內分泌外科 1 / 67
【109-2 醫學(五) 第1題】下列有關零期乳癌(carcinoma in situ)的敘述,何者錯誤?
A 常伴隨有顯微鈣化(microcalcifications) B 較易有多發性病兆(multifocal lesions) C 手術治療包含level II腋下淋巴廓清(axillary lymph node dissection up to level II) D 手術切除後不需化學藥物治療
詳解
破題關鍵
零期乳癌的定義是癌細胞還沒穿破基底膜,所以不會轉移到淋巴結。
選項拆解
- A:常伴隨有顯微鈣化 (microcalcifications):正確。DCIS在乳房攝影上最常見的表現就是一群形態不規則的顯微鈣化點。
內分泌外科 2 / 67
【109-2 醫學(五) 第37題】甲狀腺乳突癌合併多處頸部淋巴結及肺部轉移,下列敘述何者正確?
A 首選治療為全身性化療,以paclitaxel效果最佳 B 預後極差,大部分病人於診斷後一年內死亡 C 可給予口服抗甲狀腺藥物methimazole以抑制腫瘤細胞生長 D 甲狀腺全切除手術及術後放射性碘(I-131)為治療選項之一
詳解
破題關鍵
甲狀腺乳突癌即使轉移,治療策略仍以手術為主,並輔以放射性碘清除殘餘癌細胞。
選項拆解
- A:錯在全身性化療不是甲狀腺乳突癌的首選治療,尤其在有放射性碘治療選項時。甲狀腺癌對化療反應不佳。
- B:錯在甲狀腺乳突癌即使有轉移,預後也比其他許多癌症好,大部分病人不會在一年內死亡。
內分泌外科 3 / 67
【109-2 醫學(五) 第38題】一位血液透析患者因續發性副甲狀腺功能亢進(secondary hyperparathyroidism)被轉介至外科門診就醫,下列何種情況應建議該患者接受副甲狀腺切除手術?
A 血液鈣磷乘積(calcium-phosphate product)45 mg2/dL2 B 抽血測得副甲狀腺素(parathyroid hormone)200 pg/mL C 抽血測得維生素D 25(OH)D濃度40 nmol/L(相當於16 ng/mL) D 下肢有數處疼痛的缺血性皮膚壞死(calciphylaxis)
詳解
破題關鍵
續發性副甲狀腺功能亢進若出現嚴重併發症,特別是藥物治療無效時,手術是必要的。
選項拆解
內分泌外科 4 / 67
【109-2 醫學(五) 第39題】一位50歲高血壓男性接受電腦斷層檢查時,意外發現左腎上腺有一2公分腫瘤,內部均勻、邊界清楚、且為低密度性腫瘤,臨床醫師懷疑為腎上腺腺瘤(adenoma)合併原發性高醛固酮症(primary hyperaldosteronism),下列敘述何者錯誤?
A 初步篩檢可測血液中醛固酮/腎素比例(aldosterone-to-renin ratio) B 要確認原發性高醛固酮症診斷,可利用靜脈生理食鹽水輸注(intravenous saline loading)試驗 C 要區分是單側腎上腺腺瘤或雙側腎上腺增生,除電腦斷層外,40歲以下患者建議常規接受腎上腺靜脈取樣 (adrenal vein sampling)檢查 D 如果原發性高醛固酮症的患者手術前有合併低血鉀症,腎上腺切除手術後血鉀會很快恢復正常
詳解
破題關鍵
原發性高醛固酮症的診斷流程複雜,需區分單側腺瘤或雙側增生,以決定手術或藥物治療。
選項拆解
- A:正確。醛固酮/腎素比例 (aldosterone-to-renin ratio, ARR) 是原發性高醛固酮症的初步篩檢工具,高比例提示此診斷。
內分泌外科 5 / 67
【109-2 醫學(五) 第40題】一位44歲未停經婦女,因左側乳房腫塊就診,粗針穿刺確診是infiltrating ductal carcinoma, ER:90%,PR: 90%, HER-2(1+),下列相關敘述何者正確?
A 是最常見的乳癌,約占侵襲性乳癌疾病的50%~70% B 最適合的抗荷爾蒙藥物是芳香環抑制劑(aromatase inhibitor) C 術後需要使用標靶藥物,目前臨床試驗顯示雙標靶有益處 D 術後病理報告是腫瘤1.2公分,前哨淋巴結無轉移,並無遠端轉移,則術後病理TNM stage是cT1bN0M0
詳解
破題關鍵
了解乳癌最常見的組織學類型及其荷爾蒙受體狀態,是選擇治療的基礎。
選項拆解
- A:正確。浸潤性乳管癌 (infiltrating ductal carcinoma) 確實是最常見的乳癌類型,約佔侵襲性乳癌的70-80%(選項給的50-70%也在此範圍內)。
內分泌外科 6 / 67
【109-2 醫學(五) 第41題】一位45歲女性,接受乳癌篩檢後,因右側乳房有異常,接受病灶穿刺病理檢查證實是侵襲性乳癌。有關下一步的治療,下列敘述何者正確?
A 接受乳房全切除手術及前哨淋巴結切片術後,若接受立即重建,會降低存活率以及增加患側局部復發率 B 選擇乳房全切除手術或是乳房保留手術加上術後乳房放射線治療,兩者的長期存活率並無顯著差異 C 若選擇乳房保留手術,為提高存活率,腫瘤切除邊緣(margin)必須大於2 mm D 乳房保留手術加上腫瘤邊緣乾淨(clear margin)相對於乳房全切除手術,其同側局部復發率並無差別
詳解
破題關鍵
乳癌手術的選擇,在符合條件下,乳房保留手術與全切除手術的存活率是相當的。
選項拆解
外科通論與急重症 7 / 67
【109-2 醫學(五) 第3題】病患手術前有使用vitamin K antagonist(VKA),例如warfarin, 會增加手術中出血的機會;一般在elective surgery前,建議先停藥5天以上,讓international normalized ratio(INR)上限低於多少以下,再進行手術?
A 2.0 B 1.8 C 1.5 D 1.2
詳解
破題關鍵
手術前停用抗凝血劑,目的是讓凝血功能恢復到安全範圍,避免術中大出血。
選項拆解
- A:錯在數值。INR 2.0 對於一般手術而言仍偏高,出血風險較大。
- B:錯在數值。INR 1.8 仍略高於安全範圍。
- C:正確。INR 1.5 以下通常被認為是手術的安全範圍,出血風險較低。
外科通論與急重症 8 / 67
【109-2 醫學(五) 第4題】大量出血或休克的病患,容易造成所謂lethal triad,下列何者不屬於lethal triad?
A arrhythmia B acidosis C hypothermia D coagulopathy
詳解
破題關鍵
大量出血或休克會造成身體三大致命惡性循環。
選項拆解
- A:錯在內容。心律不整 (arrhythmia) 雖然可能在休克時發生,但它不屬於致命三合一的核心組成部分。
- B:正確。酸中毒是致命三合一之一,會抑制凝血酵素活性。
- C:正確。低體溫是致命三合一之一,會影響凝血功能。
外科通論與急重症 9 / 67
【109-2 醫學(五) 第5題】surgical site infection(SSI)是術後常見的合併症,對於傷口的分類及其SSI的發生率敘述,下列何者錯誤?
A clean wound: no hollow viscus entered, primary wound closure; SSI發生率:0.1~0.3% B clean-contaminated wound: hollow viscus entered but controlled; SSI發生率:5~8% C contaminated wound: uncontrolled spillage from viscus; SSI發生率:20~25% D dirty wound: untreated, uncontrolled spillage from viscus; SSI發生率:30~40%
詳解
破題關鍵
傷口感染率的分類與定義有明確標準。
選項拆解
- A:錯在發生率。清潔傷口 (clean wound) 的 SSI 發生率通常在 1-2% 左右,0.1-0.3% 過低。
外科通論與急重症 10 / 67
【109-2 醫學(五) 第6題】有關傷口癒合過程的敘述,下列何者錯誤?
A 組織受傷後首先進入發炎期(inflammatory phase),在此時期因血小板凝集後產生血管擴張物質,而導致血管管壁滲透力增加,增加血漿滲入細胞外組織,同時產生趨化因子(chemokine),使得發炎細胞如中性白血球移往受傷組織 B 於增生期(proliferative phase)時,大部分的纖維母細胞(fibroblast)會經由巨噬細胞產生的趨化作用,自受傷處以外的組織隨血液循環運送至受傷部位,並於受傷組織中合成膠原蛋白(collagen) C 肌纖維母細胞(myofibroblast)於組織受傷後約6天形成,主要功能為分泌 α-平滑肌肌動蛋白(α-smooth muscle actin)並形成應力纖維(stress fiber),於成熟期(maturation phase)負責傷口攣縮現象 D 於傷口癒合過程中發生的基質(matrix)合成,第三型膠原蛋白較第一型膠原蛋白較早形成
詳解
破題關鍵
傷口癒合的細胞來源與作用機轉。
選項拆解
- A:正確。發炎期 (inflammatory phase) 確實會發生血管擴張、滲透力增加,並吸引發炎細胞。
- B:錯在纖維母細胞的來源。大部分纖維母細胞是從傷口邊緣的「局部組織」活化增生而來,而不是主要透過血液循環從遠處運送。
外科通論與急重症 11 / 67
【109-2 醫學(五) 第7題】根據流行病學之研究,吸菸與下列何種癌症無關?
A 膀胱癌 B 食道癌 C 胰臟癌 D 大腸癌
詳解
破題關鍵
吸菸與多種癌症的關聯性是國考常考重點。
選項拆解
- A:錯在內容。吸菸是膀胱癌 (bladder cancer) 的重要危險因子。
- B:錯在內容。吸菸是食道癌 (esophageal cancer) 的重要危險因子,特別是鱗狀細胞癌。
外科通論與急重症 12 / 67
【109-2 醫學(五) 第18題】有關身體各部位拆線的時機(timing for suture removal),下列何者最適當?
A 頭皮(scalp):12~14 days B 眼皮(eyelid):5~7 days C 背部(back):5~7 days D 手部(hand):5~7 days
詳解
破題關鍵
拆線時機主要看組織張力、血液供應和癒合速度。
選項拆解
- A:錯在頭皮 (scalp) 血液供應良好,但因頭髮和清潔考量,通常建議7-10天拆線。12-14天對一般頭皮傷口來說偏長。
外科通論與急重症 13 / 67
【109-2 醫學(五) 第19題】60歲孫先生因頭皮上快速增生的病灶(如下圖)而求醫,臨床診斷為惡性黑色素細胞瘤(malignant melanoma)。以下敘述何者正確?
A 此病灶之分型屬於結節型黑色素細胞瘤(nodular melanoma) B 此分型可能發生在身上除了手跟腳以外的所有部位皮膚上 C 絕不可進行部分病灶切片(incisional biopsy),以免腫瘤擴散 D 放射治療與手術有一樣的存活率
詳解
破題關鍵
這題的解題核心在於辨識惡性黑色素細胞瘤的臨床特徵、分型分佈以及治療原則。圖片中頭皮上快速增生的深色、不規則、隆起病灶,高度提示為惡性黑色素細胞瘤,且其外觀符合結節型黑色素細胞瘤的描述。
選項拆解
外科通論與急重症 14 / 67
【109-2 醫學(五) 第20題】有關乳房重建的各種方式中,下列敘述何者錯誤?
A 根據統計,義乳重建(implant-based reconstruction)是多數人的選擇 B 放射治療容易導致重建乳房的纖維化或脂肪壞死(fat necrosis) C 闊背肌皮瓣(LD flap)對於小乳房是不錯的選擇 D 橫式腹直肌肌皮瓣(TRAM flaps)與深下腹穿通支皮瓣(DIEP flaps)都可以得到很好的乳房重建外觀,但是DIEP皮瓣有較高比例會腹部疝氣(hernia)
詳解
破題關鍵
TRAM和DIEP皮瓣的區別在於是否保留腹直肌,這會影響腹壁併發症的風險。
選項拆解
- A:正確。義乳重建因手術相對簡單、恢復期短、捐贈區併發症少,是目前多數乳癌患者選擇的重建方式。
外科通論與急重症 15 / 67
【109-2 醫學(五) 第29題】對一體重60公斤的成人而言,關於出血性休克的分期,何者正確?
A 第一期小便輸出量:5~15ml/h B 第二期呼吸速率:14~20次/min C 第三期出血量約占全身血量:30%~40% D 第四期心跳速率約100~120次/min
詳解
破題關鍵
熟悉出血性休克的分期標準,特別是出血量、心跳、血壓、呼吸和尿量等生理參數的變化。
選項拆解
- A:錯在「第一期小便輸出量:5~15ml/h」。第一期失血量最少,生理代償能力最強,小便輸出量通常維持在正常範圍,即 > 30 mL/h。5~15 mL/h 是第三期的尿量。
外科通論與急重症 16 / 67
【109-2 醫學(五) 第30題】張力性氣胸(tension pneumothorax)和心包膜填塞症(cardiac tamponade)的理學檢查差別在於何者?
A 兩側呼吸聲不一致 B 兩側外頸靜脈鼓張不一致 C 心音變小 D 血壓下降
詳解
破題關鍵
區分張力性氣胸和心包膜填塞症的關鍵在於它們對呼吸系統和循環系統影響的側重點不同。
選項拆解
- A:正確。張力性氣胸會導致患側肺部塌陷,呼吸音減弱或消失,因此兩側呼吸聲會不一致。心包膜填塞症主要影響心臟,不會直接造成呼吸音不一致。
外科通論與急重症 17 / 67
【109-2 醫學(五) 第32題】下列有關腹內壓力(intra-abdominal pressure)的敘述,何者錯誤?
A 不正常的腹內壓力上升會導致腹內器官血液循環減慢並且影響心臟回流壓力,對於呼吸器官的影響則不明顯 B 肥胖會讓腹內壓力上升 C 腹內高壓(abdominal hypertension)分為4級,第1、2級可以保守治療;第3、4級病患則需要手術介入 D 高於25 mmHg易形成腹內腔室症候群(abdominal compartment syndrome),需進行手術減壓
詳解
破題關鍵
腹內壓力上升會對全身多個器官系統產生影響,不僅限於腹腔內器官和心臟。
選項拆解
- A:錯在「對於呼吸器官的影響則不明顯」。不正常的腹內壓力上升會顯著影響呼吸器官。橫膈膜被推高,導致肺容量減少、肺順應性下降,進而影響通氣和氧合功能,甚至導致呼吸衰竭。
外科通論與急重症 18 / 67
【109-2 醫學(五) 第36題】9℃,心跳120/min,呼吸24/min,血壓80/40 mmHg。關於此病人的描述,下列何者最正確?
A 陰道分泌物若pH值為7,代表病人之羊膜破裂(amniotic membrane rupture) B 病人須立即執行骨盆檢查來排除前置胎盤(placenta previa)的可能性 C 此休克婦女應採取左側抬高的臥姿,避免壓迫下腔靜脈 D 病人不適合執行腹部或骨盆腔電腦斷層檢查,避免輻射線對胎兒造成傷害
詳解
破題關鍵
對於懷孕後期合併休克的婦女,體位調整是重要的初步處置,以避免子宮壓迫下腔靜脈。
選項拆解
外科通論與急重症 19 / 67
【109-2 醫學(五) 第52題】關於單一切口腹腔鏡手術(single-incision laparoscopic surgery)的設備與對外科醫師操作的益處描述,下列何者錯誤?
A 細長的器械可以減少內部及外部操作的撞擊 B 較細長的器械有利手術範圍的操作 C 較小直徑的鏡頭對於手術操作空間無幫助 D 高解析鏡頭能提升手術中的視野
詳解
破題關鍵
單一切口腹腔鏡手術 (SILS) 的挑戰在於器械互相干擾,因此需要特殊設計來克服。
選項拆解
- A:正確。細長的器械 (longer instruments) 可以讓器械的支點 (fulcrum) 遠離切口,減少器械在體內和體外的互相撞擊。
外科通論與急重症 20 / 67
【109-2 醫學(五) 第53題】下列何者不是達文西機械手臂手術(robotic surgery)的優點?
A 符合人體力學的手術操作台 B 立體影像 C 影像去顫功能(tremor elimination) D 不需要床邊助手(bedside assistant)
詳解
破題關鍵
達文西機械手臂手術 (robotic surgery) 雖然先進,但仍需要團隊合作,包括床邊助手。
選項拆解
- A:正確。達文西手術台 (console) 設計符合人體工學,讓外科醫師可以坐著操作,減少長時間手術的疲勞。
外科通論與急重症 21 / 67
【109-2 醫學(五) 第56題】一位25歲女性,從高處跌落,造成頸部疼痛及四肢癱瘓,但意識清楚,四肢無冰冷現象。電腦斷層影像檢查發現第五頸椎骨折神經壓迫。此時病患心搏速率:60次/分、血壓:75/55毫米汞柱。關於病患現在血壓狀況, 下列何者是最適當的診斷?
A 過敏性休克(anaphylactic shock) B 失血性休克(hypovolemic shock) C 神經性休克(neurogenic shock) D 心因性休克(cardiogenic shock)
詳解
破題關鍵
高位脊髓損傷 (high spinal cord injury) 導致交感神經功能喪失,造成血管擴張和心跳過慢,是神經性休克。
選項拆解
- A:過敏性休克 (anaphylactic shock) 通常有過敏原暴露史,且常伴隨皮膚紅疹、呼吸道水腫等症狀,與題目描述不符。
外科通論與急重症 22 / 67
【109-2 醫學(五) 第78題】30歲未婚成年男性病人,經西方墨點法(western blot)確診為愛滋病,病人的同居女友就在門診外,下列敘述何者正確?①若病人同意,醫師可以告知其同居女友 ②若病人不同意,醫師仍應立即告知其同居女友 ③醫師有法定通報主管機關的義務 ④若病人明知感染,隱瞞再與他人進行危險性行為,而導致他人感染, 是會有法律責任的
A ①②③ B ①②④ C ①③④ D ②③④
詳解
破題關鍵
愛滋病涉及病人隱私、公共衛生通報義務,以及個人行為的法律責任。
選項拆解
- A:正確。若病人同意,醫師當然可以告知其同居女友,這符合病人自主權。
- B:錯在病人不同意,醫師仍應立即告知其同居女友。這違反了病人隱私權。醫師的通報義務是向主管機關,而非直接告知伴侶。
外科通論與急重症 23 / 67
【109-2 醫學(五) 第79題】30歲肥胖(身體質量指數40 kg/m2)具決定能力的未婚男性,罹患高血壓、高血脂、糖尿病,經內科治療減肥無效,與醫師討論手術的可行性,經醫師說明後同意接受外科治療,但病人表示不願意告知父母,經溝通仍無法說服病人。下列何者是最適當的方法?
A 等病人同意告知父母後再開刀 B 私下取得病人父母同意後再開刀 C 尊重病人本人的決定,在病歷上敘明即可 D 尊重病人本人的決定,病人進手術室後再通知父母
詳解
破題關鍵
成年且具決定能力的病人,其醫療決定權與隱私權應被充分尊重。
選項拆解
- A:錯在等待病人同意告知父母。這侵犯了病人自主權,病人已經明確表示不願告知。
- B:錯在私下取得病人父母同意。這嚴重違反了病人隱私權,且父母無權為具決定能力的成年子女做醫療決定。
外科通論與急重症 24 / 67
【109-2 醫學(五) 第80題】74歲的老先生,於醫院接受自費的全身健康檢查,胃鏡檢查發現有胃潰瘍,其後於門診追蹤時,該病患曾多次詢問醫師是否應該進行胃鏡切片檢查,但醫師僅建議先行服用胃潰瘍藥物,4個月後再做胃鏡追蹤。但胃鏡檢查3個月後,該病患的體重開始下降,胃鏡及切片檢查發現該病患罹患胃腺細胞癌,病患接受了手術及化學治療,仍然不幸於1年後死亡。該案進入訴訟程序,醫院所提供的病歷紀錄中,比家屬於偵查程序中影印的病歷紀錄多出了「病患拒絕切片檢查、病患想先吃藥」等敘述,法院認定該敘述無效,判決醫師未及時向患者充分解釋切片檢查之必要性以及不檢查之危險性,而判決被告醫師有所過失。 下列敘述,何者錯誤?
A 醫療糾紛發生後,醫師本來就應該補充病歷記錄。本案中,法官並不能因為醫師補充病歷記錄,就認為該紀錄無效,因而判決醫師敗訴 B 醫療糾紛發生後,醫師雖然可以補充病歷記錄,但應該在補充記錄的地方,加註補充記錄當時的年、月、 日。以免法官認為該補充記錄之相關記錄,為事後所偽造或變造之病歷,從而認定該敘述無效 C 醫療糾紛發生後,醫師如果所補充記錄之病歷,並非事實,在刑法上,會涉及相關業務文書登載不實罪 D 醫療糾紛發生後,醫師如果所補充記錄之病歷,並非事實,在民法上,可能會負擔相關舉證妨礙的不利益, 從而負起舉證責任
詳解
破題關鍵
病歷紀錄的真實性、即時性與完整性是關鍵,事後補充必須符合規範。
選項拆解
- A:錯在法官「不能」因為醫師補充病歷記錄就認為無效。事實上,如果補充的病歷沒有明確標示時間,且內容與先前紀錄有衝突或被認為是事後為脫罪而添加,法官完全有權認定其無效,並可能因此判決醫師敗訴。
外科通論與急重症 25 / 67
【109-2 醫學(五) 第76題】28歲懷孕34週婦女走路時被機車撞倒,經救護車送急診時主訴下腹痛合併陰道出血,生命徵象如下:體溫36.9℃,心跳120/min,呼吸24/min,血壓80/40 mmHg。關於此病人的描述,下列何者最正確?
A 陰道分泌物若pH值為7,代表病人之羊膜破裂(amniotic membrane rupture) B 病人須立即執行骨盆檢查來排除前置胎盤(placenta previa)的可能性 C 此休克婦女應採取左側抬高的臥姿,避免壓迫下腔靜脈 D 病人不適合執行腹部或骨盆腔電腦斷層檢查,避免輻射線對胎兒造成傷害
詳解
[破題關鍵] 懷孕後期婦女因外傷導致休克,需立即處理下腔靜脈壓迫問題。
選項分析
小兒外科 26 / 67
【109-2 醫學(五) 第11題】下列關於脈絡叢乳突狀瘤(choroid plexus papilloma)之敘述,何者錯誤?
A 可發生於小孩及成人 B 嬰兒期發生率較高 C 在成人脈絡叢乳突狀瘤最常發生在側腦室(lateral ventricle) D 若脈絡叢乳突狀瘤長在側腦室,可能造成軀體半癱(hemiparesis)
詳解
破題關鍵
脈絡叢乳突狀瘤的流行病學與好發位置。
選項拆解
- A:正確。脈絡叢乳突狀瘤 (CPP) 確實可以發生在小孩和成人,但好發年齡層不同。
- B:正確。CPP 在嬰兒期 (infancy) 的發生率相對較高。
小兒外科 27 / 67
【109-2 醫學(五) 第42題】30天大的新生兒來到健兒門診,發現其眼白比較黃,經詢問得知其大便顏色偏粉筆白(clay-colored stool), 疑是膽道閉鎖。下列那一個檢查是診斷膽道閉鎖的黃金標準(gold standard)?
A 病毒血清檢查,包括弓漿蟲、德國麻疹病毒、巨細胞病毒、疱疹病毒等與B型肝炎的檢查 B 腹部超音波檢查 C hepatobiliary iminodiacetic acid(HIDA)scintigraphy檢查 D 肝臟切片檢查
詳解
破題關鍵
膽道閉鎖的確診需要直接觀察膽道結構,肝臟切片能提供最直接的證據。
選項拆解
- A:錯在病毒血清檢查。病毒感染(如巨細胞病毒、B型肝炎)可能引起新生兒黃疸,但並非膽道閉鎖的黃金標準,且膽道閉鎖本身是非感染性疾病。
小兒外科 28 / 67
【109-2 醫學(五) 第43題】一名4個月大的女嬰發燒到39℃,身體檢查並無上呼吸道感染,尿液檢查則發現有白血球增加的現象,符合泌尿道感染的診斷。在住院施打抗生素與補充水分之後,她的燒很快就退了,超音波檢查發現有輕微右側水腎的現象。該女嬰於1個月前也曾發生泌尿道感染,下列那一個檢查應最優先進行?
A 腹部電腦斷層檢查(abdominal CT) B 腹部核磁共振檢查(abdominal MRI) C 膀胱輸尿管逆流攝影(VCUG) D 靜脈腎盂造影(IVP)
詳解
破題關鍵
嬰幼兒泌尿道感染,特別是反覆發作或合併水腎,需優先檢查有無膀胱輸尿管逆流。
選項拆解
- A:錯在腹部電腦斷層檢查 (abdominal CT)。CT有輻射暴露,通常不是嬰幼兒泌尿道感染的首選檢查,除非懷疑有複雜的腎臟或腹部病變。
小兒外科 29 / 67
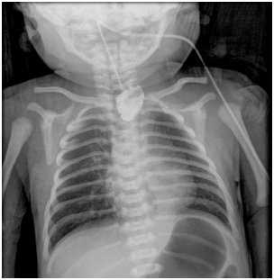
【109-2 醫學(五) 第44題】
一名33週的早產兒,出生後生命徵象穩定,但在第一次餵奶時發現有咳嗽、嗆到、發紺的狀況,且伴隨著大量口水流出;當試著置入胃管時,發現無法放至胃部,因此新生兒科醫師安排食道鋇劑攝影如圖。針對上述情況,下列相關敘述何者錯誤?
A 該患兒必定伴隨著食道氣管瘻管(tracheoesophageal fistula) B 該患兒很可能身體有其他的異常,因此一定要再檢查其他器官系統有無異常 C 該患兒之疾病以Gross type C最常見 D 若沒有其他更緊急的狀況,患兒應儘速接受手術治療
小兒外科 30 / 67
【109-2 醫學(五) 第45題】臍膨出(omphalocele)及腹裂畸形(gastroschisis)是新生兒先天性腹壁缺損的兩種常見形式。下列敘述何者錯誤?
A 臍膨出的病人,會有一層包膜包覆膨出的臟器,而腹裂畸形則無 B 臍膨出的病人比較可能有腸道發育的問題;而腹裂畸形的病人則約50%伴有腸道以外之其他器官系統的變異 C 臍膨出的病人腹壁缺損通常在腹部中線 D 腹裂畸形的腹壁缺損處通常在肚臍的右側
詳解
破題關鍵
臍膨出和腹裂畸形雖然都是腹壁缺損,但其病因、合併畸形和預後有顯著差異。
選項拆解
- A:正確。臍膨出的特徵是膨出的臟器有一層包膜包覆,而腹裂畸形則沒有包膜覆蓋,臟器直接暴露於羊水。
小兒外科 31 / 67
【109-2 醫學(五) 第46題】下列4個未合併其他疾病的病人接受手術,何者最需開立預防性抗生素?
A 5個月大女生,預計接受雙側腹股溝疝氣手術 B 1歲大男生,預計接受左側睪丸固定手術 C 12歲大男生,預計接受漏斗胸矯正板置入手術(Nuss procedure) D 3歲大女生,預計接受左側頸部淋巴管瘤切除手術
詳解
破題關鍵
預防性抗生素主要用於清潔-污染手術或植入異物的清潔手術,以降低感染風險。
選項拆解
- A:錯在腹股溝疝氣手術。腹股溝疝氣手術屬於清潔手術,且通常不涉及植入異物,感染風險低,一般不常規需要預防性抗生素,除非有特殊高風險因素。
小兒外科 32 / 67
【109-2 醫學(五) 第55題】承上題,下列引流液之檢查結果,何者可符合上題之診斷?①細菌培養通常為陽性 ②澱粉酶高(high amylase level in drain) ③三酸甘油脂(triglyceride)低(<100 mg/dL),及膽固醇(cholesterol)高 ④三酸甘油脂(triglyceride)高(>110 mg/dL),及膽固醇(cholesterol)低 ⑤淋巴球(lymphocyte)比率高, 及中性白血球(neutrophil)比率低
A ④⑤ B ①② C ①③ D ②③
詳解
破題關鍵
乳糜液 (chyle) 的特徵是三酸甘油脂 (triglyceride) 含量高,且富含淋巴球 (lymphocyte)。
選項拆解
- ①:錯在「細菌培養通常為陽性」。乳糜液是無菌的,所以細菌培養通常是陰性。
小兒外科 33 / 67
【109-2 醫學(五) 第69題】有關急性細菌性副睪丸炎之敘述,下列何者錯誤?
A 絕大多數病人會出現陰囊腫大、疼痛,理學檢查可能無法分辨睪丸及副睪丸 B 年輕男性之急性細菌性副睪丸炎通常與糖尿病有關 C 若是發生在小男孩,要檢查是否有先天性解剖構造異常,如膀胱輸尿管尿液逆流或異位性輸尿管開口 D 若形成膿瘍,則通常需要進行開刀引流
詳解
破題關鍵
年輕男性急性細菌性副睪丸炎的主要原因通常是性傳染病,而非糖尿病。
選項拆解
- A:正確。急性副睪丸炎的典型症狀是陰囊急性腫大、疼痛,有時發炎嚴重會導致睪丸和副睪丸界線不清,甚至形成副睪丸睪丸炎 (epididymo-orchitis)。
心臟胸腔外科 34 / 67
【109-2 醫學(五) 第21題】下列開心手術中所使用的體外循環技術(extracorporeal perfusion),何者錯誤?
A 在啟動體外循環之前必須施打肝素(heparin)約300~400 units/kg,以使activated clotting time(ACT)能大於450秒 B 在正常的體溫下,一般體循環機必須提供每分鐘每平方公尺2.4升心輸出量(2.4 L/min/m2),體溫下降 10℃,則體內氧氣消耗量可減少50%左右 C 因體外循環技術可以提供心臟外科醫師一個幾近無血乾淨的手術環境,以便能從事各種瓣膜手術、冠狀動脈手術及大血管手術;因此使用體外循環技術時間是沒有限制的 D 體外循環技術仍有一些潛在的副作用,會導致病患的凝血機能異常、全身性的發炎反應、或終端器官因大血栓(macroembolism)或小血栓(microembolism)而造成功能不良
詳解
破題關鍵
體外循環雖然提供便利,但其使用時間並非沒有限制,長時間使用會增加併發症風險。
選項拆解
心臟胸腔外科 35 / 67
【109-2 醫學(五) 第22題】下列對正常心臟瓣膜外科解剖學之敘述,何者錯誤?
A 主動脈瓣膜(aortic valve)及肺動脈瓣膜(pulmonary valve)都是由3片半月型之葉片所組成 B 僧帽瓣膜(mitral valve)是由前葉(anterior leaflet)及後葉(posterior leaflet)所組成 C 柯克三角地帶(Koch triangle)是在施行三尖瓣膜修補或置換手術必須縫合之處,以減少側漏且不必擔心房室傳導異常 D 在接近僧帽瓣膜(mitral valve)後葉之下緣處,有左迴旋冠狀動脈(left circumflex artery)經過
詳解
破題關鍵
柯克三角是房室結 (AV node) 的重要解剖位置,手術時需特別留意,避免損傷傳導系統。
選項拆解
- A:正確。主動脈瓣膜 (aortic valve) 和肺動脈瓣膜 (pulmonary valve) 都是半月瓣,各由三片半月型葉片組成。
心臟胸腔外科 36 / 67
【109-2 醫學(五) 第23題】
主動脈剝離(aortic dissection)DeBakey type II,其剝離侵犯範圍主要是下圖那一部分之主動脈?
A I B II C III D IV
詳解
破題關鍵
這題的解題核心是熟悉主動脈剝離的 DeBakey 分類法,並能將其對應到主動脈的解剖位置。圖片中標示為「I」的部分就是升主動脈,而 DeBakey Type II 的剝離範圍正是侷限於此。
選項拆解
心臟胸腔外科 37 / 67
【109-2 醫學(五) 第24題】冠狀動脈繞道手術所使用的自體繞道管道(conduit)如下:①內乳動脈 ②大隱靜脈 ③橈動脈,若以10年通暢率相互比較,則下列何者正確?
A ①>③>② B ②>①>③ C ②>③>① D ③>②>①
詳解
破題關鍵
冠狀動脈繞道手術的血管選擇,主要考量其長期通暢率。
選項拆解
心臟胸腔外科 38 / 67
【109-2 醫學(五) 第25題】68歲男性因心肌梗塞來急診,呈現休克狀態並經插管緊急處置,聽診時發現有一第四度收縮期雜音(Grade 4/6 systolic murmur),且伴隨有肺水腫(pulmonary edema),經心導管攝影為左前降枝(LAD)90%狹窄, 迴旋枝(LCX)有85%狹窄,下列處置何者錯誤?
A 應該再進行心臟超音波檢查 B 可以考慮放置主動脈幫浦(IABP) C 因病人狀況差,必須使用不停跳冠狀動脈繞道術,以減少合併症之產生 D 此情況為ACC/AHA準則之Class I之冠狀動脈繞道術適應症
詳解
破題關鍵
心肌梗塞合併休克是危急狀況,需要快速穩定病人並評估最佳的血流重建方式。
選項拆解
心臟胸腔外科 39 / 67
【109-2 醫學(五) 第26題】下列對末期性心臟衰竭之治療何者錯誤?
A HeartMate II左心室輔助器可以用於移植前之支持(bridge),亦可以做終極置放(destination therapy) B 根據STITCH試驗研究,冠狀動脈繞道術加上左心室成型術(surgical ventricular restoration)相較於單純之冠狀動脈繞道術,可以改善心衰竭病患之症狀及存活率 C HeartWare亦是一種左心室輔助器,亦可用於長期之移植前之支持(bridge to transplant) D 全人工心臟(total artificial heart)亦是治療心臟衰竭方法之一,可用於移植前之支持
詳解
破題關鍵
了解末期心臟衰竭的治療選項,特別是關於左心室輔助器和心臟手術的最新研究結果。
選項拆解
心臟胸腔外科 40 / 67
【109-2 醫學(五) 第28題】關於縱膈腔生殖細胞性瘤(germ cell tumor)之敘述,下列何者正確?
A 縱膈腔生殖細胞性瘤(germ cell tumor)最常發生在65歲以上病人 B 有三分之一的病人是精母細胞瘤(seminoma) C 精母細胞瘤(seminoma)在抽血檢驗中,常會有較高的胎兒蛋白(AFP)及人類絨毛膜激素(hCG) D 經皮穿刺抽吸檢驗(FNA)是不須血液檢驗結果,最安全、最快速及最正確得到診斷的方式
詳解
破題關鍵
掌握縱膈腔生殖細胞瘤的流行病學、分類和診斷特徵。
選項拆解
- A:錯在「最常發生在65歲以上病人」。縱膈腔生殖細胞瘤最常發生在年輕男性,通常在20-40歲之間。
- B:正確。在縱膈腔生殖細胞瘤中,約有三分之一的病人是精母細胞瘤 (seminoma),其餘為非精母細胞瘤或畸胎瘤。
心臟胸腔外科 41 / 67
【109-2 醫學(五) 第31題】有關肺部手術之術前評估,以下何者錯誤?
A FEV1小於60% predicted時,可能會增加術後pulmonary morbidity B 在obstructive disease時,FEV1/FVC ratio值會上升 C diffusion capacity for CO (DLCO) level小於40~50﹪時,會增加手術之危險性 D maximal O2 consumption (VO2 max)小於11~15 mL/kg/min時,會增加手術之morbidity與mortality rate
詳解
破題關鍵
理解肺功能檢查 (PFT) 中各項指標在阻塞性肺病和限制性肺病中的典型變化。
選項拆解
- A:正確。FEV1小於預測值的60%時,表示肺功能受損較嚴重,會增加術後肺部併發症 (pulmonary morbidity) 的風險。
泌尿外科 42 / 67
【109-2 醫學(五) 第64題】由飲食獲得草酸(oxalate)占所有尿液中排出草酸的比率為何?
A 1~5% B 10~15% C 40~50% D 80~90%
詳解
破題關鍵
尿液中的草酸大部分是身體自己產生的,從飲食來的只佔一小部分。
選項拆解
- A:錯在比例過低。飲食來源的草酸佔比略高於此。
- B:正確。由飲食獲得的草酸大約佔所有尿液中排出草酸的10-15%。
- C:錯在比例過高。這個比例更接近內源性草酸的貢獻。
泌尿外科 43 / 67
【109-2 醫學(五) 第67題】腎臟癌發生Stauffer syndrome之原因可能來自產生過多之何種因子?
A tumor necrosis factor(TNF) B interferon(INF) C epidermal growth factor(EGF) D granulocyte-macrophage colony stimulating factor(GMCSF)
詳解
破題關鍵
腎臟癌引起的Stauffer症候群是一種肝功能異常的表現,通常與腫瘤分泌的細胞激素有關。
選項拆解
泌尿外科 44 / 67
【109-2 醫學(五) 第68題】有關利用5-alpha reductase inhibitor治療良性前列腺肥大之敘述,下列何者錯誤?
A 可藉由阻斷testosterone轉變成dihydrotestosterone(DHT),抑制前列腺之腺體上皮細胞生長,進而使其體積縮小 B 須持續使用6個月以上,才能發揮最大療效 C 當藥物治療達到最大療效時,可以使前列腺體積縮小20%,且病人血清中之prostate-specific antigen(PSA) 亦會減少將近50% D 不論前列腺體積大或小均有療效
詳解
破題關鍵
5-alpha還原酶抑制劑主要透過縮小前列腺體積來改善症狀,因此對前列腺較大的病人效果最好。
選項拆解
- A:正確。5-alpha還原酶抑制劑就是透過阻斷睪固酮轉變成二氫睪固酮 (DHT),減少DHT對前列腺腺體上皮細胞的刺激,進而抑制其生長並縮小體積。
泌尿外科 45 / 67
【109-2 醫學(五) 第71題】下列有關睪丸生理之敘述,何者正確?
A luteinizing hormone(LH)作用在Sertoli細胞 B follicle-stimulating hormone(FSH)作用在Leydig細胞 C testosterone是由睪丸中Leydig細胞產生 D 精液中fructose是由前列腺產生
詳解
破題關鍵
睪丸的內分泌功能主要由兩種細胞負責:Leydig細胞產生睪固酮,Sertoli細胞支持精子生成。
選項拆解
- A:錯在作用對象。黃體生成素 (LH) 主要作用在睪丸的Leydig細胞,刺激其分泌睪固酮。
消化系外科 46 / 67
【109-2 醫學(五) 第2題】52/0.65 mg/dL; Alb: 4.3 g/dL; ALP: 100 U/L ; Cre: 0.8 mg/dL; α-fetoprotein: 42.2 ng/ml; ICG(15): 46.9%; PT (INR): 12.1 sec (1.12)。電腦斷層顯示一2公分腫瘤在第四小葉(Couinaud segment Ⅳ)下緣,沒有發現腹水。 此人的肝功能的Child-Pugh score為幾分?
A 5 B 6 C 7 D 8
詳解
破題關鍵
Child-Pugh score的計算要點是記住五個評估項目和它們的分數區間。
選項拆解
根據題目提供的數據計算:
消化系外科 47 / 67
【109-2 醫學(五) 第8題】關於開腹手術後,引流管中消化液流失的相關注意事項,下列何者錯誤?
A 胃液每天分泌約達1,000~2,000毫升,大量流失可能引起鉀離子缺乏 B 腸液為每天分泌最多之消化液,大量流失可能造成酸血症 C 膽汁每天分泌約達300~800毫升,其中的碳酸氫離子(HCO -)濃度比腸液、胰液還高 3 D 胰液呈透明狀,為鹼性消化液,每天分泌約達600~800毫升
詳解
破題關鍵
不同消化液的成分、分泌量與電解質特性是重要考點。
選項拆解
- A:正確。胃液每天分泌量大,富含氫離子和氯離子,大量流失會導致代謝性鹼中毒和鉀離子缺乏。
- B:正確。腸液是分泌量最多的消化液,富含碳酸氫離子,大量流失會導致代謝性酸中毒。
消化系外科 48 / 67
【109-2 醫學(五) 第33題】李先生35歲,BMI(body mass index): 43kg/m2,過去一年努力藉由保守方法減重但效果不彰,本身亦有第二型糖尿病,且糖化血紅素(HbA1C)指數為8.5%,胃鏡檢查發現胃食道逆流程度為Los Angeles Grade C。李先生決定接受代謝減重手術治療,下列何種手術最為適合?
A 胃底摺疊術(Nissen fundoplication) B 胃繞道手術(Roux-en-Y gastric bypass) C 垂直胃隔間術(vertical banded gastroplasty) D 迷走神經截斷術(vagotomy)
詳解
破題關鍵
針對重度肥胖合併糖尿病和嚴重胃食道逆流的病人,選擇最能有效控制這些共病症的減重手術。
選項拆解
- A:錯在「胃底摺疊術(Nissen fundoplication)」。胃底摺疊術主要用於治療胃食道逆流,但它不是減重手術,對BMI 43的重度肥胖病人無法達到減重效果。
消化系外科 49 / 67
【109-2 醫學(五) 第34題】下列關於早期胃癌(early gastric cancer)的描述,何者錯誤?
A 若侵犯至黏膜下層,則不算早期胃癌 B 約10%的早期胃癌,已有淋巴轉移 C 淋巴結轉移與否,並不在早期胃癌的定義中 D 約70%的早期胃癌細胞分化為well differentiated
詳解
破題關鍵
早期胃癌的定義是判斷其預後和治療方式的關鍵。
選項拆解
- A:錯在「若侵犯至黏膜下層,則不算早期胃癌」。根據國際和日本胃癌學會的定義,早期胃癌是指癌細胞僅侵犯至黏膜層或黏膜下層,無論是否有淋巴結轉移。因此,侵犯至黏膜下層仍屬於早期胃癌。
消化系外科 50 / 67
【109-2 醫學(五) 第48題】下列何者為結腸憩室炎(diverticulitis)必須手術的適應症?①破裂造成腹膜炎(free perforation with peritonitis) ②形成局部2公分膿瘍(localized abscess)無腹膜炎 ③形成結腸膀胱瘻管(colovesical fistula) ④造成貧血、血紅素9.9
A 僅①②③ B 僅①③ C 僅②④ D ①②③④
詳解
破題關鍵
結腸憩室炎是否需要手術,主要看有沒有嚴重併發症或保守治療無效。
選項拆解
- ①:正確。破裂造成腹膜炎是嚴重的感染,需要緊急手術處理。