內分泌外科1 / 69
【107-2 醫學(五) 第36題】下列關於甲狀腺手術可能造成的nerve injury,何者錯誤?
詳解
破題關鍵
甲狀腺手術最常見的神經損傷是喉返神經和喉上神經,且交感神經損傷會導致Horner's syndrome。
選項拆解
-A:正確。喉返神經支配聲帶的大部分肌肉,損傷會導致聲帶麻痺,影響發聲。
-B:正確。喉上神經外側支支配環甲肌,負責聲帶張力,損傷會導致發高音困難。
內分泌外科2 / 69
【107-2 醫學(五) 第37題】一位女性體檢時,意外發現有高血鈣,進一步檢查證實為原發性副甲狀腺功能亢進(primary hyperparathyroidism),根據目前的治療指引,有些原發性副甲狀腺功能亢進患者即使無臨床症狀亦建議應接受手術,但下列何者除外?
詳解
破題關鍵
原發性副甲狀腺功能亢進的手術指引,主要考量疾病對骨骼、腎臟和血鈣的影響。
選項拆解
-A:正確。骨密度檢查T-score小於-2.5表示骨質疏鬆,是手術的明確指引之一,因為高血鈣會加速骨質流失。
內分泌外科3 / 69
【107-2 醫學(五) 第38題】一位50歲男性因急性心臟衰竭住院,入院時收縮壓為200 mmHg,檢查發現右腎上腺有一5公分腫瘤,臨床醫師懷疑為嗜鉻細胞瘤(pheochromocytoma),下列敘述何者正確?
詳解
破題關鍵
嗜鉻細胞瘤的診斷需要高敏感度的生化檢查,且手術前必須充分準備。
選項拆解
內分泌外科4 / 69
【107-2 醫學(五) 第39題】BRCA 1的基因變異與下列何種乳癌型態最相關?
詳解
破題關鍵
BRCA1基因突變與特定乳癌亞型有高度關聯。
選項拆解
-A:錯在管腔A型乳癌通常ER陽性、PR陽性、HER2陰性,預後較好,與BRCA1基因變異的關聯性較低。
內分泌外科5 / 69
【107-2 醫學(五) 第40題】針對患有乳癌的病人,做病史及理學檢查的評估,以決定是否為高危險病患時,下列何項不必列入考慮?
詳解
破題關鍵
乳癌的高危險因子主要與女性荷爾蒙暴露時間、生殖史和家族史有關。
選項拆解
-A:錯在停經在55歲之後表示女性荷爾蒙暴露時間較長,是乳癌的危險因子。
內分泌外科6 / 69
【107-2 醫學(五) 第41題】關於身體組織皮瓣移植用來作為乳癌病患手術的重建,下列何者錯誤?
詳解
破題關鍵
乳房重建的皮瓣選擇考量其解剖位置、組織量和手術複雜度。
選項拆解
-A:錯在闊背肌皮瓣雖然是常用的乳房重建方式之一,但其組織量通常較少,多用於部分重建或與義乳合併使用。最常被使用的自體組織皮瓣是腹直肌皮瓣 (TRAM flap 或 DIEP flap),因為其組織量充足且血供穩定。
外科通論與急重症7 / 69
【107-2 醫學(五) 第1題】aspiration pneumonia對於年長病人而言,是常見的術後合併症;下列對於aspiration pneumonia的敘述,何者錯誤?
詳解
破題關鍵
鼻胃管 (NG tube) 的放置,實際上會增加吸入性肺炎的風險。
選項拆解
外科通論與急重症8 / 69
【107-2 醫學(五) 第4題】有關傷口感染之描述,下列何者錯誤?
詳解
破題關鍵
預防性抗生素並非所有手術都需使用,主要針對感染風險較高的手術。
選項拆解
-A:正確。傷口感染的病因確實包括細菌因素(病原菌種類、數量)、局部傷口因素(血腫、壞死組織、異物、缺血)和病人因素(免疫力、營養、共病症)。
外科通論與急重症9 / 69
【107-2 醫學(五) 第5題】一位病人因為單純性闌尾炎(simple appendicitis)接受闌尾切除術,術中並無腸內容物外漏,屬於下列何種手術傷口分類?
詳解
破題關鍵
闌尾切除術會進入消化道,但若無內容物外漏,則屬於控制下的污染。
選項拆解
-A:錯在清潔傷口不涉及進入消化道。闌尾是消化道的一部分。
-B:正確。闌尾切除術會打開消化道(闌尾),但題目說明「並無腸內容物外漏」,表示污染程度受到控制,符合清潔污染傷口的定義。
外科通論與急重症10 / 69
【107-2 醫學(五) 第6題】成人急性大量失血2000毫升(ml)以上時,下列何者不是臨床常見之表徵?
詳解
破題關鍵
大量失血會導致心輸出量下降和周邊血管收縮,進而影響血壓和脈壓。
選項拆解
-A:正確。大量失血導致腦部灌流不足,會引起意識焦慮、錯亂等中樞神經系統症狀。
外科通論與急重症11 / 69
【107-2 醫學(五) 第7題】有關腹部腔室症候群(abdominal compartment syndrome)之敘述,下列何者錯誤?
詳解
破題關鍵
腹部腔室症候群 (ACS) 是指腹腔內壓力持續升高並導致器官功能障礙,其治療是「減壓性開腹術」,而非一般手術打開就能緩解。
選項拆解
外科通論與急重症12 / 69
【107-2 醫學(五) 第8題】相較於靜脈營養,腸道營養對手術病人營養支持之好處,下列何者錯誤?
詳解
破題關鍵
腸道營養雖然好處多,但嚴重血流動力學不穩定的病人,腸道灌流不足,不適合立即給予。
選項拆解
-A:正確。腸道中的多醣類(如膳食纖維)會被大腸細菌發酵,產生短鏈脂肪酸,有助於維持腸道菌群平衡和腸道細胞健康。
外科通論與急重症13 / 69
【107-2 醫學(五) 第12題】負壓輔助傷口治療(negative pressure-assisted wound therapy, NPWT)是傷口治療方法之一,下列敘述何者錯誤?
詳解
破題關鍵
負壓輔助傷口治療 (NPWT) 的主要作用之一就是促進傷口收縮和肉芽組織生長,進而縮小傷口面積。
選項拆解
-A:正確。NPWT透過移除滲液、減少水腫、增加血流等方式,確實能改善傷口微環境,有利於傷口癒合。
外科通論與急重症14 / 69
【107-2 醫學(五) 第13題】根據Curreri formula,一個50公斤的病人,燒傷面積達70﹪體表面積,一天所需的卡洛里(calorie)約多少大卡(Kcal)?
詳解
破題關鍵
燒傷病人的熱量需求,除了基礎代謝,還要加上燒傷面積造成的額外消耗。
選項拆解
外科通論與急重症15 / 69
【107-2 醫學(五) 第14題】關於電擊傷(electrical burns),下列敘述何者正確?
詳解
破題關鍵
電擊傷的重點在於電流路徑、組織電阻與後續併發症。
選項拆解
-A:錯在「通常是皮膚」。電流在進入身體後,會走在身體組織中電阻最低的部分,通常是神經、血管或肌肉,而不是皮膚。皮膚的電阻相對較高。
外科通論與急重症16 / 69
【107-2 醫學(五) 第15題】植皮依據取皮的厚度有分為全層皮膚移植(full-thickness skin graft)及部分層皮膚移植(split-thickness skin graft),下列何者屬於全層皮膚移植的特性?
詳解
破題關鍵
全層皮移植因為包含所有皮膚層,所以特性與部分層皮移植不同。
選項拆解
-A:錯在「較少的初級收縮」。全層皮膚移植的初級收縮 (primary contraction) 通常較多,因為切取時包含更多彈性纖維。但後期收縮 (secondary contraction) 較少。
外科通論與急重症17 / 69
【107-2 醫學(五) 第16題】一位58歲長期在太陽下工作的工人鼻尖出現了一個不會疼痛的硬塊,身體檢查為一個8mm在皮膚表層不會移動的突起腫塊,表面是發亮蠟狀,並可看到表淺的末梢血管擴張現象,而且腫塊突起處有一小潰瘍,經切片證實為皮膚癌,最可能為下列何者?
詳解
破題關鍵
皮膚癌的診斷關鍵在於病灶的外觀特徵,尤其是長期日曬部位的「珍珠樣」或「蠟狀」結節。
選項拆解
外科通論與急重症18 / 69
【107-2 醫學(五) 第17題】有關顏面外傷與骨折(facial trauma & fracture)的處置,下列敘述何者錯誤?
詳解
破題關鍵
顏面骨折的呼吸道處置,要特別注意插管路徑的安全性。
選項拆解
-A:正確。前額骨骨折 (forehead fracture) 靠近前額竇和顱底,因此評估時必須考慮是否有這些區域的損傷,特別是腦脊髓液漏的風險。
外科通論與急重症19 / 69
【107-2 醫學(五) 第28題】張先生胸部遭受撞擊,若突然併發有急性創傷後呼吸不足(pulmonary insufficiency)症狀,下列何者是最常見的原因?
詳解
破題關鍵
胸部撞擊後,最常見且會立即導致呼吸困難的原因是肺部塌陷。
選項拆解
-A:肺挫傷。肺挫傷是肺實質的瘀傷,會導致肺水腫和炎症,但其呼吸不足的症狀通常是漸進性的,在受傷後數小時到數天內才達到高峰,不是最常見的「急性」原因。
外科通論與急重症20 / 69
【107-2 醫學(五) 第75題】一位32歲女性,體重60 kg,騎機車不慎被貨車撞到造成腹內出血,送至急診時初步檢查為心縮壓(systolic blood pressure)正常,但脈搏壓(pulse pressure)明顯下降,且心跳112下/分,尿量20-30 ml/hour。此病人約流失多少血液?
詳解
破題關鍵
評估創傷病患的失血量,需綜合考量生命徵象的變化,尤其是心跳、脈搏壓和尿量。
選項拆解
-A:錯在 [失血量過少]。500 ml失血量屬於第一級,此時生命徵象通常變化不大,與病患的心跳加快、脈搏壓下降和尿量減少不符。
外科通論與急重症21 / 69
【107-2 醫學(五) 第79題】有關醫療錯誤的告知,下列敘述何者錯誤?
詳解
破題關鍵
醫療錯誤和醫療過失是兩個不同的概念,承認錯誤不等於承認過失。
選項拆解
-A:正確。坦承醫療錯誤對醫師而言確實是困難的,可能涉及心理壓力、法律風險和職業聲譽的考量。
-B:正確。主動告知醫療錯誤,而非被動等待病人或家屬詢問,有助於建立信任,展現誠意,並能及時處理問題。
外科通論與急重症22 / 69
【107-2 醫學(五) 第80題】一位84歲男性病患於幾年前罹患腦中風之後,長期臥床,常常有呼吸道感染或泌尿道感染。最近幾天病患開始出現發燒及腹瀉等現象。於急診經檢查確定為偽黏膜性大腸炎,醫師開始使用抗生素治療,但治療幾天後,症狀一直沒有具體改善。這時家屬詢問國外研究顯示,偽黏膜性大腸炎可以使用糞便移植治療,不知道醫師是否會考慮這種治療?經查詢相關文獻,發現該文獻的證據等級為Ib,證據等級相當高,但該療法並非台灣對於偽黏膜性大腸炎的常規治療。下列敘述,何者錯誤?
詳解
破題關鍵
實證醫學 (Evidence-Based Medicine, EBM) 的核心是將最佳證據、臨床經驗和病人價值觀結合,而非盲目追隨單一高證據等級文獻,尤其當該療法非本土常規且未經核准時。
選項拆解
小兒外科23 / 69
【107-2 醫學(五) 第9題】下列何者最不可能出現在毛毛樣血管疾病(moyamoya disease)?
詳解
破題關鍵
毛毛樣血管疾病 (Moyamoya disease) 是一種特殊的腦血管疾病,其特徵是顱內大血管狹窄和代償性小血管增生。
選項拆解
-A:正確。雙側顱內內頸動脈狹窄是毛毛樣血管疾病的典型病理特徵。
小兒外科24 / 69
【107-2 醫學(五) 第23題】下列何種先天性心臟病,現今仍完全無法以心導管方法(如封堵器 occluder 或線圈 coil)治療?
詳解
破題關鍵
複雜的心臟結構異常,尤其是瓣膜和多個心房心室中隔的缺損,無法單純用導管堵住。
選項拆解
-A:肌肉型之心室中隔缺損 (muscular type ventricular septal defect)。這種缺損有時可以透過心導管放置封堵器來治療,尤其是一些較小的缺損。
小兒外科25 / 69
【107-2 醫學(五) 第42題】有關膽道囊腫,下列敘述何者錯誤?
詳解
破題關鍵
膽道囊腫因其惡變風險,即使無症狀也常建議手術切除。
選項拆解
-A:正確。膽道囊腫的Todani分類系統將其分為五種主要型態,有助於診斷和治療決策。
-B:正確。腹痛、黃疸和右上腹摸到腫塊是膽道囊腫的典型三聯症 (Charcot's triad),但並非所有患者都會同時出現。
小兒外科26 / 69
【107-2 醫學(五) 第43題】一名個9個月大嬰兒因突發性右側陰囊腫大來急診,經臆斷可能是嵌閉性腹股溝疝氣、睪丸扭轉、睪丸或副睪發炎、或急性陰囊水腫。下列敘述何者錯誤?
詳解
破題關鍵
嵌閉性疝氣的徒手復位有時間限制和禁忌症,並非任何情況都適用。
選項拆解
-A:正確。陰囊超音波能有效區分睪丸扭轉(血流減少或消失)、副睪炎(血流增加)、疝氣(可見腸道或網膜)、水腫(液體積聚),是鑑別診斷的重要工具。
小兒外科27 / 69
【107-2 醫學(五) 第44題】下圖為一個足月的新生女嬰,檢查發現其薦尾椎有一個巨大的腫瘤,下列敘述何者錯誤?

詳解
破題關鍵
這是一個新生兒薦尾椎的巨大腫瘤,最常見且符合影像特徵的診斷是薦尾椎畸胎瘤(sacrococcygeal teratoma),而解題關鍵在於辨識手術原則中哪一點是錯誤的。圖片中新生兒薦尾椎處有一個明顯突出、表面血管豐富的巨大腫塊。
選項拆解
小兒外科28 / 69
【107-2 醫學(五) 第45題】一名5歲大的女童因為頸部中線腫塊,經檢查為甲狀舌骨囊腫(thyroglossal duct cyst)。有關其手術方式 (Sistrunk procedure)之描述,下列何者最正確?
詳解
破題關鍵
甲狀舌骨囊腫手術的成功關鍵是完整切除囊腫、舌骨中段以及通往舌根的殘餘管道。
選項拆解
-A:錯在不夠完整。僅切除囊腫和舌骨中段,但未提及切除通往舌底部的管道,可能導致復發。
小兒外科29 / 69
【107-2 醫學(五) 第46題】關於先天性肺部呼吸道畸形(congenital pulmonary airway malformation)的治療,下列何者比較正確?
詳解
破題關鍵
先天性肺部呼吸道畸形若造成新生兒呼吸窘迫,需緊急手術處理。
選項拆解
-A:正確。新生兒若因CPAM導致呼吸衰竭,表示病灶已嚴重影響呼吸功能,需要緊急手術切除以解除壓迫,挽救生命。
小兒外科30 / 69
【107-2 醫學(五) 第47題】一名3歲15公斤的男童從6層樓跌落送來急診,生命徵象為心跳160下/分、血壓70/30 mmHg、呼吸30下/ 分,適當的急救輸液給法為何?
詳解
破題關鍵
兒童創傷性休克的初步急救輸液,應以等張晶體溶液快速輸注,並根據反應評估是否需要輸血。
選項拆解
-A:錯在「血漿替代液 (Gelofusine)」不是兒童創傷性休克的第一線急救輸液,且輸液策略不完整。
小兒外科31 / 69
【107-2 醫學(五) 第48題】15歲男孩因排黏液血便求診,詢問其家族史發現他的父親、叔叔及姑姑皆有大腸息肉或癌症病史,內視鏡發現其大腸約有數百個大小息肉,下列相關敘述何者正確?①致病成因為mismatch repair基因遺傳性突變 ② 基因突變位於5q21 ③為顯性遺傳(autosomal dominance) ④此類病人大於50%之比率沒有家族史
詳解
破題關鍵
根據家族史和數百個大腸息肉的描述,此病例最符合家族性腺瘤性息肉症 (FAP) 的特徵。
選項拆解
-① 致病成因為mismatch repair基因遺傳性突變:錯誤。這是Lynch syndrome的致病原因。FAP是由APC基因突變引起。
小兒外科32 / 69
【107-2 醫學(五) 第70題】有關小孩包皮的敘述,下列何者正確?
詳解
破題關鍵
生理性包莖在兒童期會自然緩解,大部分男孩在學齡前包皮即可自行退下。
選項拆解
-A:錯在包皮環切術雖然能降低陰莖癌和尿路感染的風險,但並非所有小孩都「最好」施行。這是一個有爭議的議題,需考量文化、宗教、個人意願及潛在併發症等因素。
心臟胸腔外科33 / 69
【107-2 醫學(五) 第18題】有關嚴重二尖瓣膜逆流(severe mitral regurgitation)之敘述,下列何者錯誤?
詳解
破題關鍵
二尖瓣逆流的手術選擇,修補通常比置換有更好的長期預後。
選項拆解
-A:正確。急性嚴重二尖瓣膜逆流 (acute severe mitral regurgitation) 併心臟衰竭時,病情進展迅速,藥物治療效果有限,應考慮提早接受手術治療以改善預後。
心臟胸腔外科34 / 69
【107-2 醫學(五) 第19題】有關二尖瓣嚴重狹窄(severe mitral stenosis)之治療,下列何者錯誤?
詳解
破題關鍵
二尖瓣狹窄的治療時機,症狀是重要的考量因素。
選項拆解
心臟胸腔外科35 / 69
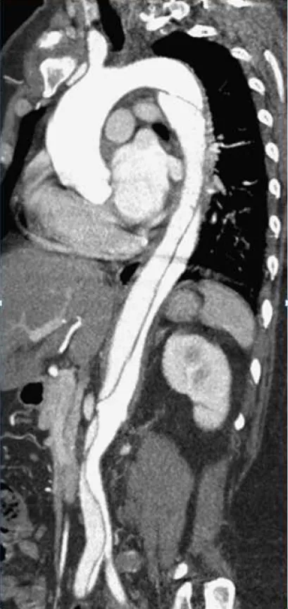
【107-2 醫學(五) 第20題】50歲男性病患主訴,有高血壓病史,未接受規則性之治療,3星期前有突發性撕裂性背痛至今仍舊無法緩解。電腦斷層顯示如下圖,下列診斷及治療何者錯誤?

詳解
破題關鍵
這題的解題核心在於辨識電腦斷層影像中的主動脈剝離類型,並結合病患病史判斷其屬於急性、亞急性或慢性,最後根據最新的治療指引來評估各選項的正確性。圖片中可見主動脈內膜剝離形成的雙腔結構,且剝離範圍始於降主動脈,是判斷主動脈剝離類型的重要視覺線索。
選項拆解
心臟胸腔外科36 / 69
【107-2 醫學(五) 第21題】心臟手術時使用的人工心肺機包含下列那些裝置?①熱交換器(heat exchanger) ②主動脈鉗夾(aortic clamp) ③幫浦(pump) ④氧合器(oxygenator)
詳解
破題關鍵
人工心肺機的核心功能是取代心臟和肺臟,進行血液循環和氣體交換。
選項拆解
-A:錯在包含②。主動脈鉗夾 (aortic clamp) 是手術器械,不屬於人工心肺機的組成。
-B:錯在包含②。主動脈鉗夾 (aortic clamp) 是手術器械,不屬於人工心肺機的組成。
心臟胸腔外科37 / 69
【107-2 醫學(五) 第22題】一位58歲男性因急性胸痛,伴隨冷汗來急診求助,當下安排之檢查,下列何者較不適當?
詳解
破題關鍵
急性胸痛的鑑別診斷,需要快速排除危及生命的疾病。
選項拆解
-A:正確。胸部電腦斷層 (chest CT) 可以快速評估多種急性胸痛原因,如主動脈剝離、肺栓塞、氣胸等,對於鑑別診斷非常重要。
心臟胸腔外科38 / 69
【107-2 醫學(五) 第24題】關於縱膈腔腫瘤之臨床症狀及診斷,下列敘述何者錯誤?
詳解
破題關鍵
許多縱膈腔腫瘤在初期是沒有症狀的,常常是意外發現。
選項拆解
-A:正確。臨床症狀確實取決於腫瘤位置、大小及惡性程度,因為這些因素決定了腫瘤會壓迫到哪些周圍組織。
心臟胸腔外科39 / 69
【107-2 醫學(五) 第25題】關於乳糜胸之敘述,何者正確?
詳解
破題關鍵
假性乳糜胸與慢性發炎有關,而真正的乳糜胸則是因為淋巴管受損。
選項拆解
心臟胸腔外科40 / 69
【107-2 醫學(五) 第27題】下列對於單一肺結節(solitary pulmonary nodule, SPN)的敘述,何者錯誤?
詳解
破題關鍵
單一肺結節的定義是小於3公分,不是2公分。
選項拆解
-A:錯在「小於2公分」。單一肺結節的定義是小於或等於3公分,而非2公分。
-B:正確。單一肺結節中,良性病灶的比例通常高於惡性,尤其是在低風險人群中,惡性率可能低於50%。
心臟胸腔外科41 / 69
【107-2 醫學(五) 第77題】一位30歲的男性工人從6公尺高的鷹架墜落,身體檢查顯示收縮壓120 mmHg,右胸有明顯的連迦胸(flail chest),嚴重的呼吸窘迫(severe respiratory distress),右胸呼吸聲音稍微降低,叩診時則左右兩側類似。給予非再呼吸型面罩氧氣15 L/min後,其動脈氣體分析為pH:7.47,PaO2:65 mmHg,PaCO2:28 mmHg;下列何者最可能解釋他的異常動脈氣體分析之原因?
詳解
破題關鍵
高處墜落導致連迦胸和呼吸窘迫,動脈血氣分析顯示低氧血症和呼吸性鹼中毒。
選項拆解
-A:錯在 [主要原因]。疼痛確實會導致呼吸急促和過度換氣,但單純疼痛不會造成PaO2明顯下降的低氧血症。肺挫傷才是導致低氧血症的主要原因。
泌尿外科42 / 69
【107-2 醫學(五) 第64題】一位建築工地工人在工作中由二樓摔到地面,骨盆著地,被緊急送往醫院。病人血壓穩定,心跳快速,下腹疼痛併尿滯留,下列何者錯誤?
詳解
破題關鍵
跨騎受傷主要影響前尿道,而膜部尿道屬於後尿道,主要與骨盆骨折相關。
選項拆解
泌尿外科43 / 69
【107-2 醫學(五) 第65題】有關家族性腎細胞癌(familial renal cell carcinoma)之敘述,下列何者錯誤?
詳解
破題關鍵
遺傳性疾病的發病年齡通常較早,且疾病表現的發生率(penetrance)較高。
選項拆解
泌尿外科44 / 69
【107-2 醫學(五) 第66題】一位70歲男性膀胱癌病人,接受經尿道膀胱腫瘤切除術(TUR-BT),術中發現只有1個約1公分之腫瘤,病理切片是移形細胞癌(transitional cell carcinoma)grade I,期別是Ta,下列手術後處置何者正確?
詳解
破題關鍵
低風險的非肌肉侵犯性膀胱癌(Ta, G1),術後建議單次膀胱內化學藥物灌注。
選項拆解
-A:錯在卡介苗(BCG)灌注主要用於中高風險的非肌肉侵犯性膀胱癌,本案例為低風險,不需使用BCG。
泌尿外科45 / 69
【107-2 醫學(五) 第67題】中風病人最常見的排尿障礙為何?
詳解
破題關鍵
中風屬於上運動神經元病變,會導致膀胱失去大腦的抑制,引起逼尿肌過度活躍。
選項拆解
-A:錯在膀胱無收縮力(acontractile bladder)通常發生在下運動神經元損傷(如脊髓圓錐或馬尾神經損傷),中風屬於上運動神經元損傷,通常不會導致膀胱完全無收縮力。
消化系外科46 / 69
【107-2 醫學(五) 第26題】關於Achalasia之敘述,下列何者錯誤?
詳解
破題關鍵
食道弛緩不能 (Achalasia) 增加的是鱗狀上皮癌的風險,而不是腺癌。
選項拆解
-A:正確。目前的理論認為食道弛緩不能是由於支配食道下括約肌的抑制性神經元受損所致。
消化系外科47 / 69
【107-2 醫學(五) 第29題】張奶奶已經76歲了,B型肝炎帶原多年,這次被診所醫師發現肝臟有三顆腫瘤,合併有甲型胎兒蛋白 (AFP)上升,懷疑是肝癌而住院。抽血報告如下。若考慮為患者進行手術,下列何項措施最不恰當?

詳解
破題關鍵
這題的解題核心在於判讀病患的抽血報告,尤其是凝血功能相關的數值,並判斷在這些異常狀況下,直接進行手術是否恰當。圖片中張奶奶的血小板數值極低,且凝血酶原時間(PT)明顯延長,這些都是手術前必須矯正的嚴重凝血功能障礙。
選項拆解
消化系外科48 / 69
【107-2 醫學(五) 第30題】闌尾炎為常見之急性腹症,下列敘述何者不合宜?
詳解
破題關鍵
闌尾炎雖然常見,但主要好發於青少年和年輕成人,在極端年齡層(兒童和老年人)的發生率相對較低,且診斷更具挑戰性。
選項拆解
-A:錯在「常好發於老年人及兒童」。急性闌尾炎雖然是常見的腹部急症,但其好發年齡主要在青少年和年輕成人。在兒童和老年人中,發生率相對較低,且診斷較困難。
消化系外科49 / 69
【107-2 醫學(五) 第31題】下列對於胰臟癌之敘述,何者並不適合?
詳解
破題關鍵
胰臟癌最常發生在胰臟頭部,而不是體部。
選項拆解
-A:錯在「胰臟癌好發於胰臟體部,其次為頭和迴溝處」。胰臟癌最常見的發生部位是胰臟頭部(約70%),其次才是體部和尾部。預後與診斷時的腫瘤分期最有關聯這部分是正確的。
消化系外科50 / 69
【107-2 醫學(五) 第32題】下列何者不是胃繞道減重手術(Roux-en-Y gastric bypass)長期術後常見的合併症?
詳解
破題關鍵
胃繞道手術會將膽汁引流到遠端小腸,因此不會造成膽汁逆流到食道。
選項拆解
-A:正確。邊緣性潰瘍 (marginal ulcer) 是RYGB術後常見的長期併發症,通常發生在胃小囊與空腸吻合處。