【107-1 醫學(五) 第37題】有關多發性內分泌贅瘤症候群(multiple endocrine neoplasia,MEN)的敘述,下列何者錯誤?
詳解
破題關鍵
MEN症候群是多種內分泌腺體腫瘤的遺傳性疾病,不同類型有其特定的組合,MEN 2C (現在多稱為MEN 2B) 的特徵組合是甲狀腺髓質癌、嗜鉻細胞瘤和黏膜神經瘤。
選項拆解
登入查看完整詳解與互動作答
共 67 題(登入後可互動作答與查看詳解)
【107-1 醫學(五) 第37題】有關多發性內分泌贅瘤症候群(multiple endocrine neoplasia,MEN)的敘述,下列何者錯誤?
詳解
破題關鍵
MEN症候群是多種內分泌腺體腫瘤的遺傳性疾病,不同類型有其特定的組合,MEN 2C (現在多稱為MEN 2B) 的特徵組合是甲狀腺髓質癌、嗜鉻細胞瘤和黏膜神經瘤。
選項拆解
登入查看完整詳解與互動作答
【107-1 醫學(五) 第38題】胰島素瘤(insulinoma)的臨床診斷為Whipple triad ,即:
詳解
破題關鍵
胰島素瘤的診斷標準是Whipple triad,它描述了低血糖症狀、低血糖數值以及症狀在補充葡萄糖後得到緩解的典型表現。
選項拆解
登入查看完整詳解與互動作答
【107-1 醫學(五) 第39題】放射碘(radioiodine)治療應施行於分化明確甲狀腺癌(well-differentiated thyroid carcinoma),何者錯誤?
詳解
破題關鍵
放射碘治療主要用於清除殘餘甲狀腺組織或治療轉移性病灶,通常適用於中高風險的分化明確甲狀腺癌病人,而非所有低風險的I期病人。
選項拆解
登入查看完整詳解與互動作答
【107-1 醫學(五) 第40題】70歲男性右乳暈下發現腫塊、疼痛,下列何項檢查最不需要?
詳解
破題關鍵
針對男性乳房腫塊,主要目的是確認腫塊性質,而非例行性評估肺部。
選項拆解
登入查看完整詳解與互動作答
【107-1 醫學(五) 第41題】20歲年輕女性,左乳外側觸摸到一粒1 公分×1公分,表面平滑可移動之乳房腫瘤,最適合的診斷工具為何?
詳解
破題關鍵
年輕女性乳房緻密,超音波比X光攝影更能看清腫塊。
選項拆解
登入查看完整詳解與互動作答
【107-1 醫學(五) 第42題】乳癌最常見轉移部位為下列何者?
詳解
破題關鍵
乳癌細胞最愛去的地方是骨頭。
選項拆解
登入查看完整詳解與互動作答
【107-1 醫學(五) 第43題】陳女士48歲,右側乳房發現有3公分大小的腫瘤,經粗針穿刺證實為侵犯性乳管癌,右鎖骨上同時有1.5公分大小的淋巴結,細針穿刺發現癌細胞,安排後續影像檢查,下列何者不適宜?
詳解
破題關鍵
肺部檢查首選是胸部X光或電腦斷層,超音波對肺部深層病灶效果差。
選項拆解
登入查看完整詳解與互動作答
【107-1 醫學(五) 第1題】下列與腹部腔室症候群(abdominal compartment syndrome)相關的症狀,何者錯誤?
詳解
破題關鍵
腹部腔室症候群會導致全身性器官功能障礙,包括循環系統。
選項拆解
登入查看完整詳解與互動作答
【107-1 醫學(五) 第4題】下列何者不是脫離呼吸器(weaning from ventilator)的條件?
詳解
破題關鍵
脫離呼吸器需要病人有足夠的呼吸儲備能力,過高的每分鐘通氣量可能表示呼吸做功過大。
選項拆解
登入查看完整詳解與互動作答
【107-1 醫學(五) 第5題】外傷病人有下列何種情況時不做腹部電腦斷層攝影檢查(abdominal computed tomography)?
詳解
破題關鍵
電腦斷層檢查需要病人生命徵象穩定,不適用於血流動力學不穩定的病人。
選項拆解
登入查看完整詳解與互動作答
【107-1 醫學(五) 第6題】下列何者是治療麻醉氣體引起的惡性高溫(malignant hyperthermia)最主要的藥物?
詳解
破題關鍵
惡性高溫是一種罕見但致命的麻醉併發症,有其特定的解毒劑。
選項拆解
登入查看完整詳解與互動作答
中心靜脈壓(central venous pressure),動脈壓(arterial blood pressure),心輸出量(cardiac output), 混合靜脈血氧飽和度(mixed venous oxygenation saturation)詳解
破題關鍵
這題的解題核心是判斷低血容性休克(hypovolemic shock)時,各項血流動力學參數的變化趨勢。圖片中選項A顯示所有四個關鍵指標都下降,這與低血容性休克的生理病理變化完全吻合。
選項拆解
登入查看完整詳解與互動作答
【107-1 醫學(五) 第15題】嚴重的眼瞼下垂(ptosis)應採取下列那一種手術方式比較適合?
詳解
破題關鍵
嚴重的眼瞼下垂 (ptosis) 通常是提瞼肌功能極差或完全喪失,需要利用額肌的力量來抬高眼瞼。
選項拆解
登入查看完整詳解與互動作答

詳解
破題關鍵
這題的解題核心在於判斷傷口深度與大小,圖片中清楚可見骨頭和肌腱外露,這代表傷口非常深且缺乏健康的肉芽組織,需要帶有自己血管供應的組織來覆蓋。
選項拆解
登入查看完整詳解與互動作答
【107-1 醫學(五) 第17題】40歲健康工人於密閉工廠工作時遭遇火警,逃生通道卻又被雜物堵塞。此工人經過一段時間搬離雜物才脫離火場。現場濃煙密布,他吸入不少煙霧;加上他的臉被燻黑、鼻毛及前額毛髮又被燒焦、兩側上肢也被燒傷,因而來急診求診。關於他的傷勢及醫療處置,下列敘述何者錯誤?
詳解
破題關鍵
吸入性灼傷 (inhalation injury) 的診斷不能僅憑症狀或胸部 X 光排除,早期評估和預防性處置很重要。
選項拆解
登入查看完整詳解與互動作答

詳解
破題關鍵
這題的解題核心是「疤痕美觀」與「皮膚張力線」的關係,圖片中A處的切痕方向與周圍的皮膚張力線垂直,因此最容易留下明顯疤痕。
選項拆解
登入查看完整詳解與互動作答
【107-1 醫學(五) 第20題】傷口重建的原則及方法有①skin graft ②myocutaneous flap ③free flap ④linear closure ⑤skin flap, 重建的思考順序是:
詳解
破題關鍵
傷口重建的選擇順序是從最簡單、破壞性最小的方式開始,逐步升級到更複雜的技術。
選項拆解
登入查看完整詳解與互動作答
【107-1 醫學(五) 第75題】下列有關外傷性窒息(traumatic asphyxia)的敘述,何者錯誤?
詳解
破題關鍵
外傷性窒息是嚴重外傷,不可能不需要積極治療。
選項拆解
登入查看完整詳解與互動作答
【107-1 醫學(五) 第76題】一位28歲年輕人,胸部遭受槍擊造成血胸(hemothorax)合併休克,胸管引流出800 ml血液後,血壓恢復為 116/78 mmHg, 心跳96下/分鐘,幾分鐘後血壓下降為86/68 mmHg,心跳136下/分鐘,下列處置何者優先?
詳解
破題關鍵
創傷病人狀況惡化,第一步永遠是快速重新評估,找出惡化原因。
選項拆解
登入查看完整詳解與互動作答
【107-1 醫學(五) 第78題】醫療資源之分配,有一種評估方式是依照「調整品質後存活人年」(Quality Adjusted Life Years,簡寫 QALYs)來計算。如果將一個人完全健康之存活1年定義為1QALY,則有疾病之存活1年將少於1QALY。若強調資源使用之效率,則使用同樣的醫療成本,能產生最大的QALY增加量的醫療行為,則是最有效率的醫療行為。然而,下列那些敘述是採用此種資源分配方式可能產生之倫理問題?①老年人因為存活年數較短, 比較分配不到資源 ②殘障者之生活品質較不佳,可能比較分配不到資源 ③QALY的概念可以充分實現 「拯救他人的義務」(duty to rescue)④注意QALY總產量,比較不注意QALY會累積在那些人身上
詳解
破題關鍵
QALYs強調效率,但可能犧牲公平性,對特定弱勢群體不利。
選項拆解
登入查看完整詳解與互動作答
【107-1 醫學(五) 第80題】陶先生是一位45歲的雜貨店老闆,5年前因為肝硬化接受肝臟移植,術後因為腹內膿瘍反覆的敗血性休克, 在5個月前的一次休克後,陶先生因為敗血性血栓造成大腦多處栓塞性中風變成植物人。這次又因為發燒, 敗血性休克,從護理之家送到急診,你是照顧他的一般外科醫師,家屬希望你盡一切努力救他,需要急救時就急救,必要時送入加護病房治療;你該如何處理最適當?
詳解
破題關鍵
面對無效醫療和家屬的期望,醫師應以專業判斷為基礎,並與家屬充分溝通,達成共識。
選項拆解
登入查看完整詳解與互動作答
【107-1 醫學(五) 第2題】外傷病人使用各種輸液及血液製品來復甦急救,其目的在於使人體各個組織都能得到充足組織灌流(tissue perfusion)。尿液的排出量為一客觀實用之定量指標,則下列何者為正確指標?
詳解
破題關鍵
尿量是評估組織灌流的重要指標,成人和小孩的正常標準不同。
選項拆解
登入查看完整詳解與互動作答
【107-1 醫學(五) 第21題】何種類型的心房中膈缺損(atrial septal defect)最常合併部份肺靜脈回流異常(partial abnormal pulmonary venous return)?
詳解
破題關鍵
記住不同類型心房中膈缺損 (ASD) 的位置和常見合併症。
選項拆解
登入查看完整詳解與互動作答
【107-1 醫學(五) 第22題】下列有關原發性心臟內腫瘤之敘述,何者錯誤?
詳解
破題關鍵
了解心臟腫瘤的良惡性比例和不同年齡層最常見的類型。
選項拆解
登入查看完整詳解與互動作答
【107-1 醫學(五) 第28題】有關氣管食道瘻管的臨床表現,下列何者較不常見?
詳解
破題關鍵
了解氣管食道瘻管 (TEF) 的主要病理生理學和臨床表現。
選項拆解
登入查看完整詳解與互動作答
【107-1 醫學(五) 第44題】下列那些疾病好發在左側?①精索靜脈曲張(varicocele) ②腹裂(gastroschisis) ③隱睪症 (undescended testis) ④ Bochdalek型先天性橫膈膜疝氣(Congential diaphragmatic hernia, Bochdalek type)
詳解
破題關鍵
這些疾病的左右側好發傾向與胚胎發育或解剖構造有關。
選項拆解
登入查看完整詳解與互動作答
【107-1 醫學(五) 第45題】關於肺外型游離肺(extra-pulmonary sequestration)的敘述,下列何者錯誤?
詳解
破題關鍵
游離肺的「游離」就代表它不跟正常肺部連通,沒有氣體交換功能。
選項拆解
登入查看完整詳解與互動作答
【107-1 醫學(五) 第46題】關於先天性肛門直腸異常(anorectal anomalies),下列何者型態之病患的排便功能預後較佳?
詳解
破題關鍵
瘻管開口越靠近正常肛門位置,代表直腸末端發育越接近正常,預後越好。
選項拆解
登入查看完整詳解與互動作答
【107-1 醫學(五) 第47題】一個食道閉鎖(esophageal atresia)的新生兒,腹部X光顯示沒有腸氣的存在,下列何者發生率較高?
詳解
破題關鍵
腹部沒有腸氣,表示空氣無法從氣管進入腸胃道。
選項拆解
登入查看完整詳解與互動作答
【107-1 醫學(五) 第48題】有關先天性膽道閉鎖症(biliary atresia)的敘述,下列何者錯誤?
詳解
破題關鍵
葛西氏手術雖然是首選治療,但並非一勞永逸,許多病患最終仍需肝臟移植。
選項拆解
登入查看完整詳解與互動作答
【107-1 醫學(五) 第62題】有關兒童背痛症之敘述,下列何者錯誤?
詳解
破題關鍵
兒童背痛通常不常見,且需要認真看待,尤其在學齡前兒童更是如此。
選項拆解
登入查看完整詳解與互動作答
【107-1 醫學(五) 第63題】有關佝僂病(rickets)及骨軟化病(osteomalacia)的敘述,下列何者錯誤?
詳解
破題關鍵
佝僂病影響的是生長板的礦物化,而骨軟化病影響的是已形成骨骼的礦物化。
選項拆解
登入查看完整詳解與互動作答
【107-1 醫學(五) 第69題】排尿膀胱尿道造影檢查(voiding cystourethrography)發現病人有一側顯影劑由膀胱逆流至輸尿管和腎盂, 並且有輕微的腎盂擴張,這種膀胱輸尿管尿液逆流為第幾度?
詳解
破題關鍵
膀胱輸尿管逆流的分級,關鍵在於顯影劑逆流的範圍和腎盂、輸尿管是否有擴張。
選項拆解
登入查看完整詳解與互動作答

詳解
破題關鍵
登入查看完整詳解與互動作答
【107-1 醫學(五) 第23題】下列有關主動脈剝離(aortic dissection)之敘述,何者錯誤?
詳解
破題關鍵
了解主動脈剝離的危險因子、診斷方式、治療原則和常見併發症。
選項拆解
登入查看完整詳解與互動作答
【107-1 醫學(五) 第24題】一位56歲男性病人因胸悶住院。他有糖尿病、高血壓、與抽菸史。冠狀動脈血管攝影檢查顯示左冠狀動脈主幹 85% 狹窄、左前降支 80%狹窄、左回旋支 77%狹窄、右冠狀動脈 90%狹窄。下列敘述何者正確?①依冠狀動脈血管攝影檢查前家屬之決定,立即裝置塗藥支架(drug-eluting stent) ②冠狀動脈血管攝影檢查時,經與家屬商量後,立即裝置裸金支架(bared-metal stent) 人及其家屬解釋冠狀動脈繞道手術之優缺點 ③裝置支架前,不須請心臟外科醫師向病 ④裝置支架時,手術室須準備好,以便可立即進行緊急手術
詳解
破題關鍵
判斷嚴重多條冠狀動脈疾病的治療選擇,以及介入治療的風險管理。
選項拆解
登入查看完整詳解與互動作答
【107-1 醫學(五) 第25題】下列關於不停跳冠狀動脈繞道手術(off-pump coronary artery bypass grafting)的敘述,何者正確?①須使用heparin ②人工心肺機不需待命 ③不須降低體溫
詳解
破題關鍵
區分不停跳冠狀動脈繞道手術 (OPCAB) 與傳統冠狀動脈繞道手術 (on-pump CABG) 的主要差異。
選項拆解
登入查看完整詳解與互動作答
【107-1 醫學(五) 第26題】下列何者為肺部切除手術前最重要的檢查?
詳解
破題關鍵
肺部手術前評估的重點是病人術後剩餘肺功能的代償能力。
選項拆解
登入查看完整詳解與互動作答
【107-1 醫學(五) 第27題】最常見的原發氣管內惡性腫瘤為:
詳解
破題關鍵
記住氣管原發惡性腫瘤中最常見的組織學類型。
選項拆解
登入查看完整詳解與互動作答
【107-1 醫學(五) 第30題】下列何者為肺最常見的良性腫瘤?
詳解
破題關鍵
肺部最常見的良性腫瘤,通常是組織發育異常,而不是真正的腫瘤。
選項拆解
登入查看完整詳解與互動作答
【107-1 醫學(五) 第73題】胸降主動脈損傷,胸部X-ray影像學徵象,下列何者較少見?
詳解
破題關鍵
胸降主動脈損傷造成的血腫,會把周圍結構往哪邊推。
選項拆解
登入查看完整詳解與互動作答
【107-1 醫學(五) 第67題】大的腎臟癌施行姑息性血管栓塞所發生的症狀包括腰痛、發燒及白血球增加一般會持續幾天?
詳解
破題關鍵
腎臟癌栓塞後症候群 (post-embolization syndrome) 的症狀通常在數天內緩解。
選項拆解
登入查看完整詳解與互動作答
【107-1 醫學(五) 第68題】下列何者不會引起膀胱逼尿肌膨脹不良(poor detrusor distensibility)?
詳解
破題關鍵
膀胱逼尿肌膨脹不良通常是膀胱壁纖維化或發炎導致彈性變差,而前列腺手術是解除出口阻塞,通常不會直接影響膀胱壁的彈性。
選項拆解
登入查看完整詳解與互動作答
【107-1 醫學(五) 第71題】30歲林先生,結婚已一年不孕。在不孕症門診發現精液量很少(< 1 cc),下列何者最不可能為其病因?
詳解
破題關鍵
精液量很少,要找出最不可能導致這個結果的原因。
選項拆解
登入查看完整詳解與互動作答

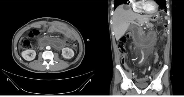
詳解
破題關鍵
這題的解題核心在於病人有胃次全切除及Billroth II吻合術的病史,加上電腦斷層影像顯示一個極度擴張的輸入腸端(afferent loop),同時合併胰臟炎和膽道阻塞的生化指標。
選項拆解
登入查看完整詳解與互動作答
【107-1 醫學(五) 第29題】有關於hiatal hernia之描述,下列何者正確?
詳解
破題關鍵
區分不同類型橫膈裂孔疝氣 (hiatal hernia) 的特點和治療原則。
選項拆解
登入查看完整詳解與互動作答
【107-1 醫學(五) 第31題】關於胃癌之敘述,下列何者錯誤?
詳解
破題關鍵
胃癌的兩種主要分型,腸型和瀰漫型,它們的流行病學、病理特徵和預後是不同的。
選項拆解
登入查看完整詳解與互動作答
【107-1 醫學(五) 第32題】一位50歲男性;最近二週,尿液變深、灰白便、身體發癢、皮膚逐漸變黃,因此到院檢查。身體診察發現鞏膜變黃,下肢無水腫,其CT影像上可見胰臟頭部有4公分左右腫瘤合併總膽管及胰管擴大,針對此病患安排下列處置何者最不適當?
詳解
破題關鍵
病人表現出阻塞性黃疸的典型症狀,影像學也支持胰臟頭部腫瘤壓迫膽管,此時應優先診斷並解除阻塞,而非栓塞。
選項拆解
登入查看完整詳解與互動作答
【107-1 醫學(五) 第33題】下列何種癌症一般不以胰頭十二指腸切除術(pancreaticoduodenectomy,Whipple's resection)來處理?
詳解
破題關鍵
Whipple手術主要用於切除胰頭、十二指腸、膽總管遠端等部位的腫瘤,膽囊癌的治療範圍通常不同。
選項拆解
登入查看完整詳解與互動作答
【107-1 醫學(五) 第34題】造成減重手術 Roux-en-Y gastric bypass 術後死亡(mortality)的原因,下列敘述何者錯誤?
詳解
破題關鍵
減重手術的死亡率雖然低,但仍有特定危險因子,而性別通常不是主要的死亡率風險因子。
選項拆解
登入查看完整詳解與互動作答