【110-1 醫學(三) 第3題】下列何者不是體溫偏低(hypothermia)的危險因子(risk factor)?
詳解
破題關鍵
了解體溫調節失衡的常見原因。
選項拆解
登入查看完整詳解與互動作答
共 74 題(登入後可互動作答與查看詳解)
【110-1 醫學(三) 第3題】下列何者不是體溫偏低(hypothermia)的危險因子(risk factor)?
詳解
破題關鍵
了解體溫調節失衡的常見原因。
選項拆解
登入查看完整詳解與互動作答
【110-1 醫學(三) 第11題】一位50歲男性病人,因急性下壁心肌梗塞,接受緊急心導管治療,在right coronary artery置放支架後血壓 130/90 mmHg,心跳90/min,轉至加護病房治療,隔天要拔除femoral sheath時,病人主訴做導管處傷口異常疼痛,之後臉色蒼白,血壓下降至80/50 mmHg,心跳也下降至40/min,則此時立即的處理何者最恰當?
詳解
破題關鍵
判斷心導管術後病人出現低血壓、心跳過慢時,是迷走神經反應還是出血性休克。
選項拆解
登入查看完整詳解與互動作答
【110-1 醫學(三) 第45題】45歲男性重症肌無力病人,因為上呼吸道感染後肌無力症狀惡化,且意識紊亂,由家人送至急診處。動脈血氧氣體分析(room air)結果如下:PaCO2 70mmHg,PaO2 55 mmHg,HCO3- 26 mEq/L。下列敘述何者錯誤?
詳解
破題關鍵
根據動脈血氧氣體分析 (ABG) 結果,判斷呼吸衰竭的類型和嚴重程度。
選項拆解
登入查看完整詳解與互動作答
【110-1 醫學(三) 第66題】28歲未婚男性主訴自從換工作後,睡不好、經常會半夜全身冒汗且白天嗜睡、腰痠背痛、口乾、胃口不佳, 體重雖未見明顯改變,但容易心悸又偶而暈眩,早上都不想去上班,如此已經持續超過3個月。以上述的病史資料,照顧這位病人最適當的診療模式為下列何者?
詳解
破題關鍵
辨識病人症狀涵蓋的層面,選擇最能全面照護的模式。
選項拆解
登入查看完整詳解與互動作答
【110-1 醫學(三) 第71題】有關溝通的空間因子(spatial factors),下列敘述何者正確?
詳解
破題關鍵
了解不同人際距離的定義及其在醫療情境中的應用。
選項拆解
登入查看完整詳解與互動作答
【110-1 醫學(三) 第73題】有關末期病人呼吸困難(dyspnea)的評估及處置,下列敘述何者最不適當?
詳解
破題關鍵
末期病人呼吸困難的處置,應先找出原因並處理,嗎啡雖常用,但並非唯一或通用的首選。
選項拆解
登入查看完整詳解與互動作答
【110-1 醫學(三) 第79題】甲藥廠想要找乙醫師進行骨關節炎之非類固醇止痛藥(NSAIDs)的新藥臨床試驗計畫。下列敘述何者錯誤?
詳解
破題關鍵
人體試驗前必須先進行充分的實驗室和動物實驗,以確保安全性。
選項拆解
登入查看完整詳解與互動作答
【110-1 醫學(三) 第4題】有關高脂血症治療用藥之敘述,下列何者錯誤?
詳解
破題關鍵
熟悉各類降血脂藥物的藥理作用和副作用。
選項拆解
登入查看完整詳解與互動作答
【110-1 醫學(三) 第50題】74歲婦女因下肢無力、容易瘀青、下肢水腫約有3個月而就診。病人有退化性關節炎及骨鬆症,服用 alendronate 70 mg/week,calcium citrate及Vit.D,並未服用中藥。身體檢查:病人有庫欣氏症體態,四肢肌肉萎縮無力。抽血檢查:ACTH<10 pg/mL,Cortisol<1 μg/dL,電解值正常。下一步的最佳檢查是:
詳解
破題關鍵
病人有庫欣氏症體態 (Cushingoid features),但 ACTH 和 Cortisol 都極低,這表示內源性皮質醇分泌被抑制,但仍需確認是否有皮質醇過量。
選項拆解
登入查看完整詳解與互動作答
【110-1 醫學(三) 第51題】25歲女性,有心悸、手抖、怕熱、體重減輕等症狀,正服用抗甲狀腺藥物治療。最近出現發燒、喉嚨痛。下列何處置應最優先考量?
詳解
破題關鍵
服用抗甲狀腺藥物 (antithyroid drugs) 的病人出現發燒、喉嚨痛,要高度懷疑藥物引起的嚴重副作用。
選項拆解
登入查看完整詳解與互動作答
【110-1 醫學(三) 第52題】50歲女性,每日尿量5公升,限水測試後,尿滲透壓並無變化,每小時尿量並未減少。5小時後,靜脈注射 desmopressin acetate 2 μg,尿滲透壓上升,每小時尿量減少。下列何者是此病人最適當的診斷?
詳解
破題關鍵
限水後尿滲透壓無變化,但注射 desmopressin (人工抗利尿激素) 後尿滲透壓上升且尿量減少,這表示腎臟對 ADH 有反應,但身體缺乏 ADH。
選項拆解
登入查看完整詳解與互動作答
【110-1 醫學(三) 第53題】實體腫瘤(solid tumor)引起之高血鈣症,最常因腫瘤分泌下列何者而引起?
詳解
破題關鍵
實體腫瘤引起的高血鈣症 (hypercalcemia of malignancy) 最常見的機轉是腫瘤分泌一種模擬副甲狀腺素作用的物質。
選項拆解
登入查看完整詳解與互動作答
【110-1 醫學(三) 第54題】糖皮素(glucocorticoids)最不可能出現下列何種副作用?
詳解
破題關鍵
糖皮質素 (glucocorticoids) 的作用是多方面的,但它通常會導致鈣質流失,而非高血鈣。
選項拆解
登入查看完整詳解與互動作答
【110-1 醫學(三) 第55題】有關葡萄糖恆定(glucose homeostasis)的敘述,下列何者最為恰當?
詳解
破題關鍵
胰島素 (insulin) 和升糖素 (glucagon) 是維持血糖穩定的主要荷爾蒙,它們由胰臟的不同細胞分泌,且作用相反。
選項拆解
登入查看完整詳解與互動作答
【110-1 醫學(三) 第56題】有關肥胖的敘述,下列何者錯誤?
詳解
破題關鍵
腹部肥胖的腰圍標準因種族而異,華人男性的標準是 90 公分。
選項拆解
登入查看完整詳解與互動作答
【110-1 醫學(三) 第67題】有關男女性青少年在發育特徵的差異,下列敘述何者錯誤?
詳解
破題關鍵
比較男女青春期生理變化的主要差異,特別是肌肉、脂肪、骨骼和血液成分。
選項拆解
登入查看完整詳解與互動作答
【110-1 醫學(三) 第76題】下列關於糖尿病酮酸中毒(diabetes ketoacidosis, DKA)之敘述,何者最不適當?
詳解
破題關鍵
糖尿病酮酸中毒 (DKA) 會導致代謝性酸血症,身體會透過過度換氣來代償,而非呼吸性酸血症。
選項拆解
登入查看完整詳解與互動作答
【110-1 醫學(三) 第6題】臨床上診斷心包填塞(pericardial tamponade)需要高度的警覺性,臨床上心包填塞的Beck's triad是指下列那一種情況?
詳解
破題關鍵
熟記心包填塞的經典三聯徵 (Beck's triad)。
選項拆解
登入查看完整詳解與互動作答
【110-1 醫學(三) 第7題】許多疾病可引發次發性肺高壓(secondary pulmonary hypertension),下列何者除外?
詳解
破題關鍵
了解哪些疾病會導致肺高壓,哪些不會。
選項拆解
登入查看完整詳解與互動作答
【110-1 醫學(三) 第8題】下列有關先天性主動脈狹縮(congenital coarctation of the aorta)之敘述,何者錯誤?
詳解
破題關鍵
熟悉先天性主動脈狹縮的臨床特徵、合併症和影像學表現。
選項拆解
登入查看完整詳解與互動作答
【110-1 醫學(三) 第9題】有關慢性心衰竭(左心室射出分量<35%)的口服藥物治療原則,何者錯誤?
詳解
破題關鍵
慢性心衰竭(左心室射出分分率降低型)的藥物治療有明確的優先順序,目的是改善預後,而非僅僅症狀控制。
選項拆解
登入查看完整詳解與互動作答
【110-1 醫學(三) 第10題】下列何者比較不會造成atrioventricular block?
詳解
破題關鍵
了解心臟傳導系統的生理與病理,哪些因素會抑制傳導,哪些會加速心臟活動。
選項拆解
登入查看完整詳解與互動作答
【110-1 醫學(三) 第12題】下列有關經皮冠狀動脈介入術(PCI)的敘述何者錯誤?
詳解
破題關鍵
了解經皮冠狀動脈介入術 (PCI) 在不同冠心病族群中的角色和預後影響。
選項拆解
登入查看完整詳解與互動作答
詳解
破題關鍵
這位48歲男性病患有典型心肌梗塞症狀,而心電圖上最關鍵的視覺線索就是V2、V3、V4導程出現顯著的ST段上升,明確診斷為急性ST段上升心肌梗塞(STEMI),需要立即啟動緊急再灌流治療。
選項拆解
登入查看完整詳解與互動作答
【110-1 醫學(三) 第77題】下列何種臨床情況,最不適合使用阿托平(atropine)作為心跳低於每分鐘50下的治療?
詳解
破題關鍵
心臟移植後的病人,其心臟神經已被切斷,對阿托平的反應不佳。
選項拆解
登入查看完整詳解與互動作答
【110-1 醫學(三) 第5題】接受腎移植後可能出現的伺機性感染(opportunistic infection)中,下列何者感染較常出現於移植後一個月內?
詳解
破題關鍵
腎移植後伺機性感染的發生時間點。
選項拆解
登入查看完整詳解與互動作答
【110-1 醫學(三) 第57題】一位26歲男同性戀,出現4週左右發燒、腹瀉、食慾不振、肛門潰瘍和體重減輕,身體診察發現口腔有念珠菌感染,血液培養長出nontyphoidal Salmonella,此時首要考慮下列何種疾病?
詳解
破題關鍵
年輕男同性戀、多種機會性感染 (口腔念珠菌、非傷寒沙門氏菌血症)、體重減輕、長期發燒腹瀉,這些線索強烈指向免疫功能嚴重受損。
選項拆解
登入查看完整詳解與互動作答

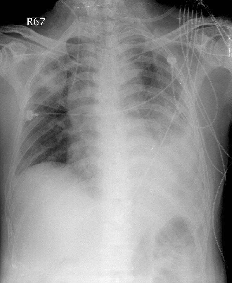
詳解
破題關鍵
這題的解題核心在於將病患的旅遊史、特殊臨床症狀(如腹瀉、意識不清、低血鈉)以及痰液檢查結果(大量白血球但無革蘭氏染色陽性菌)與胸部X光影像的廣泛性肺炎表現結合起來,指向特定的非典型肺炎病原體。圖片中雙側廣泛的肺部浸潤,特別是左側大片實變,顯示病患有嚴重的肺炎。
選項拆解
登入查看完整詳解與互動作答
【110-1 醫學(三) 第59題】下列何種抗生素的使用一般不需依腎功能的高低而調整使用劑量?
詳解
破題關鍵
找出主要經肝臟代謝,因此腎功能不佳時不需調整劑量的抗生素。
選項拆解
登入查看完整詳解與互動作答
【110-1 醫學(三) 第60題】下列何者是普通感冒最常見之致病病毒?
詳解
破題關鍵
記住普通感冒最常見的致病原。
選項拆解
登入查看完整詳解與互動作答
【110-1 醫學(三) 第61題】下列關於Listeria monocytogenes的敘述,何者正確?
詳解
破題關鍵
記住李斯特菌的革蘭氏染色特性、常見感染和治療。
選項拆解
登入查看完整詳解與互動作答
【110-1 醫學(三) 第62題】下列關於上呼吸道感染的敘述,何者最不恰當?
詳解
破題關鍵
區分病毒性上呼吸道感染和細菌性感染的處理原則,特別是膿性分泌物的意義。
選項拆解
登入查看完整詳解與互動作答
【110-1 醫學(三) 第63題】下列關於二級梅毒(secondary syphilis)的臨床表現與治療,何者錯誤?
詳解
破題關鍵
了解Jarisch-Herxheimer反應的發生率、梅毒的常見表現和診斷。
選項拆解
登入查看完整詳解與互動作答
【110-1 醫學(三) 第1題】一位48歲男性因急性腹痛住院。他曾接受過腹部手術,在住院前2天開始感到肚臍周圍有陣發性絞痛,厲害時伴有嘔吐,其腹痛與姿勢無關,仍可平躺,這2天沒有大便。身體診察發現腹部鼓脹,腸子蠕動音較高亢,且頻率增快,但無明顯腹部肌肉僵硬(rigidity)現象。下列各項敘述,何者錯誤?
詳解
破題關鍵
根據病史和症狀判斷為腸阻塞,並區分其與胰臟炎的鑑別診斷。
選項拆解
登入查看完整詳解與互動作答
【110-1 醫學(三) 第14題】李先生,29歲,是位業務員。他過去一年來斷斷續續有下腹痛的現象,伴隨有解便次數增加及軟便情形,且常於上完大號後腹痛減輕。有關病情,下列何者最不正確?
詳解
破題關鍵
區分功能性腸道疾病 (如腸躁症) 和器質性疾病的症狀特徵,特別是警示症狀。
選項拆解
登入查看完整詳解與互動作答
【110-1 醫學(三) 第15題】一位48歲男性,因5個月來出現餐後腹痛、腹脹及嘔吐等症狀而就醫。他在5年前曾因胃穿孔而開刀(subtotal gastric resection+Billroth II anastomosis)。病人之body mass index是19 kg/m2、血清 albumin:3.1(normal:4.3 ~5.4)g/dL、Hb:9.6(normal:13~17)g/dL、MCV(mean corpuscular volume):106(normal:80~ 100)fL,下列何者是最可能的診斷?
詳解
破題關鍵
結合病人胃切除術 (subtotal gastric resection + Billroth II anastomosis) 的病史,以及餐後腹痛、腹脹、嘔吐、體重減輕和巨紅血球性貧血 (macrocytic anemia) 等症狀,判斷術後併發症。
選項拆解
登入查看完整詳解與互動作答
【110-1 醫學(三) 第16題】58歲酒精性肝硬化患者,有食道靜脈瘤出血病史,因吐血而就醫,血壓90/50 mmHg、心跳:148/min,意識不清並躁動,下列的初步處置,何者為宜?①建立中心靜脈導管或兩條周邊靜脈導管以利大量輸液輸注 ② 給與propranolol(β blocker)以降低肝門靜脈壓,減緩出血程度 ③安排大腸鏡檢查 ④給與氣管插管以避免吸入性肺炎
詳解
破題關鍵
肝硬化食道靜脈瘤出血的緊急處理原則,包括穩定生命徵象和預防併發症。
選項拆解
登入查看完整詳解與互動作答
【110-1 醫學(三) 第17題】一位40歲女性病人,主訴胸口燒灼感,正中胸骨下微痛,平躺睡覺時不適加劇,甚至有咳嗽之情形。下列何者為最可能之診斷?
詳解
破題關鍵
識別典型胃食道逆流的症狀,特別是與體位和夜間相關的加重。
選項拆解
登入查看完整詳解與互動作答
【110-1 醫學(三) 第18題】一位53歲女性病人主訴食慾不振與茶色尿有10天。身體診察顯示無發燒、無腹部壓痛,但有黃疸。血液檢查顯示:bilirubin(total/direct):8.2/5.8 mg/dL、ALT:148 U/L、WBC:5600 /mm3。下列進一步之檢查何者對診斷沒有幫助?
詳解
破題關鍵
根據黃疸類型 (膽紅素數值) 和其他肝功能指標,判斷哪些檢查有助於鑑別診斷。
選項拆解
登入查看完整詳解與互動作答
【110-1 醫學(三) 第19題】一位32歲女性主訴全身皮膚發癢與膚色變黑。血液檢查顯示:bilirubin(total/direct):3.8/2.9 mg/dL,ALT: 235 U/L(正常值<40 U/L),alkaline phosphatase:312 U/L(正常值<100 U/L)。腹部超音波並無特殊之發現。下列何者對此病人之診斷沒有幫助?
詳解
破題關鍵
病人有膽汁滯留的症狀和肝功能異常,但超音波正常,要考慮自體免疫肝病。A型肝炎通常是急性自限性疾病,IgG抗體代表過去感染,與目前的慢性膽汁滯留無關。
選項拆解
登入查看完整詳解與互動作答
【110-1 醫學(三) 第20題】幽門螺旋桿菌(Helicobacter pylori)感染不會造成下列何者疾病?
詳解
破題關鍵
幽門螺旋桿菌 (H. pylori) 是胃部疾病的元兇,但它跟胃食道逆流 (GERD) 的關係很特別,甚至可能讓GERD變嚴重。
選項拆解
登入查看完整詳解與互動作答
【110-1 醫學(三) 第21題】關於Charcot's triad,下列何者不是條件之一?
詳解
破題關鍵
Charcot's triad 是急性膽管炎的經典三症狀,而觸及脹大膽囊 (Courvoisier's sign) 則與慢性、無痛性黃疸有關。
選項拆解
登入查看完整詳解與互動作答
【110-1 醫學(三) 第22題】對於早期(TNM stage 1或BCLC stage 0 or A)的肝細胞癌(hepatocellular carcinoma),且沒有肝失代償 (hepatic decompensation)的情況下,以下那一種治療是較好的選擇?
詳解
破題關鍵
對於早期、肝功能良好的肝癌,目標是「治癒」,所以要選擇能根除腫瘤的治療方式。
選項拆解
登入查看完整詳解與互動作答
【110-1 醫學(三) 第23題】關於大腸憩室症(diverticular disease),下列敘述何者正確?
詳解
破題關鍵
大腸憩室症 (diverticular disease) 大多數情況下是無症狀的,即使發炎 (diverticulitis) 也不一定需要手術,且抗發炎藥物在某些情況下有助於減少症狀復發。
選項拆解
登入查看完整詳解與互動作答
【110-1 醫學(三) 第40題】胃腺癌(gastric adenocarcinoma)依組織學分為diffuse type及intestinal type。以下有關兩者的敘述,何者錯誤?
詳解
破題關鍵
胃腺癌的兩種主要組織學類型,它們的特徵、好發位置和致病機轉都不同。
選項拆解
登入查看完整詳解與互動作答
【110-1 醫學(三) 第41題】65歲男性,因大便習慣改變合併有間歇性血便,到院就診。經系列檢查,發現患有一位於乙狀結腸的腫瘤, 手術證實為adenocarcinoma,臨床及病理分期為T2N2M0。下列敘述何者正確?
詳解
破題關鍵
結腸直腸癌的TNM分期是判斷預後和治療的重要依據,每個字母和數字都有其特定意義。
選項拆解
登入查看完整詳解與互動作答
【110-1 醫學(三) 第74題】關於食道裂孔疝氣(hiatal hernia),下列何者錯誤?
詳解
破題關鍵
食道裂孔疝氣最常見的類型是滑型疝氣。
選項拆解
登入查看完整詳解與互動作答

詳解
破題關鍵
這題的解題核心在於仔細判讀兩張肝臟超音波影像的內容,並結合醫學知識判斷哪個敘述是錯誤的。圖片中清晰可見肝內腫塊、膽結石以及肝門靜脈結構。
選項拆解
登入查看完整詳解與互動作答
【110-1 醫學(三) 第44題】關於慢性阻塞性肺病(COPD),下列敘述何者最正確?
詳解
破題關鍵
慢性阻塞性肺病 (COPD) 是一種緩慢進展的疾病,早期症狀不明顯,身體檢查也可能正常。
選項拆解
登入查看完整詳解與互動作答
【110-1 醫學(三) 第46題】下列何種因素易導致吸入性肺炎(aspiration pneumonia)?①全身性硬化症(systemic sclerosis) ②巴金森氏症(parkinsonism) ③肺部纖維化(pulmonary fibrosis) ④無脾症(asplenia)
詳解
破題關鍵
吸入性肺炎 (aspiration pneumonia) 的主要危險因子是吞嚥功能障礙或意識水平下降,導致口腔或胃內容物誤吸入肺部。
選項拆解
登入查看完整詳解與互動作答