一般內科與重症醫學1 / 76
【111-2 醫學(三) 第4題】下列身體診察徵象與疾病的組合,何者的相關性最低?
詳解
破題關鍵
區分 Kussmaul's sign 和 Kussmaul breathing,並了解各身體徵象的病理生理學意義。
選項拆解
-A:正確。Chvostek's sign 是低血鈣的典型徵象。
-B:正確。Duroziez's sign 是主動脈瓣閉鎖不全的特徵。
一般內科與重症醫學2 / 76
【111-2 醫學(三) 第5題】下列關於轉移痛(referred pain)之敘述,何者錯誤?
詳解
破題關鍵
轉移痛是疼痛感知的「投射」,而非實際的病灶位置。
選項拆解
-A:正確。心臟疾病(如心絞痛)的疼痛常會轉移到上腹部、左臂、下巴等區域。
-B:正確。胸椎神經病變(如椎間盤突出、神經根壓迫)可能導致疼痛沿著神經支配區域(皮節)向下腹部轉移。
一般內科與重症醫學3 / 76
【111-2 醫學(三) 第48題】關於呼吸器相關肺炎(ventilator associated pneumonia),下列敘述何者最適當?
詳解
破題關鍵
呼吸器相關肺炎 (VAP) 的預防重點在於減少侵入性處置和避免吸入。
選項拆解
-A:錯在「可完全避免」。氣管內管的氣囊雖然能減少吸入,但無法完全避免,因為氣囊上方仍可能積聚分泌物,並在某些情況下滲漏到下呼吸道。
一般內科與重症醫學4 / 76
【111-2 醫學(三) 第50題】75 歲獨居老太太,有糖尿病及高血壓病史,被鄰居發現倒在地下室,神智不清,下列何者最不可能造成她神智不清?
詳解
破題關鍵
獨居老人神智不清,要優先考慮常見且危急的狀況,特別是與其慢性病相關的併發症。
選項拆解
-A:低血糖。正確。糖尿病患者若未按時進食或胰島素/降血糖藥物過量,極易發生低血糖,導致神智不清。
-B:中風。正確。高血壓是中風的重要危險因子,中風會導致腦部功能受損,引起神智不清。
一般內科與重症醫學5 / 76
【111-2 醫學(三) 第66題】有關健康與疾病照護模式(models of health, illness & health care)的敘述,下列何者正確?
詳解
破題關鍵
整體照護模式 (holistic model) 強調疾病不僅是身體的失衡,也可能是個人成長和轉變的機會。
選項拆解
一般內科與重症醫學6 / 76
【111-2 醫學(三) 第68題】有關家庭醫師照顧青少年病人時的角色敘述,下列何者錯誤?
詳解
破題關鍵
青少年發展階段的議題多元且複雜,學校成績雖然重要,但並非「最」重要的單一議題,其他如身心發展、人際關係、危險行為預防等同樣關鍵。
選項拆解
-A:正確。了解青少年的生長與體重變化,是發現生長遲緩、肥胖或飲食失調等問題的基礎。
一般內科與重症醫學7 / 76
【111-2 醫學(三) 第70題】55 歲肥胖糖尿病男性,最近在家人及心臟科醫師的強烈要求下,來到戒菸特別門診。從病史得知一年前曾發生疑似心肌梗塞,當時醫師即建議戒菸,因為許多因素而未戒菸。依據戒菸行為諮商的 5A 策略,此病人目前最可能符合下列那一個策略階段?
詳解
破題關鍵
5A 策略的 Assess 階段,重點在於評估病人戒菸的「意願」。
選項拆解
-A:Ask 階段是確認抽菸習慣。題目中病人已經來到戒菸門診,表示抽菸習慣已確認,且已知道戒菸的好處,所以不是最符合的階段。
一般內科與重症醫學8 / 76
【111-2 醫學(三) 第77題】依據 2015 美國心臟學會心肺復甦術及緊急心臟照護指引,有關心跳停止(cardiac arrest)病人恢復自發性循環 (return of spontaneous circulation, ROSC)後,下列敘述何者正確?
詳解
破題關鍵
心跳停止後恢復自發性循環 (ROSC) 的病人,目標性溫度管理 (Targeted Temperature Management, TTM) 是重要的治療策略。
選項拆解
一般內科與重症醫學9 / 76
【111-2 醫學(三) 第79題】林先生最近因為頻繁的胃痛而到某教學醫院求診,經過陳醫師診療後建議接受胃鏡檢查。林先生於接受胃鏡檢查時,發現為他進行胃鏡檢查的陳醫師,一面進行胃鏡檢查,一面對他身後好幾位穿著白袍的醫學生討論其病情,同時解說胃內的結構,林先生覺得心裡不太舒服,也覺得這次胃鏡做得特別久。請問陳醫師這樣的教學方式是否適當?
詳解
破題關鍵
病人隱私權和知情同意是醫療行為的核心原則,教學行為也必須遵守。
選項拆解
-A:錯在「應該預期會遇到許多實習醫師或見習醫師」。即使在教學醫院,病人也有權利選擇是否參與教學,醫師仍需徵求同意。預期不等於同意。
一般內科與重症醫學10 / 76
【111-2 醫學(三) 第80題】進行愛滋病患的人體試驗時,為確保病患隱私,簽署同意書時應注意的狀況,下列敘述何者正確?
詳解
破題關鍵
人體試驗必須嚴格遵守知情同意原則,簽署同意書是確保病人權益的必要步驟。
選項拆解
-A:錯在「病患可不用簽署同意書」。知情同意不僅是口頭告知,更需要書面簽署,以確保過程的嚴謹性和可追溯性。
內分泌及新陳代謝科11 / 76
【111-2 醫學(三) 第37題】癌細胞透過製造並釋放類似內分泌的體液因子(humoral factors)而產生了所謂的 paraneoplastic syndrome。下列 paraneoplastic syndrome 與其肇因的癌細胞分泌的類似內分泌的體液因子之組合,何者錯誤:
詳解
破題關鍵
副腫瘤症候群 (paraneoplastic syndrome) 是癌細胞分泌的物質引起,要搞清楚分泌物和症狀的對應關係。
選項拆解
內分泌及新陳代謝科12 / 76
【111-2 醫學(三) 第52題】下列有關葛瑞夫氏病(Graves' disease)的敘述,何者最不適當?
詳解
破題關鍵
葛瑞夫氏病 (Graves' disease) 的眼病變與甲狀腺功能亢進的嚴重程度不一定同步。
選項拆解
-A:正確。葛瑞夫氏病確實常見於女性,發病年齡多在 20-50 歲之間。
-B:正確。老年人甲狀腺機能亢進的症狀可能較不明顯,容易被忽略,稱為淡漠性甲狀腺機能亢進。
內分泌及新陳代謝科13 / 76
【111-2 醫學(三) 第53題】甲狀腺癌是目前臺灣及全世界成長最快速的癌症之一,下列有關甲狀腺癌的敘述,何者錯誤?
詳解
破題關鍵
細針穿刺細胞學 (FNAC) 是診斷甲狀腺結節最重要且最常用的術前檢查。
選項拆解
-A:正確。甲狀腺乳突癌是最常見的甲狀腺癌,約占分化良好甲狀腺癌的 80-85%。
內分泌及新陳代謝科14 / 76
【111-2 醫學(三) 第54題】下列有關糖尿病與心臟血管疾病的敘述,何者最不恰當?
詳解
破題關鍵
Metformin 在心臟疾病患者中的使用限制已經放寬,甚至有益處。
選項拆解
-A:正確。糖尿病會增加心肌梗塞及心臟衰竭的發生率。
內分泌及新陳代謝科15 / 76
【111-2 醫學(三) 第55題】下列敘述何者錯誤?
詳解
破題關鍵
DPP-4 抑制劑的作用機制是葡萄糖依賴性的,因此單獨使用時低血糖風險較低。
選項拆解
-A:正確。Pioglitazone (TZD 類藥物) 確實會增加鬱血性心臟衰竭的風險。
內分泌及新陳代謝科16 / 76
【111-2 醫學(三) 第56題】下列敘述何者錯誤?
詳解
破題關鍵
PCSK9 失去功能會增加肝臟表面 LDL 受體數量,進而降低血中 LDL-C。
選項拆解
-A:正確。LDL receptor 突變失去功能會導致血中 LDL-C 升高,加速動脈粥狀硬化。
內分泌及新陳代謝科17 / 76
【111-2 醫學(三) 第57題】下列敘述何者錯誤?
詳解
破題關鍵
代謝症候群的診斷標準之一就是低 HDL-C。
選項拆解
-A:正確。肥胖,特別是腹部肥胖,是代謝症候群的重要組成部分。
-B:正確。脂質營養不良會導致脂肪組織功能異常,常伴隨胰島素阻抗和血脂異常,進而引發代謝症候群。
內分泌及新陳代謝科18 / 76
【111-2 醫學(三) 第58題】一位 25 歲的男性,因高血壓至門診就醫,檢查發現左側腎上腺有一個 4 公分的腫瘤,經尿液與影像檢查後, 高度懷疑為嗜鉻細胞瘤(pheochromocytoma),即將接受手術治療。目前除了未服藥的狀況下血壓高達 150/90 mmHg 以外,心跳、呼吸、血氧皆正常。下列處置,何者最正確?
詳解
破題關鍵
嗜鉻細胞瘤手術前,最重要的是先穩定血壓,避免手術中兒茶酚胺大量釋放造成危險。
選項拆解
-A:錯在「立刻安排緊急手術」。嗜鉻細胞瘤手術前需要充分的藥物準備來穩定血壓,避免手術風險,不能立刻緊急手術。
內分泌及新陳代謝科19 / 76
【111-2 醫學(三) 第78題】關於糖尿病酮酸中毒(Diabetic ketoacidosis, DKA)之敘述,下列何者最不適當?
詳解
破題關鍵
糖尿病酮酸中毒 (DKA) 病人雖然體內總鉀量不足,但血清鉀離子濃度在診斷時可能正常或偏高,而非低下。
選項拆解
心臟血管內科20 / 76
【111-2 醫學(三) 第2題】關於懷孕期間慢性高血壓的治療建議,下列何者最不適當?
詳解
破題關鍵
懷孕期間用藥需特別小心,有些常用降血壓藥物對胎兒有害。
選項拆解
-A:錯在「首選藥物為血管收縮素轉化酶抑制劑或血管收縮素受體阻斷劑」。這兩類藥物在懷孕期間是禁忌,會對胎兒造成嚴重傷害。
心臟血管內科21 / 76
【111-2 醫學(三) 第3題】在評估胸痛病患時,下列那一個病史與急性主動脈症候群(acute aortic syndrome)之相關性最低?
詳解
破題關鍵
了解急性主動脈症候群的危險因子,通常與血管壁結構異常或血流動力學壓力增加有關。
選項拆解
-A:錯在「最低」。Ehlers-Danlos syndrome 是一種結締組織疾病,會導致血管壁脆弱,是急性主動脈症候群的已知高風險因子。
心臟血管內科22 / 76
【111-2 醫學(三) 第6題】下列有關冠狀動脈心臟病的非侵入式檢查敘述,何者錯誤?
詳解
破題關鍵
了解各種非侵入性心臟檢查的優缺點、風險和臨床應用。
選項拆解
-A:正確。靜態心電圖的 ST 段或 T 波異常是非特異性的,可能由多種原因引起,不能單獨確診冠狀動脈心臟病。
心臟血管內科23 / 76
【111-2 醫學(三) 第7題】下列何種狀況運動心電圖出現 ST-segment depression 時,冠狀動脈心臟病可能性最高?
詳解
破題關鍵
了解哪些因素會影響運動心電圖判讀的準確性或敏感度。
選項拆解
-A:錯。靜態心電圖有左束支傳導阻滯 (LBBB) 會嚴重影響運動心電圖的判讀,使其診斷冠心病的準確性降低。
-B:錯。靜態心電圖有左心室肥厚 (LVH) 也可能導致 ST 段和 T 波異常,影響運動心電圖的判讀。
心臟血管內科24 / 76
【111-2 醫學(三) 第8題】下列關於壓力催迫性(stress)核醫心肌灌流造影(stressSPECT)與冠狀動脈心臟病的敘述,何者錯誤?
詳解
破題關鍵
核醫心肌灌流造影結果正常,不代表可以完全停藥,高風險族群仍需持續管理。
選項拆解
-A:正確。高鈣化指數表示冠狀動脈硬化程度高,有較高風險,需進一步評估心肌缺血狀況以決定治療策略。
心臟血管內科25 / 76
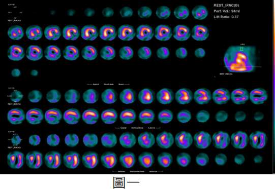
【111-2 醫學(三) 第9題】59 歲男性,過去有冠狀動脈疾病開過繞道手術,最近 6 個月運動時胸悶加劇、喘,就診時發現心電圖有新的變化,因此心臟科醫師安排了靜態核醫心肌灌流單光子造影(MPI-SPECT)(圖一)及 F-18 FDG 正子掃描(PET)(圖二),下列敘述何者錯誤?

心臟血管內科26 / 76
【111-2 醫學(三) 第10題】一位年輕男性因心悸胸悶至急診,心電圖顯示 regular narrow QRS tachycardia。下列何者是最不可能的診斷?
詳解
破題關鍵
窄 QRS 波心搏過速的診斷範圍不包含心室性心搏過速。
選項拆解
-A:orthodromic atrioventricular reentrant tachycardia (AVRT) 是上心室性心搏過速的一種,屬於窄 QRS 波心搏過速。
心臟血管內科27 / 76
【111-2 醫學(三) 第11題】一位 65 歲女性因胸悶至門診,十二導程心電圖發現有心房顫動。為了評估之後缺血性中風風險,可以使用CHA2DS2-VASc score。 下列何者不是CHA2DS2-VASc score 之計分項目?
詳解
破題關鍵
CHA2DS2-VASc 評分是評估心房顫動患者中風風險的工具,其項目與動脈血栓風險相關。
選項拆解
-A:心衰竭 (Congestive heart failure) 是 CHA2DS2-VASc score 的一個計分項目 (C)。
心臟血管內科28 / 76
【111-2 醫學(三) 第12題】關於身體診察的異常發現,下列敘述何者錯誤?
詳解
破題關鍵
奇脈 (pulsus paradoxus) 的定義與常見病因。
選項拆解
-A:正確。姿態性低血壓 (orthostatic hypotension) 的定義為從平躺到起立的 3 分鐘內收縮壓下降超過 20 mmHg,或舒張壓下降超過 10 mmHg。
心臟血管內科29 / 76
【111-2 醫學(三) 第13題】適當的使用下列藥物被認為對治療 heart failure with reduced ejection fraction 可以改善症狀和預後,但何者除外?
詳解
破題關鍵
治療射出分率降低型心衰竭 (HFrEF) 的藥物,應選擇能改善預後的藥物。
選項拆解
-A:angiotensin converting enzyme inhibitor (ACEI) 是 HFrEF 的基石藥物之一,能改善預後。
心臟血管內科30 / 76
【111-2 醫學(三) 第14題】有關心臟衰竭(heart failure, HF)相關猝死(sudden death)預防描述,何者錯誤?
詳解
破題關鍵
植入式心臟內去顫器 (ICD) 的主要適應症是預防心室性心律不整導致的猝死,且通常針對射出分率較低、風險較高的患者。
選項拆解
-A:正確。心衰竭患者的猝死約一半是由於心室性心律不整引起,在 HFrEF 患者中尤為常見。
心臟血管內科31 / 76
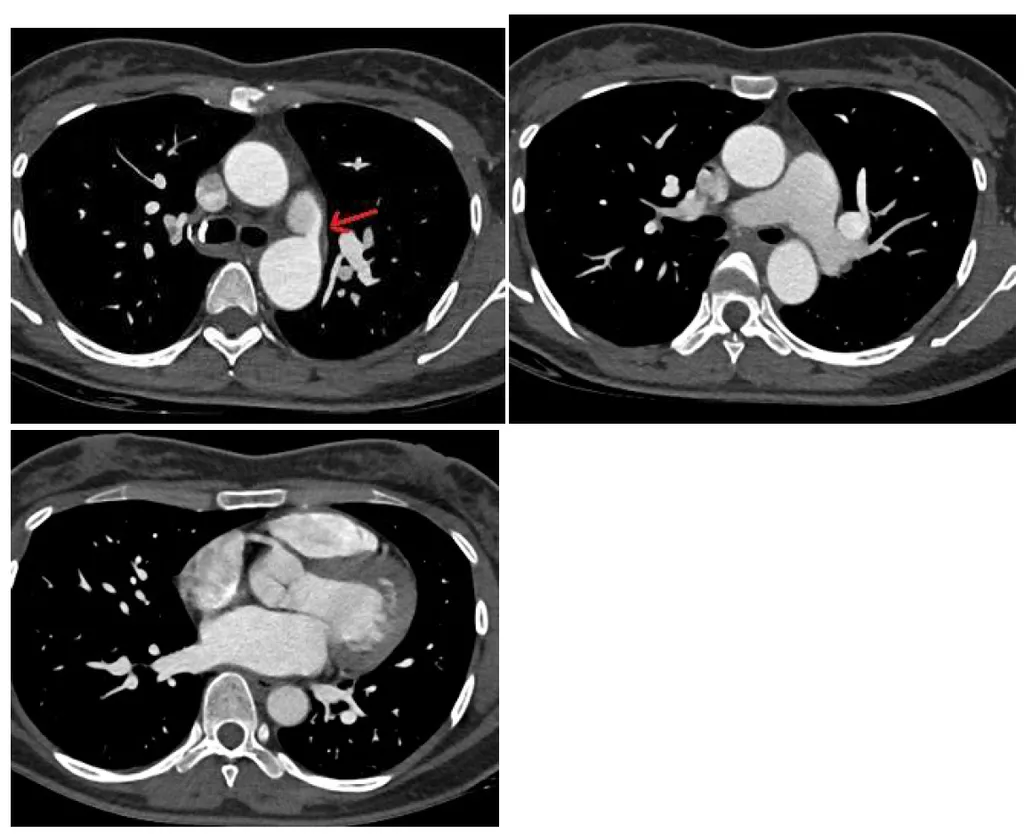
【111-2 醫學(三) 第75題】39 歲女性,健康檢查時發現有心雜音,進一步做了電腦斷層檢查影像如附圖,最可能的診斷為下列何者?

詳解
破題關鍵
這題的解題核心在於辨識電腦斷層影像中,主動脈與肺動脈之間異常的血管連接,圖片中紅箭頭清楚指出這個關鍵病灶。
選項拆解
感染科32 / 76
【111-2 醫學(三) 第41題】下列何種做法,對於降低癌症治療造成的中性球低下併發燒(febrile neutropenia)的致死率最沒有幫助?
詳解
破題關鍵
了解發燒性嗜中性白血球低下症 (FN) 的主要病原體和治療原則。
選項拆解
-A:正確。立即給予經驗性廣效抗細菌藥物是 FN 治療的基石,能顯著降低致死率。
感染科33 / 76
【111-2 醫學(三) 第49題】罹患開放性肺結核的 35 歲女性病人,接受含有 isoniazid、rifampin、ethambutol 及 pyrazinamide 的抗結核藥物治療;治療前的檢查證實並未罹患 B 或 C 型肝炎且 AST 為 20 U/L(正常值:13~39 U/L),ALT 為 14 U/L(正常值:7~52 U/L)。在治療 1 個月時,病人精神明顯改善且食慾良好,但卻發現肝功能指數異常(AST:48 U/L 及 ALT:71 U/L)。下列何者為最適當之處置?
詳解
破題關鍵
抗結核藥物引起的肝功能異常,在輕微且無症狀時,通常可以繼續觀察。
選項拆解
-A:正確。病人肝功能指數雖然升高,但仍在可接受範圍內,且無症狀,因此可以繼續治療並密切追蹤。
感染科34 / 76
【111-2 醫學(三) 第59題】有關肺結核病患之感染管制,下列敘述何者最不適當?
詳解
破題關鍵
卡介苗主要預防兒童嚴重結核病,對成人肺結核的預防效果有限。
選項拆解
-A:正確。開放性肺結核病人具有傳染性,應儘早移入單人負壓隔離病室,以防止空氣傳播。
-B:正確。負壓隔離病室的門窗應關閉,並維持每小時 6 至 12 次的氣體交換,以確保空氣流通並減少病原體濃度。
感染科35 / 76
【111-2 醫學(三) 第60題】Extended-spectrum β-lactamase(ESBL)可以水解下列那些β-lactam 類抗生素,而使其失效? cefotaxime(第三代頭孢子素) aztreonam(monobactam) ertapenem(carbapenem)
詳解
破題關鍵
ESBLs 會水解大部分的第三代頭孢子素和 Aztreonam,但對 Carbapenems 通常無效。
選項拆解
感染科36 / 76
【111-2 醫學(三) 第61題】下列有關 Q 熱疾病(Q fever)的敘述,何者正確?
詳解
破題關鍵
Q 熱最主要的傳播途徑是吸入帶有病原體的空氣微粒,通常來自受感染的動物。
選項拆解
-A:錯在「小於 15 歲的年輕人相對於年長者有症狀的感染是較常見的」。事實上,兒童感染 Q 熱通常是無症狀或輕微的,而成年人,特別是年長者或有潛在疾病者,更容易出現有症狀的感染。
感染科37 / 76
【111-2 醫學(三) 第62題】針對細菌性腦膜炎病人的診斷,下列有關腦脊髓液(CSF)檢查之敘述何者錯誤?
詳解
破題關鍵
細菌性腦膜炎的腦脊髓液革蘭氏染色,在未經抗生素治療前,陽性率通常遠高於 20%,是重要的初步診斷工具。
選項拆解
-A:正確。細菌性腦膜炎的 CSF 中,嗜中性球 (PMN) 會顯著增加,通常會超過 100 cells/μL,甚至數千。
感染科38 / 76
【111-2 醫學(三) 第63題】48 歲男性二週來頭隱隱的痛與漸進步履不穩,入院身體檢查沒有發燒,但是發現口腔念珠菌感染(oral candidiasis)和困難維持軀幹平衡,胸部 X 光並無異常。電腦斷層發現右側一個 3.5 cm 小腦腫瘤併有病灶周圍水腫(perifocal edema)。血液人類免疫不全病毒(HIV)西方墨點(Western blot)呈現陽性反應,血液 CD4 數值是 48 cells/mm3,血漿 HIV 病毒量是 432,000 copies/ml。血清弓蟲(Toxoplasma gondii)抗體呈陽性反應,隱球菌抗原(cryptococcal antigen)呈現陰性反應。針對這些病徵的病因與處置,下列敘述何者錯誤?
詳解
破題關鍵
在 HIV 感染且 CD4 極低的病人中,合併腦部病灶和弓蟲抗體陽性,最常見的腦部感染是弓蟲腦炎,而非原發性中樞神經淋巴瘤。
選項拆解
感染科39 / 76
【111-2 醫學(三) 第64題】20 歲男性病人,自從兒童時被診斷有 hypogammaglobulinemia,需要定期輸注免疫球蛋白(immunoglobulin)。 近期,與同學前往山區露營,返家 5 天後出現日趨嚴重的腹瀉、腹脹、噁心、嘔吐和體重降低,服用止瀉藥和 ciprofloxacin,均不見改善。整個病程並沒有發燒。糞便檢查並未出現潛血(occult blood)反應,細菌學培養也沒有長出腸道致病性細菌。糞便顯微鏡檢 400 倍下發現有移動的寄生原蟲。下列敘述何者正確?
詳解
破題關鍵
有免疫缺陷(hypogammaglobulinemia)的病人,在山區露營後出現慢性腹瀉、腹脹、噁心、體重減輕,且糞便鏡檢發現移動的原蟲,最符合梨形鞭毛蟲感染的特徵。
選項拆解
感染科40 / 76
【111-2 醫學(三) 第65題】80 歲男性因發燒一週,合併下背痛來到診間就診,外院診斷為腰椎 L1~L2 的骨髓炎,則下列敘述何者錯誤?
詳解
破題關鍵
成人脊椎骨髓炎最常見的感染部位是腰椎,其次是胸椎。
選項拆解
-A:正確。成人脊椎骨髓炎症狀確實不典型,發燒和局部疼痛是最常見的表現。
-B:錯在「腰椎不是成人的急性脊椎骨髓炎最常見的感染部位」。事實上,腰椎是成人脊椎骨髓炎最常見的感染部位。
感染科41 / 76
【111-2 醫學(三) 第69題】有關旅遊前疫苗的接種原則,下列何者最正確?
詳解
破題關鍵
活性減毒疫苗之間有接種間隔的限制,但可以同時打。
選項拆解
-A:錯在「不同時接種時,至少要間隔 28 天」。活性減毒疫苗與非活性疫苗之間沒有間隔限制。
-B:正確。兩種活性減毒疫苗可以同時接種。如果不同時接種,則需要間隔至少 28 天,這是國考常考的重點。
胃腸肝膽內科42 / 76
【111-2 醫學(三) 第15題】68 歲李女士,30 年前因輸血感染 C 型肝炎,目前 AST:100 U/L,ALT:126 U/L,HCV genotype 1,腹部超音波下無肝硬化,下列敘述何者錯誤?
詳解
破題關鍵
C 型肝炎的治療已進入全口服抗病毒藥物 (DAA) 時代。
選項拆解
-A:正確。慢性 C 型肝炎患者,即使沒有肝硬化,仍是肝癌的高風險族群,應定期接受肝癌篩檢,包括腹部超音波和胎兒蛋白 (AFP)。
胃腸肝膽內科43 / 76
【111-2 醫學(三) 第16題】肝臟切片對評估肝損傷的嚴重程度和級別藉以推測其預後相當重要。在現今肝炎組織學的評分系統中最常用為肝炎組織學活動指數(histologic activity index)。下列何者組織切片發現不屬於其評分系統?
詳解
破題關鍵
肝炎組織學活動指數 (HAI) 主要評估肝細胞壞死、發炎和纖維化程度。
選項拆解
-A:門脈周邊壞死 (periportal necrosis) 是 HAI 評分系統的重要組成部分,評估肝細胞壞死的程度。
胃腸肝膽內科44 / 76
【111-2 醫學(三) 第17題】20 歲的林小姐最近三個月早晨上班前,發生間斷性下腹部絞痛,其排便次數變多,且糞便形態從正常轉成常便秘,但有時又會腹瀉。她感覺排便完腹部絞痛就會減輕。關於她的症狀,下列敘述何者錯誤?
詳解
破題關鍵
腸躁症 (IBS) 是一種功能性腸道疾病,沒有特定的生物標記來診斷。
選項拆解
-A:正確。腸躁症在各個年齡層都可能發作,但通常在年輕成人時期開始,女性的發病率略高於男性。
胃腸肝膽內科45 / 76
【111-2 醫學(三) 第18題】關於大腸直腸癌的敘述何者正確?
詳解
破題關鍵
大腸癌的預後判斷,五年存活率是重要的指標,因為大部分復發都發生在前幾年。
選項拆解
-A:錯在 [預後]。實際上的情況是,左側結腸癌的預後通常比右側結腸癌好。
-B:錯在 [轉移器官]。大腸癌最容易轉移的內臟器官是肝臟,而不是肺部。
胃腸肝膽內科46 / 76
【111-2 醫學(三) 第19題】下列有關胃腺癌的敘述何者錯誤?
詳解
破題關鍵
Krukenberg's tumor 是指胃癌轉移到卵巢,而不是子宮。
選項拆解
-A:正確。胃腺癌病理上確實可分為腸道型和瀰漫型。
胃腸肝膽內科47 / 76
【111-2 醫學(三) 第20題】若因腫瘤而切除十二指腸段,下列何者之吸收過程較不會受到影響?
詳解
破題關鍵
十二指腸是許多重要營養素吸收的主要部位,但維他命 B12 的吸收位置比較特別。
選項拆解
-A:錯在 [吸收部位]。鈣主要在十二指腸和空腸近端吸收,切除十二指腸會顯著影響鈣的吸收。
-B:正確。維他命 B12 主要在迴腸末端吸收,因此切除十二指腸對其吸收影響較小。
胃腸肝膽內科48 / 76
【111-2 醫學(三) 第21題】下列何者不是胰腺癌(pancreatic adenocarcinoma)的常見症狀?
詳解
破題關鍵
胰腺癌通常會影響胰臟功能,但很少直接導致低血糖,反而可能引起高血糖。
選項拆解
-A:正確。體重減輕是胰腺癌非常常見的症狀,因為食慾不振、消化吸收不良及腫瘤本身消耗。
-B:正確。黃疸是胰頭癌的典型症狀,因為腫瘤壓迫總膽管導致膽汁淤積。
胃腸肝膽內科49 / 76
【111-2 醫學(三) 第22題】下列何種情況不是肝細胞癌(hepatocellular carcinoma)的高危險群?
詳解
破題關鍵
肝細胞癌的高危險群主要與慢性肝炎病毒感染和肝硬化有關。
選項拆解
-A:正確。B 型肝炎帶原者是肝細胞癌最主要的高危險群之一。
-B:正確。慢性 C 型肝炎是肝細胞癌重要的危險因子,常經由肝硬化進展。
胃腸肝膽內科50 / 76
【111-2 醫學(三) 第23題】下列何種情況不適合做肝臟移植?
詳解
破題關鍵
肝臟移植需要患者有良好的術後配合度和心理狀態,活動性精神病會嚴重影響這些。
選項拆解
-A:錯在 [不適合]。失代償性肝硬化是肝臟移植最主要的適應症之一,因為肝臟功能已無法維持身體正常運作。