一般內科與重症醫學1 / 73
【107-2 醫學(三) 第1題】6(reference value 0.9~1.1),請依前述情況回答下列3題。 以下何項訊息對病情診斷沒有幫助?
詳解
破題關鍵
什麼因素會直接影響凝血功能指標 (INR) 的異常?
選項拆解
-A:藥物史 (drug history):正確。服用抗凝血劑(如warfarin)是導致INR升高的最常見原因之一。許多藥物也會影響肝功能或維生素K代謝,因此藥物史對診斷非常有幫助。
一般內科與重症醫學2 / 73
【107-2 醫學(三) 第46題】24歲女性患者,因意識不清被送來急診處。在吸入室內空氣時,其動脈血液氣體分析顯示pH 7.12,PaCO2 80 mmHg,PaO2 45 mmHg,HCO3- 28 mEq/L,BE(ECF) 0 mEq/L。其低血氧症最可能之原因為何?
詳解
破題關鍵
判讀動脈血液氣體分析 (ABG) 時,pH 低、PaCO2 異常升高、PaO2 異常降低,且 HCO3- 和 BE 接近正常,代表急性換氣不足導致的呼吸性酸中毒合併低血氧。
選項拆解
一般內科與重症醫學3 / 73
【107-2 醫學(三) 第68題】下列何者不屬於Smilkstein所創立出來的家庭APGAR功能問卷之五個成分?
詳解
破題關鍵
記住家庭 APGAR 問卷的五個英文縮寫代表的意義。
選項拆解
-A:正確。適應度 (adaptation) 是 APGAR 的 A。
-B:正確。合作度 (partnership) 是 APGAR 的 P。
-C:正確。成長度 (growth) 是 APGAR 的 G。
一般內科與重症醫學4 / 73
【107-2 醫學(三) 第70題】下列有關青少年行為問題的描述,何者正確?
詳解
破題關鍵
理解青少年時期身心發展的特性,以及這些特性如何影響其行為。
選項拆解
-A:錯在青少年的冒險行為與雄性激素 (androgens) 有關。雄性激素的增加會影響情緒、衝動和尋求刺激的行為。
-B:錯在性行為屬於青少年的冒險行為之一。不安全的性行為可能導致性傳染病或意外懷孕。
一般內科與重症醫學5 / 73
【107-2 醫學(三) 第72題】一位85歲女性病人兩年前中風臥床,現身上有鼻胃管及導尿管,兩年中曾有三次因吸入性肺炎住進加護病房,下列有關居家訪視服務的描述,何者最不適當?
詳解
破題關鍵
判斷對於一位長期臥床、反覆感染且可能進入末期階段的病人,居家照護的重點和不適當的處置。
選項拆解
-A:正確。對於這位病人,討論末期狀況時的處理(如預立醫療決定、安寧療護)是非常重要且適當的。
一般內科與重症醫學6 / 73
【107-2 醫學(三) 第79題】78歲的連先生在接受大腸鏡檢查時,被診斷罹患大腸癌,初步評估應該屬於早期。當主治醫師吳醫師想將病理檢查結果告知連老先生時,連老先生的家屬要求吳醫師隱瞞病情,並幫連老先生決定了拒絕進一步的檢查及治療。吳醫師應如何處理較為合適?
詳解
破題關鍵
病人有權利知道自己的病情,即使家屬反對,醫師仍應尊重病人的自主權。
選項拆解
-A:正確。這是尊重病人自主權的正確做法。醫師應先確認病人是否有意願了解病情,若有,則應告知,因為病人是醫療決策的主體。
一般內科與重症醫學7 / 73
【107-2 醫學(三) 第80題】下列何者不是醫療上判斷病人是否有「決定能力」的項目?
詳解
破題關鍵
判斷病人有沒有能力做醫療決定,看的是他的「理解能力」,而不是年齡。
選項拆解
-A:錯在「病患是否滿20歲」。年齡是法律上判斷是否成年的標準,但不是判斷醫療決定能力的直接標準。醫療決定能力是評估病人當下的認知功能。
-B:正確。理解醫學問題的能力是判斷決定能力的核心要素之一。
一般內科與重症醫學8 / 73
【107-2 醫學(三) 第9題】有關感覺之神經學檢查,下列那一項描述最正確?
詳解
破題關鍵
神經學檢查中,不同感覺的傳導是由不同類型的神經纖維負責,區分大小神經纖維是判斷選項正確性的關鍵。
選項分析
- A. 以針刺(pinprick)檢查痛感(pain),所檢查的神經纖維為大神經
內分泌及新陳代謝科9 / 73
【107-2 醫學(三) 第10題】高血鈣急症的治療原則下列那一項最不適當?
詳解
破題關鍵
哪些利尿劑會影響鈣離子的排泄,進而影響高血鈣的治療?
選項拆解
-A:立即補充生理食鹽水:正確。這是治療高血鈣急症的首要步驟,能糾正脫水、增加腎臟血流和腎小球濾過率,進而促進鈣離子排泄。
內分泌及新陳代謝科10 / 73
【107-2 醫學(三) 第35題】有關neuroendocrine tumors(NETs)的診治,以下敘述何者錯誤?
詳解
破題關鍵
MEN1 症候群的基因缺陷是 MEN1 gene,而不是 VHL gene。
選項拆解
-A:正確。Chromogranin A 是一種神經內分泌顆粒蛋白,在神經內分泌腫瘤 (NETs) 細胞中廣泛表達,因此常用於免疫組織化學染色,協助診斷 NETs。
內分泌及新陳代謝科11 / 73
【107-2 醫學(三) 第49題】甲狀腺的觸診是診斷疾病的重要依據,根據1994年UNICEF(聯合國兒童基金會)的分類法,對甲狀腺大小的分級描述何者正確?①甲狀腺組織看不到,也摸不到:Grade 0 ②甲狀腺組織看不到,但摸的到:Grade 1 ③甲狀腺組織看的到,也摸的到:Grade 2
詳解
破題關鍵
熟悉甲狀腺腫大 (goiter) 的 UNICEF 分級標準,這是臨床評估甲狀腺大小的基礎。
選項拆解
-A:僅①② - 錯誤,③也是正確的。
-B:僅①③ - 錯誤,②也是正確的。
-C:僅②③ - 錯誤,①也是正確的。
內分泌及新陳代謝科12 / 73
【107-2 醫學(三) 第50題】有關糖尿病口服藥物的敘述,下列何者錯誤?
詳解
破題關鍵
了解各類糖尿病口服藥物的作用機轉和主要副作用,特別是藥物分類的正確性。
選項拆解
-A:正確。Metformin 單獨使用引起低血糖的風險低,最嚴重的副作用是乳酸血症。
內分泌及新陳代謝科13 / 73
【107-2 醫學(三) 第51題】糖尿病足部病變是導致下肢截肢的主要原因,下列敘述何者錯誤?
詳解
破題關鍵
糖尿病足部病變是多因素造成,包括神經病變、血管病變和感染。了解常見的致病菌是關鍵。
選項拆解
-A:正確。下肢神經病變會導致足部肌肉失衡和萎縮,進而引起足部變形(如夏科氏足 Charcot foot),增加潰瘍風險。
內分泌及新陳代謝科14 / 73
【107-2 醫學(三) 第54題】下列何者是原發性副甲狀腺功能亢進的患者,最可能出現的電解質變化?
詳解
破題關鍵
原發性副甲狀腺功能亢進 (PHPT) 的核心機轉是副甲狀腺素 (PTH) 分泌過多,導致鈣磷代謝異常。
選項拆解
-A:正確。原發性副甲狀腺功能亢進最可能導致高血鈣和低血磷。
-B:錯在低血鈣和高血磷通常見於副甲狀腺功能低下 (hypoparathyroidism)。
內分泌及新陳代謝科15 / 73
【107-2 醫學(三) 第55題】對於神經內分泌瘤(neuroendocrine tumor)的敘述,下列何者最正確?
詳解
破題關鍵
神經內分泌瘤雖然名字聽起來很特定,但它其實是全身性的,而且常跟一些遺傳症候群有關。
選項拆解
-A:錯在「良性」。神經內分泌瘤可以是良性,也可以是惡性,甚至有些是低度惡性但仍有轉移潛力。
心臟血管內科16 / 73
【107-2 醫學(三) 第11題】有關胸痛的鑑別診斷與描述,下列那一項最不適當?
詳解
破題關鍵
心包炎引起的胸痛有其獨特的姿勢相關性,這是鑑別診斷的關鍵。
選項拆解
-A:正確。章魚壺心肌症的臨床表現確實常以急性胸痛或呼吸急促為主,容易與心肌梗塞混淆。
-B:正確。氣胸,特別是自發性氣胸,常見於年輕高瘦男性、吸菸者,且有家族史者風險較高。
心臟血管內科17 / 73
【107-2 醫學(三) 第13題】下列何者並非動脈硬化獨立的危險因子?
詳解
破題關鍵
動脈硬化的獨立危險因子是指即使排除其他因素,仍能單獨增加疾病風險的因子。此題可能在考驗對「獨立」定義的細微理解,或將LDL視為其他風險因子(如肥胖、糖尿病)的下游表現。
選項拆解
心臟血管內科18 / 73
【107-2 醫學(三) 第14題】王先生今年54歲,胸悶及喘的症狀已有一年。他有家族遺傳的高血壓、糖尿病,而且一天抽兩包菸已有30 年,還曾被診斷為慢性阻塞性肺病(COPD)。下列針對他可能合併冠心病之敘述,何者正確?
詳解
破題關鍵
對於高風險患者的冠心病評估,需綜合考量診斷工具的準確性、風險、敏感度、特異性以及對預後的預測能力。
選項拆解
-A:錯在分級。患者「吃飽後走上坡就會胸悶」,這屬於CCS心絞痛功能分級的II級,而非III級。
心臟血管內科19 / 73
【107-2 醫學(三) 第15題】對於心電圖心軸偏左(left axis deviation)的可能原因,何者錯誤?
詳解
破題關鍵
心電圖心軸偏左 (Left Axis Deviation, LAD) 的判斷主要依據肢導聯的QRS波形,導程接錯會產生特定的異常波形,而非生理性或病理性的心軸偏左。
選項拆解
心臟血管內科20 / 73
【107-2 醫學(三) 第16題】一位44歲女性因心悸至門診檢查,心電圖顯示如下圖,其附屬路徑或旁道(accessory pathway)最可能位在何處?

詳解
破題關鍵
這張心電圖顯示典型的沃爾夫-帕金森-懷特症候群(WPW syndrome)特徵,解題核心在於判讀各導程的Delta波方向,以定位附屬路徑(accessory pathway)的位置。
選項拆解
心臟血管內科21 / 73
【107-2 醫學(三) 第17題】在成人最常見的三尖瓣逆流(tricuspid regurgitation)原因為何?
詳解
破題關鍵
成人最常見的三尖瓣逆流 (Tricuspid Regurgitation, TR) 原因通常是功能性的,與右心室壓力或體積負荷過重有關。
選項拆解
-A:正確。肺動脈高壓是導致右心室擴大和三尖瓣環擴張最常見的原因,進而引起功能性三尖瓣逆流。
心臟血管內科22 / 73
【107-2 醫學(三) 第18題】有關主動脈瓣狹窄,下列敘述何者錯誤?
詳解
破題關鍵
主動脈瓣狹窄 (Aortic Stenosis, AS) 患者一旦出現症狀,其預後會顯著惡化,不同症狀對應的預期餘命也不同。
選項拆解
-A:正確。對於有症狀的嚴重主動脈瓣狹窄患者,主動脈瓣膜置換是標準治療,能顯著改善預後。
心臟血管內科23 / 73
【107-2 醫學(三) 第19題】一位23歲大學王姓女畢業生規劃去位於菲律賓首都馬尼拉的貿易公司上班,在出發前兩週,因平常有過敏性鼻炎而先自行到住家附近的李姓家醫科診所拿藥。醫師問病史時王女除了提到鼻塞、流鼻水外,還表示偶而會有胸悶的症狀,但並無其他任何不適。而醫師在作身體診查時聽診前胸,發現有grade 1-2的mid-systolic murmur,於是醫師要王女轉診去附近的區域醫院作進一步檢查。王女到了區域醫院的心臟科門診就診,在問診確定病史和身體診查發現如同轉診單所記載後,其最合適的處置為:
詳解
破題關鍵
對於年輕、症狀模糊且心臟雜音輕微的患者,初步篩檢應以非侵入性、低成本的檢查為主,以排除明顯的心臟病變。
選項拆解
-A:錯在過度檢查。直接安排心臟超音波雖然能提供最詳細的結構資訊,但對於一位年輕、症狀模糊且雜音輕微的患者,通常會先進行初步篩檢,以避免不必要的醫療資源浪費。
心臟血管內科24 / 73
【107-2 醫學(三) 第20題】有關發紺(cyanosis)的敘述,下列何者錯誤?
詳解
破題關鍵
發紺 (Cyanosis) 是指皮膚或黏膜呈現藍紫色,主要原因是血液中去氧血紅素 (deoxyhemoglobin) 濃度升高,或組織灌注不足導致氧氣提取過多。
選項拆解
心臟血管內科25 / 73
【107-2 醫學(三) 第21題】有關次發性高血壓的敘述,何者正確?
詳解
破題關鍵
次發性高血壓 (Secondary hypertension) 是指由特定可治療或可矯正的潛在疾病引起的高血壓,了解其常見原因及特徵是解題核心。
選項拆解
心臟血管內科26 / 73
【107-2 醫學(三) 第53題】有關高脂血症之敘述,下列何者最不適當?
詳解
破題關鍵
了解血脂異常 (hyperlipidemia) 各成分與心血管疾病的關係,以及各類藥物的首選治療時機。
選項拆解
-A:錯在血中三酸甘油酯濃度偏高與心臟病有關。高三酸甘油酯血症是心血管疾病的獨立危險因子,且極高濃度會增加胰臟炎風險。
心臟血管內科27 / 73
【107-2 醫學(三) 第67題】某論文摘要如下:長期使用抗血小板藥物比上安慰劑的隨機分配試驗,每日劑量75 mg到 325 mg的aspirin, 平均追蹤1.3年。aspirin對於中風合併心肌梗塞或血管性事件有明顯下降(odds ratio (OR) 0.71, 95% confidence interval (CI) 0.51 to 0.97)。服用aspirin者比未服用aspirin者發生中風合併心肌梗塞或血管性事件的敘述,何者正確?
詳解
破題關鍵
這題考的是流行病學中「勝算比 (Odds Ratio, OR)」的定義。
選項拆解
-A:錯在絕對風險下降率 (absolute risk reduction, ARR) 需要知道兩組的絕對風險才能計算,單憑 OR 無法直接得出。
感染科28 / 73
【107-2 醫學(三) 第47題】因為父親罹患開放性肺結核而接受接觸者檢查的23歲男性,他的胸部X光檢查正常,但丙型干擾素血液測驗 (interferon-γ release assay)為陽性。下列何種建議最不適當?
詳解
破題關鍵
潛伏性結核感染 (LTBI) 的治療目標是預防發病,其治療方案與活動性結核病不同。
選項拆解
-A:正確。9 個月的每日一次 Isoniazid 治療是潛伏性結核感染的標準治療方案之一。
感染科29 / 73
【107-2 醫學(三) 第48題】42歲的男性,過去身體都十分健康,也沒有任何全身性疾病。此次因為罹患A型流行性感冒後,併發細菌性肺炎。其最可能的致病菌為何?
詳解
破題關鍵
流行性感冒 (influenza) 後併發的細菌性肺炎,最常見的致病菌是肺炎鏈球菌和金黃色葡萄球菌。
選項拆解
感染科30 / 73
【107-2 醫學(三) 第56題】人類免疫不全病毒(HIV)感染者感染梅毒(syphilis)或其他性行為傳染疾病的臨床表徵敘述,何者錯誤?
詳解
破題關鍵
HIV感染會影響免疫系統,進而改變其他感染的表現,尤其是性病。
選項拆解
-A:錯在「並無不同」。HIV感染者感染梅毒時,由於免疫功能受損,疾病的嚴重度和病程進展通常會比一般人更快、更嚴重,且更容易出現非典型表現或併發症。
感染科31 / 73
【107-2 醫學(三) 第57題】下列關於肺炎鏈球菌(Streptococcus pneumoniae)感染的敘述,何者正確?
詳解
破題關鍵
肺炎鏈球菌感染的風險族群和預防策略是重點。
選項拆解
-A:正確。嬰兒和老年人因免疫系統較弱,是侵襲性肺炎鏈球菌疾病的高風險族群,因此肺炎鏈球菌菌血症在他們身上較為常見。
感染科32 / 73
【107-2 醫學(三) 第58題】35歲男性,因父親被診斷為具傳染性的肺結核感染,而被轉介至門診進行評估。沒有臨床症狀,血清丙型干擾素釋放測試(Interferon-gamma releasing assays, IGRAs)檢查為陽性,下列何種處置不恰當?
詳解
破題關鍵
潛伏性結核感染 (LTBI) 和活動性結核病 (active TB) 的區分與處理原則。
選項拆解
-A:正確。有接觸史且IGRA陽性,首先要排除活動性肺結核,胸部X光是必要的檢查。
-B:正確。如果胸部X光發現病變,表示可能有活動性結核,需要進一步痰液檢查來確診。
感染科33 / 73
【107-2 醫學(三) 第59題】35歲男性,家住山上,在颱風之後清掃自家附近水溝,當時注意到有很多死老鼠,一週後因黃疸、茶色尿及發高燒被送到急診,最可能的致病菌是:
詳解
破題關鍵
結合流行病學史(環境暴露、動物接觸)和臨床症狀(發燒、黃疸、茶色尿)來判斷。
選項拆解
-A:正確。病人有颱風後接觸受污染水溝和死老鼠的暴露史,並出現發燒、黃疸、茶色尿等症狀,高度符合鉤端螺旋體病 (Leptospirosis) 的典型表現,尤其是Weil氏病。
感染科34 / 73
【107-2 醫學(三) 第60題】40歲男性,感染人類免疫不全病毒(HIV),有憂鬱症病史,曾經有自殺意圖,CD4+ T細胞數50 cells/µL, HIV病毒量10,000 copies/mL,下列抗反轉錄病毒藥物,何者最不適合這位病人長期治療?
詳解
破題關鍵
選擇HIV藥物時,需考慮病人的共病症(特別是精神疾病)和疾病嚴重度(CD4計數)。
選項拆解
-A:Raltegravir (整合酶抑制劑) 通常耐受性良好,CNS副作用較少,適合有精神疾病史的病人。
感染科35 / 73
【107-2 醫學(三) 第61題】50歲男性,患有糖尿病多年,未規則服用降血糖藥物,因為右眼紅腫疼痛及發燒2天,至急診就醫,診斷有眼內炎(endophthalmitis),腹部超音波檢查發現有肝臟膿瘍。在國內,這位病人最恰當的抗生素治療為何?
詳解
破題關鍵
結合病人的共病症(糖尿病)、感染部位(眼內炎、肝膿瘍)和國內常見的致病菌來選擇抗生素。
選項拆解
感染科36 / 73
【107-2 醫學(三) 第62題】下列有關Clostridium difficile及其導致之腹瀉疾病之敘述,何者錯誤?
詳解
破題關鍵
艱難梭菌感染 (Clostridioides difficile infection, CDI) 的流行病學、危險因子和治療後復發率。
選項拆解
-A:正確。健康新生兒的腸道帶有艱難梭菌是常見的,且通常無症狀。
胃腸肝膽內科37 / 73
【107-2 醫學(三) 第22題】黃疸是床上常的症 。有一個20 歲輕男性,無任何肝臟病史,門診主訴健康檢查中,發現血清 Bilirubin 2.9/0.5 ㎎/dL(Total/Direct, reference value:<1.0/<0.3 mg/dL),其他肝功能檢查都正常,血清肝炎標誌都是陰性反應; 學檢查無常,沒有搔癢症狀。下何種診斷最有可能?
詳解
破題關鍵
這個病人只有膽紅素升高,其他肝功能都正常,也沒有症狀,這很像一種良性的體質性黃疸。
選項拆解
-A:錯在肝內膽汁滯留 (Cholestasis) 通常會導致結合型膽紅素 (direct bilirubin) 升高,且常伴隨鹼性磷酸酶 (ALP) 升高和搔癢症狀,與此病人的表現不符。
胃腸肝膽內科38 / 73
【107-2 醫學(三) 第23題】有關B型肝炎病毒的變異(variants),下列何者錯誤?
詳解
破題關鍵
B型肝炎病毒的變異通常與治療反應、免疫逃脫或疾病進程有關,YMDD變異是抗病毒藥物引起的。
選項拆解
-A:正確。核前區 G1896A 變異會導致 e 抗原陰性,且在基因型 A 的 HBV 中較少見,因為基因型 A 的 HBV 較常發生核心啟動子 (BCP) 變異。
胃腸肝膽內科39 / 73
【107-2 醫學(三) 第24題】Child Pugh score是用來評估肝硬化嚴重的方式,Child Pugh score的組成共有5個項目,這5個項目是:
詳解
破題關鍵
Child-Pugh score 評估的是肝臟的合成功能、排泄功能和併發症。
選項拆解
-A:正確。Child-Pugh score 的五個組成項目確實是 Albumin, bilirubin, prothrombin time, ascites, encephalopathy。
胃腸肝膽內科40 / 73
【107-2 醫學(三) 第25題】以下關於大腸直腸癌篩檢之敘述,何者正確?
詳解
破題關鍵
大腸直腸癌篩檢有不同的建議,要根據風險程度和篩檢工具的特性來選擇。
選項拆解
胃腸肝膽內科41 / 73
【107-2 醫學(三) 第26題】關於Ulcerative colitis及Crohn's disease的比較,下列何者正確?
詳解
破題關鍵
潰瘍性結腸炎 (Ulcerative colitis) 和克隆氏症 (Crohn's disease) 在病變分佈、深度和特徵上都有明顯差異。
選項拆解
胃腸肝膽內科42 / 73
【107-2 醫學(三) 第27題】Helicobacter pylori infection業已證實為消化性潰瘍的主因,關於此細菌的特性,下列敘述何者正確?
詳解
破題關鍵
幽門螺旋桿菌 (Helicobacter pylori) 的致病性與其攜帶的毒性因子密切相關。
選項拆解
胃腸肝膽內科43 / 73
【107-2 醫學(三) 第34題】針對TNM Staging System Stage I、3 cm的早期肝細胞癌,以下的治療方式,何者不是「具治癒性可能 (curative-intent)」的治療策略?
詳解
破題關鍵
早期肝癌的治癒性治療通常是直接移除腫瘤或破壞腫瘤,而標靶藥物 Sorafenib 主要是用於晚期肝癌,無法達到治癒目的。
選項拆解
-A:正確。手術切除 (Surgical resection) 是早期肝細胞癌的重要治癒性治療方式,適用於腫瘤數量少、肝功能良好的病人。
胃腸肝膽內科44 / 73
【107-2 醫學(三) 第64題】進一步進行檢測,以下那些檢測與臆斷方向是不合理的?
詳解
破題關鍵
判斷急性肝炎的鑑別診斷,並理解各項檢測的意義。
選項拆解
胃腸肝膽內科45 / 73
【107-2 醫學(三) 第65題】經本次急診抽血檢測發現患者血清HBsAg呈現陰性反應,anti-HCV呈現陽性反應,去年患者曾經接受健康檢查報告顯示當時anti-HCV為陰性反應,病史方面患者曾經於一個月前到某個私人診所接受關節軟骨生成刺激素注射治療。以下有關診斷與進一步處置規劃方面,何項是不合理的?
詳解
破題關鍵
結合病史(近期注射史、anti-HCV轉陽)、檢驗結果(HBsAg陰性、anti-HCV陽性)判斷急性C型肝炎,並了解其治療原則。
選項拆解
-A:正確。Anti-HCV從陰性轉陽,加上近期有注射史,高度懷疑是急性C型肝炎。
胃腸肝膽內科46 / 73
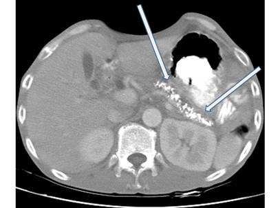
【107-2 醫學(三) 第74題】
一名酗酒男性因上腹悶痛和食慾不佳來求診,電腦斷層檢查呈現如圖,箭號所指之異常最可能是下列那一項診斷?
詳解
破題關鍵
這題的解題核心是從電腦斷層影像中辨識出胰臟的鈣化點,並結合病患的酗酒史,直接聯想到慢性胰臟炎。圖片中箭號所指的胰臟內高密度亮點就是關鍵線索。
選項拆解
胃腸肝膽內科47 / 73
【107-2 醫學(三) 第63題】45歲女性病患來門診時,主訴疲倦(malaise),鞏膜泛黃(icteric sclera),急診檢驗資料顯示血清
albumin level: 3.6 g/dL (reference value>3.5),total bilirubin level: 5.6 mg/dL (reference value <
1.0),direct bilirubin level: 2.4 mg/dL (reference value <0.3),ALT level 1240 U/L (reference value <
40),AST level 1380 U/L (reference value<40),ALP level 89 U/L (reference value <100) , PT INR
1.6 (reference value 0.9~1.1),請依前述情況回答下列3題。
以下何項訊息對病情診斷沒有幫助?
詳解
[破題關鍵] 題目描述一位45歲女性出現疲倦、黃疸,實驗室檢查顯示肝功能嚴重異常,特別是轉胺酶(ALT, AST)顯著升高,膽紅素升高,凝血功能異常(PT INR延長),但鹼性磷酸酶(ALP)正常。這是一個典型的急性肝細胞損傷(acute hepatocellular injury)的表現。題目要求
胸腔內科48 / 73
【107-2 醫學(三) 第42題】下列有關氣喘的發病機制(pathogenesis),何者正確?
詳解
破題關鍵
氣喘是一種過敏性發炎反應,主要由 Th2 細胞介導,並涉及多種細胞和細胞因子,其中 IL-5 對於嗜酸性白血球的活化和趨化很重要。
選項拆解
-A:錯在呼吸道上皮細胞不僅有防禦功能,在氣喘發炎反應中也扮演重要角色,它們可以釋放多種細胞因子和趨化因子,參與發炎反應的啟動和維持。
胸腔內科49 / 73
【107-2 醫學(三) 第43題】下列那一種肺癌組織型,為我國最常見者?
詳解
破題關鍵
在台灣,肺癌最常見的組織型態是腺癌。
選項拆解
-A:正確。腺癌 (adenocarcinoma) 是我國(台灣)最常見的肺癌組織型態,佔所有肺癌的比例最高。
胸腔內科50 / 73
【107-2 醫學(三) 第44題】關於肺癌診斷及分期,下列何者正確?
詳解
破題關鍵
肺癌分期時,要特別留意癌細胞可能轉移到哪裡,並用對應的檢查來確認。
選項拆解
-A:錯在正子電腦斷層造影 (PET-CT) 雖然敏感度高,但偽陽性不低,發炎反應也可能顯影,因此單純顯影不一定代表 N3(對側縱膈腔、肺門淋巴結或鎖骨上淋巴結轉移),需要進一步病理確認。