內分泌外科 1 / 71
【108-1 醫學(五) 第32題】關於Zollinger-Ellison syndrome的敘述,下列何者錯誤?
A 病因為胃泌細胞瘤(gastrinoma)⼤量分泌胃泌激素後,造成胃酸分泌過量 B 70~90%的腫瘤會分布於總膽管、胃與胰臟頸及胰臟體之間 C 必須排除有無第⼀型多發性內分泌腫瘤症候群(MEN I)的可能,因為有四分之⼀的患者會合併有MEN I, 只單純治療胃泌細胞瘤(gastrinoma)並不周全 D 病⼈會有淋巴及肝臟轉移之風險,所以應將這個腫瘤視為惡性腫瘤
詳解
破題關鍵
Zollinger-Ellison syndrome (ZES) 的病因是胃泌素瘤 (gastrinoma),其腫瘤好發位置有特定的「胃泌素瘤三角區」。
選項拆解
內分泌外科 2 / 71
【108-1 醫學(五) 第38題】下列關於medullary thyroid carcinoma的敘述,何者錯誤?
A 源⾃於parafollicular或C cells B 約80%的medullary carcinoma與MEN 2A或MEN 2B有關 C 可分泌calcitonin,亦可能分泌carcinoembryonic antigen(CEA) D 若同時合併pheochromocytoma,則必須先處理pheochromocytoma
詳解
破題關鍵
髓質甲狀腺癌 (Medullary thyroid carcinoma, MTC) 的遺傳性與相關症候群。
選項拆解
- A:正確。MTC 源自於甲狀腺的濾泡旁細胞或 C 細胞。
內分泌外科 3 / 71
【108-1 醫學(五) 第39題】48歲男性,患有multiple endocrine neoplasia type 1(MEN type 1) 合併hyperparathyroidism,於10年前接受副甲狀腺切除⼿術,之後⾎鈣及iPTH皆正常,惟最近追蹤抽⾎檢查顯⽰:iPTH為132 pg/mL,⾎鈣為10.8 mg/dL,則最適宜的診斷為:
A secondary hyperparathyroidism B tertiary hyperparathyroidism C persistent hyperparathyroidism D recurrent hyperparathyroidism
詳解
破題關鍵
副甲狀腺功能亢進症的術後追蹤與診斷。
選項拆解
- A:錯在「secondary hyperparathyroidism」。病人有 MEN type 1 病史,且術後曾正常,現在又升高,不符合次發性副甲狀腺功能亢進症的定義。
內分泌外科 4 / 71
【108-1 醫學(五) 第40題】下列關於thyroid storm治療的敘述,何者錯誤?
A Lugol's iodine含有⼤量的碘,應避免使⽤ B ß-blockers可減少peripheral T4 to T3 conversion C propylthiouracil(PTU)可減少peripheral conversion of T4 to T3 D 應給予氧氣及靜脈輸液補充
詳解
破題關鍵
甲狀腺風暴 (thyroid storm) 的治療原則。
選項拆解
內分泌外科 5 / 71
【108-1 醫學(五) 第66題】有關成⼈之pheochromocytoma之敘述,下列何者錯誤?
A 10%為兩側、10%為惡性、10%不⻑於腎上腺內(extra-adrenal) B 10%發⽣於multiple endocrine neoplasia(MEN)type II之病⼈ C 診斷時測量尿液中之metanephrine或catecholamine比vanillylmandelic acid(VMA)更有效 D NP-59核醫檢查⽤來定位pheochromocytoma腫瘤位置
詳解
破題關鍵
嗜鉻細胞瘤的診斷和定位,除了生化檢查,影像學檢查也很重要,但要選對工具。
選項拆解
- A:正確。這就是著名的「10%法則」,描述了嗜鉻細胞瘤的常見特徵:10%為兩側性、10%為惡性、10%長在腎上腺外。
內分泌外科 6 / 71
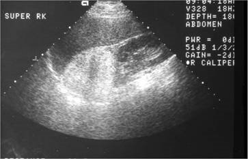
【108-1 醫學(五) 第72題】40歲男性病⼈因上腹部不適,上腹部超⾳波檢查發現右腎上⽅腫瘤如圖,最可能的診斷為何?
A adrenal myelolipoma B adrenal pheochromocytoma C adrenal cortical adenoma D adrenal cortical carcinoma
詳解
破題關鍵
這題的解題核心在於辨識超音波影像中,腎臟上方腫瘤呈現的「高回音性」特徵,這是脂肪組織的典型表現,強烈指向腎上腺髓脂肪瘤。
選項拆解
外科通論與急重症 7 / 71
【108-1 醫學(五) 第2題】外傷評分系統(Injury Severity Score, ISS)是對外傷病患嚴重度評估常⽤的評分⽅式;下列對於外傷評分系統的敘述何者錯誤?
A Abbreviated Injury Scale(AIS),於1971年提出,將受傷部位嚴重程度,分為從第1級(minimal severity)⾄第6級(presumably fatal) B Injury Severity Score(ISS)是⼀種⽣理性評分系統(physiological scoring system) C ISS分數區域為1分⾄75分,minor injury是指ISS<9分 D Glasgow Coma Scale(GCS)能評量外傷病患意識狀態,分數區域為3分⾄15分
詳解
破題關鍵
區分外傷評分系統的類型:是解剖性 (anatomical) 還是生理性 (physiological)。
選項拆解
- A:正確。Abbreviated Injury Scale (AIS) 確實於1971年提出,並將受傷嚴重程度分為1至6級,其中6級代表幾乎致命。它是ISS的基礎。
外科通論與急重症 8 / 71
【108-1 醫學(五) 第3題】對於beside surgical procedure的敘述,下列何者錯誤?
A bedside surgical procedure可針對選擇性的critically ill patients進⾏⼿術處理,優點為降低運輸危急病患⾄ ⼿術室的危險,⼿術排程安排較有彈性,並可降低醫療費⽤ B bedside laparotomy通常應⽤於abdominal compartment syndrome,尤其當intra-abdominal pressure達到 grade Ⅲ以上(21mmHg)時,可考慮做此項⼿術,以減低腹內壓 C percutaneous dilatational tracheostomy (PDT)對於critically ill patients with prolonged mechanical intubation,是簡單安全的⼿術,其peri-procedure mortality rate <0.1% D percutaneous endoscopic gastrostomy (PEG) 是針對high risk aspiration, inability to swallow, gastric outlet obstruction的critically ill patients,可提供安全快速的腸道管路路徑,灌食營養品
詳解
破題關鍵
了解各種床邊手術的適應症與禁忌症,特別是PEG的禁忌症。
選項拆解
- A:正確。床邊手術確實能降低運輸危急病患的風險,增加排程彈性,並可能降低費用。
- B:正確。當腹內壓達到第三級以上(21mmHg)時,腹腔高壓症候群可能危及生命,床邊腹腔切開術是減低腹內壓的有效方法。
外科通論與急重症 9 / 71
【108-1 醫學(五) 第4題】下列何者不是⼿術部位感染(surgical site infection)的危險因⼦(risk factors)?
A 癌症病患接受⼿術 B 病患是否⻑期吸菸 C 術中是否輸⾎ D ⼿術時間⻑短
詳解
破題關鍵
區分一般性疾病狀態與直接影響傷口癒合或免疫功能的危險因子。
選項拆解
- A:錯在 [癌症病患]。癌症本身並非直接的SSI危險因子。雖然癌症病患可能因疾病或治療導致免疫力下降、營養不良等,進而增加感染風險,但「癌症病患」這個描述本身並非一個獨立、直接的SSI危險因子。
外科通論與急重症 10 / 71
【108-1 醫學(五) 第5題】急診⾯對⼀位發燒病⼈,⾎壓75/40 mmHg,⼼跳105/min,⼼功能指標(cardiac index)下降,但中央靜脈壓⼒(central venous pressure)上升,最有可能診斷為何?
A ⼼因性休克 B 敗⾎性休克 C 低⾎容積休克 D 神經性休克
詳解
破題關鍵
根據血流動力學指標,特別是中央靜脈壓 (CVP) 和心功能指標 (cardiac index, CI) 的變化來判斷休克類型。
選項拆解
外科通論與急重症 11 / 71
【108-1 醫學(五) 第7題】⼤多數的癌症會經由淋巴管轉移(lymphatic metastasis),因此淋巴結廓清⼿術是惡性腫瘤⼿術的重要步驟。下列何種惡性腫瘤因很少有淋巴結轉移(< 5%),所以不需常規進⾏淋巴結廓清⼿術?
A 胃癌 B 軟組織⾁瘤 C ⼤腸癌 D 胰臟癌
詳解
破題關鍵
了解不同癌症的轉移途徑,特別是淋巴轉移的傾向。
選項拆解
- A:錯在 [胃癌]。胃癌 (gastric cancer) 具有高度淋巴結轉移傾向,淋巴結廓清術是標準治療的一部分。
外科通論與急重症 12 / 71
【108-1 醫學(五) 第8題】⻑期禁食後再重新給與營養時,為避免造成再餵食症後群(refeeding syndrome),於早期餵食時,應注意下列那些離⼦的補充?
A 鉀、磷、鎂 B 鈉、磷、鈣 C 鉀、磷、鈣 D 鉀、鈉、鎂
詳解
破題關鍵
記住再餵食症候群 (refeeding syndrome) 最主要會缺乏的三種電解質。
選項拆解
- A:正確。鉀、磷、鎂是再餵食症候群中最常發生嚴重缺乏的電解質,需要特別注意補充。
- B:錯在 [鈉、鈣]。鈉和鈣不是再餵食症候群中主要會缺乏的電解質。
外科通論與急重症 13 / 71
【108-1 醫學(五) 第15題】下列何者是造成傷⼝攣縮(wound contracture)的主要細胞?
A T-淋巴球(T-lymphocyte) B B-淋巴球(B-lymphocyte) C 巨噬細胞(macrophage) D 肌纖維⺟細胞(myofibroblast)
詳解
破題關鍵
傷口攣縮就是傷口縮小,這是肌纖維母細胞在拉扯。
選項拆解
- A:T-淋巴球 (T-lymphocyte) 主要參與細胞免疫反應,與傷口攣縮的直接收縮作用無關。
- B:B-淋巴球 (B-lymphocyte) 主要負責體液免疫,產生抗體,與傷口攣縮的直接收縮作用無關。
外科通論與急重症 14 / 71
【108-1 醫學(五) 第16題】關於⽪膚移植(skin graft)的敘述,下列何者正確?
A ⾎漿浸潤(plasmatic circulation)是指在術後的72⼩時後,移植的⽪膚(grafted skin)將直接吸收養分 B 屍⽪(cadaveric skin)覆蓋是屬於異種(xenograft)移植 C 常⾒的⼿術失敗原因包括⾎腫、感染,但移植⽪膚因位移產⽣缺失(loss)情況並不多⾒ D 移植⽪膚的真⽪愈厚,愈不會產⽣傷⼝疤痕攣縮(scar contracture)
詳解
破題關鍵
真皮越厚,代表有更多膠原蛋白和彈性纖維,能提供更好的結構支撐,減少疤痕攣縮。
選項拆解
外科通論與急重症 15 / 71
【108-1 醫學(五) 第17題】在處理⼀個困難的傷⼝時,我們常以肌⾁⽪瓣(muscle flap)來重建缺損,根據 Mathes & Nahai 的分類, 以下敘述何者正確?
A 臀⼤肌(gluteus maximus)和腹直肌(rectus abdominis)⽪瓣都屬於type II B 闊背肌(latissimus dorsi)由單⼀⾎管莖供應,屬於type I C 適合取較⼤肌⾁來重建缺損的是屬於type I、III、V D 股薄肌(gracilis)是屬於type IV,所以只能取⼀⼩部分肌⾁來重建缺損
詳解
破題關鍵
Mathes & Nahai 分類是看肌肉的血管供應模式,Type I, III, V 有主要血管,適合做大範圍皮瓣。
選項拆解
外科通論與急重症 16 / 71
【108-1 醫學(五) 第18題】關於各種不同的⽣物⼯程⽪膚替代物(bioengineered skin substitutes)的優點與缺點,下列敘述何者錯誤?
A 培養的異體⾓質細胞(allogeneic keratinocyte graft)有傷⼝覆蓋與促進癒合的優點 B 培養的異體⾓質細胞(allogeneic keratinocyte graft)缺點是脆弱且無法避免傷⼝攣縮 C ⽣物⼯程真⽪替代物(bioengineered dermal replacement)⼤部分只能當作暫時性的傷⼝覆蓋 D ⽣物⼯程真⽪替代物(bioengineered dermal replacement)優點是具有優異的引導上⽪化(reepithelialization)的能⼒
詳解
破題關鍵
真皮替代物主要是提供真皮層的支架,幫助長出新的真皮,但引導上皮化主要是表皮細胞的功能。
選項拆解
- A:正確。培養的異體角質細胞 (allogeneic keratinocyte graft) 可以提供暫時性的傷口覆蓋,並釋放生長因子,促進宿主細胞的生長和傷口癒合。
外科通論與急重症 17 / 71
【108-1 醫學(五) 第24題】下列情況何者可以暫不考慮放置下腔靜脈過濾器(vena cava filter)?
A ⾸次急性之肺動脈栓塞 B 深部靜脈栓塞,且不適合使⽤抗凝⾎劑 C 深部靜脈栓塞,且有慢性肺栓塞,並已造成肺⾼壓 D 在⾜量之抗凝⾎劑治療下,仍反復多次靜脈栓塞
詳解
破題關鍵
下腔靜脈過濾器 (IVC filter) 主要用於預防深部靜脈栓塞 (DVT) 引起的肺栓塞 (PE),特別是在抗凝血劑禁忌或治療失敗的情況下,而不是首次急性 PE 的常規治療。
選項拆解
外科通論與急重症 18 / 71
【108-1 醫學(五) 第27題】下列何者不是創傷初級評估中,會有立即⽣命危險之傷害?
A ⼼包膜填塞症(cardiac tamponade) B ⾃發性氣胸(spontaneous pneumothorax) C 氣道阻塞(airway obstruction) D 連枷胸(flail chest)併肺挫傷(pulmonary contusion)
詳解
破題關鍵
創傷初級評估 (Primary Survey) 的重點是找出並立即處理危及生命的「創傷」傷害,自發性氣胸通常不是創傷引起的。
選項拆解
- A:錯在「不是」。心包膜填塞症 (cardiac tamponade) 是創傷後會立即危及生命的狀況,需緊急處理。
外科通論與急重症 19 / 71
【108-1 醫學(五) 第41題】乳房原位癌患者必須接受全乳房切除,下列何者除外?
A ⾸次局部乳房切除無法有乾淨邊緣(clear margin) B 瀰漫性乳管內鈣化點 C 患者強烈無意願保留乳房 D 患者無法接受放射線治療
詳解
破題關鍵
乳房原位癌 (Ductal Carcinoma In Situ, DCIS) 選擇全乳房切除的適應症。
選項拆解
外科通論與急重症 20 / 71
【108-1 醫學(五) 第42題】比較同⼀期別的乳癌,下列何種乳癌組織型態預後最好?
A medullary carcinoma B mucinous carcinoma C metaplastic carcinoma D infiltrating ductal carcinoma
詳解
破題關鍵
乳癌不同組織型態的預後差異。
選項拆解
- A:錯在「medullary carcinoma」。髓質癌預後比一般浸潤性導管癌好,但通常不如黏液癌。
- B:正確。黏液癌 (mucinous carcinoma) 通常生長緩慢,淋巴結轉移率低,是所有浸潤性乳癌中預後相對最好的類型之一。
外科通論與急重症 21 / 71
【108-1 醫學(五) 第43題】關於乳癌的影像檢查包括超⾳波、乳房攝影及核磁共振,下列敘述何者錯誤?
A breast imaging reporting and data system(BI-RADS)⽤以評估惡性可能,其中第⼀類BI-RADS,代表沒有任何病灶 B BI-RADS 3代表病灶出現,可能為良性,需短期追蹤 C BI-RADS 5代表病灶出現,⽽且已經證實為乳癌 D 核磁共振(MRI)適⽤於腋下淋巴乳癌轉移,其原發病灶不明(unknown primary tumor)或佩吉特⽒病 (Paget disease)
詳解
破題關鍵
乳房影像報告與資料系統 (BI-RADS) 的分級意義。
選項拆解
- A:正確。BI-RADS 1 代表沒有任何病灶,影像檢查結果為陰性。
- B:正確。BI-RADS 3 代表病灶可能為良性,但仍有小於 2% 的惡性風險,建議短期追蹤。
外科通論與急重症 22 / 71
【108-1 醫學(五) 第48題】使⽤全靜脈營養(TPN)之後產⽣膽汁鬱積(cholestasis),下列何者是最理想的治療⽅法?
A 增加脂肪乳劑施打 B 增加脂溶性維⽣素的補充量 C 使⽤中鏈三酸⽢油酯(medium-chain triglyceride)的配⽅ D 儘可能恢復腸道營養
詳解
破題關鍵
TPN 相關膽汁鬱積的根本原因是腸道缺乏刺激。
選項拆解
外科通論與急重症 23 / 71
【108-1 醫學(五) 第54題】下列有關腹腔鏡⼿術之敘述,何者錯誤?
A 腹腔鏡⼿術以全⾝⿇醉進⾏為佳 B 對後腹膜腔的器官或需要從腹膜外(extraperitoneal space)進入腹腔時,有時需要⽤氣球撐開術(balloon dissection) 來打開第⼀個洞 C 腹腔外的內視鏡⼿術(extraperitoneal endosurgery)可做⼿術的空間較⼩,且會增加腸沾粘的機會 D 以⼿輔助的腹腔鏡⼿術(hand-assisted laparoscopic surgery)被認為可以降低外科醫師轉換到腹腔鏡的學習曲線,也可減少改為傳統⼿術的機會
詳解
破題關鍵
腹膜外內視鏡手術的優點是減少腸沾黏。
選項拆解
- A:正確。腹腔鏡手術通常需要全身麻醉,以確保患者舒適、肌肉鬆弛,並能維持氣腹,為手術提供良好視野和操作空間。
外科通論與急重症 24 / 71
【108-1 醫學(五) 第55題】有關單⼀切⼝腹腔鏡⼿術(single-incision laparoscopic surgery, SILS)的敘述,下列何者錯誤?
A 擁擠的套管(trocar)擺設及缺乏左右⼿操作的⾓度 B 比起傳統腹腔鏡⼿術,單⼀切⼝腹腔鏡⼿術器械操作較不易撞擊且⼿術視野較寬廣 C ⼿術中由單⼀切⼝腹腔鏡膽囊⼿術轉換成傳統腹腔鏡膽囊切除⼿術的比率(conversion rate)文獻報告約為 0~24% D 最常⾒的併發症為腹內膿瘍及傷⼝感染
詳解
破題關鍵
單一切口手術的器械都從同一個小切口進入,操作空間受限,容易互相干擾。
選項拆解
- A:正確。單一切口手術的套管 (trocar) 集中在一個小切口,導致器械擺設擁擠,操作時容易互相撞擊,且缺乏傳統腹腔鏡手術那樣多角度的操作空間。
外科通論與急重症 25 / 71
【108-1 醫學(五) 第75題】⼀位46歲男性,胸部遭攻擊造成⾎胸合併休克,胸管引流出700 ml⾎液後,⾎壓為118/82 mmHg,⼼跳90 下/分,幾分鐘後⾎壓下降為84/62 mmHg,⼼跳126下/分,下列處置何者最優先?
A 立即氣管插管 B 緊急開胸 C 立即輸⾎ D 重新評估病⼈
詳解
破題關鍵
外傷病人生命徵象惡化時,首要之務是重新評估並找出原因,而非盲目處置。
選項拆解
- A:錯在「時機」。氣管插管是針對呼吸道阻塞或呼吸衰竭的處置,雖然重要,但在生命徵象惡化時,應先全面評估找出原因,而非直接插管。
外科通論與急重症 26 / 71
【108-1 醫學(五) 第76題】有關老年⼈外傷處置的敘述,下列何者錯誤?
A 老年⼈發⽣硬腦膜下出⾎(subdural hemorrhage)的機率比硬腦膜上出⾎(epidural hemorrhage)機會⾼ B 必要時,應及早輸⾎ C 胸部挫傷時,發⽣院內感染的機率比年輕⼈⾼ D ⽣命徵象變化容易預測
詳解
破題關鍵
老年人因生理儲備功能下降,生命徵象變化往往不明顯或延遲,難以預測。
選項拆解
外科通論與急重症 27 / 71
【108-1 醫學(五) 第78題】張先⽣是⼀位⽊⼯,和妻⼦住在⼀起,每天都會抽⼀包菸且下班後會喝⼀點酒。有⼀次暈倒⼜很快醒來,檢查後發現他有左側頸動脈明顯狹窄,腦⾎管攝影發現狹窄⾼達90%。⾎管外科主治醫師建議他做頸動脈內膜刮除術或置放⽀架等治療,但告知張先⽣接受⼿術有立即死亡或中風的風險,張先⽣對⼿術感到遲疑,並說他再6個⽉就可以領到全部退休⾦;下列何種作法較適當?
A 和張先⽣充分討論後,先給予內科藥物治療,並安排戒菸計畫及定期追蹤 B 臨床不需考慮治療疾病以外的事,張先⽣的退休⾦不該影響你的醫療決策 C 張先⽣可能受到疾病的壓⼒無法做正確的判斷,應聯絡其家屬討論治療⽅向 D 先安排⼿術爭取治療時效性,進開⼑房再向張先⽣解釋此⼿術的風險即可
詳解
破題關鍵
在病人有疑慮且非緊急情況下,應尊重病人意願,充分溝通,並提供非侵入性治療選項。
選項拆解
外科通論與急重症 28 / 71
【108-1 醫學(五) 第79題】80歲的蘇老先⽣因在家跌倒,右側肱骨骨折,送到醫院急診。在急診時發現他過去病史包括洗腎5年,7年前做過冠狀動脈繞道⼿術,⼼臟科醫師評估起來有較⾼的⼿術風險,但他疼痛難耐,什麼解釋都不想聽,只想趕快接受⼿術治療肱骨骨折。他也不在乎他的家⼈意⾒,反正他就是要接受⼿術,此時主⼑醫師覺得有必要向他解釋清楚,何者最適當?
A 把風險告知蘇老先⽣的家⼈,依照家⼈的意願來判斷是否⼿術 B 不管蘇老先⽣聽不聽,跟他解釋過就算盡到義務,再按照他的意願接受⼿術 C 評估蘇老先⽣的決定能⼒,若有決定能⼒,在他簽署同意書後遵照他的意願 D 若蘇老先⽣無決定能⼒,經你的判斷⼿術符合病⼈最⼤利益,給予蘇老先⽣簽署同意書後可進⾏⼿術
詳解
破題關鍵
在病人有決定能力的情況下,即使其決定與醫師建議不同,醫師仍應尊重其自主權。
選項拆解
- A:錯在「依照家人的意願」。在病人有決定能力的情況下,應以病人本人的意願為主,家人的意見是參考,但不能取代病人的自主權。
外科通論與急重症 29 / 71
【108-1 醫學(五) 第80題】黃先⽣5年前接受張醫師⼤腸癌⼿術切除後,於今年發現疑似轉移性肺部病灶。在回顧過去的胸部X光報告時,發現2年前即有異常病灶出現,⽽當時張醫師並未注意到。此時張醫師應該如何處理?①為避免造成醫療糾紛及訴訟,應隱瞞此⼀事件,立即開始治療病患即可 ②立刻向病患說明並表達歉意 ③檢討作業流程,避免事件再次發⽣ ④將病患轉診腫瘤科醫師,由其向病患解釋
A ①③④ B ①④ C ②④ D ②③
詳解
破題關鍵
醫師發現醫療疏失時,應誠實告知病人並道歉,同時檢討改進。
選項拆解
- ①:錯在「隱瞞」。隱瞞醫療疏失不僅違反醫學倫理,也可能導致病人延誤治療,甚至引發更大的醫療糾紛和法律責任。
- ②:正確。誠實告知病人並表達歉意,是醫師應盡的責任,有助於維護醫病關係和病人權益。
小兒外科 30 / 71
【108-1 醫學(五) 第19題】有關兔唇顎裂(cleft lip and palate)的敘述,下列何者錯誤?
A 兔唇顎裂是最常⾒的顏⾯先天異常(anomaly) B 發⽣的原因有家族病史傾向,跟懷孕期間使⽤藥物、感染或吸菸也有關 C 嚴重完整型唇顎裂(complete cleft lip/palate)可能導致吸入性肺炎,所以應該提早於3~6周進⾏⼿術 D 顎裂矯正⼿術的併發症最常⾒的是瘻管(fistula),其次是無法完全矯正語⾔發⾳和腭咽不全 (velopharyngeal insufficiency)
詳解
破題關鍵
唇顎裂手術有其黃金時間,太早手術反而風險高,且吸入性肺炎並非主要手術時機考量。
選項拆解
- A:正確。兔唇顎裂 (cleft lip and palate) 確實是最常見的顏面先天異常之一,發生率約為 1/700 到 1/1000 活產嬰兒。
小兒外科 31 / 71
【108-1 醫學(五) 第31題】胃底折疊術(fundoplication)不是下列那⼀個疾病⼿術中的⼀個術式?
A 食管裂孔疝氣(hiatal hernia) B 胃食道逆流(gastro-esophageal reflux) C ⾎管環(vascular ring) D 賁⾨弛緩不能症(achalasia)
詳解
破題關鍵
胃底折疊術 (fundoplication) 的核心原理是加強賁門的抗逆流功能,因此適用於與賁門功能不全相關的疾病。
選項拆解
- A:錯在「不是」。食管裂孔疝氣 (hiatal hernia) 常與胃食道逆流並存,胃底折疊術是治療此類疾病的常用術式。
小兒外科 32 / 71
【108-1 醫學(五) 第44題】有關無肛症(imperforate anus)之敘述,下列何者正確?①低位無肛症,⼀般是直接做肛⾨直腸成形⼿術 ②⾼位無肛症都是先做⼤腸造⼝,等幾個⽉後再做肛⾨直腸成形⼿術 ③容易合併的先天性異常包括脊柱、 ⼼臟、食道及泌尿系統 ④⾼位無肛症最常合併直腸膀胱瘻管 ⑤出⽣後要儘快照側⾯的腹部X光片來決定分型
A ①②③④⑤ B 僅①②④⑤ C 僅①③④⑤ D 僅①②③
詳解
破題關鍵
無肛症 (imperforate anus) 的分型、治療原則和合併症。
選項拆解
- ①:正確。低位無肛症通常畸形較輕微,可直接進行肛門直腸成形手術。
- ②:正確。高位無肛症手術較複雜,通常先做大腸造口,待嬰兒長大後再進行肛門直腸成形手術。
小兒外科 33 / 71
【108-1 醫學(五) 第45題】有關尿道下裂(hypospadias)之敘述,下列何者錯誤?
A 是依據尿道開⼝位置來分型 B ⼿術矯正年齡最好是學齡前約6歲,以免兒童⼼理受到影響 C 嚴重的尿道下裂,多需要取周圍的⽪瓣來做尿道重建 D 常合併有陰莖彎曲(chordee),尤其是尿道開⼝在近端的類型
詳解
破題關鍵
尿道下裂的手術時機點,越早越好。
選項拆解
- A:正確。尿道下裂的分型確實是根據尿道開口的位置,這是臨床上評估嚴重程度和選擇手術方式的依據。
小兒外科 34 / 71
【108-1 醫學(五) 第46題】下列有關腹股溝疝氣(inguinal hernia)與⼩兒陰囊⽔腫(hydrocele)之敘述,何者錯誤?
A ⼩兒的腹股溝疝氣⼤多是間接型的腹股溝疝氣。疝氣囊的形成是因為在胎兒時期的鞘狀突(processus vaginalis)沒有閉合⽽造成的 B 疝氣的⼿術治療可在內環(internal ring)的位置做疝氣囊⾼位結紮術(high ligation) C ⼩兒的腹股溝疝氣與陰囊⽔腫,其形成的原因及過程完全不同,故治療的⽅式也不⼀樣 D ⼀個本來沒有陰囊⽔腫的⼩男⽣突然出現陰囊⽔腫時,要仔細辨別是否與睪丸腫瘤、創傷、扭轉或副睪炎有關。若有懷疑時,可安排陰囊超⾳波檢查
詳解
破題關鍵
小兒腹股溝疝氣和陰囊水腫的病因是共通的。
選項拆解
- A:正確。小兒腹股溝疝氣絕大多數是間接型,其根本原因是胎兒時期的鞘狀突 (processus vaginalis) 未能完全閉合。
小兒外科 35 / 71
【108-1 醫學(五) 第47題】神經⺟細胞瘤(neuroblastoma)是兒童顱外最常⾒的實質性腫瘤,下列對於神經⺟細胞瘤的敘述,何者錯誤?
A 神經⺟細胞瘤源⾃於神經嵴細胞(neural crest cells),是交感神經系統的惡性腫瘤 B ⼤約有65%的神經⺟細胞瘤是發⽣在腹部,其中多數位於腎上腺髓質(adrenal medulla),其他在頸部、 胸部及骨盆腔亦有病例報告 C 當懷疑⼩兒罹患神經⺟細胞瘤時,須收集24⼩時尿液檢測其中的兒苯酚氨(catecholamine)或其代謝產物 (例如:dopamine, homovanillic acid, vanillylmandelic acid),通常會發現數據下降 D 碘-131核⼦醫學掃描(碘-131 MIBG scan)不但可以⽤來偵測神經⺟細胞瘤的存在及其是否已有轉移,也可⽤來監測神經⺟細胞瘤在接受治療後的反應及其是否有復發跡象
詳解
破題關鍵
神經母細胞瘤會分泌兒苯酚氨,所以其代謝產物會升高。
選項拆解
- A:正確。神經母細胞瘤確實源自於神經嵴細胞 (neural crest cells),是交感神經系統的惡性腫瘤。
小兒外科 36 / 71
【108-1 醫學(五) 第49題】滿⽉嬰兒若於餵食後呈現噴射狀嘔吐,須懷疑幽⾨肥厚性狹窄(hypertrophic pyloric stenosis),下列有關檢查及治療之敘述,何者最正確?
A 確定診斷可借助腹部觸診發現右上腹橄欖狀硬塊、腹部超⾳波或上消化道攝影 B 平躺腹部X光檢查可發現雙氣泡徵象(double bubble sign) C 嬰兒幽⾨肥厚性狹窄因屬腸胃道阻塞之⼀,通常屬於外科急症(surgical emergency) D ⼿術治療⽬前以幽⾨成形⼿術(pyloroplasty)為主
詳解
破題關鍵
幽門肥厚性狹窄的典型症狀和診斷方法。
選項拆解
- A:正確。幽門肥厚性狹窄的確定診斷可透過理學檢查觸診到右上腹的「橄欖狀硬塊 (olive-shaped mass)」,以及腹部超音波(最常用且準確)或上消化道攝影來確認。
小兒外科 37 / 71
【108-1 醫學(五) 第62題】有關先天性扳機拇指(congenital trigger thumb)的敘述,下列何者錯誤?
A 通常在A2 滑⾞(pulley)處可觸摸到結節(nodule) B 年紀⼩於九個⽉⼤的病患,常有⾃癒的可能 C ⼤部分病例沒有家族史 D 通常沒有發炎反應
詳解
破題關鍵
先天性扳機拇指的結節通常發生在A1滑車處,而非A2。
選項拆解
- A:錯在「通常在A2滑車 (pulley) 處可觸摸到結節」。先天性扳機拇指的結節通常發生在拇指掌指關節處的A1滑車 (A1 pulley),而非A2滑車。A2滑車主要在指骨幹上,與扳機指的病理位置不同。
小兒外科 38 / 71
【108-1 醫學(五) 第74題】關於先天性氣管食道瘻管(congenital tracheoesophageal fistula),下列何者錯誤?
A 可分為五型,其中最常⾒者為“H”狀氣管食道瘻管 B X光影像檢查可區別有無食道閉鎖 C 閉鎖之食道,可經由插入之胃管打轉證實 D 病患常合併有吸入性肺炎,或其他骨骼、消化道等先天異常
詳解
破題關鍵
最常見的氣管食道瘻管類型是食道上段閉鎖、下段與氣管相通。
選項拆解
- A:錯在「最常見者」。最常見的氣管食道瘻管類型是食道上段閉鎖,下段食道與氣管相通 (Type C),而不是 "H" 狀氣管食道瘻管 (Type E)。
心臟胸腔外科 39 / 71
【108-1 醫學(五) 第20題】根據美國⼼臟協會(American Heart Association)及美國⼼臟學院(American College of Cardiology)對冠狀動脈繞道⼿術之指引,下列何種狀況下接受冠狀動脈繞道⼿術,對延⻑壽命⽽⾔不是第⼀級建議(class I recommendation)?
A 僅單純⼀條嚴重阻塞(⼤於75%)且發⽣在左前降冠狀動脈近端(LAD proximal)區域 B 左主幹冠狀動脈(left main)嚴重阻塞(⼤於60%) C 三條⾎管阻塞合併有左前降冠狀動脈近端(LAD proximal)嚴重阻塞(⼤於75%) D ⼆條⾎管阻塞包括左前降冠狀動脈近端(LAD proximal)嚴重阻塞(⼤於75%)
詳解
破題關鍵
冠狀動脈繞道手術 (CABG) 的 Class I 建議通常針對多條血管病變或左主幹病變,單純一條 LAD 近端阻塞若無其他高風險因素,不一定是 Class I。
選項拆解
心臟胸腔外科 40 / 71
【108-1 醫學(五) 第21題】下列有關急性主動脈剝離(aortic dissection)之描述,何者正確?
A 急性主動脈剝離最佳診斷⼯具是⼼臟超⾳波(cardiac echocardiography)或是核磁共振攝影(magnetic resonance imaging) B 急性主動脈剝離發⽣的機制⼤都是內膜層有⼀個破⼝(intimal tear),通常是在主動脈壁外層 (adventitia)及中層(media)中間形成⼀假腔(false lumen) C 發⽣急性主動脈剝離最常⾒的症狀為胸痛,非常類似冠狀動脈疾病的壓迫性胸痛,⼆者並不容易區別 D 發⽣急性主動脈剝離的病⼈,⼤多都以胸痛為主要症狀,並不會引起其他器官的⾎流不⾜(malperfusion)
詳解
破題關鍵
本題考驗醫學生對急性主動脈剝離(acute aortic dissection)的病生理機轉、臨床表現與診斷工具的理解。解題核心在於辨識關於主動脈剝離的正確敘述,特別是其形成機制。圖片呈現的是主動脈的解剖分區,常用於主動脈剝離的分類判斷。
選項拆解
心臟胸腔外科 41 / 71
【108-1 醫學(五) 第22題】動脈瘤形成的危險因素不包括下列何者?
A ⾼年齡 B 男性 C ⾼⾎脂 D 糖尿病
詳解
破題關鍵
動脈瘤的形成與動脈壁的退化和壓力有關,高血壓、高血脂、吸菸是主要危險因子,但高年齡本身並非直接的危險因素,而是與其他危險因素的累積有關。
選項拆解
心臟胸腔外科 42 / 71
【108-1 醫學(五) 第23題】有關⼼臟瓣膜⼿術後,服⽤抗凝⾎劑(warfarin)下列何者錯誤?
A 機械性瓣膜(mechanical valve)置換後,建議需⻑期服⽤抗凝⾎劑 B 作⽤於凝⾎瀑狀途徑(coagulation cascade factor II,VII, IX, X) C 可以經凝⾎酶原時間(prothrombin time)或國際標準化比值(international normalized ratio, INR)監測, 追蹤調整使⽤劑量 D 機械性瓣膜(mechanical valve)置換後,調整藥物劑量使國際標準化比值(international normalized ratio, INR)於正常值即可
詳解
破題關鍵
機械性瓣膜需要長期服用抗凝血劑,且 INR 必須維持在比正常值更高的治療範圍,以預防血栓。
選項拆解
- A:正確。機械性瓣膜置換後,由於其血栓形成風險高,患者需要終身服用抗凝血劑 (warfarin) 以預防血栓栓塞。
心臟胸腔外科 43 / 71
【108-1 醫學(五) 第25題】對周邊⾎管阻塞的治療,下列何者並不適當?
A 照光(phototherapy) B 控制⾼⾎壓,給與⼄型阻斷劑 C 控制糖尿病 D 以導管⽅式打通⾎管
詳解
破題關鍵
周邊血管阻塞的治療重點在於改善血流、控制危險因子,照光不是常規治療。
選項拆解
- A:錯在「照光」。照光療法與周邊血管阻塞的治療無關,因此是不適當的。
心臟胸腔外科 44 / 71
【108-1 醫學(五) 第26題】關於肋膜積液(pleural effusion)的敘述,下列何者正確?
A 漏出液(transudate)常在肺炎或病毒感染時發⽣ B 滲出液(exudate)通常是清澈,蛋⽩質含量較低的液體 C 滲出液(exudate)是肋膜液的LDH 比上⾎清的LDH比值⼩於0.6 D 若因肺炎產⽣之肋膜積液,此液體之葡萄糖濃度通常下降,且⼩於60mg/dL
詳解
破題關鍵
肋膜積液的分類(漏出液 vs 滲出液)是根據其形成機轉和液體成分,肺炎引起的積液屬於滲出液,且常伴隨葡萄糖下降。
選項拆解
- A:錯在「漏出液」。肺炎或病毒感染引起的肋膜積液通常是滲出液 (exudate),因為是局部發炎反應。
心臟胸腔外科 45 / 71
【108-1 醫學(五) 第28題】肺癌⼿術後最常⾒的死亡原因為何?
A 肺炎合併敗⾎症(pneumonia with sepsis) B ⼼律不整(arrhythmia) C 腎臟衰竭(renal failure) D 中風(stroke)
詳解
破題關鍵
肺部手術後,肺功能受損、免疫力下降,最常見的嚴重併發症是感染,尤其是肺部感染。
選項拆解
- A:正確。肺炎合併敗血症 (pneumonia with sepsis) 是肺癌手術後最常見的嚴重併發症和死亡原因。
心臟胸腔外科 46 / 71
【108-1 醫學(五) 第29題】處理縱膈腔⽣殖細胞瘤,抽⾎檢查胎兒球蛋⽩(alpha fetal protein)及絨⽑膜激素(beta-HCG),下列之敘述何者錯誤?
A 精原細胞瘤(seminoma)的⾎清胎兒球蛋⽩及絨⽑膜激素指數顯著昇⾼ B 此⼆項檢查可作為精原細胞瘤(seminoma)及非精原細胞瘤(nonseminomatous germ cell tumor)的鑑別診斷根據 C 此⼆項檢查可評估化學治療的效果 D 定期偵測此⼆項指數可早期發現腫瘤的復發
詳解
破題關鍵
縱膈腔生殖細胞瘤的腫瘤標記 (tumor markers) 在不同亞型中的表現不同,精原細胞瘤通常不會顯著升高胎兒球蛋白 (AFP)。
選項拆解
心臟胸腔外科 47 / 71
【108-1 醫學(五) 第30題】52歲的陳先⽣因肺癌作右下肺葉切除後,術後照顧時需注意的最常⾒併發症是:
A 痰積存導致肺泡萎陷(atelectasis) B ⽪下氣腫(subcutaneous emphysema) C 膿胸(empyema) D ⽀氣管胸膜腔瘻管(bronchopleural fistula)
詳解
破題關鍵
肺部手術後,患者因疼痛、麻醉藥物殘留、臥床等因素,呼吸變淺,咳嗽無力,最容易導致痰液積聚和肺不張。
選項拆解
- A:正確。痰積存導致肺泡萎陷 (atelectasis) 是肺部手術後最常見的併發症。
泌尿外科 48 / 71
【108-1 醫學(五) 第64題】當⼀側輸尿管完全阻塞時會產⽣代償現象之敘述,下列何者錯誤?
A 急性期時該側腎⾎流增加 B 急性期時該側腎⼩球過濾率上升 C Felsen 2003年的研究給予實驗動物L-arginine可以增加腎⾎流與輸尿管壓⼒ D 當阻塞解除時,可能會有多尿現象
詳解
破題關鍵
單側輸尿管完全阻塞的急性期,阻塞側的腎小球過濾率會下降,而非上升。
選項拆解
- A:正確。在輸尿管阻塞的急性初期,腎臟可能會透過自身調節機制,如前列腺素 (prostaglandin) 釋放,導致腎血流短暫增加。
泌尿外科 49 / 71
【108-1 醫學(五) 第65題】有關struvite stone的敘述,下列何者錯誤?
A 主要成分為鎂(magnesium)、磷酸鹽(phosphate)及氨鹽(ammonium) B 通常以鹿⾓結⽯(staghorn stone)呈現 C 病⼈的尿液pH值⼤多⾼於7.2,⽽⼤量利尿無法預防struvite stone之形成 D 多是感染性結⽯,主要以抗⽣素治療
詳解
破題關鍵
Struvite結石是感染引起的,但治療核心是移除結石,單純抗生素無法根治。
選項拆解
- A:正確。Struvite結石的化學成分就是磷酸銨鎂,由鎂 (magnesium)、磷酸鹽 (phosphate) 和氨鹽 (ammonium) 組成。
泌尿外科 50 / 71
【108-1 醫學(五) 第70題】⼀位50歲女性病⼈,無重⼤病史,因為過去12⼩時有發⾼燒、畏寒及腰痛,因此到急診就診,腎臟超⾳波顯 ⽰腎臟並無結⽯或⽔腫,尿液中⽩⾎球為>100/HPF,但無紅⾎球(<2/HPF),⾎中⽩⾎球達18,000/mm3, 病⼈在兩週前曾有頻尿及排尿灼熱感,但排尿症狀已經消失,下列何者錯誤?
A ⼤腸桿菌(E. coli)是最常⾒的致病菌 B 理學檢查可能發現肋骨脊柱三⾓(costo-vertebral angle)有敲痛感(knocking pain) C 通常需要做電腦斷層或靜脈腎盂攝影,進⼀步確定診斷 D 如果沒有敗⾎症(septicemia)之症狀,可以考慮投予廣效性⼝服抗⽣素治療10~14天
詳解
破題關鍵
急性腎盂腎炎的診斷主要靠臨床症狀、身體檢查和尿液檢查,影像學檢查通常不是常規的第一線工具。
選項拆解
- A:正確。大腸桿菌 (E. coli) 是引起急性腎盂腎炎最常見的致病菌。