一般內科與重症醫學1 / 77
【114-1 醫學(三) 第49題】48 歲女性抽菸 30 年有嚴重的肺氣腫,這次住院因為感冒後喘的情形加重,動脈血中 CO2 上升,主治醫師決定給與非侵襲性正壓呼吸器(non-invasive ventilator),下列敘述何者錯誤?
詳解
破題關鍵
非侵襲性呼吸器 (NIV) 的使用有其禁忌症,特別是意識狀態不佳的病人。
選項拆解
-A:正確。NIV 在 COPD 急性惡化合併高碳酸血症性呼吸衰竭的病人中,已被證實能有效降低插管率、加護病房住院天數和死亡率。
一般內科與重症醫學2 / 77
【114-1 醫學(三) 第51題】下列何者所導致的休克狀態,周邊血管阻抗(systemic vascular resistance)的改變與其他三者明顯不同?
詳解
破題關鍵
休克類型不同,周邊血管阻抗的變化也不同。
選項拆解
-A:進行電腦斷層掃描時注射顯影劑發生過敏,會導致過敏性休克 (Anaphylactic shock),這是一種分佈性休克,特點是全身血管擴張,周邊血管阻抗降低。
一般內科與重症醫學3 / 77
【114-1 醫學(三) 第59題】80 歲男性,胃潰瘍出血,呼吸衰竭使用呼吸器,預防呼吸器相關肺炎及併發症的措施,下列何者最不適當?
詳解
破題關鍵
呼吸器相關肺炎 (VAP) 的預防措施是加護病房照護的重點,同時也要考慮患者的個別風險。
選項拆解
-A:正確。床頭抬高 30 至 45 度可以減少胃食道逆流和吸入性肺炎的風險,是預防 VAP 的重要措施。
一般內科與重症醫學4 / 77
【114-1 醫學(三) 第68題】下列有關吸菸、酗酒、缺乏運動、不好的飲食習慣等不健康行為與家庭關係的敘述,何者錯誤?
詳解
破題關鍵
家庭環境對健康行為的影響是全面性的,但「兩倍」這個數字通常不是絕對的科學定論,且可能因研究設計而異。
選項拆解
-A:正確。吸菸、酗酒、缺乏運動、不好的飲食習慣等行為,常受到家庭成員的影響,例如父母的示範、家庭餐桌的習慣等。
一般內科與重症醫學5 / 77
【114-1 醫學(三) 第71題】動機性晤談(motivational interviewing, MI)是一種有效的工具,晤談進行過程的主要指導原則,下列敘述何者最不適當?
詳解
破題關鍵
動機性晤談的核心是「引導」病人自我發現動機,而不是由醫護人員「規劃」或「打造」動機。
選項拆解
一般內科與重症醫學6 / 77
【114-1 醫學(三) 第77題】36 歲男性體重 60 公斤,因工作壓力大常常頭痛,此次頭痛很厲害,在治療無效下共吃了 20 顆 acetaminophen(500 mg),在他吃藥 4 小時後被送到醫院就診,下列何者最不適當?
詳解
破題關鍵
洗胃 (gastric lavage) 和活性碳 (activated charcoal) 的使用有時間限制,超過黃金時間效果不佳。
選項拆解
一般內科與重症醫學7 / 77
【114-1 醫學(三) 第79題】醫師考量病人的生活品質,主要依據何種倫理原則?①自主原則 ②行善原則 ③不傷害原則 ④保密原則
詳解
破題關鍵
考量病人生活品質,醫師需要尊重病人意願,並以病人的最佳利益為出發點,同時避免造成不必要的傷害。
選項拆解
-A:正確。自主原則、行善原則和不傷害原則都與考量病人的生活品質息息相關。
-B:錯在「僅②③」不夠完整。自主原則在病人決定何謂「好的生活品質」時扮演關鍵角色。
一般內科與重症醫學8 / 77
【114-1 醫學(三) 第80題】一位 78 歲男性患者平常相當健康,還可以從事許多農事。最近一個多月,因為多次血便求診。大腸鏡檢查發現乙狀結腸有一腫瘤,切片檢查證實為腺癌。醫師於門診告知需住院接受手術治療。病患家屬要求醫師隱瞞病情,同時在討論後,代替病患拒絕了手術的建議,決定尋求其他偏方治療。下列敘述何者錯誤?
詳解
破題關鍵
成年且意識清楚的病人,擁有自主權,家屬無權代替病人做醫療決策或要求隱瞞病情。
選項拆解
-A:正確。病患為成年人且意識清楚,有權利知道自己的病情。家屬無權要求醫師隱瞞。
-B:正確。病患為成年人且意識清楚,有權利自行決定是否接受手術。家屬無權代替病患拒絕。
內分泌及新陳代謝科9 / 77
【114-1 醫學(三) 第26題】有關 Fabry disease 的敘述,何者錯誤?
詳解
破題關鍵
Fabry disease 是 X 染色體性聯遺傳疾病,所以遺傳模式會比較特別。
選項拆解
-A:正確。Fabry disease 是一種罕見的 X 染色體性聯遺傳疾病,由 α-galactosidase A 酵素基因缺陷引起,導致醣脂質堆積。
內分泌及新陳代謝科10 / 77
【114-1 醫學(三) 第52題】下列何者最不可能是甲狀腺結節病患發生甲狀腺癌之危險因子?
詳解
破題關鍵
甲狀腺癌的危險因子通常與年齡過輕或過老、男性、放射線暴露、特定症狀等有關。
選項拆解
內分泌及新陳代謝科11 / 77
【114-1 醫學(三) 第53題】多發性內分泌腫瘤 2A 型(Multiple endocrine neoplasia 2A, MEN 2A)會以甲狀腺髓質癌、嗜鉻細胞瘤及副甲狀腺腺瘤做為臨床表現。MEN 2A 型最常見之基因突變密碼(mutated codon)是下列何者?
詳解
破題關鍵
記住 MEN 2A 和 MEN 2B 最常見的 RET 基因突變位點。
選項拆解
-A:正確。RET 基因的密碼子 634 突變是 MEN 2A 型最常見的基因突變位點。
-B:錯誤。RET 基因的密碼子 918 突變是 MEN 2B 型最常見的基因突變位點。
內分泌及新陳代謝科12 / 77
【114-1 醫學(三) 第54題】下列何者不是降低血糖的用藥?
詳解
破題關鍵
了解常見糖尿病藥物的分類和作用機制。
選項拆解
-A:metformin 是一種口服降血糖藥,用於治療第二型糖尿病。
-B:glargine 是一種長效型胰島素,用於降低血糖。
-C:正確。glucagon (升糖素) 的作用是升高血糖,通常用於治療嚴重的低血糖症。
內分泌及新陳代謝科13 / 77
【114-1 醫學(三) 第55題】關於肥胖之敘述,下列何者錯誤?
詳解
破題關鍵
肥胖的診斷標準和相關疾病是國考常考的基礎知識。
選項拆解
-A:正確。甲狀腺功能異常,特別是甲狀腺功能低下,會導致新陳代謝變慢,進而引起體重增加和肥胖。
內分泌及新陳代謝科14 / 77
【114-1 醫學(三) 第56題】關於糖尿病酮酸中毒(diabetic ketoacidosis)之敘述,下列何者錯誤?
詳解
破題關鍵
糖尿病酮酸中毒 (DKA) 是一種危急狀況,治療原則是輸液、胰島素和電解質的平衡。
選項拆解
-A:正確。糖尿病酮酸中毒大多發生在第一型糖尿病病人,因為他們體內胰島素分泌不足或完全缺乏,導致脂肪分解產生酮體。
內分泌及新陳代謝科15 / 77
【114-1 醫學(三) 第57題】一位 65 歲女性,40 年前生產時有大出血,這次因為泌尿道感染、發燒、意識不清被送來急診。她血壓為 85/45 mmHg,心跳每分鐘 125 下,對於大量靜脈輸液灌注與升壓劑反應不良,其血鈉亦過低,強烈懷疑有腎上腺機能不足的危症(adrenal crisis)。此刻下列何種診治最合適?
詳解
破題關鍵
腎上腺危症 (adrenal crisis) 是危及生命的急症,治療不能延誤。
選項拆解
-A:錯在「等待檢查結果,確定異常再給與 hydrocortisone 治療」。腎上腺危症是急症,等待檢驗結果會延誤救命的治療。
內分泌及新陳代謝科16 / 77
【114-1 醫學(三) 第58題】下列何者不是對甲狀腺風暴(thyroid storm)引起心房顫動、心搏過速、心衰竭患者的建議用藥?
詳解
破題關鍵
甲狀腺風暴 (thyroid storm) 的治療重點是抑制甲狀腺素的合成與釋放,並阻斷其周邊作用。
選項拆解
內分泌及新陳代謝科17 / 77
【114-1 醫學(三) 第66題】以生理心理社會模式(biopsychosocial model)來看代謝症候群的病因,下列敘述何者最適當?
詳解
破題關鍵
生理心理社會模式強調疾病是生理、心理、社會多方面因素交互作用的結果。
選項拆解
-A:錯在「無明顯相關」。代謝症候群確實是生活型態病,但基因遺傳在其中扮演重要角色,會影響個體對環境因素的易感性。
心臟血管內科18 / 77
【114-1 醫學(三) 第4題】關於氣促(dyspnea)身體診察與可能病態生理的對應,下列何者配對最適當?
詳解
破題關鍵
身體診察的特殊發現與其對應的病生理機制。
選項拆解
-A:錯在「P2 消失,考慮右心室壓力增加」。P2 增強才考慮肺動脈高壓(右心室壓力增加)。P2 消失或減弱通常與肺動脈瓣狹窄或肺動脈高壓減輕有關。
心臟血管內科19 / 77
【114-1 醫學(三) 第5題】有關急性主動脈剝離(acute aortic dissection)之描述,下列何者最不適當?
詳解
破題關鍵
主動脈剝離的危險性主要取決於剝離發生的位置,而非疼痛的部位。
選項拆解
-A:錯在「比單純前胸的撕裂性疼痛更危險」。A型主動脈剝離(通常引起前胸痛)比B型主動脈剝離(通常引起後背痛)更危險,因為A型剝離的併發症更嚴重,死亡率更高。
心臟血管內科20 / 77
【114-1 醫學(三) 第6題】利用介入心導管技術、不開刀處置結構性心臟病,為近年來重要醫學進展之一,下列相關敘述何者錯誤?
詳解
破題關鍵
了解經導管二尖瓣修補術(如MitraClip)的適用情境,並非所有二尖瓣閉鎖不全都適合。
選項拆解
-A:正確。阻塞器置放是治療ASD、PFO、PDA等先天性心臟病的有效介入性方法。
-B:正確。氣球瓣膜擴張術是治療風濕性二尖瓣狹窄的常用方法,導管通常經股靜脈送入。
心臟血管內科21 / 77
【114-1 醫學(三) 第7題】關於核醫心肌灌流造影用於已知冠狀動脈疾病病人的臨床應用,下列敘述何者錯誤?
詳解
破題關鍵
心肌灌流造影(MPI)在冠狀動脈疾病治療後,主要用於評估有症狀的病人,而非無症狀的常規篩檢。
選項拆解
-A:錯在「常規的心肌灌流造影評估是必要的檢查項目」。對於無症狀的CABG術後病人,不建議常規進行心肌灌流造影,應根據症狀或臨床變化來決定是否檢查。
心臟血管內科22 / 77
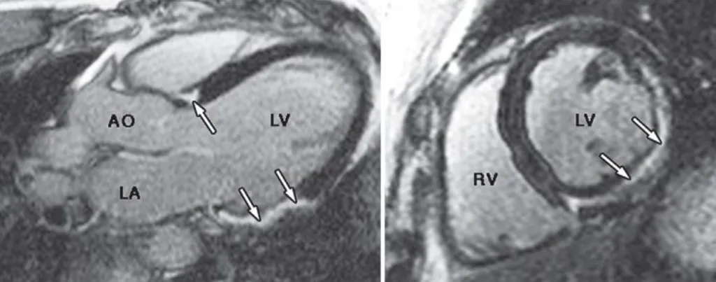
【114-1 醫學(三) 第8題】47 歲男性,曾頭暈昏倒多次,心電圖檢查顯示多發性心室期外收縮。磁振造影發現左心室較大,下壁及下外側壁收縮功能較差,顯影劑注射後,磁振造影出現顯影劑延遲增強(late gadolinium enhancement, LGE),如附圖所示。下敘述何者錯誤?

詳解
破題關鍵
這題的解題核心在於辨識心臟磁振造影(CMR)中「顯影劑延遲增強」(LGE)的影像特徵,並區分不同心臟疾病的LGE模式,同時要了解心肌水腫在MRI上的表現。圖片中箭頭所指的亮白色區域,就是LGE,它位於心肌的中外層,而非心內膜下。
選項拆解
心臟血管內科23 / 77
【114-1 醫學(三) 第9題】心臟動作電位(action potential)由許多離子通道(ion channel)調控。下列何種離子不直接參與心臟動作電位的產生與維持?
詳解
破題關鍵
心臟動作電位主要由鈉、鉀、鈣三種離子直接調控。
選項拆解
-A:鈉離子(Na+)是動作電位去極化(Phase 0)的關鍵離子。
-B:鉀離子(K+)是動作電位再極化(Phase 3)和維持靜止膜電位(Phase 4)的關鍵離子。
心臟血管內科24 / 77
【114-1 醫學(三) 第10題】下列何種藥物不會造成心電圖 QT interval prolong?
詳解
破題關鍵
辨識會延長QT間期的常見藥物,特別是抗心律不整藥物。
選項拆解
-A:quinidine 是一種 Class IA 抗心律不整藥物,會延長 QT 間期。
-B:digoxin 是一種強心劑,通常會縮短 QT 間期或對其無顯著影響,不會造成 QT 間期延長。
心臟血管內科25 / 77
【114-1 醫學(三) 第11題】下列何者不是 genetic arrhythmia syndrome?
詳解
破題關鍵
基因性心律不整症候群是指原發性的電生理異常,而非繼發於廣泛性結構性心臟病的VT。
選項拆解
-A:長QT症候群是典型的基因性心律不整症候群,由離子通道基因突變引起。
-B:布魯格達症候群是典型的基因性心律不整症候群,常與鈉離子通道基因突變有關。
心臟血管內科26 / 77
【114-1 醫學(三) 第12題】關於 heart failure with preserved ejection fraction 的敘述,下列何者正確?
詳解
破題關鍵
心衰竭伴射出分率保留(HFpEF)的典型病因是長期高血壓導致的舒張功能障礙。
選項拆解
-A:急性心肌梗塞通常導致心衰竭伴射出分率降低(HFrEF),因為心肌壞死影響收縮功能。
-B:甲狀腺亢進可能導致高輸出量心衰竭,但不是典型的HFpEF。
心臟血管內科27 / 77
【114-1 醫學(三) 第13題】下列關於心房顫動(atrial fibrillation)臨床上使用抗血栓治療之敘述,何者錯誤?
詳解
破題關鍵
右束支傳導阻滯(RBBB)本身通常不被視為獨立的心衰竭風險因素。
選項拆解
-A:正確。SGLT2抑制劑(如empagliflozin)已被證實能降低糖尿病患者和非糖尿病患者的心衰竭風險,是HF治療的重要進展。
心臟血管內科28 / 77
【114-1 醫學(三) 第14題】有關心衰竭(heart failure, HF)治療同時考慮其他共病時,下列敘述何者錯誤?
詳解
破題關鍵
右束支傳導阻滯 (RBBB) 和總血紅蛋白濃度升高通常與心衰竭風險沒有直接或顯著的關聯。
選項拆解
-A:正確。SGLT2抑制劑 (如empagliflozin) 已被證實能降低糖尿病患者心衰竭的風險,這是一個重要的臨床進展。
心臟血管內科29 / 77
【114-1 醫學(三) 第65題】下列何者最不需要於牙科手術前接受預防性抗生素以避免心內膜炎?
詳解
破題關鍵
預防性抗生素的目的是保護「高風險」的心臟結構,避免細菌感染造成嚴重的心內膜炎。
選項拆解
-A:錯在敘述。具人工瓣膜者屬於最高風險族群,絕對需要預防性抗生素。
-B:錯在敘述。曾得過心內膜炎者,再次感染的風險極高,需要預防性抗生素。
感染科30 / 77
【114-1 醫學(三) 第47題】關於潛伏結核感染(latent TB infection)的相關敘述,下列何者最為適當?
詳解
破題關鍵
結核菌素皮膚測驗 (TST) 陰性不代表沒感染,因為有偽陰性的可能。
選項拆解
-A:錯在「可保護人體免於再被結核菌感染」。TST 陽性確實代表產生延遲性過敏反應,但這不代表能完全保護人體免於再感染或發病。事實上,潛伏感染者仍有機會發展成活動性結核病。
感染科31 / 77
【114-1 醫學(三) 第60題】下列有關β-lactamase 抗藥性基因及其作用機轉的敘述,何者錯誤?
詳解
破題關鍵
了解不同細菌的 β-lactamase 種類及其對抗生素的水解特性。
選項拆解
感染科32 / 77
【114-1 醫學(三) 第61題】下列何種病毒最不可能造成急性腦炎?
詳解
破題關鍵
了解常見病毒性腦炎的病原體。
選項拆解
-A:腸病毒 (enterovirus) 是兒童急性腦炎的常見病原體,特別是腸病毒 71 型。
感染科33 / 77
【114-1 醫學(三) 第62題】30 歲男性,因尿道炎入院治療,尿液經細菌培養並未發現致病細菌,接受口服 cefixime 治療多次效果不佳,後續發生副睪炎(epididymitis)和嚴重的潰瘍性直腸和大腸發炎出血(ulcerative, hemorrhagic proctocolitis),腹股溝淋巴腺逐日腫大和潰瘍與下肢淋巴水腫。經過核酸增幅檢測(nucleic acid amplification test),發現是披衣菌(Chlamydia)感染,臨床醫師的診斷是 lymphogranuloma venereum。下列關於此疾病的病因與處置之敘述,何者錯誤?
詳解
破題關鍵
了解淋巴肉芽腫 (lymphogranuloma venereum, LGV) 的病原體和標準治療。
選項拆解
-A:正確。淋巴肉芽腫 (LGV) 的致病原是砂眼披衣菌 (Chlamydia trachomatis) 的 L1、L2 及 L3 血清型。
感染科34 / 77
【114-1 醫學(三) 第63題】關於人類免疫不全病毒(HIV)感染所致免疫系統缺損引起的伺機性感染(opportunistic infections)與首選治療之配對,下列何者錯誤?
詳解
破題關鍵
了解人類免疫不全病毒 (HIV) 感染者常見的伺機性感染及其首選治療。
選項拆解
-A:正確。非傷寒沙門氏菌感染 (non-typhoid salmonellosis) 在 HIV 感染者中常見且可能引起菌血症,ceftriaxone 是常用的有效治療藥物。
感染科35 / 77
【114-1 醫學(三) 第76題】下列有關接觸到有狂犬病(rabies)動物的描述,何者得到狂犬病的機率最低?
詳解
破題關鍵
狂犬病病毒主要透過帶病毒動物的唾液傳播,且需要透過破損的皮膚或黏膜進入人體。
選項拆解
-A:正確。口腔黏膜接觸到動物的尿液,得到狂犬病的機率最低。狂犬病病毒主要存在於唾液中,尿液中病毒含量極低或沒有,且口腔黏膜雖然是黏膜,但接觸尿液的傳播風險遠低於唾液。
胃腸肝膽內科36 / 77
【114-1 醫學(三) 第3題】30 歲男性接受疝氣手術後,出現鞏膜變黃、茶色尿等症狀,抽血發現 total bilirubin 為 4.1 mg/dL,下列那一項診斷最不可能?
詳解
破題關鍵
術後黃疸的鑑別診斷,需考慮肝前、肝內、肝後原因,並排除罕見的先天性代謝異常。
選項拆解
-A:Gilbert's syndrome:可能。在手術壓力下,Gilbert's syndrome 患者的膽紅素可能會升高,導致黃疸。總膽紅素 4.1 mg/dL 也在其範圍內。
胃腸肝膽內科37 / 77
【114-1 醫學(三) 第15題】一位慢性 B 型肝炎帶原者因活動性肺結核併發燒而接受下列藥物治療:isoniazid、rifampin、ethambutol、 streptomycin。一個月後抽血檢查發現 aspartate aminotransferase(AST)/alanine aminotransferase (ALT):120/140(U/L),total bilirubin:0.9(mg/dL),肝功能其他項目仍在正常範圍內。下列敘述何者正確?
詳解
破題關鍵
抗結核藥物中,isoniazid 是最常引起肝損傷的藥物之一。
選項拆解
胃腸肝膽內科38 / 77
【114-1 醫學(三) 第16題】一位剛上大學的女性因流涎、肢體僵硬及震顫等運動性障礙,住進神經科病房。住院抽血發現肝功能異常會診胃腸肝膽科醫師。病人血清檢查 HBsAg 及 anti-HCV 皆呈陰性。下列敘述何者最適當?①可能發生急性猛爆性肝炎(fulminant hepatitis),血清及膽汁內的銅離子濃度減少 ②口服 zinc、trientine 不可用於懷孕期 ③身體診察在病人的角膜上可見 Kayser-Fleischer ring ④肝臟病理切片呈現 hepato-lenticular degeneration
詳解
破題關鍵
流涎、肢體僵硬、震顫等運動障礙,加上肝功能異常,要高度懷疑是威爾森氏症 (Wilson's disease)。
選項拆解
胃腸肝膽內科39 / 77
【114-1 醫學(三) 第17題】80 歲的林先生被送來急診室,主訴嚴重且無法緩解的腹痛一天,由身體診察發現體溫為攝氐 36.5 度,血壓 95/58 mmHg,心跳 105 bpm。心音快且不規則,兩側肺部聽診正常,腹部脹且腸音較慢,但腹部柔軟,並沒有明顯的腹膜炎徵象,其他身體診察大致正常。他平常有高血壓及高血脂且用藥控制中,最近因為胸悶有接受過心導管檢查。下列針對他的疾病的敘述及治療方式何者錯誤?
詳解
破題關鍵
老年人、心血管疾病史、心律不整、腹痛、低血壓,要高度懷疑缺血性腸炎,此時使用血管收縮劑會加重缺血。
選項拆解
胃腸肝膽內科40 / 77
【114-1 醫學(三) 第18題】關於下列食道構造及功能性之疾病敘述,何者錯誤?
詳解
破題關鍵
食道遲緩不能 (achalasia) 的問題是遠端食道括約肌無法放鬆,而不是近端。
選項拆解
胃腸肝膽內科41 / 77
【114-1 醫學(三) 第19題】一位 38 歲女性病人因胃痛求診,胃鏡下發現胃潰瘍。病人自述家庭中也有數人有胃或十二指腸潰瘍的病史。 下列何者正確?
詳解
破題關鍵
幽門螺旋桿菌感染是胃潰瘍的主要原因之一,且與胃癌和胃淋巴瘤的風險增加有關。
選項拆解
胃腸肝膽內科42 / 77
【114-1 醫學(三) 第20題】下列關於克隆氏病(Crohn's disease)之敘述何者錯誤?
詳解
破題關鍵
抗腫瘤壞死因子 (anti-TNF) 製劑是治療中重度克隆氏病的重要生物製劑,效果良好。
選項拆解
-A:正確。克隆氏病可以侵犯消化道任何部位,但最常侵犯小腸 (特別是末端迴腸),有時也會侵犯大腸。
胃腸肝膽內科43 / 77
【114-1 醫學(三) 第21題】預測急性胰臟炎(acute pancreatitis)嚴重度之指標 Bedside Index of Severity in Acute Pancreatitis(BISAP)不包含下列何項?
詳解
破題關鍵
BISAP 評分是評估急性胰臟炎嚴重度的簡化工具,包含 BUN、意識障礙、SIRS、年齡和肋膜積液。
選項拆解
-A:正確。BUN>25 mg/dL 是 BISAP 評分的一個項目。
胃腸肝膽內科44 / 77
【114-1 醫學(三) 第22題】臨床上常用 Child-Turcotte-Pugh score 來判斷肝硬化嚴重度,Child-Turcotte-Pugh score 並未包含下列何項?
詳解
破題關鍵
Child-Pugh score 評估肝硬化嚴重度,主要看肝臟合成功能和肝衰竭併發症,不直接看 ALT。
選項拆解
-A:正確。Bilirubin (膽紅素) 是 Child-Pugh score 的一個評分項目,反映肝臟的排泄功能。
胃腸肝膽內科45 / 77
【114-1 醫學(三) 第23題】下列何者不是非酒精性脂肪肝(nonalcoholic fatty liver disease, NAFLD)的主要危險因子?
詳解
破題關鍵
非酒精性脂肪肝 (NAFLD) 的主要危險因子是代謝症候群的組成部分,而高尿酸血症通常被視為伴隨因子而非核心主要危險因子。
選項拆解
-A:錯在肥胖。肥胖是非酒精性脂肪肝 (NAFLD) 最主要的危險因子,尤其內臟脂肪堆積與 NAFLD 的發生和進展高度相關。
胸腔內科46 / 77
【114-1 醫學(三) 第45題】有關 hypersensitivity pneumonitis,下列敘述何者最適當?
詳解
破題關鍵
過敏性肺炎就是肺部對吸入的特定抗原產生過敏反應。
選項拆解
-A:正確。這是過敏性肺炎最核心的病理生理學機制。
胸腔內科47 / 77
【114-1 醫學(三) 第46題】65 歲男性病人因運動時呼吸困難前來就診,其肺功能檢查顯示:FEV1/FVC 58%,FEV1 為 70%預測值,DLCO 為 55%預測值,則最有可能之診斷為何?
詳解
破題關鍵
阻塞性通氣障礙加上氣體交換功能下降,最符合肺氣腫的表現。
選項拆解
-A:氣喘 (Asthma) 也是阻塞性通氣障礙 (FEV1/FVC 降低),但其 DLCO 通常正常或輕微升高,且阻塞性變化具有可逆性。本題 DLCO 顯著降低,不符合氣喘。
胸腔內科48 / 77
【114-1 醫學(三) 第48題】關於肋膜積水(pleural effusion)的描述,下列何者最為適當?
詳解
破題關鍵
肋膜積水診斷的關鍵在於區分滲出液 (exudate) 和漏出液 (transudate),並根據積液成分判斷病因。
選項拆解
胸腔內科49 / 77
【114-1 醫學(三) 第50題】一位 56 歲男性病患,身高 162 cm,體重 89 kg,主訴運動時呼吸困難,血壓偏高控制不好,睡眠頻頻中斷, 造成白天嗜睡,精神不濟,記憶衰退。休息時血氧濃度都在 85%以下,動脈血中的 PaCO2 51mmHg,為呼吸性酸中毒。對於此病患的臨床判斷,下列何者最不適當?
詳解
破題關鍵
肥胖、睡眠障礙、低血氧和高碳酸血症的組合,應優先考慮肥胖低通氣症候群,而非直接斷定為 COPD。
選項拆解
胸腔內科50 / 77
【114-1 醫學(三) 第64題】關於社區型肺炎的治療結果,下列敘述何者錯誤?
詳解
破題關鍵
了解社區型肺炎 (CAP) 治療後臨床和影像學恢復的時程。
選項拆解
-A:正確。在有效抗生素治療下,社區型肺炎患者的發燒通常可在 2~4 天內退燒,臨床症狀也會逐漸改善。