【112-1 醫學(三) 第2題】有關頭痛之敘述,下列何者正確?
詳解
破題關鍵
偏頭痛有其典型的症狀組合,是原發性頭痛中最常被問到的。
選項拆解
登入查看完整詳解與互動作答
共 72 題(登入後可互動作答與查看詳解)
【112-1 醫學(三) 第2題】有關頭痛之敘述,下列何者正確?
詳解
破題關鍵
偏頭痛有其典型的症狀組合,是原發性頭痛中最常被問到的。
選項拆解
登入查看完整詳解與互動作答
【112-1 醫學(三) 第4題】血液中酒精濃度超過多少g/dL,可能造成輕度昏迷(light coma)及生命徵候不穩(depressed vital signs)?
詳解
破題關鍵
了解血液酒精濃度與其對中樞神經系統影響的劑量關係。
選項拆解
登入查看完整詳解與互動作答
【112-1 醫學(三) 第5題】下列有關藥物動力或藥效的描述,那一項最正確?
詳解
破題關鍵
心臟衰竭會影響全身血流,進而改變藥物動力學;而年齡是影響藥物代謝和排泄的重要因素。
選項拆解
登入查看完整詳解與互動作答
【112-1 醫學(三) 第6題】關於淋巴水腫(lymphedema)的描述,下列何者錯誤?
詳解
破題關鍵
淋巴水腫的皮膚照護重點在於維持皮膚完整性,預防感染。
選項拆解
登入查看完整詳解與互動作答
【112-1 醫學(三) 第68題】臨床上,醫師與病人在醫療決策層面所扮演的角色,以何種方式最為理想?
詳解
破題關鍵
現代醫學強調醫病共享決策,結合科學與個人意願。
選項拆解
登入查看完整詳解與互動作答
【112-1 醫學(三) 第70題】在醫病非語言的溝通與觀察中,醫病雙方出現鏡相姿勢(mirroring posture)代表何種意義?
詳解
破題關鍵
肢體動作的同步化,通常代表著人際關係的和諧與連結。
選項拆解
登入查看完整詳解與互動作答
【112-1 醫學(三) 第78題】有關天然災害如颱風(颶風)及地震造成的傷害,下列描述何者最不適當?
詳解
破題關鍵
災害的傷亡模式會隨著災害類型和時間階段而變化。
選項拆解
登入查看完整詳解與互動作答
【112-1 醫學(三) 第80題】下列何者不是研究倫理常用的原則或準則?
詳解
破題關鍵
識別研究倫理的里程碑文件。
選項拆解
登入查看完整詳解與互動作答
【112-1 醫學(三) 第52題】一位26歲女性患有高血壓半年,三個月前開始伴有心悸、頭痛、流汗。主治醫師安排她做尿液24小時 catecholamine測定。若欲給藥治療其高血壓,下列何者不適宜?
詳解
破題關鍵
病人有心悸、頭痛、流汗等症狀,加上高血壓,高度懷疑是嗜鉻細胞瘤 (pheochromocytoma)。在治療嗜鉻細胞瘤引起的高血壓時,必須先使用α-阻斷劑,才能使用β-阻斷劑。
選項拆解
登入查看完整詳解與互動作答
【112-1 醫學(三) 第54題】一位50歲男性病人因倦怠、體重減輕來診。患者10年前曾接受鼻咽癌放射線治療,2個月前回診無復發情形。 身體診察發現血壓110/70 mmHg,脈搏96次/min,除了乳暈稍有褪色、腋毛及恥毛稍減外並無異常。抽血檢查 Na+ 131 mmol/L、K+ 4.0 mmol/L、glucose 90 mg/dL(空腹)。下列那一項檢查對診斷及治療最有幫助?
詳解
破題關鍵
病人有倦怠、體重減輕、低血鈉、乳暈褪色、腋毛及恥毛減少等症狀,且有鼻咽癌放射線治療病史,這些都指向腎上腺皮質功能不足 (adrenal insufficiency),需要檢測ACTH和cortisol來確診。
選項拆解
登入查看完整詳解與互動作答
【112-1 醫學(三) 第55題】關於代謝症候群(metabolic syndrome)之敘述,下列何者錯誤?
詳解
破題關鍵
脂聯素 (adiponectin) 是一種有益的脂肪細胞激素,在代謝症候群患者體內濃度通常是下降的,而不是增加。
選項拆解
登入查看完整詳解與互動作答
【112-1 醫學(三) 第56題】有關低血糖之敘述,下列何者最不適當?
詳解
破題關鍵
低血糖最常見的原因,其實是藥物引起,而不是腫瘤。
選項拆解
登入查看完整詳解與互動作答
【112-1 醫學(三) 第57題】一位20歲女性,3個月來有心悸、怕熱、手抖、體重減輕、雙眼突出、紅腫及瀰漫性甲狀腺腫等症狀。她最有可能罹患下列何種疾病?
詳解
破題關鍵
看到「心悸、怕熱、手抖、體重減輕」這些甲狀腺功能亢進的症狀,加上「雙眼突出」和「瀰漫性甲狀腺腫」,就直接指向葛雷夫茲氏症。
選項拆解
登入查看完整詳解與互動作答
【112-1 醫學(三) 第58題】治療腦下垂體生長激素瘤造成肢端肥大症的首選方法為何?
詳解
破題關鍵
對於腦下垂體腫瘤,只要能安全切除,手術通常是第一線治療。
選項拆解
登入查看完整詳解與互動作答
【112-1 醫學(三) 第72題】腕隧道症候群(carpal tunnel syndrome)是常見之職業性肌肉骨骼系統疾病,下列何者是腕隧道症候群之危險因子?
詳解
破題關鍵
腕隧道症候群的危險因子除了重複性動作,還有許多全身性疾病。
選項拆解
登入查看完整詳解與互動作答
【112-1 醫學(三) 第7題】關於B-type natriuretic peptide(BNP)和N-terminal pro-BNP(NT-proBNP)在心衰竭的診斷與治療,下列何者正確?
詳解
破題關鍵
BNP 和 NT-proBNP 是心衰竭診斷和預後評估的重要生物標記,但其濃度會受多種因素影響。
選項拆解
登入查看完整詳解與互動作答
【112-1 醫學(三) 第8題】有關心音及心雜音的敘述,下列何者錯誤?
詳解
破題關鍵
心雜音的名稱、特徵和病因是心臟聽診的重點,需精確區分。
選項拆解
登入查看完整詳解與互動作答
【112-1 醫學(三) 第9題】比較竇結細胞(sinus nodal cell)與心室細胞(ventricular cell)的動作電位,下列敘述何者正確?
詳解
破題關鍵
了解心臟不同細胞動作電位的獨特生理特性,特別是自律性 (automaticity)。
選項拆解
登入查看完整詳解與互動作答
【112-1 醫學(三) 第10題】下列針對主動脈縮窄(coarctation of the aorta)的敘述,何者錯誤?
詳解
破題關鍵
主動脈縮窄是一種先天性心臟病,其流行病學和相關疾病有特定模式。
選項拆解
登入查看完整詳解與互動作答
【112-1 醫學(三) 第11題】某女士因前一日無故暈倒到醫院內科門診求治,醫師懷疑是orthostatic hypotension,就讓該女士平躺5分鐘後,測量血壓,為124/78 mmHg,再請該女士起立,於1分鐘內再測量血壓,為90/62 mmHg。下列診斷何者為正確?
詳解
破題關鍵
正確診斷姿勢性低血壓 (orthostatic hypotension) 需要牢記其明確的血壓下降標準。
選項拆解
登入查看完整詳解與互動作答
【112-1 醫學(三) 第12題】有關抗血小板藥物的敘述,下列何者正確?
詳解
破題關鍵
抗血小板藥物的作用機轉是藥理學的基礎,需精確理解。
選項拆解
登入查看完整詳解與互動作答
【112-1 醫學(三) 第13題】下列何者不是寬的脈搏壓(wide pulse pressure)要考慮的鑑別診斷?
詳解
破題關鍵
寬脈搏壓代表收縮壓和舒張壓的差距很大,通常是因為舒張壓太低或收縮壓太高。
選項拆解
登入查看完整詳解與互動作答
【112-1 醫學(三) 第14題】有關心臟冠狀動脈血管檢查的歷史沿革與相關敘述,下列何者錯誤?
詳解
破題關鍵
雖然心臟電腦斷層進步很多,但侵入性心導管檢查在診斷和治療上仍有不可取代的地位。
選項拆解
登入查看完整詳解與互動作答
【112-1 醫學(三) 第3題】3.一位80歲獨居老人,多日未外出,經里長發現意識不清、皮膚乾癟、眼眶深陷,血壓80/55 mmHg。緊急送醫發現頸靜脈低陷,胸部X光肺野清晰、心電圖為竇性頻脈、血中白血球7000/mm3、BUN 45 mg/dL、creatinine 1.4 mg/dL、Na⁺ 155 mEq/L。此病人最有可能的診斷為:
詳解
[破題關鍵] 老年人意識不清、脫水徵象明顯、低血壓合併頸靜脈低陷,指向血容量不足。
選項分析
登入查看完整詳解與互動作答
【112-1 醫學(三) 第33題】下列細胞激素(cytokine)中,何者與敗血病關係較不密切?
詳解
破題關鍵
敗血症主要由促炎細胞激素介導,而IL-5主要與嗜酸性球和過敏反應有關。
選項拆解
登入查看完整詳解與互動作答
【112-1 醫學(三) 第59題】下列有關HIV初次感染(primary infection)引起acute HIV syndrome之敘述,何者錯誤?
詳解
破題關鍵
HIV急性感染期,大部分病人會有症狀,而不是沒有症狀。
選項拆解
登入查看完整詳解與互動作答
【112-1 醫學(三) 第60題】關於醫療人員手部衛生(濕洗手或以酒精乾洗手)時機之敘述,下列何者錯誤?①醫師查房時,手未碰觸病人,僅碰觸病人床欄,離開病室不用洗手 ②輸送小組人員至病房接病人至檢查室、協助病人從床上移至輪椅,不用洗手 ③加護病房護理人員倒第一床病人的尿壺時因有戴手套且未碰到病人床,再倒第二床之間都不用洗手 ④護理人員在準備藥物或是協助病人清潔身體前不用洗手 ⑤呼吸照護病房護理人員準備替病人導尿,將圍簾拉起,乾洗手後再幫病人導尿
詳解
破題關鍵
醫療人員手部衛生的核心原則是「五時機」,只要有接觸病人、病室環境、體液或執行無菌操作前,都必須洗手。
選項拆解
登入查看完整詳解與互動作答
【112-1 醫學(三) 第61題】診斷感染性心內膜炎所使用之Duke criteria中,下列何者屬於major criteria?①兩套blood culture培養出典型引起感染性心內膜炎的細菌,其中包括HACEK Group的細菌 ②心臟超音波檢查見到心臟瓣膜上有oscillating mass ③體溫超過38℃ ④出現Janeway lesion或Osler's node
詳解
破題關鍵
Duke criteria 將診斷感染性心內膜炎的條件分為主要 (major) 和次要 (minor) 條件,要記住哪些是主要條件。
選項拆解
登入查看完整詳解與互動作答
【112-1 醫學(三) 第62題】下列有關流感之敘述,何者錯誤?
詳解
破題關鍵
流感快篩有其限制,陰性結果不代表一定沒有流感。
選項拆解
登入查看完整詳解與互動作答
【112-1 醫學(三) 第63題】下列何種菌種不屬於Mycobacterium tuberculosis complex?
詳解
破題關鍵
Mycobacterium tuberculosis complex 包含的是引起結核病的菌種,M. chelonae 則是非結核分枝桿菌。
選項拆解
登入查看完整詳解與互動作答
【112-1 醫學(三) 第64題】40歲男性,有肝硬化病史多年。夏天時在高雄旗津海邊釣魚被魚刺刺傷左腳,隔天因左腳紅腫熱痛被送至急診,左腳發現有紫紅色水泡,且有休克現象,這位病人最可能之致病菌為何?
詳解
破題關鍵
肝硬化病人被海水魚刺傷,出現紫紅色水泡和休克,這是海洋弧菌感染的典型表現。
選項拆解
登入查看完整詳解與互動作答
【112-1 醫學(三) 第65題】承上題,下列何種抗生素治療對這位病人最為恰當?
詳解
破題關鍵
治療創傷弧菌感染,需要同時覆蓋革蘭氏陰性菌和考慮其對四環黴素的敏感性。
選項拆解
登入查看完整詳解與互動作答
【112-1 醫學(三) 第1題】2),AST = 35 U/L(正常值<37),ALT = 32 U/L(正常值<41),α-fetoprotein(AFP)= 8 ng/mL(正常值<20),carcinoembryonic antigen(CEA)= 521 ng/mL(正常值<5),CA 19-9 = 45 U/mL(正常值< 37)。其診斷最可能為下列何者?
詳解
破題關鍵
CEA 和 CA 19-9 升高,但 AFP 正常,且影像顯示肝臟有結節,需考慮非肝細胞癌的肝臟腫瘤。
選項拆解
登入查看完整詳解與互動作答
【112-1 醫學(三) 第16題】有關潰瘍性大腸炎(ulcerative colitis, UC)及克隆氏病(Crohn's disease, CD)之敘述,何者正確?
詳解
破題關鍵
抽菸是克隆氏病的重要危險因子,但對潰瘍性大腸炎的影響則相反。
選項拆解
登入查看完整詳解與互動作答
【112-1 醫學(三) 第17題】一位阻塞性黃疸患者被診斷為Mirizzi's syndrome,造成膽汁排泄阻塞的原發原因為何?
詳解
破題關鍵
Mirizzi's syndrome 的核心是膽囊管或膽囊頸的結石壓迫到總肝管,造成膽道阻塞。
選項拆解
登入查看完整詳解與互動作答
【112-1 醫學(三) 第18題】一位58歲男性病人,因腹痛、發燒、畏寒,至急診室求診。身體診察發現病人有黃疸且腹部鼓脹,且有 shifting dullness與反彈痛(rebound pain),手部有palmar erythema與flapping tremor。經抽腹水檢查,發現腹水WBC:1,250/mm3,neutrophil 85%,lymphocyte 15%、RBC:40/mm3。下列何者為最可能之診斷?
詳解
破題關鍵
病人有肝硬化跡象、腹水,且腹水檢查顯示白血球和嗜中性球比例明顯升高,這些都是自發性細菌性腹膜炎的典型表現。
選項拆解
登入查看完整詳解與互動作答
【112-1 醫學(三) 第19題】一位懷疑有藥物引起肝傷害病人之生化值檢查如下:ALT:56 U/L、AST:72 U/L、alkaline phosphatase:795 U/L(正常值<100 U/L)、total bilirubin:1.8 mg/dL(正常值<1.6 mg/dL)。下列何種藥最可能導致此病人之肝傷害?
詳解
破題關鍵
肝功能檢查顯示鹼性磷酸酶 (alkaline phosphatase) 異常升高,提示膽汁滯留性肝損傷,而甲基睪固酮 (methyltestosterone) 是常見的致病藥物。
選項拆解
登入查看完整詳解與互動作答
【112-1 醫學(三) 第20題】下列有關小腸腫瘤之敘述,何者錯誤?
詳解
破題關鍵
Peutz-Jeghers症候群的息肉雖然是錯構瘤 (hamartoma),但它們是癌前病變,會大幅增加罹癌風險,所以「易惡性病變」的說法是正確的。
選項拆解
登入查看完整詳解與互動作答
【112-1 醫學(三) 第21題】下列何者不是胃上皮細胞的攻擊因子?
詳解
破題關鍵
前列腺素是胃黏膜的保護因子,而不是攻擊因子。
選項拆解
登入查看完整詳解與互動作答
【112-1 醫學(三) 第22題】一位45歲男性因肝功能異常來門診,沒有肥胖(BMI 23 kg/m2),喝酒史:每星期五次,每次兩罐啤酒(500 毫升,5% alcohol),長達15年,抽血檢查發現AST/ALT:85/52 U/L(reference value:≦40/40)、HBsAg陰性反應、anti-HCV Ab陽性反應,腹部超音波檢查時發現有中度脂肪肝。下列評估與敘述,何者較不適當?
詳解
破題關鍵
酒精性脂肪肝疾病主要由酒精引起,而肥胖和胰島素抗性是「非酒精性」脂肪肝疾病的主要危險因子。
選項拆解
登入查看完整詳解與互動作答
【112-1 醫學(三) 第23題】關於大腸直腸癌篩檢之敘述,下列何者正確?
詳解
破題關鍵
篩檢陽性不等於確診,需要進一步的診斷性檢查來確認病因。
選項拆解
登入查看完整詳解與互動作答
【112-1 醫學(三) 第74題】有關上腸胃道鋇劑檢查,下列敘述何者最不恰當?
詳解
破題關鍵
了解食道與周圍器官的解剖關係,特別是主動脈弓的位置。
選項拆解
登入查看完整詳解與互動作答
【112-1 醫學(三) 第15題】一位60歲病人最近體重明顯減輕,右上腹悶脹,食慾尚可。就醫後身體診察發現右鎖骨中線下(right midclavicular line, RMCL)肝臟長度為18公分,無腹水,腸蠕動正常。超音波檢查發現肝內有多顆大小不一之低回音結節。抽血檢驗結果:albumin = 3.6 g/dL(正常值>3.5),bilirubin(total)= 0.9 mg/dL(正常值<1.2),AST = 35 U/L(正常值<37),ALT = 32 U/L(正常值<41),α-fetoprotein(AFP)= 8 ng/mL(正常值<20),carcinoembryonic antigen(CEA)= 521 ng/mL(正常值<5),CA 19-9 = 45 U/mL(正常值<37)。其診斷最可能為下列何者?
詳解
## 破題關鍵
顯著升高的癌胚抗原(CEA)合併多發性肝臟結節,強烈提示轉移性肝癌。
## 選項分析
登入查看完整詳解與互動作答
【112-1 醫學(三) 第45題】張小姐因肺炎治療一星期後持續發燒且出現胸痛的症狀,胸部X光檢查發現右側肋膜積液(pleural effusion),下列肋膜積液生化檢查的結果,何者最應積極引流治療?
詳解
破題關鍵
當肋膜積液的葡萄糖值很低時,代表裡面有細菌在大量消耗,需要趕快引流。
選項拆解
登入查看完整詳解與互動作答

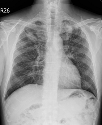
詳解
破題關鍵
本題的解題核心在於辨識胸部X光片上「雙側上肺葉浸潤、空洞形成及纖維化」的典型影像學特徵,結合病患「慢性咳嗽2個月」的病史,指向最可能的診斷。
選項拆解
登入查看完整詳解與互動作答
【112-1 醫學(三) 第47題】張先生經醫師診斷為氣喘病人,依氣喘診療指引,下列關於其治療與追蹤敘述何者錯誤?
詳解
破題關鍵
氣喘治療是階梯式的,第二階的治療核心就是低劑量吸入型類固醇。
選項拆解
登入查看完整詳解與互動作答
【112-1 醫學(三) 第48題】有關慢性阻塞性肺病(COPD)病人的治療策略,下列敘述何者錯誤?
詳解
破題關鍵
胸腔復健對慢性阻塞性肺病 (COPD) 患者的呼吸功能和生活品質有顯著幫助。
選項拆解
登入查看完整詳解與互動作答
【112-1 醫學(三) 第49題】急性呼吸窘迫症(acute respiratory distress syndrome, ARDS)與心因性肺水腫(cardiogenic pulmonary edema) 最大的不同在於:
詳解
破題關鍵
急性呼吸窘迫症 (ARDS) 的核心病理機轉是肺部微血管通透性增加,導致非心因性肺水腫。
選項拆解
登入查看完整詳解與互動作答
【112-1 醫學(三) 第50題】下列關於矽肺症(silicosis)的敘述,何者錯誤?
詳解
破題關鍵
矽肺症是一種進行性疾病,即使離開污染源,肺部纖維化仍可能持續惡化。
選項拆解
登入查看完整詳解與互動作答
【112-1 醫學(三) 第75題】關於慢性阻塞性肺病(COPD)的影像學表現,下列敘述何者最不恰當?
詳解
破題關鍵
了解COPD的影像學特徵,特別是CT在診斷支氣管擴張中的作用。
選項拆解
登入查看完整詳解與互動作答