【106-2 醫學(五) 第18題】氣管分岔處(carina)在胸部 X 光所在的高度約相應於脊椎那一個部位?
詳解
破題關鍵
氣管分岔處(carina)的脊椎高度是解剖學上一個很重要的固定位置。
選項拆解
登入查看完整詳解與互動作答
【106-2 醫學(五) 第19題】有關肺癌的描述,下列何者正確?①adenocarcinoma是最常見的細胞型 ②squamous cell carcinoma 的發生 與抽菸最有關聯 ③squamous cell carcinoma常位於靠近肺門中央的位置 ④小細胞肺癌常可以經由手術切 除得到治療
詳解
破題關鍵
肺癌的考題常圍繞在不同細胞型的特色、與抽菸的關聯性,以及治療方式的差異。
選項拆解
核心知識
登入查看完整詳解與互動作答
第21題 關於胸腺瘤的敘述,下列何者錯誤?
詳解
破題關鍵
前上縱隔腔最常見的腫瘤並非胸腺瘤,而是淋巴瘤或生殖細胞瘤。
選項拆解
登入查看完整詳解與互動作答
【106-2 醫學(五) 第4題】下列有關營養補充的敘述,何者錯誤?
詳解
破題關鍵
鼻胃管灌食時,上半身抬高30-45度就夠了,90度太高且不實際。
選項拆解
登入查看完整詳解與互動作答
【106-2 醫學(五) 第20題】對於胃食道逆流疾病(gastroesophageal reflux disease)的外科手術適應症,何者錯誤?
詳解
破題關鍵
胃食道逆流手術的適應症通常是藥物治療無效或出現嚴重併發症,單純預期長期用藥並非手術理由。
選項拆解
登入查看完整詳解與互動作答
【106-2 醫學(五) 第22題】一位63歲男性到門診主訴發現皮膚泛黃已三週,尿液呈深褐色,最近有灰白色大便,無腹部疼痛及不適,食 慾稍差。下列何種檢查能快速做鑑別診斷?
詳解
破題關鍵
病患有無痛性黃疸、深色尿和灰白色大便,這些症狀指向膽道阻塞,需要快速影像檢查來找出阻塞原因。
選項拆解
登入查看完整詳解與互動作答

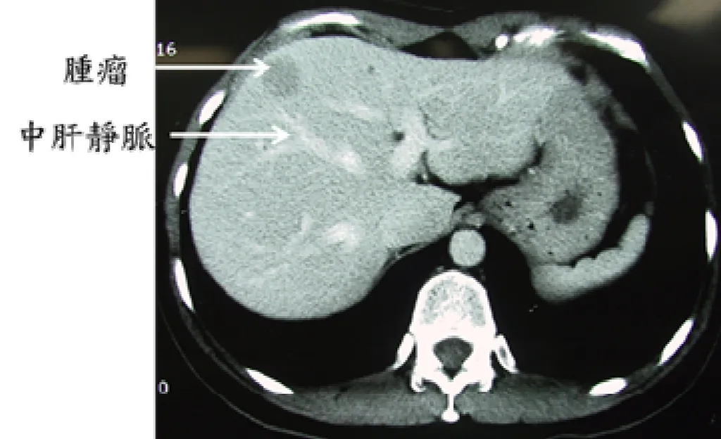
詳解
破題關鍵
這題的解題核心在於精準辨識肝臟電腦斷層影像上的Couinaud分葉,關鍵是利用中肝靜脈(middle hepatic vein)作為分界線,並判斷腫瘤相對於這條線的位置。
選項拆解
登入查看完整詳解與互動作答
【106-2 醫學(五) 第26題】影響胃排空(gastric empty)速率的因素,下列何者錯誤?
詳解
破題關鍵
這題要你找出哪個選項不是影響胃排空速度的「主要」因素。
選項拆解
登入查看完整詳解與互動作答
【106-2 醫學(五) 第27題】關於嚴重 diabetic gastroparesis 的手術治療方式,下列何者最不適當?
詳解
破題關鍵
嚴重糖尿病胃輕癱的治療目標是改善症狀、提供營養或治療根本原因,而不是切除胃。
選項拆解
登入查看完整詳解與互動作答
【106-2 醫學(五) 第28題】下列有關胃腸間質瘤(gastrointestinal stromal tumors,GIST)之敘述,何者正確?
詳解
破題關鍵
這題考你對胃腸間質瘤(GIST)的常見發生部位、分子標記、轉移方式以及標準治療的了解。
選項拆解
登入查看完整詳解與互動作答
【106-2 醫學(五) 第29題】一名84歲男性,因四天未解 ,出現腹脹、陣發性腹痛等症 而被送到急診。病患先前有慢性便秘病史,沒 有接受過腹部手術,腹部X光檢查可看到明顯脹大之乙狀結腸,有bent inner tube sign。生命徵象穩定,理學 檢查腹部有輕微壓痛,但無腹膜炎症狀,無腹股溝疝氣,下列初步處置何者最 想?
詳解
破題關鍵
看到老年人、慢性便秘、腹脹、X光有「bent inner tube sign」,就要想到乙狀結腸扭轉,第一步先用內視鏡解開。
選項拆解
登入查看完整詳解與互動作答
【106-2 醫學(五) 第39題】在 HNPCC(hereditary nonpolyposis colorectal cancer)患者中,最常見的腸道外腫瘤為何?
詳解
破題關鍵
HNPCC患者最常見的腸道外腫瘤是子宮內膜癌,這是考試必考的重點。
選項拆解
登入查看完整詳解與互動作答
【106-2 醫學(五) 第40題】有關大腸pseudo-obstruction的描述,下列何者錯誤?
詳解
破題關鍵
這題要找出關於大腸假性阻塞(Ogilvie’s syndrome)描述「錯誤」的選項,特別注意藥物治療的細節。
選項拆解
登入查看完整詳解與互動作答
【106-2 醫學(五) 第41題】關於抑癌基因APC gene(adenomatous polyposis coli gene)的敘述,何者錯誤?
詳解
破題關鍵
大腸癌的發生是多步驟的,單一基因突變通常不足以致癌。
選項拆解
登入查看完整詳解與互動作答
【106-2 醫學(五) 第42題】下列有關superior mesenteric artery(SMA)syndrome的敘述,何者錯誤?
詳解
破題關鍵
SMA症候群的根本問題是腸子被血管夾住,通常是因為人變瘦了,導致脂肪墊減少。
選項拆解
登入查看完整詳解與互動作答
【106-2 醫學(五) 第43題】一位40歲女性因為升結腸癌接受右半結腸根除性手術,術後48小時高燒不退。請依此回答下列3題: 下列何者是最可能的原因?
詳解
破題關鍵
術後48小時內發燒,最常見的原因通常是肺部問題,尤其是肺部塌陷。
選項拆解
登入查看完整詳解與互動作答
【106-2 醫學(五) 第44題】下列何者是最合適的處理方法?
詳解
破題關鍵
這題考的是呼吸道照護的基本原則,當病人出現呼吸道問題時,最優先且非侵入性的處理方式。
選項拆解
登入查看完整詳解與互動作答
【106-2 醫學(五) 第52題】一位50歲男性有十二指腸潰瘍的病史,但服藥不正常,最近因業務繁忙,老覺得上腹部疼痛。今天早晨一陣 大痛後,忽然不痛了,但腹部腫漲。來到急診室,其最可能的臆診為何?
詳解
破題關鍵
有潰瘍病史的病人,突然劇烈腹痛後又短暫緩解,接著肚子脹起來,最常見就是潰瘍破掉了。
選項拆解
登入查看完整詳解與互動作答