一般內科與重症醫學1 / 77
【112-2 醫學(三) 第66題】臨床上有關生物心理社會模式中的心理因素,可使用人格特質五因素模型(five-factor model of personality, OCEAN)來探討,下列有關此模型意涵之敘述何者錯誤?
詳解
破題關鍵
人格特質五因素模型 (OCEAN) 的「E」代表的是「外向性 (Extraversion)」,而不是「效能性 (Efficacy)」。
選項拆解
-A:正確。經驗開放性 (Openness to experience) 的確是指對不同經驗保持好奇和欣賞的傾向。
一般內科與重症醫學2 / 77
【112-2 醫學(三) 第70題】關於敏感度(sensitivity)、特異度(specificity)、陽性預測值(positive predictive value)及陰性預測值 (negative predictive value)的定義,下列何者正確?
詳解
破題關鍵
這些名詞的定義都圍繞著「在特定群體中,檢驗結果與疾病狀態是否相符的比率」。
選項拆解
-A:正確。敏感度就是指在所有罹患疾病的人中,檢驗結果為陽性的比率。
一般內科與重症醫學3 / 77
【112-2 醫學(三) 第71題】下列有關動機晤談(motivational interviewing)的敘述,何者正確?
詳解
破題關鍵
動機晤談 (Motivational Interviewing, MI) 的核心精神是「以病人為中心」,透過同理心和傾聽來引導病人自主改變。
選項拆解
-A:錯在「最早是使用於糖尿病飲食衛教」。動機晤談最早是應用於酒精和藥物成癮的治療。
一般內科與重症醫學4 / 77
【112-2 醫學(三) 第72題】根據美國2003年聯邦醫療保險Medicare的統計資料及Barbara Starfield針對基層醫療的研究,下列敘述何者最不恰當?
詳解
破題關鍵
Barbara Starfield的研究強調「基層醫療」的重要性,認為基層醫療越完善,整體醫療品質越好且花費越低。
選項拆解
一般內科與重症醫學5 / 77
【112-2 醫學(三) 第76題】熱衰竭(heat exhaustion/heat stress)不會出現下列何種症狀?
詳解
破題關鍵
熱衰竭的核心是水分電解質流失導致循環不足,但體溫調節中樞功能正常,因此不會有中樞神經功能障礙。
選項拆解
-A:錯在心跳加速 (tachycardia) 是熱衰竭常見的症狀。由於體液流失導致循環血量不足,心臟會代償性地加快跳動以維持血壓。
一般內科與重症醫學6 / 77
【112-2 醫學(三) 第79題】一位年輕男性發生車禍被救護車送至急診室,醫師判斷必須立即動手術,否則恐有生命危險,但該病人已經意識不清,身上亦未攜帶任何證件可證明身分或聯絡家人,醫院應如何處理該狀況?
詳解
破題關鍵
在危及生命的緊急情況下,病人意識不清且無法聯繫家屬時,醫師可基於推定同意原則進行救命處置。
選項拆解
-A:錯在手術醫師不能代理病人簽署手術同意書。醫師是醫療提供者,不能同時作為病人的同意權代理人。
一般內科與重症醫學7 / 77
【112-2 醫學(三) 第80題】關於守密義務,下列敘述何者錯誤?
詳解
破題關鍵
醫師的守密義務是終身且無限期的,不受執業狀態或時間限制。
選項拆解
-A:正確。守密義務是醫學倫理中尊重病人自主原則的重要內涵,病人有權決定其個人資訊是否被揭露。
-B:錯在醫師的保密義務是終身且無限期的,不限於執業期間。即使退休,醫師仍有義務對其業務上知悉的病人秘密保密。
內分泌及新陳代謝科8 / 77
【112-2 醫學(三) 第1題】35歲女性,健檢發現血鈣偏低(2.05 mmol/L,參考值2.2~2.5),血清肌酸酐(creatinine, 0.6 mg/dL)、鈉 (139 mEq/L)及鉀(3.8 mEq/L)則在正常範圍。對於此病患之低血鈣(hypocalcemia)應優先安排下列評估,但何者最不適當?
詳解
破題關鍵
評估低血鈣時,首先要確認是否為真性低血鈣,並初步判斷副甲狀腺功能和鎂離子狀況。
選項拆解
-A:錯在「最不適當」。測血中白蛋白 (albumin) 是評估低血鈣的第一步,用於校正血鈣,排除假性低血鈣。測血磷 (phosphorus) 也有助於鑑別診斷。這是非常適當的初步評估。
內分泌及新陳代謝科9 / 77
【112-2 醫學(三) 第52題】下列有關原發性副甲狀腺高能症(primary hyperparathyroidism)的敘述,何者錯誤?
詳解
破題關鍵
原發性副甲狀腺機能亢進最核心的生理異常就是「血鈣高、血磷低」。
選項拆解
-A:正確。大多數原發性副甲狀腺機能亢進是由單一的副甲狀腺腺瘤引起。
-B:正確。副甲狀腺瘤確實是多發性內分泌腫瘤 (MEN) 症候群的常見表現之一。
內分泌及新陳代謝科10 / 77
【112-2 醫學(三) 第53題】老年男性血中之雄性激素濃度較高時,下列疾病或狀況何者最不可能發生?
詳解
破題關鍵
雄性激素 (testosterone) 在男性健康中扮演多重角色,高濃度通常與較好的代謝和心血管健康有關。
選項拆解
-A:正確。雄性激素與男性的性慾 (libido) 有直接關係,濃度較高通常性慾也會較高。
內分泌及新陳代謝科11 / 77
【112-2 醫學(三) 第54題】下列有關糖尿病與高血壓的敘述,何者錯誤?
詳解
破題關鍵
糖尿病患者的高血壓管理目標通常比一般人更嚴格,且高血壓會加速糖尿病併發症。
選項拆解
-A:正確。糖尿病患者罹患高血壓的盛行率確實比沒有糖尿病的人高,兩者常合併存在。
內分泌及新陳代謝科12 / 77
【112-2 醫學(三) 第55題】下列何種藥物未曾被核准用來減輕體重?
詳解
破題關鍵
辨識常見的減重藥物和糖尿病藥物,了解其主要適應症。
選項拆解
-A:正確。Liraglutide (商品名Saxenda) 是一種GLP-1受體促效劑,已被核准用於減輕體重。
內分泌及新陳代謝科13 / 77
【112-2 醫學(三) 第56題】有關血糖的調控,下列敘述何者錯誤?
詳解
破題關鍵
了解不同降血糖藥物引起低血糖的風險,特別是磺醯脲類 (sulfonylureas) 的特性。
選項拆解
-A:正確。胰島素是由胰臟的β細胞分泌的荷爾蒙,其主要作用是促進細胞吸收葡萄糖,從而降低血液中的葡萄糖濃度。
內分泌及新陳代謝科14 / 77
【112-2 醫學(三) 第57題】下列何者是最常見的甲狀腺癌?
詳解
破題關鍵
記住甲狀腺癌的流行病學順序,乳突癌是最常見的類型。
選項拆解
-A:正確。乳突癌 (papillary carcinoma) 是最常見的甲狀腺癌類型,約佔所有甲狀腺癌的80-85%,通常預後良好。
內分泌及新陳代謝科15 / 77
【112-2 醫學(三) 第58題】腦下垂體後葉若遭受破壞,最可能出現下列何種疾病?
詳解
破題關鍵
腦下垂體後葉主要儲存和釋放兩種荷爾蒙:抗利尿激素 (ADH) 和催產素 (oxytocin)。
選項拆解
心臟血管內科16 / 77
【112-2 醫學(三) 第6題】下列有關心導管檢查及冠狀動脈造影之敘述,何者錯誤?
詳解
破題關鍵
雖然顯影劑腎病變是風險,但N-acetylcysteine在預防上的效果仍有爭議,並非「均應」給予。
選項拆解
-A:正確。心導管檢查確實是診斷和評估心血管疾病的重要工具,但即使是擇期性檢查,仍存在一定風險,包括心肌梗塞、中風和死亡,雖然機率相對較低。
心臟血管內科17 / 77
【112-2 醫學(三) 第7題】下列有關冠狀動脈心臟病的藥物治療敘述,何者正確?
詳解
破題關鍵
Beta blocker是冠狀動脈心臟病治療的基石,能有效降低心肌耗氧並改善預後。
選項拆解
-A:正確。Beta blockers透過降低心率、心肌收縮力和血壓,有效減少心肌耗氧,從而緩解心絞痛。在心肌梗塞後,它們能顯著降低死亡率和再梗塞的風險。
心臟血管內科18 / 77
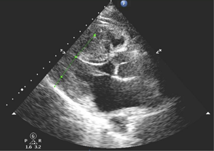
【112-2 醫學(三) 第8題】27歲男性病人與好友熬夜玩電玩,翌日清晨突然倒地急救,經119 EMT施行心肺復甦術,30分內送抵急診,中間多次VT/VF並施行DC shock,到院後CPCR共50分及電擊5次,除了急救藥物使用之外,並在50分鐘內找心臟外科醫師放置葉克膜。病況穩定後進行身體檢查,體溫35.4°C、HR:80/min、RR:20/min、BP:125/68 mmHg,聽診呈現心尖及lower left sternal border(LLSB)有grade 3/6 systolic murmur。緊急冠狀動脈血管攝影顯示無冠狀動脈狹窄或血栓阻塞。心電圖跟心臟超音波如附圖所示。下列何者敘述錯誤?

詳解
破題關鍵
這位年輕病人突發惡性心律不整(VT/VF),心電圖顯示左心室肥大,心臟超音波可見心室壁增厚,且冠狀動脈攝影正常,這些線索強烈指向肥厚型心肌症(Hypertrophic Cardiomyopathy, HCM)。題目要求找出關於此疾病治療的「錯誤」敘述。
選項拆解
心臟血管內科19 / 77
【112-2 醫學(三) 第9題】一位65歲男性過去無任何病史,今日早上因突然胸悶合併心悸至急診,心跳每分鐘約130下,心電圖如附圖,診斷為何?

詳解
破題關鍵
這張心電圖的解題核心在於辨識心律的「不規則性」以及「P波的消失」。圖片中R-R間期完全不規則,且看不到正常的P波,取而代之的是細小的顫動波,這些都是心房顫動的典型特徵。
選項拆解
心臟血管內科20 / 77
【112-2 醫學(三) 第10題】關於肺高壓的描述,下列何者錯誤?
詳解
破題關鍵
肺高壓病人通常會因為慢性缺氧而刺激紅血球生成,導致紅血球增多症 (polycythemia),而非貧血。
選項拆解
-A:正確。肺高壓在疾病初期,症狀如呼吸困難、疲倦、胸痛等,通常沒有特異性,容易與其他疾病混淆。
心臟血管內科21 / 77
【112-2 醫學(三) 第12題】關於心包膜疾病的描述,下列何者正確?
詳解
破題關鍵
了解急性心包膜炎的臨床表現、診斷特徵與治療原則。
選項拆解
-A:正確。急性心包膜炎確實可以依據心包膜的病理變化分為纖維素性(fibrinous)和滲出性(effusive)兩大類,滲出液可以是漿液性或血性。
心臟血管內科22 / 77
【112-2 醫學(三) 第13題】有關心衰竭的New York Heart Association Classification,下列何者當下的functional capacity是屬於class II?
詳解
破題關鍵
NYHA心衰竭分級的重點在於「日常活動量」與「症狀」之間的關係。
選項拆解
-A:錯在屬於Class I。該男性在籃球課(一般或較劇烈活動)表現無異樣,表示沒有身體活動受限,符合Class I。
心臟血管內科23 / 77
【112-2 醫學(三) 第14題】一位78歲男性病患因心房顫動就診,該心律不整病史已有1年以上。過去有高血壓及糖尿病史,最近有呼吸困難與腳部水腫;心臟超音波左心射出分率29%。無心肌梗塞、中風或周邊血管阻塞疾病病史。估算其 CHA2DS2-VASc score,該病患之分數為:
詳解
破題關鍵
仔細核對CHA2DS2-VASc評分表的每個項目,並將病患的狀況逐一計分。
選項拆解
-該病患的CHA2DS2-VASc評分計算如下:
- Congestive heart failure/LV dysfunction (左心射出分率29%):1分
心臟血管內科24 / 77
【112-2 醫學(三) 第78題】65歲陳先生有高血壓、糖尿病之病史。晚上睡到一半忽然覺得胸部劇烈壓迫性疼痛合併有冒冷汗、呼吸急促的症狀。家人迅速將他送醫治療,到院時意識清楚,體溫正常,呼吸24/min,心跳72/min,血壓80/54 mmHg,心電圖顯示Lead II、Lead III 和aVF 有ST-segment 上升大於 2 mm的現象。最可能的診斷為下列何者?
詳解
破題關鍵
胸痛、冒冷汗、低血壓,加上心電圖特定導程的ST波段上升,是急性心肌梗塞的典型組合。
選項拆解
感染科25 / 77
【112-2 醫學(三) 第49題】因為丈夫罹患isoniazid抗藥性的開放性肺結核而接受接觸者檢查的33歲女性,她的胸部X光檢查正常但丙型干擾素血液測驗(interferon-γ release assay)為陽性。下列何者為此女性最適合的潛伏結核感染治療處方?
詳解
破題關鍵
潛伏結核感染 (LTBI) 的治療處方需考慮接觸源的抗藥性。
選項拆解
-A:錯在9個月的每日一次isoniazid治療不適用於接觸isoniazid抗藥性結核菌的病人。
-B:錯在2個月的rifampin及pyrazinamide治療因肝毒性較高,不建議用於一般LTBI治療。
感染科26 / 77
【112-2 醫學(三) 第50題】關於非結核分枝桿菌(nontuberculous mycobacteria),下列敘述何者最適當?
詳解
破題關鍵
非結核分枝桿菌 (NTM) 的種類繁多,不同菌種的臨床表現、生長速度和治療方式差異很大。
選項拆解
-A:錯在非結核分枝桿菌的肺部感染不只發生於HIV病人,也常見於有其他肺部疾病或免疫功能正常的病人。
感染科27 / 77
【112-2 醫學(三) 第59題】有關中心靜脈導管相關血流感染之預防措施組合(bundle),包括下列那些項目:①參與導管及置放照護人員需接受教育訓練 ②中心導管置入時使用最大無菌面防護(maximal barrier precaution) ③皮膚消毒使用含有chlorhexidine的抗菌液 ④常規每兩週更換中心靜脈導管
詳解
破題關鍵
預防中心靜脈導管相關血流感染 (CLABSI) 的組合措施 (bundle) 強調置入時的無菌操作和日常維護,而非常規更換。
選項拆解
-①:正確。參與導管置入及照護的人員接受教育訓練是確保正確操作和遵循感染控制指南的基礎。
感染科28 / 77
【112-2 醫學(三) 第60題】血液幹細胞移植後使用一年trimethoprim-sulfamethoxazole(TMP-SMX)預防,可以減少的致病原感染,下列何者最不適當?
詳解
破題關鍵
血液幹細胞移植 (HSCT) 後使用trimethoprim-sulfamethoxazole (TMP-SMX) 預防感染,主要針對肺囊蟲肺炎 (Pneumocystis jirovecii pneumonia, PJP) 和其他機會性感染。
選項拆解
感染科29 / 77
【112-2 醫學(三) 第61題】對於年紀3個月以下嬰兒、55歲以上民眾及細胞媒介免疫(cell-mediated immunity)缺損病人感染細菌性腦膜炎時,要考慮針對革蘭氏陽性桿菌Listeria monocytogenes的治療,應以下列何種藥物為首選?
詳解
破題關鍵
李斯特菌 (Listeria monocytogenes) 引起的細菌性腦膜炎,其治療藥物有特殊性,不能單純使用常見的第三代頭孢菌素。
選項拆解
感染科30 / 77
【112-2 醫學(三) 第63題】關於細菌性食物中毒與旅行者腹瀉(traveler's diarrhea)的敘述,下列何者錯誤?
詳解
破題關鍵
志賀氏菌 (Shigella spp.) 是一種傳染力很強的細菌,即使少量病菌也能造成感染,而且可以透過人與人接觸傳播。
選項拆解
-A:正確。金黃色葡萄球菌和仙人掌桿菌的食物中毒是毒素型,潛伏期最短。
感染科31 / 77
【112-2 醫學(三) 第64題】60歲男性病患,已接受血液透析治療10年。此次因發燒、喘及胸部X光發現診斷為肺炎,住院後痰液培養為 methicillin-resistant Staphylococcus aureus(MRSA),則可能的抗生素治療中,下列何者不宜?
詳解
破題關鍵
題目明確指出是「methicillin-resistant Staphylococcus aureus (MRSA)」,代表這種細菌對甲氧西林 (methicillin) 及其同類抗生素(如oxacillin)有抗藥性。
選項拆解
感染科32 / 77
【112-2 醫學(三) 第69題】有關旅遊疫苗接種的敘述,下列何者最正確?
詳解
破題關鍵
黃熱病疫苗的保護力已被世界衛生組織 (WHO) 認定為終生有效,但有些國家基於舊規定或特殊考量,仍可能要求每10年追加一劑。
選項拆解
-A:不夠精確。A型肝炎疫苗建議在旅遊前2-4週接種,1週前接種保護力可能不足。
感染科33 / 77
【112-2 醫學(三) 第77題】下列有關傷寒(typhoid fever)的敘述,何者最正確?
詳解
破題關鍵
傷寒的臨床表現與一般細菌感染不同,常有相對性心搏過緩、白血球下降等非典型症狀。
選項拆解
-A:錯在傷寒初期常以便秘為主,而非多天的腹瀉及血便。血便在傷寒中不常見,通常提示腸道併發症如出血。
胃腸肝膽內科34 / 77
【112-2 醫學(三) 第3題】35歲男性過去無慢性疾病,有飲酒習慣,至門診就醫,主訴疲倦以及尿液顏色變深,下列處置何者最不適當?
詳解
破題關鍵
疲倦和尿液變深,加上飲酒習慣,最先要考慮的是肝臟問題導致的黃疸。
選項拆解
-A:正確。檢驗總膽紅素 (total bilirubin) 和直接膽紅素 (direct bilirubin) 是診斷黃疸和區分黃疸類型(肝前性、肝細胞性、肝後性)的關鍵指標。
胃腸肝膽內科35 / 77
【112-2 醫學(三) 第15題】44歲女性,體檢發現B型肝炎帶原後有定期追蹤,目前AST及ALT正常,HBeAg陰性,anti-HBe陽性。她的媽媽與哥哥也是B肝帶原,家族中一位阿姨得到肝細胞癌。下列敘述何者正確?
詳解
破題關鍵
B型肝炎的家族史和血清學標記,是判斷感染途徑和疾病階段的關鍵。
選項拆解
-A:錯在體內仍有病毒。HBeAg陰性、anti-HBe陽性表示病毒複製可能較低,但病毒仍存在於體內,並非已清除。
胃腸肝膽內科36 / 77
【112-2 醫學(三) 第16題】曉華健康檢查發現bilirubin total/direct 為3.6/2.5 mg/dL,但alkaline phosphatase(ALP)、 γ-glutamyl transpeptidase(GGT)、aspartate aminotransferase(AST)、alanine aminotransferase(ALT)皆正常。下列疾病何者最有可能?
詳解
破題關鍵
根據膽紅素的總量、直接型與間接型比例,以及肝功能酵素是否正常,來判斷黃疸的類型。
選項拆解
胃腸肝膽內科37 / 77
【112-2 醫學(三) 第17題】關於直腸肛門口的疾病,下列敘述何者錯誤?
詳解
破題關鍵
正確區分痔瘡的分級,並了解各級別的典型表現與治療建議。
選項拆解
-A:正確。生產時骨盆底受傷、神經系統疾病(失智、腦瘤、中風、重症肌無力)或腸道功能異常(腸躁症)都可能導致肛門括約肌功能受損或腸道蠕動異常,進而引起大便失禁。
胃腸肝膽內科38 / 77
【112-2 醫學(三) 第18題】關於急性腹膜炎的敘述何者錯誤?
詳解
破題關鍵
區分續發性腹膜炎與自發性細菌性腹膜炎的病因,並了解腹膜炎的診斷線索。
選項拆解
-A:正確。腸道穿孔會導致腸道內的細菌洩漏到腹腔,引起腹腔感染和發炎,這就是續發性腹膜炎的典型原因。
胃腸肝膽內科39 / 77
【112-2 醫學(三) 第19題】一位78歲男性,平時抽菸每日兩包已有五十年、每日睡前喜歡喝烈酒才能入睡。最近因吞嚥困難來到診間求診,胃鏡檢查及切片診斷為食道鱗狀上皮細胞癌。下列敘述何者錯誤?
詳解
破題關鍵
了解腫瘤相關高鈣血症的機轉,不一定需要骨骼轉移。
選項拆解
-A:正確。飲酒和抽菸是食道鱗狀上皮細胞癌最主要的危險因子。
-B:正確。由於飲酒和抽菸是多種上消化道和呼吸道癌症的共同危險因子,罹患食道癌的病人同時也是口咽癌等頭頸部癌症的高危險群。
胃腸肝膽內科40 / 77
【112-2 醫學(三) 第20題】一位67歲B型肝炎及肝硬化之男性病人,因吐血來到急診,內視鏡下可見食道靜脈瘤正在出血。下列敘述何者錯誤?
詳解
破題關鍵
了解食道靜脈瘤出血的急性處理原則,特別是藥物使用的時機。
選項拆解
-A:正確。內視鏡靜脈瘤結紮術 (EVL) 是目前治療急性食道靜脈瘤出血最有效且首選的內視鏡止血方式。
胃腸肝膽內科41 / 77
【112-2 醫學(三) 第21題】下列關於胰腺癌(pancreatic adenocarcinoma)之敘述何者錯誤?
詳解
破題關鍵
了解胰腺癌的危險因子、可切除性判斷,以及術後輔助治療的重要性。
選項拆解
-A:正確。先天BRCA2基因突變 (germline BRCA2 mutation) 的人,罹患胰腺癌的風險確實較高,同時也增加乳癌、卵巢癌等風險。
胃腸肝膽內科42 / 77
【112-2 醫學(三) 第22題】有關肝細胞癌(hepatocellular carcinoma, HCC),下列敘述何者正確?
詳解
破題關鍵
肝癌的治療不只看腫瘤大小,更要看肝臟功能好不好。
選項拆解
-A:錯在「並不是一種根除性的治療」。射頻消融術 (RFA) 對於小顆的肝細胞癌(通常小於3公分,或3顆以下小於3公分)是一種有效的根除性治療,其療效與手術切除相當。
胃腸肝膽內科43 / 77
【112-2 醫學(三) 第23題】下列何種情況,並不是肝硬化常見的併發症?
詳解
破題關鍵
肝硬化會導致肝功能失調和門脈高壓,但局部結節性增生是良性腫瘤,與肝硬化無直接因果關係。
選項拆解
-A:肝性腦病變 (hepatic encephalopathy) 是肝硬化常見的併發症。肝功能嚴重受損導致肝臟無法有效代謝體內毒素(如氨),這些毒素累積在大腦引起神經精神症狀。
胃腸肝膽內科44 / 77
【112-2 醫學(三) 第74題】有關下列疾病所選用的影像學檢查,其中何者最不適宜?
詳解
破題關鍵
鋇劑吞嚥食道攝影是用來看食道的,而胰臟在腹部,兩者位置和檢查目的完全不相關。
選項拆解
-A:錯在「可以偵測急性胰臟炎」。鋇劑吞嚥食道攝影是用來檢查食道的,與位於腹部的胰臟無關,因此無法偵測急性胰臟炎。
胃腸肝膽內科45 / 77
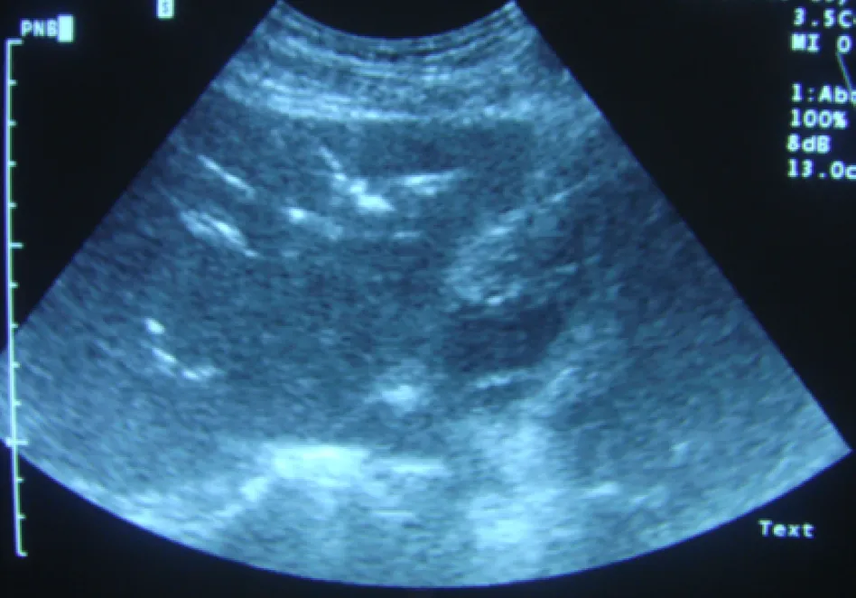
【112-2 醫學(三) 第75題】下圖為肝臟超音波掃描,最可能的診斷為:

詳解
破題關鍵
這張肝臟超音波影像的關鍵在於肝內膽管系統中出現了高迴音性的亮點,並且伴隨著典型的「髒陰影 (dirty shadowing)」或「迴響假影 (reverberation artifact)」,這是膽道系統內有氣體的明確證據。
選項拆解
胸腔內科46 / 77
【112-2 醫學(三) 第45題】65歲男性至門診求診,主訴慢性咳嗽及運動性氣促,過去無心臟病或糖尿病之病史,抽菸史50包年,已戒菸2 年。最近咳嗽氣促的症狀加劇,下列何者是診斷COPD的必要檢查?
詳解
破題關鍵
診斷慢性阻塞性肺病 (COPD) 的黃金標準是肺功能檢查中的支氣管擴張試驗。
選項拆解
-A:錯在胸部電腦斷層不是診斷COPD的必要檢查,它主要用於評估嚴重度或排除其他疾病。
-B:錯在支氣管鏡檢查是侵入性檢查,不作為COPD的常規診斷。
胸腔內科47 / 77
【112-2 醫學(三) 第46題】COPD病人接受長效型支氣管擴張劑治療3個月後症狀仍不穩定,抽血檢查發現WBC:9,500/mm3; neutrophil:70%;eosinophil:5%;C-reactive protein:1.5 mg/dL,下列治療何者最為恰當?
詳解
破題關鍵
COPD病人若在長效型支氣管擴張劑治療後仍不穩定,且嗜酸性球數值偏高,應考慮加上吸入型類固醇。
選項拆解
-A:錯在theophylline效果較弱且副作用多,不是首選的加用藥物。
胸腔內科48 / 77
【112-2 醫學(三) 第47題】體外胸腔超音波檢查對下列何種情況之診斷,最沒有幫助?
詳解
破題關鍵
胸腔超音波對於深層、被空氣或骨骼阻擋的結構診斷能力有限。
選項拆解
-A:錯在肋膜腔積水是胸腔超音波診斷的強項,能有效偵測和評估。
-B:錯在氣胸是胸腔超音波診斷的強項,能快速偵測肋膜滑動消失。
-C:錯在橫膈膜麻痺是胸腔超音波診斷的強項,能評估橫膈膜運動。
胸腔內科49 / 77
【112-2 醫學(三) 第48題】63歲男性病人,因運動時呼吸困難前來就診,肺功能檢查顯示TLC 70%預測值,FEV1/FVC 80%,最大吸氣壓力(maximal inspiratory pressure)55%預測值,下列何者為最有可能之診斷?
詳解
破題關鍵
肺功能檢查顯示限制性通氣障礙且吸氣肌力量減弱,提示神經肌肉疾病。
選項拆解
-A:錯在慢性阻塞性肺病會導致阻塞性通氣障礙 (FEV1/FVC下降),與病人FEV1/FVC 80%不符。
-B:錯在肥胖症可能導致限制性通氣障礙,但通常不會顯著降低最大吸氣壓力,除非是極端情況。
胸腔內科50 / 77
【112-2 醫學(三) 第51題】下列有關急性肺栓塞(acute pulmonary embolism)的敘述,何者正確?
詳解
破題關鍵
了解急性肺栓塞 (PE) 的致死機轉和診斷工具的特性。
選項拆解
-A:錯在胸痛是PE的常見症狀,但它並非Wells' clinical prediction rule的特定項目。