一般內科與重症醫學1 / 76
【108-2 醫學(三) 第1題】3年。結果aspirin對於中風合併心肌梗塞或血管性事件有明顯下降(odds ratio (OR) 0.71, 95% confidence interval (CI) 0.51 to 0.97)。依據實證醫學的原則,下列何者正確?
詳解
破題關鍵
論文中給出單一的「勝算比 (odds ratio, OR)」和「信賴區間 (confidence interval, CI)」來總結某個介入措施對多個事件的影響,這是統合分析的典型呈現方式。
選項拆解
一般內科與重症醫學2 / 76
【108-2 醫學(三) 第49題】關於非自主性的體重流失(involuntary weight loss)的敘述,下列何者錯誤?
詳解
破題關鍵
甲狀腺功能亢進時,雖然體重減輕,但食慾通常是增加的。
選項拆解
-A:正確。這是非自主性體重流失的常見定義之一,表示體重下降的絕對量。
-B:正確。這是非自主性體重流失的另一種常見定義,表示體重下降的相對比例。
一般內科與重症醫學3 / 76
【108-2 醫學(三) 第61題】有一位75歲男性病人,解尿時通常需要稍微用力才能解出來,且尿流較細,曾被泌尿科醫師診斷為前列腺肥大(benign prostatic hyperplasia or hypertrophy)。某日他因感冒與嘔吐服用藥物,結果突然發生無法排尿的情況,明明覺得膀胱很脹,但就是解不出來。請依前述情況回答下列3題。 下列藥物何者最不可能造成此種情況?
詳解
破題關鍵
前列腺肥大病人服用會影響膀胱收縮或尿道括約肌的藥物,容易導致急性尿滯留。
選項拆解
-A:錯在「codeine」。Codeine 屬於類鴉片藥物,會抑制膀胱逼尿肌收縮,可能導致尿滯留。
一般內科與重症醫學4 / 76
【108-2 醫學(三) 第63題】承上題,對於上述病人的處置,下列何者最可能有助益?
詳解
破題關鍵
前列腺肥大導致的尿滯留,可以透過放鬆尿道括約肌來改善。
選項拆解
-A:正確。甲型腎上腺素受體拮抗劑能放鬆前列腺和膀胱頸的平滑肌,降低尿道阻力,有助於改善前列腺肥大引起的排尿困難和尿滯留。
一般內科與重症醫學5 / 76
【108-2 醫學(三) 第70題】何太太40歲育有一子,最近經常胸痛、盗汗、顫抖、同時會有呼吸困難,感覺自己快要窒息。症狀在約十分鐘內達到高峰,且發生時間不定,在睡眠時亦曾發生,在醫院做了很多檢查,都找不到器質性原因。最後在林醫師門診吃藥後慢慢獲得改善, 林醫師的處方,最可能是那一種藥物?
詳解
破題關鍵
病人出現胸痛、盜汗、顫抖、呼吸困難、窒息感等急性症狀,且多項檢查找不到器質性原因,高度懷疑是恐慌症發作。
選項拆解
-A:isosorbide mononitrate。這是一種硝酸鹽類藥物,主要用於治療心絞痛,與恐慌症無關。
一般內科與重症醫學6 / 76
【108-2 醫學(三) 第71題】78歲陳先生由親人陪同就診,主訴最近一週有尿失禁及倦怠無力。病人長期失眠,經常服用安眠藥。最近失眠加重,增加劑量仍未見效,而且血壓也上升。病人又自行購買高血壓藥物服用。身體檢查病人生命徵象穩定,意識清楚,行動正常且無局部神經異常症狀。對該病人的處置方式,下列何者最為適當?
詳解
破題關鍵
78歲老人出現多重且非特異性的症狀(尿失禁、倦怠無力、失眠加重、血壓上升),且有長期用藥和自行購藥史,需要全面性的評估。
選項拆解
-A:安排病人入住護理之家接受照顧。這是一個長期的照護決定,在未進行全面評估前不應貿然決定。
一般內科與重症醫學7 / 76
【108-2 醫學(三) 第72題】假設你收集100位肺癌病人及1000位年齡、性別及社會經濟狀況相似的非肺癌控制群為研究對象,100位肺癌病人有90位是有規律的吸菸者,1000位控制群有270位是規律的吸菸者,則吸菸得到肺癌的危險勝算比 (odds ratio)是多少?
詳解
破題關鍵
這是病例對照研究,計算吸菸與肺癌的關聯性,應使用勝算比 (Odds Ratio, OR)。
選項拆解
-A:4.1。計算錯誤。
-B:正確。根據勝算比公式計算結果為 24.33。
-C:300.0。計算錯誤。
-D:3.33。計算錯誤。
核心知識
一般內科與重症醫學8 / 76
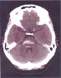
【108-2 醫學(三) 第74題】44歲女性有酗酒習慣,某日熬夜喝酒之後突然口語不清,吞嚥困難,因此被送到急診求治;患者未注射對比劑的電腦斷層掃描檢查如圖,最可能的診斷為何?

詳解
破題關鍵
這題的解題核心在於辨識電腦斷層掃描(CT)影像中,後顱窩中央區域出現的「高密度病灶」,結合病患的急性神經學症狀,指向腦幹出血。
選項拆解
-A:小腦梗塞。梗塞(缺血性中風)在非對比劑CT上通常會呈現低密度(較暗),與圖片中的高密度(較亮)病灶不符。
一般內科與重症醫學9 / 76
【108-2 醫學(三) 第76題】一位60歲男性病人因在診所發現有心搏過緩合併低血壓被轉診至醫院,若病史顯示病人可能有中毒或藥物過量,下列何者藥物最不可能有上述的症狀?
詳解
破題關鍵
病人出現心搏過緩與低血壓,需判斷哪種藥物過量最不可能導致這些症狀。
選項拆解
-A:Organophosphates。中毒會導致副交感神經興奮,引起心搏過緩與低血壓。
-B:Carbamates。作用類似有機磷,中毒也會引起心搏過緩與低血壓。
一般內科與重症醫學10 / 76
【108-2 醫學(三) 第77題】關於路易絲湖急性高山病(Lake Louise Acute Mountain Sickness)評估表內容的症狀及徵候,不包括下列何項?
詳解
破題關鍵
路易絲湖急性高山病評估表 (Lake Louise Acute Mountain Sickness Score) 包含一系列與高海拔相關的常見症狀,但腹瀉不在此列。
選項拆解
-A:頭痛。是 Lake Louise 評估表的核心症狀之一。
一般內科與重症醫學11 / 76
【108-2 醫學(三) 第79題】王醫師因為要出國旅遊,交代診所的病人如果只想要拿藥的話,可以按著以前的處方,由護士直接蓋上王醫師的章,就讓他們去拿藥,王醫師的做法對嗎?
詳解
破題關鍵
醫師必須親自診察病人才能開立處方,這是醫療法規定的基本義務。
選項拆解
-A:正確。王醫師的做法違反了醫師親自診療的義務,因為護士在沒有醫師親自診察的情況下,直接蓋章讓病人拿藥,這是不合法的行為。
一般內科與重症醫學12 / 76
【108-2 醫學(三) 第80題】一位68歲女性病患罹患肺癌末期,已經簽署DNR意願書。最近幾個月陸續有幾次呼吸道感染病史,經過抗生素治療後,都恢復得不錯。最近幾天病患開始出現發燒及頻尿的現象,急診診斷為泌尿道發炎,合併敗血症。於急診治療過程中,病患血壓開始不穩,尿量減少,有敗血性休克現象,隨後呼吸變得淺快,血氧下降。臨床上有氣管內管插管之必要性,但病患已經簽署DNR意願書,這時醫師是否應該為其插管,或進行抗生素及大量點滴輸液來進行治療?下列敘述何者最為正確?
詳解
破題關鍵
DNR意願書主要針對「末期」或「不可逆」的病程,不適用於「可治療」的急性疾病。
選項拆解
-A:正確。敗血性休克雖然危急,但若能及時治療,仍有機會恢復。DNR意願書旨在避免無效醫療,而非放棄所有可治癒的疾病。因此,醫師應評估治療效益,並與家屬討論後,提供必要的治療。
內分泌及新陳代謝科13 / 76
【108-2 醫學(三) 第21題】下列何種疾病不適合使用arginine vasopressin(AVP)拮抗劑(vaptans)?
詳解
破題關鍵
了解AVP拮抗劑的作用機制是「排水升鈉」,以及尿崩症的病理生理。
選項拆解
-A:正確。抗利尿激素不適當分泌症候群 (SIADH) 是AVP分泌過多導致水分滯留和低鈉血症,AVP拮抗劑可以促進排水,改善低鈉血症。
內分泌及新陳代謝科14 / 76
【108-2 醫學(三) 第47題】甲狀腺癌的病患接受手術切除,並完成高劑量之放射碘-131同位素治療後,臨床上,下列何者為血液中追蹤甲狀腺癌是否復發之生化指標?
詳解
破題關鍵
甲狀腺癌手術切除後,追蹤指標應是癌細胞特有的產物,且正常甲狀腺組織已移除。
選項拆解
-A:錯在四碘甲狀腺素 (T4) 是甲狀腺荷爾蒙,甲狀腺切除後病人會服用甲狀腺素補充劑,其濃度反映的是補充劑量,而非癌細胞復發。
內分泌及新陳代謝科15 / 76
【108-2 醫學(三) 第48題】低血糖是臨床上常見的現象,下列那一項敘述最不適當?
詳解
破題關鍵
胰島素瘤雖然有典型表現,但它是一種罕見疾病,並非低血糖最常見的原因。
選項拆解
內分泌及新陳代謝科16 / 76
【108-2 醫學(三) 第50題】有關脂質代謝之敘述,下列何者錯誤?
詳解
破題關鍵
分解血液中脂蛋白所攜帶的三酸甘油脂,與分解脂肪細胞內儲存的三酸甘油脂,是不同的酶。
選項拆解
-A:正確。腸道吸收的脂肪會在腸細胞內重新組合成乳糜微粒 (chylomicron),然後經由乳糜小管 (lacteal) 進入淋巴系統,再進入血液循環。
內分泌及新陳代謝科17 / 76
【108-2 醫學(三) 第51題】因甲狀腺功能亢進造成心律不整的患者,應儘量避免使用下列何種藥物,以避免甲狀腺功能亢進惡化?
詳解
破題關鍵
找出含有大量碘,可能影響甲狀腺功能的藥物。
選項拆解
-A:錯在 Digoxin (毛地黃) 主要用於心衰竭和心房顫動的心率控制,不會惡化甲狀腺功能亢進。
內分泌及新陳代謝科18 / 76
【108-2 醫學(三) 第52題】若懷疑病人有橋本氏症(Hashimoto's thyroiditis)造成甲狀腺功能低下,檢查下列何種抗體最能佐證?
詳解
破題關鍵
橋本氏症是自體免疫疾病,需檢測針對甲狀腺組織的特異性抗體。
選項拆解
-A:錯在 anti-dsDNA antibody (抗雙股DNA抗體) 是全身性紅斑狼瘡 (Systemic Lupus Erythematosus, SLE) 的標記抗體。
內分泌及新陳代謝科19 / 76
【108-2 醫學(三) 第53題】一位67歲女性,服用含類固醇中藥多年治療背痛,有庫欣氏症(Cushing's syndrome)外觀,經家人勸告後已停藥1個月。現因泌尿道感染引發低血壓休克、意識不清被送來急診。除使用抗生素、輸液、升壓藥物治療外,應立刻給與何種處置?
詳解
破題關鍵
長期類固醇使用者突然停藥,加上感染壓力,極可能發生危及生命的腎上腺危象,應立即給予糖皮質素。
選項拆解
內分泌及新陳代謝科20 / 76
【108-2 醫學(三) 第67題】17歲女性病人由母親陪同就醫,母親發現病人最近半年瘦了10公斤,病人自覺容易口渴且排尿較為頻繁。理學檢查發現病人消瘦,血壓100/70 mmHg,其餘無特殊異常。如果只能安排一項檢查來診斷,下列何者最適當?
詳解
破題關鍵
病人出現多吃、多喝、多尿、體重減輕等典型症狀,最直接的診斷方式就是測血糖。
選項拆解
-A:尿蛋白與尿糖。雖然尿糖陽性支持糖尿病診斷,但血糖測定更直接,且尿蛋白通常是糖尿病腎病變的後期表現。
-B:正確。指尖血糖測定能快速確認血糖是否過高,是診斷糖尿病最直接且最適合的單一檢查。
內分泌及新陳代謝科21 / 76
【108-2 醫學(三) 第69題】下列有關「新生兒先天性甲狀腺機能低下症篩檢」的敘述,何者錯誤?
詳解
破題關鍵
新生兒篩檢的目的是早期發現並治療嚴重疾病,因此「不要漏掉任何一個病人」比「減少誤診」更重要。
選項拆解
-A:錯在特異度比敏感度更重要。對於新生兒先天性甲狀腺機能低下症這種嚴重疾病,敏感度比特異度更重要,因為漏診的後果遠比誤診嚴重。
心臟血管內科22 / 76
【108-2 醫學(三) 第4題】有關心電圖PR間距(PR interval),最不可能代表下列心跳週期的那一部分?
詳解
破題關鍵
PR 間距是從 P 波開始到 QRS 波開始,代表電訊號從心房傳到心室的過程。
選項拆解
-A:錯在心房去極化 (atrial depolarization) 就是 P 波,是 PR 間距的起始部分。
心臟血管內科23 / 76
【108-2 醫學(三) 第5題】一位70歲女性患有糖尿病外,無其它病史,半夜突然胸痛、冒汗、想吐,送至急診時血壓137/79 mmHg,脈搏73次/分,呼吸18次/分,心電圖如下所示,緊急心導管檢查發現心肌梗塞,最可能是那一條冠狀動脈血管堵塞?

詳解
破題關鍵
這張心電圖顯示廣泛的前壁與側壁導程ST段上升,這是典型的左前降支動脈(LAD)阻塞所導致的急性心肌梗塞。
選項拆解
心臟血管內科24 / 76
【108-2 醫學(三) 第6題】以下何項特徵最可以區分心包膜填塞(cardiac tamponade)與限制性心包膜炎(constrictive pericarditis)?
詳解
破題關鍵
兩者都是心臟被「限制」住,但限制的「原因」和「機制」不同,導致某些生理反應相反。
選項拆解
-A:錯在奇脈 (pulsus paradoxus) 是心包膜填塞的典型特徵,但在限制性心包膜炎中較少見或不明顯。
心臟血管內科25 / 76
【108-2 醫學(三) 第7題】一位60歲男性最近數月出現漸進性喘及活動後胸悶情形,至心臟內科門診求診。經過一系列檢查後,發現有擴張性心肌症合併心衰竭。以下何者錯誤?
詳解
破題關鍵
擴張性心肌症 (Dilated Cardiomyopathy, DCM) 導致的心衰竭,現代醫學有很多方法可以改善心臟功能,藥物治療是基石。
選項拆解
-A:錯在擴張性心肌症的病因確實多樣,包括感染、毒物、代謝性疾病和家族遺傳等,這是正確的敘述。
心臟血管內科26 / 76
【108-2 醫學(三) 第8題】在測量血壓時,由近心端往周邊的方向逐次測量,下列敘述何者正確?
詳解
破題關鍵
血液從大動脈流向小動脈時,脈搏波的特性會改變。
選項拆解
-A:正確。從近心端到周邊動脈,收縮壓會逐漸上升,而舒張壓會逐漸降低。
-B:錯在舒張壓會降低,而不是上升。
-C:錯在收縮壓會上升,而不是不變。
-D:錯在舒張壓會降低,而不是不變。
核心知識
心臟血管內科27 / 76
【108-2 醫學(三) 第9題】有關pulsus alternans之敘述,下列何者正確?
詳解
破題關鍵
Pulsus alternans 是指脈搏強弱交替,反映心臟收縮力不穩定。
選項拆解
-A:錯在Pulsus alternans 是機械性現象,而 electrical alternans 是電生理現象,兩者病理機制不同,不一定同時出現。
心臟血管內科28 / 76
【108-2 醫學(三) 第10題】下列何者不是肥厚型心肌病變的心因性猝死主要預測因子?
詳解
破題關鍵
肥厚型心肌病變 (Hypertrophic Cardiomyopathy, HCM) 的猝死風險評估,主要看心律不整、心肌肥厚程度、家族史和運動時血壓反應。
選項拆解
-A:錯在猝死的家族病史是肥厚型心肌病變心因性猝死的重要預測因子之一。
心臟血管內科29 / 76
【108-2 醫學(三) 第11題】有關肺栓塞(pulmonary embolism)的藥物治療,下列何者正確?
詳解
破題關鍵
肺栓塞的診斷、治療和預防再發是重點,特別是新型抗凝血劑 (NOACs/DOACs) 的應用。
選項拆解
-A:錯在肺栓塞導致肺動脈高壓時,P2 (第二心音的肺動脈瓣成分) 會變得增強,而不是較小聲。
心臟血管內科30 / 76
【108-2 醫學(三) 第78題】65歲男性長期有高血壓,持續用藥控制中,幾天前門診醫師幫他換藥,這幾天就常感覺腹脹,而且有便秘現象,病人最可能用了下列何種藥?
詳解
破題關鍵
某些高血壓藥物會因為影響腸胃道平滑肌,導致便秘和腹脹。
選項拆解
心臟血管內科31 / 76
【108-2 醫學(三) 第68題】68.某論文經搜尋Cochrane Library、MEDLINE等,取得多個類似研究資料,並合併分析後結果如下:長期使用抗血小板藥物比上安慰劑的隨機分配試驗,有1965位病人,使用每日劑量75 mg 到325 mg 的aspirin,平均追蹤1.3年。結果aspirin對於中風合併心肌梗塞或血管性事件有明顯下降(odds ratio (OR) 0.71, 95% confidence interval (CI) 0.51 to 0.97)。依據實證醫學的原則,下列何者正確?
詳解
[破題關鍵] 題目描述「取得多個類似研究資料,並合併分析後結果如下」,明確指出這是一種將多個研究結果進行整合分析的方法。
選項分析
- A. 預後性的研究(prognostic study): 預後研究旨在預測疾病的未來發展或結果,與題目描述的整合多個研究結果不同。
感染科32 / 76
【108-2 醫學(三) 第3題】0%,Baso. 1.0%,Mono. 8.0%,Lym. 83.0%,Aty.Lym. 0.0%,Plasma cell 0.0%,Normobl. 0.0/100 WBC。以下那個敘述錯誤?
詳解
破題關鍵
嗜中性白血球 (Neutrophil) 幾乎為零,代表身體沒有抵抗細菌的第一線防禦,感染風險極高且危急。
選項拆解
-A:錯在即使白血球總數正常,但嗜中性白血球比例為 0% (或絕對數值極低),表示身體缺乏抵抗細菌的能力,感染風險極高,絕不能只做症狀治療。
感染科33 / 76
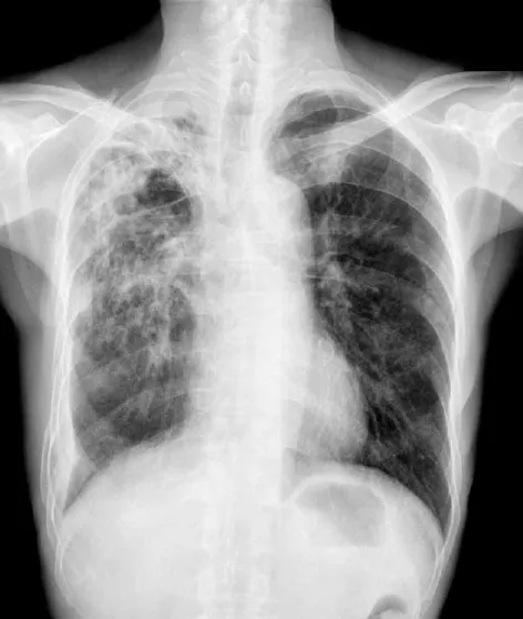
【108-2 醫學(三) 第45題】70歲的男性,因為咳嗽10個月及體重減輕就醫,其胸部X光檢查如附圖。關於進一步的檢驗,下列何者最不適當?

感染科34 / 76
【108-2 醫學(三) 第46題】關於非結核分枝桿菌(nontuberculous mycobacteria)的治療,下列敘述何者最不適當?
詳解
破題關鍵
非結核分枝桿菌感染不一定需要立即治療,需綜合評估。
選項拆解
感染科35 / 76
【108-2 醫學(三) 第54題】下列關於氟喹諾酮類抗生素(quinolone,如ciprofloxacin、levofloxacin)的敘述,何者正確?
詳解
破題關鍵
氟喹諾酮類抗生素雖然廣效,但近年來許多細菌對它產生抗藥性,特別是淋病球菌。
選項拆解
-A:錯在「抑菌」。氟喹諾酮類抗生素是殺菌型藥物,直接殺死細菌。
-B:正確。淋病球菌對氟喹諾酮類抗生素的抗藥性已普遍存在,因此不再是首選。
感染科36 / 76
【108-2 醫學(三) 第55題】關於類鼻疽(melioidosis)疾病,下列敘述何者正確?
詳解
破題關鍵
類鼻疽的診斷黃金標準是培養出病原菌。
選項拆解
-A:錯在「人與人互相傳播」。類鼻疽主要是透過環境接觸感染,人傳人非常罕見。
-B:正確。血液或痰液培養是診斷急性肺炎型類鼻疽的重要方法。
感染科37 / 76
【108-2 醫學(三) 第56題】臨床上中央靜脈導管常使用於輸液注射與藥物給與,但必須預防併發導管相關的血流感染。此病原菌感染最常見的來源是:
詳解
破題關鍵
中央靜脈導管相關血流感染最常見的來源是病人自己的皮膚菌叢。
選項拆解
-A:正確。病人皮膚上的細菌(如金黃色葡萄球菌)是導管相關血流感染最主要的來源,它們會從導管置入處沿著導管外壁進入血管。
-B:錯在「製備注射藥物的污染」。雖然可能發生,但相較於皮膚污染,這不是最常見的來源。
感染科38 / 76
【108-2 醫學(三) 第57題】80歲女性因肺癌住院接受化學治療。住院第20天病人喘、寒顫、休克(血壓80/60 mmHg),X光顯示右下肺炎(lobar pneumonia),應進行的處置何者最不恰當?
詳解
破題關鍵
免疫功能低下的病人合併肺炎和休克,需要廣效且能覆蓋多重抗藥性菌株的抗生素。
選項拆解
-A:正確。痰液鏡檢及培養有助於找出病原菌,指導後續的精準治療。
-B:正確。血液培養兩套(從不同部位或時間點取樣)是診斷菌血症的標準做法,對於休克病人尤其重要。
感染科39 / 76
【108-2 醫學(三) 第58題】50歲健康男性,因牙結石進行相關治療,過去病史有penicillin過敏,下列建議何者最恰當?
詳解
破題關鍵
牙科治療預防心內膜炎的指引已大幅限縮,只有特定高風險族群才需要。
選項拆解
-A:錯在「給與clindamycin預防心內膜炎」。雖然clindamycin是penicillin過敏者的替代藥物,但這位病人根本不需要預防性抗生素。
感染科40 / 76
【108-2 醫學(三) 第59題】下列診斷標誌,何者可以最早偵測急性人類免疫不全病毒(HIV)感染?
詳解
破題關鍵
急性 HIV 感染時,病毒量會迅速飆升,是血液中最早能偵測到的指標。
選項拆解
-A:錯在「p24 antigen」。p24 抗原雖然比抗體早,但通常在病毒量上升後才出現,因此病毒量是更早的指標。
感染科41 / 76
【108-2 醫學(三) 第60題】Abacavir是治療人類免疫不全病毒(HIV)的核苷反轉錄酶抑制劑,有些病人服用可能會引起致死性的超敏感性反應(hypersensitivity reaction),其與下列何者基因相關?
詳解
破題關鍵
Abacavir 引起的超敏感性反應與特定的基因型高度相關。
選項拆解
-A:正確。Abacavir 引起的超敏感性反應與 HLA-B*5701 基因型有高度相關性,因此在用藥前會進行基因篩檢。
感染科42 / 76
【108-2 醫學(三) 第39題】39.58歲男性,近半年感到腹部不適,某日就診時發現有兩側頸部、腋下與腹股溝淋巴結腫大。病人體溫38.8℃,血壓90/50mmHg,並有畏寒與疲累的症狀,血球檢查數據如下(括弧內是正常參考數值):RBC 4.12 M/µL (4~5.52),Hb 12.4 g/dL(13.2~17.2),Retic. 1.48% (0.5~2),PLT 261 k/µL (148~339),WBC 9.74 k/μL(3.54~9.06),Blast 0%,Promyel. 0%,Myelo. 0%,Meta 0%,Band 0%,Seg 5.0%,Eos. 3.0%,Baso. 1.0%,Mono. 8.0%,Lym. 83.0%,Aty.Lym. 0.0%,Plasma cell 0.0%,Normobl. 0.0/100 WBC。以下那個敘述錯誤?
詳解
[破題關鍵] 該患者表現為發燒、淋巴結腫大、低血壓,且血球報告顯示嚴重嗜中性白血球低下(neutropenia),即使總白血球數在正常範圍內,也提示存在嚴重感染風險,需要緊急處理。
選項分析
胃腸肝膽內科43 / 76
【108-2 醫學(三) 第12題】下列有關HDV的描述,何者錯誤?
詳解
破題關鍵
治療D型肝炎的藥物效果並沒有那麼好,根治率遠不及80%。
選項拆解
-A:正確。HDV需要HBV的HBsAg才能感染,所以會與HBV共同感染或重覆感染。
-B:正確。HDV重覆感染HBV帶原者,會使肝病惡化速度加快,甚至導致猛爆性肝衰竭。
胃腸肝膽內科44 / 76
【108-2 醫學(三) 第13題】有關自體免疫性肝炎(autoimmune hepatitis, AIH)之診斷與治療,根據International Autoimmune Hepatitis Group的評分建議,以下何者錯誤?
詳解
破題關鍵
記住自體免疫性肝炎的基因型關聯。
選項拆解
-A:正確。診斷AIH前,必須先排除其他可能造成肝炎的疾病,例如病毒性肝炎、藥物性肝炎等。
-B:正確。患者對免疫抑制療法的反應是AIH診斷評分系統中的一個重要項目,因為AIH通常對此類治療有良好反應。
胃腸肝膽內科45 / 76
【108-2 醫學(三) 第14題】下列有關E型肝炎之敘述,何者錯誤?
詳解
破題關鍵
E型肝炎的潛伏期並沒有那麼長。
選項拆解
-A:錯在「潛伏期約24週」。E型肝炎病毒主要是經口糞途徑傳染,但潛伏期約2-10週,平均5-6週,24週太長了。
-B:正確。大多數急性E型肝炎患者預後良好,但少數患者,特別是孕婦或免疫功能不全者,可能併發猛爆性肝衰竭。
胃腸肝膽內科46 / 76
【108-2 醫學(三) 第15題】有關遺傳學與基因檢測在肝臟疾病的研究,下列敘述何者錯誤?
詳解
破題關鍵
威爾森症的基因突變是多樣性的,不是只有一種。
選項拆解
-A:正確。酒精代謝路徑中,乙醛脫氫酶 (ALDH2) 基因突變會導致乙醛堆積,引起臉潮紅等症狀。
-B:正確。自體免疫性肝炎的遺傳背景與HLA-B1, -B8, -DR3和-DR4相關。
胃腸肝膽內科47 / 76
【108-2 醫學(三) 第16題】下列解讀B型肝炎血清標誌之敘述,何者錯誤?
詳解
破題關鍵
抗核抗體與B型肝炎核心抗體IgM的假陽性沒有直接關聯。
選項拆解
-A:正確。IgM anti-HBc是急性B型肝炎的指標,可以幫助區分急性感染與慢性感染。
胃腸肝膽內科48 / 76
【108-2 醫學(三) 第17題】肝硬化會導致肝門靜脈高壓(portal hypertension),以下那種情況與肝門靜脈高壓的相關性較低?
詳解
破題關鍵
區分肝門靜脈高壓的直接併發症與肝功能失代償的併發症。
選項拆解
胃腸肝膽內科49 / 76
【108-2 醫學(三) 第18題】關於大腸直腸癌之描述何者正確?
詳解
破題關鍵
熟悉大腸直腸癌的TNM分期和轉移模式。
選項拆解
-A:正確。大腸直腸癌治療後復發多半集中在前四年,因此五年存活率是評估治療效果和預後的重要參考指標。
-B:錯在「T3N0M0屬於第三期」。T3N0M0屬於第二期,第三期至少要有淋巴結轉移 (N1)。
胃腸肝膽內科50 / 76
【108-2 醫學(三) 第19題】下列關於大腸激躁症(irritable bowel syndrome)的敘述,何者正確?
詳解
破題關鍵
了解大腸激躁症的治療選項和流行病學特徵。
選項拆解
-A:錯在「與精神方面的異常關聯性較小」。大腸激躁症是一種身心症,與腸道生理和精神方面的異常都有很強的關聯性。
-B:錯在「大腸激躁症的盛行率男性為女性的2~3倍」。實際上,大腸激躁症的盛行率女性高於男性,約為男性的2-3倍。