一般內科與重症醫學1 / 76
【114-2 醫學(三) 第4題】一位 90 歲女性巴金森氏症(Parkinson's disease)病友因肺炎住院,住院後發現有意識混亂、注意力無法集中之情況,有時答非所問,有時嗜睡不易叫醒,有時認不得家人,更時常半夜失眠吵鬧,狀況時好時壞,一天中起伏很大;住院前並無此種現象。欲確診其目前病況,下列何種工具之敏感度(sensitivity)與特異度 (specificity)最佳?
詳解
破題關鍵
病人出現急性、波動性、注意力不集中和意識混亂的症狀,是譫妄的典型表現,CAM 是診斷譫妄最有效的工具。
選項拆解
一般內科與重症醫學2 / 76
【114-2 醫學(三) 第66題】38 歲陳女士常常因頭痛與肩頸痠痛就醫,診斷為緊張性頭痛(tension headache),依據生理心理社會模式 (biopsychosocial model, BPS model)之觀點,下列敘述何者錯誤?
詳解
破題關鍵
焦慮憂鬱通常會降低疼痛閥值,使人對疼痛更敏感。
選項拆解
-A:正確。緊張性頭痛 (tension headache) 的生理因素之一就是頭頸部肌肉的緊張收縮,這是生物層面的影響。
一般內科與重症醫學3 / 76
【114-2 醫學(三) 第67題】面對高齡病人時,下列敘述何項是最適當的臨床藥物處方原則?
詳解
破題關鍵
高齡病人對藥物的反應多變且常出現非典型症狀,因此任何新的症狀都應將藥物副作用列入考慮。
選項拆解
一般內科與重症醫學4 / 76
【114-2 醫學(三) 第68題】LGBTQIA+(lesbian, gay, bisexual, transgender, questioning [their sexuality or gender]/queer, intersex or asexual)的青少年,被霸凌或人身攻擊的發生率較高,憂鬱和自殺的發生率較高,其中那一類青少年發生上述問題的風險最高?
詳解
破題關鍵
在 LGBTQIA+ 群體中,跨性別者面臨的社會歧視和污名化程度最高,因此承受的心理壓力也最大。
選項拆解
-A:錯在雙性戀 (bisexual) 青少年雖然也面臨挑戰,但通常不如跨性別青少年所面臨的歧視和污名化程度高。
一般內科與重症醫學5 / 76
【114-2 醫學(三) 第71題】有關家庭暴力受害者的檢查或處置,下列敘述何者最適當?
詳解
破題關鍵
處理兒虐案件,特別是年幼兒童的傷害,需要高度警覺並採取適當的影像學檢查來確認是否有隱藏性骨折。
選項拆解
-A:錯在「正確判斷出傷害的時間」。瘀傷的顏色和型態雖然可以提供線索,但無法精確判斷傷害發生的時間,因為瘀傷的變化受到多種因素影響,不能作為精確判斷時間的唯一依據。
一般內科與重症醫學6 / 76
【114-2 醫學(三) 第72題】實證醫學(evidence-based medicine)的證據層級,由高至低之排列順序為何? ①世代研究(cohort study) ②專家意見(expert opinion) ③統合分析(meta-analysis) ④個案對照研究(case- control study) ⑤個案報告(case report)
詳解
破題關鍵
實證醫學的證據等級,最可靠的是統合分析,最低的是專家意見。
選項拆解
-B:正確。實證醫學證據層級由高至低為:統合分析(③)> 世代研究(①)> 個案對照研究(④)> 個案報告(⑤)> 專家意見(②)。
核心知識
一般內科與重症醫學7 / 76
【114-2 醫學(三) 第76題】關於孕婦的復甦急救(resuscitation)敘述,何者最適當?
詳解
破題關鍵
孕婦急救時,除了要考慮胎兒,許多處置原則與一般成人相似,但有些生理變化需要特別注意,例如胃排空延遲導致吸入性肺炎風險增加。
選項拆解
一般內科與重症醫學8 / 76
【114-2 醫學(三) 第77題】臺灣南部發生芮氏規模 6.6 的地震,造成房屋倒塌與大量人員傷亡。根據簡單檢傷及快速治療(simple triage and rapid treatment, START)的原則,下列 4 位病人治療的優先順序為何? ① 30 歲男性,無脈搏頭部嚴重變形 ② 60 歲女性,大腿開放性骨折橈動脈微弱 ③ 70 歲男性,四肢多處擦傷可正常行走 ④ 20 歲女性,心跳正常左小腿變形
詳解
破題關鍵
START檢傷原則是根據呼吸、脈搏、意識狀態,將傷患分為紅(立即)、黃(延遲)、綠(輕傷)、黑(死亡)四類。
選項拆解
-① 30 歲男性,無脈搏頭部嚴重變形:無脈搏,且頭部嚴重變形,屬於無法救治或已死亡,分類為黑色。
一般內科與重症醫學9 / 76
【114-2 醫學(三) 第79題】關於醫師與同儕間的關係,下列何者正確?
詳解
破題關鍵
醫師的職責不僅是治療病人,更要與其他醫療團隊成員合作,以提供病人最佳的全面照護。
選項拆解
-A:正確。世界醫師會的病人權利宣言確實強調醫師有義務與其他健康照護者(如護理師、藥師、物理治療師等)協調合作,以確保病人獲得最佳的連續性照護。
內分泌及新陳代謝科10 / 76
【114-2 醫學(三) 第2題】厭食症(anorexia nervosa)的病人最不常有下列何表現?
詳解
破題關鍵
厭食症患者因長期營養不良和腸道蠕動減慢,常出現便秘,而非腹瀉。
選項拆解
-A:錯在「低血壓」是厭食症常見表現。由於心率減慢、脫水和全身代謝率下降,患者常有低血壓。
-B:錯在「低血糖」是厭食症常見表現。長期飢餓導致肝醣儲備耗盡,糖質新生能力下降,可能引起低血糖。
內分泌及新陳代謝科11 / 76
【114-2 醫學(三) 第52題】70 歲男性因咳嗽就診,胸部 X 光在左下肺葉有 2 公分腫瘤。病人每天抽 2 包菸已有 45 年,目前並無服用任何藥物。身體診察:血壓 156/95 mmHg(右手)、162/94 mmHg(左手),胸腹部電腦斷層發現除了胸部腫瘤及左腎上腺 2 公分腫瘤外,並無轉移現象。對於此腎上腺腫瘤下列何項處置最適當?
詳解
破題關鍵
在有高血壓的肺癌患者身上發現腎上腺腫瘤時,必須優先排除嗜鉻細胞瘤。
選項拆解
-A:正確。病人有高血壓且發現腎上腺腫瘤,必須優先排除嗜鉻細胞瘤。測量 24 小時尿液兒茶酚胺及 VMA 是篩檢嗜鉻細胞瘤的標準步驟,這在進行其他侵入性檢查前至關重要。
內分泌及新陳代謝科12 / 76
【114-2 醫學(三) 第53題】治療肢端肥大症,下列那一項藥物能夠最有效降低生長素(growth hormone, GH)和 IGF-I(insulin-like growth factor I)?
詳解
破題關鍵
了解肢端肥大症的病理生理學,並區分不同藥物的作用機轉。
選項拆解
-A:錯在「效果」。Cabergoline 是多巴胺受體促效劑,雖然能降低部分患者的 GH 和 IGF-I,但其效果通常不如體抑素類似物。
內分泌及新陳代謝科13 / 76
【114-2 醫學(三) 第54題】下列何種藥物,通常在甲狀腺危象(thyrotoxic crisis)時才會使用?
詳解
破題關鍵
甲狀腺危象的治療需要多管齊下,其中抑制甲狀腺素合成是核心。
選項拆解
-A:Propranolol 用於阻斷甲狀腺素的周邊作用,控制心跳等症狀,但它也常用於一般甲狀腺功能亢進的症狀控制,並非「只在」危象時才使用。
內分泌及新陳代謝科14 / 76
【114-2 醫學(三) 第55題】關於糖尿病慢性併發症之敘述,下列何者最不適當?
詳解
破題關鍵
辨別糖尿病慢性併發症是屬於微血管病變還是大血管病變。
選項拆解
-A:此敘述在醫學上是正確的,糖尿病視網膜病變確實是典型的微血管病變。然而,若題目要求找出「最不適當」的敘述,可能暗示此敘述在某種特定語境下被視為不夠全面或有其他考量,導致其「適當性」被質疑。
內分泌及新陳代謝科15 / 76
【114-2 醫學(三) 第56題】根據 National Cholesterol Education Program and Adult Treatment Panel III(NCEP:ATPIII)診斷標準,下列那位男性成人屬於代謝症候群(metabolic syndrome)個案?
詳解
破題關鍵
熟悉代謝症候群 (Metabolic Syndrome) 的診斷標準,並逐一比對選項。
選項拆解
內分泌及新陳代謝科16 / 76
【114-2 醫學(三) 第57題】下列何者最不可能導致低血糖?
詳解
破題關鍵
了解常見藥物對血糖的影響。
選項拆解
-A:正確。Thiazide 類藥物已知會引起高血糖,因此最不可能導致低血糖。
-B:錯誤。胰島素瘤 (insulinoma) 是一種分泌過量胰島素的腫瘤,會導致嚴重的低血糖。
內分泌及新陳代謝科17 / 76
【114-2 醫學(三) 第58題】一位 25 歲年輕男性病人,因心悸、氣喘、噁心、嘔吐、腹痛至急診就醫。病史詢問得知病人罹患糖尿病數年,須靠注射胰島素控制血糖,近日因工作壓力大、須加班熬夜,經常喝飲料提神。病人最近小便變多、口渴及體重減輕 3 公斤。身體診察發現病人體溫攝氏 37 度,呼吸每分鐘 20 次,脈搏每分鐘 100 下,血壓 110/70 mmHg,腹部無明顯按壓痛。隨機指尖血糖值為 560 mg/dL。下列處置何者最不適當?
詳解
破題關鍵
判斷病人為糖尿病酮酸血症 (DKA),並了解其核心治療原則。
選項拆解
-A:正確。抽血檢查血糖、電解質(特別是鉀離子)及血液 pH 值(判斷酸中毒程度)是診斷和監測 DKA 的必要步驟。
-B:正確。靜脈輸液糾正脫水和胰島素治療是 DKA 的兩大基石。
心臟血管內科18 / 76
【114-2 醫學(三) 第6題】下列關於經皮冠狀動脈介入(percutaneous coronary intervention, PCI)術前、術中、術後使用之抗凝血、抗血小板藥物之敘述,何者錯誤?
詳解
破題關鍵
PCI 術中使用的抗凝血劑主要是肝素類或直接凝血酶抑制劑,而「第一凝血因子抑制劑」的說法不精確,且纖維蛋白原本身不是抗凝血劑。
選項拆解
心臟血管內科19 / 76
【114-2 醫學(三) 第8題】下列有關高血壓藥物治療的敘述,何者錯誤?
詳解
破題關鍵
高血壓合併左心室功能異常(心衰竭)的治療有明確的藥物優先順序和組合,並非所有列出的藥物都可「皆可」作為同等選擇,特別是對於改善預後而言。
選項拆解
心臟血管內科20 / 76
【114-2 醫學(三) 第9題】馬伯伯 1 年前因為急性心肌梗塞導致心臟功能受損,需要長期服藥控制。最近因天氣炎熱,每天都喝很多冰水消暑。但是他慢慢覺得走路不到 10 公尺就喘得很厲害,小腿也比以前腫脹,即使沒有活動整天看電視也覺得很容易疲勞。到了半夜睡覺的時候,常常因為喘而需要坐起來,一整夜需起來 5、6 次,睡眠品質相當不好。 馬伯伯的症狀中,那一項較不屬於典型心臟衰竭的臨床表現?
詳解
破題關鍵
心臟衰竭的症狀是身體機能受損的表現,而不是個人的生活習慣。
選項拆解
-A:錯在「喝很多冰水消暑」是馬伯伯的個人行為,而非心臟衰竭的直接臨床表現。雖然過度飲水可能加重心臟負擔,但它本身不是症狀。
-B:正確。小腿腫脹是右心衰竭導致體循環鬱血的典型症狀,稱為周邊水腫。
心臟血管內科21 / 76
【114-2 醫學(三) 第10題】一位 35 歲的男性病人懷疑是白袍高血壓(white coat hypertension),下列何項診斷工具對鑑別診斷或病情評估的幫助可能最小?
詳解
破題關鍵
白袍高血壓的診斷重點在於區分診間血壓高與實際血壓高,因此需要長時間監測血壓的工具。
選項拆解
心臟血管內科22 / 76
【114-2 醫學(三) 第11題】一位 24 歲女性,其哥哥及弟弟均在青年時期因昏倒猝死送醫不治,本身過去並無重大疾病史,此次在坐雲霄飛車時昏厥被送至急診,心電圖如下圖,下列敘述何者錯誤?

詳解
破題關鍵
這題的解題核心在於辨識心電圖上明顯的QT間期延長和多形性心室頻脈(Torsades de Pointes),結合病患的家族史和誘發事件(雲霄飛車導致昏厥),指向先天性長QT症候群,並評估其治療選項。
選項拆解
心臟血管內科23 / 76
【114-2 醫學(三) 第12題】一位 60 歲女性,高血壓病人,經藥物治療 3 個月控制穩定,血壓已降至 130/85 mmHg 左右。最近一個月,常有突發性劇烈乾咳,肺部聽診正常,胸部 X 光亦正常。下列何種處置應最優先?
詳解
破題關鍵
突發性、劇烈乾咳,且肺部檢查正常,在服用高血壓藥物的病人身上,最先要考慮藥物副作用。
選項拆解
-A:錯在開立化痰藥水無法解決藥物引起的乾咳,且乾咳通常無痰。
-B:錯在開立氣管擴張劑對於藥物引起的乾咳無效,因為這不是氣喘或支氣管痙攣。
心臟血管內科24 / 76
【114-2 醫學(三) 第13題】關於冠狀動脈疾病(coronary artery disease)合併穩定心絞痛病人的藥物治療,下列敘述,何者正確?
詳解
破題關鍵
穩定心絞痛的藥物治療,除了緩解症狀,更重要的是改善預後,特別是針對高風險族群。
選項拆解
心臟血管內科25 / 76
【114-2 醫學(三) 第14題】女性病人因近日胸悶及心悸至心臟科門診求診。病人過去並無內科或全身性病史。身體診察發現有輕微收縮期心雜音。心電圖與胸部 X 光檢查皆無異常。心臟超音波顯示心臟收縮功能正常,但卻發現有二尖瓣脫垂現象。下列敘述何者錯誤?
詳解
破題關鍵
二尖瓣脫垂 (MVP) 雖然常見於女性,但其診斷和症狀出現的年齡範圍較廣,不限於特定中老年區間。
選項拆解
心臟血管內科26 / 76
【114-2 醫學(三) 第61題】心內膜炎在下列那些情形,需要心臟外科手術治療?①chordae tendineae rupture 合併嚴重急性心臟衰竭 ②瓣膜功能異常合併經 7~10 天抗生素治療仍持續菌血症發生 ③治療 3 天仍然持續發燒 ④人工瓣膜心內膜炎,經積極抗生素治療後仍復發
詳解
破題關鍵
心內膜炎需要手術治療的時機,通常是抗生素治療無效、出現嚴重併發症或人工瓣膜感染時。
選項拆解
-①:正確。腱索斷裂 (chordae tendineae rupture) 合併嚴重急性心臟衰竭,表示瓣膜功能嚴重受損,心臟無法有效泵血,需要緊急手術修復或置換瓣膜。
心臟血管內科27 / 76
【114-2 醫學(三) 第74題】下列關於主動脈疾病的影像學表現,何者正確?
詳解
破題關鍵
評估主動脈疾病,電腦斷層(CT)是黃金標準,尤其對於胸主動脈瘤的診斷和術前評估。
選項拆解
-A:錯在「很少出現」。主動脈瘤患者常常伴隨動脈粥狀硬化,因此主動脈壁鈣化是常見的表現,而非很少出現。
感染科28 / 76
【114-2 醫學(三) 第21題】有關 B 型肝炎疫苗的敘述,下列何者錯誤?
詳解
破題關鍵
B 型肝炎疫苗保護力的判斷標準是 anti-HBs 濃度。
選項拆解
-A:錯在 anti-HBs 濃度只要大於 10 mIU/mL 就被認為具有保護力。100 mIU/mL 是一個很高的數值,並非保護力的最低標準。
感染科29 / 76
【114-2 醫學(三) 第59題】病毒性腦炎(viral encephalitis)病人的腦脊髓液(CSF)檢查報告,最不可能出現下列何種結果?
詳解
破題關鍵
病毒性腦炎通常不會造成腦脊髓液葡萄糖明顯下降。
選項拆解
-A:正確。皰疹病毒腦炎 (herpes simplex encephalitis) 可能會造成腦部出血,導致 CSF 中紅血球數目增加。
感染科30 / 76
【114-2 醫學(三) 第60題】下列何者最不可能傳播人類免疫不全病毒(HIV)?
詳解
破題關鍵
HIV 主要透過體液交換傳播,唾液中的病毒量極低,不足以造成感染。
選項拆解
-A:錯在陰道性交是 HIV 傳播的主要途徑之一,因為會造成體液交換。
-B:錯在共用針頭是 HIV 傳播的重要途徑,因為病毒會直接進入血液。
感染科31 / 76
【114-2 醫學(三) 第62題】
40 歲男性有慢性B型肝炎病史,未規則追蹤;至市場買魚時不慎被掉落的海魚刺到腳背,數小時後被刺傷的足背迅速紅腫疼痛,出現水泡(如圖)。12 小時後轉送到院,血壓 77/50 mmHg,脈搏 115/分,呼吸 22/分; 3 血液檢驗:肌酸酐(creatinine)2.5 mg/dL;總膽紅素 3.6 mg/dL;ALT 230 U/L;白血球 15,500/mm (band 12%);血小板 64,000/mm3;綜合病史及病程,最可能的致病菌為何?

詳解
破題關鍵
這題的解題核心在於將「海洋暴露史(被海魚刺傷)」、「慢性肝病史(B型肝炎)」、「迅速惡化的皮膚軟組織感染伴隨水泡形成」以及「全身性敗血性休克」這些關鍵線索串聯起來,指向最符合的致病菌。圖片中足背的嚴重紅腫、水泡和局部組織壞死跡象,正是這種感染的典型表現。
選項拆解
感染科32 / 76
【114-2 醫學(三) 第63題】關於醫院內標準防護措施(standard precaution)之實施對象及目的,下列敘述何者正確?
感染科33 / 76
【114-2 醫學(三) 第64題】Aminoglycoside 與下列何種抗生素併用具加成作用(synergistic effect)?
詳解
破題關鍵
Aminoglycoside 與細胞壁合成抑制劑併用,能產生加成作用。
選項拆解
感染科34 / 76
【114-2 醫學(三) 第65題】進行性多發腦白質病變(progressive multifocal leukoencephalopathy, PML)是後天免疫缺乏症候群 (AIDS)病人的腦病變之一,下列何者為引起該病變之致病原?
詳解
破題關鍵
進行性多發腦白質病變 (PML) 是由 JC 病毒引起的。
選項拆解
-A:錯在 human immunodeficiency virus (HIV) 是導致愛滋病 (AIDS) 的病毒,但 PML 是由 JC 病毒引起的,HIV 只是造成免疫抑制,使得 JC 病毒得以活化。
胃腸肝膽內科35 / 76
【114-2 醫學(三) 第15題】陳先生平時工作忙碌,最近因腹痛及血便至醫院求診,經檢查後懷疑是克隆氏病(Crohn's disease)。關於 Crohn's disease,下列敘述何者錯誤?
詳解
破題關鍵
克隆氏病 (Crohn's disease) 的典型特徵是「跳躍性病灶 (skip lesions)」,與潰瘍性結腸炎 (Ulcerative Colitis) 的連續性病灶不同。
選項拆解
胃腸肝膽內科36 / 76
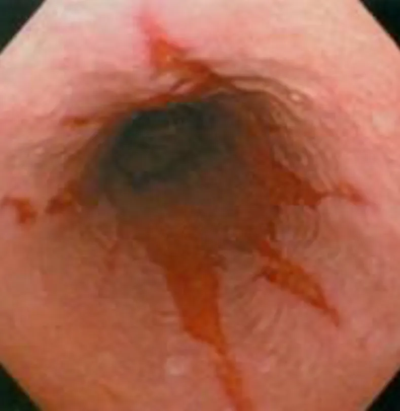
【114-2 醫學(三) 第16題】55 歲肥胖男性因為胃酸逆流、胸口灼熱接受胃鏡檢查,結果如圖。下列敘述何者錯誤?

詳解
破題關鍵
這張胃鏡影像顯示食道黏膜有發炎和線狀糜爛,這是典型的逆流性食道炎,而題目問的是關於此疾病的「錯誤」敘述,關鍵在於辨識逆流性食道炎相關的癌症風險類型。
選項拆解
-A:減重有助症狀控制。正確。肥胖會增加腹內壓,加重胃食道逆流,因此減重是改善症狀的重要生活型態調整。
胃腸肝膽內科37 / 76
【114-2 醫學(三) 第17題】位於頭部之胰臟癌相對於體、尾部之胰臟癌較常見的症狀為何?
詳解
破題關鍵
胰臟頭部腫瘤因其解剖位置,最容易壓迫膽管,導致膽汁鬱積而出現黃疸。
選項拆解
-A:正確。胰臟頭部的腫瘤最容易壓迫到膽總管,導致膽汁無法順利排出,進而引起阻塞性黃疸 (obstructive jaundice)。這是胰臟頭部癌最常見且特異的早期症狀之一。
胃腸肝膽內科38 / 76
【114-2 醫學(三) 第18題】一位 54 歲男性病人主訴倦怠、食慾差,過去肝炎史不詳,抽血生化檢查顯示:ALT(GPT):1860 U/L、AST (GOT):1256 U/L、total bilirubin:6.8 mg/dL、鹼性磷酸酶(alkaline phosphatase):95 U/L(正常值<100 U/L)。下列何者為最適宜之進一步檢查組合?
詳解
破題關鍵
急性肝炎的生化檢查顯示轉胺酶 (ALT/AST) 大幅升高但鹼性磷酸酶 (ALP) 正常,提示肝細胞損傷,最常見的原因是病毒性肝炎,因此應優先篩檢最常見的急性病毒性肝炎病原。
選項拆解
胃腸肝膽內科39 / 76
【114-2 醫學(三) 第19題】60 歲肥胖(BMI:27 kg/m2)、有糖尿病史、不曾喝酒的婦女,於健康檢查接受腹部超音波檢查時發現脂肪肝。下列敘述,何者最不恰當?
詳解
破題關鍵
超音波只能看到脂肪堆積,無法判斷是否有發炎。
選項拆解
-A:正確。NAFLD 的診斷標準就是排除酒精性原因後,發現肝臟脂肪含量過高。
胃腸肝膽內科40 / 76
【114-2 醫學(三) 第20題】下列有關肝腎症候群(hepatorenal syndrome, HRS)的敘述,何者錯誤?
詳解
破題關鍵
肝腎症候群 (HRS) 的發生與肝硬化和腹水有關,但腹水不一定是難治性的。
選項拆解
胃腸肝膽內科41 / 76
【114-2 醫學(三) 第22題】60 歲的病人因腹水住院,下列抽血及腹水檢查數值,何者最可能是肝硬化所引起的腹水?
詳解
破題關鍵
肝硬化引起的腹水,其診斷關鍵是血清與腹水白蛋白梯度 (SAAG) 大於 1.1 g/dL。
選項拆解
-A:SAAG = 3.1 - 2.1 = 1.0 g/dL。此值小於 1.1 g/dL,不符合肝硬化腹水的特徵。
胃腸肝膽內科42 / 76
【114-2 醫學(三) 第23題】Esophageal motility disorders 是導因於 esophageal neuromuscular dysfunction,關於不同的 esophageal motility disorders,下列敘述何者正確?
詳解
破題關鍵
胃食道逆流 (GERD) 的主要原因與食道下括約肌 (LES) 功能異常有關。
選項拆解
胃腸肝膽內科43 / 76
【114-2 醫學(三) 第75題】
12 歲的張小弟,近三日無正常解便,早上媽媽發現他解出黏液狀的排泄物,被家人送到急診室。醫師診察後安排腹部X光及腹部超音波檢查,如圖所示。張小弟最有可能罹患下列何者疾病?

詳解
破題關鍵
這題的解題核心在於辨識腹部超音波影像中典型的「靶心徵」(target sign),這是腸套疊最明確的診斷依據,再結合病童的臨床症狀,就能快速鎖定答案。
選項拆解
胸腔內科44 / 76
【114-2 醫學(三) 第45題】下列何者不是 CURB-65 用來評估社區型肺炎嚴重度的指標項目?
詳解
破題關鍵
記住 CURB-65 的五個字母分別代表什麼。
選項拆解
-A:錯在 心跳次數。心跳次數 (heart rate) 不是 CURB-65 評估項目之一。
-B:正確。血中尿素氮 (Urea) 是 CURB-65 的一個評估項目。
胸腔內科45 / 76
【114-2 醫學(三) 第46題】王先生有糖尿病病史多年,今發燒咳嗽有膿痰已 5 天,胸部 X 光攝影顯示肺有空洞(cavitation)之實質化 (consolidation)病變,關於其治療與處置,下列敘述何者錯誤?
詳解
破題關鍵
糖尿病患者合併肺部空洞性病變,治療時間通常需要更長,且需考慮特定病原菌。
選項拆解
胸腔內科46 / 76
【114-2 醫學(三) 第47題】一位氣喘病患平時使用支氣管擴張劑及茶鹼控制氣喘。最近其氣喘幾乎每天發作 3~4 次,每月幾乎都需要到急診求治,肺功能 FEV1 降至 56%預期值,對支氣管擴張劑的反應越來越差。對於這位病患的處置應該如何調整最為適當?
詳解
破題關鍵
氣喘控制不佳,且肺功能嚴重下降,表示需要加強抗發炎治療。
選項拆解
-A:正確。該病患氣喘幾乎每天發作,每月需急診,FEV1 僅 56%,顯示氣喘控制極差且病情嚴重。此時最關鍵的處置是規則使用吸入性類固醇 (ICS) 或其他抗發炎藥物,以有效控制氣道發炎,這是長期控制氣喘的基石。
胸腔內科47 / 76
【114-2 醫學(三) 第48題】35 歲家庭主婦因一個星期的咳嗽和呼吸短促求診。胸部 X 光檢查發現兩側肺浸潤,經支氣管鏡檢查,支氣管無異常。肺泡灌洗術(bronchoalveolar lavage)發現 eosinophil 20%。下列何者最不可能是其致病原因?
詳解
破題關鍵
肺泡灌洗液 (BAL) 發現嗜酸性球 (eosinophil) 比例高,要考慮嗜酸性球相關的肺部疾病。
選項拆解
胸腔內科48 / 76
【114-2 醫學(三) 第49題】有關肺炎臨床診斷之定義,下列何者錯誤?
詳解
破題關鍵
釐清不同肺炎類型(社區型、院內型、呼吸器相關、健康照護相關)的診斷時間點是關鍵。
選項拆解
-A:正確。社區肺炎的定義確實是發生在住院未滿 48 小時的病人。
胸腔內科49 / 76
【114-2 醫學(三) 第51題】關於乳糜胸(chylothorax)的敘述,下列何者正確?
詳解
破題關鍵
掌握乳糜胸的胸水特性、主要成因及基本治療原則。
選項拆解
-A:錯在「膽固醇數值高於 110 mg/dL」。乳糜胸的胸水是三酸甘油酯高,而非膽固醇。膽固醇高是假性乳糜胸 (pseudochylothorax) 的特徵。
腎臟內科50 / 76
【114-2 醫學(三) 第7題】胡先生 72 歲,有抽菸(每天 1 包),並患有糖尿病、高血壓,於心臟科門診定期追蹤治療。原本只要兩種高血壓用藥便可將血壓維持在 130/80 mmHg,但近期血壓不時高至 200/130 mmHg,病人體重、食慾並無明顯變化,身體診察發現下肢血壓高於上肢血壓,驗血 serum creatinine 從原本 1.2 mg/dL 上升至 2.0 mg/dL,鉀離子為 3.5 mmol/L,若懷疑病人為續發性高血壓,最可能診斷為何?
詳解
破題關鍵
老年高血壓患者,血壓突然難以控制,合併腎功能惡化和低血鉀,且有動脈粥狀硬化危險因子,應高度懷疑腎動脈狹窄。
選項拆解