一般內科與重症醫學1 / 76
【109-2 醫學(三) 第3題】基本日常生活的自我照顧能力(Basic Activities of Daily Living:Self-Care Tasks)之評估,不包括下列那一項?
詳解
破題關鍵
基本日常生活能力 (BADL) 評估的是最核心、最基礎的自我照顧能力。
選項拆解
-A:個人衛生屬於BADL的範疇。
-B:穿衣脫衣屬於BADL的範疇。
-C:錯在自行服藥。自行服藥屬於複雜性日常生活能力 (IADL),因為它需要認知、記憶和判斷能力,比BADL更進階。
一般內科與重症醫學2 / 76
【109-2 醫學(三) 第68題】政府推動轉診制度,鼓勵雙向轉診,轉診是屬於家庭醫師那一項特色的表現?
詳解
破題關鍵
轉診制度的目的是讓不同層級的醫療單位能互相合作,提供病人最合適的照護。
選項拆解
-A:可近性是指病人容易取得醫療服務,例如診所位置方便、掛號容易,與轉診制度的協調功能不同。
一般內科與重症醫學3 / 76
【109-2 醫學(三) 第69題】有關慢性疾病運動的處方建議,以重視安全、漸進與個人化為原則,下列建議何者最不適當?
詳解
破題關鍵
慢性病患者的運動處方,安全和彈性很重要,可以分段累積運動時間。
選項拆解
-A:正確。有氧運動 (如快走、游泳) 增加心肺耐力;阻力訓練 (如舉重、彈力帶) 改善肌力與肌耐力;伸展操改善柔軟度,這些都是慢性病運動處方建議的多元運動型態。
一般內科與重症醫學4 / 76
【109-2 醫學(三) 第70題】下列有關篩檢工具的特性,那些對臨床醫師及病人最有意義?
詳解
破題關鍵
對臨床醫師和病人來說,最想知道的是「篩檢結果出來後,我到底有沒有生病」或「我到底有沒有健康」,這就是預測值的意義。
選項拆解
-A:敏感度與特異度是評估篩檢工具本身的準確性,但無法直接告訴病人「我篩檢陽性,到底是不是真的有病」。
一般內科與重症醫學5 / 76
【109-2 醫學(三) 第71題】關於非語言溝通(nonverbal communication)的描述,下列何者正確?
詳解
破題關鍵
非語言溝通雖然因文化而異,但有些基本肢體語言在多數情況下有共通的意義。
選項拆解
-A:錯誤。非語言溝通所蒐集的訊息約占全部訊息的70%到90%,遠超過十分之一。
一般內科與重症醫學6 / 76
【109-2 醫學(三) 第72題】在基層服務的家庭醫師想進行社區健康促進計畫,以提升鄉民的健康,下列執行內容何者不適當?
詳解
破題關鍵
社區健康促進計畫的重點是提升社區整體健康,而非為個人診所打廣告。
選項拆解
-A:正確。界定健康促進的目標鄉民範圍,有助於精準規劃和執行計畫,確保資源有效利用。
-B:正確。確認鄉民的健康課題是健康促進計畫的基礎,必須先了解問題才能對症下藥。
一般內科與重症醫學7 / 76
【109-2 醫學(三) 第77題】有關化學災難(chemical disaster)現場,應依化學災害處理原則,下列何者最為正確?
詳解
破題關鍵
化學災難現場的區域劃分,是為了確保救援人員安全,並有效控制污染擴散。
選項拆解
-A:錯誤。傷患的除污 (decontamination) 應在暖區 (warm zone) 執行,以防止污染擴散到冷區。
一般內科與重症醫學8 / 76
【109-2 醫學(三) 第79題】A醫師預備要進行新藥品人體試驗,為讓更多病患進入此試驗,且因為現有治療方式效果不佳,A醫師不想在同意書上說明現有之治療方式。下列敘述何者正確?
詳解
破題關鍵
人體試驗知情同意的法律規定。
選項拆解
-A:錯在「不包括」。依據醫療法第79條及人體研究法第12條,知情同意書必須告知「其他可能之治療方式及說明」。
-B:正確。醫療法第79條明確規定,人體試驗的知情同意書應載明「其他可能之治療方式及說明」。
一般內科與重症醫學9 / 76
【109-2 醫學(三) 第80題】為確保醫事人員執行醫療業務時之安全,依醫療法規定,下列敘述何者錯誤?
詳解
破題關鍵
醫療法對醫事人員安全保障的具體條文。
選項拆解
-A:正確。這是醫療法第24條第一項的內容,明確禁止妨礙醫療業務的行為。
-B:正確。這是醫療法第24條第三項的內容,賦予警察機關協助排除或制止妨礙行為的職責。
內分泌及新陳代謝科10 / 76
【109-2 醫學(三) 第50題】下列何者不是典型之甲狀腺功能低下(hypothyroidism)的症狀?
詳解
破題關鍵
甲狀腺功能低下的典型症狀是新陳代謝變慢。
選項拆解
-A:正確。全身呈現黏液性水腫 (myxedema) 是甲狀腺功能低下的典型症狀之一。
-B:正確。甲狀腺素不足會導致心臟收縮力減弱和心率減慢,因此休息靜態下心跳過慢是常見症狀。
內分泌及新陳代謝科11 / 76
【109-2 醫學(三) 第51題】有關胰島素製劑與使用的敘述,下列何者正確?
詳解
破題關鍵
胰島素的分類、作用時間和不同類型糖尿病的治療原則。
選項拆解
-A:錯誤。lispro 是速效型胰島素,detemir 和 glargine 是長效型胰島素。
內分泌及新陳代謝科12 / 76
【109-2 醫學(三) 第52題】糖尿病可以引起許多慢性併發症,其中大血管疾病相當常見,下列敘述何者最不恰當?
詳解
破題關鍵
糖尿病對大血管疾病的影響以及其風險管理。
選項拆解
-A:正確。糖尿病病人發生大血管疾病的風險確實是無糖尿病者的 2~4 倍,這是糖尿病重要的併發症之一。
-B:正確。良好地控制血糖、血壓及血脂是預防糖尿病大血管疾病的基石,多重風險因子控制效果最佳。
內分泌及新陳代謝科13 / 76
【109-2 醫學(三) 第53題】依據衛生福利部國民健康署之代謝症候群(metabolic syndrome)判定標準,下列敘述何者正確?
詳解
破題關鍵
熟悉台灣代謝症候群的判定標準。
選項拆解
-A:錯誤。身體質量指數 (BMI) 並非代謝症候群的判定標準之一。
-B:錯誤。低密度脂蛋白膽固醇 (LDL-C) 並非代謝症候群的判定標準之一。判定標準是高三酸甘油酯和低高密度脂蛋白膽固醇。
內分泌及新陳代謝科14 / 76
【109-2 醫學(三) 第54題】一位26歲患者,外觀正常,身體質量指數(BMI)為20 kg/m2,無不適。健檢發現高血壓、低血鉀、心跳正常。為了探討次發性高血壓的可能,此病患宜安排下列何種檢查最合適?
詳解
破題關鍵
年輕患者出現高血壓合併低血鉀,要考慮原發性醛固酮增多症。
選項拆解
內分泌及新陳代謝科15 / 76
【109-2 醫學(三) 第55題】下列何者不是常用於治療甲狀腺功能亢進的方式之一?
詳解
破題關鍵
甲狀腺亢進的治療方式,主要圍繞著「減少甲狀腺荷爾蒙的製造或分泌」。
選項拆解
-A:正確。口服抗甲狀腺藥物是治療甲狀腺亢進的常用方式之一,能抑制甲狀腺荷爾蒙的合成。
-B:正確。手術切除甲狀腺是治療甲狀腺亢進的選項之一,特別適用於甲狀腺腫大嚴重、藥物治療無效或有壓迫症狀的病人。
內分泌及新陳代謝科16 / 76
【109-2 醫學(三) 第56題】一位20歲男性,體檢時發現聲音細、無鬍子、無陰毛、陰莖短、睪丸皆在陰囊中但小而軟,其下一步最適當的處置為何?
詳解
破題關鍵
青春期發育異常,要先從荷爾蒙檢查來判斷問題是出在睪丸本身還是腦部。
選項拆解
-A:錯在睪丸超音波雖然可以評估睪丸大小和結構,但無法直接判斷荷爾蒙分泌的異常是來自睪丸本身還是腦部。在未確定病因前,不是最優先的檢查。
內分泌及新陳代謝科17 / 76
【109-2 醫學(三) 第66題】林先生45歲,接受成人健康檢查結果如下:腰圍88 cm,血壓132/88 mmHg,空腹血糖106 mg/dL,總膽固醇 196 mg/dL,三酸甘油脂180 mg/dL,高密度膽固醇42 mg/dL,低密度膽固醇120 mg/dL。依據我國衛生福利部代謝症候群的定義,林先生符合幾項?
詳解
破題關鍵
代謝症候群的診斷標準,就是看有沒有符合五個項目中的三個。
選項拆解
-A:林先生腰圍88 cm (未達90 cm),不符合。
-B:林先生血壓132/88 mmHg (收縮壓132 ≥ 130,舒張壓88 ≥ 85),符合。
內分泌及新陳代謝科18 / 76
【109-2 醫學(三) 第78題】關於高滲透壓高血糖狀態(hyperosmolar hyperglycemic state, HHS),下列敘述何者最不適當?
詳解
破題關鍵
HHS的診斷標準和電解質異常的特性。
選項拆解
-A:正確。這是HHS的典型診斷標準,與糖尿病酮酸中毒 (diabetic ketoacidacidosis, DKA) 的酸中毒表現不同。
內分泌及新陳代謝科19 / 76
【109-2 醫學(三) 第27題】某70歲女性患者近2週嘔吐、腹痛漸增而至急診;過去病史:糖尿病10多年,一個月前腎功能正常,目前使用之藥物包括metformin 1.5 g daily,losartan 50 mg daily,以及simvastatin 20 mg daily。實驗室檢查發現:Na⁺ 139 mmol/L,K+ 4.9 mmol/L,Cl103 ־ mmol/L,glucose 216 mg/dL,cholesterol 220 mg/dL,Ca2+ 8 mg/dL,Cr 6.5 mg/dL;動脈血氣體pH 7.0,HCO3¯4.0 mEq/L,PCO2 14 mmHg,尿液無異常。下列何者為最可能之診斷?
詳解
破題關鍵
本題關鍵在於辨識一位長期服用metformin的糖尿病患者,在出現急性腎損傷(AKI)後,發生了嚴重的高陰離子間隙代謝性酸中毒。
選項分析
心臟血管內科20 / 76
【109-2 醫學(三) 第7題】有關非ST段上升心肌梗塞(NSTEMI)之敘述,下列何者錯誤?
詳解
破題關鍵
NSTEMI 的診斷標準、心肌酶的特異性、以及 NSTEMI 的治療策略,特別是冠脈介入治療 (PCI) 的時機。
選項拆解
-A:正確。NSTEMI 的診斷標準就是不穩定心絞痛、心電圖無明顯 ST 段上升,但心肌酶升高。
心臟血管內科21 / 76
【109-2 醫學(三) 第8題】一位76歲女性,最近稍微走路就會喘,到醫院檢查發現已患有高血壓和糖尿病,心電圖呈現心房顫動,但心室收縮功能正常且無瓣膜性心臟病,也無中風或其他心血管病史,評估病人使用抗凝血劑預防中風的CHA2DS2- VASc Score分數是多少?
詳解
破題關鍵
正確計算 CHA2DS2-VASc Score,並熟悉每個風險因子的分數。
選項拆解
-根據題目描述:
- 76歲女性:年齡 ≥ 75 歲 (A2) = 2 分
- 高血壓 (H) = 1 分
- 糖尿病 (D) = 1 分
心臟血管內科22 / 76
【109-2 醫學(三) 第9題】一位69歲男性,過去無不適症狀,最近1個月開始有胸悶,容易疲倦無力,運動耐受力不佳,門診時血壓 130/70 mmHg,心跳48次/分,呼吸16次/分,心電圖顯示如下圖,關於其心電圖的檢查結果,下列何者最正確?

詳解
破題關鍵
這張心電圖最關鍵的發現是心房的P波規律出現,但並非每個P波後面都有QRS波,表示心房的電訊號無法完全傳導到心室,這就是房室傳導阻滯的典型表現。
選項拆解
心臟血管內科23 / 76
【109-2 醫學(三) 第10題】
一位18歲男性無任何過去病史,因在跑馬拉松時暈厥被送至急診評估。根據同學描述,病人當時並無抽搐或眼睛上吊情形。且病患自述事發當時並無特別印象或記憶,但近日活動並沒有胸悶或活動性喘狀況。病患父親於50歲左右不明原因於登山過程中猝死。身體診察發現病人有收縮期心雜音。心電圖檢查如下。心臟超音波檢查顯示左心室壁肥厚且有心室內壓力梯度(intraventricular pressure gradient)。以下動作何者可造成病患心雜音更明顯?

詳解
破題關鍵
這道題目的核心是判斷肥厚性阻塞性心肌病變(HOCM)的心雜音如何受到不同生理動作的影響。圖片中的心電圖顯示了左心室肥厚(LVH)的典型表現,這與題幹中超音波的診斷一致,確立了HOCM的病因。
選項拆解
心臟血管內科24 / 76
【109-2 醫學(三) 第11題】有關心音paradoxical splitting之敘述,下列何者正確?
詳解
破題關鍵
理解心音分裂 (splitting) 的生理機制,特別是反常性分裂 (paradoxical splitting) 的成因。
選項拆解
-A:錯在描述。反常性分裂是由於左心室射血時間延長,導致主動脈瓣關閉時間延後所致,與二尖瓣關閉時間提前無關。
心臟血管內科25 / 76
【109-2 醫學(三) 第12題】有關下肢周邊血管疾病之敘述,下列何者錯誤?
詳解
破題關鍵
理解周邊血管疾病的常見表現,以及血管雜音 (vascular bruit) 的臨床意義。
選項拆解
-A:正確。皮膚溫度較涼、跛足、脈搏異常 (減弱或消失) 都是下肢周邊血管疾病較為嚴重的表現。
心臟血管內科26 / 76
【109-2 醫學(三) 第13題】有關心臟雜音的敘述,下列何者正確?
詳解
破題關鍵
僧帽瓣狹窄的雜音是舒張期低頻雜音,特定姿勢下在心尖最容易聽到。
選項拆解
心臟血管內科27 / 76
【109-2 醫學(三) 第14題】有關收縮性心衰竭的治療,下列何者不宜?
詳解
破題關鍵
收縮性心衰竭患者心臟收縮力已經不足,不應使用會進一步抑制心臟收縮的藥物。
選項拆解
感染科28 / 76
【109-2 醫學(三) 第48題】關於潛伏結核感染(latent TB infection),下列敘述何者正確?
詳解
破題關鍵
潛伏結核感染的診斷方式和其特性。
選項拆解
-A:正確。結核菌素皮膚測驗 (TST) 和丙型干擾素血液測驗 (IGRA) 是診斷潛伏結核感染的兩種主要方法。
-B:潛伏結核感染者約 5-10% 會發展成為活動性肺結核,而不是 30%。
感染科29 / 76
【109-2 醫學(三) 第57題】下列有關鉤端螺旋體病(leptospirosis)特徵的敘述,何者正確?
詳解
破題關鍵
鉤端螺旋體病是一種人畜共通傳染病,初期症狀常與流感相似。
選項拆解
-A:錯在鉤端螺旋體病主要透過接觸受感染動物的尿液或被污染的水源傳播,而不是蚊子。蚊子主要傳播登革熱、瘧疾等疾病。
-B:正確。鉤端螺旋體病初期症狀常是非特異性的,類似流感,包括發燒、頭痛和肌肉酸痛。
感染科30 / 76
【109-2 醫學(三) 第58題】35歲急性白血病病人化療後2週,出現白血球低下合併發燒,則下列藥物單獨使用時何者最恰當?
詳解
破題關鍵
化療後白血球低下合併發燒,要選用廣效且能涵蓋綠膿桿菌的抗生素。
選項拆解
-A:錯在ertapenem雖然是carbapenem類抗生素,廣效,但它對綠膿桿菌 (Pseudomonas aeruginosa) 沒有活性,因此不適合單獨用於治療嗜中性白血球低下性發燒。
感染科31 / 76
【109-2 醫學(三) 第59題】30歲醫療工作者懷孕30週,因高燒、喉嚨痛、肌肉酸痛及頭痛就醫,下列處置何者不恰當?
詳解
破題關鍵
懷孕期間感染流感,抗病毒藥物治療是必要的,且益處大於風險。
選項拆解
-A:正確。詢問旅遊史及是否有接觸流感病人是評估感染風險的重要步驟,有助於診斷。
-B:正確。醫療工作者若有相同症狀,應通知感染管制單位並依規定通報衛生局,以利疫情監控和控制。
感染科32 / 76
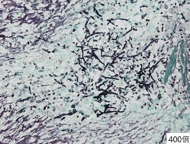
【109-2 醫學(三) 第60題】60歲糖尿病人因右眼視力模糊,鼻腔有黑色分泌物來住院,經耳鼻喉科開刀病理化驗結果如附圖,則下列何者是最可能的致病菌?

詳解
破題關鍵
這題的解題核心在於將糖尿病患者的臨床表現(鼻腔黑分泌物、視力模糊)與病理切片中真菌的形態學特徵結合判斷。圖片中清晰可見有分隔(septate)且呈急性角(約45度)分枝的菌絲,這是麴菌(Aspergillus)的典型病理特徵。
選項拆解
感染科33 / 76
【109-2 醫學(三) 第61題】40歲男性感染人類免疫不全病毒(HIV)8年,從未接受抗反轉錄病毒治療,CD4+ T細胞數70 cells/μL,病毒量53,000 copies/mL,因感染肺結核開始接受抗結核藥物治療。後續這位病人想接受HIV的治療,則何時開始使用抗反轉錄病毒治療最合適?
詳解
破題關鍵
HIV合併肺結核病人,抗反轉錄病毒治療 (ART) 應在抗結核藥物治療後一段時間開始,以避免免疫重建發炎反應症候群 (IRIS)。
選項拆解
-A:錯在立即同步治療會顯著增加免疫重建發炎反應症候群 (IRIS) 的風險,特別是對於CD4+ T細胞數低的病人。
感染科34 / 76
【109-2 醫學(三) 第64題】醫療工作者發生針扎事件,於除夕夜來到急診處,下列處置何者最不恰當?
詳解
破題關鍵
針扎事件的處置必須在黃金時間內進行,不能延遲。
選項拆解
-A:正確。進行針扎來源者及被針扎者的anti-HIV抗體檢驗是評估HIV感染風險的關鍵步驟。
感染科35 / 76
【109-2 醫學(三) 第74題】有關骨髓炎的診斷,下列何者正確?
詳解
破題關鍵
骨髓炎的診斷需要多種工具輔助,但X光片通常是初步且必要的檢查。
選項拆解
-A:錯誤。骨髓炎的診斷是否及時與預後有非常密切的關係,延誤診斷和治療可能導致嚴重併發症。
胃腸肝膽內科36 / 76
【109-2 醫學(三) 第5題】針對腹痛病人施行的身體檢查,下列敘述何者正確?
詳解
破題關鍵
熟悉腹部理學檢查的特殊徵象及其代表的意義,以及檢查時的正確姿勢。
選項拆解
-A:錯在描述。Grey Turner sign是指側腹部 (flank) 有藍色瘀青,而非肚臍周圍。肚臍周圍的藍色瘀青是Cullen sign。
胃腸肝膽內科37 / 76
【109-2 醫學(三) 第15題】下列有關懷孕期間可能發生的肝臟疾病(liver disease of pregnancy)之敘述,何者錯誤?
詳解
破題關鍵
懷孕期間,肝功能指數中只有鹼性磷酸酶會因胎盤產生而上升,其他肝酵素通常維持正常。
選項拆解
胃腸肝膽內科38 / 76
【109-2 醫學(三) 第16題】下列有關primary sclerosing cholangitis(PSC)及primary biliary cirrhosis(PBC)的敘述何者錯誤?
詳解
破題關鍵
原發性硬化性膽管炎 (PSC) 才是與膽管癌 (cholangiocarcinoma) 密切相關的疾病,原發性膽汁性膽管炎 (PBC) 則否。
選項拆解
胃腸肝膽內科39 / 76
【109-2 醫學(三) 第17題】下列有關於化膿性肝膿瘍(pyogenic liver abscess)之敘述,何者錯誤?
詳解
破題關鍵
化膿性肝膿瘍的病原菌種類和感染途徑有關,但「多為單一微生物感染」的說法並不完全準確,特別是考慮到整體化膿性肝膿瘍的常見情況。
選項拆解
胃腸肝膽內科40 / 76
【109-2 醫學(三) 第18題】有關解讀下表個案之B型肝炎血清標誌(如圖),何者敘述錯誤?
詳解
破題關鍵
這題的解題核心在於精準判讀B型肝炎血清標誌的組合意義,特別是針對「過往感染」和「病毒存在」的判斷。圖片中個案3的血清標誌組合(HBsAg陰性、Anti-HBs陰性、Anti-HBc IgG陽性)是判斷此題錯誤敘述的關鍵。
選項拆解
胃腸肝膽內科41 / 76
【109-2 醫學(三) 第19題】有關慢性B型肝炎治療的敘述,下列何者錯誤?
詳解
破題關鍵
干擾素不能用於失代償性肝硬化患者,這是其重要的禁忌症。
選項拆解
胃腸肝膽內科42 / 76
【109-2 醫學(三) 第20題】對於肝性腦病變(俗稱肝昏迷)(hepatic encephalopathy)的敘述,何者正確?
詳解
破題關鍵
肝性腦病變的嚴重度與血氨值不一定成正比,且嚴格限制蛋白質攝取並非長期治療策略。
選項拆解
-A:錯在「氨值的高低與肝性腦病變的嚴重度成正比」。雖然血氨值升高是肝性腦病變的重要特徵,但其數值與臨床嚴重度之間並非完全成正比關係。
胃腸肝膽內科43 / 76
【109-2 醫學(三) 第21題】關於發炎性腸道疾病(inflammatory bowel disease, IBD)的治療,何者正確?①類固醇在remission induction與 maintenance therapy都扮演很重要角色 ②生物製劑(biologics)可以降低使用類固醇的機會,讓發炎性腸道疾病的治療進入新紀元 ③生物製劑(biologics)可以增進瘻管(fistula)癒合,降低需手術或引流的機會 ④5-ASA藥物為潰瘍性大腸炎重要的維持治療藥物
詳解
破題關鍵
類固醇不適合長期用於發炎性腸道疾病的維持治療。
選項拆解
胃腸肝膽內科44 / 76
【109-2 醫學(三) 第22題】下列關於大腸激躁症(irritable bowel syndrome)的敘述,何者正確?
詳解
破題關鍵
大腸激躁症 (IBS) 是一種腦腸軸線功能障礙,且女性患者比例較高,尤其是嚴重個案。
選項拆解
-A:錯在「主要為腸道壁的異常所致,與中樞神經較無關連性」。IBS並非腸道壁的結構性異常,而是功能性障礙,且與中樞神經系統(腦腸軸線)的關聯性非常密切。
胃腸肝膽內科45 / 76
【109-2 醫學(三) 第23題】關於可遺傳性胃腸道息肉增生症候群(hereditable gastrointestinal polyposis syndromes),下列敘述何者正確?
詳解
破題關鍵
搞清楚各種遺傳性息肉症候群的息肉類型、癌變風險和伴隨的器官外表現。
選項拆解
胃腸肝膽內科46 / 76
【109-2 醫學(三) 第36題】某50歲男性為一慢性B型肝炎患者,在超音波檢查中發現有一個2公分的肝腫瘤,醫師懷疑為肝細胞癌 (hepatocellular carcinoma, HCC)。以下的血液檢查報告,何者不代表該病患已有肝硬化(liver cirrhosis)的現象?
詳解
破題關鍵
肝硬化的血液檢查指標主要反映肝臟合成功能下降和門脈高壓的間接證據。
選項拆解
胃腸肝膽內科47 / 76
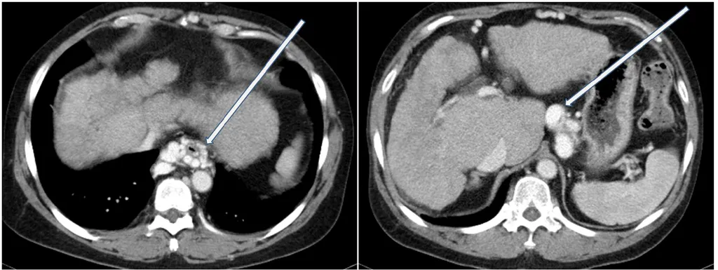
【109-2 醫學(三) 第75題】
一名酗酒男性因腹脹和食慾不佳來求診。超音波檢查發現病人有肝硬化,電腦斷層檢查呈現如圖,箭號所指之異常最可能是下列何種疾病所造成?

詳解
破題關鍵
這名有肝硬化的酗酒男性,其電腦斷層影像中箭號所指的異常是明顯擴張且彎曲的血管,這些是典型的食道或胃靜脈曲張,直接指向肝門靜脈高壓。
選項拆解
胸腔內科48 / 76
【109-2 醫學(三) 第1題】73 L(66% predicted),FVC 2.21 L(65% predicted),TLC 3.54 L(66% predicted),DLco 8.6 mL/mmHg·min (40% predicted),此病人最可能罹患下列何種疾病?
詳解
破題關鍵
肺功能檢查顯示限制性通氣障礙,且DLco顯著下降,但FEV1/FVC正常,需考慮影響呼吸肌肉的疾病。
選項拆解
-A:錯在FEV1/FVC。慢性阻塞性肺病 (COPD) 的特徵是阻塞性通氣障礙,即FEV1/FVC比值會下降,與本病人FEV1/FVC正常不符。
胸腔內科49 / 76
【109-2 醫學(三) 第46題】60歲之男性病人,因有左側胸痛,咳嗽及呼吸困難而至急診處就醫,聽診時發現左後側肺野有明顯的支氣管音(bronchial sound),其最可能之診斷為何?
詳解
破題關鍵
支氣管音 (bronchial sound) 在肺野出現,通常代表肺實質化 (consolidation)。
選項拆解
-A:左側肋膜腔積水會導致呼吸音減弱或消失,而不是出現支氣管音。
-B:左側氣胸會導致呼吸音減弱或消失,而不是出現支氣管音。
胸腔內科50 / 76
【109-2 醫學(三) 第49題】關於肺膿瘍,下列敘述何者最不適當?
詳解
破題關鍵
肺膿瘍最常見的病因和病灶位置。
選項拆解
-A:正確。最常見的原發性肺膿瘍產生原因是吸入性 (aspiration),尤其是在意識不清或吞嚥功能受損的病人。