【110-2 醫學(三) 第1題】82歲的李奶奶最近有些小感冒,醫師開了一些藥物給她吃。從3天前起,她開始活動力下降,胃口不好,昨天開始發燒,今天早上家人發現無法叫她起床,人不太清醒,於是趕快送到急診。對於本病人之初始評估 (initial evaluation),下列那一個項目最不需要?
詳解
破題關鍵
對於意識不清的老年病人,初始評估應著重於快速排除常見且危急的原因,腰椎穿刺通常不是最優先的項目。
選項拆解
登入查看完整詳解與互動作答
共 78 題(登入後可互動作答與查看詳解)
【110-2 醫學(三) 第1題】82歲的李奶奶最近有些小感冒,醫師開了一些藥物給她吃。從3天前起,她開始活動力下降,胃口不好,昨天開始發燒,今天早上家人發現無法叫她起床,人不太清醒,於是趕快送到急診。對於本病人之初始評估 (initial evaluation),下列那一個項目最不需要?
詳解
破題關鍵
對於意識不清的老年病人,初始評估應著重於快速排除常見且危急的原因,腰椎穿刺通常不是最優先的項目。
選項拆解
登入查看完整詳解與互動作答
【110-2 醫學(三) 第68題】家庭醫師在診察一位主訴為咳嗽、打噴嚏及流鼻涕之75歲男性病人時,同時詢問其是否接種過肺炎雙球菌疫苗、最近體重變化及睡眠狀況等,這種看診方式是實踐了下列那一項家庭醫師的特色?
詳解
破題關鍵
家庭醫師除了處理病人當前主訴外,還關心其他不相關的健康問題,這代表了家庭醫學的廣泛性。
選項拆解
登入查看完整詳解與互動作答
【110-2 醫學(三) 第70題】疾病篩檢工具的陽性預測值(positive predictive value),受下列何者的影響最大?
詳解
破題關鍵
陽性預測值 (PPV) 的定義是篩檢結果為陽性的人當中,真正有病的比率。這個值會受到疾病在人群中普遍程度的影響。
選項拆解
登入查看完整詳解與互動作答
【110-2 醫學(三) 第71題】下列有關醫病溝通的敘述,何者正確?
詳解
破題關鍵
醫病溝通的技巧和常識。特別是眼神接觸的適當比例。
選項拆解
登入查看完整詳解與互動作答
【110-2 醫學(三) 第72題】有關執行疾病共享決策(Shared Decision Making, SDM)會遭遇的挑戰,下列敘述何者錯誤?
詳解
破題關鍵
共享決策 (Shared Decision Making, SDM) 的目的是讓病人參與醫療決策。要找出阻礙 SDM 的因素,錯誤的敘述就是不阻礙 SDM 的因素。
選項拆解
登入查看完整詳解與互動作答
【110-2 醫學(三) 第79題】45歲男性因心血管阻塞欲置放心導管支架,住院後醫師說明了手術風險,並請病人簽具同意書。第2天到了心導管室時,醫師詢問病人是否要放置自費塗藥的心導管支架,效果比較好,病人猶豫後同意放置,出院後立即反悔。下列敘述何者最適當?
詳解
破題關鍵
醫學倫理中,病人同意必須是「知情 (informed)」且「自願 (voluntary)」的。
選項拆解
登入查看完整詳解與互動作答
【110-2 醫學(三) 第80題】28歲女性病患因為臉頰紅斑、掉頭髮、兩下肢水腫,由其未婚夫陪同求診,經檢查確認為全身性紅斑狼瘡合併腎炎。病患知道檢查結果後,要求醫師不要將紅斑狼瘡相關病情告知其未婚夫。下列敘述何者最為正確?
詳解
破題關鍵
病人有權決定誰可以知道其病情,醫師應尊重病人的隱私權和自主權。
選項拆解
登入查看完整詳解與互動作答
【110-2 醫學(三) 第4題】一位70歲男性糖尿病患,長期服用glimepiride、metformin、acarbose、pioglitazone控制血糖。接受血管攝影4天後,因意識不清被送至急診。抽動脈血液檢驗結果顯示代謝性酸中毒(pH 6.8、Pco2 39.3 mmHg、HCO3- 6.2 mEq/L)、BUN 86 mg/dL、creatinine 6.8 mg/dL、Na+ 135 mEq/L、K+ 6.0 mEq/L、Cl- 90 mEq/L、glucose 131 mg/dL、lactic acid 26.6 mmol/L(參考值 0.5~2.2 mmol/L)、ketone body(negative)。其所服用的藥物中,何者與此急性病變最具相關性?
詳解
破題關鍵
當糖尿病病人腎功能變差時,metformin容易累積在體內,導致嚴重的乳酸中毒。
選項拆解
登入查看完整詳解與互動作答
【110-2 醫學(三) 第48題】28歲女性因在前額中部頭痛、噁心4星期後來診。病人月經一向正常,直到3年前,月經量開始減少且變得不規則。此次經檢測尿液發現懷孕反應陽性且尿糖陽性。身體檢查發現牙齒間隙大,舌頭大且下顎突出,後頸部有黑色棘皮症但無水牛肩或腹部條紋,下一步應做那一項檢查最為恰當?
詳解
破題關鍵
病人有多種肢端肥大症的典型症狀 (牙齒間隙大、舌頭大、下顎突出、黑色棘皮症),加上月經不規則和尿糖陽性,這些都指向生長激素過多。
選項拆解
登入查看完整詳解與互動作答
【110-2 醫學(三) 第49題】一位25歲女性,過去沒有任何病史,因為神智不清被送到急診處。身體檢查沒有異常,但是血糖35 mg/dL, 一小時後經靜脈注射葡萄糖輸液,神智恢復。隔日早晨又出現低血糖45 mg/dL,同時被檢測有高血鈣13 mg/dL。她最不可能有的病灶為:
詳解
破題關鍵
病人有低血糖和高血鈣,提示多發性內分泌腫瘤症候群 (MEN) 的可能性。胰島素瘤引起低血糖,副甲狀腺瘤引起高血鈣,泌乳激素瘤引起泌乳激素升高,這些都符合MEN1或MEN2A的表現,但甲狀腺髓質癌是MEN2A的特徵,通常不會單獨引起低血糖或高血鈣,且此病人無其他相關症狀。
選項拆解
登入查看完整詳解與互動作答
【110-2 醫學(三) 第50題】35歲女性病患,體檢時發現血壓偏高。她主訴近2個月來覺得頭痛、全身無力和倦怠。理學檢查除了血壓高 (160/100 mmHg)以外,並無特殊發現。血液檢驗發現血中肌酸酐(creatinine)1.1 mg/dL,鈉離子137 mmol/L,鉀離子 2.6 mmol/L,動脈血液氣體檢查發現代謝性鹼中毒(metabolic alkalosis),血清中腎素 (renin)為0.04 ng/mL/hr(參考值,1~5 ng/mL/hr);血中皮質醛酮濃度(plasma aldosterone concentration) 為39.2 ng/dL(參考值,5~30 ng/dL); 血中腎上腺刺激素(adrenocorticotropin)為12 pg/mL(參考值,10~ 65 pg/mL)。此病患最有可能的診斷為何?
詳解
破題關鍵
病人有高血壓、低血鉀、代謝性鹼中毒,且腎素活性低而醛固酮濃度高,這是原發性皮質醛酮症的典型生化特徵。
選項拆解
登入查看完整詳解與互動作答
【110-2 醫學(三) 第51題】關於低血糖(hypoglycemia)之敘述,下列何者錯誤?
詳解
破題關鍵
藥物引起的低血糖 (尤其是糖尿病藥物) 比胰島素瘤更常見。
選項拆解
登入查看完整詳解與互動作答
【110-2 醫學(三) 第52題】關於血脂代謝之敘述,下列何者錯誤?
詳解
破題關鍵
Statin藥物抑制的是HMG-CoA 還原酶 (HMG-CoA reductase),而不是HMG-CoA oxidase。
選項拆解
登入查看完整詳解與互動作答
【110-2 醫學(三) 第53題】有關先天性腎上腺增生(congenital adrenal hyperplasia)之敘述,下列何者最不可能?
詳解
破題關鍵
先天性腎上腺增生 (CAH) 最常見的類型是21-羥化酶缺乏,導致皮質醇 (cortisol) 合成受阻,反而會造成皮質醇分泌減少。
選項拆解
登入查看完整詳解與互動作答
【110-2 醫學(三) 第54題】有關甲狀腺之敘述,下列何者錯誤?
詳解
破題關鍵
甲狀腺素T3和T4,誰才是真正有活性的?誰的效力比較強?
選項拆解
登入查看完整詳解與互動作答
【110-2 醫學(三) 第78題】下列關於高滲透壓高血糖狀態(Hyperosmolar hyperglycemic state, HHS)之敘述,何者錯誤?
詳解
破題關鍵
掌握高滲透壓高血糖狀態 (HHS) 的診斷標準,特別是血漿滲透壓的數值。
選項拆解
登入查看完整詳解與互動作答
【110-2 醫學(三) 第2題】下列何種狀況不是使用angiotensin-converting enzyme(ACE)inhibitors的禁忌?
詳解
破題關鍵
低血鉀不是血管張力素轉化酶抑制劑 (ACE inhibitors) 的禁忌症,反而 ACEI 可能導致高血鉀。
選項拆解
登入查看完整詳解與互動作答
【110-2 醫學(三) 第6題】胡先生76歲患有糖尿病、高血壓、慢性腎功能不全及心房顫動於心臟科門診追蹤治療,主訴近兩天頭暈、倦怠及運動後呼吸急促之症狀,在急診測得之心跳呈現不規則,每分鐘約為32下,以下何者門診用藥最不可能和其症狀相關?
詳解
破題關鍵
心跳過慢的症狀,要找出最不可能造成心跳變慢的藥物。
選項拆解
登入查看完整詳解與互動作答
【110-2 醫學(三) 第7題】80歲肥胖女性住院病人,因為漸進出現的雙下肢水腫,夜間喘咳和新出現的輕微發燒,在深夜由家人送來急診。醫師在檢查中包含了B型利鈉胜肽(B-type natriuretic peptide, BNP),檢查數值為100 pg/mL,有關該項檢查應用在心衰竭診斷上下列何者正確?
詳解
破題關鍵
肥胖會影響BNP的數值,讓心衰竭病人的BNP看起來比實際情況低。
選項拆解
登入查看完整詳解與互動作答
【110-2 醫學(三) 第8題】65歲有冠心症,經乙型阻斷劑(beta blockers)治療且症狀穩定的男性病人,因為咳嗽與黃色痰,接受胸部X光檢查,結果發現兩側肺野正常但呈現紆曲的(tortuous)主動脈,同時有縱膈腔擴大。接下來的電腦斷層檢查顯示在胸部降主動脈有4公分大小的主動脈瘤,沒有剝離狀況。這位病人的主動脈瘤,下列處置何者較佳?
詳解
破題關鍵
無症狀的胸部降主動脈瘤,大小未達手術標準時,應定期追蹤其大小變化。
選項拆解
登入查看完整詳解與互動作答
【110-2 醫學(三) 第9題】下列何者成年人的先天性心臟病於出生時即為cyanotic type?
詳解
破題關鍵
找出出生時就會發紺(藍寶寶)的先天性心臟病。
選項拆解
登入查看完整詳解與互動作答

詳解
破題關鍵
本題的解題核心在於判斷心電圖(ECG)所示的心律不整類型,並根據病患的生命徵象判斷其血行動力學是否穩定,進而選擇最恰當的處置方式。圖片顯示為窄QRS波群心搏過速(Narrow Complex Tachycardia),且病患意識清楚、血壓穩定,屬於血行動力學穩定的情況。
登入查看完整詳解與互動作答
【110-2 醫學(三) 第11題】當高血壓病人同時合併下列狀況時,較不考慮有次發性高血壓?
詳解
破題關鍵
找出一個與「次發性高血壓」原因無關的選項。
選項拆解
登入查看完整詳解與互動作答
【110-2 醫學(三) 第12題】一位55歲男性病人在3個月之內發生數次暈厥(syncope),每次都是坐姿時發生,每次都持續約兩分鐘後自然恢復意識,沒有任何後遺症;初步的身體診察並未發現心血管方面的異常,病人臥姿的血壓是130/80 mmHg,沒有姿態性低血壓,以下何項診斷工具最不可能發現導致暈厥的原因?
詳解
破題關鍵
暈厥通常與心臟或血管問題有關,肺功能檢查與此關聯性最低。
選項拆解
登入查看完整詳解與互動作答
【110-2 醫學(三) 第13題】下列何項因素不會影響正確的血壓測量?
詳解
破題關鍵
血壓測量的準確性與測量方法和工具相關,與受檢者本身的性別無關。
選項拆解
登入查看完整詳解與互動作答
【110-2 醫學(三) 第69題】70 歲男性,高血脂症服藥穩定控制,體適能普通,休息時心跳66下/分鐘,血壓 122/80 mmHg,醫師建議運動以預防心血管疾病。有關其運動處方,下列何者最不適當?
詳解
破題關鍵
題目是關於70歲老人的運動處方,要特別注意運動強度的建議,尤其是目標心跳率的計算。
選項拆解
登入查看完整詳解與互動作答
【110-2 醫學(三) 第76題】下列何者最不適合同步心臟整流(synchronized cardioversion)?
詳解
破題關鍵
同步心臟整流是針對「有脈搏」且「不穩定」的心律不整,沒有脈搏的心跳停止則需要非同步電擊。
選項拆解
登入查看完整詳解與互動作答
【110-2 醫學(三) 第17題】為了避免藥物不良反應,結核病人在開始行抗結核藥物治療後,宜定期做下列之血液檢查,除了:
詳解
破題關鍵
抗結核藥物最常見且嚴重的副作用是肝毒性,其次是骨髓抑制。
選項拆解
登入查看完整詳解與互動作答
【110-2 醫學(三) 第27題】下列4類無症狀性大腸桿菌菌尿症(>105colony forming units/mL)病人,何者最需要接受抗生素治療?
詳解
破題關鍵
無症狀菌尿症通常不需要治療,但懷孕是少數必須治療的例外情況,因為可能導致嚴重併發症。
選項拆解
登入查看完整詳解與互動作答
【110-2 醫學(三) 第45題】24歲男性,因為高燒、喉嚨不適與肌肉酸痛,被診斷出罹患H3N2流感。有關此病症之敘述,下列何者錯誤?
詳解
破題關鍵
H3N2是A型流感病毒的一種,A型流感才容易造成全球大流行。
選項拆解
登入查看完整詳解與互動作答
【110-2 醫學(三) 第55題】使用下列何種抗生素治療時應避免與牛奶製品、含鎂或鋁制酸劑合用,以免影響吸收?
詳解
破題關鍵
有些抗生素會跟帶正電的金屬離子結合,影響吸收。
選項拆解
登入查看完整詳解與互動作答
【110-2 醫學(三) 第56題】下列關於Nesseria meningitidis的敘述,何者正確?
詳解
破題關鍵
腦膜炎雙球菌的菌種特性是什麼?
選項拆解
登入查看完整詳解與互動作答
【110-2 醫學(三) 第57題】關於myositis或pyomyositis的敘述,下列何者錯誤?
詳解
破題關鍵
肌肉發炎 (myositis) 的原因有哪些?
選項拆解
登入查看完整詳解與互動作答
【110-2 醫學(三) 第58題】下列關於分枝桿菌(Mycobacterium species)的敘述,何者錯誤?
詳解
破題關鍵
分枝桿菌的傳播途徑有什麼不同?
選項拆解
登入查看完整詳解與互動作答
【110-2 醫學(三) 第59題】外科重症加護病房病人有甲氧西林抗藥金黃色葡萄球菌(methicillin-resistant Staphylococcus aureus, MRSA) 引起的群聚感染。管制此次MRSA傳播最有效的手段為何?
詳解
破題關鍵
MRSA感染的控制,感染管制和藥物治療哪個最重要?用什麼藥?
選項拆解
登入查看完整詳解與互動作答
【110-2 醫學(三) 第60題】40歲男性人類免疫不全病毒(HIV)感染者,體重65公斤,服用抗反轉錄病毒治療2年,服用組合為 lopinavir/ritonavir(蛋白酶抑制劑)+tenofovir/emtricitabine(核苷反轉錄酶抑制劑),CD4+ T細胞數600 cells/μL,HIV病毒量<20 copies/mL,潛伏結核(latent tuberculosis)檢查為陽性,若要接受潛伏結核治療, 且不改變抗反轉錄病毒治療,則下列何種處置最為恰當?
詳解
破題關鍵
HIV感染者治療潛伏結核時,要特別注意抗結核藥物與抗反轉錄病毒藥物之間的交互作用。
選項拆解
登入查看完整詳解與互動作答

詳解
破題關鍵
這題的解題核心在於結合病人的臨床表現(急性肺炎、快速惡化、慢性肝炎病史)與痰液革蘭氏染色結果。圖片中可見革蘭氏陽性、呈雙球菌或短鏈排列的細菌,這是診斷的關鍵視覺線索。
選項拆解
登入查看完整詳解與互動作答
【110-2 醫學(三) 第67題】15歲女生由媽媽陪同至青少年門診就醫,媽媽詢問施打疫苗的必要性。依據美國預防醫學工作小組(US Preventive Services Task Force)的建議,下列何種疫苗是她目前最不需要接種的?
詳解
破題關鍵
題目問的是「15歲女生」最不需要接種的疫苗。要根據年齡來判斷疫苗的建議接種時程。
選項拆解
登入查看完整詳解與互動作答
【110-2 醫學(三) 第5題】下列有關腹瀉的敘述,何項最適當?
詳解
破題關鍵
長期飲酒會傷害腸道,影響吸收和分泌功能,導致腹瀉。
選項拆解
登入查看完整詳解與互動作答
【110-2 醫學(三) 第14題】肝硬化病人身體診察常發現的身體表徵,下列何者錯誤?
詳解
破題關鍵
肝硬化的身體表徵主要來自於肝臟功能受損(如荷爾蒙代謝異常)和門脈高壓。
選項拆解
登入查看完整詳解與互動作答
【110-2 醫學(三) 第15題】有關dumping syndrome,下列何者為最常見的原因?
詳解
破題關鍵
傾倒症候群的發生,最直接且常見的誘因是飲食內容。
選項拆解
登入查看完整詳解與互動作答
【110-2 醫學(三) 第16題】62歲肝硬化合併黃疸患者,抽血結果如下:albumin 2.55 g/dL(正常3.5~5.0);ammonia 98 μg/dL(正常< 70);bilirubin(total):21.05 mg/dL(正常0.2~1.0);PT 16.3 seconds(正常<11.2);ALT(GPT)100 U/L(正常<40),下列何者不宜作為本病人肝衰竭之指標?
詳解
破題關鍵
肝衰竭的指標主要評估肝臟的合成與代謝功能,以及其對全身的影響。
選項拆解
登入查看完整詳解與互動作答
【110-2 醫學(三) 第18題】下列有關原發性膽管性肝硬化(primary biliary cirrhosis)的敘述,何者錯誤?
詳解
破題關鍵
原發性膽管性肝硬化是一種慢性進行性疾病,目前尚無治癒方法。
選項拆解
登入查看完整詳解與互動作答
【110-2 醫學(三) 第19題】30歲女性疲倦、關節痛及肝指數異常至胃腸科門診就診。病人無搔癢也無藥物濫用過去史。抽血檢查發現 AST/ALT:380/410 U/L(reference value:≦40/40)、HBsAg陰性反應、anti-HCV Ab陰性反應、anti-nuclear Ab(ANA)陽性反應。則下列敘述,何者正確?
詳解
破題關鍵
病人的症狀和檢驗結果(疲倦、關節痛、肝指數異常、ANA陽性、病毒性肝炎陰性)高度提示自體免疫性肝炎。
選項拆解
登入查看完整詳解與互動作答
【110-2 醫學(三) 第20題】有關慢性B型肝炎的敘述,下列何者錯誤?
詳解
破題關鍵
慢性B型肝炎的治療決策是綜合性的,不能僅憑病毒量高低就決定所有高病毒量患者都需要治療。
選項拆解
登入查看完整詳解與互動作答
【110-2 醫學(三) 第21題】以下關於潰瘍性大腸炎(ulcerative colitis)與克隆氏症(Crohn's disease)的描述,何者正確?
詳解
破題關鍵
潰瘍性大腸炎和克隆氏症在病變範圍、深度和併發症上存在顯著差異。
選項拆解
登入查看完整詳解與互動作答
【110-2 醫學(三) 第22題】關於急性胰臟炎的嚴重度評估,可包括三大類,如risk factors for severity、markers of severity at admission or within 24 hours及markers of severity during hospitalization,下列敘述何者正確?
詳解
破題關鍵
急性胰臟炎的嚴重度評估包含多個面向,其中早期評估常使用全身性發炎反應症候群 (SIRS) 的標準。
選項拆解
登入查看完整詳解與互動作答
【110-2 醫學(三) 第23題】慢性胃炎(chronic gastritis)為上消化道內視鏡檢查下常見的現象,下列敘述何者正確?
詳解
破題關鍵
慢性胃炎的分類主要依據病因和受影響的胃部區域。
選項拆解
登入查看完整詳解與互動作答
【110-2 醫學(三) 第74題】有關大腸扭轉的敘述,下列何者最合理?
詳解
破題關鍵
大腸扭轉 (Volvulus) 的好發部位、年齡和診斷方式。
選項拆解
登入查看完整詳解與互動作答

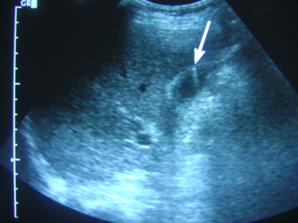
詳解
破題關鍵
這張右上腹部超音波顯示膽囊內有一個高回音病灶,並伴隨典型的「彗星尾假影」(comet-tail artifact)。這個影像特徵是診斷膽囊腺肌症(gallbladder adenomyomatosis)的重要線索,特別是當膽固醇結晶沉積在Rokitansky-Aschoff憩室時。
登入查看完整詳解與互動作答