內分泌外科1 / 67
【114-2 醫學(五) 第34題】Zollinger–Ellison syndrome 是由下列何種腫瘤所導致的?
詳解
破題關鍵
Zollinger–Ellison syndrome 的關鍵是胃泌素 (gastrin) 過度分泌。
選項拆解
-A:Insulinoma 是分泌胰島素 (insulin) 的腫瘤,會導致低血糖。
內分泌外科2 / 67
【114-2 醫學(五) 第39題】下列關於 follicular thyroid carcinoma 的敘述,何者錯誤?
詳解
破題關鍵
濾泡癌 (follicular thyroid carcinoma) 主要是經由血液轉移,且通常是單一病灶,與乳突癌 (papillary thyroid carcinoma) 的多發性及淋巴轉移不同。
選項拆解
內分泌外科3 / 67
【114-2 醫學(五) 第40題】下列關於 primary hyperparathyroidism 的敘述,何者正確?
詳解
破題關鍵
原發性副甲狀腺機能亢進最常見的原因是單一腺瘤,且術前定位檢查對於手術成功率至關重要。
選項拆解
-A:錯在 80%。MEN 1 或 MEN 2A 相關的副甲狀腺機能亢進約佔所有原發性副甲狀腺機能亢進的 5-10%,且通常是多腺體增生,而非單一腺瘤。
內分泌外科4 / 67
【114-2 醫學(五) 第41題】一位 65 歲女性因頸部腫大多年就醫,理學檢查時,下列何者徵象表示可能有胸內甲狀腺腫(intrathoracic goiter)導致上腔靜脈壓迫情形?
詳解
破題關鍵
胸內甲狀腺腫壓迫上腔靜脈時,會出現特定的理學檢查徵象。
選項拆解
-A:Carnett sign 用於區分腹壁疼痛或腹腔內疼痛。與甲狀腺腫無關。
-B:Kehr sign 是指左肩疼痛,通常是脾臟破裂或橫膈膜刺激引起的牽涉痛。與甲狀腺腫無關。
內分泌外科5 / 67
【114-2 醫學(五) 第43題】關於乳房疾病,下列敘述何者錯誤?
詳解
破題關鍵
乳房疾病的診斷、病理分類和預後判斷都有其特點,特別是乳管原位癌的分類標準。
選項拆解
-A:正確。超音波對於區分乳房實質性腫塊 (如纖維腺瘤) 和囊性病變 (如水囊) 非常有效,因為兩者在超音波下的影像特徵截然不同。
內分泌外科6 / 67
【114-2 醫學(五) 第44題】關於乳癌術後之乳房重建手術的考量,下列何者錯誤?
詳解
破題關鍵
乳房重建的時機和考量因素,並非所有情況都需要延遲重建。
選項拆解
-A:正確。外科醫師的專業建議對於患者選擇是否進行乳房重建以及選擇何種重建方式具有重要影響。
-B:正確。乳房重建的主要方式確實包括使用患者自身的組織 (自體組織皮瓣移植) 或植入義乳。
內分泌外科7 / 67
【114-2 醫學(五) 第65題】下列有關腎上腺瘤(adrenal tumor)之敘述,何者錯誤?
詳解
破題關鍵
無功能但尺寸較大的腎上腺瘤 (通常指大於 4-6 公分) 惡性潛力較高,即使無功能也應考慮手術切除,而非僅密集追蹤。
選項拆解
外科通論與急重症8 / 67
【114-2 醫學(五) 第1題】最常使用的能量評估公式 Harris-Benedict Equation,不包含下列那一項變數?
詳解
破題關鍵
Harris-Benedict Equation 主要考量的是基礎代謝率的影響因子,體表面積不是其直接變數。
選項拆解
-A:年齡:正確。年齡是 Harris-Benedict Equation 的變數之一,因為基礎代謝率會隨年齡增長而下降。
外科通論與急重症9 / 67
【114-2 醫學(五) 第2題】術前病人的營養狀態(pre-operative nutrition status),常會影響術後合併症的發生及死亡率;對於病患術前營養狀態的評估為不良者,術前需積極營養介入性治療,但下列何者除外?
詳解
破題關鍵
術前營養不良的評估標準,Pre-albumin 的臨界值遠低於 40 mg/dL。
選項拆解
-A:Body Mass Index (BMI) <18.5 kg/m2:正確。BMI 低於 18.5 kg/m2 被廣泛認為是營養不良的指標。
外科通論與急重症10 / 67
【114-2 醫學(五) 第4題】有關毒蛇咬傷的敘述,下列何者錯誤?
詳解
破題關鍵
毒蛇血清的劑量通常不依體重計算,而是依據臨床症狀的嚴重程度給予固定劑量。
選項拆解
外科通論與急重症11 / 67
【114-2 醫學(五) 第7題】身體創傷後的代謝反應會明顯改變,不同的創傷會造成不同程度的基礎能量消耗(basal energy expenditure, BEE),下列三種損傷的 BEE 變化由高而低之排序為何?
詳解
破題關鍵
身體創傷後的代謝反應程度與創傷的嚴重性成正比,飢餓則會降低代謝率。
選項拆解
-A:嚴重燒燙傷>飢餓>外科手術:錯在「飢餓」。飢餓會降低 BEE,而非高於外科手術。
-B:外科手術>嚴重燒燙傷>飢餓:錯在「外科手術」。嚴重燒燙傷引起的代謝反應遠高於一般外科手術。
外科通論與急重症12 / 67
【114-2 醫學(五) 第17題】Z 形整形術(Z-plasty)的目的之一是可以延伸主軸的長度。在兩側臂線與主軸成 60 度時,則可以增加主軸長度的多少?
詳解
破題關鍵
記住 Z 形整形術 (Z-plasty) 不同角度對長度延伸的比例。
選項拆解
-A:錯在 60%。60% 是 45 度角 Z-plasty 的長度增加量。
-B:正確。當 Z 形整形術的兩側臂線與主軸成 60 度時,可以增加主軸長度的 75%。
外科通論與急重症13 / 67
【114-2 醫學(五) 第18題】皮膚張力鬆弛線(relaxed skin tension lines, RSTLs)和皮膚切口相關,下列敘述何者正確?
詳解
破題關鍵
皮膚張力鬆弛線 (RSTLs) 與皮下肌肉走向的關係。
選項拆解
外科通論與急重症14 / 67
【114-2 醫學(五) 第19題】一位 28 歲 70 公斤的男性被送到急診時,初步評估全身有 70%深二度燒傷,需評估前 8 小時內體液的補充。 根據 Parkland formula 下列何者為最佳選擇?
詳解
破題關鍵
正確計算 Parkland formula,並選用正確的輸液種類。
選項拆解
-A:正確。
- 總輸液量(24 小時)= 4 mL × 70 kg × 70% = 19,600 mL。
- 前 8 小時輸液量 = 19,600 mL / 2 = 9,800 mL。
外科通論與急重症15 / 67
【114-2 醫學(五) 第42題】乳房腫瘤的病理切片中,下列何者可能是乳癌的高危險群?
詳解
破題關鍵
某些良性乳房病變雖然不是癌症,但會增加未來罹患乳癌的風險。
選項拆解
-A:乳突狀瘤 (papilloma) 若無異型性,屬於增生性病變,會輕微增加乳癌風險,但風險程度不如放射狀疤痕。
外科通論與急重症16 / 67
【114-2 醫學(五) 第55題】有關腹腔鏡的充氣,下列敘述何者錯誤?
詳解
破題關鍵
腹腔鏡手術的腹內氣壓通常維持在 12-15 mmHg,過高的氣壓會對心血管系統造成負面影響。
選項拆解
外科通論與急重症17 / 67
【114-2 醫學(五) 第75題】下列那一個病人最適合在急診進行緊急開胸手術(ED thoracotomy)?
詳解
破題關鍵
急診開胸手術的黃金時機是創傷後心跳停止,但仍有「無脈性電氣活動 (PEA)」且創傷機轉是穿刺傷的病人。
選項拆解
-A:錯在從 10 樓跳下屬於高能量鈍性創傷,且到院時已心跳停止,存活率極低,不適合緊急開胸手術。
外科通論與急重症18 / 67
【114-2 醫學(五) 第78題】40 歲病人因工作意外導致顱內大量出血併重度昏迷,臨床上需施行緊急開顱手術以避免腦壓過高導致腦死。 醫師讀取病人健保卡資料時發現病人曾經簽署預立醫療決定不施行「心肺復甦術」及「維生醫療」,此時的醫療決策何者最適當?
詳解
破題關鍵
預立醫療決定 (AD) 適用於「末期病人」或特定臨床條件,但這位病人目前並非末期,且手術有機會改善預後。
選項拆解
小兒外科19 / 67
【114-2 醫學(五) 第6題】一位因短腸症(short bowel syndrome)併腹瀉,而長期接受全中心靜脈營養(total parenteral nutrition)的病人,如果發生 perioral pustular rash, darkening of skin creases 及 neuritis,最可能是因缺乏下列何項營養成分?
詳解
破題關鍵
短腸症病人長期 TPN 併發的皮膚炎、神經炎等症狀,要考慮微量元素缺乏,尤其是鋅。
選項拆解
-A:蛋白質:錯在「症狀不符」。蛋白質缺乏會導致水腫、肌肉萎縮、免疫力下降等,但不太會出現特定的口周膿皰性皮疹和神經炎症狀。
小兒外科20 / 67
【114-2 醫學(五) 第13題】下列腦瘤中何者較常見於孩童,較少見於成人?
詳解
破題關鍵
記住兒童最常見的惡性腦瘤是哪一種。
選項拆解
-A:錯在多形性神經膠質母細胞瘤(glioblastoma multiforme)。這是成人最常見的惡性原發性腦瘤,在兒童中較為罕見。
小兒外科21 / 67
【114-2 醫學(五) 第16題】下列何者不是斷指顯微重接(digital replantation)的絶對適應症(strong indications)?
詳解
破題關鍵
判斷斷指重接的「絕對」適應症,哪些情況下功能恢復的效益最高。
選項拆解
-A:正確。多根手指截斷時(multiple digital amputations)是斷指重接的絕對適應症,因為保留多根手指對手部整體功能至關重要。
小兒外科22 / 67
【114-2 醫學(五) 第22題】40 天大男嬰出生後診斷為法洛氏四重症(tetralogy of Fallot),因經皮血氧濃度(oxygen saturation) 降至 65%,經緊急插管後,下列後續處置何者較不合適?
詳解
破題關鍵
法洛氏四重症(TOF)發紺發作時,目標是增加肺血流,減少右心室流出道阻力,並增加全身血管阻力。
選項拆解
-A:正確。乙型阻斷劑(beta blocker)可以緩解右心室流出道(RVOT)痙攣,增加肺血流,改善發紺。
小兒外科23 / 67
【114-2 醫學(五) 第26題】小孩子最常發現的縱隔腔腫瘤是:
詳解
破題關鍵
兒童最常見的縱隔腔腫瘤類型是神經源腫瘤,通常位於後縱隔腔。
選項拆解
-A:錯在胸腺囊腫(thymic cyst)在兒童縱隔腔腫瘤中相對少見,雖然可能發生在前縱隔腔。
-B:錯在淋巴瘤(lymphoma)在兒童縱隔腔腫瘤中也常見,但整體發生率不如神經源腫瘤高。
小兒外科24 / 67
【114-2 醫學(五) 第35題】肝臟血管瘤需要開刀的原因不包含下列何者?
詳解
破題關鍵
肝臟血管瘤的大小本身不一定是手術的絕對指徵,更重要的是是否有症狀或併發症風險。
選項拆解
-A:正確。Kasabach-Merritt syndrome 是一種罕見的凝血功能障礙,與巨大的血管瘤相關,會導致血小板減少和消耗性凝血病,此時需要積極治療,包括手術。
小兒外科25 / 67
【114-2 醫學(五) 第45題】鼠蹊疝氣(inguinal hernia)是兒童最常見手術,有關兒童之先天性鼠蹊疝氣,下列敘述何者錯誤?
詳解
破題關鍵
兒童先天性鼠蹊疝氣的病因、流行病學和併發症,特別是嵌頓性疝氣的風險。
選項拆解
-A:正確。兒童先天性鼠蹊疝氣的發生原因確實是腹膜鞘突 (processus vaginalis) 在出生前未能正常閉合。
-B:正確。兒童鼠蹊疝氣在男性中比女性更常見,且右側比左側更常見。
小兒外科26 / 67
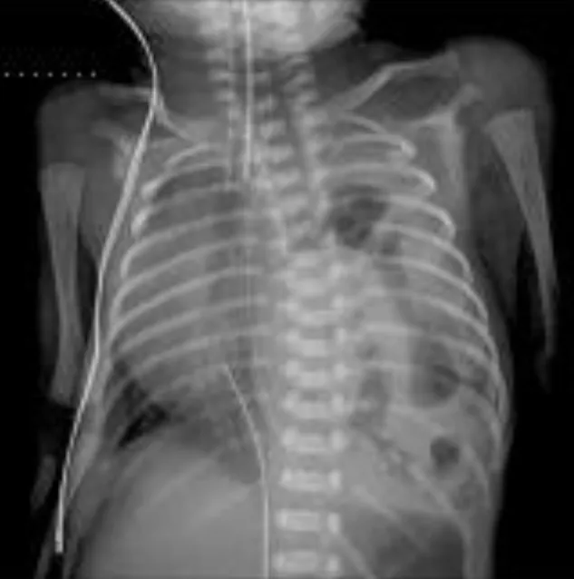
【114-2 醫學(五) 第46題】一名體重約 2.5 公斤的女嬰,出生時有呼吸窘迫、腹部凹陷的現象。X 光檢查發現在左側胸腔內充滿腸氣 (如圖)。下列敘述何者錯誤?

詳解
破題關鍵
這道題目的核心在於判斷先天性橫膈疝氣 (CDH) 的治療時機。圖片中新生兒X光片顯示左側胸腔有明顯的腸氣,這是診斷CDH的關鍵視覺線索。
選項拆解
小兒外科27 / 67
【114-2 醫學(五) 第47題】一名 3 歲大男童,被父母親帶到小兒外科門診。據父母表示,男童在出生的時候,他們就發現到前胸壁有凹陷的情況,但是不太明顯。隨著男童長大,這個狀況逐漸嚴重。有關此男童的狀況,下列敘述何者錯誤?
詳解
破題關鍵
漏斗胸的Nuss手術有其最佳的矯正年齡範圍,並非越早越好。
選項拆解
-A:正確。漏斗胸的發生率和性別比例符合敘述。
小兒外科28 / 67
【114-2 醫學(五) 第48題】一名 7 歲女童,右側前頸部處有一個反覆發炎的皮下腫塊,媽媽主訴這個頸部腫塊在出生後即有發現。理學檢查發現腫塊位於胸鎖乳突肌的前緣,且上面有一個細小的開口。下列對這個頸部腫塊的敘述,何者錯誤?
詳解
破題關鍵
鰓裂遺跡的分類和流行病學,最常見的類型並非第一對。
選項拆解
-A:正確。位於胸鎖乳突肌前緣的頸部腫塊,且表面有小開口並反覆發炎,這些特徵高度提示為鰓裂遺跡 (branchial cleft remnants)。
小兒外科29 / 67
【114-2 醫學(五) 第49題】1 歲半男嬰因為摸不到左側睪丸來求診,下列何種處置最適當?
詳解
破題關鍵
隱睪症的處理原則,特別是在睪丸無法定位時,探查手術是必要的。
選項拆解
-A:錯誤。對於一歲半的隱睪症,即使超音波顯示睪丸在腹腔內,也不應只是密切追蹤。未下降的睪丸會影響生育功能並增加惡性腫瘤風險,應考慮手術治療,通常建議在 6-18 個月大時進行睪丸固定術。
小兒外科30 / 67
【114-2 醫學(五) 第70題】依 Weigert-Meyer rule,在單側雙套輸尿管(duplicated ureter)的病人,下列敘述何者正確?
詳解
破題關鍵
Weigert-Meyer rule 告訴我們,雙套輸尿管時,引流上腎的輸尿管開口會比較低,而且容易有問題。
選項拆解
-A:錯在引流上端腎臟的輸尿管,其開口位於膀胱的下端及內側,而不是上端及外側。
小兒外科31 / 67
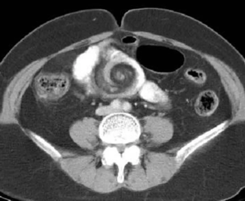
【114-2 醫學(五) 第74題】病人主訴腹脹、反胃及腹部悶痛;腹部電腦斷層檢查呈現如附圖。下列何項初診斷最恰當?

詳解
破題關鍵
這張電腦斷層影像最關鍵的線索是腹部中央出現的「旋渦狀」(whirl sign),這是腸道和腸繫膜血管扭轉的典型表現,直接指向腸扭轉。
選項拆解
心臟胸腔外科32 / 67
【114-2 醫學(五) 第20題】以剝離侵犯範圍而言,主動脈剝離(aortic dissection)DeBakey type IIIa 與 type IIIb 間最大區別在於那一部分的主動脈?
詳解
破題關鍵
DeBakey 分類主要看剝離的起點和終點,特別是剝離有沒有延伸到橫膈膜以下。
選項拆解
-A:錯在 DeBakey type III 的剝離起點在降主動脈,與升主動脈無關。
-B:錯在 DeBakey type III 的剝離起點在降主動脈,與主動脈弓無關。
心臟胸腔外科33 / 67
【114-2 醫學(五) 第21題】40 歲男性病患無任何舊疾及創傷,因左下肢突然出現冰冷、無脈、疼痛且感覺異常至急診室就診。3 個月前心臟超音波報告發現二尖瓣嚴重狹窄且左心房擴大,心律為心房顫動(atrial fibrillation),則下列敘述何者錯誤?
詳解
破題關鍵
急性肢體缺血再灌流後,缺血組織會釋放大量有害物質,導致全身性問題,而不是立即緩解。
選項拆解
-A:正確。心房顫動合併二尖瓣狹窄和左心房擴大,是形成血栓並導致栓塞(embolism)的高風險因子,血栓脫落後最常阻塞下肢動脈。
心臟胸腔外科34 / 67
【114-2 醫學(五) 第23題】有關胸主動脈瘤之敘述,下列何者錯誤?
詳解
破題關鍵
升主動脈瘤(ascending aortic aneurysm)因其解剖位置靠近心臟和主動脈瓣,且有重要分支血管,通常不適合血管內支架治療。
選項拆解
心臟胸腔外科35 / 67
【114-2 醫學(五) 第24題】有關腹主動脈瘤(abdominal aortic aneurysm)之敘述,下列何者正確?
詳解
破題關鍵
血管支架治療(EVAR)的短期優勢是創傷小、恢復快,因此短期住院死亡率通常較低。
選項拆解
-A:錯在無破裂現象的腹主動脈瘤,一般建議手術的直徑閾值為大於 5.0-5.5 公分,而非 4 公分。
心臟胸腔外科36 / 67
【114-2 醫學(五) 第25題】下列症狀何者與胸腔疾病最不相關?
詳解
破題關鍵
選項中其他症狀都與胸腔內腫瘤或病變壓迫、侵犯相關,而假性紅血球增多症(pseudopolycythemia)通常與脫水或血漿容量減少有關。
選項拆解
-A:正確。上腔靜脈症候群(superior vena cava syndrome)通常是由胸腔內腫瘤(如肺癌)壓迫上腔靜脈引起。
心臟胸腔外科37 / 67
【114-2 醫學(五) 第27題】關於呼吸道的疾病,下列敘述何者最不適當?
詳解
破題關鍵
曲黴菌球(aspergilloma)通常是肺部空腔內的菌絲團,抗黴菌藥物難以穿透,手術切除常是首選。
選項拆解
-A:正確。氣管的腺樣囊狀癌(adenoid cystic carcinoma)具有沿著神經擴散的特性,這對手術切除的範圍判斷很重要。
心臟胸腔外科38 / 67
【114-2 醫學(五) 第72題】關於疑似氣胸之胸部 X 光影像,下列敘述何者最不恰當?
詳解
破題關鍵
張力性氣胸是大量空氣積在胸腔,壓迫心臟和肺,是會致命的急症。
選項拆解
-A:正確。若氣胸不明顯,吐氣時肺部體積縮小,肋膜腔內的空氣相對會更明顯,有助於診斷。
-B:正確。張力性氣胸的特徵之一就是肋膜腔內壓力過高,將縱隔腔推向對側。
泌尿外科39 / 67
【114-2 醫學(五) 第60題】下列何種血液測量值的改變,與腎性骨病(renal osteodystrophy)的直接相關性最小?
詳解
破題關鍵
腎性骨病主要與鈣、磷、副甲狀腺素和維生素 D 的代謝異常有關,與甲狀腺激素的直接相關性最小。
選項拆解
-A:鈣(calcium):正確。腎性骨病常伴隨低血鈣,因為活性維生素 D 缺乏和高血磷會抑制鈣的吸收和釋放。
泌尿外科40 / 67
【114-2 醫學(五) 第68題】下列何者是糖尿病導致膀胱病變(diabetic cystopathy)在尿路動力學檢查最典型的發現?
詳解
破題關鍵
糖尿病會讓膀胱神經麻痺,導致感覺變差,所以膀胱會撐得很大才想尿。
選項拆解
-A:錯在逼尿肌括約肌共濟失調 (detrusor-sphincter dyssynergia) 通常與脊髓損傷等神經病變有關,糖尿病膀胱病變較少見此表現。
泌尿外科41 / 67
【114-2 醫學(五) 第69題】下列何種因子不存在於陰莖海綿體的平滑肌,促使其鬆弛充血引起勃起?
詳解
破題關鍵
陰莖勃起主要靠一氧化氮 (nitric oxide) 啟動一系列反應,讓平滑肌放鬆充血。
選項拆解
-A:錯在 cyclic guanosine monophosphate (cGMP) 是陰莖勃起過程中,由 nitric oxide 活化後產生,直接造成平滑肌鬆弛的第二信使。
泌尿外科42 / 67
【114-2 醫學(五) 第79題】40 歲男子要求進行手術回復其 5 年前的男性結紮。他在前一段婚姻有一個小孩,現在準備要再婚。當醫師幫他做身體診察時,發現他兩側睪丸萎縮。男子表示,自其青春期後,睪丸發育大小都一直沒有變化。進一步檢查,發現其染色體核型為 46, XX。此時,下列處理方式何者最恰當?
詳解
破題關鍵
病人染色體核型是 46, XX,表示他是女性,無法進行男性結紮逆轉手術。
選項拆解
-A:錯在病人染色體核型為 46, XX,生理上是女性,不可能進行男性結紮逆轉手術。強行手術不僅無效,更可能造成醫療糾紛和傷害。
消化系外科43 / 67
【114-2 醫學(五) 第28題】關於食道功能性疾病的處置,下列敘述何者錯誤?
詳解
破題關鍵
賁門弛緩不能(achalasia)的治療效果,氣球擴張術通常比肉毒桿菌注射更持久有效。
選項拆解
-A:正確。高解析度測壓機(high resolution manometry)是診斷食道功能性疾病的黃金標準,pH 檢測則有助於排除胃食道逆流。
消化系外科44 / 67
【114-2 醫學(五) 第29題】下列對於誤吞腐蝕性液體病人之處置,何者較不適當?
詳解
破題關鍵
誤吞腐蝕性液體後,立即放置鼻胃管和沖洗可能造成二次傷害或穿孔。
選項拆解
-A:正確。給與廣效型抗生素有助於預防或治療因組織損傷和壞死引起的繼發性感染。
-B:正確。在患者生命徵象穩定後,可嘗試以胃鏡(endoscopy)評估食道和胃的損傷程度,這對於後續治療決策非常重要。
消化系外科45 / 67
【114-2 醫學(五) 第30題】下列關於 paraesophageal hernia 之敘述,何者最不適當?
詳解
破題關鍵
食道旁疝氣雖然有風險,但並非所有病人都需要立即手術,要看症狀和風險評估。
選項拆解
-A:錯在「一律手術」。雖然食道旁疝氣有較高的併發症風險,但對於無症狀或症狀輕微、且手術風險高的病人,可以考慮觀察,不一定需要立即手術。手術的決定需要個別評估。
消化系外科46 / 67
【114-2 醫學(五) 第31題】有關鼠蹊部疝氣(inguinal hernia),下列敘述何者錯誤?
詳解
破題關鍵
間接型疝氣的「間接」指的是它通過先天性的通道,而不是直接從腹壁薄弱處突出。
選項拆解
-A:正確。鼠蹊部疝氣主要分為間接型和直接型兩種。
消化系外科47 / 67
【114-2 醫學(五) 第32題】常見的食道靜脈曲張出血,下列處置何者錯誤?
詳解
破題關鍵
食道靜脈曲張出血主要來自門靜脈高壓,血管攝影栓塞術對此效果不佳。
選項拆解
-A:正確。任何大量出血的首要處置都是維持病人的生命徵象,包括建立靜脈通路、輸液、輸血等。
消化系外科48 / 67
【114-2 醫學(五) 第33題】對於十二指腸潰瘍的治療,下列何者錯誤?
詳解
破題關鍵
十二指腸潰瘍幾乎都是良性的,但胃潰瘍有惡性變化的風險。
選項拆解
消化系外科49 / 67
【114-2 醫學(五) 第36題】大腸癌併發肝臟轉移的病人,下列何項不是影響其手術切除肝臟腫瘤後存活的主要因素?
詳解
破題關鍵
影響大腸癌肝轉移病人預後的因素,主要與腫瘤的生物學特性和治療的可行性有關,而非單純的原發腫瘤位置。
選項拆解
-A:正確。CEA 血中濃度大於 200 ng/mL 通常表示腫瘤負荷較大或侵襲性較高,是預後不良的指標。
消化系外科50 / 67
【114-2 醫學(五) 第37題】有關肝膽胰外科解剖學,下列何者正確? ①左肝(left liver)和右肝(right liver)的功能性分界為中肝靜脈(middle hepatic vein) ②肝左葉(left lobe)和右葉(right lobe)的分界為康德黎線(Cantlie’s line) ③Calot 三角的邊包括膽囊管(cystic duct)、肝腹側表面(ventral surface of liver)、總膽管(common bile duct) ④肝十二指腸韌帶(hepatoduodenal ligament)包括門靜脈(portal vein)、固有肝動脈(proper hepatic artery)、總膽管(common bile duct) ⑤左側肝(left lateral segment)及左中肝(left medial segment)的分界為鐮韌帶(falciform ligament)
詳解
破題關鍵
肝臟的功能性分界與解剖學分葉不同,Calot 三角的邊界也要記清楚。
選項拆解
-①:正確。左肝 (left liver) 和右肝 (right liver) 的功能性分界是中肝靜脈 (middle hepatic vein) 所在的康德黎線 (Cantlie’s line)。