內分泌外科1 / 63
【111-1 醫學(五) 第45題】依據TNM分類,對分化良好甲狀腺癌的存活率,下列何者影響力最弱?
詳解
破題關鍵
分化良好甲狀腺癌的預後主要受腫瘤侵犯程度、轉移情況和患者年齡影響,甲狀腺功能狀態影響不大。
選項拆解
-A:腫瘤大小是影響分化良好甲狀腺癌預後的重要因素之一,較大的腫瘤通常預後較差。
內分泌外科2 / 63
【111-1 醫學(五) 第46題】甲狀腺手術後發生呼吸困難,下列原因何者最不可能?
詳解
破題關鍵
甲狀腺功能低下是慢性變化,不會在術後急性期立即導致呼吸困難。
選項拆解
-A:術後血腫(hematoma)壓迫氣管是甲狀腺手術後急性呼吸困難的常見且危險原因,需要緊急處理。
內分泌外科3 / 63
【111-1 醫學(五) 第47題】一位60歲男性因腹痛數月就醫檢查,發現胰臟中段有一3公分腫瘤,手術切除後病理診斷為胰臟神經內分泌腫瘤(pancreatic neuroendocrine tumor),下列敘述何者錯誤?
詳解
破題關鍵
胰島素瘤 (insulinoma) 的診斷除了免疫染色,更重要的是其功能性表現,即分泌胰島素導致低血糖。
選項拆解
內分泌外科4 / 63
【111-1 醫學(五) 第48題】關於乳房Paget disease之敘述,下列何者正確?
詳解
破題關鍵
乳房Paget病是一種特殊類型的乳腺癌,通常伴隨潛在的乳腺導管癌,因此淋巴結轉移風險高。
選項拆解
-A:錯在「治療以類固醇為主」。Paget病是癌症,不是單純的皮膚病,治療必須針對癌症本身,通常是手術切除,而非類固醇。
內分泌外科5 / 63
【111-1 醫學(五) 第49題】張女士的乳房攝影報告為BI-RADS category 4A,表示:
詳解
破題關鍵
BI-RADS 4A 意味著有可疑的惡性特徵,需要進一步的病理診斷。
選項拆解
-A:需要再做其他影像學檢查通常是BI-RADS 0的建議。BI-RADS 4A已經是可疑病灶,更重要的是進行組織學診斷。
內分泌外科6 / 63
【111-1 醫學(五) 第50題】關於腹直肌皮瓣transverse rectus abdominis myocutaneous(TRAM)flap,下列敘述何者錯誤?
詳解
破題關鍵
TRAM flap手術是個大手術,需要良好的血液循環和組織癒合能力,任何影響這些功能的因素都會增加風險。
選項拆解
-A:正確。腹直肌皮瓣是自體組織乳房重建的常用方法之一,可以提供足夠的組織量進行全乳房重建。
外科通論與急重症7 / 63
【111-1 醫學(五) 第1題】下列敘述,何者正確?
詳解
破題關鍵
大量生理食鹽水(0.9% NaCl)會導致高氯性代謝性酸中毒。
選項拆解
-A:錯在「會造成鹼血症」。從上消化道(如嘔吐)大量流失胃酸(HCl)會造成代謝性鹼中毒。但腹瀉會流失大量碳酸氫鹽,導致代謝性酸中毒。因此,此敘述是矛盾且不正確的。
外科通論與急重症8 / 63
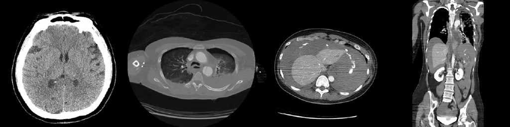
【111-1 醫學(五) 第4題】一位53歲女性駕駛小轎車與對側高速來車相撞,立刻被緊急送至第一級(Level I)創傷中心急救。到院時意識狀態清楚,主訴兩側胸部及腹部疼痛、兩側手腕及左下肢劇痛。理學檢查發現血壓80/50 mmHg、心跳115次/分、呼吸20次/分,給與氧氣5公升/分鐘使用後,動脈血氧飽和度可達98%;另左胸呼吸音減低,腹部微脹有明顯瀰漫性壓痛,雙側手腕變形及左股骨開放性骨折。經快速大量輸液治療後血壓上升至100/55 mmHg,故安排緊急全身顯影電腦斷層,結果如附圖。病人送回急救區後發現意識模糊,但對深痛刺激有反應,生命徵象為血壓60/40 mmHg、心跳125次/分、呼吸20次/分,動脈血氧飽和度無法偵測。下列何種醫療處置較為適當?

詳解
破題關鍵
這題的解題核心在於判斷病人休克惡化的最主要原因,並根據影像學證據採取最緊急且能挽救生命的處置。圖片中腹部電腦斷層顯示脾臟嚴重撕裂傷伴隨大量腹腔內出血,這是導致病人休克惡化的關鍵原因,需要立即手術止血。
選項拆解
外科通論與急重症9 / 63
【111-1 醫學(五) 第6題】下列何者並非術後發生低血鈉症(hyponatremia)時的常見症狀?
詳解
破題關鍵
低血鈉症主要影響中樞神經系統,通常不會直接引起心跳加速。
選項拆解
-A:正確。頭痛是低血鈉症常見的早期神經學症狀之一,與腦細胞水腫有關。
外科通論與急重症10 / 63
【111-1 醫學(五) 第7題】車禍現場發現一受傷中年男性病人,中等身材,身下一灘血面積約0.2平方公尺,病人心跳每分鐘125下,脈搏微弱,血壓為75/40 mmHg,意識清醒但呈現混亂,該病人最可能的失血量為下列何者?
詳解
破題關鍵
根據病人的生命徵象(心跳、血壓、意識狀態),判斷其失血性休克的嚴重程度,並對應ATLS的失血量分級。
選項拆解
-A:錯在「<500 mL」。500 mL屬於Class I失血,此時心跳、血壓和意識通常正常。
外科通論與急重症11 / 63
【111-1 醫學(五) 第8題】面對一位胸腔穿刺傷的病患,下列那些狀況須考慮手術探查治療?①一置入胸管立刻流出1,500 mL鮮血 ②超音波顯示有心包填塞(pericardial tamponade) ③開放式氣胸 ④兩側胸腔皆疑似受傷 ⑤胸管內除血液外同時有少量氣體溢出
詳解
破題關鍵
胸腔穿刺傷後,如果出血量大、心臟受壓迫或氣胸嚴重到影響呼吸,就必須考慮手術處理。
選項拆解
-A:錯誤。①②③皆為手術探查的適應症,但此選項只包含①②,不完整。
外科通論與急重症12 / 63
【111-1 醫學(五) 第21題】關於燒燙傷的傷口感染,下列敘述何者正確?
詳解
破題關鍵
燒燙傷的感染管理和藥物副作用是重點,特別是局部抗生素藥膏的特性。
選項拆解
-A:錯誤。全身性預防性抗生素不建議常規使用於燒燙傷患者,因為會增加抗藥性細菌的風險,且無法有效預防傷口感染。抗生素應在有感染證據時才使用。
外科通論與急重症13 / 63
【111-1 醫學(五) 第22題】肉芽組織(granulation tissue)不包含下列何種細胞?
詳解
破題關鍵
肉芽組織是傷口癒合過程中的重要組成,了解其主要細胞成分是關鍵。
選項拆解
-A:纖維母細胞 (fibroblast) 是肉芽組織的重要成分,負責產生膠原蛋白和其他細胞外基質。
外科通論與急重症14 / 63
【111-1 醫學(五) 第24題】下列關於皮膚移植(skin graft)之敘述,何者錯誤?
詳解
破題關鍵
理解不同類型皮膚移植的特性、優缺點以及供皮區的選擇原則。
選項拆解
-A:正確。部分皮膚移植 (split thickness skin graft) 包含表皮層和部分真皮層。
外科通論與急重症15 / 63
【111-1 醫學(五) 第25題】24歲男性騎機車自摔,造成顏面外傷(facial trauma)出血,被送到急診處理。有關顏面外傷的處置,下列敘述何者錯誤?
詳解
破題關鍵
顏面外傷的急診處置遵循創傷處置的ABCDE原則,並非所有骨折都需要立即手術。
選項拆解
-A:正確。顏面外傷可能伴隨嚴重出血或顱內損傷,因此評估大出血和顱內出血是急診處置的首要任務之一。
外科通論與急重症16 / 63
【111-1 醫學(五) 第32題】一位25歲年輕人和人爭吵,對方拿出水果刀刺向他的心窩,送至急診室,呈現休克狀況,醫師理學檢查發現劍突上方有1公分之傷口,兩側外頸靜脈鼓張,兩側呼吸聲一致,以下處置,那一項不適合?
詳解
破題關鍵
病人休克、頸靜脈鼓脹,很可能是心包膜填塞,這時候要爭取時間救命,不能花時間做X光。
選項拆解
-A:正確。心臟超音波是診斷心包膜填塞最快、最準確的方法,可以在床邊立即進行。
外科通論與急重症17 / 63
【111-1 醫學(五) 第38題】王先生56歲,預計2天後接受胰臟癌手術。作為外科手術隊的成員,你詢問王先生有無服用任何可能導致出血的藥物或草藥。得知王先生6個月前接受心臟手術,仍然在服用Plavix(clopidogrel)、aspirin、 Norvasc(amlodipine)及Inderal來控制心臟術後的病情。另患者術前檢測的PT和aPTT值均在正常範圍內,你下一步要做什麼術前準備?
詳解
破題關鍵
病人正在服用抗血小板藥物,即使PT/aPTT正常,手術出血風險仍高,必須停藥足夠時間才能手術。
選項拆解
-A:錯在敘述。即使準備了新鮮血漿和紅血球,也無法完全彌補血小板功能異常帶來的出血風險,且不符合術前停藥的標準流程。
外科通論與急重症18 / 63
【111-1 醫學(五) 第39題】一名25歲的女性患者主訴右下腹疼痛,下列那一項病史對鑑別診斷病因幫助最少?
詳解
破題關鍵
右下腹痛的鑑別診斷主要圍繞在婦科、泌尿科和腸胃道問題,藥物過敏史通常不是鑑別診斷的重點。
選項拆解
-A:錯在敘述。月經週期及最近的性生活史對於鑑別診斷婦科相關的右下腹痛 (如異位妊娠、卵巢囊腫、骨盆腔發炎) 至關重要。
外科通論與急重症19 / 63
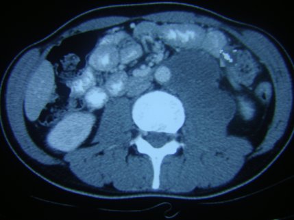
【111-1 醫學(五) 第74題】下圖為中年男性所呈現的後腹膜腔腫瘤,最不可能的診斷為:
詳解
破題關鍵
這題的解題核心在於判斷哪種腫瘤「最不可能」出現在後腹膜腔,特別是考慮到腫瘤的來源和轉移特性。圖片顯示一個巨大的後腹膜腔腫瘤,但關鍵在於選項B所指的腦部原發腫瘤極少轉移到腦部以外。
選項拆解
外科通論與急重症20 / 63
【111-1 醫學(五) 第77題】腔室症候群須靠下列那個條件來確定診斷?
詳解
破題關鍵
腔室症候群的診斷黃金標準是測量腔室壓力。
選項拆解
-A:正確。腔室內壓力超過 30 mmHg 是診斷腔室症候群的黃金標準之一。
外科通論與急重症21 / 63
【111-1 醫學(五) 第78題】王先生是一位38歲的生意人,已婚並育有一兒一女,因為肛門膿瘍住院準備接受切開引流手術。在理學檢查的過程中,發現病患左手臂有幾處像卡波希氏肉瘤的紅紫色斑塊,在醫師幾經詢問之下,王先生承認有幾次嫖妓經驗且沒有安全防護措施,檢查後證實為AIDS早期患者,王先生哀求醫師不要告知他的太太,他發誓會保護太太免於傳染,並說這是他的隱私權。根據我國法令,醫師應該如何處理?
詳解
破題關鍵
醫師有通報法定傳染病的義務,但告知配偶需評估,且應先鼓勵病人自行告知。
選項拆解
-A:錯在告知太太需要更謹慎的評估,並非通報後就直接告知。醫師應先勸導病人自行告知。
-B:錯在醫師不能因為病人是愛滋病患者或考量自身安全而拒絕治療,這是違反醫療倫理和法律規定的。
外科通論與急重症22 / 63
【111-1 醫學(五) 第79題】王先生因為車禍造成肝臟破裂大出血,送到急診室時生命徵象已呈不穩。病歷上記載王先生兩年前曾因肺癌接受左下肺葉切除手術。由於宗教因素當時病歷上已簽署在任何狀況下都拒絶接受輸血治療。所幸上次手術一切順利並不需輸血。然而這次因大量失血造成出血性休克需緊急手術;王先生的太太請求主刀醫師盡一切努力救治他,必要時也同意為王先生輸血,她願意負起所有責任。此時醫師應如何處理?
詳解
破題關鍵
病人事前簽署的拒絕輸血意願,在意識清楚時具有法律效力,即使家屬同意輸血,醫師仍應尊重病人意願。
選項拆解
-A:錯在太太的同意不能凌駕於病人本人預立的拒絕輸血意願之上。
-B:錯在公正第三者見證也不能改變病人本人預立的拒絕輸血意願的法律效力。
外科通論與急重症23 / 63
【111-1 醫學(五) 第80題】臨床上在處理利益衝突(conflict of interest)的方式,不包括下列何者?
詳解
破題關鍵
利益衝突的處理方式是公開、審議、禁止或處罰,而非建立賠償機制。
選項拆解
-A:錯在公開揭露是處理利益衝突最基本且重要的方式,讓相關方知情。
-B:錯在交付倫理委員會審議是常見的處理方式,由獨立第三方評估和建議。
小兒外科24 / 63
【111-1 醫學(五) 第5題】下列何項不是肝臟移植之適應症?
詳解
破題關鍵
肝臟移植是針對原發性、不可逆的末期肝病,若肝病是次發於其他器官的嚴重疾病(如心臟衰竭),則需優先處理原發疾病。
選項拆解
小兒外科25 / 63
【111-1 醫學(五) 第30題】對剛出生之新生兒,下列何種病情無法用前列腺素E1(prostaglandin E1)暫時緩解臨床血氧下降 (desaturation)及發紺(cyanosis)之危況,必須立即手術?
詳解
破題關鍵
前列腺素E1 (PGE1) 的作用是維持動脈導管暢通,但有些心臟病就算動脈導管開著也沒用。
選項拆解
-A:錯在敘述。左心室發育不全症候群 (Hypoplastic Left Heart Syndrome) 需要動脈導管開放來維持全身血流,PGE1 可以暫時緩解。
小兒外科26 / 63
【111-1 醫學(五) 第52題】小兒並非成人的縮體,所以對於需要接受手術的新生兒,更需嚴密評估及監測其生理狀況。下列對於新生兒的生理描述及評估,何者錯誤?
詳解
破題關鍵
新生兒的肺泡發育是一個漫長的過程,並非只持續到8個月大。
選項拆解
-A:正確。微血管回填充時間是快速評估新生兒周邊組織灌流狀況的指標,超過2秒通常提示灌流不足。
小兒外科27 / 63
【111-1 醫學(五) 第53題】一名3個月大的女嬰,媽媽發現女嬰的頭總是轉向右邊,所以被帶來小兒外科門診。下列敘述何者錯誤?
詳解
破題關鍵
先天性斜頸的病因是胸鎖乳突肌的問題,不是斜方肌。
選項拆解
-A:正確。嬰兒頭部總是轉向一邊,最常見的原因就是先天性斜頸。
小兒外科28 / 63
【111-1 醫學(五) 第54題】對於先天性橫膈膜疝氣(congenital diaphragmatic hernia)的治療,下列何者最適當?
詳解
破題關鍵
先天性橫膈膜疝氣的治療重點是穩定新生兒的呼吸循環,避免肺部進一步受損,而不是立即手術。
選項拆解
-A:錯在「具有良好預後」。胎兒修補橫膈膜疝氣手術 (fetal surgery) 對於嚴重CDH的預後仍有爭議,且有其風險,並非所有情況都適用或預後良好。
小兒外科29 / 63
【111-1 醫學(五) 第55題】在先天性腹壁缺損中,腹裂(gastroschisis)較少合併其他器官的先天性異常,下列何者在腹裂的病人中較常見?
詳解
破題關鍵
腹裂雖然較少合併其他器官異常,但腸道本身因暴露於羊水中,容易產生併發症。
選項拆解
-A:錯在「較少合併」。腹裂通常不伴隨先天性心臟病,這是臍膨出較常見的合併症。
-B:錯在「較少合併」。腹裂通常不伴隨染色體異常,這也是臍膨出較常見的合併症。
小兒外科30 / 63
【111-1 醫學(五) 第56題】下列關於軟組織腫瘤(soft tissue tumor)的敘述,何者最不適當?
詳解
破題關鍵
成人最常見的軟組織肉瘤是脂肪肉瘤,滑膜肉瘤並非第二常見。
選項拆解
-A:正確。腹腔外硬纖維瘤 (extraabdominal desmoid tumors) 確實又稱侵襲性纖維瘤病 (aggressive fibromatosis),其特點是局部侵襲性強,但不會轉移。
心臟胸腔外科31 / 63
【111-1 醫學(五) 第26題】下列對瓣膜(主動脈瓣或二尖瓣)置換之敘述,何者錯誤?
詳解
破題關鍵
理解機械瓣膜和生物瓣膜的特性、優缺點以及術後抗凝血和抗排斥藥物的需求。
選項拆解
-A:正確。機械性瓣膜因其材料特性,容易形成血栓,因此患者需要終身服用抗凝血藥物 (如 warfarin) 來預防血栓栓塞。
心臟胸腔外科32 / 63
【111-1 醫學(五) 第27題】有關無幫浦不停跳冠狀動脈繞道手術(off-pump coronary artery bypass grafting, OPCAB)之敘述,下列何者錯誤?
詳解
破題關鍵
了解 OPCAB 的優缺點及其在臨床實踐中的地位。
選項拆解
-A:正確。OPCAB 是冠狀動脈繞道手術的一種方式,特別適用於某些特定患者,例如腎功能不佳或有嚴重動脈粥狀硬化的患者。
心臟胸腔外科33 / 63
【111-1 醫學(五) 第28題】將主動脈分為五大部分,如附圖,則主動脈內氣球幫浦(intra-aortic balloon pump, IABP)置入後,球囊(intra-aortic balloon)最佳位置應於:

詳解
破題關鍵
這題考的是主動脈內氣球幫浦(IABP)的正確置放位置。圖片中,主動脈被分為五個部分,解題的關鍵在於辨識出哪一個部分是降主動脈,且能避免阻塞重要分支血管。
選項拆解
心臟胸腔外科34 / 63
【111-1 醫學(五) 第29題】80歲男性抽菸且合併高血壓、糖尿病病史,接受頸動脈血管攝影檢查之結果如附圖。則下列敘述何者錯誤?

詳解
破題關鍵
這題的關鍵在於正確判讀頸動脈血管攝影(carotid angiogram),辨識出狹窄(stenosis)的位置。影像清楚顯示狹窄發生在內頸動脈(internal carotid artery),而非外頸動脈(external carotid artery)。
選項拆解
心臟胸腔外科35 / 63
【111-1 醫學(五) 第31題】關於縱隔腔炎之敘述,何者錯誤?
詳解
破題關鍵
急性縱隔腔炎是個很嚴重的感染,光靠抗生素通常不夠,常常需要手術引流。
選項拆解
-A:正確。齒齦發炎或深頸部感染可能沿著筋膜間隙擴散到縱隔腔,導致急性縱隔腔炎。
-B:正確。慢性縱隔腔炎通常是纖維化或肉芽腫性病變,手術難以完全切除病灶,主要用於診斷或緩解壓迫症狀。
心臟胸腔外科36 / 63
【111-1 醫學(五) 第33題】關於肺癌手術的敘述,下列何者正確?
詳解
破題關鍵
肺癌手術的原則是盡量切除乾淨,但也要考慮病人的狀況和腫瘤的期別。
選項拆解
-A:錯在敘述。非常早期 (如T1N0M0) 的小細胞肺癌,如果能完全切除,手術仍是一個選項,儘管不常見。
泌尿外科37 / 63
【111-1 醫學(五) 第65題】下列有關肌肉侵犯型膀胱癌的敘述,何者最正確?
詳解
破題關鍵
膀胱癌合併水腎通常表示腫瘤已侵犯輸尿管開口或造成阻塞,是疾病進展的指標。
選項拆解
-A:錯在「約10%病人」。肌肉侵犯型膀胱癌即使接受膀胱根除術,術後轉移率仍高,約30-50%,遠高於10%。
泌尿外科38 / 63
【111-1 醫學(五) 第69題】關於血尿的病人,下列何者從病史就可以判斷最可能是由尿路感染所引起?
詳解
破題關鍵
尿路感染的典型症狀是排尿疼痛、頻尿、急尿,並可能伴隨血尿。
選項拆解
-A:錯在「無痛血尿」。75歲男性,近一個月陣發性無痛血尿,這是膀胱癌等泌尿道惡性腫瘤的典型表現,需要進一步檢查。
消化系外科39 / 63
【111-1 醫學(五) 第9題】59歲無特定病史男性,被診斷罹患無遠處轉移的結腸癌,手術後病理結果為pT3N1。以目前的治療指引應建議病人接受下列何項治療?
詳解
破題關鍵
結腸癌手術後,如果病理報告顯示淋巴結有轉移 (N1),即使沒有遠處轉移,也需要接受輔助性化學治療。
選項拆解
-A:錯在「追蹤」。pT3N1已是第三期結腸癌,有淋巴結轉移,單純追蹤復發風險太高,需要輔助性化學治療。
消化系外科40 / 63
【111-1 醫學(五) 第10題】有關大腸直腸的胚胎發育,下列敘述何者錯誤?
詳解
破題關鍵
胚胎發育時,消化道的分段與其血液供應和最終形成的器官範圍有明確的對應關係。
選項拆解
-A:正確。前腸衍生結構(foregut-derived structures)的血液供應確實來自腹腔動脈(celiac artery)。
消化系外科41 / 63
【111-1 醫學(五) 第11題】有關大腸直腸的生理敘述,下列何者錯誤?
詳解
破題關鍵
大腸菌群雖然對人體有益,但在肝衰竭病人身上,其分解尿素產生的氨反而會加重病情。
選項拆解
消化系外科42 / 63
【111-1 醫學(五) 第12題】一位40歲男性至急診就診主訴解血便兩日,到院時意識清楚,體溫為攝氏36.5度,心跳每分鐘120次,呼吸次數每分鐘26次,血壓90/56 mmHg。有關後續處置,下列何者較不適宜?
詳解
破題關鍵
面對下消化道出血且生命徵象不穩定的病人,首要任務是穩定生命徵象,並找出出血點,而非立即手術。
選項拆解
-A:正確。完整的病史詢問(如息肉切除史、抗凝血劑使用)和理學檢查(包含肛門指診)對於評估出血原因和嚴重程度非常重要。
消化系外科43 / 63
【111-1 醫學(五) 第13題】有關腹腔鏡闌尾切除手術,下列敘述何者錯誤?
詳解
破題關鍵
年長病患因生理儲備功能下降,闌尾炎常較晚診斷,導致複雜性闌尾炎比例高,進而增加整體併發症風險,但感染相關併發症不一定比年輕病患高。
選項拆解
消化系外科44 / 63
【111-1 醫學(五) 第14題】關於自然孔洞手術(natural orifice transluminal endoscopic surgery, NOTES)的敘述,下列何者錯誤?
詳解
破題關鍵
經肛門內視鏡手術 (TEMS) 主要適用於直腸中下段的腫瘤,其操作範圍有一定限制。
選項拆解
-A:正確。自然孔洞手術(NOTES)由於操作空間受限、器械特殊、缺乏三角定位等因素,技術上確實比傳統內視鏡手術更具挑戰性,對醫師而言心理壓力較大,學習曲線也較長。
消化系外科45 / 63
【111-1 醫學(五) 第34題】下列何種術式非用於治療胃食道逆流?
詳解
破題關鍵
治療胃食道逆流的手術主要是把胃底部包在食道下端,加強抗逆流機制。
選項拆解
-A:錯在敘述。Nissen fundoplication 是一種常見的胃底摺疊術,用於治療胃食道逆流。
消化系外科46 / 63
【111-1 醫學(五) 第35題】關於食道癌最新(stage、classification)之T,下列何者錯誤?
詳解
破題關鍵
食道癌的T分期是看腫瘤侵犯的深度,T1是侵犯到黏膜下層,不是肌肉層。
選項拆解
-A:正確。Tis 代表高度分化不良 (high-grade dysplasia),癌細胞尚未穿透基底膜。
消化系外科47 / 63
【111-1 醫學(五) 第36題】下列何者非構成lower esophageal sphincter之解剖構造?
詳解
破題關鍵
下食道括約肌是由食道本身的肌肉、胃的肌肉和橫膈膜的肌肉共同組成的。
選項拆解
-A:錯在敘述。食道遠端的內在肌肉 (intrinsic musculature of distal esophagus) 是構成下食道括約肌的重要部分。
消化系外科48 / 63
【111-1 醫學(五) 第37題】對於何時應懷疑有胰臟癌(pancreatic cancer)的存在,下列敘述何者錯誤?
詳解
破題關鍵
胰臟癌的症狀通常不明顯,但有些非典型的表現,特別是新發糖尿病或不明原因的體重減輕,要特別小心。Murphy's sign是膽囊發炎的指標。
選項拆解
-A:錯在敘述。不明原因的體重減輕或長期腹部悶痛是胰臟癌的常見非特異性症狀,應提高警覺。
消化系外科49 / 63
【111-1 醫學(五) 第40題】有關細菌性肝臟膿瘍的敘述,下列何者正確?
詳解
破題關鍵
肝膿瘍的病因有地域性差異,膽道感染是主要來源。
選項拆解
-A:錯在「肝動脈血液感染」。最常見的原因是膽道系統上行感染,其次是門靜脈感染。肝動脈感染(菌血症)是較少見的原因。
消化系外科50 / 63
【111-1 醫學(五) 第41題】下列何種胃部變化與胃癌的癌前變化關聯最大?
詳解
破題關鍵
慢性發炎導致的胃黏膜萎縮和腸化生是胃癌的溫床。
選項拆解
-A:錯在「hyperplastic polyp」。增生性息肉 (hyperplastic polyp) 通常是良性的,惡變機率較低,除非體積很大或有異生變化。