【106-1 醫學(三) 第50題】快速、淺短呼吸指數(rapid-shallow-breathing index)為何時,病患成功脫離呼吸器之機會較高?
詳解
破題關鍵
快速淺短呼吸指數(RSBI)越低,代表病人自主呼吸的效率越好,脫離呼吸器的機會就越高。
選項拆解
登入查看完整詳解與互動作答
共 68 題(登入後可互動作答與查看詳解)
【106-1 醫學(三) 第50題】快速、淺短呼吸指數(rapid-shallow-breathing index)為何時,病患成功脫離呼吸器之機會較高?
詳解
破題關鍵
快速淺短呼吸指數(RSBI)越低,代表病人自主呼吸的效率越好,脫離呼吸器的機會就越高。
選項拆解
登入查看完整詳解與互動作答
【106-1 醫學(三) 第62題】一位病友疑似誤食遭到日本福島核災幅射塵污染之食物。除可使用碘化鉀(potassium iodide)治療碘(iodine)-131污染外,亦可使用下列何者治療銫(cesium)-137污染?
詳解
破題關鍵
這題考的是針對不同放射性物質污染,要用哪種特定解毒劑來加速排出。
選項拆解
登入查看完整詳解與互動作答
【106-1 醫學(三) 第65題】承上題,在急診處對該病人的處置,下列何者最為適當?
詳解
破題關鍵
這題考你低血鈉症的診斷流程和初步處置,特別是區分不同原因造成的低血鈉。
選項拆解
登入查看完整詳解與互動作答
【106-1 醫學(三) 第76題】下列何種無脈搏電活性(pulseless electric activity,PEA)病人,接受碳酸氫鈉(sodium bicarbonate)治療最有效果?
詳解
破題關鍵
碳酸氫鈉在無脈搏電活性(PEA)病人中,主要用於治療特定原因的代謝性酸血症,尤其是高血鉀引起的。
選項拆解
登入查看完整詳解與互動作答
【106-1 醫學(三) 第78題】一位心臟停止的病人被送來急診,急診醫師已插入氣管內管,這時候呼吸通氣速率最恰當為?
詳解
破題關鍵
心臟停止病人插管後,呼吸通氣頻率有固定建議,且不需與胸外按壓同步。
選項拆解
登入查看完整詳解與互動作答
【106-1 醫學(三) 第7題】26歲女性病人,最近一週有多喝和多尿。體重50公斤,血液osmolality 290 mOsmol/kg H2O,Na 140 mmol/L,K 3.8 mmol/L。尿液osmolality 200 mOsmol/kg H2O,限水試驗2小時之體重47公斤,尿液osmolality 290 mOsmol/kg H2O,給予 ADH(DDAVP)後2小時內最高的尿液osmolality 320 mOsmol/kg H2O。下列敘述何者最正確?
詳解
破題關鍵
這題要你根據限水試驗和給予ADH後的尿液滲透壓變化,判斷多尿症的類型,並選擇正確的治療方式。
選項拆解
登入查看完整詳解與互動作答
【106-1 醫學(三) 第13題】50歲男性業務經理,因倦怠、性慾減少、陽痿來診。病人已婚育有一子20歲,自覺症狀自5年前開始每況愈下。病人自認工作 勝任愉快、夫妻關係良好。經泌尿科診治,抽血檢查:FSH 2 mIU/mL,LH 1 mIU/mL,testosterone 0.4 ng/mL皆比正常人為 低,給予睪固酮注射症狀改善。下列敘述何者最為恰當?
詳解
破題關鍵
低 FSH、低 LH、低睪固酮代表中樞性性腺功能低下,要找出原因。
選項拆解
登入查看完整詳解與互動作答
【106-1 醫學(三) 第14題】32歲男性病患,過去身體健康良好。此次因為近一日來四肢無力到急診求診。診視時發現病患在病床上意識清醒,呼吸正常, 心跳為每分鐘 124次,規則;血壓120/78 mmHg;四肢無法舉離病床,輕觸和疼痛的感覺雙側相同,深部肌腱反射(deep tendon reflex)下降。實驗室檢驗發現血鉀為1.5 meq/L;血中 creatine kinase 671 IU/L(參考值,38~174 IU/L);甲狀腺刺 激素(thyroid stimulating hormone)為 0.013 µIU/mL(參考值,0.35~5.5 µIU/mL) 和游離T 4甲狀腺素(free T4 thyroxine)為4.51 ng/dL(參考值,0.89~1.80 ng/dL)。此病患最有可能的診斷為何?
詳解
破題關鍵
將急性四肢無力、嚴重低血鉀與甲狀腺功能亢進這三個線索串聯起來。
選項拆解
登入查看完整詳解與互動作答
【106-1 醫學(三) 第51題】50歲女性,有一甲狀腺結節,併高血壓,後來發現是甲狀腺髓質癌併嗜鉻細胞瘤。則她及她的小孩要作何種致癌基因 (oncogene)檢查?
詳解
破題關鍵
甲狀腺髓質癌加上嗜鉻細胞瘤,這個組合直接指向多發性內分泌腫瘤症候群第二型 (MEN2),而 MEN2 的致病基因就是 RET。
選項拆解
登入查看完整詳解與互動作答
【106-1 醫學(三) 第52題】維生素D可調控鈣質吸收及肌肉力度的強弱,抽血檢驗何種項目可以測知體內維生素D含量不足?
詳解
破題關鍵
要看身體維生素D夠不夠,最直接、最準確的方法就是測量血液中25 (OH) D的濃度。
選項拆解
登入查看完整詳解與互動作答
【106-1 醫學(三) 第54題】下列那一種狀況合併之糖尿病是由於胰島素分泌不足引起?
詳解
破題關鍵
這題在問哪種狀況會導致胰島素「分泌不足」,所以要找影響胰臟發育或胰島素製造的因子。
選項拆解
登入查看完整詳解與互動作答
【106-1 醫學(三) 第64題】一位55歲男性這兩天意識變化被送至急診處。病人一個月前診斷為肺癌,但他拒絕任何進一步治療。家人敘述病人這個月情緒 低落,但進食情況尚可,無嘔吐或發燒。身體檢查:體溫36.8℃,血壓130/78 mmHg,脈搏每分80次,呼吸每分19次。病人 對時空有錯亂情形,以及嗜睡;其他神經學檢查無異常;右上鎖骨窩有一拇指大的淋巴結,下肢無水腫。初步檢查血比容 42%,白血球8,300/mm3,血小板240,000/mm3;尿液檢查正常;尿素氮15 mg/dL,ALT 30 U/L,血糖156 mg/dL。血清電解 質,Na+ 122,K+ 5.5,Cl- 86(電解質單位mmol/L)。有關此病人的可能診斷,下列那一個最適當?
詳解
破題關鍵
病人有肺癌病史,出現意識變化、低血鈉和高血鉀,最可能是肺癌引起的嚴重感染(如阻塞性肺炎)導致全身性影響。
選項拆解
登入查看完整詳解與互動作答
【106-1 醫學(三) 第68題】一位60歲女性,因屬骨質疏鬆症之高危險群,接受雙能量X光吸收儀(DEXA)骨質密度篩檢。檢查報告顯示有T值(T- score)及Z值(Z-score),下列數值何者為骨質疏鬆症的診斷標準?
詳解
破題關鍵
診斷骨質疏鬆症,主要看T值,且有明確的數字標準。
選項拆解
登入查看完整詳解與互動作答
下列何者不是脂蛋白分解酵素(lipoprotein lipase)缺乏症之典型臨床表現?
詳解
破題關鍵
脂蛋白分解酵素缺乏會導致三酸甘油酯極高,但通常不會增加動脈硬化風險。
選項拆解
登入查看完整詳解與互動作答
【106-1 醫學(三) 第2題】52歲男性病人過去並無高血壓或心臟病,近半年來運動時呼吸困難逐漸加重且有下肢水腫。經檢查肝腎功能正常,給予利尿劑 治療,頸靜脈仍有顯著擴張。門診胸部X光顯示心臟並未擴大,身體診察無心雜音,肝臟稍腫大,有腹水及雙側下肢水腫。心 導管檢查右心房平均壓力是15mmHg(正常<8 mmHg),右心房壓力曲線呈現明顯的Y下降波。本病人另外可能出現下列那一 種徵狀(sign)?
詳解
破題關鍵
這個病人有典型的右心衰竭症狀(水腫、腹水、肝腫大、頸靜脈擴張),心臟大小正常,且心導管顯示右心房壓力高且有明顯的Y下降波,這些都強烈指向「限制性心包膜炎」。
選項拆解
登入查看完整詳解與互動作答
【106-1 醫學(三) 第3題】32歲女性突然覺得心跳很快,這是本週第二次出現,第一次出現在數分鐘之後自行停止。這次已經持續半個小時,當她到達急診時,血壓120/70毫米汞柱,呼吸每分鐘十四次,氧合濃度百分之九十八(沒有使用氧氣),心電圖出現窄波規則心率,每分鐘一百八十次。此心律不整經給予頸動脈竇按摩及Valsalva maneuver,心跳並沒有下降。接下來給予何種藥物為佳?
詳解
破題關鍵
對於血壓穩定且對迷走神經刺激無效的窄波規則心搏過速,首選藥物是腺苷。
選項拆解
登入查看完整詳解與互動作答
【106-1 醫學(三) 第17題】有關冠心症心肌缺氧之敘述,下列何者錯誤?
詳解
破題關鍵
穩定性心絞痛的胸痛通常只持續幾分鐘,不會長達數小時。
選項拆解
登入查看完整詳解與互動作答
【106-1 醫學(三) 第18題】下列有關心雜音(heart murmur)之敘述,何者錯誤?
詳解
破題關鍵
並非所有心雜音都代表心臟有問題,健康的人也可能會有。
選項拆解
登入查看完整詳解與互動作答
【106-1 醫學(三) 第19題】下列有關ST節段上升的心肌梗塞(ST-elevation myocardial infarction,STEMI)的敍述,何者錯誤?
詳解
破題關鍵
STEMI患者在到院前最常見的死亡原因並不是急性心衰竭,而是心律不整。
選項拆解
登入查看完整詳解與互動作答
【106-1 醫學(三) 第20題】下列何者不是造成動脈粥狀硬化的主要危險因子?
詳解
破題關鍵
這題要你找出哪個選項「不是」造成動脈粥狀硬化的主要危險因子。
選項拆解
登入查看完整詳解與互動作答
【106-1 醫學(三) 第21題】一位25歲的女性病人因為最近一週發生胸悶而求診,胸悶的發作與活動無關;身體診察時在胸骨旁左下緣可聽見收縮中期滴答 聲(mid-systolic click)以及第二度收縮末期雜音(late systolic murmur),下列何項是確認診斷的最佳診斷工具?
詳解
破題關鍵
聽到收縮中期滴答聲和收縮末期雜音,就要想到僧帽瓣脫垂,而心臟超音波是診斷心臟結構問題的黃金標準。
選項拆解
登入查看完整詳解與互動作答
【106-1 醫學(三) 第22題】下列何種藥物可使用於non-ST elevation myocardial infarction或穩定心絞痛患者?
詳解
破題關鍵
這題的陷阱在於它可能在考藥物「作用機轉」而非「臨床指引」,r-tPA是唯一能主動溶解血栓的藥物。
選項拆解
登入查看完整詳解與互動作答
【106-1 醫學(三) 第23題】有關單獨二尖瓣狹窄(isolated mitral stenosis)之敘述,何者正確?
詳解
破題關鍵
二尖瓣狹窄會造成左心房壓力升高,進而影響肺部循環,導致多種肺部相關症狀與併發症。
選項拆解
登入查看完整詳解與互動作答
【106-1 醫學(三) 第24題】一位50歲男性主訴胸部不適與行動時氣促,無高血壓病史,血壓130/80 mmHg,心跳規則每分鐘76次,聽診上有第四心音,但並無明顯雜音,胸部X光片無明顯異常,心電圖呈現左心室肥厚合併ST-T波變化,而心臟超音波呈現嚴重左心尖部肥厚與正常左心室收縮功能。下列何種藥物最不適當?
詳解
破題關鍵
這位病人有心尖肥厚性心肌病變,這種心臟問題最怕增加心臟收縮力,所以正性變力劑是禁忌。
選項拆解
登入查看完整詳解與互動作答
【106-1 醫學(三) 第75題】一位76歲獨居老人有心律不整之病史,平常服用毛地黃(Digoxin)控制。本次因頭暈、噁心和胸悶,被鄰居發現 並且帶來急診室。經病史詢問後,病人表示因為心情不好就將半個月份的毛地黃都吃下去,到院時意識清楚,體 溫正常、呼吸22次/min、心跳42次/min、血壓96/60mmHg,下列何項處置最不恰當?
詳解
破題關鍵
病人因毛地黃過量導致心跳過慢和血壓過低,任何會進一步降低血壓的處置都應避免。
選項拆解
登入查看完整詳解與互動作答

詳解
破題關鍵
這題的解題核心在於病患的性行為史,以及圖片中顯示的「手掌」出現無痛、不癢的紅疹,這是次發性梅毒(Secondary Syphilis)的典型表現。
選項拆解
登入查看完整詳解與互動作答
【106-1 醫學(三) 第16題】一35歲過去無特殊病史之已婚女性,因兩天的發燒、頻尿、左腰痛求診。急診所做血液培養:Staphylococcus epidermidis (只在一瓶需氧血液培養瓶長出;另一瓶厭氧瓶及另一套血液培養,則無細菌生長); 尿液常規有膿尿症,尿液培養: Escherichia coli (菌量>100,000 CFU/mL),腎臟超音波無特殊發現。此時最適當臨床處置為何?
詳解
破題關鍵
這題的重點在於判斷血液培養的結果是真菌血症還是採檢汙染,並優先處理有明確證據的感染。
選項拆解
登入查看完整詳解與互動作答
【106-1 醫學(三) 第26題】在臺灣引起肝膿瘍最常見的細菌為何?
詳解
破題關鍵
在台灣,肝膿瘍最常見的細菌病原體就是克雷白氏肺炎桿菌,這是國考必背的重點。
選項拆解
登入查看完整詳解與互動作答
【106-1 醫學(三) 第55題】下列有關性病及病原菌配對,何者錯誤?
詳解
破題關鍵
這題在考你常見性病的病原菌配對,只要知道哪一個配對是錯的就能得分。
選項拆解
登入查看完整詳解與互動作答
【106-1 醫學(三) 第56題】細菌性脊椎骨髓炎最常見致病菌種為:
詳解
破題關鍵
細菌性脊椎骨髓炎最常見的病原菌就是金黃色葡萄球菌,這是基本常識題。
選項拆解
登入查看完整詳解與互動作答
【106-1 醫學(三) 第57題】下列有關類鼻疽(melioidosis)之敘述,何者錯誤?
詳解
破題關鍵
類鼻疽的治療時間很長,不是短短幾週就能搞定,而且如果沒治好,很容易復發。
選項拆解
登入查看完整詳解與互動作答
【106-1 醫學(三) 第58題】下列有關各項抗生素常見不良藥物反應之敘述,何項最不適當?
詳解
破題關鍵
這題的陷阱在於區分抗生素的「直接」不良反應與「間接」不良反應。
選項拆解
登入查看完整詳解與互動作答
【106-1 醫學(三) 第59題】關於bacterial meningitis的敘述,下列何者錯誤?
詳解
破題關鍵
細菌性腦膜炎時,細菌會把腦脊髓液裡的葡萄糖吃掉,所以葡萄糖含量會大幅下降。
選項拆解
登入查看完整詳解與互動作答
下列有關不明熱(fever of unknown origin)的分類,何者錯誤?
詳解
破題關鍵
不明熱(FUO)的分類有明確的四種,其中「社區型不明熱」並非正式的分類名稱。
選項拆解
登入查看完整詳解與互動作答
【106-1 醫學(三) 第25題】目前治療C型肝炎的標準療法為何?
詳解
破題關鍵
這題考的是C型肝炎治療在直接作用型抗病毒藥物(DAAs)普及之前的「標準療法」,當時干擾素搭配雷巴威林是主流。
選項拆解
登入查看完整詳解與互動作答
【106-1 醫學(三) 第27題】中年B型肝炎病人,突然間出現右上腹疼痛、冒冷汗、血壓降低且血紅素降低,最可能的診斷是?
詳解
破題關鍵
B型肝炎病人突然出現劇烈腹痛、休克症狀和血紅素降低,最可能就是肝癌破裂導致內出血。
選項拆解
登入查看完整詳解與互動作答
【106-1 醫學(三) 第28題】一位61歲男性慢性B型肝炎病人,經檢查發現在肝臟右葉有兩個肝細胞癌,直徑分別為4公分與3.5公分,左葉亦有一個肝細胞 癌,直徑為1.5公分,主肝門靜脈暢通,病人肝功能Child-Pugh分級為A。在臺灣此病人最適當之初步治療方式為何?
詳解
破題關鍵
這位病人有多顆肝腫瘤且分佈在肝臟兩側,但肝功能良好且沒有血管侵犯或遠端轉移,這種情況最適合用肝動脈栓塞治療。
選項拆解
登入查看完整詳解與互動作答
【106-1 醫學(三) 第29題】下列有關幽門螺旋桿菌之敘述,何者正確?
詳解
破題關鍵
這題主要考你對幽門螺旋桿菌診斷、治療指引和相關疾病流行病學的了解。
選項拆解
登入查看完整詳解與互動作答
【106-1 醫學(三) 第30題】下列有關消化性潰瘍治療藥物之敘述,何者錯誤?
詳解
破題關鍵
制酸劑和H2拮抗劑雖然都降胃酸,但它們作用機制不同,且同時服用可能會互相影響吸收,並非建議併用來增加療效。
選項拆解
登入查看完整詳解與互動作答
【106-1 醫學(三) 第31題】調整飲食為治療胃腸疾病重要的手段,下列有關胃腸疾病與飲食方式調整的敘述,何者錯誤?
詳解
破題關鍵
這題要找出錯誤的敘述,關鍵在於理解各種胃腸疾病的生理機制,以及飲食調整如何幫助改善症狀。
選項拆解
登入查看完整詳解與互動作答
【106-1 醫學(三) 第60題】在臺灣地區未有肝膽疾病之病人,如罹患原發性肝膿瘍,其最可能的致病菌是:
詳解
破題關鍵
在台灣,沒有肝膽疾病的病人如果得到原發性肝膿瘍,最常見的兇手就是克雷白氏肺炎桿菌。
選項拆解
登入查看完整詳解與互動作答
45歲的秦先生被家屬勸來醫院。他們帶來秦先生的各項檢查結果,並轉述之前醫師的說法,認為秦先生有明顯的酒精性肝傷害,要你說服他戒酒。家屬所提供的數據皆支持秦先生有酒精性肝傷害,除了:
詳解
破題關鍵
這題要你找出哪個檢查結果「不」符合酒精性肝傷害的典型表現。
選項拆解
登入查看完整詳解與互動作答

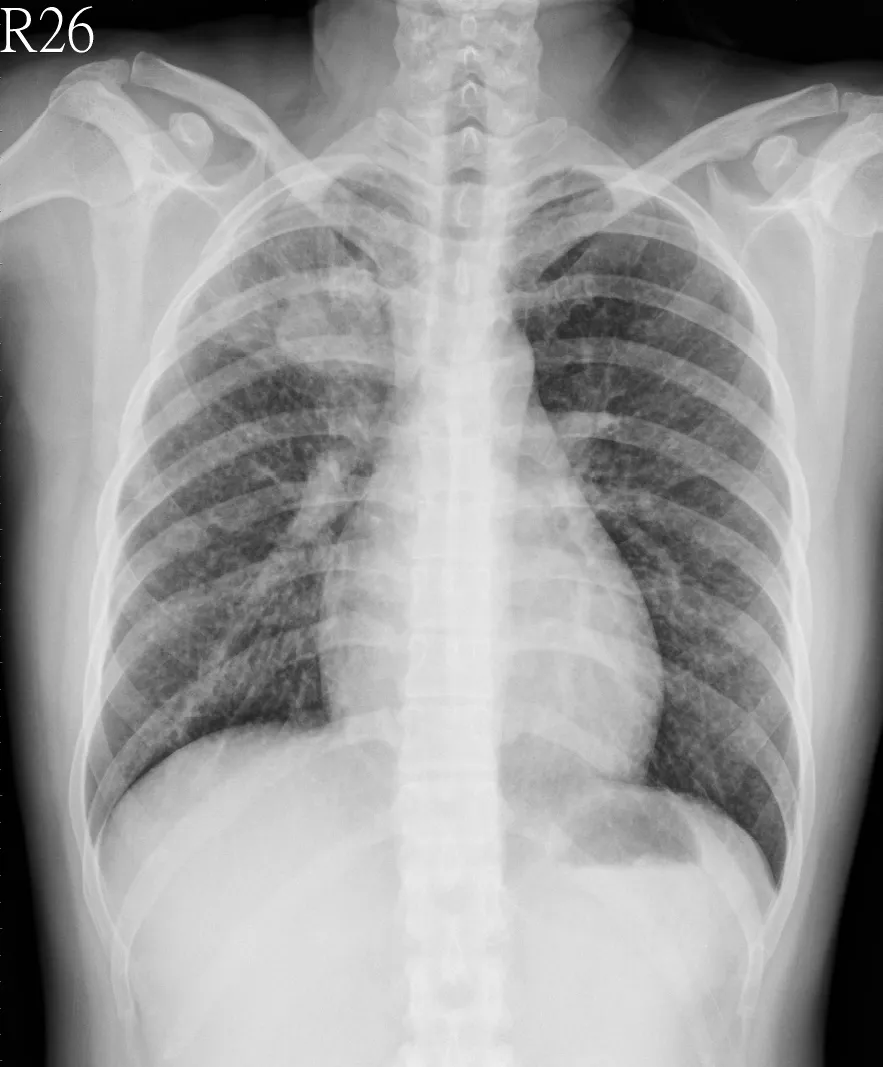
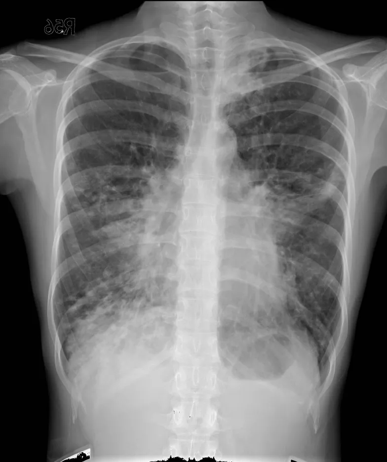
詳解
破題關鍵
這張胸部X光片顯示兩側肺部廣泛性的網狀結節狀浸潤,搭配病患長期咳嗽和體重減輕的症狀,強烈暗示惡性腫瘤的可能性,尤其是肺癌的瀰漫性表現或淋巴管癌病變。
選項拆解
登入查看完整詳解與互動作答

詳解
破題關鍵
登入查看完整詳解與互動作答
【106-1 醫學(三) 第46題】COPD患者休息狀態時,動脈血已出現缺氧現象,該病患較不可能因COPD而出現下列那一項呼吸生理的障礙?
詳解
破題關鍵
COPD患者缺氧的主要原因是換氣/灌流失衡,而不是真正的分流增加。
選項拆解
登入查看完整詳解與互動作答
【106-1 醫學(三) 第47題】有關阻塞性睡眠呼吸中止症(obstructive sleep apnea, OSA)的敘述,下列何者錯誤?
詳解
破題關鍵
診斷阻塞性睡眠呼吸中止症(OSA)的黃金標準是睡眠多項生理檢查,而不是肺功能或單純的腦波圖。
選項拆解
登入查看完整詳解與互動作答
【106-1 醫學(三) 第49題】下列關於氣喘(bronchial asthma)的治療敘述,何者正確?
詳解
破題關鍵
氣喘治療的核心是控制發炎與擴張氣管,並依嚴重度採階梯式用藥,速效型藥物用於急救,長效型藥物用於維持。
選項拆解
登入查看完整詳解與互動作答

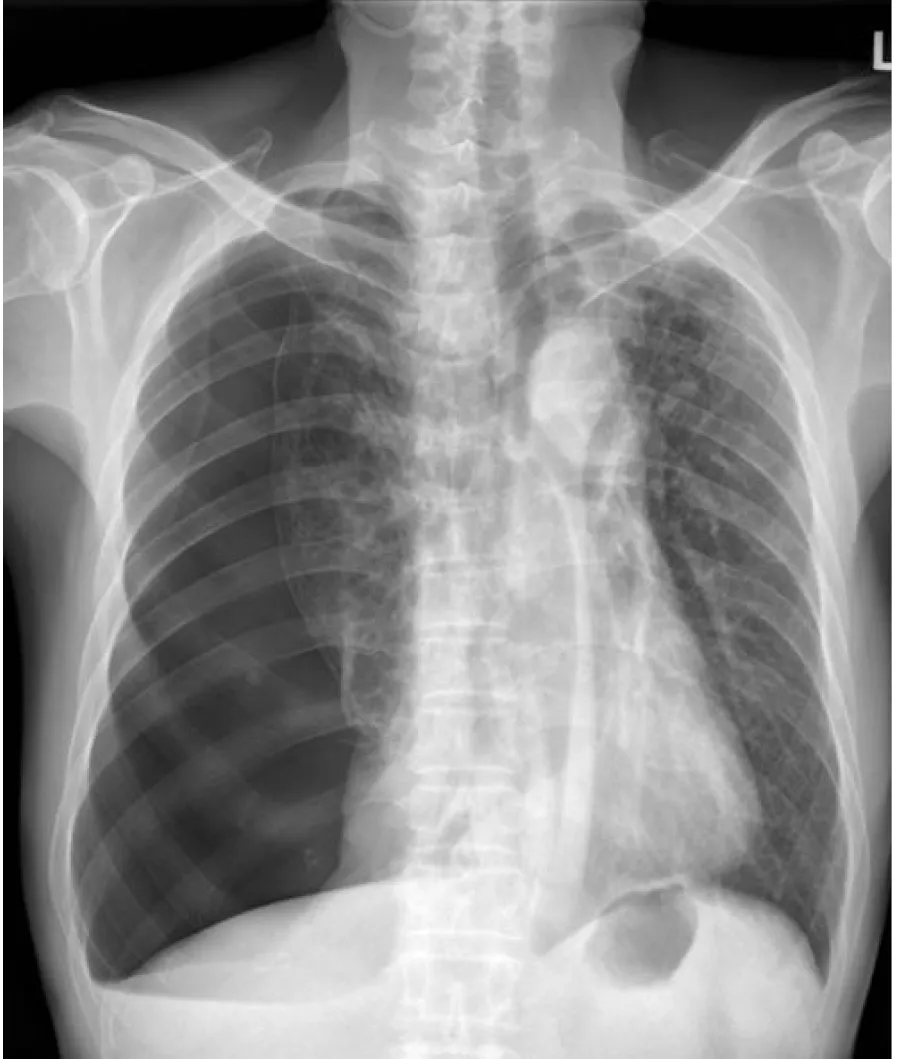
詳解
破題關鍵
這張胸部X光片最關鍵的發現是右側肺部明顯塌陷,並且可以看到清晰的臟層肋膜線(visceral pleural line),這明確指示了氣胸的存在。
選項拆解
登入查看完整詳解與互動作答
【106-1 醫學(三) 第6題】56歲的男性,腎病症候群病史,最近2天嘔吐因此沒有吃利尿劑。身體診察有中度的全身水腫,動脈血氣體pH 7.48,PaCO2 47 mmHg,HCO3- 34 mEq/L,血液osmolality 255 mOsmol/kg H2O,BUN 30 mg/dL,肌酸酐1.5 mg/dL,Na 120 mmol/L。 尿液Na+ 30 mmol/L,尿液Cl- 8 mmol/L。下列敘述何者錯誤?
詳解
破題關鍵
腎病症候群的病人,雖然全身水腫(總體液量增加),但因為白蛋白太低,血管內的液體會跑到組織間隙,導致「有效」的血液循環量其實是減少的。
選項拆解
登入查看完整詳解與互動作答
【106-1 醫學(三) 第32題】治療慢性腎病(chronic kidney disease)合併之高血壓時,首選藥物為:
詳解
破題關鍵
治療慢性腎病合併高血壓,首選藥物除了降血壓,更重要的是能保護腎臟,延緩腎病惡化。
選項拆解
登入查看完整詳解與互動作答