一般內科與重症醫學1 / 75
【113-2 醫學(三) 第1題】葡萄柚汁(grapefruit juice)會抑制代謝酵素cytochrome P450(CYP)3A的活性而使某些藥物的血中濃度 增高,下列何者主要的代謝途徑不是經由CYP3A?
詳解
破題關鍵
葡萄柚汁會抑制CYP3A,所以要找出不是經由CYP3A代謝的藥物。
選項拆解
-A:pravastatin。主要經由磺酸化(sulfation)和腎臟排泄,不經由CYP3A代謝,因此不受葡萄柚汁影響。
-B:lovastatin。主要經由CYP3A4代謝,會受葡萄柚汁影響。
一般內科與重症醫學2 / 75
【113-2 醫學(三) 第66題】28歲女性因急性腎衰竭住院,醫師建議洗腎,但個案因傳統信仰一直猶豫是否要接受洗腎。處理跨文化之差異時,Berlin與Fowkes提出解決之方式「LEARN model」,下列敘述何者錯誤?
詳解
破題關鍵
LEARN model是處理跨文化溝通的重要工具,要記住每個字母代表的意義。
選項拆解
-A:正確。Listen (傾聽) 是LEARN model的第一步,強調以同理心理解病人的想法。
一般內科與重症醫學3 / 75
【113-2 醫學(三) 第67題】75歲獨居男性有高血壓與糖尿病,服藥種類有8種,服藥次數有每天1次、2次、3次,服藥時間有飯前、飯後服用,因病人常忘記服藥,導致病情控制不良。某日半夜起床解尿跌倒,導致下背痛,經診斷為腰椎壓迫性骨折。下列何者是此門診個案最合適的處理?
詳解
破題關鍵
面對複雜的老年病人,跌倒與多重用藥是警訊,需要全面性的評估。
選項拆解
-A:正確。周全性老年醫學評估是處理這位複雜老年病人最合適的起點。它能全面檢視病人的健康狀況、用藥、跌倒風險、認知功能、社會支持等,從而制定出最適合的照護計畫。
一般內科與重症醫學4 / 75
【113-2 醫學(三) 第68題】63歲婦女獨自來家庭醫學科門診,自述過去健康狀況良好,最近2週血壓偶爾偏高(BP 160/96 mmHg),他院醫師開立兩種降血壓藥物,服用後血壓降至100/60 mmHg並有頭暈現象。病史詢問得知她唯一的女兒1個月前罹患肺癌過世,讓她情緒非常低落,無法入眠。下一步處置何者最不適當?
詳解
破題關鍵
病人有明顯的低血壓和頭暈症狀,此時繼續原劑量用藥是危險的。
選項拆解
-A:正確。病人血壓過低且有頭暈,減輕藥物劑量是立即且必要的處置,以避免跌倒等不良事件。在家記錄血壓有助於後續藥物調整。
一般內科與重症醫學5 / 75
【113-2 醫學(三) 第70題】①在整個生病或壓力生活事件過程中,給予病人及家屬想法、感受和情緒的支持 ②辨識影響負面想法的觸發因素或障礙,及對目前問題的反應 ③設定家庭成員在有限時間內,可學習以降低不良行為的目標。下列何種治療包含前述3項處置?
詳解
破題關鍵
「辨識負面想法」和「降低不良行為」是認知行為治療的核心。
選項拆解
-A:Motivational Interviewing(動機式晤談)主要著重於幫助個案探索並解決改變行為的矛盾心理,激發其內在動機,與題目描述的「辨識負面想法」和「降低不良行為」的具體步驟不完全吻合。
一般內科與重症醫學6 / 75
【113-2 醫學(三) 第76題】老人受傷常比年輕人嚴重,下列生理變化何者錯誤?
詳解
破題關鍵
老年人生理儲備功能下降,對壓力的反應與年輕人不同。
選項拆解
-A:心肌細胞數量減少,心臟收縮力下降:正確。這是老年心臟的常見變化,導致心臟功能儲備下降。
一般內科與重症醫學7 / 75
【113-2 醫學(三) 第80題】知名藝人A君在家中被人發現昏迷不醒,以救護車送至B醫院急診室後不治死亡。媒體盛傳A君是吸毒過量致死,而且今年年初曾因為毒癮至B醫院接受治療,新聞記者在採訪急診室主任時,一直要急診室主任證實A君是否曾住院戒毒,你認為急診室主任可以說明嗎?
詳解
破題關鍵
醫師的保密義務不因病人死亡而終止。
選項拆解
-A:錯在「病人死後醫師就沒有保密義務」。這是錯誤的觀念,醫師的保密義務是持續性的。
-B:正確。醫師的保密義務是持續性的,不因病人死亡而終止,以保護病人的隱私權。
內分泌及新陳代謝科8 / 75
【113-2 醫學(三) 第2題】關於懷孕期甲狀腺功能變化的敘述,下列何者最不適當?
詳解
破題關鍵
懷孕期間甲狀腺素需求量會增加,所以劑量通常需要調高。
選項拆解
-A:正確。雌激素刺激TBG製造,使總甲狀腺素上升,這是懷孕期的正常生理變化。
-B:正確。第一孕期高濃度的hCG會輕微刺激甲狀腺,導致free T3、free T4上升,TSH下降。
內分泌及新陳代謝科9 / 75
【113-2 醫學(三) 第52題】下列有關於女性更年期停經的敘述,何者最不適當?
詳解
破題關鍵
停經後,卵巢功能衰竭,導致雌激素分泌減少,但腦下垂體會代償性地分泌更多濾泡刺激素 (FSH) 試圖刺激卵巢。
選項拆解
-A:正確。女性卵巢功能和生育能力在35歲後確實會開始下降,這是自然生理現象。
-B:正確。潮紅和夜間盜汗是更年期最常見且典型的血管舒縮症狀。
內分泌及新陳代謝科10 / 75
【113-2 醫學(三) 第53題】下列有關basal-bolus胰島素注射法的敘述,何者最適當?
詳解
破題關鍵
Basal-bolus 胰島素注射法的核心是模擬胰臟的生理分泌模式,提供基礎胰島素和餐前胰島素。
選項拆解
-A:正確。這正是 basal-bolus 胰島素注射法的定義:長效胰島素提供基礎胰島素,短效/速效胰島素應對餐後血糖。
內分泌及新陳代謝科11 / 75
【113-2 醫學(三) 第54題】糖尿病下肢病變是導致截肢的主要原因,下列敘述何者最不適當?
詳解
破題關鍵
糖尿病足部潰瘍是可預防的,衛教和自我照護是預防的關鍵。
選項拆解
-A:正確。糖尿病下肢病變確實可以是血管阻塞(周邊動脈疾病)或神經病變(糖尿病周邊神經病變)所引起,或兩者兼有。
-B:正確。足部潰瘍會因為血管病變導致血液供應不足,使得傷口癒合困難,增加感染和截肢的風險。
內分泌及新陳代謝科12 / 75
【113-2 醫學(三) 第55題】下列有關肥胖及其生理機轉之敘述,何者最適當?
詳解
破題關鍵
瘦素 (leptin) 是脂肪細胞分泌的一種荷爾蒙,主要功能是調節能量平衡和食慾。
選項拆解
-A:錯在計算結果。體重100公斤,身高180公分 (1.8公尺) 的男子,其 BMI = 100 / (1.8 * 1.8) = 100 / 3.24 ≈ 30.86,而非32。
內分泌及新陳代謝科13 / 75
【113-2 醫學(三) 第56題】術前診斷甲狀腺結節良惡性的黃金標準為下列何者?
詳解
破題關鍵
要判斷甲狀腺結節的良惡性,最直接且可靠的方法是取得細胞樣本進行病理分析。
選項拆解
-A:錯在甲狀腺超音波檢查只能評估結節的影像特徵,無法直接判斷良惡性。
-B:錯在甲狀腺球蛋白濃度主要用於甲狀腺癌術後追蹤,對結節良惡性診斷的價值有限。
內分泌及新陳代謝科14 / 75
【113-2 醫學(三) 第57題】造成肢端肥大症的腦下垂體腫瘤的治療首選為何?
詳解
破題關鍵
肢端肥大症 (acromegaly) 最常見的原因是腦下垂體生長激素分泌瘤,直接切除腫瘤是根治的首選。
選項拆解
-A:錯在放射線治療通常是手術失敗或無法手術時的選項,效果較慢,且有潛在副作用。
內分泌及新陳代謝科15 / 75
【113-2 醫學(三) 第58題】下列檢查,那一項是診斷「疾病甲狀腺正能症(sick euthyroid syndrome)」最關鍵的指標?
詳解
破題關鍵
疾病甲狀腺正能症 (sick euthyroid syndrome) 的特徵是甲狀腺功能看似正常,但周邊組織對甲狀腺素的代謝發生改變,其中逆位 T3 的升高是關鍵指標。
選項拆解
-A:錯在三碘甲狀腺素 (T3) 在疾病甲狀腺正能症中通常會降低,而不是關鍵的診斷指標。
內分泌及新陳代謝科16 / 75
【113-2 醫學(三) 第77題】56歲女性3天前曾經接受甲狀腺全切除手術,因食慾不振、虛弱無力,被家人送到急診室,抽血檢驗發現病人游離鈣離子:3.5 mg/dL。下列處置何者最不適當?
詳解
破題關鍵
甲狀腺手術後低血鈣是常見併發症,需了解其臨床表現和心電圖變化。
選項拆解
-A:嚴重低血鈣病人有可能出現錐體外(extrapyramidal)症狀、癲癇發作和幻覺:正確。嚴重低血鈣會影響中樞神經系統,導致這些症狀。
內分泌及新陳代謝科17 / 75
【113-2 醫學(三) 第78題】下列那一類降血壓藥物最常發生低血糖(hypoglycemia)之不良反應?
詳解
破題關鍵
了解不同降血糖藥物的作用機轉,才能判斷其低血糖風險。
選項拆解
-A:錯在「最常發生低血糖」。Biguanides (例如metformin) 單獨使用時,通常不會引起低血糖,其主要副作用是腸胃道不適。
心臟血管內科18 / 75
【113-2 醫學(三) 第6題】下列有關急性心肌梗塞的敘述,何者正確?
詳解
破題關鍵
第五型心肌梗塞是指與心臟手術或介入性治療相關的心肌梗塞,其心肌酶升高程度有特定定義。
選項拆解
-A:錯在「通常都是慢性、無血栓存在之高度狹窄」。STEMI的致病冠狀動脈病灶通常是「急性」血栓形成,導致血管「完全阻塞」,而非慢性狹窄。
心臟血管內科19 / 75
【113-2 醫學(三) 第7題】下列有關成人先天性心臟病之敘述,何者正確?
詳解
破題關鍵
心房中隔缺損(ASD)會造成左往右分流,導致右心擴大和肺動脈高壓。
選項拆解
-A:正確。ASD因左心壓力高於右心,造成左往右分流,使右心負荷增加,導致右心室擴大,長期可能引起肺動脈高壓。
心臟血管內科20 / 75
【113-2 醫學(三) 第8題】下列對於診斷冠狀動脈心臟病的工具的適切性(appropriateness),何者敘述錯誤?
詳解
破題關鍵
冠狀動脈鈣化指數(CAC)主要用於評估無症狀者的風險,對於有典型症狀的病人,其診斷價值有限,且不能作為唯一的評估工具。
選項拆解
心臟血管內科21 / 75
【113-2 醫學(三) 第9題】下列何者最不可能造成房室傳導阻斷(atrioventricular block)?
詳解
破題關鍵
房室傳導阻斷(AV block)通常與心臟傳導系統的病變、迷走神經活性過高或感染相關,而貓抓病(cat scratch disease)主要影響淋巴系統,與AV block的直接關聯性極低。
選項拆解
心臟血管內科22 / 75
【113-2 醫學(三) 第10題】一位30歲男性,過去有法洛式四重症(tetralogy of Fallot)病史並開過刀。早上突然因為胸悶至急診, 十二導程心電圖顯示 left bundle branch block(LBBB)pattern monomorphic ventricular tachycardia(VT)。下列何者最有可能為此患者VT出處(origin)?
詳解
破題關鍵
法洛氏四重症術後的心室性心搏過速,最常來自手術修補部位的疤痕組織。
選項拆解
-A:錯在右心房。右心房是心房性心律不整的起源,與心室性心搏過速無關。
-B:正確。法洛氏四重症術後,右心室的手術疤痕是心室性心搏過速最常見的起源。LBBB pattern VT也支持起源在右心室。
心臟血管內科23 / 75
【113-2 醫學(三) 第11題】關於瓣膜性心臟病的描述,下列何者錯誤?
詳解
破題關鍵
主動脈瓣二葉畸形引起的主動脈病變,主要影響的是主動脈根部和升主動脈。
選項拆解
-A:錯在「主要是發生在主動脈弓」。主動脈瓣二葉畸形伴隨的主動脈病變,主要發生在主動脈根部和升主動脈。
心臟血管內科24 / 75
【113-2 醫學(三) 第12題】關於心包膜疾病的描述,下列何者正確?
詳解
破題關鍵
心包填塞是危及生命的急症,需要立即引流心包膜積液。
選項拆解
-A:錯在「pericardial friction rub」。Beck's triad 是低血壓、頸靜脈怒張和心音遙遠。心包摩擦音是急性心包炎的特徵,但在心包填塞時可能減弱或消失。
心臟血管內科25 / 75
【113-2 醫學(三) 第13題】有關心衰竭的敘述,下列何者錯誤?
詳解
破題關鍵
射出分率正常的心衰竭 (HFpEF) 和射出分率降低的心衰竭 (HFrEF) 在病因和藥物治療反應上存在顯著差異。
選項拆解
-A:正確。冠狀動脈疾病導致心肌缺血和梗塞,是心衰竭最常見的原因之一。
-B:正確。心衰竭有家族遺傳傾向,親代的心臟問題可能影響後代的心臟結構和功能。
心臟血管內科26 / 75
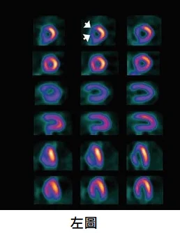
【113-2 醫學(三) 第14題】有關心臟核子醫學心肌灌注掃描SPECT的描述,何者錯誤?

詳解
破題關鍵
這題的核心在於理解心肌灌注掃描(SPECT)的影像判讀原則,以及它與電腦斷層冠狀動脈造影(CCTA)在診斷冠狀動脈疾病(CAD)上的優劣比較。圖片中左圖顯示的是可逆性灌注缺損,右圖是固定性灌注缺損。
選項拆解
感染科27 / 75
【113-2 醫學(三) 第4題】有一位75歲男性病患,因最近2日呈嗜睡狀態、進食明顯減少而就醫。病患罹患高血壓與糖尿病25年以上,並因末期腎病接受長期血液透析治療已10年。病人平躺時,將其脖子向前彎,觀察其髖部及膝蓋是否有自主性屈曲(flexion)動作,此項身體診察欲測試的為何?
詳解
破題關鍵
脖子前彎導致髖部和膝蓋自主性屈曲,這是腦膜刺激的典型徵象。
選項拆解
-A:Babinski's sign (巴賓斯基反射)。測試方式是刺激腳底外側,正常反應是腳趾屈曲,異常反應(陽性)是大拇趾背屈,其他腳趾張開,表示錐體束受損。與題目描述的檢查方式不符。
感染科28 / 75
【113-2 醫學(三) 第51題】75歲中風而長期臥床男性病人,因為要入住安養中心而進行身體健康檢查。胸部X光並無異常發現,但痰液塗片耐酸性染色鏡檢(acid-fast stain)為陽性。下列敘述何者最適當?
詳解
破題關鍵
痰液耐酸性染色陽性代表可能有分枝桿菌感染,但需要快速確認是否為結核菌,以利及早隔離與治療。
選項拆解
-A:錯在等待培養結果會延誤診斷與治療。結核病具有傳染性,應盡早確認並啟動治療,等待培養結果會錯失黃金治療時機。
感染科29 / 75
【113-2 醫學(三) 第59題】導管長期置放是造成醫療照護相關感染的常見危險因子,導尿管置放後每日發生尿路感染的機會,約為多少?
詳解
破題關鍵
導尿管置放時間越長,尿路感染的風險越高,且每日發生率並非極低或極高。
選項拆解
-A:錯在 0.03%~0.07% 的機率過低,不符合臨床實際情況。
-B:錯在 0.3%~0.7% 的機率仍然過低,低估了導尿管相關尿路感染的風險。
感染科30 / 75
【113-2 醫學(三) 第60題】下列有關抗生素的主要抑制機轉配對,何者最不適當?
詳解
破題關鍵
抗生素的作用機轉是國考常客,記住各類抗生素主要攻擊細菌的哪個部位或哪個生長環節。
選項拆解
-A:正確。盤尼西林確實是透過抑制細胞壁合成來殺菌。
-B:正確。四環黴素是抑制細菌蛋白質合成的抗生素。
感染科31 / 75
【113-2 醫學(三) 第61題】有關中樞神經感染單純疱疹病毒(HSV)診斷工具中的HSV腦脊髓液聚合酶鏈鎖反應(polymerase chain reaction, PCR),下列敘述何者錯誤?
詳解
破題關鍵
HSV腦炎的診斷黃金標準是CSF PCR,但要了解其檢測時機與限制。
選項拆解
-A:正確。HSV PCR在診斷HSV腦炎時,其敏感性與專一性都非常高,通常超過90%。
-B:正確。在發病初期,特別是前72小時內,病毒量可能還不高,導致PCR結果可能為陰性,需要重複檢測。
感染科32 / 75
【113-2 醫學(三) 第62題】25歲男性,因為軀幹紅疹,合併手掌與足底多處脫屑紅疹,以及陰莖底部無痛性潰瘍而就醫,血液檢測後, 醫師診斷為一期與二期梅毒。經進一步檢測,病人並沒有感染人類免疫不全病毒。關於梅毒處置之敘述,下列何者錯誤?
詳解
破題關鍵
梅毒的診斷與治療追蹤,要分清楚「非梅毒螺旋體試驗」和「梅毒螺旋體試驗」各自的用途。
選項拆解
感染科33 / 75
【113-2 醫學(三) 第63題】25歲病人因為發燒多日、腹瀉、皮疹、咽喉痛和頸部淋巴腺腫就醫。診視發現口腔上顎有幾點白斑,血液相 (hemogram)出現白血球與血小板降低,生化檢查發現轉氨酶(transaminases)10倍上升。醫師懷疑是人類免疫不全病毒(HIV)急性感染所引起的急性反轉錄病毒感染症候群(acute retroviral syndrome)。經病史詢問,發現病人在14天前第一次與網路上認識的一位男性發生未戴保險套的肛交性行為。下列敘述何者正確?
詳解
破題關鍵
急性HIV感染的診斷,關鍵在於「空窗期」的檢測方法選擇。
選項拆解
-A:錯在14天後第四代檢測不一定能100%確診。雖然第四代檢測比傳統抗體檢測快,但14天仍可能處於空窗期,無法保證100%陽性。
感染科34 / 75
【113-2 醫學(三) 第64題】關於蜂窩性組織炎的致病菌描述,下列何者錯誤?
詳解
破題關鍵
蜂窩性組織炎的診斷主要靠臨床判斷,培養的陽性率其實不高。
選項拆解
-A:錯在切片培養的陽性率遠低於70%。實際上的陽性率通常在20-30%左右,因此這項敘述是錯誤的。
感染科35 / 75
【113-2 醫學(三) 第65題】引起社區型肺炎的菌種,常與特殊的旅遊史或接觸史有關,下列配對何者錯誤? Pseudomonas aeruginosa
詳解
破題關鍵
社區型肺炎的病原體,常與特定的暴露史或危險因子有關,要記住這些經典配對。
選項拆解
-A:正確。有結構性肺病的病人,例如支氣管擴張症或囊性纖維化,確實容易感染綠膿桿菌。
胃腸肝膽內科36 / 75
【113-2 醫學(三) 第3題】70歲男性最近半年喉嚨時常有異物感,吞嚥時較為困難,且後咽部有刺痛感,最近1個月喝水時常發生咳嗽且水從鼻孔流出的現象,病人因此有點害怕吞嚥。關於此病人症狀的描述,不包含下列何者?
詳解
破題關鍵
題目描述的症狀是吞嚥困難、疼痛和害怕吞嚥,但病人仍能進食,只是有困難。
選項拆解
-A:transfer dysphagia (轉移性吞嚥困難)。病人喝水時常咳嗽且水從鼻孔流出,這是典型的咽部期吞嚥困難表現。
胃腸肝膽內科37 / 75
【113-2 醫學(三) 第15題】有關自體免疫肝炎(autoimmune hepatitis)的病理機轉,何者錯誤?
詳解
破題關鍵
自體免疫肝炎 (Autoimmune hepatitis, AIH) 的病理機轉是免疫系統攻擊自身肝細胞,通常與調節性T細胞功能缺陷有關,而非活性上升。
選項拆解
-A:正確。自體免疫肝炎的病理特徵是肝細胞壞死發炎,長期下來會導致纖維化、肝硬化,甚至肝衰竭。
胃腸肝膽內科38 / 75
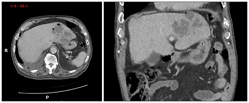
【113-2 醫學(三) 第16題】一位50歲糖尿病人主訴右上腹痛、發燒5天來醫院求診,電腦斷層圖示如附圖,下列敘述何者錯誤?

詳解
破題關鍵
這是一位有糖尿病史的病人,出現右上腹痛和發燒,電腦斷層(CT)影像顯示肝臟內有大型、邊界不清的低密度病灶,內部不均勻。這些線索強烈指向肝膿瘍(liver abscess)。題目要求找出錯誤的敘述。
選項拆解
胃腸肝膽內科39 / 75
【113-2 醫學(三) 第17題】關於腸躁症(irritable bowel syndrome)的敘述何者錯誤?
詳解
破題關鍵
腸躁症 (IBS) 是一種功能性腸道疾病,通常不會引起腸道結構性損傷或發炎,因此糞便中不會有潛血或白血球。
選項拆解
胃腸肝膽內科40 / 75
【113-2 醫學(三) 第18題】關於急性腸阻塞(acute intestinal obstruction)的敘述,下列何者錯誤?
詳解
破題關鍵
機械性腸阻塞初期,腸音會因腸道努力蠕動而變得活躍、高頻,而不是先變慢或消失。
選項拆解
-A:正確。術後沾黏、腫瘤、疝氣、腸套疊、腸扭轉和發炎性腸病變都是機械性腸阻塞的常見原因。
胃腸肝膽內科41 / 75
【113-2 醫學(三) 第19題】幽門螺旋桿菌感染會造成胃潰瘍、胃癌及胃淋巴瘤之風險增加,因此必須選擇適當且高成功率之幽門螺旋桿菌除菌方法。下列除菌療法在clarithromycin抗藥比例小於15%之地區,何者目前不推薦使用?
詳解
破題關鍵
即使在低抗藥性地區,7天的傳統三合一療法 (clarithromycin triple therapy) 成功率已不足以被推薦為第一線治療。
選項拆解
胃腸肝膽內科42 / 75
【113-2 醫學(三) 第20題】對於膽結石引發之急性胰臟炎(acute pancreatitis),下列何者為最重要的治療?
詳解
破題關鍵
急性胰臟炎的初期治療,最重要的是給予足夠的水分,避免器官缺血。
選項拆解
-A:抗生素。錯在抗生素並非急性胰臟炎的常規治療。只有在懷疑或證實有感染性胰臟壞死(infected pancreatic necrosis)時才考慮使用。
胃腸肝膽內科43 / 75
【113-2 醫學(三) 第21題】下列何者不是慢性胰臟炎(chronic pancreatitis)常見的併發症?
詳解
破題關鍵
慢性胰臟炎會造成胰臟功能受損,但其引起的糖尿病通常不是最容易導致酮酸中毒的類型。
選項拆解
-A:慢性腹痛。正確。這是慢性胰臟炎最常見且最困擾病人的併發症之一,可能由於胰管阻塞、胰臟發炎、神經病變等引起。
胃腸肝膽內科44 / 75
【113-2 醫學(三) 第22題】對於肝硬化病人的胃食道靜脈曲張(gastroesophageal varices)處理,下列敘述何者正確?
詳解
破題關鍵
肝硬化一旦診斷,靜脈曲張的發生率其實不低,而且靜脈曲張的出現比腹水更早。
選項拆解
胃腸肝膽內科45 / 75
【113-2 醫學(三) 第23題】35歲患者有胃部分切除病史,主訴進食後腹痛、腹瀉,約2小時後有頭暈、盜汗症狀,最可能的診斷為何?
詳解
破題關鍵
胃切除後,食物快速進入小腸,會導致早期腸胃道症狀和晚期血管運動症狀。
選項拆解
胃腸肝膽內科46 / 75
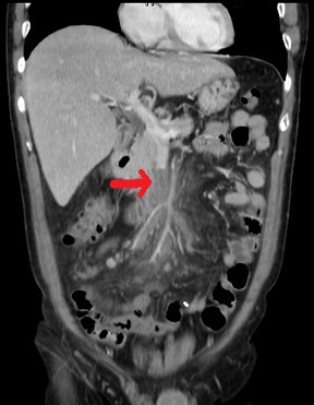
【113-2 醫學(三) 第74題】56歲男性病患,過去有高血壓病史,突然有發燒、嘔吐與腹痛的症狀,緊急安排了電腦斷層檢查影像如附圖,下列何者為最可能的診斷?

詳解
破題關鍵
病患急性腹痛、發燒、嘔吐,電腦斷層影像顯示上腸繫膜靜脈內有血栓形成,這是診斷上腸繫膜靜脈血栓的關鍵線索。
選項拆解
-A:盲腸炎(acute appendicitis)通常表現為右下腹痛,電腦斷層會顯示闌尾腫脹發炎。本影像未見闌尾病變。
胸腔內科47 / 75
【113-2 醫學(三) 第45題】下列何者不是診斷usual interstitial pneumonia在胸部電腦斷層的典型特徵?
詳解
破題關鍵
診斷常見間質性肺炎 (UIP) 的高解析度電腦斷層 (HRCT) 影像有三個經典特徵:網狀陰影、牽引性支氣管擴張和蜂窩肺。
選項拆解
-A:正確。肋膜下網狀陰影 (subpleural reticulation) 是UIP的典型特徵之一,代表肺部纖維化的早期表現。
胸腔內科48 / 75
【113-2 醫學(三) 第46題】60歲女性病人,因近日有呼吸困難及胸痛情形前來就診。就診時身體診察發現有右腳單隻腳水腫之情形,最有可能的診斷為何?
詳解
破題關鍵
呼吸困難、胸痛加上單側下肢水腫,要高度懷疑深部靜脈栓塞 (DVT) 導致肺栓塞 (PE)。
選項拆解
-A:錯在心衰竭通常會導致雙側下肢水腫,因為是全身性循環問題,而不是單側。雖然心衰竭會引起呼吸困難,但單側腳水腫與其不符。
胸腔內科49 / 75
【113-2 醫學(三) 第47題】關於肺膿瘍的敘述,下列何者錯誤?
詳解
破題關鍵
肺膿瘍的抗生素治療時間通常需要更長,不是短短7-10天。
選項拆解
-A:正確。原發性肺膿瘍通常與吸入有關,在臥姿或半臥姿時,吸入物容易進入上肺葉的後節及下肺葉的上節,因此這些是常見的膿瘍位置。
胸腔內科50 / 75
【113-2 醫學(三) 第49題】68歲男性,長期吸菸,有高血壓,近5年內因腦血管栓塞住院2次,都無後遺症。因最近一週劇烈咳嗽、黃痰、呼吸喘促、發燒至急診求治。胸部X光顯示右上肺葉大葉性浸潤,同側肋膜積液。痰檢顯示痰中有許多白血球,染色看到許多革蘭氏陽性雙球菌(diplococci),下列何種敘述正確?①為吸入性肺炎 (aspiration pneumonia) ②應選擇可以涵蓋Streptococcus pneumoniae之抗生素治療 ③應選擇可以涵蓋Pseudomonas aeruginosa之抗生素治療 ④應考慮住院及檢驗肋膜積液
詳解
破題關鍵
根據病史、臨床表現、X光和痰液革蘭氏染色結果,判斷最可能的病原體和處置。
選項拆解